Characterization and Molecular Dynamics Simulation of a Lipase Capable of Improving the Functional Characteristics of an Egg-Yolk-Contaminated Liquid Egg White
Abstract
:1. Introduction
2. Materials and Methods
2.1. Materials
2.2. Gene Expression and Protein Purification
2.3. Enzyme Assay
2.3.1. Enzyme Activity Assay
2.3.2. Effect of Temperature on Enzymatic Properties
2.3.3. Effect of pH on Enzymatic Properties
2.3.4. Effect of Metal Ions on Enzymatic Properties
2.3.5. Substrate Specificity
2.3.6. Effect of Chemical Solvents on Enzymatic Properties
2.3.7. Determination of Enzymatic Kinetic Parameters
2.4. Effect of Lip-IM on Foaming Properties of Egg White System
2.4.1. Sample Prepared
2.4.2. Foaming Ability
2.4.3. Foaming Stability
2.5. Molecular Dynamics Simulation
2.5.1. Ab Initio Structure Modeling of Lip-IM
2.5.2. Long Time Molecular Dynamics Simulation under Different Temperature Conditions
2.5.3. Molecular Dynamics Simulation Analysis
2.5.4. Dynamic Cross-Correlation Matrices (DCCM)
2.5.5. Shortest Path Map Analysis
2.6. Statistical Analysis
3. Results and Discussion
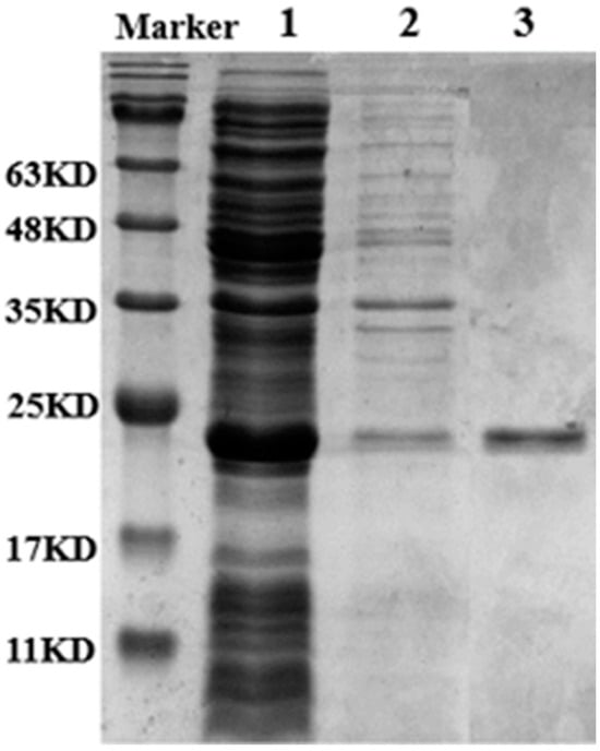
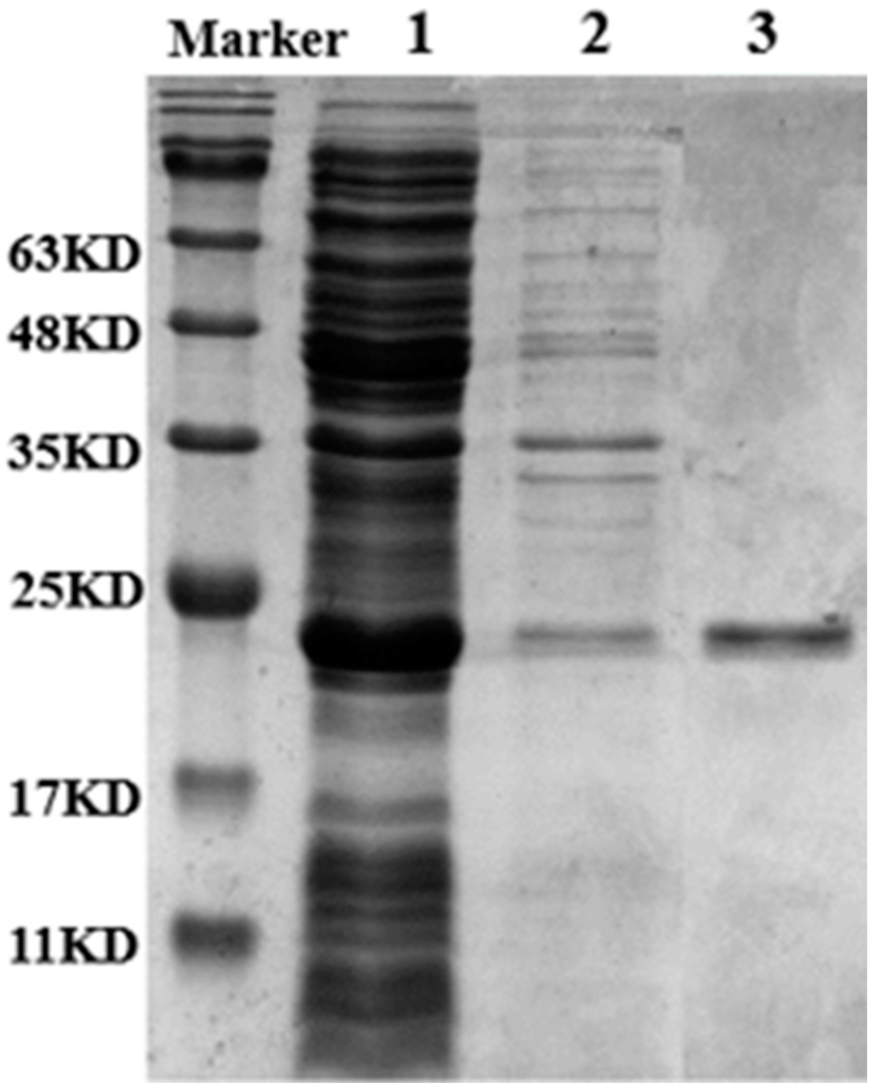
3.1. Expression and Purification of Lip-IM
3.2. Characterization of Lip-IM
3.2.1. The Effect of Temperature on the Activity and Stability of Lip-IM
3.2.2. The Effect of pH on the Activity and Stability of Lip-IM
3.2.3. The Effect of Metal Ions on the Activity of Lip-IM
3.2.4. Substrate Specificity of Lip-IM
3.2.5. The Effect of Chemical Solvent on the Activity of Lip-IM
3.2.6. Kinetic Parameters of Lip-IM
3.3. Effect of Lip-IM on Foaming Properties of Egg White
3.3.1. Foaming Properties
3.3.2. Enzymolysis Effect
3.4. Molecular Dynamics Simulation Analysis
3.4.1. Basic Analysis
3.4.2. Lip-IM Dynamic Cross-Correlation Map (DCCM)
3.4.3. Lip-IM Shortest Path Map
4. Conclusions
Supplementary Materials
Author Contributions
Funding
Data Availability Statement
Conflicts of Interest
References
- Chen, Y.; Ma, M. Foam and conformational changes of egg white as affected by ultrasonic pretreatment and phenolic binding at neutral pH. Food Hydrocoll. 2020, 102, 105568. [Google Scholar] [CrossRef]
- Foegeding, E.A.; Luck, P.J.; Davis, J.P. Factors determining the physical properties of protein foams. Food Hydrocoll. 2006, 20, 284–292. [Google Scholar] [CrossRef]
- Yüceer, M.; Caner, C. Investigate the enzyme-texturized egg albumen on the functionality, sensorial and textural characteristics of cooked meringue cookies during storage. J. Food Meas. Charact. 2022, 16, 2961–2968. [Google Scholar] [CrossRef]
- Li, X.; Li, J.; Chang, C.; Wang, C.; Zhang, M.; Su, Y.; Yang, Y. Foaming characterization of fresh egg white proteins as a function of different proportions of egg yolk fractions. Food Hydrocoll. 2019, 90, 118–125. [Google Scholar] [CrossRef]
- Wang, G.; Wang, T. Effects of yolk contamination, shearing, and heating on foaming properties of fresh egg white. J. Food Sci. 2009, 74, C147–C156. [Google Scholar] [CrossRef]
- Nielsen, H. Application of chemical methods to the determination of egg yolk contamination in commercial products of egg white compared to enzymatic determination. LWT Food Sci. Technol. 2000, 33, 151–154. [Google Scholar] [CrossRef]
- Manzocco, L. Photo-induced modification of food protein structure and functionality. Food Eng. Rev. 2015, 7, 346–356. [Google Scholar] [CrossRef]
- Liu, G.; Tu, Z.; Wang, H.; Zhang, L.; Huang, T.; Ma, D. Monitoring of the functional properties and unfolding change of ovalbumin after DHPM treatment by HDX and FTICR MS: Functionality and unfolding of oval after DHPM by HDX and FTICR MS. Food Chem. 2017, 227, 413–421. [Google Scholar] [CrossRef]
- Sheng, L.; Tang, G.; Wang, Q.; Zou, J.; Ma, M.; Huang, X. Molecular characteristics and foaming properties of ovalbumin-pullulan conjugates through the Maillard reaction. Food Hydrocoll. 2020, 100, 105384. [Google Scholar] [CrossRef]
- Noman, A.; Jiang, Q.; Xu, Y.; Abdelmoneim, H.; AlBukhaiti, W.; Abed, S.M.; Xia, W. Influence of degree of hydrolysis on chemical composition, functional properties, and antioxidant activities of Chinese sturgeon (Acipenser sinensis) hydrolysates obtained by using Alcalase 2.4L. J. Aquat. Food Prod. Technol. 2019, 28, 583–597. [Google Scholar] [CrossRef]
- Zhao, Q.; Ding, L.; Xia, M.; Huang, X.; Isobe, K.; Hand, A.; Cai, Z. Role of lysozyme on liquid egg white foaming properties: Interface behavior, physicochemical characteristics and protein structure. Food Hydrocoll. 2021, 120, 106876. [Google Scholar] [CrossRef]
- Cunningham, F.E.; Cotterill, O.J. Effect of centrifuging yolk-contaminated liquid egg white on functional performance. Poult. Sci. 1964, 43, 283–291. [Google Scholar] [CrossRef]
- Kobayashi, T.; Kato, I.; Ohmiya, K.; Shimizu, S. Recovery of form stability of yolk contaminated egg white by immobilized lipase. Agr. Biol. Chem. 1980, 44, 413–418. [Google Scholar]
- Javed, S.; Azeem, F.; Hussain, S.; Rasul, I.; Siddique, M.H.; Riaz, M.; Afzal, M.; Kouser, A.; Nadeem, H. Bacterial lipases: A review on purification and characterization. Prog. Biophys. Mol. Bio. 2018, 132, 23–34. [Google Scholar] [CrossRef]
- Vivek, K.; Sandhia, G.S.; Subramaniyan, S. Extremophilic lipases for industrial applications: A general review. Biotechnol. Adv. 2022, 60, 108002. [Google Scholar] [CrossRef]
- Xie, L. Studies on Egg Yolk Lipids and Fatty Acids Composition. Master’s Thesis, Huazhong Agricultural University, Wuhan, China, 2011. [Google Scholar]
- Xing, S.; Zhu, R.; Li, C.; He, L.; Zeng, X.; Zhang, Q. Gene cloning, expression, purification and characterization of a sn-1,3 extracellular lipase from Aspergillus niger GZUF36. J. Food Sci. 2020, 57, 2669–2680. [Google Scholar] [CrossRef]
- Xiang, M.; Wang, L.; Yan, Q.; Jiang, Z.; Yang, S. Heterologous expression and biochemical characterization of a cold-active lipase from Rhizopus microspores suitable for oleate synthesis and bread making. Biotechnol. Lett. 2021, 43, 1921–1932. [Google Scholar] [CrossRef]
- Zhang, Y.; Ji, F.; Wang, J.; Pu, Z.; Jiang, B.; Bao, Y. Purification and characterization of a novel organic solvent-tolerant and cold-adapted lipase from Psychrobacter sp. ZY124. Extremophiles 2018, 22, 287–300. [Google Scholar] [CrossRef]
- Gokbulut, A.; Arslanoglu, A. Purification and biochemical characterization of an extracellular lipase from psychrotolerant Pseudomonas fluorescens KE38. Turk. J. Biol. 2013, 37, 538–546. [Google Scholar] [CrossRef]
- Jiang, C. Alteration of Substrate Specificity of Lipase and Its Application in Hydrolysis of Oils and Fats. Master’s Thesis, Jiangnan University, Wuxi, China, 2018. [Google Scholar]
- Yüceer, M.; Asik, H. Texture, rheology, storage stability, and sensory evaluation of meringue’s prepared from lipase enzyme-modified liquid egg white. J. Food Process. Preserv. 2020, 44, e14667. [Google Scholar] [CrossRef]
- Almagro Armenteros, J.J.; Tsirigos, K.D.; Sønderby, C.K.; Petersen, T.N.; Winther, O.; Brunak, S.; Heijne, G.; Nielsen, H. SignalP 5.0 improves signal peptide predictions using deep neural networks. Nat. Biotechnol. 2019, 37, 420–423. [Google Scholar] [CrossRef] [PubMed]
- Jumper, J.; Evans, R.; Pritzel, A.; Green, T.; Figurnov, M.; Ronneberger, O.; Tunyasuvunakool, K.; Bates, R.; Žídek, A.; Potapenko, A.; et al. Highly accurate protein structure prediction with AlphaFold. Nature 2021, 596, 583–589. [Google Scholar] [CrossRef]
- Abraham, M.J.; Murtola, T.; Schulz, R.; Páll, S.; Smith, J.C.; Hess, B. GROMACS: High performance molecular simulations through multi-level parallelism from laptops to supercomputers. SoftwareX 2015, 1–2, 19–25. [Google Scholar] [CrossRef]
- Pan, F.; Zhao, L.; Cai, S.; Tang, X.; Mehmood, A.; Alnadari, F.; Tuersuntuoheti, T.; Zhou, N.; Ai, X. Prediction and evaluation of the 3D structure of Macadamia integrifolia antimicrobial protein 2 (MiAMP2) and its interaction with palmitoleic acid or oleic acid: An integrated computational approach. Food Chem. 2022, 367, 130677. [Google Scholar] [CrossRef] [PubMed]
- Yu, H.; Dalby, P.A. Coupled molecular dynamics mediate long- and short-range epistasis between mutations that affect stability and aggregation kinetics. Biol. Sci. 2018, 47, E11043–E11052. [Google Scholar] [CrossRef] [PubMed]
- Adrian, R.; Marc, G.; Sílvia, O. Role of Conformational Dynamics in the Evolution of Retro-Aldolase Activity. J. Am. Chem. Soc. 2017, 7, 8524–8532. [Google Scholar] [CrossRef]
- Das, A.; Shivakumar, S.; Bhattacharya, S.; Shakya, S.; Swathi, S.S. Purification and characterization of a surfactant-compatible lipase from Aspergillus tamari JGIF06 exhibiting energy-efficient removal of oil stains from polycotton fabric. 3 Biotech. 2016, 6, 131. [Google Scholar] [CrossRef]
- Rajakumara, E.; Acharya, P.; Ahmad, S.; Sankaranaryanan, R.; Rao, N. Structural basis for the remarkable stability of Bacillus subtilis lipase (Lip A) at low pH. BBA Proteins Proteom. 2008, 1784, 302–311. [Google Scholar] [CrossRef]
- Shuai, Y.; Zhang, T.; Mu, W.; Jiang, B. Purification and Characterization of γ-Glutamyl transpeptidase from Bacillus subtilis SK11.004. J. Agric. Food Chem. 2011, 59, 6233–6238. [Google Scholar] [CrossRef]
- Rahman, R.N.Z.R.A.; Baharum, S.N.; Basti, M.; Salleh, A.B. High-yield purification of an organic solvent-tolerant lipase from Pseudomonas sp. strain S5. Anal. Biochem. 2005, 341, 267–274. [Google Scholar] [CrossRef]
- Maharana, A.K.; Ray, P. Application of Plackett-Burman design for improved cold temperature production of lipase by psychrotolerant Pseudomonas sp. AKM-15. Int. J. Curr. Microbiol. Appl. Sci. 2014, 3, 269–282. [Google Scholar] [CrossRef]
- Rmili, F.; Acheri, N.; Smichi, N.; Krayem, N.; Bayoudh, A.; Gargouri, Y.; Chamkha, M.; Feendri, A. Purification and biochemical characterization of an organic solvent-tolerant and detergent-stable lipase from Staphylococcus capitis. Biotechnol. Progr. 2019, 35, e2833. [Google Scholar] [CrossRef]
- Tang, W. Characterization of Enzymatic Properties and Catalyzation Mechanism of Lipase from Geobacillus sp.12AMORI. Master’s Thesis, South China University of Technology, Guangzhou, China, 2019. [Google Scholar]
- Li, F. A Study on Preparation and Enzymatic Characteristics of Three No-Lid Domain Lipases. Master’s Thesis, South China University of Technology, Guangzhou, China, 2018. [Google Scholar]
- Esakkiraj, P.; Bharathi, C.; Ayyanna, R.; Jha, N.; Panigrahi, A.; Karthe, P.V.; Arul, V. Functional and molecular characterization of a cold-active lipase from Psychrobacter celer PU3 with potential antibiofilm property. Int. J. Biol. Macromol. 2022, 211, 741–753. [Google Scholar] [CrossRef] [PubMed]
- Wang, R.; Wang, S.; Xu, Y.; Yu, X. Enhancing the thermostability of Rhizopus chinensis lipase by rational design and MD simulations. Int. J. Biol. Macromol. 2020, 160, 1189–1200. [Google Scholar] [CrossRef] [PubMed]
- Tian, M.; Yang, L.; Lv, P.; Wang, Z.; Fu, J.; Miao, C.; Li, Z.; Li, L.; Liu, T.; Du, W.; et al. Improvement of methanol tolerance and catalytic activity of Rhizomucor miehei lipase for one-step synthesis of biodiesel by semi-rational design. Bioresour. Technol. 2022, 348, 126769. [Google Scholar] [CrossRef]







| Chemical Solvent | Relative Activity (%) | |
|---|---|---|
| 5% | 10% | |
| Methanol | 92.51 ± 2.17 a | 86.30 ± 2.09 a |
| Ethanol | 97.83 ± 1.79 a | 93.74 ± 1.59 a |
| Isopropanol | 93.24 ± 2.04 a | 87.67±2.18 a |
| Acetonitrile | 98.16 ± 1.87 a | 96.08 ± 1.58 a |
| DMSO | 91.76 ± 0.98 a | 89.32 ± 1.80 a |
| EDTA | 92.16 ± 1.37 a | 87.63 ± 2.01 a |
| SDS | 62.38 ± 0.79 b | 49.29 ± 1.27 c |
| Tween-80 | 76.15 ± 1.56 b | 61.07 ± 2.15 b |
| Triton X-100 | 87.49 ± 2.14 ab | 73.36 ± 1.69 b |
| Temperature | Carbon Chain Length | Vmax (μM min−1) | Km (mM) | kcat (S−1) | kcat/Km (S−1 μM−1) |
|---|---|---|---|---|---|
| 4 °C | C6 | 211.52 ± 3.68 | 4.41 ± 0.06 | 1.94 ± 0.05 | 439.23 ± 3.79 |
| C8 | 210.43 ± 2.79 | 4.62 ± 0.09 | 1.93 ± 0.07 | 417.75 ± 4.57 | |
| C10 | 187.25 ± 2.94 | 5.19 ± 0.04 | 1.71 ± 0.06 | 329.48 ± 3.27 | |
| C12 | 246.37 ± 3.18 | 5.32 ± 0.08 | 2.26 ± 0.06 | 424.81 ± 4.13 | |
| C14 | 175.34 ± 2.57 | 5.63 ± 0.07 | 1.61 ± 0.04 | 285.20 ± 2.59 | |
| C16 | 194.32 ± 2.33 | 7.62 ± 0.06 | 0.79 ± 0.01 | 103.67 ± 1.78 | |
| C18 | 230.64 ± 2.61 | 7.21 ± 0.05 | 0.94 ± 0.02 | 130.37 ± 1.96 | |
| 20 °C | C6 | 217.79 ± 2.93 | 4.16 ± 0.06 | 1.99 ± 0.05 | 478.37 ± 4.17 |
| C8 | 223.20 ± 2.06 | 4.43 ± 0.09 | 2.04 ± 0.07 | 460.50 ± 4.36 | |
| C10 | 196.41 ± 2.31 | 5.04 ± 0.04 | 1.80 ± 0.06 | 357.14 ± 3.95 | |
| C12 | 214.43 ± 2.64 | 5.77 ± 0.08 | 1.96 ± 0.06 | 339.69 ± 3.26 | |
| C14 | 189.43 ± 1.98 | 5.40 ± 0.07 | 1.74 ± 0.05 | 322.22 ± 3.42 | |
| C16 | 157.79 ± 1.67 | 8.74 ± 0.08 | 0.64 ± 0.01 | 73.33 ± 1.06 | |
| C18 | 278.40 ± 2.14 | 6.95 ± 0.07 | 1.13 ± 0.02 | 162.59 ± 2.02 | |
| 30 °C | C6 | 232.69 ± 2.47 | 3.92 ± 0.06 | 2.13 ± 0.05 | 543.59 ± 4.95 |
| C8 | 236.25 ± 2.29 | 4.21 ± 0.09 | 2.16 ± 0.07 | 513.89 ± 4.16 | |
| C10 | 184.21 ± 1.94 | 5.23 ± 0.04 | 1.69 ± 0.06 | 322.54 ± 3.97 | |
| C12 | 204.47 ± 2.18 | 5.96 ± 0.08 | 1.87 ± 0.06 | 314.17 ± 3.65 | |
| C14 | 213.62 ± 2.38 | 5.12 ± 0.09 | 1.96 ± 0.05 | 382.08 ± 3.97 | |
| C16 | 150.26 ± 2.02 | 9.26 ± 0.09 | 0.61 ± 0.01 | 65.87 ± 1.17 | |
| C18 | 292.43 ± 3.12 | 6.26 ± 0.07 | 1.19 ± 0.04 | 190.10 ± 2.18 | |
| 40 °C | C6 | 221.64 ± 3.50 | 4.27 ± 0.06 | 2.03 ± 0.04 | 475.33 ± 4.93 |
| C8 | 243.75 ± 2.64 | 3.98 ± 0.05 | 2.23 ± 0.06 | 560.84 ± 5.71 | |
| C10 | 178.69 ± 2.33 | 5.43 ± 0.04 | 1.64 ± 0.01 | 301.35 ± 4.05 | |
| C12 | 186.79 ± 2.76 | 6.78 ± 0.08 | 1.71 ± 0.02 | 252.30 ± 3.28 | |
| C14 | 170.16 ± 2.62 | 5.59 ± 0.05 | 1.56 ± 0.03 | 278.76 ± 3.37 | |
| C16 | 137.42 ± 2.25 | 11.07 ± 0.09 | 0.56 ± 0.01 | 50.59 ± 1.94 | |
| C18 | 247.68 ± 3.47 | 7.14 ± 0.07 | 1.00 ± 0.04 | 140.06 ± 2.56 |
Disclaimer/Publisher’s Note: The statements, opinions and data contained in all publications are solely those of the individual author(s) and contributor(s) and not of MDPI and/or the editor(s). MDPI and/or the editor(s) disclaim responsibility for any injury to people or property resulting from any ideas, methods, instructions or products referred to in the content. |
© 2023 by the authors. Licensee MDPI, Basel, Switzerland. This article is an open access article distributed under the terms and conditions of the Creative Commons Attribution (CC BY) license (https://creativecommons.org/licenses/by/4.0/).
Share and Cite
Xu, L.; Pan, F.; Li, Y.; Liu, H.; Wang, C. Characterization and Molecular Dynamics Simulation of a Lipase Capable of Improving the Functional Characteristics of an Egg-Yolk-Contaminated Liquid Egg White. Foods 2023, 12, 4098. https://doi.org/10.3390/foods12224098
Xu L, Pan F, Li Y, Liu H, Wang C. Characterization and Molecular Dynamics Simulation of a Lipase Capable of Improving the Functional Characteristics of an Egg-Yolk-Contaminated Liquid Egg White. Foods. 2023; 12(22):4098. https://doi.org/10.3390/foods12224098
Chicago/Turabian StyleXu, Linlin, Fei Pan, Yingnan Li, Huiqian Liu, and Chengtao Wang. 2023. "Characterization and Molecular Dynamics Simulation of a Lipase Capable of Improving the Functional Characteristics of an Egg-Yolk-Contaminated Liquid Egg White" Foods 12, no. 22: 4098. https://doi.org/10.3390/foods12224098
APA StyleXu, L., Pan, F., Li, Y., Liu, H., & Wang, C. (2023). Characterization and Molecular Dynamics Simulation of a Lipase Capable of Improving the Functional Characteristics of an Egg-Yolk-Contaminated Liquid Egg White. Foods, 12(22), 4098. https://doi.org/10.3390/foods12224098

