Stability and pH-Dependent Mechanism of Astaxanthin-Loaded Nanoemulsions Stabilized by Almond Protein Isolate
Abstract
1. Introduction
2. Materials and Methods
2.1. Materials
2.2. Preparation of APIs
2.3. Characterization Analysis of APIs
2.3.1. SEM Images of APIs
2.3.2. Molecular Mass
2.3.3. Fourier-Transform Infrared Spectroscopy (FT-IR)
2.3.4. Contact Angles
2.3.5. Emulsifying Activity Index (EAI), Emulsifying Stability Index (ESI), Foaminess Index (FC), and Foam Stability Index (FS) of APIs
2.4. Preparation and Characterization of Emulsions Stabilized by APIs
2.4.1. Emulsion Preparation
2.4.2. Microstructure Observation
2.4.3. Droplet Size and Zeta Potential Measurements
2.4.4. Interface Adsorption Rate of Proteins
2.4.5. Rheological Measurements
2.4.6. Creaming Index (CI) Analysis of APIs
2.5. Encapsulated Astaxanthin
2.5.1. Preparation of Astaxanthin-Loaded Emulsions
2.5.2. Color Determination
2.5.3. Determination of Astaxanthin Encapsulation Efficiency
2.6. Statistical Analysis
3. Results and Discussion
3.1. Characterization of APIs
3.1.1. Morphology of API
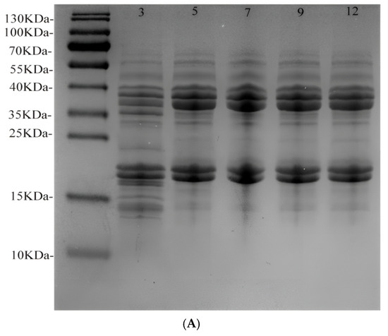
3.1.2. Structure of the API
3.1.3. Emulsification Activity Index (EAI), Emulsification Stability Index (ESI), Foaming Capacity (FC), and Foaming Stability (FS)
3.1.4. Contact Angle
3.2. Characterization of API-PE
3.2.1. Microstructure
3.2.2. Droplet Size and Zeta Potential
3.2.3. Interfacial Protein Adsorption Rate
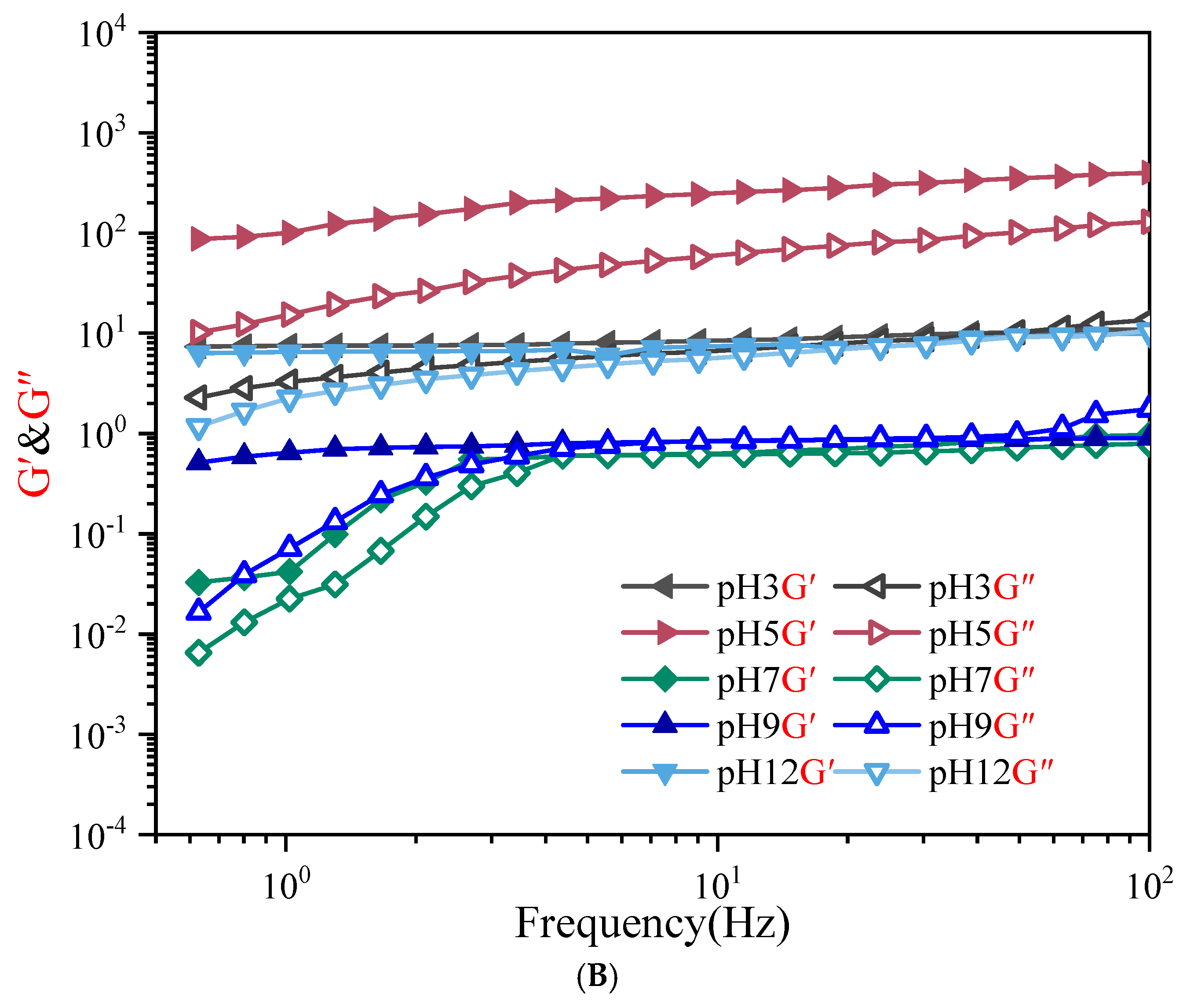
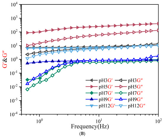
3.2.4. Rheology
3.2.5. Creaming Index (CI)
3.3. Embedding AST
4. Conclusions
Author Contributions
Funding
Institutional Review Board Statement
Informed Consent Statement
Data Availability Statement
Conflicts of Interest
Abbreviations
| Abbreviations | Full Name |
| API | Almond protein isolate |
| AST | Astaxanthin |
| CI | Creaming index |
| CLSM | Confocal laser scanning microscopy |
| Cryo-SEM | Cryo-scanning electron microscopy |
| DI water | Deionized water |
| ESI | Emulsifying stability index |
| EAI | Emulsifying activity index |
| FC | Foaminess index |
| FS | Foam stability index |
| FT-IR | Fourier-transform infrared spectrometer |
| G′ | Storage modulus |
| G″ | Loss modulus |
| HCL | Hydrochloric acid |
| NaOH | Sodium hydroxide |
| OM | Optical microscope |
| PE | Pickering emulsion |
| SEM | Scanning electron microscope |
| SDS-PAGE | Sodium dodecyl sulfate-polyacrylamide gel electrophoresis |
References
- Capek, I. Degradation of kinetically-stable o/w emulsions. Adv. Colloid Interface Sci. 2004, 107, 125–155. [Google Scholar] [CrossRef] [PubMed]
- Dokic, L.; Krstonosic, V.; Nikolic, I. Physicochemical characteristics and stability of oil-in-water emulsions stabilized by OSA starch. Food Hydrocoll. 2012, 29, 185–192. [Google Scholar] [CrossRef]
- Pichot, R.; Spyropoulos, F.; Norton, I.T. O/W emulsions stabilised by both low molecular weight surfactants and colloidal particles: The effect of surfactant type and concentration. J. Colloid Interface Sci. 2010, 352, 128–135. [Google Scholar] [CrossRef] [PubMed]
- Salvia-Trujillo, L.; Verkempinck, S.; Rijal, S.K.; Van Loey, A.; Grauwet, T.; Hendrickx, M. Lipid nanoparticles with fats or oils containing beta-carotene: Storage stability and in vitro digestibility kinetics. Food Chem. 2019, 278, 396–405. [Google Scholar] [CrossRef] [PubMed]
- Yuan, D.B.; Hu, Y.Q.; Zeng, T.; Yin, S.W.; Tang, C.H.; Yang, X.Q. Development of stable Pickering emulsions/oil powders and Pickering HIPEs stabilized by gliadin/chitosan complex particles. Food Funct. 2017, 8, 2220–2230. [Google Scholar] [CrossRef] [PubMed]
- Yan, X.J.; Ma, C.C.; Cui, F.Z.; McClements, D.J.; Liu, X.B.; Liu, F.G. Protein-stabilized Pickering emulsions: Formation, stability, properties, and applications in foods. Trends Food Sci. Technol. 2020, 103, 293–303. [Google Scholar] [CrossRef]
- Sun, Z.; Yan, X.X.; Xiao, Y.; Hu, L.J.; Eggersdorfer, M.; Chen, D.; Yang, Z.Z.; Weitz, D.A. Pickering emulsions stabilized by colloidal surfactants: Role of solid particles. Particuology 2022, 64, 153–163. [Google Scholar] [CrossRef]
- de Folter, J.W.J.; van Ruijven, M.W.M.; Velikov, K.P. Oil-in-water Pickering emulsions stabilized by colloidal particles from the water-insoluble protein zein. Soft Matter 2012, 8, 6807–6815. [Google Scholar] [CrossRef]
- Schroder, A.; Sprakel, J.; Schroen, K.; Berton-Carabin, C.C. Tailored microstructure of colloidal lipid particles for Pickering emulsions with tunable properties. Soft Matter 2017, 13, 3190–3198. [Google Scholar] [CrossRef]
- Almeida, F.S.; da Silva, A.M.M.; Mendes, G.A.C.; Sato, A.C.K.; Cunha, R.L. Almond protein as Pickering emulsion stabilizer: Impact of microgel fabrication method and pH on emulsion stability. Int. J. Biol. Macromol. 2024, 280, 135812. [Google Scholar] [CrossRef]
- Ghaedi, N.; Hosseini, E. Physical and oxidative stability of emulsions treated with bitter almond gum-soy protein isolate Maillard conjugates. LWT-Food Sci. Technol. 2021, 152, 9. [Google Scholar] [CrossRef]
- Huang, G.; Liu, G.C.; Xu, Z.J.; Jiang, L.Z.; Zhang, Y.; Sui, X.A. Stability, rheological behavior and microstructure of Pickering emulsions co-stabilized by soy protein and carboxymethyl chitosan. Food Hydrocoll. 2023, 142, 12. [Google Scholar] [CrossRef]
- Caihong, L.; Juan, S.; Longlin, W.; Pengjie, W.; Jinxiu, M.; Baotang, Z.; Xuhui, C.; Ying, W.; Weibing, Z.; Pengcheng, W. The impacts of different modification techniques on the gel properties and structural characteristics of fish gelatin. Food Hydrocoll. 2025, 158, 110536. [Google Scholar] [CrossRef]
- Cheng, C.; Sun, M.; Wang, L.; Wang, H.; Li, L.; Yang, Q.; Zhao, Y.; Chen, W.; Wang, P. Zein and soy polysaccharide encapsulation enhances probiotic viability and modulates gut microbiota. LWT—Food Sci. Technol. 2024, 210, 116827. [Google Scholar] [CrossRef]
- Sun, Z.; Li, D.; Lin, P.; Zhao, Y.; Zhang, J.; Sergeeva, I.; Li, Y.; Zheng, H. Preparation, characterization, and binding mechanism of quercetin-loaded composite nanoparticles based on zein-soybean protein isolate. Food Chem. 2025, 463, 141359. [Google Scholar] [CrossRef]
- Shabana, S.; Prasansha, R.; Kalinina, I.; Potoroko, I.; Bagale, U.; Shirish, S.H. Ultrasound assisted acid hydrolyzed structure modification and loading of antioxidants on potato starch nanoparticles. Ultrason. Sonochem. 2019, 51, 444–450. [Google Scholar] [CrossRef]
- Juan, D.; Chun-Yan, X.; Yan-Xia, L.; Zhuo-Qun, M.; Xiao-Ting, C.; Ai-Ping, L.; Xiao-Qiang, H. Functional properties of bitter almond protein. J. Food Saf. Qual. 2018, 9, 1605–1610. [Google Scholar]
- Zhu, Z.; Zhao, C.; Yi, J.; Cui, L.; Liu, N.; Cao, Y.; Decker, E.A. Ultrasound improving the physical stability of oil-in-water emulsions stabilized by almond proteins. J. Sci. Food Agric. 2018, 98, 4323–4330. [Google Scholar] [CrossRef] [PubMed]
- Cheng, J.; Shen, S.; Yang, H.; Tang, D.; Wang, X.; Lin, Y.; Liu, X. Improved physicochemical stability and bioaccessibility of astaxanthin-loaded oil-in-water emulsions by a casein-caffeic acid-glucose ternary conjugate. Food Res. Int. 2023, 163, 112153. [Google Scholar] [CrossRef]
- Pan, L.; Meng, H.; Li, J.; Liu, Z.; Zhang, D.; Liu, Z.; Zhao, Q.; Xu, F. Enhancement of Astaxanthin Bioaccessibility by Encapsulation in Liposomes: An In Vitro Study. Molecules 2024, 29, 1687. [Google Scholar] [CrossRef]
- Chen, L.; Li, L.; Chen, H.; Cui, B.; Gao, F.; Gao, J.; Zhao, X.; Wang, Y.; Cui, H.; Zeng, Z. Chitin nanocrystal Pickering emulsions for sustainable release pesticide microencapsulation with superior leaf adhesion and enhanced safety. Chem. Eng. J. 2024, 500, 157452. [Google Scholar] [CrossRef]
- Zhang, G.; Yan, Y.; He, L.; Qi, X.; Zhao, Y.; Wang, X.; Liu, M.; Ding, Z.; Wang, Z.; Van der Meeren, P. pH-driven fabrication of a caseinate-pectin polyelectrolyte complex as a promising carrier for lutein and zeaxanthin delivery: Microencapsulation, stability, and sustained release properties. Int. J. Biol. Macromol. 2024, 281 Pt 2, 136101. [Google Scholar] [CrossRef]
- Affandi, M.M.R.M.M.; Julianto, T.; Majeed, A.B.A. Enhanced Oral Bioavailability of Astaxanthin with Droplet Size Reduction. Food Sci. Technol. Res. 2012, 18, 549–554. [Google Scholar] [CrossRef]
- Saechio, S.; Akanitkul, P.; Thiyajai, P.; Jain, S.; Tangsuphoom, N.; Suphantharika, M.; Winuprasith, T. Astaxanthin-Loaded Pickering Emulsions Stabilized by Nanofibrillated Cellulose: Impact on Emulsion Characteristics, Digestion Behavior, and Bioaccessibility. Polymers 2023, 15, 901. [Google Scholar] [CrossRef]
- Zhang, Y.; Wang, H.; Hou, Y.; Song, J.; Shang, W.; Zhang, P.; Hou, S.; Tan, M. Pickering emulsion stabilized by gliadin nanoparticles for astaxanthin delivery. J. Food Eng. 2023, 345, 111417. [Google Scholar] [CrossRef]
- Tang, J.; Song, S.; Zhang, J.; Li, Y.; Tao, L.; Wu, Q.; Zhao, Y.; Yu, L. Buckwheat protein as macromolecular emulsifier to stabilize antarctic krill oil-loaded emulsion: Study on physicochemical properties, microstructure, and functional properties. J. Cereal Sci. 2024, 120, 104027. [Google Scholar] [CrossRef]
- Gao, Y.; Yuan, S.; Chen, Y.; Liu, F.; Wei, Z.; Cao, W.; Li, R.W.; Xu, J.; Xue, C.; Tang, Q. The improvement effect of astaxanthin-loaded emulsions on obesity is better than that of astaxanthin in the oil phase. Food Funct. 2022, 13, 3720–3731. [Google Scholar] [CrossRef]
- Sze-Tao, K.W.C.; Sathe, S.K. Functional properties and in vitro digestibility of almond (Prunus dulcis L.) protein isolate. Food Chem. 2000, 69, 153–160. [Google Scholar] [CrossRef]
- Mandalari, G.; Tomaino, A.; Arcoraci, T.; Martorana, M.; Lo Turco, V.; Cacciola, F.; Rich, G.T.; Bisignano, C.; Saija, A.; Dugo, P.; et al. Characterization of polyphenols, lipids and dietary fibre from almond skins (Amygdalus communis L.). J. Food Compos. Anal. 2010, 23, 166–174. [Google Scholar] [CrossRef]
- Liu, F.; Tang, C.H. Cold, gel-like whey protein emulsions by microfluidisation emulsification: Rheological properties and microstructures. Food Chem. 2011, 127, 1641–1647. [Google Scholar] [CrossRef]
- Fullington, J.G.; Cole, E.W.; Kasarda, D.D. QUANTITATIVE SDS-PAGE OF TOTAL PROTEIN FROM DIFFERENT WHEAT-VARIETIES. J. Sci. Food Agric. 1980, 31, 43–53. [Google Scholar] [CrossRef]
- Tian, R.; Feng, J.R.; Huang, G.; Tian, B.; Zhang, Y.; Jiang, L.Z.; Sui, X.N. Ultrasound driven conformational and physicochemical changes of soy protein hydrolysates. Ultrason. Sonochem. 2020, 68, 105202. [Google Scholar] [CrossRef] [PubMed]
- Dubochet, J. Cryo-EM-the first thirty years. J. Microsc. 2012, 245, 221–224. [Google Scholar] [CrossRef] [PubMed]
- Grassucci, R.A.; Taylor, D.J.; Frank, J. Preparation of macromolecular complexes for cryo-electron microscopy. Nat. Protoc. 2007, 2, 3239–3246. [Google Scholar] [CrossRef] [PubMed]
- Cai, W.-q.; Zhang, J.-w.; Zou, B.-w.; Na, X.-k.; Ren, C.; Zheng, X.-h.; Xu, X.-b.; Du, M.; Zhu, B.; Wu, C. A straight-forward fabrication of yuba films with controllable mechanical properties by oil-in-water emulsion model system rather than soymilk. Int. J. Biol. Macromol. 2024, 281, 136457. [Google Scholar] [CrossRef]
- Hosseini, R.S.; Rajaei, A. Potential Pickering emulsion stabilized with chitosan-stearic acid nanogels incorporating clove essential oil to produce fish-oil-enriched mayonnaise. Carbohydr. Polym. 2020, 241, 116340. [Google Scholar] [CrossRef] [PubMed]
- Wang, Z.M.; Ma, Y.X.; Chen, H.L.; Deng, Y.Y.; Wei, Z.C.; Zhang, Y.; Tang, X.J.; Li, P.; Zhao, Z.H.; Zhou, P.F.; et al. Rice bran-modified wheat gluten nanoparticles effectively stabilized pickering emulsion: An interfacial antioxidant inhibiting lipid oxidation. Food Chem. 2022, 387, 132874. [Google Scholar] [CrossRef]
- Zuo, Z.Y.; Zhang, X.X.; Li, T.; Zhou, J.J.; Yang, Y.; Bian, X.B.; Wang, L. High internal phase emulsions stabilized solely by sonicated quinoa protein isolate at various pH values and concentrations. Food Chem. 2022, 378, 10. [Google Scholar] [CrossRef] [PubMed]
- Sathe, S.K.; Venkatachalam, M.; Sharma, G.M.; Kshirsagar, H.H.; Teuber, S.S.; Roux, K.H. Solubilization and Electrophoretic Characterization of Select Edible Nut Seed Proteins. J. Agric. Food Chem. 2009, 57, 7846–7856. [Google Scholar] [CrossRef] [PubMed]
- Oliver, C.M.; Kher, A.; McNaughton, D.; Augustin, M.A. Use of FTIR and mass spectrometry for characterization of glycated caseins. J. Dairy Res. 2009, 76, 105–110. [Google Scholar] [CrossRef] [PubMed]
- Li, J.; Dai, Z.; Chen, Z.; Hao, Y.; Wang, S.; Mao, X. Improved gelling and emulsifying properties of myofibrillar protein from frozen shrimp (Litopenaeus vannamei) by high-intensity ultrasound. Food Hydrocoll. 2023, 135, 108188. [Google Scholar] [CrossRef]
- Fu, K.; Griebenow, K.; Hsieh, L.; Klibanov, A.M.; Langer, R. FTIR characterization of the secondary structure of proteins encapsulated within PLGA microspheres’. J. Control. Release 1999, 58, 357–366. [Google Scholar] [CrossRef] [PubMed]
- Zhang, F.; Shen, R.; Xue, J.; Yang, X.; Lin, D. Characterization of bacterial cellulose nanofibers/soy protein isolate complex particles for Pickering emulsion gels: The effect of protein structure changes induced by pH. Int. J. Biol. Macromol. 2023, 226, 254–266. [Google Scholar] [CrossRef] [PubMed]
- Feng, T.T.; Wang, X.W.; Wang, X.J.; Xia, S.Q.; Huang, Q.R. Plant protein-based antioxidant Pickering emulsions and high internal phase Pickering emulsions against broad pH range and high ionic strength: Effects of interfacial rheology and microstructure. LWT—Food Sci. Technol. 2021, 150, 111953. [Google Scholar] [CrossRef]
- Buckley, T.; Karanam, K.; Xu, X.Y.; Shukla, P.; Firouzi, M.; Rudolph, V. Effect of mono- and di-valent cations on PFAS removal from water using foam fractionation—A modelling and experimental study. Sep. Purif. Technol. 2022, 286, 10. [Google Scholar] [CrossRef]
- McClements, D.J. Critical review of techniques and methodologies for characterization of emulsion stability. Crit. Rev. Food Sci. Nutr. 2007, 47, 611–649. [Google Scholar] [CrossRef]
- Zhang, Y.; Zhou, X.; Zhong, J.; Tan, L.; Liu, C. Effect of pH on emulsification performance of a new functional protein from jackfruit seeds. Food Hydrocoll. 2019, 93, 325–334. [Google Scholar] [CrossRef]
- Wang, N.; Liu, B.Y.; Wang, D.H.; Xing, K.W.; Wang, W.; Wang, T.; Yu, D.Y. Oil-in-water and oleogel-in-water emulsion encapsulate with hemp seed oil containing A9-tetrahydrocannabinol and cannabinol: Stability, degradation and in vitro simulation characteristics. Food Chem. 2024, 444, 11. [Google Scholar] [CrossRef] [PubMed]
- Loewenberg, M.; Hinch, E.J. Numerical simulation of a concentrated emulsion in shear flow. J. Fluid Mech. 1996, 321, 395–419. [Google Scholar] [CrossRef]
- Sriprablom, J.; Luangpituksa, P.; Wongkongkatep, J.; Pongtharangkul, T.; Suphantharika, M. Influence of pH and ionic strength on the physical and rheological properties and stability of whey protein stabilized o/w emulsions containing xanthan gum. J. Food Eng. 2019, 242, 141–152. [Google Scholar] [CrossRef]
- Adebiyi, A.P.; Aluko, R.E. Functional properties of protein fractions obtained from commercial yellow field pea (Pisum sativum L.) seed protein isolate. Food Chem. 2011, 128, 902–908. [Google Scholar] [CrossRef]
- Delahaije, R.J.B.M.; Hilgers, R.J.; Wierenga, P.A.; Gruppen, H. Relative contributions of charge and surface coverage on pH-induced flocculation of protein-stabilized emulsions. Colloids Surf. A—Physicochem. Eng. Asp. 2017, 521, 153–160. [Google Scholar] [CrossRef]
- Das, N.; Kumar, A.; Roy, S.K.; Satija, N.K.; Gopal, R.R. Bare plasmonic metal nanoparticles: Synthesis, characterisation and in vitro toxicity assessment on a liver carcinoma cell line. IET Nanobiotechnology 2020, 14, 851–857. [Google Scholar] [CrossRef] [PubMed]
- Jia, X.F.; Minami, K.; Uto, K.; Chang, A.C.; Hill, J.P.; Nakanishi, J.; Ariga, K. Adaptive Liquid Interfacially Assembled Protein Nanosheets for Guiding Mesenchymal Stem Cell Fate. Adv. Mater. 2020, 32, 7. [Google Scholar] [CrossRef]
- Hu, Y.Q.; Yin, S.W.; Zhu, J.H.; Qi, J.R.; Guo, J.; Wu, L.Y.; Tang, C.H.; Yang, X.Q. Fabrication and characterization of novel Pickering emulsions and Pickering high internal emulsions stabilized by gliadin colloidal particles. Food Hydrocoll. 2016, 61, 300–310. [Google Scholar] [CrossRef]
- Zhu, Q.Q.; Chen, W.X.; Wang, L.C.; Chen, W.J.; Zhang, M.; Zhong, Q.P.; Pei, J.F.; Chen, H.M. Development of high internal phase emulsions using coconut protein isolates modified by pulsed light: Relationship of interfacial behavior and emulsifying stability. Food Hydrocoll. 2024, 148, 12. [Google Scholar] [CrossRef]
- Song, J.; Li, H.; Shang, W.; Wang, H.; Tan, M. Fabrication and characterization of Pickering emulsion gels stabilized by gliadin/starch complex for the delivery of astaxanthin. Food Hydrocoll. 2023, 137, 108388. [Google Scholar] [CrossRef]
- Zhang, X.; Ren, X.; Zhao, X.; Liu, H.; Wang, M.; Zhu, Y. Stability, structure, and antioxidant activity of astaxanthin crystal from Haematococcus pluvialis. J. Am. Oil Chem. Soc. 2022, 99, 367–377. [Google Scholar] [CrossRef]













| pH | Amid I | Amid II | Amid III | Amid A | |
|---|---|---|---|---|---|
| 3 | Frequency | 1651 | 1539 | 1245 | 3273 |
| Intensity | 0.327 | 0.299 | 0.042 | 0.072 | |
| 5 | Frequency | 1653 | 1541 | 1243 | 3273 |
| Intensity | 0.295 | 0.211 | 0.014 | 0.084 | |
| 7 | Frequency | 1655 | 1541 | 1243 | 3274 |
| Intensity | 0.135 | 0.183 | 0.016 | 0.059 | |
| 9 | Frequency | 1652 | 1541 | 1241 | 3273 |
| Intensity | 0.18 | 0.183 | 0.014 | 0.059 | |
| 12 | Frequency | 1652 | 1539 | 1244 | 3269 |
| Intensity | 0.431 | 0.399 | 0.046 | 0.17 |
| pH | EAI/(m2/g) | ESI/min | FC/% | FS/min | ||
|---|---|---|---|---|---|---|
| 10 min | 30 min | 60 min | ||||
| 3 | 76.98 ± 0.22 d | 97.81 ± 0.03 c | 83.80 ± 1.35 d | 83.80 ± 1.35 d | 79.63 ± 1.29 d | 43.37 ± 0.74 d |
| 5 | 18.38 ± 1.34 a | 60.96 ± 4.49 a | 24.53 ± 2.48 a | 21.20 ± 2.63 a | 3.37 ± 0.15 a | 0.20 ± 0.35 a |
| 7 | 31.66 ± 4.00 b | 73.11 ± 1.78 b | 41.83 ± 1.84 b | 39.23 ± 1.15 b | 12.33 ± 1.01 b | 2.23 ± 081 b |
| 9 | 28.30 ± 0.09 b | 76.77 ± 3.15 b | 62.90 ± 1.08 c | 61.13 ± 1.76 c | 38.53 ± 1.45 c | 17.53 ± 2.32 c |
| 12 | 64.68 ± 0.09 c | 98.50 ± 0.07 c | 105.70 ± 2.60 e | 105.70 ± 2.60 e | 97.83 ± 2.12 e | 43.80 ± 1.25 d |
| pH | Droplet Size/nm | Encapsulation Rate/% | Color Parameters | ||
|---|---|---|---|---|---|
| L* | a* | b* | |||
| 3 | 487.9 ± 4.5 b | 91.43 ± 0.26 d | 73.86 ± 0.01 d | 5.97 ± 0.01 b | 5.48 ± 0.01 a |
| 5 | 733.8 ± 3.9 e | 55.36 ± 1.55 a | 70.42 ± 0.01 a | 12.28 ± 0.01 e | 11.55 ± 0.01 e |
| 7 | 686.4 ± 2.7 c | 82.05 ± 1.54 b | 73.47 ± 0.01 d | 5.86 ± 0.01 a | 5.93 ± 0.01 b |
| 9 | 711.2 ± 0.7 d | 82.65 ± 0.63 b | 72.78 ± 0.02 c | 6.12 ± 0.01 c | 6.54 ± 0.01 c |
| 12 | 471.2 ± 8.3 a | 86.16 ± 0.25 c | 72.01 ± 0.02 b | 7.86 ± 0.01 d | 8.52 ± 0.01 d |
Disclaimer/Publisher’s Note: The statements, opinions and data contained in all publications are solely those of the individual author(s) and contributor(s) and not of MDPI and/or the editor(s). MDPI and/or the editor(s) disclaim responsibility for any injury to people or property resulting from any ideas, methods, instructions or products referred to in the content. |
© 2024 by the authors. Licensee MDPI, Basel, Switzerland. This article is an open access article distributed under the terms and conditions of the Creative Commons Attribution (CC BY) license (https://creativecommons.org/licenses/by/4.0/).
Share and Cite
Yang, Q.; Qi, W.; Shao, Y.; Zhang, X.; Wu, F.; Zhang, Z. Stability and pH-Dependent Mechanism of Astaxanthin-Loaded Nanoemulsions Stabilized by Almond Protein Isolate. Foods 2024, 13, 4067. https://doi.org/10.3390/foods13244067
Yang Q, Qi W, Shao Y, Zhang X, Wu F, Zhang Z. Stability and pH-Dependent Mechanism of Astaxanthin-Loaded Nanoemulsions Stabilized by Almond Protein Isolate. Foods. 2024; 13(24):4067. https://doi.org/10.3390/foods13244067
Chicago/Turabian StyleYang, Qingrui, Wenhui Qi, Yutong Shao, Xu Zhang, Fengyang Wu, and Zhisheng Zhang. 2024. "Stability and pH-Dependent Mechanism of Astaxanthin-Loaded Nanoemulsions Stabilized by Almond Protein Isolate" Foods 13, no. 24: 4067. https://doi.org/10.3390/foods13244067
APA StyleYang, Q., Qi, W., Shao, Y., Zhang, X., Wu, F., & Zhang, Z. (2024). Stability and pH-Dependent Mechanism of Astaxanthin-Loaded Nanoemulsions Stabilized by Almond Protein Isolate. Foods, 13(24), 4067. https://doi.org/10.3390/foods13244067

