Proteins and Metabolites as Indicators of Flours Quality and Nutritional Properties of Two Durum Wheat Varieties Grown in Different Italian Locations
Abstract
1. Introduction
2. Materials and Methods
2.1. Plant Material and Field Trials
2.2. Seed Storage Protein Extraction and Quantification
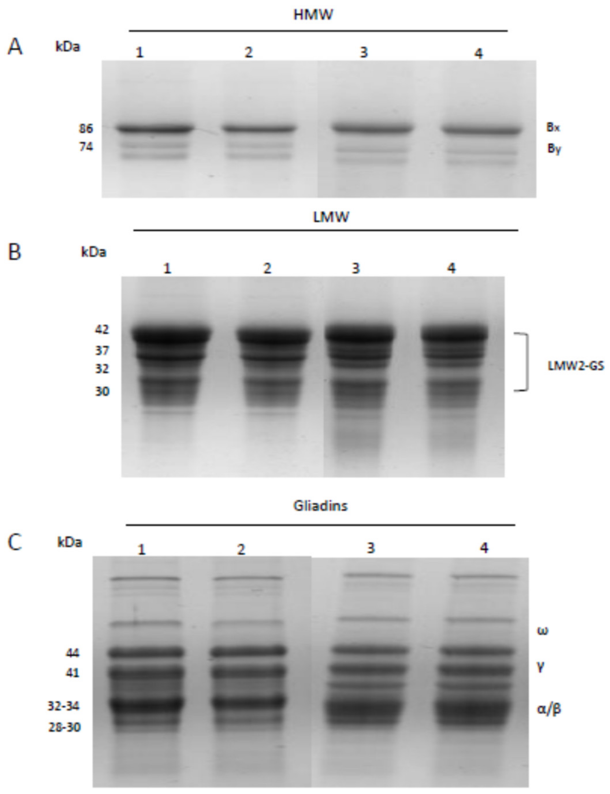
2.3. Protein Characterization by Sodium Dodecyl Sulfate Polyacrylamide Gel Electrophoresis (Sds-Page) and Densitometric Analysis of Gluten Fractions
2.4. Isolation of Starch
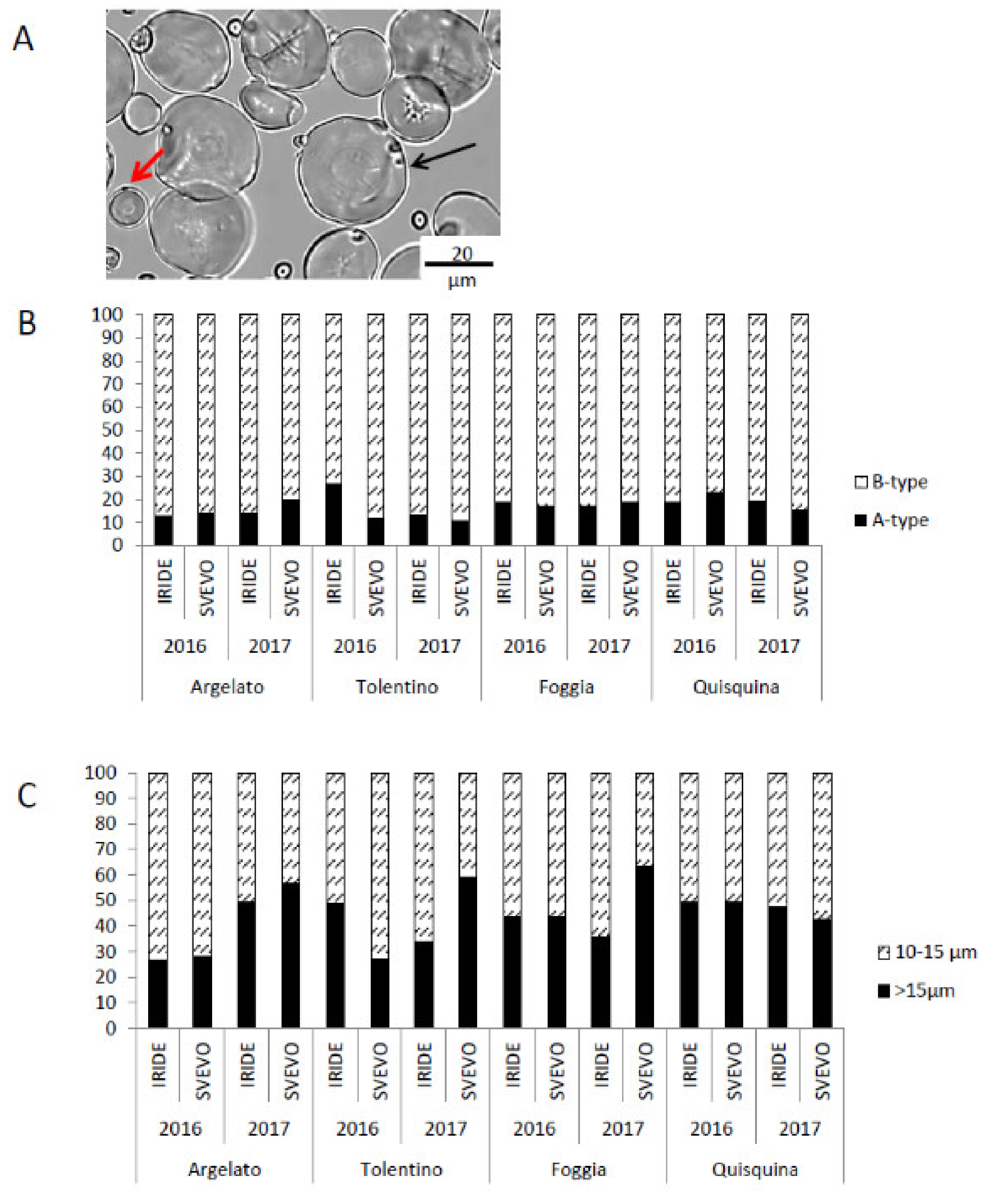
2.5. Light Microscopy
2.6. Determination of Phenolic Acid Content
2.7. Determination of Antioxidant Activity
2.8. Statistical Analysis
3. Results and Discussion
3.1. Meteorological Conditions in the Two Growing Seasons
3.2. Effect of Cultivar, Growing Area, and Cropping Season on Grain Quality and Nutritional Properties
3.2.1. Analysis of Gluten Protein Content
3.2.2. Quantification of Gluten Protein Sub-Units
3.2.3. Analysis of Starch Granules
3.2.4. Analysis of Polyphenols and Antioxidant Capacity
Supplementary Materials
Author Contributions
Funding
Acknowledgments
Conflicts of Interest
References
- Visioli, G.; Bonas, U.; Cortivo, C.D.; Pasini, G.; Marmiroli, N.; Mosca, G.; Vamerali, T. Variations in yield and gluten proteins in durum wheat varieties under late-season foliar versus soil application of nitrogen fertilizer in a northern Mediterranean environment. J. Sci. Food Agric. 2017, 98, 2360–2369. [Google Scholar] [CrossRef]
- Boukid, F.; Dall’Asta, M.; Bresciani, L.; Mena, P.; Del Rio, D.; Calani, L.; Sayar, R.; Seo, Y.W.; Yacoubi, I.; Mejri, M. Phenolic profile and antioxidant capacity of landraces, old and modern Tunisian durum wheat. Eur. Food Res. Technol. 2019, 245, 73–82. [Google Scholar] [CrossRef]
- Dinelli, G.; Marotti, I.; Silvestro, R.D.; Bosi, S.; Bregola, V.; Accorsi, M.; Loreto, A.D.; Benedettelli, S.; Ghiselli, L.; Catizone, P. Agronomic, nutritional and nutraceutical aspects of durum wheat (Triticum durum Desf.) cultivars under low input agricultural management. Ital. J. Agron. 2013, 8, e12. [Google Scholar] [CrossRef]
- Laino, P.; Shelton, D.; Finnie, C.; Leonardis, A.M.D.; Mastrangelo, A.M.; Svensson, B.; Lafiandra, D.; Masci, S. Comparative proteome analysis of metabolic proteins from seeds of durum wheat (cv. Svevo) subjected to heat stress. PROTEOMICS 2010, 10, 2359–2368. [Google Scholar] [CrossRef] [PubMed]
- Bonomi, F.; Iametti, S.; Mamone, G.; Ferranti, P. The Performing Protein: Beyond Wheat Proteomics? Cereal Chem. J. 2013, 90, 358–366. [Google Scholar] [CrossRef]
- Mazzeo, M.F.; Di Stasio, L.; D’Ambrosio, C.; Arena, S.; Scaloni, A.; Corneti, S.; Ceriotti, A.; Tuberosa, R.; Siciliano, R.A.; Picariello, G.; et al. Identification of Early Represented Gluten Proteins during Durum Wheat Grain Development. J. Agric. Food Chem. 2017, 65, 3242–3250. [Google Scholar] [CrossRef] [PubMed]
- Peng, M.; Gao, M.; Abdel-Aal, E.-S.M.; Hucl, P.; Chibbar, R.N. Separation and Characterization of A- and B-Type Starch Granules in Wheat Endosperm. Cereal Chem. J. 1999, 76, 375–379. [Google Scholar] [CrossRef]
- Labuschagne, M.T.; Geleta, N.; Osthoff, G. The Influence of Environment on Starch Content and Amylose to Amylopectin Ratio in Wheat. Starch—Stärke 2007, 59, 234–238. [Google Scholar] [CrossRef]
- Soh, H.N.; Sissons, M.J.; Turner, M.A. Effect of Starch Granule Size Distribution and Elevated Amylose Content on Durum Dough Rheology and Spaghetti Cooking Quality. Cereal Chem. J. 2006, 83, 513–519. [Google Scholar] [CrossRef]
- Zeng, J.; Li, G.; Gao, H.; Ru, Z. Comparison of A and B Starch Granules from Three Wheat Varieties. Molecules 2011, 16, 10570–10591. [Google Scholar] [CrossRef]
- Stoddard, F.L. Survey of Starch Particle-Size Distribution in Wheat and Related Species. Cereal Chem. J. 1999, 76, 145–149. [Google Scholar] [CrossRef]
- Barutcular, C.; Yildirim, M.; Koc, M.; Dizlek, H.; Akinci, C.; El, A.; Saneoka, H.; Ueda, A.; Islam, M.S.; Toptas, I.; et al. Quality traits performance of bread wheat genotypes under drought and heat stress conditions. Fresenius Environ. Bull. 2006, 25, 6159–6165. [Google Scholar]
- Li, P.; Chen, J.; Wu, P. Agronomic Characteristics and Grain Yield of 30 Spring Wheat Genotypes under Drought Stress and Nonstress Conditions. Agron. J. 2011, 103, 1619–1628. [Google Scholar] [CrossRef]
- Graziano, S.; Marando, S.; Prandi, B.; Boukid, F.; Marmiroli, N.; Francia, E.; Pecchioni, N.; Sforza, S.; Visioli, G.; Gullì, M. Technological Quality and Nutritional Value of Two Durum Wheat Varieties Depend on Both Genetic and Environmental Factors. J. Agric. Food Chem. 2019, 67, 2384–2395. [Google Scholar] [CrossRef] [PubMed]
- Flagella, Z.; Giuliani, M.M.; Giuzio, L.; Volpi, C.; Masci, S. Influence of water deficit on durum wheat storage protein composition and technological quality. Eur. J. Agron. 2010, 33, 197–207. [Google Scholar] [CrossRef]
- Lv, J.; Lu, Y.; Niu, Y.; Whent, M.; Ramadan, M.F.; Costa, J.; Yu, L. (Lucy) Effect of genotype, environment, and their interaction on phytochemical compositions and antioxidant properties of soft winter wheat flour. Food Chem. 2013, 138, 454–462. [Google Scholar] [CrossRef]
- Labuschagne, M.T.; Elago, O.; Koen, E. The influence of temperature extremes on some quality and starch characteristics in bread, biscuit and durum wheat. J. Cereal Sci. 2009, 49, 184–189. [Google Scholar] [CrossRef]
- Fábián, A.; Jäger, K.; Rakszegi, M.; Barnabás, B. Embryo and endosperm development in wheat (Triticum aestivum L.) kernels subjected to drought stress. Plant Cell Rep. 2011, 30, 551–563. [Google Scholar] [CrossRef]
- Singh, S.; Singh, G.; Singh, P.; Singh, N. Effect of water stress at different stages of grain development on the characteristics of starch and protein of different wheat varieties. Food Chem. 2008, 108, 130–139. [Google Scholar] [CrossRef]
- Dinelli, G.; Segura Carretero, A.; Di Silvestro, R.; Marotti, I.; Fu, S.; Benedettelli, S.; Ghiselli, L.; Fernández Gutiérrez, A. Determination of phenolic compounds in modern and old varieties of durum wheat using liquid chromatography coupled with time-of-flight mass spectrometry. J. Chromatogr. A 2009, 1216, 7229–7240. [Google Scholar] [CrossRef]
- Li, L.; Shewry, P.R.; Ward, J.L. Phenolic Acids in Wheat Varieties in the HEALTHGRAIN Diversity Screen. J. Agric. Food Chem. 2008, 56, 9732–9739. [Google Scholar] [CrossRef] [PubMed]
- Silvestro, R.D.; Loreto, A.D.; Bosi, S.; Bregola, V.; Marotti, I.; Benedettelli, S.; Segura-Carretero, A.; Dinelli, G. Environment and genotype effects on antioxidant properties of organically grown wheat varieties: A 3-year study. J. Sci. Food Agric. 2017, 97, 641–649. [Google Scholar] [CrossRef] [PubMed]
- Martini, D.; Taddei, F.; Ciccoritti, R.; Pasquini, M.; Nicoletti, I.; Corradini, D.; D’Egidio, M.G. Variation of total antioxidant activity and of phenolic acid, total phenolics and yellow coloured pigments in durum wheat (Triticum turgidum L. var. durum) as a function of genotype, crop year and growing area. J. Cereal Sci. 2015, 65, 175–185. [Google Scholar] [CrossRef]
- Ronga, D.; Laviano, L.; Catellani, M.; Milc, J.; Prandi, B.; Boukid, F.; Sforza, S.; Dossena, A.; Graziano, S.; Gullì, M.; et al. Proteins and Metabolites as Indicators of Flours Quality and Nutritional Properties of Two Durum Wheat Varieties Grown in Different Italian Locations. Eur. J. Agron. submitted.
- Tosi, P.; Parker, M.; Gritsch, C.S.; Carzaniga, R.; Martin, B.; Shewry, P.R. Trafficking of storage proteins in developing grain of wheat. J. Exp. Bot. 2009, 60, 979–991. [Google Scholar] [CrossRef]
- Budny, J.A.; Fornal, J.; Amarowicz, R.; Pegg, R.B. Improved method of wheat starch isolation for friabilin analysis. Int. Agrophysics 2005, 19, 99–107. [Google Scholar]
- Re, R.; Pellegrini, N.; Proteggente, A.; Pannala, A.; Yang, M.; Rice-Evans, C. Antioxidant activity applying an improved ABTS radical cation decolorization assay. Free Radic. Biol. Med. 1999, 26, 1231–1237. [Google Scholar] [CrossRef]
- Babicki, S.; Arndt, D.; Marcu, A.; Liang, Y.; Grant, J.R.; Maciejewski, A.; Wishart, D.S. Heatmapper: Web-enabled heat mapping for all. Nucleic Acids Res. 2016, 44, W147–W153. [Google Scholar] [CrossRef]
- Al-Karaki, G.N. Phenological Development-Yield Relationships in Durum Wheat Cultivars under Late-Season High-Temperature Stress in a Semiarid Environment. ISRN Agron. 2012, 2012, 1–7. [Google Scholar] [CrossRef]
- Dias, A.S.; Lidon, F.C. Evaluation of Grain Filling Rate and Duration in Bread and Durum Wheat, under Heat Stress after Anthesis. J. Agron. Crop Sci. 2009, 195, 137–147. [Google Scholar] [CrossRef]
- Lafiandra, D.; Margiotta, B.; Colaprico, G.; Masci, S.; Roth, M.R.; MacRitchie, F. Introduction of the D-genome related high- and low-Mr glutenin subunits into durum wheat and their effect on technological properties. In Wheat Gluten, Proceedings of the 7th International Workshop Gluten 2000, Bristol, UK, 2–6 April 2000; Springer: Berlin, Germany, 2007; pp. 51–54. [Google Scholar]
- Stone, P.J.; Nicolas, M.E. Wheat Cultivars Vary Widely in Their Responses of Grain Yield and Quality to Short Periods of Post-Anthesis Heat Stress. Funct. Plant Biol. 1994, 21, 887–900. [Google Scholar] [CrossRef]
- Blumenthal, C.; Rawson, H.M.; McKenzie, E.; Gras, P.W.; Barlow, E.W.R.; Wrigley, C.W. Changes in Wheat Grain Quality Due to Doubling the Level of Atmospheric CO2. Cereal Chem. 1996, 73, 762–766. [Google Scholar]
- Corbellini, M.; Canevar, M.G.; Mazza, L.; Ciaffi, M.; Lafiandra, D.; Borghi, B. Effect of the Duration and Intensity of Heat Shock During Grain Filling on Dry Matter and Protein Accumulation, Technological Quality and Protein Composition in Bread and Durum Wheat. Funct. Plant Biol. 1997, 24, 245. [Google Scholar] [CrossRef]
- Giancaspro, A.; Giove, S.L.; Zacheo, S.A.; Blanco, A.; Gadaleta, A. Genetic Variation for Protein Content and Yield-Related Traits in a Durum Population Derived From an Inter-Specific Cross Between Hexaploid and Tetraploid Wheat Cultivars. Front. Plant Sci. 2019, 10, 1509. [Google Scholar] [CrossRef]
- Daaloul Bouacha, O.; Rhazi, L.; Aussenac, T.; Rezgui, S.; Nouaigui, S. Molecular characterization of storage proteins for selected durum wheat varieties grown in different environments. J. Cereal Sci. 2015, 61, 97–104. [Google Scholar] [CrossRef]
- Giuliani, M.M.; Palermo, C.; De Santis, M.A.; Mentana, A.; Pompa, M.; Giuzio, L.; Masci, S.; Centonze, D.; Flagella, Z. Differential Expression of Durum Wheat Gluten Proteome under Water Stress during Grain Filling. J. Agric. Food Chem. 2015, 63, 6501–6512. [Google Scholar] [CrossRef]
- Thierry, A.; Larbi, R. Storage Proteins Accumulation and Aggregation in Developing Wheat Grains. In Global Wheat Production; Fahad, S., Basir, A., Adnan, M., Eds.; InTech Open: London, UK, 2018. [Google Scholar]
- Dupont, F.M.; Altenbach, S.B. Molecular and biochemical impacts of environmental factors on wheat grain development and protein synthesis. J. Cereal Sci. 2003, 38, 133–146. [Google Scholar] [CrossRef]
- Malik, A.H.; Kuktaite, R.; Johansson, E. Combined effect of genetic and environmental factors on the accumulation of proteins in the wheat grain and their relationship to bread-making quality. J. Cereal Sci. 2013, 57, 170–174. [Google Scholar] [CrossRef]
- Sissons, M. Role of Durum Wheat Composition on the Quality of Pasta and Bread. Food 2008, 2, 75–90. [Google Scholar]
- Nocente, F.; De Stefanis, E.; Ciccoritti, R.; Pucciarmati, S.; Taddei, F.; Campiglia, E.; Radicetti, E.; Mancinelli, R. How do conventional and organic management affect the healthy potential of durum wheat grain and semolina pasta traits? Food Chem. 2019, 297, 124884. [Google Scholar] [CrossRef]
- Frumento duro, le varietà più performanti. Available online: https://terraevita.edagricole.it/tecnica-e-tecnologia/colture/frumento-duro-le-varieta-piu-performanti/ (accessed on 29 January 2020).
- Edwards, N.M.; Gianibelli, M.C.; McCaig, T.N.; Clarke, J.M.; Ames, N.P.; Larroque, O.R.; Dexter, J.E. Relationships between dough strength, polymeric protein quantity and composition for diverse durum wheat genotypes. J. Cereal Sci. 2007, 45, 140–149. [Google Scholar] [CrossRef]
- Porceddu, E.; Turchetta, T.; Masci, S.; D’Ovidio, R.; Lafiandra, D.; Kasarda, D.D.; Impiglia, A.; Nachit, M.M. Variation in endosperm protein composition and technological quality properties in durum wheat. In Wheat: Prospects for Global Improvement; Braun, H.-J., Altay, F., Kronstad, W.E., Beniwal, S.P.S., McNab, A., Eds.; Springer: Dordrecht, The Netherlands, 1997; pp. 263–271. ISBN 978-94-010-6053-0. [Google Scholar]
- Bénétrix, F.; Kaan, F.; Autran, J.-C. Changes in Protein Complexes of Durum Wheat in Developing Seed. Crop Sci. 1994, 34, 462–468. [Google Scholar] [CrossRef]
- Janni, M.; Cadonici, S.; Pignone, D.; Marmiroli, N. Survey and new insights in the application of PCR-based molecular markers for identification of HMW-GS at the Glu-B1 locus in durum and bread wheat. Plant Breed. 2017, 136, 467–473. [Google Scholar] [CrossRef]
- De Santis, M.A.; Kosik, O.; Passmore, D.; Flagella, Z.; Shewry, P.R.; Lovegrove, A. Comparison of the dietary fibre composition of old and modern durum wheat (Triticum turgidum spp. durum) genotypes. Food Chem. 2018, 244, 304–310. [Google Scholar] [CrossRef] [PubMed]
- De Vita, P.; Nicosia, O.L.D.; Nigro, F.; Platani, C.; Riefolo, C.; Di Fonzo, N.; Cattivelli, L. Breeding progress in morpho-physiological, agronomical and qualitative traits of durum wheat cultivars released in Italy during the 20th century. Eur. J. Agron. 2007, 26, 39–53. [Google Scholar] [CrossRef]
- Guzmán, C.; Autrique, J.E.; Mondal, S.; Singh, R.P.; Govindan, V.; Morales-Dorantes, A.; Posadas-Romano, G.; Crossa, J.; Ammar, K.; Peña, R.J. Response to drought and heat stress on wheat quality, with special emphasis on bread-making quality, in durum wheat. Field Crops Res. 2016, 186, 157–165. [Google Scholar] [CrossRef]
- Wieser, H. Chemistry of gluten proteins. Food Microbiol. 2007, 24, 115–119. [Google Scholar] [CrossRef]
- Wieser, H.; Kieffer, R. Correlations of the Amount of Gluten Protein Types to the Technological Properties of Wheat Flours Determined on a Micro-scale. J. Cereal Sci. 2001, 34, 19–27. [Google Scholar] [CrossRef]
- Wieser, H.; Zimmermann, G. Importance of amounts and proportions of high molecular weight subunits of glutenin for wheat quality. Eur. Food Res. Technol. 2000, 210, 324–330. [Google Scholar] [CrossRef]
- Yang, F.; Jørgensen, A.D.; Li, H.; Søndergaard, I.; Finnie, C.; Svensson, B.; Jiang, D.; Wollenweber, B.; Jacobsen, S. Implications of high-temperature events and water deficits on protein profiles in wheat (Triticum aestivum L. cv. Vinjett) grain. PROTEOMICS 2011, 11, 1684–1695. [Google Scholar] [CrossRef]
- Pompa, M.; Giuliani, M.M.; Palermo, C.; Agriesti, F.; Centonze, D.; Flagella, Z. Comparative Analysis of Gluten Proteins in Three Durum Wheat Cultivars by a Proteomic Approach. J. Agric. Food Chem. 2013, 61, 2606–2617. [Google Scholar] [CrossRef] [PubMed]
- Panozzo, J.F.; Eagles, H.A. Cultivar and environmental effects on quality characters in wheat. II. Protein. Aust. J. Agric. Res. 2000, 51, 629. [Google Scholar] [CrossRef]
- Blumenthal, C.S.; Batey, I.L.; Bekes, F.; Wrigley, C.W.; Barlow, E.W.R. Gliadin genes contain heat-shock elements: Possible relevance to heat-induced changes in grain quality. J. Cereal Sci. 1990, 11, 185–188. [Google Scholar] [CrossRef]
- Beckles, D.M.; Thitisaksakul, M. How environmental stress affects starch composition and functionality in cereal endosperm. Starch—Stärke 2014, 66, 58–71. [Google Scholar] [CrossRef]
- Sehgal, A.; Sita, K.; Siddique, K.H.M.; Kumar, R.; Bhogireddy, S.; Varshney, R.K.; HanumanthaRao, B.; Nair, R.M.; Prasad, P.V.V.; Nayyar, H. Drought or/and Heat-Stress Effects on Seed Filling in Food Crops: Impacts on Functional Biochemistry, Seed Yields, and Nutritional Quality. Front. Plant Sci. 2018, 9, 1705. [Google Scholar] [CrossRef]
- Martini, D.; Taddei, F.; Nicoletti, I.; Ciccoritti, R.; Corradini, D.; D’Egidio, M.G. Effects of Genotype and Environment on Phenolic Acids Content and Total Antioxidant Capacity in Durum Wheat. Cereal Chem. J. 2014, 91, 310–317. [Google Scholar] [CrossRef]
- Verma, B.; Pierre, H.; Chibbar, R.N. Phenolic Content and Antioxidant Properties of Bran in 51 Wheat Cultivars. Cereal Chem. J. 2008, 85, 544–549. [Google Scholar] [CrossRef]
- Laddomada, B.; Durante, M.; Minervini, F.; Garbetta, A.; Cardinali, A.; D’Antuono, I.; Caretto, S.; Blanco, A.; Mita, G. Phytochemical Composition and Anti-Inflammatory Activity of Extracts from the Whole-Meal Flour of Italian Durum Wheat Cultivars. Int. J. Mol. Sci. 2015, 16, 3512–3527. [Google Scholar] [CrossRef]



| Name | Variety Characteristics | Plant Characteristics | Grain Quality | Tolerance | |||
|---|---|---|---|---|---|---|---|
| Iride | Pedigree Altar 84 × Ionio | Seasonal Type | spring | Test Weight | high | Powdery Mildew | susceptible |
| Release in 1996 | Heading Time | early | Yellow index | medium | Leaf Rust | susceptible | |
| by PSB s.p.a. | Height | medium | Protein Content | medium (>12%) | Septoria | susceptible | |
| Awn color | black | Gluten quality | 83% | Abiotic stress | excellent | ||
| Potential yield | high | Glu A1 | null | Lodging | good | ||
| Glu B1 | 7+8 | ||||||
| Glu B3 | LMW-2 | ||||||
| Svevo | Pedigree Cimmyt line × Zenit | Seasonal Type | spring | Test Weight | good | Powdery Mildew | susceptible |
| Release in 1996 | Heading Time | early | Yellow index | high | Leaf Rust | susceptible | |
| by PSB s.p.a. | Height | medium-high | Protein Content | good (>14%) | Septoria | tolerant | |
| Awn color | whitish | Gluten quality | 85% | Abiotic stress | excellent | ||
| Potential yield | medium | GluA1 | null | Lodging | good | ||
| Glu B1 | 7+8 | ||||||
| GluB3 | LMW-2 | ||||||
| GPC% | Gliadins % | HMW-GS % | LMW-GS % | glu/gli | HMW-GS/LMW-GS | ||
|---|---|---|---|---|---|---|---|
| Location * | Argelato | 13.63 ± 1.35b | 47.27 ± 5.64a | 24.37 ± 3.22a | 28.36 ± 6.50a | 1.14 ± 0.25a | 1.02 ± 0.40a |
| Tolentino | 13.80 ± 1.10b | 46.72 ± 5.63a | 25.04 ± 0.80a | 28.24 ± 5.46a | 1.16 ± 0.26a | 0.91 ± 0.18a | |
| Foggia | 13.28 ± 0.85b | 47.23 ± 6.04a | 25.23 ± 2.41a | 26.75 ± 7.75a | 1.14 ± 0.28a | 0.99 ± 0.37a | |
| Quisquina | 15.33 ±1.00a | 44.87 ± 6.98a | 26.32 ± 1.71a | 28.81 ± 6.41a | 1.27 ± 0.35a | 0.95 ± 0.22a | |
| Year † | 2016 | 13.99 ± 1.56a | 51.67 ± 1.09a | 26.21 ± 1.62a | 22.12 ± 2.40b | 0.93 ± 0.04b | 1.20 ± 0.19a |
| 2017 | 14.03 ± 1.00a | 41.38 ± 2.09b | 24.26 ± 2.78a | 34.36 ± 1.99a | 1.42 ± 0.12a | 0.73 ± 0.07b | |
| Cultivar ‡ | Iride | 13.35 ± 1.01b | 46.53 ± 6.14a | 25.89 ± 2.97a | 27.58 ± 7.71a | 1.18 ± 0.29a | 1.05 ± 0.31a |
| Svevo | 14.66 ± 1.19a | 46.52 ± 5.31a | 24.59 ± 1.66a | 28.90 ± 5.90a | 1.17 ± 0.26a | 0.89 ± 0.23a |
| Trait | Source of Variation | Df a | SS b | MS c | F | p-Value | |
|---|---|---|---|---|---|---|---|
| Gluten Fraction | Gliadins | Year (Y) | 1 | 423.742 | 423.742 | 147.774 | 0.000 |
| LMW | (Pillai’s Trace = 0.000) | 1 | 522.923 | 522.923 | 194.221 | 0.000 | |
| Gluten protein Bands % | LMW 42 | Genotype (G) (Pillai’s Trace = 0.050) | 1 | 123.099 | 123.09 | 7.467 | 0.018 |
| GLY 44 | 1 | 57.646 | 57.646 | 5.065 | 0.044 | ||
| GLY 41 | 1 | 36.754 | 36.754 | 6.829 | 0.023 | ||
| GLY 32-34 | 1 | 94.868 | 94.868 | 19.006 | 0.001 | ||
| B_x | Year (Pillai’s Trace = 0.000) | 1 | 428.076 | 428.076 | 35.268 | 0.000 | |
| B_y | 1 | 428.076 | 428.076 | 35.268 | 0.000 | ||
| LMW 37 | 1 | 102.061 | 102.061 | 11.045 | 0.006 | ||
| LMW 32 | 1 | 41.602 | 41.602 | 4.865 | 0.048 | ||
| GLY 44 | 1 | 1497.497 | 1497.497 | 131.568 | 0.000 | ||
| GLY 41 | 1 | 332.971 | 332.971 | 61.863 | 0.000 | ||
| GLY 32-34 | 1 | 515.971 | 515.971 | 103.369 | 0.000 | ||
| GLY 28-30 | 1 | 718.240 | 718.240 | 158.343 | 0.000 | ||
| B_x | G × Y (Pillai’s Trace = 0.036) | 1 | 58.523 | 58.523 | 4.822 | 0.049 | |
| B_y | 1 | 58.522 | 58.522 | 4.822 | 0.049 | ||
| LMW 42 | 1 | 81.000 | 81.000 | 4.914 | 0.047 | ||
| GLY 41 | 1 | 45.327 | 45.327 | 8.421 | 0.013 | ||
| Polyphenols antioxidant | Free | Environment (E) (Pillai’s Trace = 0.000) | 3 | 143.130 | 47.710 | 291.553 | 0.000 |
| Conjugates | 3 | 14075.706 | 4691.902 | 159.130 | 0.000 | ||
| Bounds | 3 | 299366.536 | 99788.845 | 1150.315 | 0.000 | ||
| TEAC | 3 | 1953.443 | 651.148 | 1708.501 | 0.000 | ||
| Free | G × Y (Pillai’s Trace = 0.000) | 3 | 46.173 | 15.391 | 94.053 | 0.000 | |
| Conjugates | 3 | 4113.264 | 1371.088 | 46.502 | 0.000 | ||
| Bounds | 3 | 280728.063 | 93576.021 | 1078.697 | 0.000 | ||
| TEAC | 3 | 23288.355 | 7762.785 | 20368.233 | 0.000 | ||
| Free | G × Y × E (Pillai’s Trace = 0.000) | 9 | 52.134 | 5.793 | 35.399 | 0.000 | |
| Conjugates | 9 | 5665.122 | 629.458 | 21.349 | 0.000 | ||
| Bounds | 9 | 296814.790 | 32979.421 | 380.170 | 0.000 | ||
| TEAC | 9 | 4783.027 | 531.447 | 1394.428 | 0.000 | ||
| Free Phenolics (µg GAE/g) | Conjugated Phenolics (µg GAE/g) | Bounds Phenolics (µg GAE/g) | Antioxidant Capacity TEAC (µM TE/g) | ||
|---|---|---|---|---|---|
| Location * | Argelato | 8.19 ± 0.12c | 67.94 ± 0.23c | 288.48 ± 13.95c | 61.40 ± 0.99b |
| Tolentino | 7.46 ± 0.11d | 60.72 ± 0.22d | 292.26 ± 7.60c | 45.47 ± 0.68d | |
| Foggia | 10.23 ± 0.59b | 85.75 ± 0.29b | 339.30 ± 13.86b | 58.41 ± 0.76c | |
| Quisquina | 11.89 ± 0.35a | 104.95 ± 0.36a | 483.11 ± 6.92a | 62.75 ± 0.42a | |
| Year † | 2016 | 8.65 ± 0.18b | 72.54 ± 0.25b | 303.22 ± 10.42b | 38.83 ± 0.98b |
| 2017 | 10.18 ± 0.41a | 87.14 ± 0.30a | 398.36 ± 10.75a | 75.19 ± 0.45a | |
| Cultivar ‡ | Iride | 9.47 ± 0.40a | 80.06 ± 0.28a | 294.03 ± 10.91b | 65.25 ± 0.78a |
| Svevo | 9.35 ± 0.18a | 79.62 ± 0.27a | 407.55 ± 10.26a | 48.73 ± 0.65b |
© 2020 by the authors. Licensee MDPI, Basel, Switzerland. This article is an open access article distributed under the terms and conditions of the Creative Commons Attribution (CC BY) license (http://creativecommons.org/licenses/by/4.0/).
Share and Cite
Graziano, S.; Marmiroli, N.; Visioli, G.; Gullì, M. Proteins and Metabolites as Indicators of Flours Quality and Nutritional Properties of Two Durum Wheat Varieties Grown in Different Italian Locations. Foods 2020, 9, 315. https://doi.org/10.3390/foods9030315
Graziano S, Marmiroli N, Visioli G, Gullì M. Proteins and Metabolites as Indicators of Flours Quality and Nutritional Properties of Two Durum Wheat Varieties Grown in Different Italian Locations. Foods. 2020; 9(3):315. https://doi.org/10.3390/foods9030315
Chicago/Turabian StyleGraziano, Sara, Nelson Marmiroli, Giovanna Visioli, and Mariolina Gullì. 2020. "Proteins and Metabolites as Indicators of Flours Quality and Nutritional Properties of Two Durum Wheat Varieties Grown in Different Italian Locations" Foods 9, no. 3: 315. https://doi.org/10.3390/foods9030315
APA StyleGraziano, S., Marmiroli, N., Visioli, G., & Gullì, M. (2020). Proteins and Metabolites as Indicators of Flours Quality and Nutritional Properties of Two Durum Wheat Varieties Grown in Different Italian Locations. Foods, 9(3), 315. https://doi.org/10.3390/foods9030315

