Characterization of Guanine Deaminase from Kluyveromyces marxianus and Its Industrial Application to Reduce Guanine Content in Beer
Abstract
1. Introduction
2. Materials and Methods
2.1. General Bacterial Strains, Plasmids, Media, and Culture Conditions
2.2. Nucleic Acid Manipulations
2.3. Overexpression and Purification of Guanine Deaminase from Different Sources
2.4. Guanine Deaminase Enzyme Activity
2.5. Homology Modeling and Active Pocket Prediction
2.6. Guanine Degradation by KM-GD in Beer
3. Results
3.1. Cloning and Analysis of Guanine Deaminase Genes
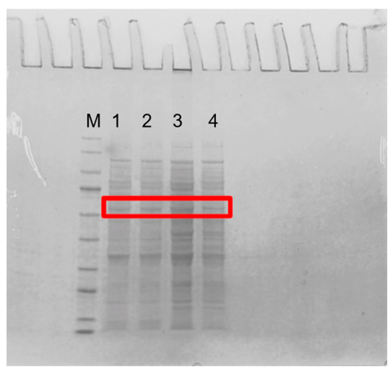
3.2. Expression of Guanine Deaminase in E. coli
3.3. Enzymatic Properties of KM-GD
3.4. Computational Analysis for the Mechanism Underlying Guanine Deaminase Catalysis
3.5. Application of KM-GD to Reduce Guanine in Beer
4. Conclusions
Author Contributions
Funding
Data Availability Statement
Conflicts of Interest
Abbreviations
| GDA | guanine deaminase |
| AHS | amidohydrolase superfamily |
| NCBI | National Center for Biotechnology Information database |
| KM-GD | guanine deaminase of Kluyveromyces marxianus |
| KL-GD | guanine deaminase of Kluyveromyces lactis |
| LK-GD | guanine deaminase of Lentilactobacillus kefiri |
| LB-GD | guanine deaminase of Lactobacillus buchneri |
References
- Raushel, F.M. Finding homes for orphan enzymes. Perspect. Ence 2016, 9, 3–7. [Google Scholar] [CrossRef][Green Version]
- Seibert, C.M.; Raushel, F.M. Structural and catalytic diversity within the amidohydrolase superfamily. Biochemistry 2005, 44, 6383. [Google Scholar] [CrossRef] [PubMed]
- Fernandez, J.R.; Byrne, B.; Firestein, B.L. Phylogenetic analysis and molecular evolution of guanine deaminases: From guanine to dendrites. J. Mol. Evol. 2009, 68, 227–235. [Google Scholar] [CrossRef] [PubMed]
- Lewis, A.S.; Glantz, M.D. Rabbit Liver Guanine Deaminase. J. Biol. Chem. 1974, 249, 3862–3866. [Google Scholar] [CrossRef]
- Mariachiara, Z.; Patricia, G.; Monica, F.; Giuseppa, M.; Maria, S.R.; Natale, B.; Silvana, B.; Marzia, C.; Condorelli, D.F.; Francesco, C. Uncovering the Signaling Pathway behind Extracellular Guanine-Induced Activation of NO System: New Perspectives in Memory-Related Disorders. Front. Pharmacol. 2018, 9, 110. [Google Scholar]
- Przemyslaw, S.; Emily, S.; Sweet, E.S.; Samantha, D.; Swanson, R.A.; Mcewan, S.A.; Nicholas, C.; Mcdonnell, M.E.; Patel, M.V.; Nevin, V. Cypin: A novel target for traumatic brain injury. Neurobiol. Dis. 2018, 119, 13–25. [Google Scholar]
- Rodríguez, A.R.; O’Neill, K.M.; Swiatkowski, P.; Patel, M.V.; Firestein, B.L. Overexpression of cypin alters dendrite morphology, single neuron activity, and network properties via distinct mechanisms. IOP Publ. 2018, 15, 016020. [Google Scholar] [CrossRef]
- Akum, B.F.; Chen, M.; Gunderson, S.I.; Riefler, G.M.; Scerri-Hansen, M.M.; Firestein, B.L. Cypin regulates dendrite patterning in hippocampal neurons by promoting microtubule assembly. Nat. Neurosci. 2004, 7, 145. [Google Scholar] [CrossRef]
- Slater, P.G.; Cammarata, G.M.; Monahan, C.; Bowers, J.T.; Yan, O.; Lee, S.; Lowery, L.A. Characterization of Xenopus laevis guanine deaminase reveals new insights for its expression and function in the embryonic kidney. Dev. Dyn. 2019, 248, 296–305. [Google Scholar] [CrossRef]
- Chung, B.Y.; Noh, T.K.; Yang, S.H.; Kim, I.H.; Lee, M.W.; Yoon, T.J.; Chang, S.E. Chang Gene Expression Profiling in Melasma in Korean Women. Dermatol. Int. J. Clin. Investig. Dermatol. 2014, 229, 333–342. [Google Scholar]
- Bucardo, M.S.; Wu, Y.; Ludford, P.T.; Li, Y.; Fin, A.; Tor, Y. Real-Time Monitoring of Human Guanine Deaminase Activity by an Emissive Guanine Analog. ACS Chem. Biol. 2021, 16, 1208–1214. [Google Scholar] [PubMed]
- Schmidt, G. Über den fermentativen Abbau der Guanylsäure in der Kaninchenleber. Biol. Chem. 1932, 208, 165–167. [Google Scholar]
- Liaw, S.H.; Chang, Y.J.; Lai, C.T.; Chang, H.C.; Chang, G.G. Crystal structure of Bacillus subtilis guanine deaminase: The first domain-swapped structure in the cytidine deaminase superfamily. J. Biol. Chem. 2004, 279, 35479–35485. [Google Scholar] [PubMed]
- Trautwein-Schult, A.; Jankowska, D.; Cordes, A.; Hoferichter, P.; Klein, C.; Matros, A.; Mock, H.P.; Baronian, K.; Bode, R.; Kunze, G. Arxula adeninivorans recombinant guanine deaminase and its application in the production of food with low purine content. J. Mol. Microbiol. Biotechnol. 2014, 24, 67–81. [Google Scholar]
- Mahor, D.; Prasad, G.S. Biochemical Characterization of Kluyveromyces lactis Adenine Deaminase and Guanine Deaminase and Their Potential Application in Lowering Purine Content in Beer. Front. Bioeng. Biotechnol. 2018, 6, 180. [Google Scholar]
- Zhou, P.; Zhu, C.; Zou, Y.; Li, B.; Zhao, Z. Uricase from Alkalihalobacillus clausii, a Candidate for Industrial Application of Reducing Uric Acid Content of Bean Products. J. Agric. Food Chem. 2025, 73, 1441–1448. [Google Scholar] [CrossRef]
- Colen, L.; Swinnen, J. Economic growth, globalisation and beer consumption. J. Agric. Econ. 2016, 67, 186–207. [Google Scholar]
- Choi, H.K.; Atkinson, K.; Karlson, E.W.; Willett, W.; Curhan, G. Alcohol intake and risk of incident gout in men: A prospective study. Lancet 2004, 363, 1277–1281. [Google Scholar]
- Choi, H.K. A prescription for lifestyle change in patients with hyperuricemia and gout. Curr. Opin. Rheumatol. 2010, 22, 165–172. [Google Scholar]
- Ragab, G.; Elshahaly, M.; Bardin, T. Gout: An old disease in new perspective–A review. J. Adv. Res. 2017, 8, 495–511. [Google Scholar]
- Wu, B.; Roseland, J.M.; Haytowitz, D.B.; Pehrsson, P.R.; Ershow, A.G. Availability and quality of published data on the purine content of foods, alcoholic beverages, and dietary supplements. J. Food Compos. Anal. 2019, 84, 103281. [Google Scholar] [CrossRef]
- Preedy, V.R. Beer in Health and Disease Prevention; Academic Press: Cambridge, MA, USA, 2011. [Google Scholar]
- Almeida, C.; Neves, M.C.; Freire, M.G. Towards the Use of Adsorption Methods for the Removal of Purines from Beer. Molecules 2021, 26, 6460. [Google Scholar] [CrossRef] [PubMed]
- Gibson, T.; Rodgers, A.; Simmonds, H.; Toseland, P. Beer drinking and its effect on uric acid. Rheumatology 1984, 23, 203–209. [Google Scholar] [CrossRef] [PubMed]
- Cortacero-Ramírez, S.; Segura-Carretero, A.; Cruces-Blanco, C.; Hernáinz-Bermúdez de Castro, M.; Fernández-Gutiérrez, A. Direct multicomponent analysis of beer samples constituents using micellar electrokinetic capillary chromatography. Electrophoresis 2004, 25, 1867–1871. [Google Scholar]
- Klampfl, C.W.; Himmelsbach, M.; Buchberger, W.; Klein, H. Determination of purines and pyrimidines in beer samples by capillary zone electrophoresis. Anal. Chim. Acta 2002, 454, 185–191. [Google Scholar]
- Zhang, R.; Gao, S.-J.; Zhu, C.-Y.; Sun, Y.; Liu, X.-L.; Zhao, M.-M.; Wang, C.-H. Characterization of a novel alkaline Arxula adeninivorans urate oxidase expressed in Escherichia coli and its application in reducing uric acid content of food. Food Chem. 2019, 293, 254–262. [Google Scholar] [CrossRef]
- Bergstrom, J.D.; Bieber, A.L. Characterization of purified guanine aminohydrolase. Arch. Biochem. Biophys. 1979, 194, 107–116. [Google Scholar]
- Syuzo, M.; Hirofumi, O.; Hiroshi, S.; Hachiro, N. Guanine deaminase from rat brain. Purification, characteristics, and contribution to ammoniagenesis in the brain. J. Biochem. 1982, 91, 167–176. [Google Scholar]
- Rossi, C.A.; Hakim, G.; Solaini, G. Purification and properties of pig brain guanine deaminase. Biochim. Biophys. Acta 1978, 526, 235–246. [Google Scholar]
- Scott, G.S.; Hooper, D.C. The role of uric acid in protection against peroxynitrite-mediated pathology. Med. Hypotheses 2001, 56, 95–100. [Google Scholar] [CrossRef]
- Dwivedi, H.; Agrawal, K.; Saraf, S.A. Screening of uricase producing micro-organisms and uricase estimation: A simple and novel approach. Int. J. Pharm. Pharm. Sci. 2012, 4, 422–424. [Google Scholar]
- Negishi, O.; Ozawa, T.; Imagawa, H. Guanosine Deaminase and Guanine Deaminase from Tea Leaves. Biosci. Biotechnol. Biochem. 2014, 58, 1277–1281. [Google Scholar]
- Maynes, J.T.; Yuan, R.G.; Snyder, F.F. Identification, Expression, and Characterization of Escherichia coli Guanine Deaminase. J. Bacteriol. 2000, 182, 4658–4660. [Google Scholar] [PubMed]
- Sofaer, J.A.; Emery, A.E. Genes for super-intelligence? J. Med. Genet. 1982, 19, 410–413. [Google Scholar]
- Shek, R.; Hilaire, T.; Sim, J.; French, J.B. Structural Determinants for Substrate Selectivity in Guanine Deaminase Enzymes of the Amidohydrolase Superfamily. Biochemistry 2019, 58, 3280–3292. [Google Scholar]
- Sen, A.; Gaded, V.; Jayapal, P.; Rajaraman, G.; Anand, R. Insights into the Dual Shuttle Catalytic Mechanism of Guanine Deaminase. J. Phys. Chem. B 2021, 125, 8814–8826. [Google Scholar]
- Liu, J.; Sun, X.; Xin, X. Research Progress of Methods of Purine Reduction and Low Purine Products in Food. Food Res. Dev. 2020, 41, 179–184. [Google Scholar]
- Shibata, J.; Murayama, N.; Tateyama, M. Adsorption of Purine Compounds in Beer with Activated Carbon Prepared from Beer Lees. Resour. Process. 2009, 56, 120–126. [Google Scholar]








| Gene | Species | Serial Number | Enzyme Site | Sequence Length (bp) |
|---|---|---|---|---|
| kl-gud | Kluyveromyces lactis | Gene ID: 2893421 | EcoRI/NdeI | 1491 |
| km-gud1 | Kluyveromyces marxianus | Gene ID: 34717204 | HindIII/KpnI | 1503 |
| Lk-guaD | Lentilactobacillus kefiri | Gene ID: 71567331 | EcoRI/KpnI | 1341 |
| Lb-guaD | Lactobacillus buchneri | Gene ID: 72460628 | EcoRI/KpnI | 1317 |
Disclaimer/Publisher’s Note: The statements, opinions and data contained in all publications are solely those of the individual author(s) and contributor(s) and not of MDPI and/or the editor(s). MDPI and/or the editor(s) disclaim responsibility for any injury to people or property resulting from any ideas, methods, instructions or products referred to in the content. |
© 2025 by the authors. Licensee MDPI, Basel, Switzerland. This article is an open access article distributed under the terms and conditions of the Creative Commons Attribution (CC BY) license (https://creativecommons.org/licenses/by/4.0/).
Share and Cite
Zhou, P.; Xu, J.; Wang, Z.; Li, B.; Zhao, Z. Characterization of Guanine Deaminase from Kluyveromyces marxianus and Its Industrial Application to Reduce Guanine Content in Beer. Foods 2025, 14, 1085. https://doi.org/10.3390/foods14071085
Zhou P, Xu J, Wang Z, Li B, Zhao Z. Characterization of Guanine Deaminase from Kluyveromyces marxianus and Its Industrial Application to Reduce Guanine Content in Beer. Foods. 2025; 14(7):1085. https://doi.org/10.3390/foods14071085
Chicago/Turabian StyleZhou, Peng, Junhao Xu, Zixuan Wang, Baoguo Li, and Zhijun Zhao. 2025. "Characterization of Guanine Deaminase from Kluyveromyces marxianus and Its Industrial Application to Reduce Guanine Content in Beer" Foods 14, no. 7: 1085. https://doi.org/10.3390/foods14071085
APA StyleZhou, P., Xu, J., Wang, Z., Li, B., & Zhao, Z. (2025). Characterization of Guanine Deaminase from Kluyveromyces marxianus and Its Industrial Application to Reduce Guanine Content in Beer. Foods, 14(7), 1085. https://doi.org/10.3390/foods14071085

