Antioxidant Peptides from Sacha Inchi Meal: An In Vitro, Ex Vivo, and In Silico Approach
Abstract
1. Introduction
2. Materials and Methods
2.1. Materials
2.2. Methods
2.2.1. Protein Concentrate Production
2.2.2. Static Simulation of Gastro-Intestinal Digestion
2.2.3. Electrophoretic Profile
2.3. In Vitro Assays
2.4. Ex Vivo Assays
2.4.1. Macrophages Culture
2.4.2. Cytotoxicity Assay
2.4.3. Reactive Oxygen Species (ROS) Production
2.5. De Novo Peptides Sequencing
2.6. In Silico Assays
2.6.1. Resistant Peptides to Gastrointestinal Digestion
2.6.2. Antioxidant Properties and Bioavailability of Resistant Peptides
2.6.3. Cleavage Potential Sites of Antioxidant Peptides
2.7. Experimental Design and Statistical Analysis
3. Results and Discussion
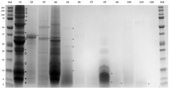
3.1. SDS-PAGE
3.2. In Vitro Antioxidant Performance
3.3. Ex Vivo Antioxidant Capacity
3.3.1. Cell Viability
3.3.2. Intracellular ROS Production in RAW264.7 Cells
3.4. Peptidome Characterization
3.5. In Silico Analysis
3.5.1. Antioxidant Potential of Resistant Peptides
3.5.2. Bioavailability Analysis of Antioxidant Peptides
3.5.3. Cleavage Modification Analysis
4. Conclusions
Supplementary Materials
Author Contributions
Funding
Institutional Review Board Statement
Informed Consent Statement
Data Availability Statement
Acknowledgments
Conflicts of Interest
References
- Niu, P.; Zhu, J.; Wei, L.; Liu, X. Application of Fluorescent Probes in Reactive Oxygen Species Disease Model. Crit. Rev. Anal. Chem. 2024, 54, 437–472. [Google Scholar] [CrossRef] [PubMed]
- Gulcin, İ. Antioxidants and Antioxidant Methods: An Updated Overview. Arch. Toxicol. 2020, 94, 651–715. [Google Scholar] [CrossRef] [PubMed]
- Di Lorenzo, G.; Verde, A.; Scafuri, L.; Costabile, F.; Caputo, V.; Di Trolio, R.; Strianese, O.; Montanaro, V.; Crocetto, F.; Del Giudice, F.; et al. The Impact of Flavonoid Supplementation on Serum Oxidative Stress Levels Measured via D-ROMs Test in the General Population: The PREVES-FLAVON Retrospective Observational Study. Nutrients 2024, 16, 3302. [Google Scholar] [CrossRef]
- Zhu, Z.; Xu, Z.; Li, Y.; Fan, Y.; Zhou, Y.; Song, K.; Meng, L. Antioxidant Function and Application of Plant-Derived Peptides. Antioxidants 2024, 13, 1203. [Google Scholar] [CrossRef] [PubMed]
- Petit, N.; Dyer, J.M.; Richena, M.; Domigan, L.J.; Gerrard, J.A.; Clerens, S. Self-Assembling Bioactive Peptides for Gastrointestinal Delivery—Bioinformatics-Driven Discovery and in Vitro Assessment. Int. J. Food Sci. Technol. 2024, 59, 2927–2942. [Google Scholar] [CrossRef]
- Baraiya, R.; Anandan, R.; Elavarasan, K.; Prakash, P.; Rathod, S.K.; Rajasree, S.R.R.; Renuka, V. Potential of Fish Bioactive Peptides for the Prevention of Global Pandemic Non-Communicable Disease: Production, Purification, Identification, and Health Benefits. Discov. Food 2024, 4, 34. [Google Scholar] [CrossRef]
- López-García, G.; Dublan-García, O.; Arizmendi-Cotero, D.; Gómez Oliván, L.M. Antioxidant and Antimicrobial Peptides Derived from Food Proteins. Molecules 2022, 27, 1343. [Google Scholar] [CrossRef]
- Qin, D.; Jiao, L.; Wang, R.; Zhao, Y.; Hao, Y.; Liang, G. Prediction of Antioxidant Peptides Using a Quantitative Structure−activity Relationship Predictor (AnOxPP) Based on Bidirectional Long Short-Term Memory Neural Network and Interpretable Amino Acid Descriptors. Comput. Biol. Med. 2023, 154, 106591. [Google Scholar] [CrossRef]
- Zheng, Y.; Wang, X.; Zhuang, Y.; Li, Y.; Tian, H.; Shi, P.; Li, G. Isolation of Novel ACE-Inhibitory and Antioxidant Peptides from Quinoa Bran Albumin Assisted with an In Silico Approach: Characterization, In Vivo Antihypertension, and Molecular Docking. Molecules 2019, 24, 4562. [Google Scholar] [CrossRef]
- Zhuang, H.; Tang, N.; Yuan, Y. Purification and Identification of Antioxidant Peptides from Corn Gluten Meal. J. Funct. Foods 2013, 5, 1810–1821. [Google Scholar] [CrossRef]
- Zhang, Q.; Yu, Z.; Zhao, W. Identification and Action Mechanism of Novel Antioxidative Peptides from Copra Meal Protein. LWT 2023, 188, 115425. [Google Scholar] [CrossRef]
- Gravel, A.; Doyen, A. The Use of Edible Insect Proteins in Food: Challenges and Issues Related to Their Functional Properties. Innov. Food Sci. Emerg. Technol. 2020, 59, 102272. [Google Scholar] [CrossRef]
- Gençdağ, E.; Görgüç, A.; Yılmaz, F.M. Recovery of Bioactive Peptides from Food Wastes and Their Bioavailability Properties. Turkish J. Agric.-Food Sci. Technol. 2020, 8, 855–863. [Google Scholar] [CrossRef]
- Rawdkuen, S.; Ketnawa, S. Extraction, Characterization, and Application of Agricultural and Food Processing By-Products. In Food Preservation and Waste Exploitation; Socaci, S.A., Fărcaş, A.C., Aussenac, T., Laguerre, J.-C., Eds.; IntechOpen: London, UK, 2019; pp. 1–32. [Google Scholar]
- Rawdkuen, S.; Rodzi, N.; Pinijsuwan, S. Characterization of Sacha Inchi Protein Hydrolysates Produced by Crude Papain and Calotropis Proteases. LWT-Food Sci. Technol. 2018, 98, 18–24. [Google Scholar] [CrossRef]
- Suwanangul, S.; Sangsawad, P.; Alashi, M.A.; Aluko, R.E.; Tochampa, W.; Chittrakorn, S.; Ruttarattanamongkol, K. Antioxidant Activities of Sacha Inchi (Plukenetia volubilis L.) Protein Isolate and Its Hydrolysates Produced with Different Proteases. Maejo Int. J. Sci. Technol. 2021, 15, 48–60. [Google Scholar]
- Chirinos, R.; Pedreschi, R.; Campos, D. Enzyme-Assisted Hydrolysates from Sacha Inchi (Plukenetia Volubilis) Protein with in Vitro Antioxidant and Antihypertensive Properties. J. Food Process. Preserv. 2020, 44, 14969. [Google Scholar] [CrossRef]
- Minekus, M.; Alminger, M.; Alvito, P.; Ballance, S.; Bohn, T.; Bourlieu, C.; Carrière, F.; Boutrou, R.; Corredig, M.; Dupont, D.; et al. A Standardised Static in Vitro Digestion Method Suitable for Food—An International Consensus. Food Funct. 2014, 5, 1113–1124. [Google Scholar] [CrossRef] [PubMed]
- Zhan, Q.; Wang, Q.; Liu, Q.; Guo, Y.; Gong, F.; Hao, L.; Wu, H. The Antioxidant Activity of Protein Fractions from Sacha Inchi Seeds after a Simulated Gastrointestinal Digestion. LWT 2021, 145, 111356. [Google Scholar] [CrossRef]
- Shu, T.; Wang, K.; Zhang, X. Antioxidant and Hypoglycemic Activity of Sacha Inchi Meal Protein Hydrolysate. Appl. Sci. 2023, 13, 6528. [Google Scholar] [CrossRef]
- Piovesana, S.; Capriotti, A.L.; Cavaliere, C.; La Barbera, G.; Montone, C.M.; Zenezini Chiozzi, R.; Laganà, A. Recent Trends and Analytical Challenges in Plant Bioactive Peptide Separation, Identification and Validation. Anal. Bioanal. Chem. 2018, 410, 3425–3444. [Google Scholar] [CrossRef]
- Martini, S.; Cattivelli, A.; Conte, A.; Tagliazucchi, D. Application of a Combined Peptidomics and In Silico Approach for the Identification of Novel Dipeptidyl Peptidase-IV-Inhibitory Peptides in In Vitro Digested Pinto Bean Protein Extract. Curr. Issues Mol. Biol. 2022, 44, 139–151. [Google Scholar] [CrossRef] [PubMed]
- Torres-Sánchez, E.; Hernández-Ledesma, B.; Gutiérrez, L.-F. Isolation and Characterization of Protein Fractions for Valorization of Sacha Inchi Oil Press-Cake. Foods 2023, 12, 2401. [Google Scholar] [CrossRef] [PubMed]
- Brodkorb, A.; Egger, L.; Alminger, M.; Alvito, P.; Assunção, R.; Ballance, S.; Bohn, T.; Bourlieu-lacanal, C.; Boutrou, R.; Carrière, F. INFOGEST Static in Vitro Simulation of Gastrointestinal Food Digestion. Nat. Protoc. 2019, 14, 991–1014. [Google Scholar] [CrossRef] [PubMed]
- Torres-Sánchez, E.; Morato, E.; Hernández-Ledesma, B.; Gutiérrez, L.-F. Proteomic Analysis of the Major Alkali-Soluble Inca Peanut (Plukenetia volubilis) Proteins. Foods 2024, 13, 3275. [Google Scholar] [CrossRef] [PubMed]
- Paterson, S.; Fernández-Tomé, S.; Galvez, A.; Hernández-Ledesma, B. Evaluation of the Multifunctionality of Soybean Proteins and Peptides in Immune Cell Models. Nutrients 2023, 15, 1220. [Google Scholar] [CrossRef]
- Wang, Y.; Tian, Y.; Shao, J.; Shu, X.; Jia, J.; Ren, X. Macrophage Immunomodulatory Activity of the Polysaccharide Isolated from Collybia Radicata Mushroom. Int. J. Biol. Macromol. 2018, 108, 300–306. [Google Scholar] [CrossRef]
- LeBel, C.P.; Ischiropoulos, H.; Bondy, S.C. Evaluation of the Probe 2’,7’-Dichlorofluorescin as an Indicator of Reactive Oxygen Species Formation and Oxidative Stress. Chem. Res. Toxicol. 1992, 5, 227–231. [Google Scholar] [CrossRef]
- Farias, T.C.; Abreu, J.P.; Oliveira, J.P.S.; Macedo, A.F.; Rodríguez-Vega, A.; Tonin, A.P.; Cardoso, F.S.N.; Meurer, E.C.; Koblitz, M.G.B. Bioactive Properties of Peptide Fractions from Brazilian Soy Protein Hydrolysates: In Silico Evaluation and Experimental Evidence. Food Hydrocoll. Health 2023, 3, 100112. [Google Scholar] [CrossRef]
- Li, B.; Han, L. Distance Weighted Cosine Similarity Measure for Text Classification. In Proceedings of the Intelligent Data Engineering and Automated Learning—IDEAL 2013, Hefei, China, 20–23 October 2013; Yin, H., Tang, K., Gao, Y., Klawonn, F., Lee, M., Weise, T., Li, B., Yao, X., Eds.; Springer: Berlin/Heidelberg, Germany, 2013; pp. 611–618. [Google Scholar]
- Olsen, T.H.; Yesiltas, B.; Marin, F.I.; Pertseva, M.; García-Moreno, P.J.; Gregersen, S.; Overgaard, M.T.; Jacobsen, C.; Lund, O.; Hansen, E.B.; et al. AnOxPePred: Using Deep Learning for the Prediction of Antioxidative Properties of Peptides. Sci. Rep. 2020, 10, 21471. [Google Scholar] [CrossRef]
- Mathur, D.; Singh, S.; Mehta, A.; Agrawal, P.; Raghava, G.P.S. In Silico Approaches for Predicting the Half-Life of Natural and Modified Peptides in Blood. PLoS ONE 2018, 13, e0196829. [Google Scholar] [CrossRef]
- Lear, S.; Cobb, S.L. Pep-Calc.Com: A Set of Web Utilities for the Calculation of Peptide and Peptoid Properties and Automatic Mass Spectral Peak Assignment. J. Comput. Aided. Mol. Des. 2016, 30, 271–277. [Google Scholar] [CrossRef] [PubMed]
- Walsh, I.; Seno, F.; Tosatto, S.C.E.; Trovato, A. PASTA 2.0: An Improved Server for Protein Aggregation Prediction. Nucleic Acids Res. 2014, 42, 301–307. [Google Scholar] [CrossRef] [PubMed]
- Gupta, S.; Kapoor, P.; Chaudhary, K.; Gautam, A.; Kumar, R.; Consortium, O.S.D.D.; Raghava, G.P.S. In Silico Approach for Predicting Toxicity of Peptides and Proteins. PLoS ONE 2013, 8, e73957. [Google Scholar] [CrossRef] [PubMed]
- Nguyen, M.N.; Krutz, N.L.; Limviphuvadh, V.; Lopata, A.L.; Gerberick, G.F.; Maurer-Stroh, S. AllerCatPro 2.0: A Web Server for Predicting Protein Allergenicity Potential. Nucleic Acids Res. 2022, 50, W36–W43. [Google Scholar] [CrossRef] [PubMed]
- Daina, A.; Michielin, O.; Zoete, V. SwissADME: A Free Web Tool to Evaluate Pharmacokinetics, Drug-Likeness and Medicinal Chemistry Friendliness of Small Molecules. Sci. Rep. 2017, 7, 42717. [Google Scholar] [CrossRef] [PubMed]
- Manavalan, B.; Patra, M.C. MLCPP 2.0: An Updated Cell-Penetrating Peptides and Their Uptake Efficiency Predictor. J. Mol. Biol. 2022, 434, 167604. [Google Scholar] [CrossRef]
- Maillet, N. Rapid Peptides Generator: Fast and Efficient in Silico Protein Digestion. NAR Genomics Bioinforma. 2020, 2, lqz004. [Google Scholar] [CrossRef]
- Wang, R.; Zhao, Y.; Xue, W.; Xia, Y.; Liang, G. Novel Antioxidant Peptides from Soybean Protein by Employing Computational and Experimental Methods and Their Mechanisms of Oxidative Stress Resistance. J. Mol. Struct. 2024, 1318, 139284. [Google Scholar] [CrossRef]
- Sathe, S.K.; Kshirsagar, H.H.; Sharma, G.M. Solubilization, Fractionation, and Electrophoretic Characterization of Inca Peanut (Plukenetia volubilis L.) Proteins. Plant Foods Hum Nutr 2012, 67, 247–255. [Google Scholar] [CrossRef]
- Čepková, P.H.; Jágr, M.; Viehmannová, I.; Dvořáček, V.; Huansi, D.C.; Mikšík, I. Diversity in Seed Storage Protein Profile of Oilseed Crop Plukenetia Volubilis from Diversity in Seed Storage Protein Profile of Oilseed Crop Plukenetia Volubilis from Peruvian Amazon. Int. J. Agric. Biol. 2019, 21, 679–688. [Google Scholar] [CrossRef]
- Sathe, S.K.; Hamaker, B.R.; Sze-Tao, K.W.C.; Venkatachalam, M. Isolation, Purification, and Biochemical Characterization of a Novel Water Soluble Protein from Inca Peanut (Plukenetia volubilis L.). J. Agric. Food Chem. 2002, 50, 4906–4908. [Google Scholar] [CrossRef] [PubMed]
- Bueno-Borges, L.B.; Sartim, M.A.; Carreño Gil, C.; Vilela Sampaio, S.; Viegas Rodrigues, P.H.; Regitano-d’Arce, M.A.B. Sacha Inchi Seeds from Sub-Tropical Cultivation: Effects of Roasting on Antinutrients, Antioxidant Capacity and Oxidative Stability. J. Food Sci. Technol. 2018, 55, 4159–4166. [Google Scholar] [CrossRef] [PubMed]
- Li, P.; Wen, J.; Ma, X.; Lin, F.; Jiang, Z.; Du, B. Structural, Functional Properties and Immunomodulatory Activity of Isolated Inca Peanut (Plukenetia volubilis L.) Seed Albumin Fraction. Int. J. Biol. Macromol. 2018, 118, 1931–1941. [Google Scholar] [CrossRef] [PubMed]
- Jayawardhana, H.H.A.C.K.; Liyanage, N.M.; Nagahawatta, D.P.; Lee, H.-G.; Jeon, Y.-J.; Kang, S.I. Pepsin Hydrolysate from Surimi Industry-Related Olive Flounder Head Byproducts Attenuates LPS-Induced Inflammation and Oxidative Stress in RAW 264.7 Macrophages and In Vivo Zebrafish Model. Mar. Drugs 2024, 22, 24. [Google Scholar] [CrossRef]
- Thaha, A.; Wang, B.-S.; Chang, Y.-W.; Hsia, S.-M.; Huang, T.-C.; Shiau, C.-Y.; Hwang, D.-F.; Chen, T.-Y. Food-Derived Bioactive Peptides with Antioxidative Capacity, Xanthine Oxidase and Tyrosinase Inhibitory Activity. Processes 2021, 9, 747. [Google Scholar] [CrossRef]
- Gonzalez-de la Rosa, T.; Montserrat-de la Paz, S.; Rivero-Pino, F. Production, Characterisation, and Biological Properties of Tenebrio Molitor-Derived Oligopeptides. Food Chem. 2024, 450, 139400. [Google Scholar] [CrossRef]
- Tehrani, S.S.; Hosseini, H.M.; Mirhosseini, S.A. Evaluation of Anti-Endotoxin Activity, Hemolytic Activity, and Cytotoxicity of a Novel Designed Peptide: An In Silico and In Vitro Study. Int. J. Pept. Res. Ther. 2024, 30, 16. [Google Scholar] [CrossRef]
- Larder, C.E.; Iskandar, M.M.; Kubow, S. Assessment of Bioavailability after in Vitro Digestion and First Pass Metabolism of Bioactive Peptides from Collagen Hydrolysates. Curr. Issues Mol. Biol. 2021, 43, 1592–1605. [Google Scholar] [CrossRef]
- Widodo, H.S.; Murti, T.W.; Agus, A.; Pertiwiningrum, A. The Exploration of Bioactive Peptides That Docked to SARS-CoV-2 Spike Protein from Goats’ Milk Beta-Casein by In Silico. Molekul 2023, 18, 378–385. [Google Scholar] [CrossRef]
- Wang, L.; Wang, N.; Zhang, W.; Cheng, X.; Yan, Z.; Shao, G.; Wang, X.; Wang, R.; Fu, C. Therapeutic Peptides: Current Applications and Future Directions. Signal Transduct. Target. Ther. 2022, 7, 1–27. [Google Scholar] [CrossRef]
- Fosgerau, K.; Hoffmann, T. Peptide Therapeutics: Current Status and Future Directions. Drug Discov. Today 2015, 20, 122–128. [Google Scholar] [CrossRef] [PubMed]
- de Oliveira, E.C.L.; Santana, K.; Josino, L.; Lima e Lima, A.H.; de Souza de Sales Júnior, C. Predicting Cell-Penetrating Peptides Using Machine Learning Algorithms and Navigating in Their Chemical Space. Sci. Rep. 2021, 11, 7628. [Google Scholar] [CrossRef] [PubMed]



| Sample | TEAC (µmol TE/g) | ORAC (µmol TE/g) |
|---|---|---|
| SPC | 30.85 f ± 0.83 | 120.79 f ± 6.34 |
| GD1 | 131.23 e ± 9.50 | 284.36 e ± 25.31 |
| GD2 | 577.84 a ± 20.69 | 719.47 a ± 59.69 |
| GD3 | 139.53 de ± 11.11 | 268.44 e ± 18.96 |
| ID1 | 158.30 d ± 7.34 | 398.67 d ± 30.98 |
| ID2 | 188.56 c ± 18.21 | 490.14 c ± 46.98 |
| ID3 | 325.60 b ± 22.87 | 669.04 b ± 60.59 |
| Sample | Number of Peptides a | Peptide Chain Length b (%) | ||
|---|---|---|---|---|
| Short (2–5 AA) | Medium (6–10 AA) | Long (>10 AA) | ||
| SPC | 1819 | 0.00 | 56.18 | 43.82 |
| GD | 2862 | 0.03 | 61.29 | 38.68 |
| GD1 | 1889 | 0.05 | 59.93 | 40.02 |
| GD2 | 1248 | 0.00 | 67.23 | 32.77 |
| GD3 | 937 | 0.11 | 72.68 | 27.21 |
| ID | 4095 | 0.02 | 62.78 | 37.19 |
| ID1 | 2821 | 0.04 | 59.09 | 40.87 |
| ID2 | 1264 | 0.00 | 71.91 | 28.09 |
| ID3 | 1069 | 0.00 | 76.43 | 23.57 |
| Sequence | AnOxPePred-1.0 a | PlifePred b | PepCalc c | Pasta 2.0 d | ||||||
|---|---|---|---|---|---|---|---|---|---|---|
| Secondary Structure | ||||||||||
| FRS | Hydrophob. | Hydrophil. | MW | pI | Length | Sol. | α-Helix | β-Strand | coil | |
| SVMGPYYNSK | 0.60 | −0.13 | −0.36 | 1145.43 | 9.34 | 10 | Poor | 0.00 | 0.00 | 100.00 |
| EWGGGGCGGGGGVSSLR | 0.58 | 0.00 | −0.06 | 1492.58 | 6.14 | 17 | Poor | 0.00 | 0.00 | 100.00 |
| VALLPQYVDPK | 0.54 | −0.02 | −0.29 | 1242.46 | 6.55 | 11 | Poor | 0.00 | 0.00 | 100.00 |
| HGGGGGGFGGGGFSR | 0.54 | 0.03 | −0.15 | 1263.28 | 10.59 | 15 | Poor | 0.00 | 0.00 | 100.00 |
| FSSSSGYGGGSSR | 0.52 | −0.16 | 0.00 | 1235.22 | 9.59 | 13 | Good | 0.00 | 0.00 | 100.00 |
| RHWLPR | 0.52 | −0.52 | 0.05 | 864.01 | 12.01 | 6 | Good | 0.00 | 0.00 | 100.00 |
| SGLSGGGYGSNK | 0.51 | −0.10 | 0.00 | 1083.11 | 9.50 | 12 | Good | 0.00 | 0.00 | 100.00 |
| HGGGGGGFGGGGFDK | 0.51 | 0.04 | 0.03 | 1263.28 | 7.56 | 15 | Good | 0.00 | 0.00 | 100.00 |
| VTGGGFGGSR | 0.49 | −0.03 | −0.11 | 893.94 | 10.81 | 10 | Poor | 0.00 | 0.00 | 100.00 |
| ALEETNYELEK | 0.49 | −0.28 | 0.76 | 1338.42 | 3.67 | 11 | Good | 18.18 | 0.00 | 81.82 |
| LVGPDGPDKMVK | 0.49 | −0.13 | 0.49 | 1255.49 | 6.76 | 12 | Good | 0.00 | 0.00 | 100.00 |
| VMLYNCK | 0.48 | −0.05 | −0.67 | 870.10 | 8.75 | 7 | Poor | 0.00 | 28.57 | 71.43 |
| LVGPNGLCMDVK | 0.48 | 0.02 | −0.22 | 1245.52 | 5.92 | 12 | Poor | 0.00 | 0.00 | 100.00 |
| LQDWYDK | 0.48 | −0.33 | 0.24 | 967.03 | 3.71 | 7 | Good | 0.00 | 0.00 | 100.00 |
| SGGFGGNFGNR | 0.48 | −0.12 | −0.12 | 1069.09 | 10.57 | 11 | Poor | 0.00 | 0.00 | 100.00 |
| ALEESNYELEK | 0.48 | −0.29 | 0.83 | 1324.39 | 3.67 | 11 | Good | 0.00 | 0.00 | 100.00 |
| YVVTAYPER | 0.48 | −0.14 | −0.28 | 1097.22 | 6.56 | 9 | Good | 0.00 | 33.33 | 66.67 |
| VVDNFFNDFLPR | 0.48 | −0.09 | −0.24 | 1482.64 | 3.71 | 12 | Good | 33.33 | 0.00 | 66.67 |
| LTSEGFEYVNMK | 0.47 | −0.11 | −0.02 | 1417.58 | 4.15 | 12 | Good | 0.00 | 16.67 | 83.33 |
| FSSSSGYGGSSR | 0.47 | −0.18 | 0.00 | 1178.17 | 9.59 | 12 | Good | 0.00 | 0.00 | 100.00 |
| Peptide | Lipophilicity a | Properties a | Drug-Likeness a | Pharmacokinetics a | CPP b | PlifePred c | ||||
|---|---|---|---|---|---|---|---|---|---|---|
| Log Po/w | Log S | HBA | HBD | LVN | BS | GI Absorp. | Class. | Prob. | Half-Life | |
| SVMGPYYNSK | −5.16 | −4.52 | 18 | 16 | 3 | 0.17 | Low | CPP | 0.74 | 817.61 |
| EWGGGGCGGGGGVSSLR | - | - | - | - | - | - | - | Non-CPP | 0.12 | 842.71 |
| VALLPQYVDPK | - | - | - | - | - | - | - | Non-CPP | 0.09 | 795.01 |
| HGGGGGGFGGGGFSR | −9.49 | −1.92 | 20 | 21 | 3 | 0.17 | Low | Non-CPP | 0.40 | 834.71 |
| FSSSSGYGGGSSR | - | - | - | - | - | - | - | Non-CPP | 0.12 | 825.61 |
| RHWLPR | −2.8 | −4.38 | 11 | 14 | 3 | 0.17 | Low | CPP | 0.72 | 839.91 |
| SGLSGGGYGSNK | −10.14 | −0.23 | 20 | 19 | 3 | 0.17 | Low | CPP | 0.75 | 807.21 |
| HGGGGGGFGGGGFDK | −11 | 0.05 | 21 | 19 | 3 | 0.17 | Low | Non-CPP | 0.39 | 834.81 |
| VTGGGFGGSR | −8.04 | −0.19 | 15 | 16 | 3 | 0.17 | Low | Non-CPP | 0.31 | 839.91 |
| ALEETNYELEK | - | - | - | - | - | - | - | Non-CPP | 0.14 | 887.71 |
| LVGPDGPDKMVK | - | - | - | - | - | - | - | Non-CPP | 0.44 | 905.41 |
| VMLYNCK | −2.19 | −5.5 | 12 | 11 | 3 | 0.17 | Low | Non-CPP | 0.11 | 763.11 |
| LVGPNGLCMDVK | - | - | - | - | - | - | - | Non-CPP | 0.38 | 717.01 |
| LQDWYDK | −6.49 | −1.59 | 16 | 14 | 3 | 0.11 | Low | Non-CPP | 0.18 | 871.61 |
| SGGFGGNFGNR | −9.27 | −0.91 | 17 | 18 | 3 | 0.17 | Low | Non-CPP | 0.33 | 830.11 |
| ALEESNYELEK | - | - | - | - | - | - | - | Non-CPP | 0.22 | 926.01 |
| YVVTAYPER | - | - | - | - | - | - | - | Non-CPP | 0.09 | 759.41 |
| VVDNFFNDFLPR | - | - | - | - | - | - | - | Non-CPP | 0.50 | 839.01 |
| LTSEGFEYVNMK | - | - | - | - | - | - | - | Non-CPP | 0.08 | 555.41 |
| FSSSSGYGGSSR | - | - | - | - | - | - | - | CPP | 0.88 | 832.01 |
Disclaimer/Publisher’s Note: The statements, opinions and data contained in all publications are solely those of the individual author(s) and contributor(s) and not of MDPI and/or the editor(s). MDPI and/or the editor(s) disclaim responsibility for any injury to people or property resulting from any ideas, methods, instructions or products referred to in the content. |
© 2024 by the authors. Licensee MDPI, Basel, Switzerland. This article is an open access article distributed under the terms and conditions of the Creative Commons Attribution (CC BY) license (https://creativecommons.org/licenses/by/4.0/).
Share and Cite
Torres-Sánchez, E.; Lorca-Alonso, I.; González-de la Fuente, S.; Hernández-Ledesma, B.; Gutiérrez, L.-F. Antioxidant Peptides from Sacha Inchi Meal: An In Vitro, Ex Vivo, and In Silico Approach. Foods 2024, 13, 3924. https://doi.org/10.3390/foods13233924
Torres-Sánchez E, Lorca-Alonso I, González-de la Fuente S, Hernández-Ledesma B, Gutiérrez L-F. Antioxidant Peptides from Sacha Inchi Meal: An In Vitro, Ex Vivo, and In Silico Approach. Foods. 2024; 13(23):3924. https://doi.org/10.3390/foods13233924
Chicago/Turabian StyleTorres-Sánchez, Erwin, Iván Lorca-Alonso, Sandra González-de la Fuente, Blanca Hernández-Ledesma, and Luis-Felipe Gutiérrez. 2024. "Antioxidant Peptides from Sacha Inchi Meal: An In Vitro, Ex Vivo, and In Silico Approach" Foods 13, no. 23: 3924. https://doi.org/10.3390/foods13233924
APA StyleTorres-Sánchez, E., Lorca-Alonso, I., González-de la Fuente, S., Hernández-Ledesma, B., & Gutiérrez, L.-F. (2024). Antioxidant Peptides from Sacha Inchi Meal: An In Vitro, Ex Vivo, and In Silico Approach. Foods, 13(23), 3924. https://doi.org/10.3390/foods13233924

