Genome Characterization of Stelechocarpus burahol (Blume) Hook.f. & Thomson “Kepel” and Exploration of Phytochemicals from Water and Ethanolic Extracts of Leaves and Fruits
Abstract
1. Introduction
2. Materials and Methods
2.1. Chemicals and Reagents
2.2. Kepel Plants
2.3. Botanical Identification and Description
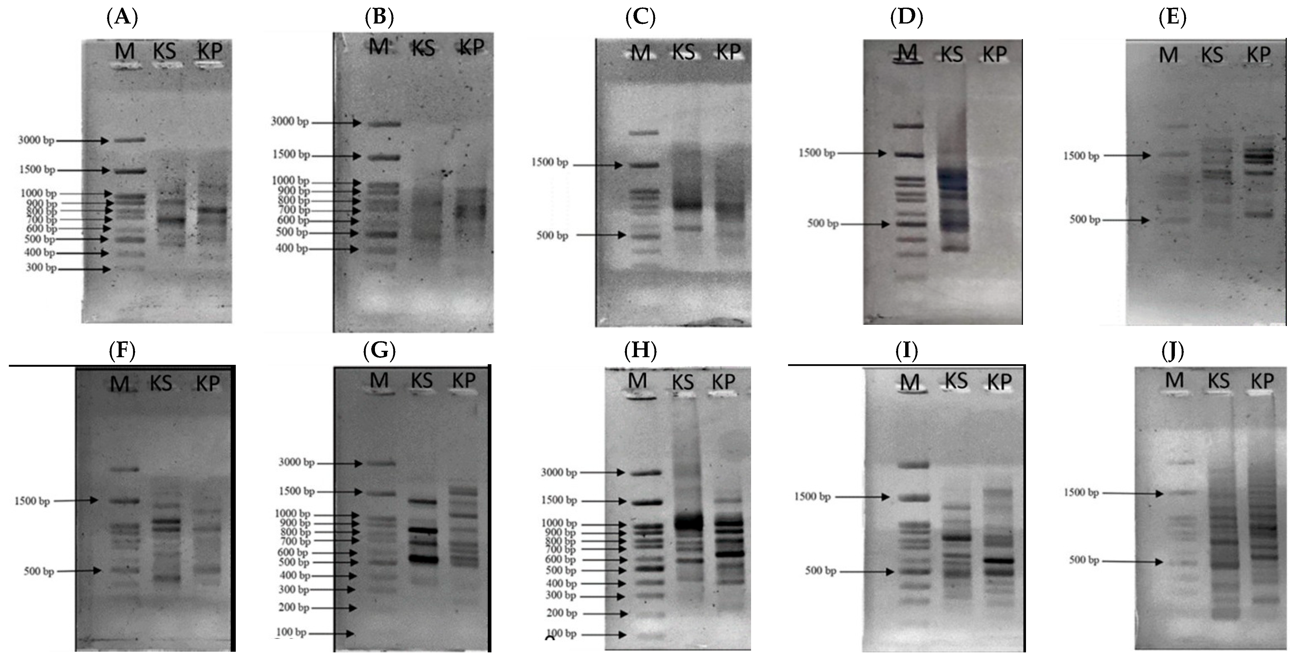
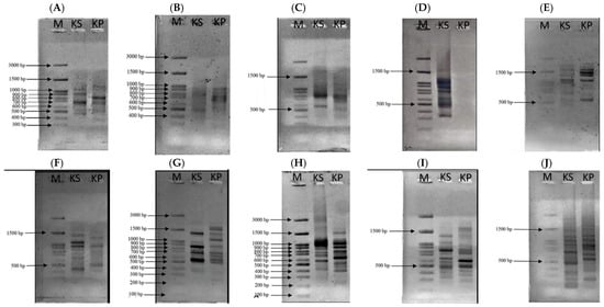
2.4. Molecular Fingerprinting Using Inter-Simple Sequence Repeats
2.4.1. DNA Isolation
2.4.2. PCR Method
2.4.3. Agarose Gel Electrophoresis
2.5. Preparation of Kepel Extracts
2.6. PEF-Assisted Extractions
2.7. Colorimetric Determination of Chemical Compositions
2.7.1. TPC
2.7.2. TFC
2.8. HPLC-ESI-MS Identification of Phenolic Compounds
2.9. UHPLC-ESI-QTOF-MS Analysis of Phenolic Compounds
2.10. HPLC-DAD Quantification of Catechins
2.11. HS-SPME-GC-MS Analysis of Volatile Organic Compounds
2.12. Statistical Analysis
3. Results
3.1. Taxonomy and Molecular Fingerprints of Kepel
3.2. Kepel Leaf and Fruit Extracts
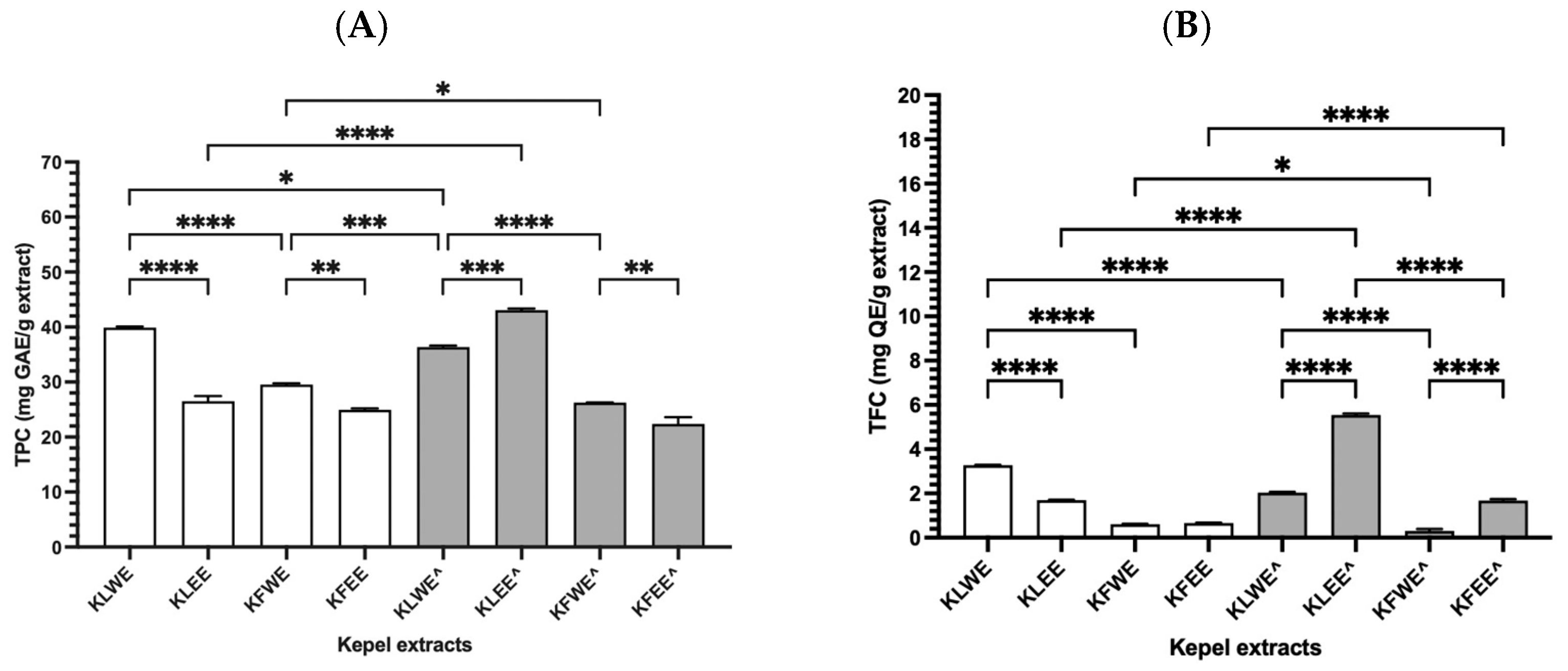
3.3. Total Phenolic and Flavonoid Contents in Kepel Extracts
3.4. HPLC-ESI-MS Profiles and Amounts of Phenolics in Kepel Extracts
3.5. UHPLC-ESI-QTOF-MS Identification of the Phytochemicals of the Kepel Extracts
3.5.1. Phenolic Compounds
3.5.2. Tocopherols and Tocotrienols in Kepel Leaf and Fruit Extracts
3.5.3. Amounts of C, EC and EGCG
3.5.4. Volatile Organic Compounds
4. Discussion
5. Conclusions
Author Contributions
Funding
Institutional Review Board Statement
Informed Consent Statement
Data Availability Statement
Acknowledgments
Conflicts of Interest
Abbreviations/Symbols
| ANOVA | Analysis of Variance |
| bp | Base pair |
| C | Catechin |
| C | Content |
| DAD | Diode array detector |
| DI | Deionized water |
| DNA | Deoxyribonucleic acid |
| dNTPs | Deoxyribonucleotide triphosphates |
| EC | Epicatechin |
| EGCG | Epigallocatechin 3-gallate |
| ESI | Electrospray ionization |
| GA | Gallic acid |
| GAE | Gallic acid equivalent |
| GC | Gas chromatography |
| HPLC | High-performance liquid chromatography |
| HS | Headspace |
| ISSR | Inter sample sequence repeat |
| KFEE | Ethanolic extract of kepel fruits |
| KLEE | Ethanolic extract of kepel leaves |
| KFWE | Water extract of kepel fruits |
| KLWE | Water extract of kepel leaves |
| LOD | Limit of detection |
| LOQ | Limit of quantitation |
| M | Marker |
| MCL | Match Confidence Levels |
| MS | Mass spectrometry |
| m/z | Mass-to-charge ratio |
| N | Number |
| OD | Optical density |
| PCR | Polymerase chain reaction |
| PDA | Photodiode array |
| PEF, ^ | Pulsed electric field |
| PTFE | Polytetrafluoroethylene |
| Q | Quercetin |
| QE | Quercetin equivalent |
| QTOF | Quadrupole time-of-flight |
| RNase A | Ribonuclease A |
| rpm | Revolution per minute |
| S. burahol | Stelechocarpus burahol |
| SCoT | Start codon targeted |
| SPME | Solid phase microextraction |
| TBE | Tris-borate-ethylenediamine tetraacetate |
| TFC | Total flavonoid content |
| TIC | Total ion count |
| Tm | Melting temperature |
| TPC | Total phenolic content |
| trnL | Transfer RNA-leucine |
| UHPLC | Ultrahigh performance liquid chromatography |
| UV-Vis | Ultraviolet-visible |
| w/v | Weight by volume |
| °C | Degree Celsius |
References
- Joshi, S.P.; Gupta, V.S.; Aggarwal, R.K.; Ranjekar, P.K.; Brar, D.S. Genetic diversity and phylogenetic relationship as revealed by inter-simpl sequence repeat (ISSR) polymorphism in the genus Oryza. Theor. Appl. Genet. 2000, 100, 1311–1320. [Google Scholar] [CrossRef]
- Angio, M.H.; Firdiana, E.R. Kepel (Stelechocarpus burahol (Blume) Hook & Thompson), Buah Langka Khas Keraton Yogyakarta: Sebuah Koleksi Kebun Raya Purwodadi. War. Kebun Raya 2021, 19, 7–13. [Google Scholar]
- Radji, M. Bioactivity and the prospect of Stelechocarpus burahol as oral deodorant. EC Pharmacol. Toxicol. 2022, 10, 46–53. [Google Scholar]
- Sundary, D.; Handayani, D.; Suryanti, V. Chemical compositions, antioxidant and antibacterial activities of kepel (Stelechocarpus burahol) fruit flesh and peel extracts. Biodiversitas J. Biol. Divers. 2023, 24, 4668–4675. [Google Scholar] [CrossRef]
- Probojati, R.; Hadiyanti, N.; Hapsari, L. Assessment for Identification of Stelechocarpus burahol and sister species complex of Annonaceae Family using trnL intron sequences. J. Biol. Trop. 2023, 23, 643–649. [Google Scholar] [CrossRef]
- Soltis, D.E.; Soltis, P.S.; Bennett, M.D.; Leitch, I.J. Evolution of genome size in the angiosperms. Am. J. Bot. 2003, 90, 1596–1603. [Google Scholar] [CrossRef]
- Beaulieu, J.M.; Moles, A.T.; Leitch, I.J.; Bennett, M.D.; Dickie, J.B.; Knight, C.A. Correlated evolution of genome size and seed mass. New Phytol. 2007, 173, 422–437. [Google Scholar] [CrossRef]
- Smolik, M.; Krzysztoszek, O. Evaluation of genetic variability in choosen apple (Malus × domestica Borkh.) cultivars by ISSR-PCR analysis. Genetika 2010, 46, 923–931. [Google Scholar] [CrossRef]
- Wirasathien, L.; Pengsuparp, T.; Suttisri, R.; Ueda, H.; Moriyasu, M.; Kawanishi, K. Inhibitors of aldose reductase and advanced glycation end-products formation from the leaves of Stelechocarpus cauliflorus R.E. Fr. Phytomedicine 2007, 14, 546–550. [Google Scholar] [CrossRef]
- Wu, H.; Zhao, G.; Jiang, K.; Li, C.; Qiu, C.; Deng, G. Engeletin alleviates lipopolysaccharide-induced endometritis in mice by inhibiting TLR4-mediated NF-kappaB activation. J. Agric. Food Chem. 2016, 64, 6171–6178. [Google Scholar] [CrossRef]
- Bermudez, G.; Terenzi, C.; Medri, F.; Andrisano, V.; Montanari, S. Extraction and analytical methods for the characterization of polyphenols in marine microalgae: A Review. Mar Drugs 2024, 22, 538. [Google Scholar] [CrossRef]
- Anusha Siddiqui, S.; Redha, A.A.; Esmaeili, Y.; Mehdizadeh, M. Novel insights on extraction and encapsulation techniques of elderberry bioactive compounds. Crit. Rev. Food Sci. Nutr. 2023, 63, 5937–5952. [Google Scholar] [CrossRef] [PubMed]
- Hutachok, N.; Angkasith, P.; Chumpun, C.; Fucharoen, S.; Mackie, I.J.; Porter, J.B.; Srichairatanakool, S. Anti-platelet aggregation and anti-cyclooxygenase activities for a range of coffee extracts (Coffea arabica). Molecules 2020, 26, 10. [Google Scholar] [CrossRef] [PubMed]
- Petry, R.D.; Ortega, G.G.; Silva, W.B. Flavonoid content assay: Influence of the reagent concentration and reaction time on the spectrophotometric behavior of the aluminium chloride—Flavonoid complex. Pharmazie 2001, 56, 465–470. [Google Scholar] [PubMed]
- Ferreira, L.; Perestrelo, R.; Caldeira, M.; Camara, J.S. Characterization of volatile substances in apples from Rosaceae family by headspace solid-phase microextraction followed by GC-qMS. J. Sep. Sci. 2009, 32, 1875–1888. [Google Scholar] [CrossRef]
- Saleem, A.; Harris, C.S.; Asim, M.; Cuerrier, A.; Martineau, L.; Haddad, P.S.; Arnason, J.T. A RP-HPLC-DAD-APCI/MSD method for the characterisation of medicinal Ericaceae used by the Eeyou Istchee Cree First Nations. Phytochem. Anal. 2010, 21, 328–339. [Google Scholar] [CrossRef]
- Contreras, M.D.M.; Algieri, F.; Rodriguez-Nogales, A.; Galvez, J.; Segura-Carretero, A. Phytochemical profiling of anti-inflammatory Lavandula extracts via RP-HPLC-DAD-QTOF-MS and -MS/MS: Assessment of their qualitative and quantitative differences. Electrophoresis 2018, 39, 1284–1293. [Google Scholar] [CrossRef]
- Ngamdokmai, N.; Ingkaninan, K.; Chaichamnong, N.; Chootip, K.; Neungchamnong, N.; Waranuch, N. Development, characterization, and stability evaluation of the anti-cellulite emgel containing herbal extracts and essential oils. Pharmaceuticals 2021, 14, 842. [Google Scholar] [CrossRef]
- Andreou, V.; Psarianos, M.; Dimopoulos, G.; Tsimogiannis, D.; Taoukis, P. Effect of pulsed electric fields and high pressure on improved recovery of high-added-value compounds from olive pomace. J. Food Sci. 2020, 85, 1500–1512. [Google Scholar] [CrossRef]
- Athanasiadis, V.; Chatzimitakos, T.; Kotsou, K.; Kalompatsios, D.; Bozinou, E.; Lalas, S.I. Polyphenol extraction from food (by) products by pulsed electric field: A Review. Int. J. Mol. Sci. 2023, 24, 15914. [Google Scholar] [CrossRef]
- Sultana, K.W.; Das, S.; Chandra, I.; Roy, A. Efficient micropropagation of Thunbergia coccinea Wall. and genetic homogeneity assessment through RAPD and ISSR markers. Sci. Rep. 2022, 12, 1683. [Google Scholar] [CrossRef]
- Paradee, N.; Howes, M.R.; Utama-Ang, N.; Chaikitwattna, A.; Hider, R.C.; Srichairatanakool, S. A chemically characterized ethanolic extract of Thai Perilla frutescens (L.) Britton fruits (nutlets) reduces oxidative stress and lipid peroxidation in human hepatoma (HuH7) cells. Phytother. Res. 2019, 33, 2064–2074. [Google Scholar] [CrossRef]
- Thikham, S.; Tongdonyod, S.; Kantala, C.; Therdtatha, P.; Klangpetch, W. Enhancing enzymatic production efficiency of crude pectic oligosaccharides by pulsed electric field and study of prebiotic potential. J. Food Sci. Technol. 2024, 61, 320–330. [Google Scholar] [CrossRef] [PubMed]
- Salee, N.; Chaiyana, W.; Yawootti, A.; Naruenartwongsakul, S.; Klangpetch, W.; Walter, P.; Utama-Ang, N. Optimization of the pulse electric field assisted extraction of black rice grain for antioxidant and sirtuin1 enzyme stimulation activities. Sci. Rep. 2022, 12, 6459. [Google Scholar] [CrossRef] [PubMed]
- Lee, J.; Durst, R.W.; Wrolstad, R.E. Determination of total monomeric anthocyanin pigment content of fruit juices, beverages, natural colorants, and wines by the pH differential method: Collaborative study. J. AOAC Int. 2005, 88, 1269–1278. [Google Scholar] [CrossRef] [PubMed]
- Cuyckens, F.; Claeys, M. Optimization of a liquid chromatography method based on simultaneous electrospray ionization mass spectrometric and ultraviolet photodiode array detection for analysis of flavonoid glycosides. Rapid Commun. Mass Spectrom. 2002, 16, 2341–2348. [Google Scholar] [CrossRef]
- Hodgson, A.B.; Randell, R.K.; Mahabir-Jagessar, T.K.; Lotito, S.; Mulder, T.; Mela, D.J.; Jeukendrup, A.E.; Jacobs, D.M. Acute effects of green tea extract intake on exogenous and endogenous metabolites in human plasma. J. Agric. Food Chem. 2014, 62, 1198–1208. [Google Scholar] [CrossRef]
- Prommaban, A.; Utama-Ang, N.; Chaikitwattana, A.; Uthaipibull, C.; Porter, J.B.; Srichairatanakool, S. Phytosterol, lipid and phenolic composition, and biological activities of guava seed oil. Molecules 2020, 25, 2474. [Google Scholar] [CrossRef]
- Schymanski, E.L.; Jeon, J.; Gulde, R.; Fenner, K.; Ruff, M.; Singer, H.P.; Hollender, J. Identifying small molecules via high resolution mass spectrometry: Communicating confidence. Environ. Sci. Technol. 2014, 48, 2097–2098. [Google Scholar] [CrossRef]
- Srichairatanakool, S.; Ounjaijean, S.; Thephinlap, C.; Khansuwan, U.; Phisalpong, C.; Fucharoen, S. Iron-chelating and free-radical scavenging activities of microwave-processed green tea in iron overload. Hemoglobin 2006, 30, 311–327. [Google Scholar] [CrossRef]
- Thephinlap, C.; Ounjaijean, S.; Khansuwan, U.; Fucharoen, S.; Porter, J.B.; Srichairatanakool, S. Epigallocatechin-3-gallate and epicatechin-3-gallate from green tea decrease plasma non-transferrin bound iron and erythrocyte oxidative stress. Med. Chem. 2007, 3, 289–296. [Google Scholar] [CrossRef]
- Ma, X.W.; Su, M.Q.; Wu, H.X.; Zhou, Y.G.; Wang, S.B. Analysis of the volatile profile of core Chinese mango germplasm by headspace solid-phase microextraction coupled with gas chromatography-mass spectrometry. Molecules 2018, 23, 1480. [Google Scholar] [CrossRef]
- Dolezel, J.; Bartos, J.; Voglmayr, H.; Greilhuber, J. Nuclear DNA content and genome size of trout and human. Cytom. A 2003, 51, 127–128. [Google Scholar] [CrossRef]
- Powell, W.; Morgante, M.; Doyle, J.J.; McNicol, J.W.; Tingey, S.V.; Rafalski, A.J. Genepool variation in genus Glycine subgenus Soja revealed by polymorphic nuclear and chloroplast microsatellites. Genetics 1996, 144, 793–803. [Google Scholar] [CrossRef] [PubMed]
- Prevost, A.; Wilkinson, M.J. A new system of comparing PCR primers applied to ISSR fingerprinting of potato cultivars. Theor. Appl. Genet. 1999, 98, 107–112. [Google Scholar] [CrossRef]
- Xue-Jun, G.; Yan, Y.; Nan-Xiao, Z.; Hai-Shan, C.H.; Wen-Qing, Q. Genetic variation in the endangered Inner Magnolia endemic shrub Tetraena mongolica Maxim. (Zygophyllaceae). Biol. Conserv. 2003, 111, 427–434. [Google Scholar]
- Smolik, M.; Rzepka-Plevneš, D.; Stankiewicz, I.; Chełpiński, P.; Kowalczys, K. Analysis of genetic similarity of apple tree cultivars. Folia Hort. 2004, 16, 87–94. [Google Scholar]
- Chaowasku, T.; Damthongdee, A.; Jongsook, H.; Ngo, D.T.; Le, H.T.; Tran, D.M.; Suddee, S. Enlarging the monotypic Monocarpieae (Annonaceae, Malmeoideae): Recognition of a second genus from Vietnam informed by morphology and molecular phylogenetics. Candollea 2018, 73, 261–275. [Google Scholar] [CrossRef]
- Guo, X.; Thomas, D.C.; Saunders, R.M.K. Gene tree discordance and coalescent methods support ancient intergeneric hybridisation between Dasymaschalon and Friesodielsia (Annonaceae). Mol. Phylogenet. Evol. 2018, 127, 14–29. [Google Scholar] [CrossRef]
- Xiaolong, Y.; Yuexian, Y.; Meihua, M.; Chuanguang, Z.; Yi, W. Prediction and analysis of genome size of Orophea yunnanensis. J. Southwest For. Univ. 2025, 45, 202–207. [Google Scholar] [CrossRef]
- Aini Habibah, N.; Moeljopawiro, S.; Dewi, K.; Indrianto, A. Flavonoid production, growth and differentiation of Stelechocarpus burahol (Bl.) Hook. F. and Th. Cell suspension culture. Pak. J. Biol. Sci. 2017, 20, 197–203. [Google Scholar] [CrossRef]
- Ignat, I.; Volf, I.; Popa, V.I. A critical review of methods for characterisation of polyphenolic compounds in fruits and vegetables. Food Chem. 2011, 126, 1821–1835. [Google Scholar] [CrossRef]
- Hewlings, S.J.; Kalman, D.S. Curcumin: A Review of Its Effects on Human Health. Foods 2017, 6, 92. [Google Scholar] [CrossRef]
- Oldoni, T.L.C.; Merlin, N.; Karling, M.; Carpes, S.T.; Alencar, S.M.; Morales, R.G.F.; Silva, E.A.D.; Pilau, E.J. Bioguided extraction of phenolic compounds and UHPLC-ESI-Q-TOF-MS/MS characterization of extracts of Moringa oleifera leaves collected in Brazil. Food Res. Int. 2019, 125, 108647. [Google Scholar] [CrossRef]
- Wang, J.; Zhu, Y.; Shi, J.; Yan, H.; Wang, M.; Ma, W.; Zhang, Y.; Peng, Q.; Chen, Y.; Lin, Z. Discrimination and identification of aroma profiles and characterized odorants in citrus blend black tea with different citrus species. Molecules 2020, 25, 4208. [Google Scholar] [CrossRef]








| Primer Name | Nucleotide Sequence (5′ → 3′) | Tm (°C) | Primer Length (bp) |
|---|---|---|---|
| UBC-807 | AGAGAGAGAGAGAGAGT | 46.43 | 17 |
| UBC-808 | AGAGAGAGAGAGAGAGC | 70.48 | 17 |
| UBC-809 | AGAGAGAGAGAGAGAGG | 0.48 | 17 |
| UBC-810 | GAGAGAGAGAGAGAGAT | 87.44 | 17 |
| UBC-811 | GAGAGAGAGAGAGAGAC | 67.46 | 17 |
| UBC-812 | GAGAGAGAGAGAGAGAA | 11.45 | 17 |
| UBC-834 | AGAGAGAGAGAGAGAGYT | 74.48 | 18 |
| UBC-840 | GAGAGAGAGAGAGAGAYT | 0.47 | 18 |
| UBC-841 | GAGAGAGAGAGAGAGAYC | 46.48 | 18 |
| UBC-842 | GAGAGAGAGAGAGAGAYG | 77.48 | 18 |
| Reagents | Volume (μL) |
|---|---|
| DI water | 7.11 |
| 10× PCR buffer | 0.2 |
| 10 mM dNTPs | 0.2 |
| ISSR primer | 0.2 |
| i-TaqTM plus DNA polymerase | 3.0 |
| DNA template | 0.2 |
| PCR Cycle | Temperature (°C) | Time (min) |
|---|---|---|
| Initial Denaturation | 0.94 | 0.4 |
| Denaturation | 0.94 | 40.0 |
| Annealing | 0.48 | 45.0 |
| Extension | 0.72 | 0.02 |
| Final extension | 0.72 | 0.05 |
| Parking | 4.0 | - |
| Sample | Fresh Weight (g) | Dry Weight (g) | Lyophilized Extract | Appearance | Yield (g) | Yield (%) |
|---|---|---|---|---|---|---|
| KL | 107 | 11.81 | KLWE | ![]() | 0.110 | 11.04 |
| KL | 51 | 10.56 | KLEE | ![]() | 0.208 | 20.83 |
| KF | 42 | 13.66 | KFWE | ![]() | 0.321 | 32.15 |
| KF | 43 | 12.09 | KFEE | ![]() | 0.280 | 27.98 |
| KL | 50 | 9.98 | KLWE^ | ![]() | 0.200 | 19.95 |
| KL | 50 | 3.75 | KLEE^ | ![]() | 0.075 | 7.50 |
| KF | 50 | 6.55 | KFWE^ | ![]() | 0.131 | 13.10 |
| KF | 50 | 6.45 | KFEE^ | ![]() | 0.129 | 12.91 |
| Peak | TR (min) | Phenolics | KLWE | KLEE | KFWE | KFEE |
|---|---|---|---|---|---|---|
| 1 | 4.2–5.6 | Gallic acid (mg/kg) | 52.44 | 375.65 | 13.41 | 63.92 |
| 2 | 12.5 | Catechins (mg/kg) | 136.78 | 271.28 | 384.85 | 141.25 |
| 3 | 12.8 | Tannic acid (mg/kg) | 7.60 | 139.60 | 187.72 | 345.91 |
| 4 | 15.0–15.6 | Rutin (mg/kg) | 44.76 | 189.31 | ND | 4.58 |
| 5 | 16.2 | Isoquercetin (mg/kg) | ND | 257.26 | 1.88 | ND |
| 6 | 23.8 | Hydroquinine (mg/kg) | ND | ND | ND | ND |
| 7 | 30.7 | Eriodyctoyl (mg/kg) | 105.88 | 359.75 | ND | ND |
| 8 | 33.1 | Quercetin (mg/kg) | ND | 29.13 | ND | ND |
| 9 | 41.2 | Apigenin (mg/kg) | ND | ND | ND | ND |
| 10 | 42.6 | Kaemferol (mg/kg) | ND | ND | ND | ND |
| TR (min) | Mass (g/mol) | Error | Molecular | Tentative Compounds | ||||
|---|---|---|---|---|---|---|---|---|
| A | B | C | D | Reference | Observed | (ppm) | Formula | |
| 0.824 | 0.861 | 0.855 | 0.864 | 358.090 | 358.089 | −4.07 | C15H18O10 | Dihydrocaffeic acid 3-O-glucuronide |
| ND | 0.861 | ND | 0.847 | 322.069 | 322.067 | −4.82 | C15H14O8 | Gallocatechol |
| 0.868 | ND | ND | ND | 368.126 | 368.126 | 0.05 | C21H20O6 | Cyclocurcumin |
| 0.874 | 42.015 | 21.686 | 21.634 | 336.136 | 336.134 | −6.31 | C21H20O4 | Curcumin III |
| ND | 0.878 | 0.855 | ND | 372.106 | 372.104 | −5.59 | C16H20O10 | Dihydroferulic acid 4-O-glucuronide |
| ND | 1.315 | 0.888 | ND | 224.069 | 224.068 | −2.48 | C11H12O5 | cis-Sinapic acid |
| ND | 0.889 | ND | ND | 484.085 | 484.083 | −4.28 | C20H20O14 | Gallic acid 3-O-(6-galloylglucoside) |
| ND | ND | 0.910 | ND | 312.048 | 312.045 | −8.63 | C13H12O9 | cis-Caffeoyl tartaric acid |
| ND | 0.911 | ND | ND | 610.153 | 610.154 | 1.45 | C27H30O16 | Quercetin 3-(2-glucosylrhamnoside) |
| 0.951 | 0.933 | ND | 0.913 | 148.052 | 148.052 | −4.96 | C9H8O2 | Cinnamic acid |
| 1.089 | 1.089 | 1.104 | 0.913 | 164.047 | 164.047 | −4.43 | C9H8O3 | m-Coumaric acid |
| 1.089 | 0.917 | 0.766 | 1.089 | 150.068 | 150.068 | −1.51 | C9H10O2 | Hydrocinnamic acid |
| 1.095 | 9.792 | 1.131 | ND | 206.094 | 206.093 | −5.66 | C12 H14O3 | Ethyl p-methoxycinnamate |
| 1.095 | ND | 1.098 | ND | 180.042 | 180.041 | −5.81 | C9H8O4 | Caffeic acid |
| ND | ND | 1.098 | ND | 194.058 | 194.057 | −2.70 | C10H10O4 | Ferulic acid |
| 1.543 | 0.928 | 1.729 | 1.765 | 190.099 | 190.099 | −3.92 | C12H14O2 | 3-Dimethylallyl-4-hydroxybenzaldehyde |
| 2.726 | 0.944 | 3.509 | 2.981 | 313.131 | 313.130 | −4.54 | C18H19NO4 | N-Feruloyltyramine |
| 3.799 | 3.871 | ND | ND | 466.111 | 466.108 | −7.78 | C21H22O12 | Epicatechin 7-O-glucuronide |
| 3.816 | 3.870 | ND | ND | 484.085 | 484.083 | −5.69 | C20 H20O14 | Gallic acid 3-O-(6-galloylglucoside) |
| 5.740 | 5.667 | ND | ND | 594.159 | 594.155 | −5.11 | C27H30O15 | Luteolin 7-rhamnosyl(1->6) galactoside |
| 5.954 | ND | ND | 5.954 | 338.115 | 338.116 | 0.53 | C20H18O5 | Demethoxycurcumin |
| 9.206 | ND | ND | ND | 396.157 | 396.154 | −8.67 | C23H24O6 | Curcumin I |
| 9.206 | ND | ND | ND | 374.173 | 374.172 | −2.12 | C21H26O6 | Hexahydrocurcumin |
| 11.578 | 11.578 | 10.694 | ND | 260.105 | 260.104 | −2.09 | C15H16O4 | Dimethylallyl scopoletin |
| ND | 13.962 | 1.331 | ND | 310.105 | 310.104 | −5.40 | C15H18O7 | trans-Cinnamoyl-β-D-glucoside |
| ND | 13.962 | 3.769 | ND | 331.082 | 331.081 | −2.62 | C17H15O7 | Malvidin |
| ND | 14.210 | 14.342 | 14.246 | 308.105 | 308.103 | −4.70 | C19H16O4 | Bisdemethoxycurcumin |
| 14.334 | 18.303 | ND | ND | 128.047 | 128.047 | −1.91 | C6H8O3 | Dihydrophloroglucinol |
| 14.559 | ND | ND | ND | 166.063 | 166.063 | 2.73 | C9H10O3 | Methyl 2-hydroxyphenylacetate |
| ND | 15.057 | ND | 15.048 | 398.137 | 398.136 | −1.75 | C22H22O7 | 5′-Methoxycurcumin |
| 15.290 | 13.375 | ND | 18.493 | 416.220 | 416.219 | −2.42 | C24H32O6 | Deoxyschizandrin |
| 15.594 | 15.538 | 15.598 | 15.534 | 314.115 | 314.114 | −3.95 | C18H18O5 | 2′-Hydroxyenterolactone |
| 14.317 | 18.308 | 1.104 | ND | 152.047 | 152.047 | −1.22 | C8H8O3 | 2-Hydroxyphenylacetic acid |
| 16.396 | 19.082 | ND | ND | 433.114 | 433.112 | −4.65 | C21H21O10 | Isopeonidin 3-arabinoside |
| 16.711 | ND | ND | ND | 404.074 | 404.076 | 3.19 | C19H16O10 | Urolithin A-3-O-glucuronide |
| 17.976 | ND | ND | ND | 316.116 | 316.114 | −5.49 | C14H20O8 | Hydroxytyrosol 1-O-glucoside |
| 18.597 | 18.358 | ND | 17.304 | 360.194 | 360.195 | 4.20 | C21H28O5 | 7-Methylrosmanol |
| 18.641 | 14.017 | ND | 18.001 | 332.199 | 332.201 | 7.58 | C20H28O4 | Carnosic acid |
| 18.664 | 20.470 | ND | ND | 346.178 | 346.180 | 6.10 | C20H26O5 | Epirosmanol |
| 19.360 | 6.203 | ND | ND | 371.173 | 371.173 | −2.17 | C21H25NO5 | 3,4-Dimethoxyphenyl(ethyl)-3,4-dimethoxycinnamic acid amide |
| 21.130 | 20.382 | 24.224 | 21.199 | 126.032 | 126.032 | 2.57 | C6H6O3 | Phloroglucinol |
| 21.191 | 2.985 | ND | 3.485 | 313.131 | 313.132 | 2.66 | C18H19NO4 | N-Feruloyltyramine |
| 21.329 | 15.145 | ND | 14.744 | 374.209 | 374.210 | 0.57 | C22H30O5 | 11,12-Dimethylrosmanol |
| 21.650 | 22.572 | ND | ND | 390.204 | 390.204 | 0.53 | C22H30O6 | 6,7-Dimethoxy-7-epirosmanol |
| 22.413 | 23.257 | 23.279 | 23.260 | 480.090 | 480.093 | 6.10 | C21H20O13 | Quercetin-3′-glucuronide |
| 22.673 | 24.109 | 22.673 | 21.463 | 348.266 | 348.266 | −0.54 | C22H36O3 | 6-Pentadecyl salicylic acid |
| 23.381 | 23.324 | 23.381 | 23.376 | 354.095 | 354.096 | 1.85 | C16H18O9 | Chlorogenic acid |
| 23.535 | ND | 24.424 | 24.366 | 178.062 | 178.062 | −3.86 | C10H10O3 | 4-Methoxycinnamic acid |
| 23.574 | ND | ND | 0.930 | 315.147 | 315.148 | 3.52 | C18H21NO4 | N-Dihydroferuloyltyramine |
| 24.155 | 11.711 | ND | 17.840 | 330.183 | 330.185 | 5.89 | C20H26O4 | Carnosol |
| 26.262 | 26.531 | ND | ND | 422.158 | 422.158 | 0.53 | C21H26O9 | (Dimethylallyl)scopoletin 7-glucoside |
| 27.230 | 27.200 | 27.260 | ND | 370.090 | 370.092 | 5.39 | C16H18O10 | Isoferulic acid 3-O-glucuronide |
| 29.956 | 29.956 | 30.097 | 30.067 | 801.224 | 801.223 | −1.14 | C38H41O19 | Malvidin 3-(coumaroylglucoside)glucoside |
| 30.636 | ND | ND | ND | 625.177 | 625.177 | −0.51 | C28H33O16 | 4′-O-Methyldelphinidin 3-O-rutinoside |
| 34.776 | ND | 34.853 | ND | 834.216 | 834.214 | −2.35 | C45H38O16 | Epifisetinidol-β-Epicatechin-β-Epifisetinidol |
| 35.425 | 34.704 | 34.792 | 34.767 | 534.101 | 534.102 | 1.55 | C24H22O14 | Luteolin 5-(6′-malonylglucoside) |
| 35.928 | 35.993 | ND | ND | 616.106 | 616.108 | 3.26 | C28H24O16 | Quercetin 3-(2-galloylglucoside) |
| ND | ND | 39.443 | 39.562 | 632.101 | 632.102 | 1.30 | C28H24O17 | Ascorbylepigallocatechin 3-gallate |
| ND | ND | 39.476 | ND | 332.074 | 332.076 | 3.62 | C13H16O10 | Glucogallic acid 4-O-glucoside |
| ND | ND | 39.752 | 39.960 | 934.259 | 934.263 | 4.02 | C39H50O26 | Quercetin 3-sophorotrioside 7 rhamnoside |
| ND | ND | 41.423 | ND | 770.191 | 770.194 | 4.45 | C33H38O21 | 6-Hydroxyluteolin 6-glucoside-7-(hydroxy3-methylglutaryl) glucoside |
| 48.548 | ND | 2.409 | ND | 576.127 | 576.125 | −372 | C30 H24O12 | Epicatechin-β-catechin |
| Time | Mass | Molecular | Possible Compound | Sample | |||
|---|---|---|---|---|---|---|---|
| (min) | (m/z) | Formula | A | B | C | D | |
| 22.392 | 430.38 | C29H50O2 | α-Tocopherol | + | |||
| 25.433 | 396.30 | C27H40O2 | δ-Tocotrienol | + | |||
| 27.194 | 424.33 | C29H44O2 | α-Tocotrienol | + | + | ||
| 30.264 | 410.31 | C28H42O2 | γ-Tocotrienol | + | + | ||
| 30.950 | 446.37 | C29H50O3 | α-Tocopherolquinone | + | + | ||
| 31.906 | 416.36 | C28H48O2 | β-Tocopherol | + | + | + | + |
| 41.805 | 535.40 | C35H53NO3 | α-Tocopherol nicotinate | + | |||
| Time (min) | KLWE (mg/g) | KLWE^ (mg/g) | KLEE (mg/g) | KLEE^ (mg/g) | KFWE (mg/g) | KFWE^ (mg/g) | KFEE (mg/g) | KFEE^ (mg/g) |
|---|---|---|---|---|---|---|---|---|
| 8.24 ± 0.03 | 153.7 | 846.8 | 335.3 | 905.1 | 236.7 | 136.8 | 237.8 | 289.4 |
| 11.26 ± 0.20 | 338.2 | 921.4 | 245.0 | 616.9 | 135.4 | 118.2 | 147.6 | 224.2 |
| 13.37 ± 0.21 | ND | 799.9 | ND | 231.9 | 2892.2 | ND | ND | ND |
| Peak | TR (min) | Relative PA of TIC (%) | Identified Compound | Precursor [M+] (m/z) | Key MS/MS Fragments [M]+ (m/z) | Match (%) | MCL |
|---|---|---|---|---|---|---|---|
| 1 | 8.85 | 0.891 | α-Pinene | 136 | 136, 121, 91 | 94 | 2a |
| 2 | 10.67 | 0.991 | β-Pinene | 136 | 136, 107, 93, 69 | 97 | 2a |
| 3 | 11.24 | 8.697 | β-Myrcene | 136 | 136, 93, 69, 41 | 70 | 2a |
| 4 | 12.84 | 1.234 | Limonene | 136 | 136, 93, 68 | 97 | 2a |
| 5 | 12.94 | 1.027 | Eucalyptol | 154 | 139, 111, 108, 95, 81, 71, 55, 43 | 98 | 2a |
| 6 | 13.60 | 7.626 | Ocimene | 136 | 136, 93, 69, 41 | 98 | 2a |
| 7 | 15.12 | 9.747 | α-Terpinolene | 136 | 136, 121 | 75 | 2a |
| 8 | 15.76 | 1.438 | Tricyclene | 136 | 107, 93, 91, 79, 67, 41, 21 | NR | 2 |
| 9 | 26.91 | 0.393 | α-Bergamotene | 204 | 189, 161, 147, 133, 119, 93, 91, 69 | 98 | 2a |
| 10 | 27.10 | 30.817 | Trans β-Caryophyllene | 204 | 161, 133, 119, 93, 69, 55, 41 | 82 | 2a |
| 11 | 27.54 | 3.575 | α-Bergamotene | 204 | 189, 161, 147, 133, 119, 93, 91 | 91 | 2b |
| 12 | 28.25 | 10.304 | α-Humulene | 204 | 204, 161, 93 | 99 | 2a |
| 13 | 29.80 | 1.765 | α-Farnesene | 204 | 204, 161, 93, 81, 69 | 94 | 2b |
| 14 | 30.39 | 0.456 | β-Sesquiphellandrene | 204 | 204, 161, 119, 105, 93, 41 | NR | 4 |
| 15 | 30.89 | 0.649 | α-Bisabolene | 204 | 204, 161, 119, 93 | 89 | 2a |
| 16 | 31.50 | 0.693 | Nerolidol B | 222 | 204, 189, 161, 121, 93, 41 | NR | 4 |
| 17 | 32.54 | 4.216 | β-Gurjunen | 204 | 204, 161, 133, 119, 105, 93, 41 | NR | 4 |
| 18 | 33.28 | 4.255 | α-Cadinene | 204 | 204, 161, 133, 119, 105, 93, 41 | NR | 4 |
| 19 | 34.22 | 6.054 | α-Eudesmol | 222 | 223, 222, 204, 189, 161, 147, 119, 93, 41 | NR | 4 |
| 20 | 34.49 | 5.171 | Bulnesol | 222 | 223, 222, 204, 189, 161, 147, 119, 93, 41 | NR | 4 |
Disclaimer/Publisher’s Note: The statements, opinions and data contained in all publications are solely those of the individual author(s) and contributor(s) and not of MDPI and/or the editor(s). MDPI and/or the editor(s) disclaim responsibility for any injury to people or property resulting from any ideas, methods, instructions or products referred to in the content. |
© 2025 by the authors. Licensee MDPI, Basel, Switzerland. This article is an open access article distributed under the terms and conditions of the Creative Commons Attribution (CC BY) license (https://creativecommons.org/licenses/by/4.0/).
Share and Cite
Kerdto, O.; Koonyosying, P.; Paradee, N.; Junrungsee, S.; Chalortham, N.; Wongsawad, P.; Yawootti, A.; Wongmuangsinghanat, A.; Srichairatanakool, S. Genome Characterization of Stelechocarpus burahol (Blume) Hook.f. & Thomson “Kepel” and Exploration of Phytochemicals from Water and Ethanolic Extracts of Leaves and Fruits. Foods 2025, 14, 3569. https://doi.org/10.3390/foods14203569
Kerdto O, Koonyosying P, Paradee N, Junrungsee S, Chalortham N, Wongsawad P, Yawootti A, Wongmuangsinghanat A, Srichairatanakool S. Genome Characterization of Stelechocarpus burahol (Blume) Hook.f. & Thomson “Kepel” and Exploration of Phytochemicals from Water and Ethanolic Extracts of Leaves and Fruits. Foods. 2025; 14(20):3569. https://doi.org/10.3390/foods14203569
Chicago/Turabian StyleKerdto, Onsaya, Pimpisid Koonyosying, Narisara Paradee, Sunhawit Junrungsee, Nopphadol Chalortham, Pheravut Wongsawad, Artit Yawootti, Amorntip Wongmuangsinghanat, and Somdet Srichairatanakool. 2025. "Genome Characterization of Stelechocarpus burahol (Blume) Hook.f. & Thomson “Kepel” and Exploration of Phytochemicals from Water and Ethanolic Extracts of Leaves and Fruits" Foods 14, no. 20: 3569. https://doi.org/10.3390/foods14203569
APA StyleKerdto, O., Koonyosying, P., Paradee, N., Junrungsee, S., Chalortham, N., Wongsawad, P., Yawootti, A., Wongmuangsinghanat, A., & Srichairatanakool, S. (2025). Genome Characterization of Stelechocarpus burahol (Blume) Hook.f. & Thomson “Kepel” and Exploration of Phytochemicals from Water and Ethanolic Extracts of Leaves and Fruits. Foods, 14(20), 3569. https://doi.org/10.3390/foods14203569









