Super-Fast Detection of Bacillus cereus by Combining Cellulose Filter Paper-Based DNA Extraction, Multienzyme Isothermal Rapid Amplification, and Lateral Flow Dipstick (MIRA-LFD)
Abstract
1. Introduction
2. Materials and Methods
2.1. Strains, Culture Conditions, and DNA Extraction
2.2. PCR Condition
2.3. DNA Extraction of B. cereus Using Cellulose Filter Paper Strip
2.4. Condition Optimization of DNA Extraction Based on Cellulose Filter Paper Strip
2.4.1. Production of a Cellulose Filter Paper Strip
2.4.2. Selection of Lysate Components
2.4.3. Optimization of DNA Extraction Conditions
2.5. Primer and Probe Designing and Screening for MIRA–LFD
2.6. Conditions Optimization of MIRA–LFD
2.6.1. MIRA–LFD Reaction System
2.6.2. Reaction Conditions Optimization of MIRA–LFD
2.7. Detection Specificity and Sensitivity of MIRA-LFD
2.8. Practical Sample Application
3. Results
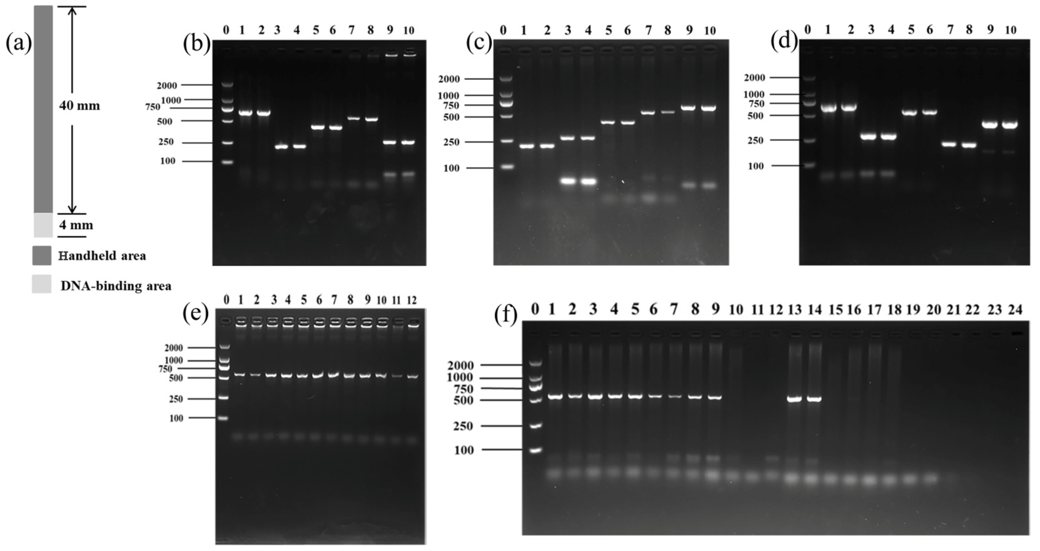
3.1. Assessment of DNA Extraction Capability Using Cellulose Filter Paper Strips
3.2. Selection and Optimization of Lysate Components
3.3. Optimization of DNA Extraction Conditions
3.4. Primer and Probe Screening for MIRA–LFD
3.5. Optimization of Reaction Conditions for MIRA–LFD
3.6. Specificity and Sensitivity of the Complete Method
3.7. Practical Sample Application
4. Discussion
5. Conclusions
Supplementary Materials
Author Contributions
Funding
Data Availability Statement
Conflicts of Interest
References
- Jessberger, N.; Dietrich, R.; Granum, P.E.; Märtlbauer, E. The Bacillus cereus food infection as multifactorial process. Toxins 2020, 12, 701. [Google Scholar] [CrossRef] [PubMed]
- Fiedler, G.; Schneider, C.; Igbinosa, E.O.; Kabisch, J.; Brinks, E.; Becker, B.; Stoll, D.A.; Cho, G.-S.; Huch, M.; Franz, C. Antibiotics resistance and toxin profiles of Bacillus cereus-group isolates from fresh vegetables from German retail markets. BMC Microbiol. 2019, 19, 250. [Google Scholar] [CrossRef] [PubMed]
- Berthold-Pluta, A.; Pluta, A.; Garbowska, M.; Stefańska, I. Prevalence and toxicity characterization of Bacillus cereus in food products from Poland. Foods 2019, 8, 269. [Google Scholar] [CrossRef] [PubMed]
- Esteban-Cuesta, I.; Drees, N.; Ulrich, S.; Stauch, P.; Sperner, B.; Schwaiger, K.; Gareis, M.; Gottschalk, C. Endogenous microbial contamination of melons (Cucumis melo) from international trade: An underestimated risk for the consumer? J. Sci. Food 2018, 98, 5074–5081. [Google Scholar] [CrossRef]
- Fasolato, L.; Cardazzo, B.; Carraro, L.; Fontana, F.; Novelli, E.; Balzan, S. Edible processed insects from e-commerce: Food safety with a focus on the Bacillus cereus group. Food Microbiol. 2018, 76, 296–303. [Google Scholar] [CrossRef]
- Yaman, G. Prevalence, enterotoxin production and antibiotic resistance of Bacillus cereus isolated from milk and cheese. Kafkas Univ. Vet. Fak. Derg. 2017, 23, 635–642. [Google Scholar]
- Biesta-Peters, E.G.; Dissel, S.; Reij, M.W.; Zwietering, M.H.; In’t Veld, P.H. Characterization and exposure assessment of emetic Bacillus cereus and cereulide production in food products on the Dutch market. J. Food Prot. 2016, 79, 230–238. [Google Scholar] [CrossRef]
- He, J.R.; Chen, Y.; Li, Y.F.; Guan, D.R.; Fan, Q.; Lv, T.B.; Yan, M.X.; Wu, W.H.; Zhu, R.J.; Hu, Y.J.; et al. Contamination of Bacillus cereus in ready-to-eat food imported from Yunnan Border Trade and detection of emetic toxin genotypes. Sci. Technol. Food Ind. 2020, 41, 186–191. [Google Scholar] [CrossRef]
- Oda, M.; Yokotani, A.; Hayashi, N.; Kamoshida, G. Role of Sphingomyelinase in the Pathogenesis of Bacillus cereus Infection. Biol. Pharm. Bull. 2020, 43, 250–253. [Google Scholar] [CrossRef]
- Huang, Y.; Flint, S.H.; Loo, T.S.; Palmer, J.S. Emetic toxin production of Bacillus cereus in a biofilm. LWT 2022, 154, 112840. [Google Scholar] [CrossRef]
- Park, K.M.; Jeong, M.; Park, K.J.; Koo, M. Prevalence, enterotoxin genes, and antibiotic resistance of Bacillus cereus isolated from raw vegetables in Korea. J. Food Prot. 2018, 81, 1590–1597. [Google Scholar] [CrossRef] [PubMed]
- Dietrich, R.; Jessberger, N.; Ehling-Schulz, M.; Märtlbauer, E.; Granum, P.E. The food poisoning toxins of Bacillus cereus. Toxins 2021, 13, 98. [Google Scholar] [CrossRef] [PubMed]
- Dawson, P. Notes from the Field: Fatal Anthrax Pneumonia in Welders and Other Metalworkers Caused by Bacillus cereus Group Bacteria Containing Anthrax Toxin Genes—US Gulf Coast States, 1994–2020. Morb. Mortal. Wkly. Rep. 2021, 70, 1453–1454. [Google Scholar] [CrossRef] [PubMed]
- Frentzel, H.; Thanh, M.D.; Krause, G.; Appel, B.; Mader, A. Quantification and differentiation of Bacillus cereus group species in spices and herbs by real-time PCR. Food Control 2018, 83, 99–108. [Google Scholar] [CrossRef]
- Suganthi, M.; Abirami, G.; Jayanthi, M.; Kumar, K.A.; Karuppanan, K.; Palanisamy, S. A method for DNA extraction and molecular identification of Aphids. MethodsX 2023, 10, 102100. [Google Scholar] [CrossRef]
- Koh, R.B.L.; Barbosa, C.F.C.; Aquino, V.M.; Galvez, L.C. Extraction of high molecular weight DNA suitable for next-generation sequencing from the fiber crop abaca. Ind. Crops Prod. 2021, 161, 113194. [Google Scholar] [CrossRef]
- Serna-Domínguez, M.G.; Andrade-Michel, G.Y.; Arredondo-Bernal, H.C.; Gallou, A. Two efficient methods for isolation of high-quality genomic DNA from entomopathogenic fungi. J. Microbiol. Methods 2018, 148, 55–63. [Google Scholar] [CrossRef]
- Quek, M.C.; Chin, N.L.; Tan, S.W. Optimum DNA Extraction Methods for Edible Bird’s Nest Identification Using Simple Additive Weighting Technique. Foods 2021, 10, 1086. [Google Scholar] [CrossRef]
- Zou, Y.P.; Mason, M.G.; Wang, Y.L.; Wee, E.; Turni, C.; Blackall, P.J.; Trau, M.; Botella, J.R. Nucleic acid purification from plants, animals and microbes in under 30 seconds. PLoS Biol. 2017, 15, e2003916. [Google Scholar] [CrossRef]
- Gerbers, R.; Foellscher, W.; Chen, H.; Anagnostopoulos, C.; Faghri, M. A new paper-based platform technology for point-of-care diagnostics. Lab Chip 2014, 14, 4042–4049. [Google Scholar] [CrossRef]
- Mahadeva, S.K.; Walus, K.; Stoeber, B. Paper as a platform for sensing applications and other devices: A review. ACS Appl. Mater. Interfaces 2015, 7, 8345–8362. [Google Scholar] [CrossRef] [PubMed]
- Zhu, L.L.; Gong, F.J.; Liu, X.; Sun, X.Q.; Yu, Y.; Shu, J.; Pan, Z.H. Integrating filter paper extraction, isothermal amplification, and lateral flow dipstick methods to detect Streptococcus agalactiae in milk within 15 min. Front. Vet. Sci. 2023, 10, 1100246. [Google Scholar] [CrossRef]
- Zheng, X.S.; An, W.L.; Yao, H.; Xu, J.; Chen, S.L. Rapid authentication of the poisonous plant Gelsemium elegans by combining filter-paper-based DNA extraction and RPA-LFD detection. Engineering 2021, 7, 14–16. [Google Scholar] [CrossRef]
- Shi, R.; Panthee, D.R. A novel plant DNA extraction method using filter paper-based 96-well spin plate. Planta 2017, 246, 579–584. [Google Scholar] [CrossRef] [PubMed]
- Sun, M.L.; Zhong, Y.; Li, X.N.; Yao, J.; Pan, Y.Q. Simple and feasible detection of hepatitis a virus using reverse transcription multienzyme isothermal rapid amplification and lateral flow dipsticks without standard PCR laboratory. Artif. Cells Nanomed. Biotechnol. 2023, 51, 233–240. [Google Scholar] [CrossRef]
- Li, Y.Q.; Zhao, Y.L.; Li, C.; Yang, K.K.; Li, Z.; Shang, W.B.; Song, X.J.; Shao, Y.; Qi, K.Z.; Tu, J. Rapid detection of porcine circovirus type 4 via multienzyme isothermal rapid amplification. Front. Vet. Sci. 2022, 9, 949172. [Google Scholar] [CrossRef]
- Wang, Q. Establishment of Easy-DNA Extraction Kit and Its Application in Molecular Identification of Plant Samples. Master’s Thesis, Zhejiang University, Hangzhou, China, 2021. [Google Scholar]
- Wang, S.S.; Wang, F.; Zhang, H.; Hou, F.X.; Guo, J.L. Rapid Extraction of DNA from Chinese Herbal Medicines by Filter Paper Method. Mod. Chin. Med. 2020, 22, 213–218. [Google Scholar] [CrossRef]
- Xue, Q.; Wang, Y.F.; Sheng, W.L.; Chen, Y.; Jin, Y.; Zou, M.Q. A rapid extraction method of cucumber genomic DNA based on cellulose membrane adsorption. China Cucurbits Veg. 2021, 34, 39–43. [Google Scholar] [CrossRef]
- Zhao, G.; Tang, C.; Wang, H.T. A Escherichia coli Lysate and Its Preparation Method and Application. CN109628313A, 16 April 2019. [Google Scholar]
- Bravo-Anaya, L.M.; Fernández-Solís, K.G.; Rosselgong, J.; Nano-Rodríguez, J.L.E.; Carvajal, F.; Rinaudo, M. Chitosan-DNA polyelectrolyte complex: Influence of chitosan characteristics and mechanism of complex formation. Int. J. Biol. Macromol. 2019, 126, 1037–1049. [Google Scholar] [CrossRef]
- Wei, J.W.; Zhu, H.; Zhang, B.B.; Zhang, Y.D.; Wang, Y.; Yao, L.; Qi, J.J.; Tian, M.X.; Ding, C.; Wang, G.J.; et al. Establishment and application of multiplex PCR method for detection of Escherichia coli O8/O9/O149 and O157serotypes. Chin. Vet. Sci. 2022, 52, 691–697. [Google Scholar] [CrossRef]
- Hu, S.F. Rapid Detection of Pathogens in PIF andthe Stress Responses of Pathogens. Ph.D. Thesis, South China University of Technology, Guangzhou, China,, 2018. [Google Scholar]
- Li, C.; Liu, J.H.; Li, Z.H.; Zhang, M.; Gao, H.; Tan, J.X. Study on Multiplex PCR of Rapid Detection Method for Four Foodborne Pathogens. Food Res. Dev. 2019, 40, 164–169. [Google Scholar]
- Liu, L.Q.; Yao, Y.L.; Guan, J.L.; Zhu, H.L. Establishment of PCR method for detecting 5 kinds of food-borne pathogenic bacteria. J. Food Saf. Food Qual. 2019, 10, 1330–1335. [Google Scholar]
- Li, W.J.; Liu, D.L.; Ma, L.; Liu, C.H.; Ma, G.Z. Distribution and molecular typing of virulence genes of Bacillus cereus in food of Shaanxi. Chin. J. Health Lab. Technol. 2018, 28, 1027–1031. [Google Scholar]
- Gdoura-Ben Amor, M.; Siala, M.; Zayani, M.; Grosset, N.; Smaoui, S.; Messadi-Akrout, F.; Baron, F.; Jan, S.; Gautier, M.; Gdoura, R. Isolation, identification, prevalence, and genetic diversity of Bacillus cereus group bacteria from different foodstuffs in Tunisia. Front. Microbiol. 2018, 9, 447. [Google Scholar] [CrossRef] [PubMed]
- Liesenfeld, O.; Lehman, L.; Hunfeld, K.-P.; Kost, G. Molecular diagnosis of sepsis: New aspects and recent developments. Eur. J. Microbiol. Immunol. 2014, 4, 1–25. [Google Scholar] [CrossRef]
- Hammouda, O.T.; Böttger, F.; Wittbrodt, J.; Thumberger, T. Swift large-scale examination of directed genome editing. PLoS ONE 2019, 14, e0213317. [Google Scholar] [CrossRef]
- Zhang, Y.M.; Zhang, Y.; Xie, K.B. Evaluation of CRISPR/Cas12a-based DNA detection for fast pathogen diagnosis and GMO test in rice. Mol. Breed. 2020, 40, 11. [Google Scholar] [CrossRef]
- Mason, M.G.; Botella, J.R. A simple, robust and equipment-free DNA amplification readout in less than 30 seconds. RSC Adv. 2019, 9, 24440–24450. [Google Scholar] [CrossRef]
- Mason, M.G.; Blackall, P.J.; Botella, J.R.; Templeton, J.M. An easy-to-perform, culture-free Campylobacter point-of-management assay for processing plant applications. J. Appl. Microbiol. 2020, 128, 620–629. [Google Scholar] [CrossRef]
- Bravo-Anaya, L.M.; Soltero, J.A.; Rinaudo, M. DNA/chitosan electrostatic complex. Int. J. Biol. Macromol. 2016, 88, 345–353. [Google Scholar] [CrossRef]
- Li, Q.R.; Hu, F.; Yang, Y.X.; Liu, X.Y.; He, X.W. Rapid and Quantitative Detection of Salmonella typhimurium by Immunomagnetic Separation Method Coupled with Immunochromatography Assay Based on Fluorescence Microsphere. Mod. Food Sci. Technol. 2018, 34, 196–202. [Google Scholar] [CrossRef]
- Wong, Y.P.; Othman, S.; Lau, Y.L.; Radu, S.; Chee, H.Y. Loop-mediated isothermal amplification (LAMP): A versatile technique for detection of micro-organisms. J. Appl. Microbiol. 2018, 124, 626–643. [Google Scholar] [CrossRef] [PubMed]





| No. | Lysate Components | Lysate Volume | Eluent Volume | Reference |
|---|---|---|---|---|
| 1 | 1.5 M Guanidine Isothiocyanate, 50 mM Tris • HCl (pH 8.0), 20 mM EDTA, 1% Tween–20, 2 mg/mL DTT, 40 mg/mL TritonX-100, 100 mM NaCl. | 500 μL | 200 μL | [22] |
| 2 | 100 mM Tris•HCl (pH8.0), 1 M NaCl, 10 mM EDTA | 200 μL | 100 μL | [27] |
| 3 | 50 mM Tris•HCl (pH8.0), 150 mM NaCl, 2% PVP, 1% Tween–20 | 50 μL | 200 μL | [19] |
| 4 | 20 mM Tris•HCl (pH8.0), 25 mM NaCl, 2.5 mM EDTA, 0.05% SDS | 500 μL | 1750 μL | [28] |
| 5 | 800 mM Guanidine Hydrochloride, 50 mM Tris • HCl (pH 8.0), 0.5% Triton–100, 1% Tween–20 | 100 μL | 500 μL | [29] |
| 6 | 2% NaCl, 2% EDTA, 0.2% Glycerol, 0.2% Polyethylene Glycol, 0.2% Tween–80, 0.01% PVP–K30 | 500 μL | 500 μL | [30] |
| Name | Sequence (5′→3′) |
|---|---|
| nhe–F1 | agtaggtggaggtacaacgggaattgttttag |
| nhe–F2 | aatgcacttattattggttcctctgtagccac |
| nhe–F3 | aggcccaattgcgattataggtggtacagttg |
| nhe–R1 | Biotin–aacgctgtaatcgcagtgtcaattgtatttgt |
| nhe–R2 | Biotin–cacaagctcttcaggactaatagaatctacat |
| nhe–R3 | Biotin–gctatcttttgcgatgctaagatcttctttca |
| nhe–P1 | [FAM]–aataacaggtaaaattactactgcacaatt[THF]gaagtagcagggtta–[C3spacer] |
| Name | Group 1 | Group 2 | Group 3 | Group 4 | Group 5 |
|---|---|---|---|---|---|
| A buffer | 29.4 μL | ||||
| B buffer | 2.5 μL | ||||
| Forward primer (μL) | 1 | 1 | 2 | 3 | 5 |
| Reverse Primer (μL) | 1 | 1 | 2 | 3 | 5 |
| Probe (μL) | 0.2 | 0.3 | 0.6 | 0.9 | 1.5 |
| DNA | 2 μL | ||||
| Water (μL) | 13.9 | 13.8 | 11.5 | 9.2 | 4.6 |
| All | 50 μL | ||||
| No. | Primers | Result | ||
|---|---|---|---|---|
| 1 | nhe–F1 | nhe–R1 | nhe–P1 | + |
| 2 | nhe–R2 | + | ||
| 3 | nhe–R3 | + | ||
| 4 | nhe–F2 | nhe–R1 | + | |
| 5 | nhe–R2 | + | ||
| 6 | nhe–R3 | – | ||
| 7 | nhe–F3 | nhe–R1 | + | |
| 8 | nhe–R2 | Delicacy + | ||
| 9 | nhe–R3 | – | ||
Disclaimer/Publisher’s Note: The statements, opinions and data contained in all publications are solely those of the individual author(s) and contributor(s) and not of MDPI and/or the editor(s). MDPI and/or the editor(s) disclaim responsibility for any injury to people or property resulting from any ideas, methods, instructions or products referred to in the content. |
© 2025 by the authors. Licensee MDPI, Basel, Switzerland. This article is an open access article distributed under the terms and conditions of the Creative Commons Attribution (CC BY) license (https://creativecommons.org/licenses/by/4.0/).
Share and Cite
Yi, S.; Zhou, N.; Ma, Y.; Yi, L.; Shang, Y. Super-Fast Detection of Bacillus cereus by Combining Cellulose Filter Paper-Based DNA Extraction, Multienzyme Isothermal Rapid Amplification, and Lateral Flow Dipstick (MIRA-LFD). Foods 2025, 14, 454. https://doi.org/10.3390/foods14030454
Yi S, Zhou N, Ma Y, Yi L, Shang Y. Super-Fast Detection of Bacillus cereus by Combining Cellulose Filter Paper-Based DNA Extraction, Multienzyme Isothermal Rapid Amplification, and Lateral Flow Dipstick (MIRA-LFD). Foods. 2025; 14(3):454. https://doi.org/10.3390/foods14030454
Chicago/Turabian StyleYi, Shuqiong, Nali Zhou, Yan Ma, Lunzhao Yi, and Ying Shang. 2025. "Super-Fast Detection of Bacillus cereus by Combining Cellulose Filter Paper-Based DNA Extraction, Multienzyme Isothermal Rapid Amplification, and Lateral Flow Dipstick (MIRA-LFD)" Foods 14, no. 3: 454. https://doi.org/10.3390/foods14030454
APA StyleYi, S., Zhou, N., Ma, Y., Yi, L., & Shang, Y. (2025). Super-Fast Detection of Bacillus cereus by Combining Cellulose Filter Paper-Based DNA Extraction, Multienzyme Isothermal Rapid Amplification, and Lateral Flow Dipstick (MIRA-LFD). Foods, 14(3), 454. https://doi.org/10.3390/foods14030454

