Enzymatic Properties of Chitosanase from Bacillus velezensis YB1534 and Antibacterial Activity of Its Oligosaccharide Products
Abstract
1. Introduction
2. Materials and Methods
2.1. Chemical Reagents
2.2. Strains and Plasmids
2.3. Cloning, Expression, and Purification of Chitosanase BvChi
2.4. Sequence Analysis
2.5. Chitosanase Activity Assay
2.6. Enzymatic Properties of BvChi
2.7. Hydrolyzed Products Analysis by TLC
2.8. Antibacterial Activities of the COSs Products
3. Results and Discussion
3.1. Gene Cloning, Overexpression, and Protein Purification
3.2. Enzymatic Characterization of BvChi
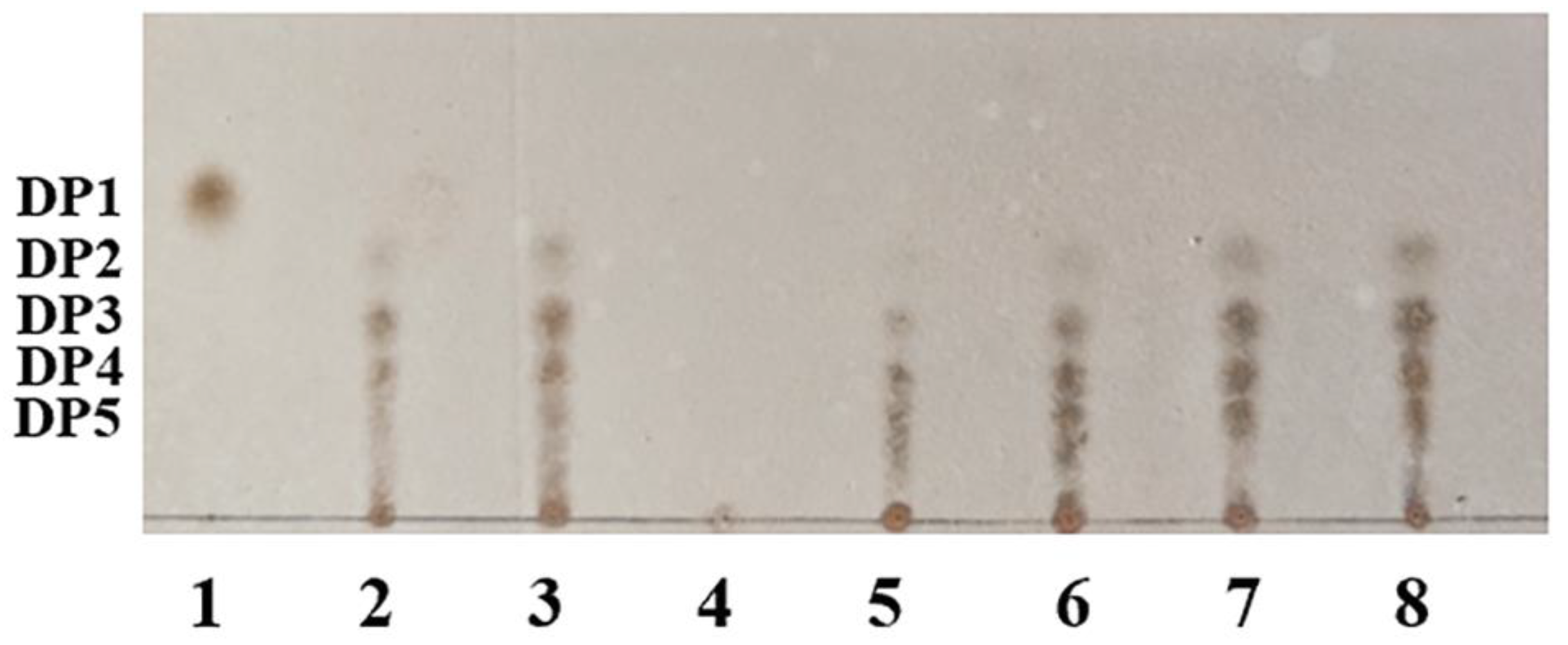
3.3. TLC Results of BvChi Hydrolysates
3.4. Antibacterial Activity of Hydrolyzed Products
| Strain | MIC | MBC |
|---|---|---|
| E. coli | 0.625 | 1.25 |
| S. aureus | 0.313 | 0.625 |
| S. typhi 50071 | 1.25 | 2.5 |
| A. hydrophila | 0.625 | 1.25 |
4. Conclusions
Supplementary Materials
Author Contributions
Funding
Institutional Review Board Statement
Informed Consent Statement
Data Availability Statement
Conflicts of Interest
References
- Latgé, J.P. The cell wall: A carbohydrate armour for the fungal cell. Mol. Microbiol. 2007, 66, 279–290. [Google Scholar] [CrossRef]
- Aam, B.B.; Heggset, E.B.; Norberg, A.L.; Sørlie, M.; Vårum, K.M.; Eijsink, V.G. Production of chitooligosaccharides and their potential applications in medicine. Mar. Drugs 2010, 8, 1482–1517. [Google Scholar] [CrossRef]
- Sugimoto, M.; Morimoto, M.; Sashiwa, H.; Saimoto, H.; Shigemasa, Y. Preparation and characterization of water-soluble chitin and chitosan derivatives. Carbohyd. Polym. 1998, 36, 49–59. [Google Scholar] [CrossRef]
- El-Araby, A.; Janati, W.; Ullah, R.; Ercisli, S.; Errachidi, F. Chitosan, chitosan derivatives, and chitosan-based nanocomposites: Eco-friendly materials for advanced applications (a review). Front. Chem. 2024, 11, 1327426. [Google Scholar] [CrossRef] [PubMed]
- Tsigos, I.; Martinou, A.; Kafetzopoulos, D.; Bouriotis, V. Chitin deacetylases: New, versatile tools in biotechnology. Trends Biotechnol. 2000, 18, 305–312. [Google Scholar] [CrossRef] [PubMed]
- Zhang, W.; Zhou, J.; Gu, Q.; Sun, R.; Yang, W.; Lu, Y.; Wang, C.; Yu, X. Heterologous expression of GH5 chitosanase in Pichia pastoris and antioxidant biological activity of its chitooligosacchride hydrolysate. J. Biotechnol. 2022, 348, 55–63. [Google Scholar] [CrossRef]
- Kim, S.K.; Rajapakse, N. Enzymatic production and biological activities of chitosan oligosaccharides (COS): A review. Carbohyd. Polym. 2005, 62, 357–368. [Google Scholar]
- Sudharshan, N.R.; Hoover, D.G.; Knorr, D. Antibacterial action of chitosan. Food Biotechnol. 1992, 6, 257–272. [Google Scholar] [CrossRef]
- Kim, J.Y.; Lee, J.K.; Lee, T.S.; Park, W.H. Synthesis of chitooligosaccharide derivative with quaternary ammonium group and its antimicrobial activity against Streptococcus mutans. Int. J. Biol. Macromol. 2003, 32, 23–27. [Google Scholar] [CrossRef]
- Jeon, Y.J.; Kim, S.K. Production of chitooligosaccharide using an ultrafiltration membrane reactor and their antibacterial activity. Carbohyd. Polym. 2000, 41, 133–141. [Google Scholar]
- No, H.K.; Park, N.Y.; Lee, S.H.; Hwang, H.J.; Meyers, S.P. Antibacterial activities of chitosans and chitosan oligomers with different molecular weights on spoilage bacteria isolated from tofu. J. Food Sci. 2002, 67, 1511–1514. [Google Scholar] [CrossRef]
- Cantarel, B.L.; Coutinho, P.M.; Rancurel, C.; Bernard, T.; Lombard, V.; Henrissat, B. The Carbohydrate-Active EnZymes database (CAZy): An expert resource for glycogenomics. Nucleic Acids Res. 2009, 37, D233–D238. [Google Scholar] [CrossRef]
- Su, H.; Sun, J.; Jia, Z.; Zhao, H.; Mao, X. Insights into promiscuous chitosanases: The known and the unknown. Appl. Microbiol. Biot. 2022, 106, 6887–6898. [Google Scholar] [CrossRef]
- Wang, Y.; Mo, H.; Hu, Z.; Liu, B.; Zhang, Z.; Fang, Y.; Hou, X.; Liu, S.; Yang, G. Production, characterization and application of a novel chitosanase from marine bacterium Bacillus paramycoides BP-N07. Foods 2023, 12, 3350. [Google Scholar] [CrossRef]
- Wang, J.; Wang, P.; Zhu, M.; Chen, W.; Yu, S.; Zhong, B. Overexpression and biochemical properties of a GH46 chitosanase from marine Streptomyces hygroscopicus R1 suitable for chitosan oligosaccharides preparation. Front. Microbiol. 2022, 12, 816845. [Google Scholar] [CrossRef]
- Xu, Y.; Wang, H.; Zhu, B.; Yao, Z. Biochemical characterization and elucidation action mode of a new endolytic chitosanase for efficient preparation of chitosan oligosaccharides. Biomass Convers. Bior. 2024, 14, 18897–18905. [Google Scholar]
- Bhoopal, B.; Dokku, S.; Sk, A.; Gopi, P.; Samudrala, R.; Musti, J.S.; Appa, R.P. New class of chitosanase from Bacillus amyloliquefaciens for the generation of chitooligosaccharides. J. Agric. Food Chem. 2021, 69, 78–87. [Google Scholar] [CrossRef]
- Yang, G.; Sun, H.; Cao, R.; Liu, Q.; Mao, X. Characterization of a novel glycoside hydrolase family 46 chitosanase, Csn-BAC, from Bacillus sp. MD-5. Int. J. Biol. Macromol. 2020, 146, 518–523. [Google Scholar] [CrossRef] [PubMed]
- Singh, R.; Sharmila, D. Antimicrobial effects of aqueous butanolic extract of Saraca indica (Linn). Res. J. Pharm. Biol. Chem. Sci. 2015, 6, 1. [Google Scholar]
- El-Sayed, S.T.; Ali, A.M.; El-Sayed, E.M.; Shousha, W.G.; Omar, N.I. Characterization and potential antimicrobial effect of novel chitooligosaccharides against pathogenic microorganisms. J. Appl. Pharm. Sci. 2017, 7, 006–012. [Google Scholar]
- Chaudhry, G.S.; CS, T.; Zin, N.A.M.; Sung, Y.Y.; Muhammad, T.S.T.; AWM, E. Antibacterial activity of Chito-oligosaccharides derived from Fish Scales. Res. J. Pharm. Tech. 2022, 15, 3081–3085. [Google Scholar] [CrossRef]
- Takasuka, T.E.; Bianchetti, C.M.; Tobimatsu, Y.; Bergeman, L.F.; Ralph, J.; Fox, B.G. Structure-guided analysis of catalytic specificity of the abundantly secreted chitosanase SACTE_ 5457 from Streptomyces sp. SirexAA-E. Proteins 2014, 82, 1245–1257. [Google Scholar] [CrossRef]
- Lyu, Q.; Shi, Y.; Wang, S.; Yang, Y.; Han, B.; Liu, W.; Jones, D.N.M.; Liu, W. Structural and biochemical insights into the degradation mechanism of chitosan by chitosanase OU01. BBA-Gen Subj. 2015, 1850, 1953–1961. [Google Scholar]
- Aktuganov, G.E.; Safina, V.R.; Galimzianova, N.F.; Gilvanova, E.A.; Kuzmina, L.Y.; Melentiev, A.I.; Baymiev, A.H.; Lopatin, S.A. Constitutive chitosanase from Bacillus thuringiensis B-387 and its potential for preparation of antimicrobial chitooligomers. World J. Microb. Biot. 2022, 38, 167. [Google Scholar] [CrossRef]
- Grossman, T.H.; Kawasaki, E.S.; Punreddy, S.R.; Osburne, M.S. Spontaneous cAMP-dependent derepression of gene expression in stationary phase plays a role in recombinant expression instability. Gene 1998, 209, 95–103. [Google Scholar] [PubMed]
- Wang, Y.; Li, D.; Liu, M.; Xia, C.; Fan, Q.; Li, X.; Lan, Z.; Shi, G.; Dong, W.; Li, Z.; et al. Preparation of active chitooligosaccharides with a novel chitosanase Aq CoA and their application in fungal disease protection. J. Agric. Food Chem. 2021, 69, 3351–3361. [Google Scholar] [CrossRef]
- Khayrova, A.; Lopatin, S.; Shagdarova, B.; Sinitsyna, O.; Sinitsyn, A.; Varlamov, V. Evaluation of antibacterial and antifungal properties of low molecular weight chitosan extracted from Hermetia illucens relative to crab chitosan. Molecules 2022, 27, 577. [Google Scholar] [CrossRef]
- Zhao, X.P.; Liu, J.; Sui, Z.J.; Xu, M.J.; Zhu, Z.Y. Preparation and antibacterial effect of chitooligosaccharides monomers with different polymerization degrees from crab shell chitosan by enzymatic hydrolysis. Biotechnol. Appl. Bioc. 2022, 70, 164–174. [Google Scholar] [CrossRef]
- Mengíbar, M.; Ganan, M.; Miralles, B.; Carrascosa, A.V.; Martínez-Rodriguez, A.J.; Peter, M.G.; Heras, A. Antibacterial activity of products of depolymerization of chitosans with lysozyme and chitosanase against Campylobacter jejuni. Carbohyd. Polym. 2022, 84, 844–848. [Google Scholar]
- Hao, W.; Li, K.; Li, P. Review: Advances in preparation of chitooligosaccharides with heterogeneous sequences and their bioactivity. Carbohyd. Polym. 2021, 252, 117206. [Google Scholar] [CrossRef]
- Tsai, G.J.; Wu, Z.Y.; Su, W.H. Antibacterial activity of a chitooligosaccharide mixture prepared by cellulase digestion of shrimp chitosan and its application to milk preservation. J. Food Prot. 2000, 63, 747–752. [Google Scholar] [CrossRef]
- Yu, D.; Feng, J.; You, H.; Zhou, S.; Bai, Y.; He, J.; Cao, H.; Che, Q.; Guo, J.; Su, Z. The microstructure, antibacterial and antitumor activities of chitosan oligosaccharides and derivatives. Mar. Drugs 2022, 20, 69. [Google Scholar] [CrossRef] [PubMed]
- Li, K.; Xing, R.; Liu, S.; Qin, Y.; Yu, H.; Li, P. Size and pH effects of chitooligomers on antibacterial activity against Staphylococcus aureus. Int. J. Biol. Macromol. 2014, 64, 302–305. [Google Scholar] [CrossRef] [PubMed]
- Peter, E.; João, C.F.; Eulália, P.; Manuela, E.P.; Malcata, F.X. Atomic force microscopy study of the antibacterial effects of chitosans on Escherichia coli and Staphylococcus aureus. Ultramicroscopy 2008, 108, 1128–1134. [Google Scholar] [CrossRef]
- Helander, I.M.; Nurmiaho-Lassila, E.L.; Ahvenainen, R.; Rhoades, J.; Roller, S. Chitosan disrupts the barrier properties of the outer membrane of gram-negative bacteria. Int. J. Food Microbiol. 2001, 71, 235–244. [Google Scholar] [CrossRef] [PubMed]
- Kern, N.R.; Lee, H.S.; Wu, E.L.; Park, S.; Vanommeslaeghe, K.; MacKerell, A.D.; Klauda, J.B.; Jo, S.; Im, W. Lipid-linked oligosaccharides in membranes sample conformations that facilitate binding to oligosaccharyltransferase. Biophys. J. 2014, 107, 1885–1895. [Google Scholar] [CrossRef] [PubMed]
- Hussain, A.; Ong, E.B.B.; Balaram, P.; Ismail, A.; Kien, P.K. Deletion of Salmonella enterica serovar Typhi tolC reduces bacterial adhesion and invasion toward host cells. Front. Microbiol. 2023, 14, 1301478. [Google Scholar] [CrossRef] [PubMed]








| Primer | Sequence (5′-3′) |
|---|---|
| BvChi-F | aagaaggagatatacatatgATGAAAATCAGCTTGAAGAAAAAAGCAG |
| BvChi-R | tggtggtggtggtgctcgagTTATTGAATAGTGAAATTA |
| VF | CTCGAGCACCACCACCACCACCACTGA |
| VR | CATATGTATATCTCCTTCTTAAAGTTAAACAAAATTATTTCTAGAGGG |
| Sample | Common Pathogens | Aquatic Product Pathogen | ||
|---|---|---|---|---|
| Gram-Negative | Gram-Positive | Gram-Negative | Gram-Negative | |
| E. coli | S. aureus | S. typhi 50071 | A. hydrophila | |
| 0 min | 1.23 ± 0.10mm | N.D. | 1.40 ± 0.02 mm | N.D. |
| 20 min | 2.26 ± 0.04 mm | 3.14 ± 0.06 mm | 3.49 ± 0.13 mm | 3.63 ± 0.05 mm |
| 40 min | 2.31 ± 0.12 mm | 2.56 ± 0.15 mm | 1.17 ± 0.06 mm | 1.30 ± 0.11 mm |
| 60 min | N.D. | N.D. | 1.12 ± 0.12 mm | 1.13 ± 0.07 mm |
Disclaimer/Publisher’s Note: The statements, opinions and data contained in all publications are solely those of the individual author(s) and contributor(s) and not of MDPI and/or the editor(s). MDPI and/or the editor(s) disclaim responsibility for any injury to people or property resulting from any ideas, methods, instructions or products referred to in the content. |
© 2026 by the authors. Licensee MDPI, Basel, Switzerland. This article is an open access article distributed under the terms and conditions of the Creative Commons Attribution (CC BY) license.
Share and Cite
Dai, Y.; Zhao, H.; Wei, J.; Chen, Y.; Lin, X.; Zhang, S.; Ji, C. Enzymatic Properties of Chitosanase from Bacillus velezensis YB1534 and Antibacterial Activity of Its Oligosaccharide Products. Foods 2026, 15, 575. https://doi.org/10.3390/foods15030575
Dai Y, Zhao H, Wei J, Chen Y, Lin X, Zhang S, Ji C. Enzymatic Properties of Chitosanase from Bacillus velezensis YB1534 and Antibacterial Activity of Its Oligosaccharide Products. Foods. 2026; 15(3):575. https://doi.org/10.3390/foods15030575
Chicago/Turabian StyleDai, Yiwei, Huiru Zhao, Jincui Wei, Yingxi Chen, Xinping Lin, Sufang Zhang, and Chaofan Ji. 2026. "Enzymatic Properties of Chitosanase from Bacillus velezensis YB1534 and Antibacterial Activity of Its Oligosaccharide Products" Foods 15, no. 3: 575. https://doi.org/10.3390/foods15030575
APA StyleDai, Y., Zhao, H., Wei, J., Chen, Y., Lin, X., Zhang, S., & Ji, C. (2026). Enzymatic Properties of Chitosanase from Bacillus velezensis YB1534 and Antibacterial Activity of Its Oligosaccharide Products. Foods, 15(3), 575. https://doi.org/10.3390/foods15030575

