The Optimization of Demulsification Using Composite Fatty Acids in Aqueous Enzymatic Extraction and the Changes of the Emulsion Stability During Demulsification
Abstract
1. Introduction
2. Materials and Methods
2.1. Sample
2.2. Preparation of Peanut Oil Emulsion
2.3. Determination of the Oil Content in the Peanut Oil Mixture
2.4. Selection of the Composite Ratio of Composite Fatty Acids
2.5. Optimization of Demulsification Conditions with Composite Fatty Acids
2.5.1. The Effects of Different Conditions on Demulsification by Composite Fatty Acids
2.5.2. Orthogonal Optimization Tests
2.6. The Particle Size, Zeta Potential, and Conductivity
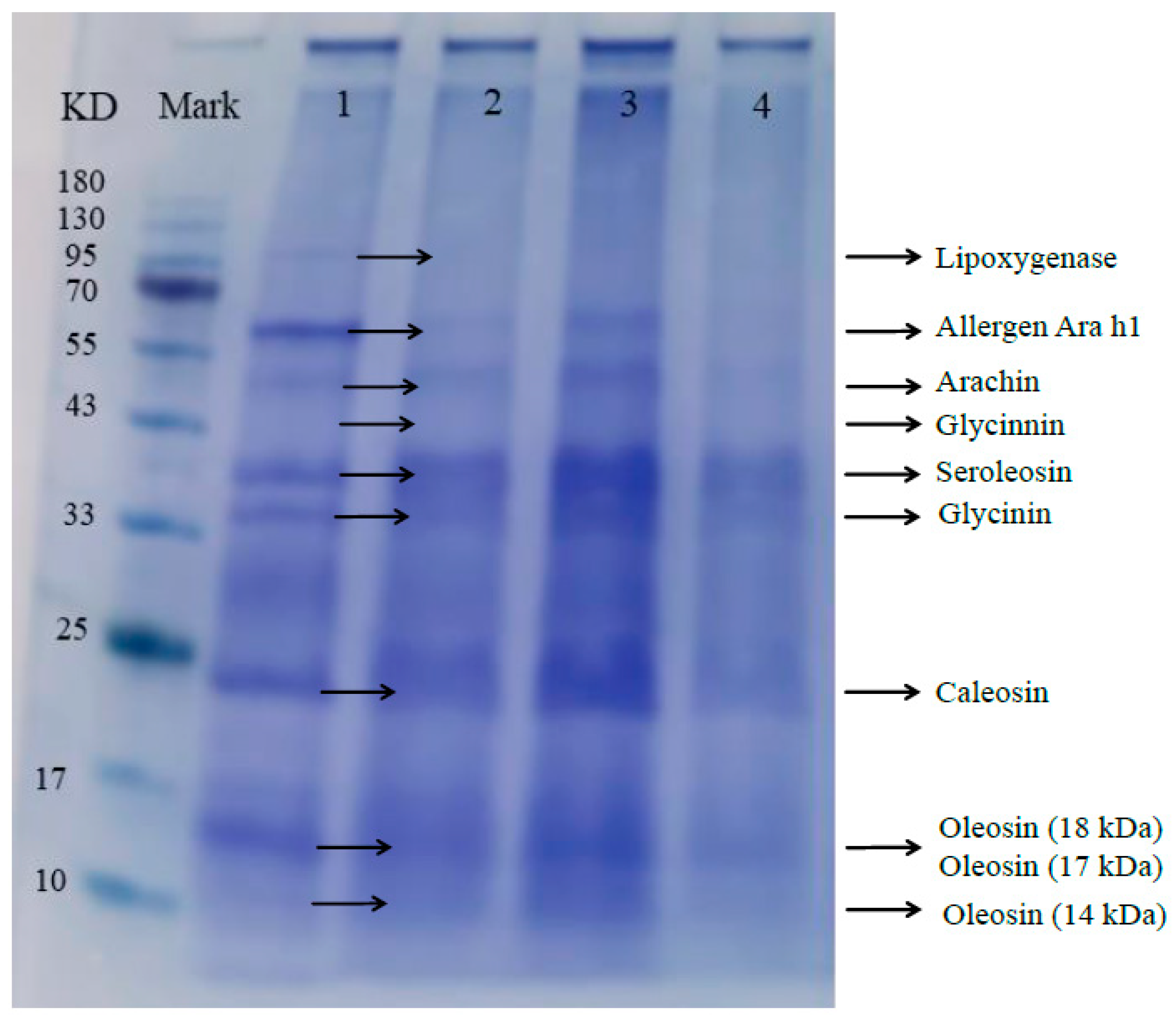
2.7. The Sodium Dodecyl Sulfate-Polyacrylamide Gel Electrophoresis (SDS-PAGE)
2.8. Fluorescence Spectroscopy
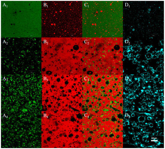
2.9. Observation of the Oil Body Emulsion Microstructure by CLSM
2.10. Statistical Analysis
3. Results and Discussion
3.1. Determination of the Optimal Composite Ratio of Composite Fatty Acids
3.2. Optimization of Complex Demulsification of Heptanoic Acid and Octanoic Acid
3.2.1. Effects of Fatty Acid Addition on the Demulsification of Peanut Emulsions
3.2.2. Effect of the Reaction Time on the Demulsification of Peanut Emulsions
3.2.3. Effect of Reaction Temperature on the Demulsification of Peanut Emulsions
3.2.4. Effect of the Solid–Liquid Ratio on the Demulsification of Peanut Emulsions
3.2.5. Results of Orthogonal Optimization of Demulsification by Composite Fatty Acids
3.3. Effects of the Demulsification of Composite Fatty Acids on the Physicochemical Properties of Emulsions
3.3.1. Effects of Composite Fatty Acid Demulsification on Emulsion Particle Size
3.3.2. Effects of Composite Fatty Acids on Emulsion Potentials During Demulsification
3.3.3. Changes of the Emulsion Conductivity During Demulsification by Composite Fatty Acids
3.4. Effects of the Demulsification by Composite Fatty Acids on Proteins in Emulsions
3.4.1. Effects of the Demulsification by Composite Fatty Acids on the Protein Composition of Emulsions
3.4.2. Changes in the Tertiary Structure of Emulsion Proteins During Demulsification Using Composite Fatty Acids
3.5. Effects of the Demulsification of Composite Fatty Acids on the Microstructure of Emulsions
3.6. Proposed Demulsification Mechanism of Composite Fatty Acids
4. Conclusions
Author Contributions
Funding
Institutional Review Board Statement
Informed Consent Statement
Data Availability Statement
Conflicts of Interest
References
- Lamsal, B.; Murphy, P.; Johnson, L. Flaking and extrusion as mechanical treatments for enzyme-assisted aqueous extraction of oil from soybeans. J. Am. Oil Chem. Soc. 2006, 83, 973–979. [Google Scholar] [CrossRef]
- Ji, H.; Tang, X.; Li, L.; Peng, S.; Gao, C.; Chen, Y. Improved physicochemical properties of peanut protein isolate glycated by atmospheric pressure cold plasma (ACP) treatment. Food Hydrocoll. 2020, 109, 106124. [Google Scholar] [CrossRef]
- Zhao, Y.; Chen, F.; Liu, C. Peanut oil and protein extraction using an aqueous enzymatic method and analysis of the characteristics of the emulsions produced. Cereal Chem. 2023, 100, 762–774. [Google Scholar] [CrossRef]
- Gao, Y.; Zheng, Y.; Yao, F.; Chen, F. A Novel Strategy for the demulsification of Peanut Oil body by Caproic Acid. Foods 2023, 12, 3029. [Google Scholar] [CrossRef]
- Punia, S.; Kumar, M.; Siroha, A.K.; Purewal, S.S. Rice bran oil: Emerging trends in extraction, health benefit, and its industrial application. Rice Sci. 2021, 28, 217–232. [Google Scholar] [CrossRef]
- Liu, Q.; Li, P.; Chen, J.; Li, C.; Jiang, L.; Luo, M.; Sun, A. Optimization of aqueous enzymatic extraction of castor (Ricinus communis) seeds oil using response surface methodology. J. Biobased Mater. Bioenergy 2019, 13, 114–122. [Google Scholar] [CrossRef]
- Xu, D.; Hao, J.; Wang, Z.; Liang, D.; Wang, J.; Ma, Y.; Zhang, M. Physicochemical properties, fatty acid compositions, bioactive compounds, antioxidant activity and thermal behavior of rice bran oil obtained with aqueous enzymatic extraction. LWT 2021, 149, 111817. [Google Scholar] [CrossRef]
- Sorita, G.D.; Favaro, S.P.; de Sousa Rodrigues, D.; da Silva Junior, W.P.; de Oliveira Leal, W.G.; Ambrosi, A.; Di Luccio, M. Aqueous enzymatic extraction of macauba (Acrocomia aculeata) pulp oil: A green and sustainable approach for high-quality oil production. Food Res. Int. 2024, 182, 114160. [Google Scholar] [CrossRef] [PubMed]
- Zhang, F.; Zhu, F.; Chen, B.; Su, E.; Chen, Y.; Cao, F. Composition, bioactive substances, extraction technologies and the influences on characteristics of Camellia oleifera oil: A review. Food Res. Int. 2022, 156, 111159. [Google Scholar] [CrossRef]
- Nguyen, H.C.; Vuong, D.P.; Nguyen, N.T.T.; Nguyen, N.P.; Su, C.H.; Wang, F.M.; Juan, H.Y. Aqueous enzymatic extraction of polyunsaturated fatty acid–rich sacha inchi (Plukenetia volubilis L.) seed oil: An eco-friendly approach. Lwt 2020, 133, 109992. [Google Scholar] [CrossRef]
- Romanova, Y.N.; Maryutina, T.А.; Musina, N.S.; Spivakov, B.Y. Application of ultrasonic treatment for demulsification of stable water-in-oil emulsions. J. Pet. Sci. Eng. 2022, 209, 109977. [Google Scholar] [CrossRef]
- Díaz Velázquez, H.; Guzmán-Lucero, D.; Martínez-Palou, R. Microwave-assisted demulsification for oilfield applications: A critical review. J. Dispers. Sci. Technol. 2023, 44, 1884–1899. [Google Scholar] [CrossRef]
- Shah Buddin, M.M.H.; Ahmad, A.L.; Abd Khalil, A.T.; Puasa, S.W. A review of demulsification technique and mechanism for emulsion liquid membrane applications. J. Dispers. Sci. Technol. 2022, 43, 910–927. [Google Scholar] [CrossRef]
- Hadi, A.A.; Ali, A.A. A review of petroleum emulsification types, formation factors, and demulsification methods. Mater. Today Proc. 2022, 53, 273–279. [Google Scholar] [CrossRef]
- Alao, K.T.; Alara, O.R.; Abdurahman, N.H. Trending approaches on demulsification of crude oil in the petroleum industry. Appl. Petrochem. Res. 2021, 11, 281–293. [Google Scholar] [CrossRef]
- Adeyemi, I.; Meribout, M.; Khezzar, L. Recent developments, challenges, and prospects of ultrasound-assisted oil technologies. Ultrason. Sonochemistry 2022, 82, 105902. [Google Scholar] [CrossRef]
- Zhang, Z.; Feng, X.; Zeng, G.; Liu, H.; Shen, L.; Yang, Y.; Yuan, H.; Yan, X.; Mi, Y. Hyperbranched poly (amido amine) demulsifiers using diaminonaphthalene as the central core and their demulsification performance in oil-in-water and water-in-oil emulsions. Energy Fuels 2021, 35, 3095–3103. [Google Scholar] [CrossRef]
- Airiagbonaye, F.; Achugasim, O.; Akaranta, O. Assessment of health, safety and environment impact of flavonoid-derived demulsifiers. In Proceedings of the SPE Nigeria Annual International Conference and Exhibition, Virtual, 11–13 August 2020; p. D013S001R005. [Google Scholar]
- Yao, L.; Selmi, A.; Esmaeili, H. A review study on new aspects of biodemulsifiers: Production, features and their application in wastewater treatment. Chemosphere 2021, 284, 131364. [Google Scholar] [CrossRef] [PubMed]
- Akbari, N.; Biria, D. Investigation of the activity of Acinetobacter calcoaceticus biodemulsifier to break stable water in oil emulsions. J. Environ. Chem. Eng. 2018, 6, 4144–4150. [Google Scholar] [CrossRef]
- Okoro, E.E.; Nnaji, C.G.; Sanni, S.E.; Ahuekwe, E.F.; Igwilo, K.C. Evaluation of a naturally derived waste brown oil extract for demulsification of crude oil emulsion. Energy Explor. Exploit. 2020, 38, 905–922. [Google Scholar] [CrossRef]
- Tang, L.; Wang, T.; Xu, Y.; He, X.; Yan, A.; Zhang, Z.; Li, Y.; Chen, G. Research and Application Progress of Crude Oil Demulsification Technology. Processes 2024, 12, 2292. [Google Scholar] [CrossRef]
- Yusoff, M.M.; Gordon, M.H.; Niranjan, K. Aqueous enzyme assisted oil extraction from oilseeds and emulsion de-emulsifying methods: A review. Trends Food Sci. Technol. 2015, 41, 60–82. [Google Scholar] [CrossRef]
- Zhao, Y.; Chen, F.; Wang, Y. Demulsification of peanut emulsion by aqueous enzymatic extraction using a combination of oleic and citric acids. LWT 2023, 180, 114658. [Google Scholar] [CrossRef]
- Li, T.; Yang, C.; Liu, K.; Zhu, T.; Duan, X.; Xu, Y. Demulsification of Emulsion Using Heptanoic Acid during Aqueous Enzymatic Extraction and the Characterization of Peanut Oil and Proteins Extracted. Foods 2023, 12, 3523. [Google Scholar] [CrossRef] [PubMed]
- Liu, C.; Chen, F.; Xia, Y.; Liu, B. Physicochemical and rheological properties of peanut oil body following alkaline pH treatment. LWT 2022, 154, 112590. [Google Scholar] [CrossRef]
- Li, P.; Gasmalla, M.A.A.; Liu, J.; Zhang, W.; Yang, R.; Aboagarib, E.A.A. Characterization and demusification of cream emulsion from aqueous extraction of peanut. J. Food Eng. 2016, 185, 62–71. [Google Scholar] [CrossRef]
- Li, Z.; Kuang, H.; Yang, J.; Hu, J.; Ding, B.; Sun, W.; Luo, Y. Improving emulsion stability based on ovalbumin-carboxymethyl cellulose complexes with thermal treatment near ovalbumin isoelectric point. Sci. Rep. 2020, 10, 3456. [Google Scholar] [CrossRef] [PubMed]
- Yusoff, M.M.; Gordon, M.H.; Ezeh, O.; Niranjan, K. Aqueous enzymatic extraction of Moringa oleifera oil. Food Chem. 2016, 211, 400–408. [Google Scholar] [CrossRef] [PubMed]
- Niu, H.; Wang, W.; Dou, Z.; Chen, X.; Chen, X.; Chen, H.; Fu, X. Multiscale combined techniques for evaluating emulsion stability: A critical review. Adv. Colloid Interface Sci. 2023, 311, 102813. [Google Scholar] [CrossRef] [PubMed]
- Welsh, T.J.; Krainer, G.; Espinosa, J.R.; Joseph, J.A.; Sridhar, A.; Jahnel, M.; Arter, W.E.; Saar, K.L.; Alberti, S.; Collepardo-Guevara, R. Surface electrostatics govern the emulsion stability of biomolecular condensates. Nano Lett. 2022, 22, 612–621. [Google Scholar] [CrossRef] [PubMed]
- Hwangbo, S.-A.; Lee, S.-Y.; Kim, B.-A.; Moon, C.-K. Preparation of surfactant-free nano oil particles in water using ultrasonic system and the mechanism of emulsion stability. Nanomaterials 2022, 12, 1547. [Google Scholar] [CrossRef]
- Gao, Y.; Zheng, Y.; Yao, F.; Chen, F. Effects of pH and temperature on the stability of peanut oil bodies: New insights for embedding active ingredients. Colloids Surf. A Physicochem. Eng. Asp. 2022, 654, 130110. [Google Scholar] [CrossRef]
- Zheng, J.; Sun, D.; Li, X.; Liu, D.; Li, C.; Zheng, Y.; Yue, X.; Shao, J. The effect of fatty acid chain length and saturation on the emulsification properties of pork myofibrillar proteins. LWT 2021, 139, 110242. [Google Scholar] [CrossRef]
- Ang, S.Y.; Nasaruddin, N.F.N.; Halim, H.N.A.; Rozi, S.K.M.; Mokhtar, Z.; Tan, L.S.; Jusoh, N.W.C. Potential of fatty acid-modified spent tea leaves as adsorbent for oil adsorption. Prog. Energy Environ. 2021, 17, 32–41. [Google Scholar] [CrossRef]
- Zhang, W.; Zhang, Y.; He, Y.; Xu, X.; Zhao, X. Oil density and viscosity affect emulsion stability and destabilization mechanism. J. Food Eng. 2024, 366, 111864. [Google Scholar] [CrossRef]
- Wang, X.-m.; Li, Q.J.P.i.O.C. A new method for preparing low viscosity and high solid content waterborne polyurethane—Phase inversion research. Prog. Org. Coat. 2019, 131, 285–290. [Google Scholar] [CrossRef]
- Liu, Z.; Liu, W.; Lang, C.; Li, Y. Effect of surfactant HLB value on Methane hydrate formation in non-ionic surfactant-oil water emulsions systems. Energy Procedia 2019, 158, 5275–5280. [Google Scholar] [CrossRef]
- Ravera, F.; Dziza, K.; Santini, E.; Cristofolini, L.; Liggieri, L. Emulsification and emulsion stability: The role of the interfacial properties. Adv. Colloid Interface Sci. 2021, 288, 102344. [Google Scholar] [CrossRef]
- Dias, F.F.G.; de Almeida, N.M.; de Souza, T.S.P.; Taha, A.Y.; de Moura Bell, J.M.L.N. Characterization and demulsification of the oil-rich emulsion from the aqueous extraction process of almond flour. Processes 2020, 8, 1228. [Google Scholar] [CrossRef]
- Kim, S.; Ahn, C. Determination of penetration and protection of fatty acids in bleached hair according to the fatty acid chain length and the application to understanding the protective effects of MCT oil and coconut oil. Fash. Text. 2023, 10, 10. [Google Scholar] [CrossRef]
- dos Santos Rodrigues, F.H.; Delgado, G.G.; da Costa, T.S.; Tasic, L. Applications of fluorescence spectroscopy in protein conformational changes and intermolecular contacts. BBA Adv. 2023, 3, 100091. [Google Scholar] [CrossRef] [PubMed]
- Brahma, R.; Das, A.; Raghuraman, H. Site-directed fluorescence approaches to monitor the structural dynamics of proteins using intrinsic Trp and labeled with extrinsic fluorophores. STAR Protoc. 2022, 3, 101200. [Google Scholar] [CrossRef] [PubMed]
- Li, T.; Kong, X.; Shao, Z.; Zhang, Y.; Yang, C.; Liu, K.; Xin, Y.; Chen, F.; Dong, Y. Characteristic and stability changes of peanut oil body emulsion during the process of demulsification using heptanoic acid. Food Chem. 2024, 460, 140301. [Google Scholar] [CrossRef]
- Decker, E.A.; Villeneuve, P. Impact of processing on the oxidative stability of oil bodies. Crit. Rev. Food Sci. Nutr. 2024, 64, 6001–6015. [Google Scholar] [CrossRef] [PubMed]









| Factor Levels | Independent Variables | |||
|---|---|---|---|---|
| Fatty Acid Addition (A)/% | Demulsification Time (B)/Min | Demulsification Temperature (C)/°C | Solid–Liquid Ratio (D)/(g/mL) | |
| 1 | 0.75 | 30 | 50 | 1:3 | 
| 2 | 1.00 | 40 | 60 | 1:4 | 
| 3 | 1.25 | 50 | 70 | 1:5 | 
| No. | A | B | C | D | Y/% | 
|---|---|---|---|---|---|
| 1 | 1 | 1 | 1 | 1 | 82.37 ± 0.08 | 
| 2 | 1 | 2 | 2 | 2 | 92.93 ± 0.71 | 
| 3 | 1 | 3 | 3 | 3 | 88.83 ± 0.57 | 
| 4 | 2 | 1 | 2 | 3 | 96.78 ± 0.25 | 
| 5 | 2 | 2 | 3 | 1 | 96.03 ± 0.03 | 
| 6 | 2 | 3 | 1 | 2 | 92.30 ± 0.19 | 
| 7 | 3 | 1 | 3 | 2 | 91.67 ± 1.39 | 
| 8 | 3 | 2 | 1 | 3 | 91.77 ± 0.83 | 
| 9 | 3 | 3 | 2 | 1 | 94.73 ± 0.40 | 
| k1 | 88.04 | 90.27 | 88.81 | 91.04 | |
| k2 | 95.04 | 93.58 | 92.18 | 92.30 | |
| k3 | 92.72 | 91.95 | 94.81 | 92.46 | |
| R | 4.68 | 1.68 | 3.36 | 1.26 | |
| A > C > B > D | |||||
| Source of Variance | Sum of Squared Deviations | Degrees of Freedom | Mean Square | F-Value | Significance | 
|---|---|---|---|---|---|
| A | 76.1685 | 2 | 38.0845 | 92.059 | ** | 
| B | 16.3695 | 2 | 8.1845 | 19.784 | ** | 
| C | 54.2065 | 2 | 27.1030 | 65.515 | ** | 
| D | 3.603 | 2 | 1.8015 | 4.3545 | ** | 
| Disclaimer/Publisher’s Note: The statements, opinions and data contained in all publications are solely those of the individual author(s) and contributor(s) and not of MDPI and/or the editor(s). MDPI and/or the editor(s) disclaim responsibility for any injury to people or property resulting from any ideas, methods, instructions or products referred to in the content. | 
© 2025 by the authors. Licensee MDPI, Basel, Switzerland. This article is an open access article distributed under the terms and conditions of the Creative Commons Attribution (CC BY) license (https://creativecommons.org/licenses/by/4.0/).
Share and Cite
Shao, Z.; Kong, X.; Yang, H.; Zhang, Y.; Yang, C.; Chen, F.; Wang, Z.; Chen, J.; Zhu, T.; Xin, Y.; et al. The Optimization of Demulsification Using Composite Fatty Acids in Aqueous Enzymatic Extraction and the Changes of the Emulsion Stability During Demulsification. Foods 2025, 14, 749. https://doi.org/10.3390/foods14050749
Shao Z, Kong X, Yang H, Zhang Y, Yang C, Chen F, Wang Z, Chen J, Zhu T, Xin Y, et al. The Optimization of Demulsification Using Composite Fatty Acids in Aqueous Enzymatic Extraction and the Changes of the Emulsion Stability During Demulsification. Foods. 2025; 14(5):749. https://doi.org/10.3390/foods14050749
Chicago/Turabian StyleShao, Zhihua, Xiangrui Kong, Hanxiang Yang, Yiyang Zhang, Chenxian Yang, Fusheng Chen, Zikun Wang, Jiaxun Chen, Tingwei Zhu, Ying Xin, and et al. 2025. "The Optimization of Demulsification Using Composite Fatty Acids in Aqueous Enzymatic Extraction and the Changes of the Emulsion Stability During Demulsification" Foods 14, no. 5: 749. https://doi.org/10.3390/foods14050749
APA StyleShao, Z., Kong, X., Yang, H., Zhang, Y., Yang, C., Chen, F., Wang, Z., Chen, J., Zhu, T., Xin, Y., & Chen, Y. (2025). The Optimization of Demulsification Using Composite Fatty Acids in Aqueous Enzymatic Extraction and the Changes of the Emulsion Stability During Demulsification. Foods, 14(5), 749. https://doi.org/10.3390/foods14050749
 
        

 
       