Abstract
Minisatellites are widespread tandem DNA repeats in the genome with a monomer length of 10 to 100 bp. The high variability of minisatellite loci makes them attractive for the development of molecular markers. Minisatellites are used as markers according to three strategies: marking of digested genomic DNA with minisatellite-based probes; amplification with primers based on the sequences of the minisatellites themselves; amplification with primers designed for borders upstream and downstream of the minisatellite locus. In this study, a microsatellite dataset was obtained from the analysis of the Citrus limon (L.) Osbeck genome using Tandem Repeat Finder (TRF) and GMATA software. The minisatellite loci found were used to develop molecular markers that were tested in GMATA using electronic PCR (e-PCR). The obtained dataset includes sequences of extracted minisatellites and their characteristics (start and end nucleotide positions on the chromosome, length of monomer, number of repetitions and length of array), as well as sequences of developed primers, expected lengths of amplicons, and e-PCR results. The presented dataset can be used for the marking of lemon samples according to any of the three strategies. It provides a useful basis for lemon variety certification, identification of samples, verification of collections, lemon genome mapping, saturation of already created maps, studying of the lemon genome architecture etc.
Dataset: Data are contained within the article or Supplementary Materials.
Dataset License: CC0
1. Summary
The dataset presented in this article was generated as a part of the “Molecular-cytogenetic study of the genus Citrus for use in breeding” project, which was supported by the Russian Science Foundation (RSF, grant number 23-16-00234). One of the objectives of the project is to create molecular and cytogenetic markers for lemon (Citrus limon (L.) Osbeck) based on DNA repeats. As a crop, lemon is widely grown in many tropical and subtropical countries around the world [1]. The high economic significance and scientific interest have result in the sequencing of the lemon genome [2]. The obtained genomic data are a powerful source for solving various theoretical and practical problems. In this case, lemon genomic data were used for the bioinformatic search for minisatellite DNA repeats.
According to the Jeffreys et al. (1994) [3] classification, minisatellites are tandem DNA repeats with 10–100 bp monomers. It has been previously reported that minisatellite loci are highly variable due to both the reduction and increase in monomer copies and unequal recombination [4]. In this regard, they are very attractive for the development of molecular markers based on them. In a range of cases, minisatellites have been used for molecular marking according to three strategies: marking of digested genomic DNA with minisatellite-based probes [5,6]; amplification with primers based on the sequences of the minisatellites themselves [7,8]; amplification with primers designed for borders upstream and downstream of the minisatellite locus [9,10]. Also, minisatellites have sometimes been as cytogenetic markers [11,12].
The first and second strategy were the most commonly applied, when methods of DNA sequencing were poorly developed, difficult, and labor-intensive. At that time, the search for minisatellites was not systematic and was carried out situationally during the sequencing of fragments of the studied genomes. Thus, some minisatellites were found in the human and M13 bacteriophage genomes [13,14]. These sequences have been widely used to study polymorphisms in different species using the first strategy for the most part [5,6,15,16,17,18]. However, the following development of genome sequencing technology and effective tools for genomic data analysis provided great opportunities for searching for micro- and minisatellites using bioinformatic tools. The bioinformatic approach resulted to a qualitative leap in the search for satellite DNA repeats and made it possible to create huge datasets of such repeats (for example, see [19]). Special programs have begun to be created to search for satellite DNA repeats, and Tandem Repeat Finder (TRF) [20] is very popular software for these purposes. In some cases, programs such as TRA 1.5 (tandem repeat analyzer) [21], E-TRA 1.0 (exact tandem repeat analyzer) [22], and GMATA [23] have been used. In this study, we tried to form a dataset of the TRF- and GMATA-identified lemon minisatellites in such a way that the obtained data could be used with any of the above-described marking strategies. This work is novel because it is the first time a large dataset of lemon minisatellites has been obtained and presented, as well as the first time GMATA software has been used to search and map minisatellites. It is expected that this dataset will be interesting and useful not only in connection with the implementation of the RSF #23-16-00234 project, but also for gardeners, geneticists and breeders who are engaged in the breeding and identification of lemon varieties.
2. Data Description
The C. limon minisatellite data are presented in an « .xlsx» file that consists of 20 equally organized sheets. The first sheet includes information about the minisatellites obtaind using TRF software (8472 minisatellites, 4067 of which had markers developed). The second sheet includes the minisatellites found using GMATA software (135 minisatellites, 56 of which had markers developed). The other 18 sheets include the TRF- and GMATA-obtained minisatellite data from each of 18 chromosomes of the studied genome assembly. The data are divided by chromosomes to facilitate the study of each individual chromosome of the genome. Columns are organized according to the following order: “Code of repeat” (column 1), “Characteristics of minisatellites” (columns 2–9), “Results of marker design by GMATA” (columns 10–12), “e-PCR results” (columns 13, 14), and “Programme for finding” (columns 15, 16). Also, there are three additional sheets in the presented dataset that include statistical information about the found minisatellites (“Graphs”, “Sites”, and “AT_GC”).
2.1. Organization of Data Sheets
2.1.1. Code of Repeat
- “Code of repeat” lists a specific identifier for each repeat. Codes for the repeats found with TRF software start with “T”, and ones found with GMATA software start with “G”. The codes in the 3rd–18th sheets correspond to the codes in the first and second sheets.
2.1.2. Characteristics of Minisatellites
This section includes the following columns:
- “Chromosome” includes the codes of chromosomes as they are indicated in the genome data. Keeping the codes in this form is important when manipulating the data presented here in GMATA software.
- “Chromosome length” includes the lengths (bp) of the individual chromosomes, in which the minisatellites were found.
- “Motif” includes the nucleotide sequences of the found minisatellites (in the TRF output file, these sequences are named “consensus”).
- “Start position” includes the ordinal numbers of the nucleotides in the individual chromosomes, at which the arrays of the found minisatellites begin.
- “End position” includes the ordinal numbers of the nucleotides in the individual chromosomes, at which the arrays of the found minisatellites finish.
- “Motif length” includes the lengths (bp) of the motifs in the fourth column.
- “Repetitions” includes the numbers of the motif copies into the arrays.
- “Array length” includes the numbers of nucleotides between values of the “Start position” and “End position” columns.
2.1.3. Results of Marker Design with GMATA
This section includes the following columns:
- “Forward primer” includes sequences of the forward primers, which were designed using GMATA software upstream of the arrays of the found minisatellites. Empty cells in this column indicate that the software did not design primers for the regions containing the corresponding minisatellites.
- “Reverse primer” includes the sequences of the reverse primers, which were designed using GMATA software downstream from the arrays of the found minisatellites. Empty cells in this column indicate that the software did not design primers for the regions containing the corresponding minisatellites.
- “Amplicon length” includes the lengths (bp) of the expected amplicons, which should be synthesized during the annealing of primers in the studied region.
2.1.4. e-PCR Results
This section includes the following columns:
- “Number of alleles” includes the machine-generated numbers of alleles, which were obtained by virtual annealing of the designed primers on the studied genome.
- “Lengths of alleles” includes the lengths (bp) of the alleles from the 17th column. These data are presented in the “n/m” form, where “n” and “m” correspond to the obtained and expected lengths of the amplicons.
2.1.5. Program for Finding
- TRF includes cells with “+” and empty cells. The “+” sign indicates that these minisatellites were found using TRF software.
- GMATA includes cells with “+” and empty cells. The “+” sign indicates that these minisatellites were found using GMATA software.
2.2. Organization of the “Graph” Sheet
The “Graph” sheet includes three graphs that show how many minisatellites of a certain length were found using TRF software (“Number of minisatellites with different lengths (TRF search)”), GMATA software (“Number of minisatellites with different lengths (GMATA search)”) and both programs (“Number of minisatellites with different lengths (TRF+GMATA search)”). The lengths of the found minisatellites are shown on the horizontal axis (in bp; from 10 to 100). The numbers of the found minisatellites are shown on the vertical axis (the indication step is 100). The exact values of the numbers for the minisatellites of each length are indicated above the columns.
2.3. Organization of the “Sites” Sheet
The “Sites” sheet includes a table with three columns:
- “Motifs” includes the nucleotide sequences of the found minisatellites (in the TRF output file these sequences are named “consensus”). The sequences in the column were cleared of duplicates and are sorted by length; within each length, they are sorted alphabetically.
- “Length, bp” includes the lengths (bp) of the corresponding motifs from the first column. These data are presented in the “n/m” form, where “n” and “m” correspond to the obtained and expected lengths of the amplicons.
- “Number of the found sites” includes the number of the found sites for each motif sequence. This column can be used to sort unique motifs (occurring in the genome only once) and motifs that occur in the genome the required number of times.
The table is also divided into two parts: the first part is titled TRF search (the title is highlighted in light orange), and the second part is titled GMATA search (the title is also highlighted in light orange). These parts include the data found using the corresponding software.
2.4. Organization of the “AT_GC” Sheet
The “AT_GC” sheet includes two tables with information about the AT/GC content of the found minisatellites. The first table includes the following columns:
- “Motifs” includes the nucleotide sequences of the found minisatellites (in the TRF output file these sequences are named “consensus”). The sequences in the column were cleared of duplicates and are sorted by length; within each length, they are sorted alphabetically.
- “Length, bp” includes the lengths (bp) of the corresponding motifs from the first column. These data are presented in the “n/m” form, where “n” and “m” correspond to the obtained and expected lengths of the amplicons.
- “A” includes the number of adenine nucleotides in the corresponding motif sequence.
- “T” includes the number of thymine nucleotides in the corresponding motif se-quence.
- “G” includes the number of guanine nucleotides in the corresponding motif se-quence.
- “C” includes the number of cytosine nucleotides in the corresponding motif se-quence.
- “A+T” includes the sum of the values from the “A” and “T” columns, divided by the values from the “Length, bp” column, expressed as a percentage.
- “G+C” includes the sum of the values from the “G” and “C” columns, divided by the values from the “Length, bp” column, expressed as a percentage.
The second table includes the following columns:
- “AT/GC content” includes the generalized characteristics of the minisatellites found in terms of their enrichment in adenine+thymine and guanine+cytosine. The values of the cells in this column are as follows: “AT-rich” (“A+T” values are greater than 50%), “GC-rich” (“G+C” values are greater than 50%), “AT=GC” (the “A+T” and “G+C” values are equal to 50%).
- “Number of minisatellites” includes the number of found minisatellites with the corresponding “AT/GC content”. This column was complited on the basis of the analysis of the first table.
- “Rate” includes the values of the corresponding rates, expressed as a percentage.
These table are also divided into two parts: the first part is titled TRF search (the title is highlighted in lilac), and the second part is titled GMATA search (the title is also highlighted in lilac). These parts include the data found using the corresponding software.
3. Methods
The presented dataset was constructed from a minisatellite search in the lemon genome data (https://ngdc.cncb.ac.cn/gwh/Assembly/37788/show, accessed on 15 December 2024) [2] using TRF and GMATA software. In both cases, the default search parameters were used. In the TRF case, the procedure for obtaining data was as follows. The results of the machine search (« .dat» file) were copied into an « .xlsx» file and sorted by the length of the monomer from 10 to 100 bp (which corresponds to minisatellites) and a number of copies of 5 or more. From the resultingм « .xlsx» file, the necessary columns were copied to fill in the Supplementary Material tables and create an « .ssr» file in the “Notepad” application for primer design in GMATA software. The “Marker designing” option of GMATA software had the following parameters: Min. amplicon size, 120 bp; Max amplicon, size 400 bp; Optimal annealing Tm, 60 °C; Flanking sequence length, 400 bp; Max. template length, 2000 bp. As a result, « .mk» and « .sts» files were obtained. The « .mk» file was used to fill in 10th–12th columns of the Supplementary Material tables. The « .sts» file was used for the “e-Mapping” option in GMATA software. This option had the following parameters: Word size, 12; Contiguous word, 1; Margin, 3000; sts size range, 100–1000; Max. mismatches, 0; Max. indels, 1. The « .frg» file obtained after using the “e-Mapping” option was used to fill in the 13th and 14th columns of the Supplementary Material tables.
In the case of searching for minisatellites using GMATA software, the procedure was as follows. A « .fasta» file of the lemon genome was chosen as a Sequence file in the “SSR identification” option. This option had the following parameters: Min-length, 10 bp; Max-length, 100 bp; Min repeat-times, 5. As a result, the « .ssr» file was obtained automatically. Further operations for primer design and e-PCR were carried out as described above.
To demonstrate the usefullness of the presented markers, eight markers were tested with the DNA of 16 lemon varieties: 1. Cantonsky (“Pavlovsky Lemon” nursery, “PavLem”), 2. Kursky (Fruit Growing Laboratory of the Timiryazev Russian State Agrarian University—Moscow Agricultural Academy, “FrutLab”), 3. Lunario (“PavLem”), 4. Meyer’s “PavLem”), 5. Milarosa (“PavLem”), 6. Novogruzinsky (“Sadovod Krym” nursery, “SadKr”), 7. Novozealandsky (“PavLem”), 8. Pavlovsky (“FrutLab”), 9. Pavlovsky Okrugly (“PavLem”), 10. Panderosa (“FrutLab”), 11. Pink Eurica variegated (“PavLem”), 12. Rosso (“PavLem”), 13. Salavat (“PavLem”), 14. Tashkentsky (“FrutLab”), 15. Urman (“PavLem”), and 16. Yubileiny (“PavLem”). The collection of the lemon plants is located in the orangery of All-Russia Research Institute of Agricultural Biotechnology. Small young leaves from the plants of all varieties were collected and used for DNA extraction, according to the Doyle and Doyle protocol (1990) with some modifications [24,25].
All primers used in the experiments were synthesized by ZAO “Synthol” (Moscow, Russia). PCR was performed by C1000 Touch™ Thermal Cycler (Bio-Rad Laboratories, Inc., Hercules, CA, USA) under the following conditions: (1) 94 °C for 5 min; (2) 30 cycles (94 °C for 30 s, 60 °C for 30 s, 72 °C for 1 min 30 s); (3) 72 °C for 10 min. The obtained products were separated on a 1.5% agarose gel at a voltage of 5 V/cm and visualized by the GelDoc XR+ gel documentation system (Bio-Rad Laboratories, Inc., Hercules, CA, USA). The size of the T218 and T275 amplicons was measured using fragment analysis by “Genetic Analyzer ABI-3130XL” (“Applied Biosystems”, Foster City, CA, USA) with the forward primers labeled at the 5′-end with 5(6)-carboxyfluorescein (FAM).
4. User Notes
The proposed dataset can be used by researchers to study lemon samples according to the three strategies described above for applying minisatellites as markers. To create labeling probes, whole sequences or parts of them from the “Motif” column of the Supplementary Material tables can be used (the first strategy). Also, these sequences can be used as primers according to the second strategy. The third strategy requires the use of data from the “Results of marker design by GMATA” and “e-PCR results” columns. Depending on the purpose of the study, data can be sorted in Excel by the number of alleles (17th column). Markers with one or two alleles can be used as in classical microsatellite studies. Markers with more than two alleles can be used for DNA fingerprinting.
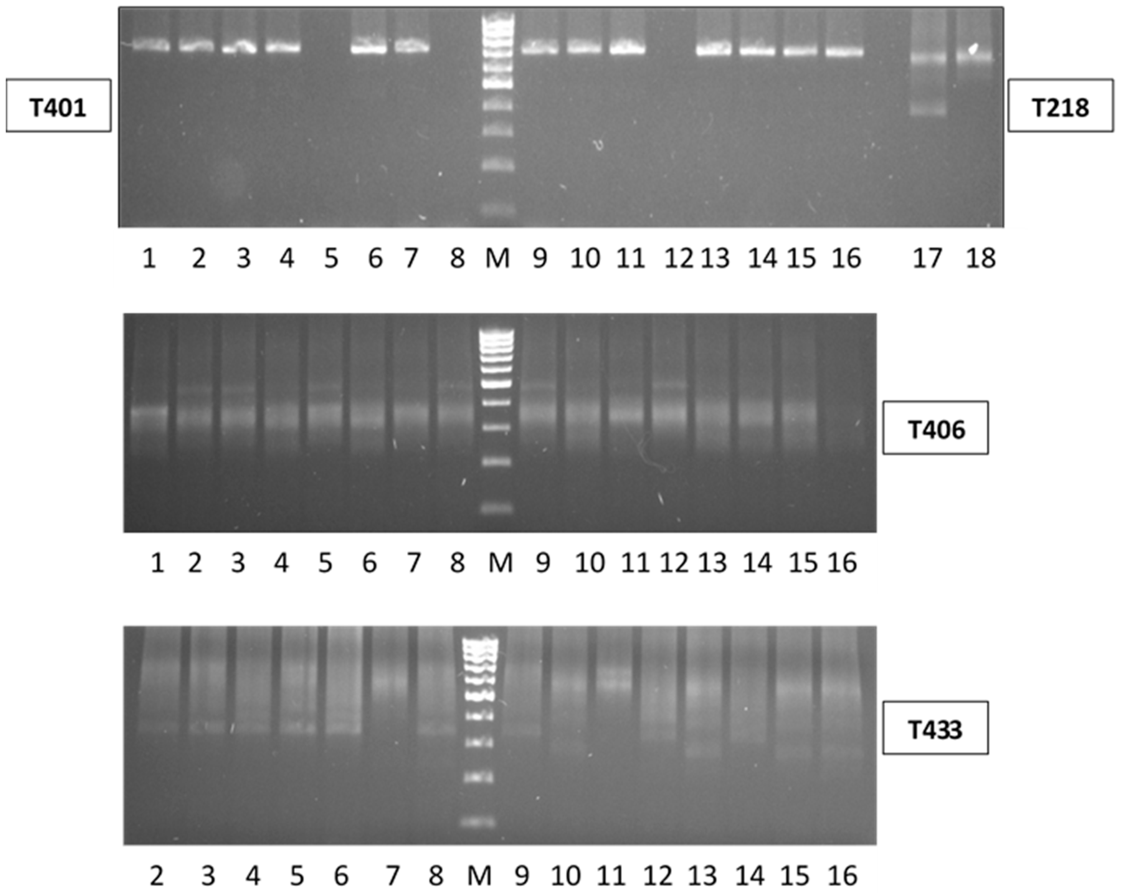
To demonstrate the practical application of the obtained dataset, eight markers (T143, T218, T262, T275, T353, T401, T406, and T443, highlighted in light green in the tables of Supplementary Materials) were randomly selected and tested by PCR with several lemon varieties. The electrophoretic patterns of the obtained amplicons are shown in Figure 1 and Figure 2. Five primer pairs (T143, T218, T275, T353, and T443) were annealed with the DNA of all studied lemon varieties. Three markers (T262, T401, and T406) showed annealing in most varieties: T262 did not anneal with the DNA of the Cantonsky, Pavlovsky, Panderosa, Salavat, Urman, or Yubileiny varieties; T401 did not anneal with the DNA of the Milarosa, Pavlovsky, or Rosso varieties; T406 did not anneal with the Cantonsky variety only. Thus, these markers can be applied as SCAR (Sequence Characterized Amplified Region) markers, and the revealed polymorphism can be used for the differentiation and certification of the studied varieties. T262 and T401 were the most successful for this application because they showed stable single-fragment products (T262—704 bp fragment: T401—658 bp fragment). The T143 marker was also good. It showed patterns consisting of one or two fragments. This fact allows it to be used according to the classical scheme when using microsatellite markers. T143 revealed differences between varieties. Eleven varieties (Kursky, Lunario, Meyer’s, Milarosa, Novogruzinsky, Novozealandsky, Pavlovsky, Pavlovsky Okrugly, Salavat, Tashkentsky, Urman, and Yubileiny) had a single 492 bp fragment. Pink Eurica variegated had one 446 bp fragment. Three varieties showed two fragments (Cantonsky—446/457 bp, Rosso—457/466 bp, and Salavat—466/507 bp). The T218 and T275 markers also demonstrated polymorphic patterns, but they had more than two fragments. The use of these markers requires some additional manipulations, for example, fragment analysis (Table 1). Finally, three markers (T353, T406, and T433) were considered unpromising for further use because their profiles contained strong smears that obscured the polymorphism.
Figure 1.
The PCR test results of the T143, T218, T262, T275, and T353 markers. The codes of the markers are indicated to the right of the electrophoregrams. The lemon samples on each electrophoregram are arranged in the following order: 1—Cantonsky, 2—Kursky, 3—Lunario, 4 –Meyer’s, 5—Milarosa, 6—Novogruzinsky, 7—Novozealandsky, 8—Pavlovsky, 9—Pavlovsky Okrugly, 10—Panderosa, 11—Pink Eurica variegated, 12—Rosso, 13—Salavat, 14—Tashkentsky, 15—Urman, 16—Yubileiny. The 100 bp marker of molecular weight is indicated with an “M”.
Figure 2.
The PCR test results of the T401, T218, T406, T433, and T353 markers. The codes of the markers are indicated on the sides of the electrophoregrams. The lemon samples on each electrophoregram are arranged in the following order: 1—Cantonsky, 2—Kursky, 3—Lunario, 4 –Meyer’s, 5—Milarosa, 6—Novogruzinsky, 7—Novozelandsky, 8—Pavlovsky, 9—Pavlovsky Okrugly, 10—Panderosa, 11—Pink Eurica variegated, 12—Rosso, 13—Salavat, 14—Tashkentsky, 15—Urman, 16—Yubileiny. The 100 bp marker of molecular weight is indicated with an “M”. The T401 electrophoregram also includes two lanes (17—Cantonsky, 18—Kursky) of the T218 marker.
Table 1.
The results of the fragment analysis with the T218 and T275 markers.
5. Conclusions
In our opinion, the bioinformatic approach is better than the use of minisatellites obtained by sequencing certain regions of human, bacteriophage M13, and other organisms DNA. In this study, TRF and GMATA searches were used for mining minisatellites from the lemon genome. The yield of minisatellites was higher when using TRF than when using GMATA. This is probably due to the fact that GMATA has an algorithm more suitable for finding microsatellites than minisatellites. This work shows for the first time that GMATA can be used for searching for minisatellites, although it is not as effective as TRF. Also, the novelty of this work is that for the first time an extensive dataset of lemon minisatellites and molecular markers based on them was obtained. The testing of eight markers randomly selected from the dataset showed that five of them were effective in detecting polymorphisms between 16 lemon varieties.
I summary, this dataset can be used for many theoretical and applied scientific works related to the study of the lemon genome: (1) mapping chromosomes, similar to what is performed with microsatellites (for example, see [19]); (2) increasing the resolution of already-created microsatellite maps by saturating them with the found minisatellites; (3) the certification and further identification of varieties as well as the verification of collection samples; (4) evaluation of the genetic diversity of plant material at the initial stages of breeding work, selection of the most genetically distant samples for crossing, an proof of the hybrid nature of the offspring plants; (5) studying the genetic structure of wild populations etc.
Supplementary Materials
The following supporting information can be downloaded at: https://www.mdpi.com/article/10.3390/data10010002/s1.
Author Contributions
Conceptualization, O.S.A. and D.V.R.; methodology, O.S.A.; validation, O.S.A. and D.V.R.; investigation, O.S.A.; data curation, O.S.A.; writing—original draft preparation, O.S.A.; writing—review and editing, O.S.A. and D.V.R.; visualization, O.S.A.; supervision, D.V.R.; project administration, D.V.R.; funding acquisition, D.V.R. All authors have read and agreed to the published version of this manuscript.
Funding
This research was funded by Russian Scientific Foundation, grant number 23-16-00234.
Institutional Review Board Statement
Not applicable.
Informed Consent Statement
Not applicable.
Data Availability Statement
Data are available as a Supplementary file.
Acknowledgments
The authors thank Tatyana Alexandrova for critically reading the English version of this manuscript.
Conflicts of Interest
The authors declare no conflicts of interest.
References
- Zhong, G.; Nicolosi, E. Citrus Origin, Diffusion, and Economic Importance. In The Citrus Genome. Compendium of Plant Genomes; Gentile, A., La Malfa, S., Deng, Z., Eds.; Springer International Publishing AG: Cham, Switzerland, 2020; pp. 5–21. [Google Scholar]
- Bao, Y.; Zeng, Z.; Yao, W.; Chen, X.; Jiang, M.; Sehrish, A.; Wu, B.; Powell, C.A.; Chen, B.; Xu, J.; et al. A gap-free and haplotype-resolved lemon genome provides insights into flavor synthesis and huanglongbing (HLB) tolerance. Hortic. Res. 2023, 10, uhad020. [Google Scholar] [CrossRef] [PubMed]
- Jeffreys, A.J.; Tamaki, K.; MacLeod, A.; Monckton, D.G.; Neil, D.L.; Armour, J.A. Complex gene conversion events in germline mutation at human minisatellites. Nat. Genet. 1994, 6, 136–145. [Google Scholar] [CrossRef] [PubMed]
- Carter, D.A.; Tran-Dinh, N.; Marra, R.E.; Vera, R.E. The development of genetic markers from fungal genome initiatives. In Applied Mycology and Biotechnology; Elsevier: Amsterdam, The Netherlands, 2004; Volume 4, pp. 1–27. [Google Scholar]
- Sharon, D.; Adato, A.; Mhameed, S.; Lavi, U.; Hillel, J.; Gomolka, M.; Epplen, C.; Epplen, J.T. DNA fingerprints in plants using simple-sequence repeat and minisatellite probes. HortScience 1995, 30, 109–112. [Google Scholar] [CrossRef]
- Miller, H.C.; Lambert, D.M.; Millar, C.D.; Robertson, B.C.; Minot, E.O. Minisatellite DNA profiling detects lineages and parentage in the endangered kakapo (Strigops habroptilus) despite low microsatellite DNA variation. Conserv. Genet. 2003, 4, 265–274. [Google Scholar] [CrossRef]
- Meyer, W.; Mitchell, T.G.; Freedman, E.Z.; Vilgalys, R. Hybridization probes for conventional DNA fingerprinting used as single primers in the polymerase chain reaction to distinguish strains of Cryptococcus neoformans. J. Clin. Microbiol. 1993, 31, 2274–2280. [Google Scholar] [CrossRef]
- Karaca, M.; Ince, A.G. Minisatellites as DNA markers to classify bermudagrasses (Cynodon spp.): Confirmation of minisatellite in amplified products. J. Genet. 2008, 87, 83. [Google Scholar] [CrossRef]
- Oura, C.A.L.; Odongo, D.O.; Lubega, G.W.; Spooner, P.R.; Tait, A.; Bishop, R.P. A panel of microsatellite and minisatellite markers for the characterisation of field isolates of Theileria parva. Int. J. Parasitol. 2003, 33, 1641–1653. [Google Scholar] [CrossRef]
- Kanduma, E.G.; Mwacharo, J.M.; Sunter, J.D.; Nzuki, I.; Mwaura, S.; Kinyanjui, P.W.; Kibe, M.; Heyne, H.; Hanotte, O.; Skilton, R.A.; et al. Micro- and minisatellite-expressed sequence tag (EST) markers discriminate between populations of Rhipicephalus appendiculatus. Ticks Tick-Borne Dis. 2012, 3, 128–136. [Google Scholar] [CrossRef] [PubMed]
- Gamble, T.; Geneva, A.J.; Glor, R.E.; Zarkower, D. Anolis sex chromosomes are derived from a single ancestral pair. Evolution 2014, 68, 1027–1041. [Google Scholar] [CrossRef] [PubMed]
- Alexandrov, O.S.; Karlov, G.I. Molecular cytogenetic analysis and genomic organization of major DNA repeats in castor bean (Ricinus communis L.). Mol. Genet. Genom. 2016, 291, 775–787. [Google Scholar] [CrossRef] [PubMed]
- Jeffreys, A.; Wilson, V.; Thein, S. Hypervariable ‘minisatellite’ regions in human DNA. Nature 1985, 314, 67–73. [Google Scholar] [CrossRef]
- Vassart, G.; Georges, M.; Monsieur, R.; Brocas, H.; Lequarre, A.S.; Christophe, D. A sequence in M13 phage detects hypervariable minisatellites in human and animal DNA. Science 1987, 235, 683–684. [Google Scholar] [CrossRef] [PubMed]
- Ryskov, A.P.; Jincharadze, A.G.; Prosnyak, M.I.; Ivanov, P.L.; Limborska, S.A. M13 phage DNA as a universal marker for DNA fingerprinting of animals, plants and microorganisms. FEBS Lett. 1988, 233, 388–392. [Google Scholar] [CrossRef]
- Nybom, H.; Hall, H.K. Minisatellite DNA ‘fingerprints’ can distinguish Rubus cultivars and estimate their degree of relatedness. Euphytica 1991, 53, 107–114. [Google Scholar] [CrossRef]
- Stenlid, J.; Karlsson, J.O.; Högberg, N. Intraspecific genetic variation in Heterobasidion annosum revealed by amplification of minisatellite DNA. Mycol. Res. 1994, 98, 57–63. [Google Scholar] [CrossRef]
- Huang, B.X.; Peakall, R.; Hanna, P.J. Analysis of genetic structure of blacklip abalone (Haliotis rubra) populations using RAPD, minisatellite and microsatellite markers. Mar. Biol. 2000, 136, 207–216. [Google Scholar] [CrossRef]
- Singh, J.; Sharma, A.; Sharma, V.; Gaikwad, P.N.; Sidhu, G.S.; Kaur, G.; Jindal, T.; Chhuneja, P.; Rattanpal, H.S. Comprehensive genome-wide identification and transferability of chromosome-specific highly variable microsatellite markers from Citrus species. Sci. Rep. 2023, 13, 10919. [Google Scholar] [CrossRef] [PubMed]
- Benson, G. Tandem repeats finder: A program to analyze DNA sequences. Nucleic Acids Res. 1999, 27, 573–580. [Google Scholar] [CrossRef]
- Bilgen, M.; Karaca, M.; Onus, A.N.; Ince, A.G. A software program combining sequence motif searches with keywords for finding repeats containing DNA sequences. Bioinformatics 2004, 20, 3379–3386. [Google Scholar] [CrossRef][Green Version]
- Karaca, M.; Bilgen, M.; Onus, A.N.; Ince, A.G.; Elmasulu, S.Y. Exact tandem repeats analyzer (E-TRA): A new program for DNA sequence mining. J. Genet. 2005, 84, 49–54. [Google Scholar] [CrossRef]
- Wang, X.; Wang, L. GMATA: An integrated software package for genome-scale SSR mining, marker development and viewing. Front. Plant Sci. 2016, 7, 1350. [Google Scholar] [CrossRef] [PubMed]
- Doyle, J.J.; Doyle, J.L. Isolation of plant DNA from fresh tissue. Focus 1990, 12, 13–15. [Google Scholar]
- Divashuk, M.G.; Alexandrov, O.S.; Razumova, O.V.; Kirov, I.V.; Karlov, G.I. Molecular cytogenetic characterization of the dioecious Cannabis sativa with an XY chromosome sex determination system. PLoS ONE 2014, 9, e85118. [Google Scholar] [CrossRef] [PubMed]
Disclaimer/Publisher’s Note: The statements, opinions and data contained in all publications are solely those of the individual author(s) and contributor(s) and not of MDPI and/or the editor(s). MDPI and/or the editor(s) disclaim responsibility for any injury to people or property resulting from any ideas, methods, instructions or products referred to in the content. |
© 2024 by the authors. Licensee MDPI, Basel, Switzerland. This article is an open access article distributed under the terms and conditions of the Creative Commons Attribution (CC BY) license (https://creativecommons.org/licenses/by/4.0/).

