Effect of TGase Crosslinking on the Structure, Emulsification, and Gelling Properties of Soy Isolate Proteins
Abstract
1. Introduction
2. Materials and Methods
2.1. Materials
2.2. Methods
2.2.1. Preparation of Soy Protein
2.2.2. TGase Crosslinking of Soy Protein
Heat Treatment of Soy Protein Nanoparticles
Preparation of Soy Protein Nanoparticles with Different TGase Concentrations
Preparation of Soy Protein Nanoparticles with Different TGase Crosslinking Times
2.3. Sodium Dodecyl Sulfate–Polyacrylamide Gel Electrophoresis (SDS-PAGE)
2.4. Measurement of Particle Size and Zeta Potential
2.5. Analysis of Fluorescence Spectra in Protein Samples
2.6. Determination of Surface Hydrophobicity (H0)
2.7. Determination of Free Sulfhydryl (-SH) Group Content
2.8. Fourier-Transform Infrared (FTIR) Spectroscopy
2.9. Emulsifying Activity Index (EAI) and Emulsifying Stability Index (ESI)
2.10. Rheological Examination of SPI Gels
2.11. Statistical Analysis
3. Results and Discussion
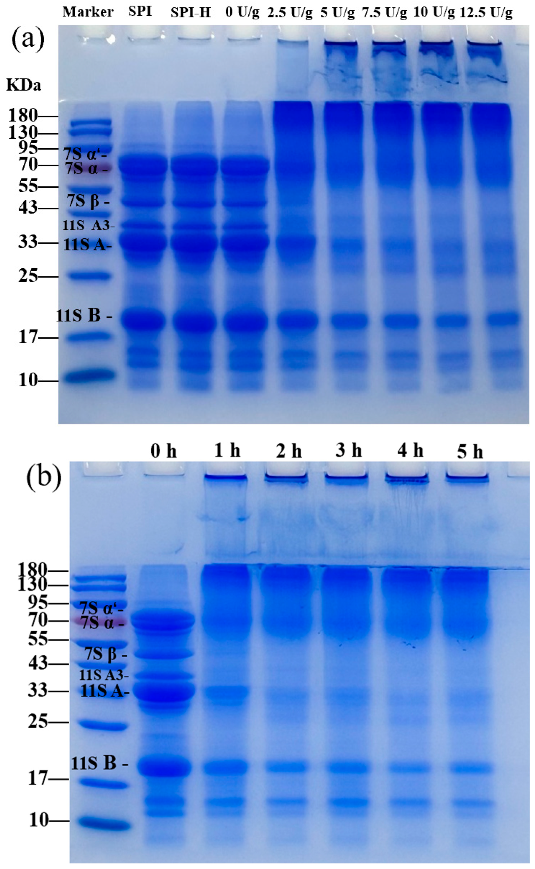
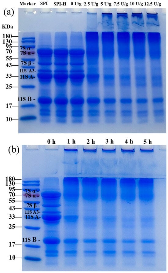
3.1. SDS-PAGE
3.2. Zeta Potential and Particle Size of SPI
3.3. Surface Hydrophobicity (H0)
3.4. Fluorescence Spectroscopy
3.5. Secondary Structure
3.6. Content of Free-SH
3.7. Emulsifying Properties
3.8. Effects of Protein Structure Changes on the Gelation of SPI Crosslinked by TGase
4. Conclusions
Author Contributions
Funding
Institutional Review Board Statement
Informed Consent Statement
Data Availability Statement
Conflicts of Interest
References
- Huang, H.; Krishnan, H.B.; Pham, Q.; Yu, L.L.; Wang, T.T.Y. Soy and Gut Microbiota: Interaction and Implication for Human Health. J. Agric. Food Chem. 2016, 64, 8695–8709. [Google Scholar] [CrossRef] [PubMed]
- Peilong, S.; Weijun, S.; Zhengxun, W.; Sihong, W.; Ning, X. Soy Protein Nanoparticles Prepared by Enzymatic Cross-Linking with Enhanced Emulsion Stability. Soft Matter 2023, 19, 2099–2109. [Google Scholar]
- Duarte, L. Transglutaminases: Part I—Origins, Sources, and Biotechnological Characteristics. World J. Microbiol. Biotechnol. 2020, 36, 15. [Google Scholar] [CrossRef] [PubMed]
- Salunke, P.; Metzger, L.E. Transglutaminase Crosslinked Milk Protein Concentrate and Micellar Casein Concentrate: Impact on the Functionality of Imitation Mozzarella Cheese Manufactured on a Small Scale Using a Rapid Visco Analyzer. Foods 2024, 13, 2720. [Google Scholar] [CrossRef]
- Zhu, Q.; Xu, W.; Zhang, C.; Gong, J.; Qin, X.; Zhang, H.; Liu, G. Transglutaminase-Mediated Glycosylation Enhances the Physicochemical and Functional Properties of Ovalbumin. Food Hydrocoll. 2024, 153, 109992. [Google Scholar] [CrossRef]
- Velazquez-Dominguez, A.; Hiolle, M.; Abdallah, M.; Delaplace, G.; Peixoto, P.P.S. Transglutaminase Cross-Linking on Dairy Proteins: Functionalities, Patents, and Commercial Uses. Int. Dairy J. 2023, 143, 105688. [Google Scholar] [CrossRef]
- Savoca, M.; Tonoli, E.; Atobatele, A.; Verderio, E. Biocatalysis by Transglutaminases: A Review of Biotechnological Applications. Micromachines 2018, 9, 562. [Google Scholar] [CrossRef]
- Kaczynska, K.; Wouters, A.G.B.; Delcour, J.A. Microbial Transglutaminase Induced Modification of Wheat Gliadin Based Nanoparticles and Its Impact on Their Air-Water Interfacial Properties. Food Hydrocoll. 2022, 127, 107471. [Google Scholar] [CrossRef]
- Wang, X.; Wang, Y.; Wang, X.; Xing, Y.; Kuang, C.; Luo, K.; Cheng, Y.; Wang, S. Influence of Substrate Aggregation State on the Enzymatic-Induced Crosslinking of Soy Protein Isolate. Food Chem. 2024, 442, 138484. [Google Scholar] [CrossRef]
- Liu, Z.; Wang, Y.; Liu, Y.; Zhang, Q.; Li, W.; Dong, M.; Rui, X. The Conformational Structural Change of Soy Glycinin via Lactic Acid Bacteria Fermentation Reduced Immunoglobulin E Reactivity. Foods 2021, 10, 2969. [Google Scholar] [CrossRef]
- Hu, J.; Yang, J.; Xu, Y.; Zhang, K.; Nishinari, K.; Phillips, G.O.; Fang, Y. Comparative Study on Foaming and Emulsifying Properties of Different Beta-Lactoglobulin Aggregates. Food Funct. 2019, 10, 5922–5930. [Google Scholar] [CrossRef] [PubMed]
- Huang, Z.; Sun, J.; Zhao, L.; He, W.; Liu, T.; Liu, B. Analysis of the Gel Properties, Microstructural Characteristics, and Intermolecular Forces of Soybean Protein Isolate Gel Induced by Transglutaminase. Food Sci. Nutr. 2022, 10, 772–783. [Google Scholar] [CrossRef] [PubMed]
- Li, S.; Huang, Y.; An, F.; Huang, Q.; Geng, F.; Ma, M. Hydroxyl Radical-Induced Early Stage Oxidation Improves the Foaming and Emulsifying Properties of Ovalbumin. Poult. Sci. 2019, 98, 1047–1054. [Google Scholar] [CrossRef] [PubMed]
- Singh, A.; Meena, M.; Kumar, D.; Dubey, A.K.; Hassan, M.I. Structural and Functional Analysis of Various Globulin Proteins from Soy Seed. Crit. Rev. Food Sci. Nutr. 2015, 55, 1491–1502. [Google Scholar] [CrossRef]
- Chen, Y.; Sun, Y.; Meng, Y.; Liu, S.; Ding, Y.; Zhou, X.; Ding, Y. Synergistic Effect of Microfluidization and Transglutaminase Cross-Linking on the Structural and Oil–Water Interface Functional Properties of Whey Protein Concentrate for Improving the Thermal Stability of Nanoemulsions. Food Chem. 2023, 408, 135147. [Google Scholar] [CrossRef]
- Hsieh, J.-F.; Yu, C.-J.; Chang, J.-Y.; Chen, S.-T.; Tsai, H.-Y. Microbial Transglutaminase-Induced Polymerization of β-Conglycinin and Glycinin in Soymilk: A Proteomics Approach. Food Hydrocoll. 2014, 35, 678–685. [Google Scholar] [CrossRef]
- Can Karaca, A.; Low, N.H.; Nickerson, M.T. Potential Use of Plant Proteins in the Microencapsulation of Lipophilic Materials in Foods. Trends Food Sci. Technol. 2015, 42, 5–12. [Google Scholar] [CrossRef]
- Aslan Türker, D.; Göksel Saraç, M.; Yetiman, A.E.; Doğan, M. Interfacial Properties of Poppy Seed Protein (Papaver Somniferum L.) as an Alternative Protein Source at Oil/Water Interface: Influence of pH on Stability, Morphology and Rheology. Eur. Food Res. Technol. 2021, 247, 2545–2556. [Google Scholar] [CrossRef]
- Ahn, H.J.; Kim, J.H.; Ng, P.K.W. Functional and Thermal Properties of Wheat, Barley, and Soy Flours and Their Blends Treated with a Microbial Transglutaminase. J. Food Sci. 2005, 70, c380–c386. [Google Scholar] [CrossRef]
- Lu, S.; Xiong, W.; Yao, Y.; Zhang, J.; Wang, L. Investigating the Physicochemical Properties and Air-Water Interface Adsorption Behavior of Transglutaminase-Crosslinking Rapeseed Protein Isolate. Food Res. Int. 2023, 174, 113505. [Google Scholar] [CrossRef]
- Zhu, J.; Deng, H.; Yang, A.; Wu, Z.; Li, X.; Tong, P.; Chen, H. Effect of Microbial Transglutaminase Cross-Linking on the Quality Characteristics and Potential Allergenicity of Tofu. Food Funct. 2019, 10, 5485–5497. [Google Scholar] [CrossRef] [PubMed]
- Hou, S.; Lai, C.; Song, Y.; Wang, H.; Ni, J.; Tan, M. A Food-Grade and Senescent Cell-Targeted Fisetin Delivery System Based on Whey Protein Isolate-Galactooligosaccharides Maillard Conjugate. Food Sci. Hum. Wellness 2024, 13, 688–697. [Google Scholar] [CrossRef]
- Zhang, L.; Xiao, Q.; Wang, Y.; Hu, J.; Xiong, H.; Zhao, Q. Effects of Sequential Enzymatic Hydrolysis and Transglutaminase Crosslinking on Functional, Rheological, and Structural Properties of Whey Protein Isolate. LWT 2022, 153, 112415. [Google Scholar] [CrossRef]
- Babiker, E.E. Effect of Transglutaminase Treatment on the Functional Properties of Native and Chymotrypsin-Digested Soy Protein. Food Chem. 2000, 70, 139–145. [Google Scholar] [CrossRef]
- Sorgentini, D.A.; Wagner, J.R.; Anon, M.C. Effects of Thermal Treatment of Soy Protein Isolate on the Characteristics and Structure-Function Relationship of Soluble and Insoluble Fractions. J. Agric. Food Chem. 1995, 43, 2471–2479. [Google Scholar] [CrossRef]
- Pereira, R.N.; Souza, B.W.S.; Cerqueira, M.A.; Teixeira, J.A.; Vicente, A.A. Effects of Electric Fields on Protein Unfolding and Aggregation: Influence on Edible Films Formation. Biomacromolecules 2010, 11, 2912–2918. [Google Scholar] [CrossRef]
- Damodaran, S.; Agyare, K.K. Effect of Microbial Transglutaminase Treatment on Thermal Stability and pH-Solubility of Heat-Shocked Whey Protein Isolate. Food Hydrocoll. 2013, 30, 12–18. [Google Scholar] [CrossRef]
- Ouyang, Y.; Xu, J.; Ji, F.; Tan, M.; Luo, S.; Zhong, X.; Zheng, Z. Properties of Transglutaminase-induced Myofibrillar/Wheat Gluten Gels. J. Food Sci. 2021, 86, 2387–2397. [Google Scholar] [CrossRef]
- Byler, D.M.; Susi, H. Examination of the Secondary Structure of Proteins by Deconvolved FTIR Spectra. Biopolymers 1986, 25, 469–487. [Google Scholar] [CrossRef]
- Wu, S.; Xia, J.; Wei, Z.; Sun, W.; Zhang, X.; Xiang, N. Preparation, Characterization, and Foaming Properties of Soy Protein Nanoparticles by the Cross-Linking Reaction Induced by Microbial Transglutaminase. Food Hydrocoll. 2023, 140, 108627. [Google Scholar] [CrossRef]
- Wu, X.; Liu, Y.; Liu, A.; Wang, W. Improved Thermal-Stability and Mechanical Properties of Type I Collagen by Crosslinking with Casein, Keratin and Soy Protein Isolate Using Transglutaminase. Int. J. Biol. Macromol. 2017, 98, 292–301. [Google Scholar] [CrossRef] [PubMed]
- Clara Sze, K.W.; Kshirsagar, H.H.; Venkatachalam, M.; Sathe, S.K. A Circular Dichroism and Fluorescence Spectrometric Assessment of Effects of Selected Chemical Denaturants on Soybean (Glycine max L.) Storage Proteins Glycinin (11S) and β-Conglycinin (7S). J. Agric. Food Chem. 2007, 55, 8745–8753. [Google Scholar] [CrossRef] [PubMed]
- Miao, L.; Zhu, J.; Peng, X.; Feng, J.; Dong, H.; Tong, X.; Wang, H.; Jiang, L. Effects of CaCl2 Concentration on Fibrils Formation and Characteristics of Soybean Protein Isolate and β-Conglycinin/Glycinin. Food Hydrocoll. 2023, 142, 108769. [Google Scholar] [CrossRef]
- Zhang, T.; Zhao, Y.; Tian, X.; Liu, J.; Ye, H.; Shen, X. Effect of Ultrasound Pretreatment on Structural, Physicochemical, Rheological and Gelation Properties of Transglutaminase Cross-Linked Whey Protein Soluble Aggregates. Ultrason. Sonochemistry 2021, 74, 105553. [Google Scholar] [CrossRef]
- Xing, G.; Hui, T.; Liu, J.; Yang, S. Impact of Transglutaminase-Mediated Crosslinking on the Conformational Changes in a Dual-Protein System and IgE Reactivity of Soy Protein. Molecules 2024, 29, 3371. [Google Scholar] [CrossRef]
- Li, C.; Wu, X.; Mu, D.; Zhao, Y.; Luo, S.; Zhong, X.; Jiang, S.; Li, X.; Zheng, Z. Effect of Partial Hydrolysis with Papain on the Characteristics of Transglutaminase-Crosslinked Tofu Gel. J. Food Sci. 2018, 83, 3092–3098. [Google Scholar] [CrossRef]
- Noh, J.-M.; Rho, S.-J.; Kim, Y.-R. Functional Properties of Enzymatically Modified High-Protein Sesame Meal Extracts as a Natural Food Emulsifier. LWT 2025, 217, 117434. [Google Scholar] [CrossRef]
- Ali, N.A.; Ahmed, S.H.; Mohamed, E.A.; Ahmed, A.M.; Babiker, E.E. Changes in Functional Properties by Transglutaminase Cross Linking as A Function of Ph of Legumes Protein Isolate. Innov. Rom. Food Biotechnol. 2010, 7, 12–20. [Google Scholar]
- Anuradha, S.N.; Prakash, V. Altering Functional Attributes of Proteins through Cross Linking by Transglutaminase—A Case Study with Whey and Seed Proteins. Food Res. Int. 2009, 42, 1259–1265. [Google Scholar] [CrossRef]
- Jiang, Z.; Wang, C.; Li, T.; Sun, D.; Gao, H.; Gao, Z.; Mu, Z. Effect of Ultrasound on the Structure and Functional Properties of Transglutaminase-Crosslinked Whey Protein Isolate Exposed to Prior Heat Treatment. Int. Dairy J. 2019, 88, 79–88. [Google Scholar] [CrossRef]
- Demirkıran, E.; Başyіğit, B.; Altun, G.; Yücetepe, M.; Sağlam, H.; Karaaslan, M. Facile Construction of Fruit Protein Based Natural Hydrogel via Intra/Inter Molecular Cross-Linking. Food Hydrocoll. 2022, 133, 10789. [Google Scholar] [CrossRef]
- Zhao, Q.; Xiong, H.; Selomulya, C.; Chen, X.D.; Zhong, H.; Wang, S.; Sun, W.; Zhou, Q. Enzymatic Hydrolysis of Rice Dreg Protein: Effects of Enzyme Type on the Functional Properties and Antioxidant Activities of Recovered Proteins. Food Chem. 2012, 134, 1360–1367. [Google Scholar] [CrossRef] [PubMed]
- Song, C.; Zhao, X. Rheological, Gelling and Emulsifying Properties of a Glycosylated and Cross-linked Caseinate Generated by Transglutaminase. Int. J. Food Sci. Tech. 2013, 48, 2595–2602. [Google Scholar] [CrossRef]
- Feng, L.; Jia, X.; Yan, J.; Yan, W.; Yin, L. Mechanical, Thermal Stability and Microstructural Properties of Emulsion-Filled Gels: Effect of Sugar Beet Pectin/Soy Protein Isolate Ratio. LWT 2021, 141, 110917. [Google Scholar] [CrossRef]
- Spotti, M.J.; Tarhan, Ö.; Schaffter, S.; Corvalan, C.; Campanella, O.H. Whey Protein Gelation Induced by Enzymatic Hydrolysis and Heat Treatment: Comparison of Creep and Recovery Behavior. Food Hydrocoll. 2017, 63, 696–704. [Google Scholar] [CrossRef]









| Secondary Structure Composition (%) | ||||
|---|---|---|---|---|
| Protein Sample | A-Helix (%) | Β-Sheet (%) | Β-Turn (%) | Random Coil (%) |
| TG-0 U/g | 16.58 ± 0.27 a | 39.79 ± 0.33 c | 26.65 ± 0.11 a | 16.99 ± 0.05 b |
| TG-2.5 U/g | 16.43 ± 0.17 a | 40.39 ± 0.21 c | 25.47 ± 0.10 b | 17.72 ± 0.16 a |
| TG-5 U/g | 16.12 ± 0.28 a | 40.15 ± 0.27 c | 26.68 ± 0.13 a | 17.06 ± 0.15 b |
| TG-7.5 U/g | 16.34 ± 0.25 a | 41.50 ± 0.37 b | 25.52 ± 0.42 b | 16.64 ± 0.16 c |
| TG-10 U/g | 16.43 ± 0.23 a | 41.75 ± 0.26 b | 24.65 ± 0.11 c | 17.18 ± 0.14 b |
| TG-12.5 U/g | 16.08 ± 0.37 a | 42.96 ± 0.33 a | 24.57 ± 0.17 c | 16.40 ± 0.13 c |
| TG-0 h | 16.35 ± 0.20 b | 37.90 ± 0.25 b | 27.92 ± 0.27 a | 17.84 ± 0.31 c |
| TG-1 h | 18.17 ± 0.23 a | 38.45 ± 0.37 b | 24.65 ± 0.16 d | 18.74 ± 0.57 b |
| TG-2 h | 17.76 ± 0.38 a | 38.35 ± 0.30 b | 26.05 ± 0.11 c | 17.85 ± 0.04 c |
| TG-3 h | 16.96 ± 0.24 b | 39.67 ± 0.31 a | 24.82 ± 0.21 d | 18.50 ± 0.07 b |
| TG-4 h | 16.72 ± 0.30 b | 38.24 ± 0.26 b | 25.70 ± 0.38 c | 19.35 ± 0.35 a |
| TG-5 h | 15.69 ± 0.23 c | 38.59 ± 0.26 b | 27.11 ± 0.20 b | 18.61 ± 0.28 b |
Disclaimer/Publisher’s Note: The statements, opinions and data contained in all publications are solely those of the individual author(s) and contributor(s) and not of MDPI and/or the editor(s). MDPI and/or the editor(s) disclaim responsibility for any injury to people or property resulting from any ideas, methods, instructions or products referred to in the content. |
© 2025 by the authors. Licensee MDPI, Basel, Switzerland. This article is an open access article distributed under the terms and conditions of the Creative Commons Attribution (CC BY) license (https://creativecommons.org/licenses/by/4.0/).
Share and Cite
Peng, Z.; Liu, K.; Liao, N. Effect of TGase Crosslinking on the Structure, Emulsification, and Gelling Properties of Soy Isolate Proteins. Foods 2025, 14, 2130. https://doi.org/10.3390/foods14122130
Peng Z, Liu K, Liao N. Effect of TGase Crosslinking on the Structure, Emulsification, and Gelling Properties of Soy Isolate Proteins. Foods. 2025; 14(12):2130. https://doi.org/10.3390/foods14122130
Chicago/Turabian StylePeng, Ziqi, Kunlun Liu, and Ning Liao. 2025. "Effect of TGase Crosslinking on the Structure, Emulsification, and Gelling Properties of Soy Isolate Proteins" Foods 14, no. 12: 2130. https://doi.org/10.3390/foods14122130
APA StylePeng, Z., Liu, K., & Liao, N. (2025). Effect of TGase Crosslinking on the Structure, Emulsification, and Gelling Properties of Soy Isolate Proteins. Foods, 14(12), 2130. https://doi.org/10.3390/foods14122130
