Ultrasonic-Assisted Fabrication and Stability Evaluation of Pepper Seed Protein Nanoemulsions
Abstract
1. Introduction
2. Materials and Methods
2.1. Materials and Chemicals
2.2. Preparation of PSPI
2.3. Amino Acid Composition
2.4. SDS-PAGE Electrophoresis
2.5. Fourier-Transform Infrared Spectroscopy (FTIR)
2.6. Determination of Functional Properties
2.6.1. Determination of Water-Holding Capacity
2.6.2. Determination of Oil Holding Capacity
2.7. Interfacial Tension Measurement
2.8. Ultrasonic Emulsifying Process for PSPI Nanoemulsions
2.9. Single-Factor Optimization of Ultrasonic Homogenization Parameters
2.10. Optimization of Ultrasonic Homogenization Using Response Surface Methodology
2.11. Stability of PSPI Nanoemulsions
2.11.1. Effect of pH
2.11.2. Effect of Ionic Strength
2.11.3. Effect of Temperature
2.12. Statistical Analysis
3. Results and Discussion
3.1. Amino Acid Composition Analysis of PSPI
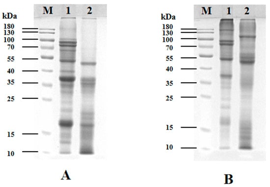
3.2. SDS-PAGE Electrophoresis Analysis
3.3. FT-IR Analysis
3.4. Functional Properties
3.4.1. Water-Holding Capacity (WHC) Analysis
3.4.2. Oil-Holding Capacity Analysis
3.5. Interfacial Tension Analysis
3.6. Analysis of Factors Influencing Ultrasonic Homogenization
3.6.1. Ultrasonic Power
3.6.2. PSPI Concentration
3.6.3. Ultrasonic Time
3.7. Analysis of Response Surface Optimization Results
3.8. Stability of PSPI Nanoemulsion
3.8.1. pH
3.8.2. Ionic Strength
3.8.3. Thermal Stability
4. Conclusions
Author Contributions
Funding
Data Availability Statement
Conflicts of Interest
References
- Wang, F.; Ma, Y.; Wang, Y.; Zhao, L.; Liao, X. Physicochemical properties of seed protein isolates extracted from pepper meal by pressure-assisted and conventional solvent defatting. Food Funct. 2021, 12, 11033–11045. [Google Scholar] [CrossRef]
- Hsu, C.L.; Yen, G.C. Effects of capsaicin on induction of apoptosis and inhibition of adipogenesis in 3T3-L1 cells. J. Agric. Food Chem. 2007, 55, 1730–1736. [Google Scholar] [CrossRef] [PubMed]
- Leung, F.W. Capsaicin-sensitive intestinal mucosal afferent mechanism and body fat distribution. Life Sci. 2008, 83, 1–5. [Google Scholar] [CrossRef]
- Malagarie-Cazenave, S.; Olea-Herrero, N.; Vara, D.; Díaz-Laviada, I. Capsaicin, a component of red peppers, induces expression of androgen receptor via PI3K and MAPK pathways in prostate LNCaP cells. FEBS Lett. 2009, 583, 141–147. [Google Scholar] [CrossRef]
- Sung, J.; Lee, J. Capsicoside G, a furostanol saponin from pepper (Capsicum annuum L.) seeds, suppresses adipogenesis through activation of AMP-activated protein kinase in 3T3-L1 cells. J. Funct. Foods 2016, 20, 148–158. [Google Scholar] [CrossRef]
- Sim, K.H.; Sil, H.Y. Antioxidant activities of red pepper (Capsicum annuum) pericarp and seed extracts. Int. J. Food Sci. Technol. 2008, 43, 1813–1823. [Google Scholar] [CrossRef]
- Azlan, A.; Sultana, S.; Huei, C.S.; Razman, M.R. Antioxidant, anti-obesity, nutritional and other beneficial effects of different chili pepper: A review. Molecules 2022, 27, 898. [Google Scholar] [CrossRef]
- Chouaibi, M.; Rezig, L.; Hamdi, S.; Ferrari, G. Chemical characteristics and compositions of red pepper seed oils extracted by different methods. Ind. Crops Prod. 2019, 128, 363–370. [Google Scholar] [CrossRef]
- Cvetković, T.; Ranilović, J.; Jokić, S. Quality of pepper seed by-products: A review. Foods 2022, 11, 689. [Google Scholar] [CrossRef] [PubMed]
- Firatligil-Durmus, E.; Evranuz, O. Response surface methodology for protein extraction optimization of red pepper seed (Capsicum frutescens). LWT-Food Sci. Technol. 2010, 43, 226–231. [Google Scholar] [CrossRef]
- Manzoor, M.F.; Waseem, M.; Diana, T.; Wang, R.; Ahmed, Z.; Ahmed, I.A.M.; Ali, M.; An-Zeng, X. Ultrasound-assisted modification to improve the red pepper seed protein isolate structural, functional, and antioxidant properties. Int. J. Biol. Macromol. 2025, 309, 128456. [Google Scholar] [CrossRef]
- Silva, H.D.; Cerqueira, M.Â.; Vicente, A.A. Nanoemulsions for food applications: Development and characterization. Food Bioprocess Technol. 2012, 5, 854–867. [Google Scholar] [CrossRef]
- Wang, T.; Luo, Y. Biological fate of ingested lipid-based nanoparticles: Current understanding and future directions. Nanoscale 2019, 11, 11048–11063. [Google Scholar] [CrossRef]
- Zhao, T.; Yan, X.; Sun, L.; Yang, T.; Hu, X.; He, Z.; Liu, F.; Liu, X. Research progress on extraction, biological activities and delivery systems of natural astaxanthin. Trends Food Sci. Technol. 2019, 91, 354–361. [Google Scholar] [CrossRef]
- Karthik, P.; Ezhilarasi, P.N.; Anandharamakrishnan, C. Challenges associated in stability of food grade nanoemulsions. Crit. Rev. Food Sci. Nutr. 2017, 57, 1435–1450. [Google Scholar] [CrossRef] [PubMed]
- Johnson, P.; Trybala, A.; Starov, V.; Pinfield, V.J. Effect of synthetic surfactants on the environment and the potential for substitution by biosurfactants. Adv. Colloid Interface Sci. 2021, 288, 102340. [Google Scholar] [CrossRef] [PubMed]
- Dickinson, E. Adsorbed protein layers at fluid interfaces: Interactions, structure and surface rheology. Colloids Surf. B Biointerfaces 1999, 15, 161–176. [Google Scholar] [CrossRef]
- Zafer, N.; Imran, M. Impact of phytoceuticals: Thymol-loaded zein-based nano-antimicrobials to combat resistant zoonotic pathogen. Ind. Crops Prod. 2024, 222, 119869. [Google Scholar] [CrossRef]
- Awlqadr, F.H.; Ghanbarzadeh, B.; Altemimi, A.B.; Arab, K.; Dadashi, S.; Pezeshki, A.; Hesarinejad, M.A.; Abedelmaksoud, T.G. Encapsulation of lutein in nanoemulsions: Comparative evaluation of chickpea and soy protein isolates on physicochemical stability, antioxidant activity, and rheological properties. Food Chem. X 2025, 28, 102623. [Google Scholar] [CrossRef]
- Walia, N.; Chen, L. Pea protein based vitamin D nanoemulsions: Fabrication, stability and in vitro study using Caco-2 cells. Food Chem. 2020, 305, 125475. [Google Scholar] [CrossRef]
- McClements, D.J. Edible nanoemulsions: Fabrication, properties, and functional performance. Soft Matter 2011, 7, 2297–2316. [Google Scholar] [CrossRef]
- Stepišnik Perdih, T.; Zupanc, M.; Dular, M. Revision of the mechanisms behind oil-water (O/W) emulsion preparation by ultrasound and cavitation. Ultrason. Sonochem. 2019, 51, 298–304. [Google Scholar] [CrossRef] [PubMed]
- Tang, S.Y.; Shridharan, P.; Sivakumar, M. Impact of process parameters in the generation of novel aspirin nanoemulsions -Comparative studies between ultrasound cavitation and microfluidizer. Ultrason. Sonochem. 2013, 20, 485–497. [Google Scholar] [CrossRef]
- Jadhav, A.J.; Holkar, C.R.; Karekar, S.E.; Pinjari, D.V.; Pandit, A.B. Ultrasound assisted manufacturing of paraffin wax nanoemulsions: Process optimization. Ultrason. Sonochem. 2015, 23, 201–207. [Google Scholar] [CrossRef]
- Raviadaran, R.; Ng, M.H.; Manickam, S.; Chandran, D. Ultrasound-assisted water-in-palm oil nano-emulsion: Influence of polyglycerol polyricinoleate and NaCl on its stability. Ultrason. Sonochem. 2019, 52, 353–363. [Google Scholar] [CrossRef]
- Zhu, Y.; Chen, T.; Meng, Z.; Li, T.; Zhang, J.; Zhang, N.; Luo, G.; Wang, Z.; Zhou, Y. Preparation and characterization of a novel green cinnamon essential oil nanoemulsion for the enhancement of safety and shelf-life of strawberries. Int. J. Food Microbiol. 2025, 427, 110935. [Google Scholar] [CrossRef] [PubMed]
- Nie, Y.; Pan, Y.; Jiang, Y.; Xu, D.; Yuan, R.; Zhu, Y.; Zhang, Z. Stability and bioactivity evaluation of black pepper essential oil nanoemulsion. Heliyon 2023, 9, e14730. [Google Scholar] [CrossRef]
- Jeong, M.-S.; Cho, S.-J. Effect of pH-shifting on the water holding capacity and gelation properties of mung bean protein isolate. Food Res. Int. 2024, 177, 113912. [Google Scholar] [CrossRef] [PubMed]
- Hel, S.E.; Mokhtar, S.M. Chemical composition and nutritive value of lantana and sweet pepper seeds and nabak seed kernels. J. Food Sci. 2011, 76, 736–741. [Google Scholar] [CrossRef]
- Yılmaz, E.; Hüriyet, Z. Physico-Chemical and Functional Properties of Extracted Capia Pepperseed (Capsicum annuum L.) Proteins. Waste Biomass Valor. 2017, 8, 871–881. [Google Scholar] [CrossRef]
- Liao, L.; Liu, T.-X.; Zhao, M.-M.; Cui, C.; Yuan, B.-E.; Tang, S.; Yang, F. Functional, nutritional and conformational changes from deamidation of wheat gluten with succinic acid and citric acid. Food Chem. 2010, 123, 123–130. [Google Scholar] [CrossRef]
- Yi, H.; Talmon, G.; Wang, J. Glutamate in cancers: From metabolism to signaling. J. Biomed. Res. 2019, 34, 260–270. [Google Scholar] [CrossRef] [PubMed]
- Razak, M.A.; Begum, P.S.; Viswanath, B.; Rajagopal, S. Multifarious Beneficial Effect of Nonessential Amino Acid, Glycine: A Review. Oxid. Med. Cell. Longev. 2017, 2017, 1716701. [Google Scholar] [CrossRef]
- Ruszczyńska, M.; Sytkiewicz, H. New Insights into Involvement of Low Molecular Weight Proteins in Complex Defense Mechanisms in Higher Plants. Int. J. Mol. Sci. 2024, 25, 8531. [Google Scholar] [CrossRef]
- Kong, J.; Yu, S. Fourier transform infrared spectroscopic analysis of protein secondary structures. Acta Bioch. Bioph. Sin. 2007, 39, 549–559. [Google Scholar] [CrossRef]
- Barth, A. Infrared spectroscopy of proteins. BBA Bioenerg. 2007, 1767, 1073–1101. [Google Scholar] [CrossRef] [PubMed]
- Carbonaro, M.; Nucara, A. Secondary Structure of Food Proteins by Fourier Transform Spectroscopy in the Mid-Infrared Region. Amino Acids 2010, 38, 679–690. [Google Scholar] [CrossRef]
- Moure, A.; Sineiro, J.; Domínguez, H.; Parajó, J.C. Functionality of oilseed protein products: A review. Food Res. Int. 2006, 39, 945–963. [Google Scholar] [CrossRef]
- Benelhadj, S.; Gharsallaoui, A.; Degraeve, P.; Attia, H.; Ghorbel, D. Effect of pH on the functional properties of Arthrospira (Spirulina) platensis protein isolate. Food Chem. 2016, 194, 1056–1063. [Google Scholar] [CrossRef]
- Tang, Q.; Roos, Y.H.; Miao, S. Plant Protein versus Dairy Proteins: A pH-Dependency Investigation on Their Structure and Functional Properties. Foods 2023, 12, 368. [Google Scholar] [CrossRef]
- Shen, Y.; Tang, X.; Li, Y. Drying methods affect physicochemical and functional properties of quinoa protein isolate. Food Chem. 2021, 339, 127823. [Google Scholar] [CrossRef] [PubMed]
- Zhang, Q.; Chen, Y.; Liu, W.; Ye, Y.; Cheng, D.; Zheng, H.; Wu, L. Effects of Tweens on the Structure, interfacial Characteristics, and emulsifying and foaming properties of Ovalbumin. Food Res. Int. 2025, 203, 115824. [Google Scholar] [CrossRef] [PubMed]
- Pan, Z.; Trusler, J.M.; Jin, Z.; Zhang, K. Interfacial property determination from dynamic pendant-drop characterizations. Nat. Protoc. 2025, 20, 363–386. [Google Scholar] [CrossRef]
- Xu, J.; Zhu, X.; Zhang, J.; Li, Z.; Kang, W.; He, H.; Wu, Z.; Dong, Z. Nanoemulsification of soybean oil using ultrasonic microreactor: Process optimization, scale-up and numbering-up in series. Ultrason. Sonochem. 2023, 97, 106451. [Google Scholar] [CrossRef]
- Belgheisi, S.; Motamedzadegan, A.; Milani, J.M.; Rashidi, L.; Rafe, A. Impact of ultrasound processing parameters on physical characteristics of lycopene emulsion. J. Food Sci. Technol. 2021, 58, 484–493. [Google Scholar] [CrossRef]
- Yang, G.; Lin, W.; Lai, H.; Tong, J.; Lei, J.; Yuan, M.; Zhang, Y.; Cui, C. Understanding the relationship between particle size and ultrasonic treatment during the synthesis of metal nanoparticles. Ultrason. Sonochem. 2021, 73, 105497. [Google Scholar] [CrossRef]
- Chen, J.; Dickinson, E. Viscoelastic properties of protein-stabilized emulsions: Effect of protein-surfactant interactions. J. Agric. Food Chem. 1998, 46, 91–97. [Google Scholar] [CrossRef]
- Albano, K.M.; Fazani, C.Â.L.; Nicoletti, V.R. Electrostatic interaction between proteins and polysaccharides: Physicochemical aspects and applications in emulsion stabilization. Food Rev. Int. 2019, 35, 54–89. [Google Scholar] [CrossRef]
- Ren, M.H.; Du, Q.H.; Li, J.M.; Liu, X.L.; Wei, L.S.; Lan, H.X.; Fu, Z. Emulsion-stabilizing properties of Moringa oleifera seed protein and chitosan: Impact of molecular weight and protein concentration. J. Food Meas. Charact. 2025, 19, 4646–4656. [Google Scholar] [CrossRef]
- Yu, M.J.; Feng, R.; Long, S.; Tao, H.; Zhang, B. Stabilizing emulsions by ultrasound-treated pea protein isolate-tannic acid complexes: Impact of ultrasonic power and concentration of complexes on emulsion characteristics. Food Chem. 2025, 463, 141266. [Google Scholar] [CrossRef] [PubMed]
- Pratap-Singh, A.; Guo, Y.; Lara Ochoa, S.; Fathordoobady, F.; Singh, A. Optimal ultrasonication process time remains constant for a specific nanoemulsion size reduction system. Sci. Rep. 2021, 11, 9241. [Google Scholar] [CrossRef]
- Kowarit, S.; Sathapornprasath, K.; Jansri, S.N. Application of hot air-derived RSM conditions and shading for solar drying of avocado pulp and its properties. Sol. Energy 2024, 278, 112768. [Google Scholar] [CrossRef]
- Yang, Q.; Qi, W.; Shao, Y.; Zhang, X.; Wu, F.; Zhang, Z. Stability and pH-Dependent mechanism of Astaxanthin-Loaded nanoemulsions stabilized by almond protein isolate. Foods 2024, 13, 4067. [Google Scholar] [CrossRef]
- McClements, D.J.; Gumus, C.E. Natural emulsifiers-Biosurfactants, phospholipids, biopolymers, and colloidal particles: Molecular and physicochemical basis of functional performance. Adv. Colloid Interface Sci. 2016, 234, 3–26. [Google Scholar] [CrossRef]
- Tan, Y.; Lee, P.W.; Martens, T.D.; McClements, D.J. Comparison of emulsifying properties of plant and animal proteins in oil-in-water emulsions: Whey, soy, and RuBisCo proteins. Food Biophys. 2022, 17, 409–421. [Google Scholar] [CrossRef]
- Liu, W.Y.; Feng, M.Q.; Wang, M.; Wang, P.; Sun, J.; Xu, X.L.; Zhou, G.H. Influence of flaxseed gum and NaCl concentrations on the stability of oil-in-water emulsions. Food Hydrocoll. 2018, 79, 371–381. [Google Scholar] [CrossRef]
- Tian, Y.; Taha, A.; Zhang, P.; Zhang, Z.; Hu, H.; Pan, S. Effects of protein concentration, pH, and NaCl concentration on the physicochemical, interfacial, and emulsifying properties of β-conglycinin. Food Hydrocoll. 2021, 118, 106784. [Google Scholar] [CrossRef]
- Ma, W.; Wang, J.; Wu, D.; Chen, H.; Wu, C.; Du, M. The mechanism of improved thermal stability of protein-enriched O/W emulsions by soy protein particles. Food Funct. 2020, 11, 1385–1396. [Google Scholar] [CrossRef]








| NEAA | Content (g/100 g) | EAA | Content (g/100 g) |
|---|---|---|---|
| Asp | 9.26 ± 0.01 | Thr | 4.79 ± 0.01 |
| Ser | 5.51 ± 0.03 | Val | 5.11 ± 0.01 |
| Glu | 14.11 ± 0.02 | Met | 1.75 ± 0.03 |
| Gly | 9.96 ± 0.03 | Ile | 5.05 ± 0.01 |
| Ala | 8.00 ± 0.02 | Leu | 9.68 ± 0.00 |
| Cys | 0.81 ± 0.01 | Phe | 5.23 ± 0.01 |
| Tyr | 2.70 ± 0.01 | Lys | 5.26 ± 0.01 |
| His | 2.50 ± 0.01 | ||
| Arg | 9.18 ± 0.01 | ||
| Pro | 1.16 ± 0.01 | ||
| Total NEAA | 60.65 ± 0.06 | Total EAA | 39.35 ± 0.06 |
| RSM Experiment | ANOVA | |||||||||
|---|---|---|---|---|---|---|---|---|---|---|
| Run | X1 (W) | X2 (%) | X3 (s) | R (nm) | Source | Sum of Squares | df | Mean Square | F-Value | p-Value |
| 1 | 400 (0) | 0.4 (−1) | 60 (−1) | 626.47 ± 6.61 | Model | 440,800 | 9 | 48,982.64 | 240.40 | <0.0001 |
| 2 | 300 (−1) | 0.4 (−1) | 120 (0) | 506.20 ± 2.71 | X1 | 112,100 | 1 | 112,100 | 550.11 | <0.0001 |
| 3 | 400 (0) | 0.4 (−1) | 180 (1) | 376.90 ± 6.10 | X2 | 3942.72 | 1 | 3942.72 | 19.35 | 0.0032 |
| 4 | 400 (0) | 0.6 (1) | 60 (−1) | 722.10 ± 4.84 | X3 | 181,900 | 1 | 181,900 | 892.78 | <0.0001 |
| 5 | 400 (0) | 0.6 (1) | 180 (1) | 389.10 ± 12.15 | X1X2 | 8547.00 | 1 | 8547.00 | 41.95 | 0.0003 |
| 6 | 500 (1) | 0.5 (0) | 180 (1) | 392.90 ± 5.98 | X1X3 | 33,874.40 | 1 | 1740.28 | 166.25 | <0.0001 |
| 7 | 500 (1) | 0.5 (0) | 60 (−1) | 520.73 ± 10.78 | X2X3 | 1740.28 | 1 | 17,754.37 | 8.54 | 0.0223 |
| 8 | 300 (−1) | 0.5 (0) | 60 (−1) | 958.67 ± 33.24 | X12 | 17,754.37 | 1 | 405.96 | 87.14 | <0.0001 |
| 9 | 500 (1) | 0.6 (1) | 120 (0) | 321.50 ± 4.28 | X22 | 405.96 | 1 | 75,043.86 | 1.99 | 0.2010 |
| 10 | 400 (0) | 0.5 (0) | 120 (0) | 381.17 ± 7.00 | X32 | 75,043.86 | 1 | 203.75 | 368.31 | <0.0001 |
| 11 | 400 (0) | 0.5 (0) | 120 (0) | 380.43 ± 3.50 | Residual | 1426.26 | 7 | 327.19 | ||
| 12 | 400 (0) | 0.5 (0) | 120 (0) | 403.20 ± 1.63 | Lack of fit | 981.56 | 3 | 2.94 | 0.1621 | |
| 13 | 300 (−1) | 0.5 (0) | 180 (1) | 462.73 ± 10.07 | Credibility analysis of the regression equations | |||||
| 14 | 300 (−1) | 0.6 (1) | 120 (0) | 633.53 ± 2.60 | Std. dev | 14.27 | R-squared | 0.9968 | ||
| 15 | 400 (0) | 0.5 (0) | 120 (0) | 385.63 ± 5.00 | Mean | 483.32 | Adj. R-squared | 0.9926 | ||
| 16 | 500 (0) | 0.4 (−1) | 120 (0) | 379.07 ± 3.88 | Second-order polynomial equation | |||||
| 17 | 400 (0) | 0.5 (0) | 120 (0) | 376.167 ± 9.22 | R = 385.32 − 118.37X1 + 22.20X2 − 150.79X3 − 46.23X1X2 + 92.03 X1X3 − 20.86X2X3 + 64.94X12 + 9.82X22 + 133.50X32 | |||||
Disclaimer/Publisher’s Note: The statements, opinions and data contained in all publications are solely those of the individual author(s) and contributor(s) and not of MDPI and/or the editor(s). MDPI and/or the editor(s) disclaim responsibility for any injury to people or property resulting from any ideas, methods, instructions or products referred to in the content. |
© 2025 by the authors. Licensee MDPI, Basel, Switzerland. This article is an open access article distributed under the terms and conditions of the Creative Commons Attribution (CC BY) license (https://creativecommons.org/licenses/by/4.0/).
Share and Cite
Wu, L.; Wei, M.; Lu, N.; Liu, B. Ultrasonic-Assisted Fabrication and Stability Evaluation of Pepper Seed Protein Nanoemulsions. Foods 2025, 14, 2779. https://doi.org/10.3390/foods14162779
Wu L, Wei M, Lu N, Liu B. Ultrasonic-Assisted Fabrication and Stability Evaluation of Pepper Seed Protein Nanoemulsions. Foods. 2025; 14(16):2779. https://doi.org/10.3390/foods14162779
Chicago/Turabian StyleWu, Limin, Mengmeng Wei, Ninghai Lu, and Benguo Liu. 2025. "Ultrasonic-Assisted Fabrication and Stability Evaluation of Pepper Seed Protein Nanoemulsions" Foods 14, no. 16: 2779. https://doi.org/10.3390/foods14162779
APA StyleWu, L., Wei, M., Lu, N., & Liu, B. (2025). Ultrasonic-Assisted Fabrication and Stability Evaluation of Pepper Seed Protein Nanoemulsions. Foods, 14(16), 2779. https://doi.org/10.3390/foods14162779

