Isolation and Characterisation of Acid Soluble Collagens and Pepsin Soluble Collagens from Eel (Anguilla japonica Temminck et Schlegel) Skin and Bone
Abstract
1. Introduction
2. Materials and Methods
2.1. Materials and Reagents
2.2. Proximate Composition Analysis
2.3. Preparation of Eel Skin and Bone
2.4. Isolation of Collagen from Eel Skin and Bone
2.4.1. Skin Collagen
2.4.2. Bone Collagen
2.5. Measurement of Hydroxyproline Content
2.6. Collagen Purity and Extractable Yield
2.7. Amino Acid Composition Analysis
2.8. SDS-PAGE
2.9. Fourier Transform Infrared (FTIR) Spectroscopy
2.10. Scanning Electron Microscopy (SEM)
2.11. Differential Scanning Calorimetry (DSC)
2.12. Ultraviolet (UV) Absorption Spectroscopy
2.13. Statistical Analysis
3. Results
3.1. Approximate Component Analysis
3.2. Yield Analysis of ASCs and PSCs from Eel Skin and Bone
3.3. Amino Acid Composition of Eel Collagen
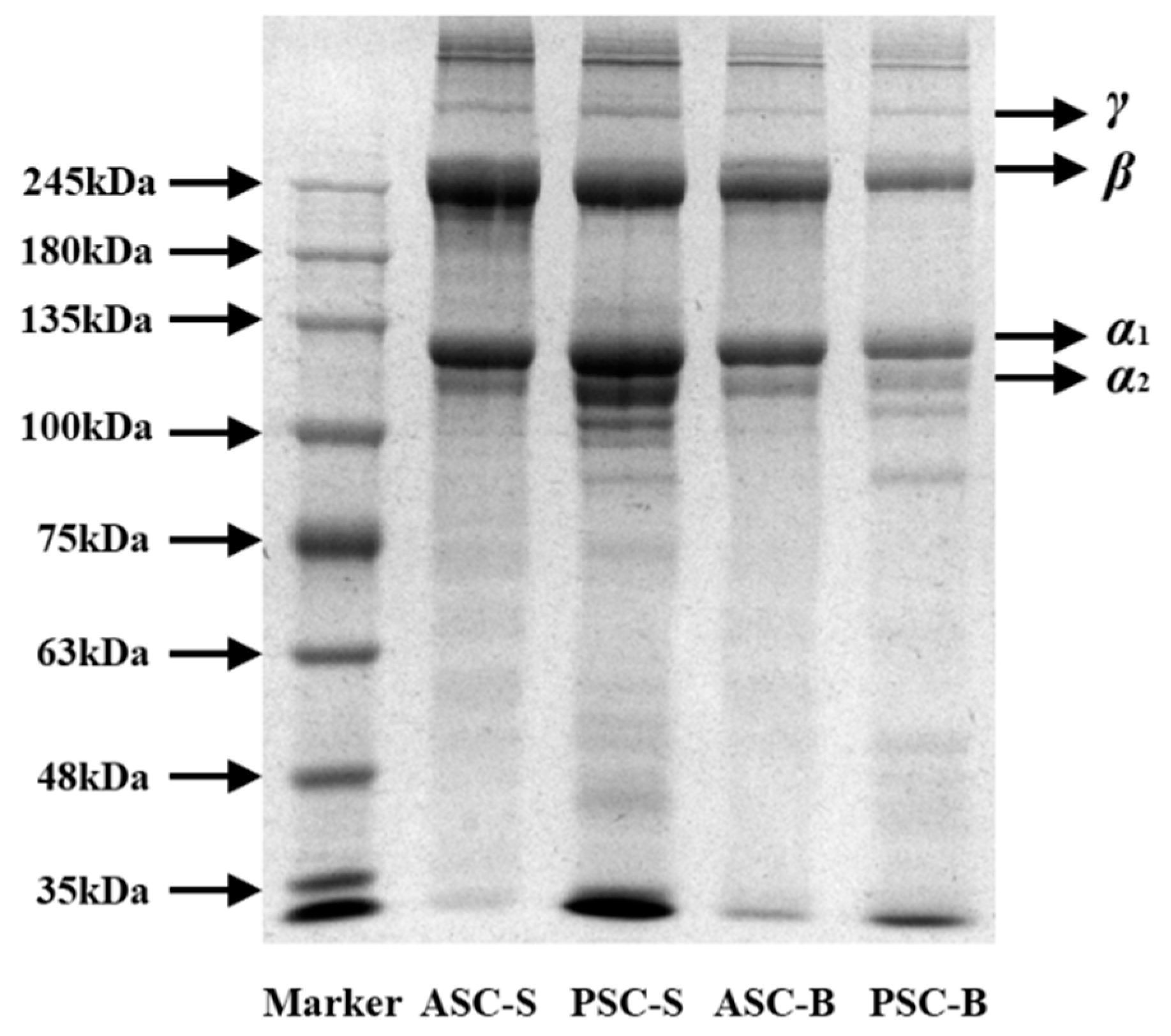
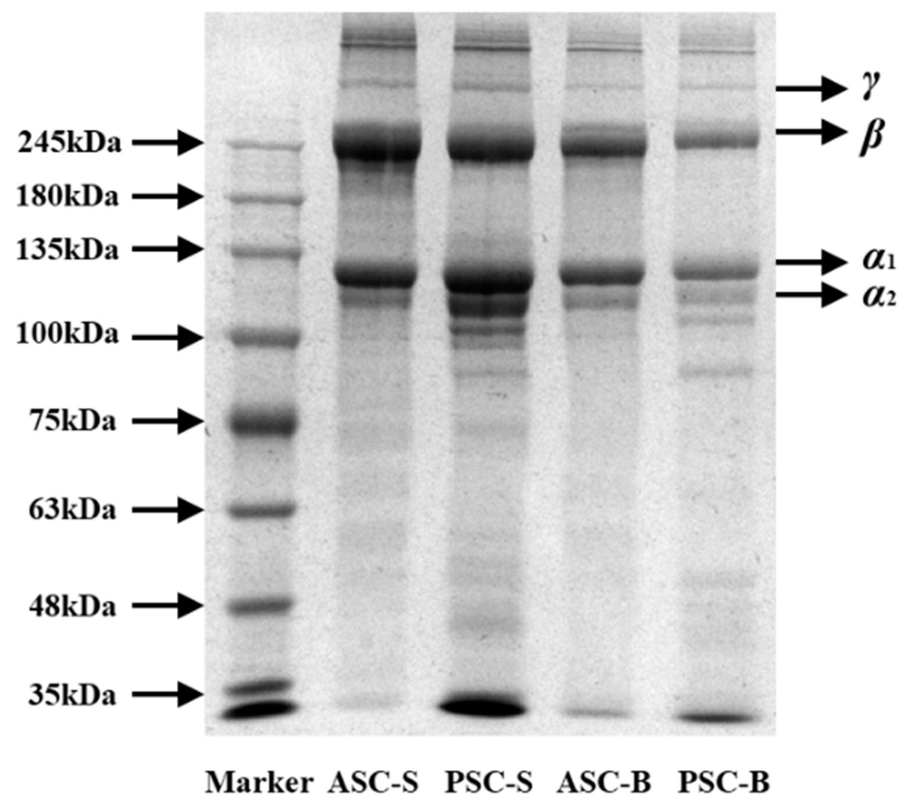
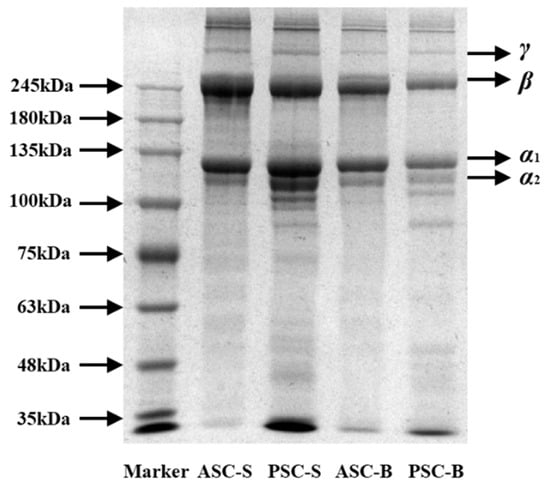
3.4. SDS-PAGE Analysis
3.5. FTIR Analysis of Collagens Extracted from Eel Skin and Bone
3.6. Morphological Analysis Using SEM
3.7. Thermal Stability Analysis
3.8. UV Absorption Analysis
4. Discussion
Author Contributions
Funding
Institutional Review Board Statement
Informed Consent Statement
Data Availability Statement
Conflicts of Interest
References
- Zhang, S.Y.; Zhao, Y.Q.; Wang, Y.M.; Yang, X.R.; Chi, C.F.; Wang, B. Gelatins and antioxidant peptides from skipjack tuna (Katsuwonus pelamis) skins: Purification, characterization, and cytoprotection on ultraviolet-A injured human skin fibroblasts. Food Biosci. 2022, 50, 102138. [Google Scholar] [CrossRef]
- Lu, W.C.; Chiu, C.S.; Chan, Y.J.; Mulio, A.T.; Li, P.H. Characterization and biological properties of marine by-product collagen through ultrasound-assisted extraction. Aquac. Rep. 2023, 29, 101514. [Google Scholar] [CrossRef]
- Rosmawati; Tawali, A.B.; Said, M.I.; Zzaman, W.; Kobun, R.; Huda, N. Characteristics of gelatin from skin and bone of snakehead (Channa striata) extracted with different temperature and time. Potravin. Slovak J. Food Sci. 2021, 15, 648–661. [Google Scholar] [CrossRef] [PubMed]
- Jongjareonrak, A.; Benjakul, S.; Visessanguan, W.; Nagai, T.; Tanaka, M. Isolation and characterization of acid and pepsin-solubilized collagens from the skin of bigeye snapper (Priacanthus tayenus). Food Chem. 2005, 93, 475–483. [Google Scholar] [CrossRef]
- Jafari, H.; Lista, A.; Siekapen, M.M.; Ghaffari-Bohlouli, P.; Nie, L.; Alimoradi, H.; Shavandi, A. Fish collagen: Extraction, characterization, and applications for biomaterials engineering. Polym. 2020, 12, 2230. [Google Scholar] [CrossRef]
- Halim, N.R.A.; Yusof, H.M.; Sarbon, N.M. Functional and bioactive properties of fish protein hydrolysates and peptides: A comprehensive review. Trends Food Sci. Technol. 2016, 51, 24–33. [Google Scholar] [CrossRef]
- Asharaf, F.; Rajan, R. Bioconversion of eel skin waste into valuable collagen: Isolation, spectral characterization, and biocompatibility assessment. Waste Biomass Valorization 2024, 15, 4773–4783. [Google Scholar] [CrossRef]
- Horwitz, W. Official Methods of AOAC International, 17th ed.; Association of Official Analytical Chemists (AOAC) International: Gaithersburg, MD, USA, 2000. [Google Scholar]
- Senaratne, L.S.; Park, P.J.; Kim, S.K. Isolation and characterization of collagen from brown-backed toadfish (Lagocephalus gloveri) skin. Bioresour. Technol. 2006, 97, 191–197. [Google Scholar] [CrossRef]
- Nagai, T.; Suzuki, N. Isolation of collagen from fish waste material—Skin, bone and fins. Food Chem. 2000, 68, 277–281. [Google Scholar] [CrossRef]
- DeNiro, M.J.; Epstein, S. Influence of diet on the distribution of nitrogen isotopes in animals. Geochim. Cosmochim. Acta 1981, 45, 341–351. [Google Scholar] [CrossRef]
- ISO 3496; Meat and Meat Products: Determination of L(-)hydroxyproline Content (Reference Method). International Organization for Standardization: Geneva, Switzerland, 1978.
- Gong, W.Y.; Bian, H.; Wu, H.H.; Wang, D.Y.; Geng, Z.M.; Liu, F.; Zhang, M.H.; Xu, W.M.; Zhu, Y.Z. Determination of collagen content in different tissues of crucian carp by high-performance liquid chromatography. Food Sci. 2015, 36, 65–69. [Google Scholar] [CrossRef]
- Noorzai, S.; Verbeek, C.J.R.; Lay, M.C.; Swan, J. Collagen Extraction from Various Waste Bovine Hide Sources. Waste Biomass Valorization 2020, 11, 5687–5698. [Google Scholar] [CrossRef]
- Ahmed, R.; Haq, M.; Chun, B.S. Characterization of Marine-Derived Collagen Extracted from the By-Products of Bigeye Tuna (Thunnus obesus). Int. J. Biol. Macromol. 2019, 135, 668–676. [Google Scholar] [CrossRef]
- Zhao, W.H.; Chi, C.F.; Zhao, Y.Q.; Wang, B. Preparation, physicochemical and antioxidant properties of acid-and pepsin-soluble collagens from the swim bladders of miiuy croaker (Miichthys miiuy). Mar. Drugs 2018, 16, 161. [Google Scholar] [CrossRef] [PubMed]
- Huang, C.Y.; Kuo, J.M.; Wu, S.J.; Tsai, H.T. Isolation and characterization of fish scale collagen from tilapia (Oreochromis sp.) by a novel extrusion–hydro-extraction process. Food Chem. 2016, 190, 997–1006. [Google Scholar] [CrossRef] [PubMed]
- Yang, Y.; Li, C.; Song, W.; Wang, W.; Qian, G. Purification, optimization and physicochemical properties of collagen from soft-shelled turtle calipash. Int. J. Biol. Macromol. 2016, 89, 344–352. [Google Scholar] [CrossRef]
- Safandowska, M.; Pietrucha, K. Effect of Fish Collagen Modification on Its Thermal and Rheological Properties. Int. J. Biol. Macromol. 2013, 53, 32–37. [Google Scholar] [CrossRef] [PubMed]
- Yoon, S. Biomedical and Pharmacological Applications of Marine Collagen; MDPI-Multidisciplinary Digital Publishing Institute: Basel, Switzerland, 2023; p. 184. [Google Scholar]
- Wang, L.; An, X.; Yang, F.; Xin, Z.; Zhao, L.; Hu, Q. Isolation and characterisation of collagens from the skin, scale and bone of deep-sea redfish (Sebastes mentella). Food Chem. 2008, 108, 616–623. [Google Scholar] [CrossRef] [PubMed]
- Kittiphattanabawon, P.; Benjakul, S.; Visessanguan, W.; Nagai, T.; Tanaka, M. Characterisation of acid-soluble collagen from skin and bone of bigeye snapper (Priacanthus tayenus). Food Chem. 2005, 89, 363–372. [Google Scholar] [CrossRef]
- Wang, J.; Pei, X.; Liu, H.; Zhou, D. Extraction and characterization of acid-soluble and pepsin-soluble collagen from skin of loach (Misgurnus anguillicaudatus). Int. J. Biol. Macromol. 2018, 106, 544–550. [Google Scholar] [CrossRef] [PubMed]
- Faralizadeh, S.; Rahimabadi, E.Z.; Bahrami, S.H.; Hasannia, S. Extraction, characterization and biocompatibility evaluation of silver carp (Hypophthalmichthys molitrix) skin collagen. Sustain. Chem. Pharm. 2021, 22, 100454. [Google Scholar] [CrossRef]
- Barzkar, N.; Sukhikh, S.; Babich, O.; Venmathi Maran, B.A.; Tamadoni Jahromi, S. Marine collagen: Purification, properties and application. Front. Mar. Sci. 2023, 10, 1245077. [Google Scholar] [CrossRef]
- Indriani, S.; Benjakul, S.; Kishimura, H.; Karnjanapratum, S.; Nalinanon, S. Impact of extraction condition on the yield and molecular characteristics of collagen from Asian bullfrog (Rana tigerina) skin. LWT 2022, 162, 113439. [Google Scholar] [CrossRef]
- Chang, C.; Ma, Y.; Yang, Y.; Su, Y.; Gu, L.; Li, J. Strategies to Improve Hydrolysis Efficiency of Fish Skin Collagen: Study on ACE Inhibitory Activity and Fibroblast Proliferation Activity. Foods 2024, 13, 3869. [Google Scholar] [CrossRef] [PubMed]
- Silva, I.; Vaz, B.M.; Sousa, S.; Pintado, M.M.; Coscueta, E.R.; Ventura, S.P. Gastrointestinal delivery of codfish Skin-Derived collagen Hydrolysates: Deep eutectic solvent extraction and bioactivity analysis. Food Res. Int. 2024, 175, 113729. [Google Scholar] [CrossRef]
- Li, L.Y.; Zhao, Y.Q.; He, Y.; Chi, C.F.; Wang, B. Physicochemical and antioxidant properties of acid-and pepsin-soluble collagens from the scales of miiuy croaker (Miichthys miiuy). Mar. Drugs 2018, 16, 394. [Google Scholar] [CrossRef] [PubMed]
- Tan, Y.; Chang, S.K. Isolation and characterization of collagen extracted from channel catfish (Ictalurus punctatus) skin. Food Chem. 2018, 242, 147–155. [Google Scholar] [CrossRef]
- Zhu, B.-W.; Dong, X.-P.; Zhou, D.-Y.; Gao, Y.; Yang, J.-F.; Li, D.-M.; Zhao, X.-K.; Ren, T.-T.; Ye, W.-X.; Tan, H.; et al. Physicochemical properties and radical scavenging capacities of pepsin-solubilized collagen from sea cucumber (Stichopus japonicus). Food Hydrocoll. 2012, 28, 182–188. [Google Scholar] [CrossRef]
- Liu, D.; Liang, L.; Regenstein, J.M.; Zhou, P. Extraction and characterisation of pepsin-solubilised collagen from fins, scales, skins, bones and swim bladders of bighead carp (Hypophthalmichthys nobilis). Food Chem. 2012, 133, 1441–1448. [Google Scholar] [CrossRef]
- Ahmad, M.; Benjakul, S. Extraction and characterisation of pepsin-solubilised collagen from the skin of unicorn leatherjacket (Aluterus monocerous). Food Chem. 2010, 120, 817–824. [Google Scholar] [CrossRef]
- Kong, J.; Yu, S. Fourier transform infrared spectroscopic analysis of protein secondary structures. Acta Biochim Biophys Sin. 2007, 39, 549–559. [Google Scholar] [CrossRef]
- Zhang, J.; Elango, J.; Wang, S.; Hou, C.; Miao, M.; Li, J.; Na, L.; Wu, W. Characterization of Immunogenicity Associated with the Biocompatibility of Type I Collagen from Tilapia Fish Skin. Polymers 2022, 14, 2300. [Google Scholar] [CrossRef] [PubMed]
- Iswariya, S.; Velswamy, P.; Uma, T.S. Isolation and characterization of biocompatible collagen from the skin of puffer fish (Lagocephalus inermis). J. Polym. Environ. 2018, 26, 2086–2095. [Google Scholar] [CrossRef]
- Kozlowska, J.; Sionkowska, A.; Skopinska-Wisniewska, J.; Piechowicz, K. Northern pike (Esox lucius) collagen: Extraction, characterization and potential application. Int. J. Biol. Macromol. 2015, 81, 220–227. [Google Scholar] [CrossRef]
- Veeruraj, A.; Arumugam, M.; Balasubramanian, T. Isolation and characterization of thermostable collagen from the marine eel-fish (Evenchelys macrura). Process Biochem. 2013, 48, 1592–1602. [Google Scholar] [CrossRef]
- Atef, M.; Ojagh, S.M.; Latifi, A.M.; Esmaeili, M.; Udenigwe, C.C. Biochemical and structural characterization of sturgeon fish skin collagen (Huso huso). J. Food Biochem. 2020, 44, e13256. [Google Scholar] [CrossRef]
- Huang, Y.-R.; Shiau, C.-Y.; Chen, H.-H.; Huang, B.-C. Isolation and characterization of acid- and pepsin-solubilized collagens from the skin of balloon fish (Diodon holocanthus). Food Hydrocoll. 2011, 25, 1507–1513. [Google Scholar] [CrossRef]
- Carpio, K.C.R.; Bezerra, R.S.; Cahú, T.B.; Monte, F.D.; Neri, R.C.A.; Silva, J.D.; Inhamuns, A.J. Extraction and characterization of collagen from the skin of Amazonian freshwater fish pirarucu. Braz. J. Med. Biol. Res. 2023, 56, e12564. [Google Scholar] [CrossRef] [PubMed]





| Position | Moisture Mass Fraction (%) | Crude Protein Mass Fraction (%) | Crude Fat Mass Fraction (%) | Ash Mass Fraction (%) |
|---|---|---|---|---|
| Eel skin | 75.54 ± 0.54 | 19.00 ± 0.46 | 1.40 ± 0.08 | 0.58 ± 0.03 |
| Eel bone | 46.25 ± 0.23 | 20.86 ± 0.07 | 25.92 ± 0.32 | 6.21 ± 0.24 |
| Amino Acid Category | The Proportion of Amino Acids (% of Total Amino Acids) | |||
|---|---|---|---|---|
| ASC-S | PSC-S | ASC-B | PSC-B | |
| Asp | 5.86 | 5.66 | 6.25 | 5.41 |
| Thr | 3.33 | 3.22 | 2.53 | 2.21 |
| Ser | 4.72 | 4.63 | 3.13 | 2.82 |
| Glu | 10.88 | 9.94 | 9.22 | 8.76 |
| Gly | 22.67 | 19.86 | 19.94 | 16.66 |
| Ala | 11.14 | 10.24 | 10.74 | 7.77 |
| Cys | ND | ND | 0.24 | 0.11 |
| Val | 1.89 | 2.15 | 2.45 | 3.13 |
| Met | 0.50 | 0.67 | 3.03 | 3.59 |
| Ile | 2.00 | 1.29 | 3.47 | 2.44 |
| Leu | 2.52 | 2.78 | 3.18 | 3.29 |
| Tyr | 0.31 | 0.43 | 0.34 | 0.39 |
| Phe | 2.11 | 1.87 | 2.25 | 2.13 |
| His | 1.32 | 0.82 | 1.28 | 1.15 |
| Lys | 3.97 | 3.42 | 3.67 | 3.04 |
| Arg | 6.99 | 8.34 | 8.77 | 14.19 |
| Pro | 14.89 | 16.91 | 7.23 | 7.71 |
| Hyp | 6.41 | 7.77 | 12.29 | 15.18 |
| Essential amino acid | 16.32 | 15.40 | 20.58 | 19.83 |
| Hydrophobic amino acid | 35.05 | 35.91 | 32.35 | 30.06 |
| Aromatic amino acid | 2.42 | 2.30 | 2.59 | 2.52 |
Disclaimer/Publisher’s Note: The statements, opinions and data contained in all publications are solely those of the individual author(s) and contributor(s) and not of MDPI and/or the editor(s). MDPI and/or the editor(s) disclaim responsibility for any injury to people or property resulting from any ideas, methods, instructions or products referred to in the content. |
© 2025 by the authors. Licensee MDPI, Basel, Switzerland. This article is an open access article distributed under the terms and conditions of the Creative Commons Attribution (CC BY) license (https://creativecommons.org/licenses/by/4.0/).
Share and Cite
Zhang, N.; Guo, S.; Zheng, Y.; Li, W. Isolation and Characterisation of Acid Soluble Collagens and Pepsin Soluble Collagens from Eel (Anguilla japonica Temminck et Schlegel) Skin and Bone. Foods 2025, 14, 502. https://doi.org/10.3390/foods14030502
Zhang N, Guo S, Zheng Y, Li W. Isolation and Characterisation of Acid Soluble Collagens and Pepsin Soluble Collagens from Eel (Anguilla japonica Temminck et Schlegel) Skin and Bone. Foods. 2025; 14(3):502. https://doi.org/10.3390/foods14030502
Chicago/Turabian StyleZhang, Ningning, Shaoli Guo, Yuting Zheng, and Weili Li. 2025. "Isolation and Characterisation of Acid Soluble Collagens and Pepsin Soluble Collagens from Eel (Anguilla japonica Temminck et Schlegel) Skin and Bone" Foods 14, no. 3: 502. https://doi.org/10.3390/foods14030502
APA StyleZhang, N., Guo, S., Zheng, Y., & Li, W. (2025). Isolation and Characterisation of Acid Soluble Collagens and Pepsin Soluble Collagens from Eel (Anguilla japonica Temminck et Schlegel) Skin and Bone. Foods, 14(3), 502. https://doi.org/10.3390/foods14030502
