Limiting Factors in Treatment Success of Biofilm-Forming Streptococci in the Case of Canine Infective Endocarditis Caused by Streptococcus canis
Abstract
Simple Summary
Abstract
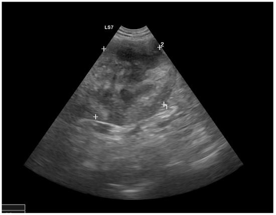
1. Case Presentation
2. Discussion
3. Conclusions
Author Contributions
Funding
Institutional Review Board Statement
Informed Consent Statement
Data Availability Statement
Acknowledgments
Conflicts of Interest
References
- Ewels, P.A.; Peltzer, A.; Fillinger, S.; Patel, H.; Alneberg, J.; Wilm, A.; Garcia, M.U.; Di Tommaso, P.; Nahnsen, S. The nf-core framework for community-curated bioinformatics pipelines. Nat. Biotechnol. 2020, 38, 276–278. [Google Scholar] [CrossRef]
- Eichinger, S.; Kikhney, J.; Moter, A.; Wießner, A.; Eichinger, W.B. Fluorescence in situ hybridization for identification and visualization of microorganisms in infected heart valve tissue as addition to standard diagnostic tests improves diagnosis of endocarditis. Interact. Cardio. Vascular. Thorac. Surg. 2019, 29, 678–684. [Google Scholar] [CrossRef]
- Mallmann, C.; Siemoneit, S.; Schmiedel, D.; Petrich, A.; Gescher, D.M.; Halle, E.; Musci, M.; Hetzer, R.; Gobel, U.B.; Moter, A. Fluorescence in situ hybridization to improve the diagnosis of endocarditis: A pilot study. Clin. Microbiol. Infect. 2010, 16, 767–773. [Google Scholar] [CrossRef]
- Amann, R.I.; Binder, B.J.; Olson, R.J.; Chisholm, S.W.; Devereux, R.; Stahl, D.A. Combination of 16S rRNA-targeted oligonucleotide probes with flow cytometry for analyzing mixed microbial populations. Appl. Environ. Microbiol. 1990, 56, 1919–1925. [Google Scholar] [CrossRef]
- Trebesius, K.; Leitritz, L.; Adler, K.; Schubert, S.; Autenrieth, I.B.; Heesemann, J. Culture independent and rapid identification of bacterial pathogens in necrotising fasciitis and streptococcal toxic shock syndrome by fluorescence in situ hybridisation. Med. Microbiol. Immunol. 2000, 188, 169–175. [Google Scholar] [CrossRef] [PubMed]
- Gescher, D.M.; Kovacevic, D.; Schmiedel, D.; Siemoneit, S.; Mallmann, C.; Halle, E.; Göbel, U.B.; Moter, A. Fluorescence in situ hybridisation (FISH) accelerates identification of Gram-positive cocci in positive blood cultures. Int. J. Antimicrob. Agents 2008, 32, 20. [Google Scholar] [CrossRef]
- Wallner, G.; Amann, R.; Beisker, W. Optimizing fluorescent in situ hybridization with rRNA-targeted oligonucleotide probes for flow cytometric identification of microorganisms. Cytometry 1993, 14, 136–143. [Google Scholar] [CrossRef]
- Reagan, K.L.; Visser, L.C.; Epstein, S.E.; Stern, J.A.; Johnson, L.R. Outcome and prognostic factors in infective endocarditis in dogs: 113 cases (2005–2020). J. Vet. Intern. Med. 2022, 36, 429–440. [Google Scholar] [CrossRef]
- Li, J.S.; Sexton, D.J.; Mick, N.; Nettles, R.; Fowler, V.G., Jr.; Ryan, T.; Bashore, T.; Corey, G.R. Proposed modifications to the Duke criteria for the diagnosis of infective endocarditis. Clin. Infect. Dis. 2000, 30, 633–638. [Google Scholar] [CrossRef]
- Kilkenny, E.; Watson, C.; Dukes-McEwan, J.; Bode, E.F.; Hezzell, M.J.; Payne, J.R.; Borgeat, K. Evaluation of serum cardiac troponin-I concentrations for diagnosis of infective endocarditis in dogs. J. Vet. Intern. Med. 2021, 35, 2094–2101. [Google Scholar] [CrossRef]
- Postigo, A.; Vernooij, R.W.; Fernández-Avilés, F.; Martínez-Sellés, M. Cardiac troponin and infective endocarditis prognosis: A systematic review and meta-analysis. Eur. Heart J. Acute Cardiovasc. Care 2021, 10, 356–366. [Google Scholar] [CrossRef]
- Moser, C.; Pedersen, H.T.; Lerche, C.J.; Kolpen, M.; Line, L.; Thomsen, K.; Høiby, N.; Jensen, P.Ø. Biofilms and host response–helpful or harmful. Apmis 2017, 125, 320–338. [Google Scholar] [CrossRef]
- Oppegaard, O.; Mylvaganam, H.; Skrede, S.; Jordal, S.; Glambek, M.; Kittang, B.R. Clinical and molecular characteristics of infective β-hemolytic streptococcal endocarditis. Diagn. Microbiol. Infect. Dis. 2017, 89, 135–142. [Google Scholar] [CrossRef]
- Fulde, M.; Rohde, M.; Polok, A.; Preissner, K.T.; Chhatwal, G.S.; Bergmann, S. Cooperative plasminogen recruitment to the surface of Streptococcus canis via M protein and enolase enhances bacterial survival. mBio 2013, 4, e00612–e00629. [Google Scholar] [CrossRef]
- Fulde, M.; Rohde, M.; Hitzmann, A.; Preissner, K.T.; Nitsche-Schmitz, D.P.; Nerlich, A.; Chhatwal, G.S.; Bergmann, S. SCM, a novel M-like protein from Streptococcus canis, binds (mini)-plasminogen with high affinity and facilitates bacterial transmigration. Biochem. J. 2011, 434, 523–535. [Google Scholar] [CrossRef]
- Lomas, J.; Martínez-Marcos, F.; Plata, A.; Ivanova, R.; Gálvez, J.; Ruiz, J.; Reguera, J.; Noureddine, M.; De La Torre, J.; De Alarcón, A. Healthcare-associated infective endocarditis: An undesirable effect of healthcare universalization. Clin. Microbiol. Infect. 2010, 16, 1683–1690. [Google Scholar] [CrossRef]
- Ellison, G.W.; King, R.R.; Calderwood-Mays, M. Medical and surgical management of multiple organ infarctions secondary to bacterial endocarditis in a dog. J. Am. Vet. Med. Assoc. 1988, 193, 1289–1291. [Google Scholar]
- Cook, L.B.; Coates, J.R.; Dewey, C.W.; Gordon, S.; Miller, M.W.; Bahr, A. Vascular encephalopathy associated with bacterial endocarditis in four dogs. J. Am. Anim. Hosp. Assoc. 2005, 41, 252–258. [Google Scholar] [CrossRef]
- Ljungvall, I.; Häggström, J. Adult-onset valvular heart disease. In Textbook of Veterinary Internal Medicine Expert Consult; Saunders: Philadelphia, PA, USA, 2017; pp. 1265–1269. [Google Scholar]
- MacDonald, K. Infective endocarditis in dogs: Diagnosis and therapy. In Veterinary Clinics: Small Animal Practice; Elsevier: Amsterdam, The Netherlands, 2010; Volume 40, pp. 665–684. [Google Scholar] [CrossRef]
- Sykes, J.E.; Kittleson, M.D.; Pesavento, P.A.; Byrne, B.A.; MacDonald, K.A.; Chomel, B.B. Evaluation of the relationship between causative organisms and clinical characteristics of infective endocarditis in dogs: 71 cases (1992–2005). J. Am. Vet. Med. Assoc. 2006, 228, 1723–1734. [Google Scholar] [CrossRef]
- Lamm, C.; Ferguson, A.; Lehenbauer, T.; Love, B. Streptococcal infection in dogs: A retrospective study of 393 cases. Vet. Pathol. 2010, 47, 387–395. [Google Scholar] [CrossRef]
- Tan, L.K.; Eccersley, L.R.; Sriskandan, S. Current views of haemolytic streptococcal pathogenesis. Current Opinion in Infectious Diseases 2014, 27, 155–164. [Google Scholar] [CrossRef]
- Fulde, M.; Valentin-Weigand, P. Epidemiology and pathogenicity of zoonotic streptococci. In Host-Pathogen Interactions in Streptococcal Diseases; Springer: Berlin/Heidelberg, Germany, 2013; pp. 49–81. [Google Scholar] [CrossRef]
- Lysková, P.; Vydržalová, M.; Královcová, D.; Mazurová, J. Prevalence and Characteristics of Streptococcus canis Strains Isolated from Dogs and Cats. Acta Vet. Brno 2007, 76, 619–625. [Google Scholar] [CrossRef]
- Hall-Stoodley, L.; Stoodley, P.; Kathju, S.; Høiby, N.; Moser, C.; William Costerton, J.; Moter, A.; Bjarnsholt, T. Towards diagnostic guidelines for biofilm-associated infections. FEMS Immunol. Med. Microbiol. 2012, 65, 127–145. [Google Scholar] [CrossRef]
- Hengzhuang, W.; Wu, H.; Ciofu, O.; Song, Z.; Høiby, N. Pharmacokinetics/pharmacodynamics of colistin and imipenem on mucoid and nonmucoid Pseudomonas aeruginosa biofilms. Antimicrob. Agents Chemother. 2011, 55, 4469–4474. [Google Scholar] [CrossRef]
- Olsen, I. Biofilm-specific antibiotic tolerance and resistance. Eur. J. Clin. Microbiol. Infect. Dis. 2015, 34, 877–886. [Google Scholar] [CrossRef]
- Karaolis, D.K.; Rashid, M.H.; Chythanya, R.; Luo, W.; Hyodo, M.; Hayakawa, Y. c-di-GMP (3′-5′-cyclic diguanylic acid) inhibits Staphylococcus aureus cell-cell interactions and biofilm formation. Antimicrob. Agents Chemother. 2005, 49, 1029–1038. [Google Scholar] [CrossRef]
- Jensen, P.Ø.; Møller, S.A.; Stjernekilde, S.; Olsen, P.; Moser, C.; Schwartz, F.A.; Lerche, C.J.; Høiby, N.; Hyldegaard, O.; Faurholt-Jepsen, D. Hyperbaric Oxygen Treatment May Advance the Outcome of Antibiotic Treatment of Biofilm Infections. In Antibiofilm Strategies: Current and Future Applications to Prevent, Control and Eradicate Biofilms; Springer: Berlin/Heidelberg, Germany, 2022; pp. 201–223. [Google Scholar]
- Orton, E.C.; Hackett, T.B.; Mama, K.; Boon, J.A. Technique and outcome of mitral valve replacement in dogs. J. Am. Vet. Med. Assoc. 2005, 226, 1508–1511. [Google Scholar] [CrossRef]
- Lerche, C.J.; Schwartz, F.; Theut, M.; Fosbøl, E.L.; Iversen, K.; Bundgaard, H.; Høiby, N.; Moser, C. Anti-biofilm approach in infective endocarditis Exposes new treatment strategies for improved outcome. Front. Cell Dev. Biol. 2021, 9, 643335. [Google Scholar] [CrossRef]




| Parameter | Day 1 | Day 2 | Reference Interval |
|---|---|---|---|
| Leukocytes (×109/L) | 53.8 | 88.8 | 5.6–14 |
| Hematocrit (L/L) | 0.44 | 0.38 | 0.42–0.56 |
| Hemoglobin (g/L) | 15.9 | 12.5 | 14.7–19.9 |
| MCV (fL) | 66 | 71 | 62–72 |
| MCHC (g/dL) | 35 | 33 | 32–36 |
| Platelets (×109/L) | 3 | 5 | 165–400 |
| Reticulocytes/µL | ND * | 139,800 | <60,000 non-reg. |
| Band neutrophils (×109/L) | 2.15 | 1.77 | 0.6 |
| Segmented neutrophils (×109/L) | 48.4 | 70.2 | 3–11 |
| Eosinophils (×109/L) | 0 | 0 | −0.6 |
| Lymphocytes (×109/L) | 1.07 | 1.77 | 1.0–4.0 |
| Monocytes (×109/L) | 2.2 | 15.1 | −0.5 |
| Sodium (mmol/L) | 142 | 150 | 140–150 |
| Potassium (mmol/L) | 4 | 3.7 | 3.6–4.8 |
| Glucose (mmol/L) | 6.8 | 8.9 | 4.5–6.2 |
| Creatinine (µmol/L) | 221 | 288 | 53–124 |
| Urea (mmol/L) | 18 | 29 | 3.5–10 |
| Phosphorus (mmol/L) | 2.0 | 2.55 | 0.96–1.6 |
| Calcium (mmol/L) | 2.5 | 2.5 | 2.5–2.9 |
| ALT (U/L) | 61 | 59 | −76 |
| AP (U/L) | 341 | 421 | −97 |
| AST (U/L) | 43 | 158 | −41 |
| Bilirubin (µmol/L) | 11 | 82.4 | −5.1 |
| Protein (g/L) | 78 | 60 | 54–66 |
| Albumin (g/L) | 23 | 18 | 28–36 |
| DGGR lipase (U/L) | 3837 | 469 | −260 |
| PT * (s) | 24.4 | 26.9 | 16.5–25 |
| aPTT * (s) | 21.9 | 23.5 | 10–13.1 |
| CRP (mg/L) | 149 | 143 | −10 |
| Troponin I (ng/mL) | 3.45 | ND | −0.08 |
| Class | Antibiotic | Susceptibility # |
|---|---|---|
| Β-lactams | Ampicillin | S |
| Amoxicillin | S | |
| Amoxicillin/clavulanic acid | S | |
| Benzylpenicillin | S | |
| Cefalexin | S | |
| Cefazolin | S | |
| Tetracyclines | Doxycycline | I |
| Tetracycline | I | |
| Macrolides | Azithromycin | S |
| Clarithromycin | S | |
| Erythromycin | S | |
| Chloramphenicol | S | |
| Other | Clindamycin | S |
| Trimethoprim/Sulfamethoxazole | S |
| Locus | Contig | Match | Allele |
|---|---|---|---|
| gki | Bac-Gen_S28_2_Contig_25 | Exact | 6 |
| gtr | Bac-Gen_S28_2_Contig_25 | Exact | 1 |
| murl | Bac-Gen_S28_2_Contig_2 | Exact | 1 |
| mutS | Bac-Gen_S28_2_Contig_56 | Exact | 6 |
| recP | Bac-Gen_S28_2_Contig_23 | Exact | 4 |
| xpt | Bac-Gen_S28_2_Contig_14 | Exact | 10 |
| ygiZ | Bac-Gen_S28_2_Contig_23 | Exact | 6 |
| MLST | 35 |
Disclaimer/Publisher’s Note: The statements, opinions and data contained in all publications are solely those of the individual author(s) and contributor(s) and not of MDPI and/or the editor(s). MDPI and/or the editor(s) disclaim responsibility for any injury to people or property resulting from any ideas, methods, instructions or products referred to in the content. |
© 2023 by the authors. Licensee MDPI, Basel, Switzerland. This article is an open access article distributed under the terms and conditions of the Creative Commons Attribution (CC BY) license (https://creativecommons.org/licenses/by/4.0/).
Share and Cite
Katsburg, M.; Weingart, C.; Aubry, E.; Kershaw, O.; Kikhney, J.; Kursawe, L.; Lübke-Becker, A.; Moter, A.; Skrodzki, M.; Kohn, B.; et al. Limiting Factors in Treatment Success of Biofilm-Forming Streptococci in the Case of Canine Infective Endocarditis Caused by Streptococcus canis. Vet. Sci. 2023, 10, 314. https://doi.org/10.3390/vetsci10050314
Katsburg M, Weingart C, Aubry E, Kershaw O, Kikhney J, Kursawe L, Lübke-Becker A, Moter A, Skrodzki M, Kohn B, et al. Limiting Factors in Treatment Success of Biofilm-Forming Streptococci in the Case of Canine Infective Endocarditis Caused by Streptococcus canis. Veterinary Sciences. 2023; 10(5):314. https://doi.org/10.3390/vetsci10050314
Chicago/Turabian StyleKatsburg, Miriam, Christiane Weingart, Etienne Aubry, Olivia Kershaw, Judith Kikhney, Laura Kursawe, Antina Lübke-Becker, Annette Moter, Marianne Skrodzki, Barbara Kohn, and et al. 2023. "Limiting Factors in Treatment Success of Biofilm-Forming Streptococci in the Case of Canine Infective Endocarditis Caused by Streptococcus canis" Veterinary Sciences 10, no. 5: 314. https://doi.org/10.3390/vetsci10050314
APA StyleKatsburg, M., Weingart, C., Aubry, E., Kershaw, O., Kikhney, J., Kursawe, L., Lübke-Becker, A., Moter, A., Skrodzki, M., Kohn, B., & Fulde, M. (2023). Limiting Factors in Treatment Success of Biofilm-Forming Streptococci in the Case of Canine Infective Endocarditis Caused by Streptococcus canis. Veterinary Sciences, 10(5), 314. https://doi.org/10.3390/vetsci10050314

