Inhibition of Iron Release from Donkey Spleen Ferritin through Malt-Derived Protein Z–Ferulic Acid Interactions
Abstract
1. Introduction
2. Materials and Methods
2.1. Samples and Chemicals
2.2. Preparation of Protein Z and Donkey Spleen Ferritin
2.3. Fluorescence Spectroscopic Analysis
2.4. Circular Dichroism Spectra Measurement
2.5. Molecular Dynamics (MD) Simulation
2.6. Iron Release Measurements from DSF in the Presence of Ferulic Acid and Beer
2.7. Statistical Analysis
3. Results and Discussion
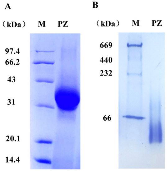
3.1. Purification and Characterization of PZ
3.2. Interactions between PZ and FA
3.2.1. The Stoichiometry and Binding Constant of PZ Binding with FA
3.2.2. Analysis of the Binding Sites of Ferulic Acid on PZ
3.2.3. Effects of FA Binding on PZ Structure
3.3. MD Analysis
3.4. Inhibition of Iron Release through PZ–FA Interactions
4. Conclusions
Supplementary Materials
Author Contributions
Funding
Data Availability Statement
Conflicts of Interest
References
- Alsharabasy, A.M.; Pandit, A.; Farràs, P. Recent advances in the design and sensing applications of hemin/coordination polymer-based nanocomposites. Adv. Mater. 2021, 33, 2003883. [Google Scholar] [CrossRef]
- Fredrickson, D.S.; Gordon, R.S., Jr. The metabolism of albumin-bound C14-labeled unesterified fatty acids in normal human subjects. J. Clin. Investig. 1958, 37, 1504–1515. [Google Scholar] [CrossRef]
- Ozdal, T.; Yalcinkaya, İ.E.; Toydemir, G.; Çapanoğlu, E. Polyphenol-protein interactions and changes in functional properties and digestibility. Encycl. Food Chem. 2019, 566–577. [Google Scholar] [CrossRef]
- Tsai, P.J.; She, C.H. Significance of phenol-protein interactions in modifying the antioxidant capacity of peas. J. Agric. Food. Chem. 2006, 54, 8491–8494. [Google Scholar] [CrossRef] [PubMed]
- Ma, J.; Yao, Q.; Chen, X.; Lv, C.; Zang, J.; Zhao, G. Weak binding of epigallocatechin to α-Lactalbumin greatly improves its stability and uptake by Caco-2 Cells. J. Agric. Food. Chem. 2021, 69, 8482–8491. [Google Scholar] [CrossRef]
- Yang, R.; Tian, J.; Liu, Y.Q.; Yang, Z.Y.; Wu, D.D.; Zhou, Z.K. Thermally induced encapsulation of food nutrients into phytoferritin through the flexible channels without additives. J. Agric. Food. Chem. 2017, 65, 9950–9955. [Google Scholar] [CrossRef] [PubMed]
- Deng, J.; Cheng, J.; Liao, X.; Zhang, T.; Leng, X.; Zhao, G. Comparative study on iron release from soybean (Glycine max) seed ferritin induced by anthocyanins and ascorbate. J. Agric. Food. Chem. 2010, 58, 635–641. [Google Scholar] [CrossRef]
- Li, M.; Jia, X.; Yang, J.; Deng, J.; Zhao, G. Effect of tannic acid on properties of soybean (Glycine max) seed ferritin: A model for interaction between naturally-occurring components in foodstuffs. Food Chem 2012, 133, 410–415. [Google Scholar] [CrossRef]
- Lv, C.; Bai, Y.; Yang, S.; Zhao, G.; Chen, B. NADH induces iron release from pea seed ferritin: A model for interaction between coenzyme and protein components in foodstuffs. Food Chem 2013, 141, 3851–3858. [Google Scholar] [CrossRef]
- Sha, X.; Chen, H.; Zhang, J.; Zhao, G. Iron release from soybean seed ferritin induced by cinnamic acid derivatives. Pharmaceuticals 2018, 11, 39. [Google Scholar] [CrossRef]
- Bou-Abdallah, F.; Paliakkara, J.J.; Melman, G.; Melman, A. Reductive mobilization of iron from intact ferritin: Mechanisms and physiological implication. Pharmaceuticals 2018, 11, 120. [Google Scholar] [CrossRef] [PubMed]
- Ji, X.; Huang, L.; Lin, Q.; Huang, H. Characteristics and kinetics of iron release from the ferritin under the EGCG reduction. Biol. Trace. Elem. Res. 2012, 146, 134–140. [Google Scholar] [CrossRef] [PubMed][Green Version]
- Kang, J.-H. Oxidative damage of DNA induced by ferritin and hydrogen peroxide. B Korean Chem. Soc. 2010, 31, 2873–2876. [Google Scholar] [CrossRef][Green Version]
- Sun, M.; Gan, J.; Li, Y.; Dai, S.; Lv, C.; Zhao, G. Fabrication of a donkey spleen ferritin–pectin complex to reduce iron release and enhance the iron supplementation efficacy. Food Funct. 2022, 13, 8500–8508. [Google Scholar] [CrossRef]
- Islam, M.T.; Tabrez, S.; Jabir, N.R.; Ali, M.; Kamal, M.A.; da Silva Araujo, L.; De Oliveira Santos, J.V.; Da Mata, A.; De Aguiar, R.P.S.; de Carvalho Melo Cavalcante, A.A. An insight into the therapeutic potential of major coffee components. Curr. Drug Metab. 2018, 19, 544–556. [Google Scholar] [CrossRef]
- Cengiz, M.F.; Babacan, U.; Akinci, E.; Tuncer Kesci, S.; Kaba, A. Extraction of phenolic acids from ancient wheat bran samples by ultrasound application. J. Chem. Technol. Biotechnol. 2021, 96, 134–141. [Google Scholar] [CrossRef]
- Vanbeneden, N.; Gils, F.; Delvaux, F.; Delvaux, F.R. Variability in the Release of Free and Bound Hydroxycinnamic Acids from Diverse Malted Barley (Hordeum vulgare L.) Cultivars during Wort Production. J. Agric. Food. Chem. 2007, 55, 11002–11010. [Google Scholar] [CrossRef]
- Piazzon, A.; Forte, M.; Nardini, M. Characterization of phenolics content and antioxidant activity of different beer types. J. Agric. Food. Chem. 2010, 58, 10677–10683. [Google Scholar] [CrossRef] [PubMed]
- Rahman, M.J.; Liang, J.; Eskin, N.A.M.; Eck, P.; Thiyam-Holländer, U. Identification of hydroxycinnamic acid derivatives of selected canadian and foreign commercial beer extracts and determination of their antioxidant properties. LWT 2020, 122, 109021. [Google Scholar] [CrossRef]
- Han, Y.; Wang, J.; Li, Y.; Wang, X.; Li, Q. Heterologous expression of Hordeum vulgare protein Z4 in Pichia pastoris shows increased structural stability. Process Biochem. 2016, 51, 828–837. [Google Scholar] [CrossRef]
- Colgrave, M.L.; Goswami, H.; Howitt, C.A.; Tanner, G.J. Proteomics as a tool to understand the complexity of beer. Food Res. Int. 2013, 54, 1001–1012. [Google Scholar] [CrossRef]
- Asano, K.; Shinagawa, K.; Hashimoto, N. Characterization of haze-forming proteins of beer and their roles in chill haze formation1. J. Am. Soc. Brew Chem. 1982, 40, 147–154. [Google Scholar]
- Kellici, T.F.; Pilka, E.S.; Bodkin, M.J. Small-molecule modulators of serine protease inhibitor proteins (serpins). Drug Discov. Today 2021, 26, 442–454. [Google Scholar] [CrossRef] [PubMed]
- Wang, L.; Zhang, Y.; Agbaka Johnpaul, I.; Hong, K.; Gao, H.; Song, Y.; Lv, C.; Ma, C. Protein Z-based promising carriers for enhancing solubility and bioaccessibility of Xanthohumol. Food Hydrocoll. 2022, 131, 107771. [Google Scholar] [CrossRef]
- Jiang, Z.; Gan, J.; Wang, L.; Lv, C. Binding of curcumin to barley protein Z improves its solubility, stability and bioavailability. Food Chem. 2023, 399, 133952. [Google Scholar] [CrossRef]
- Han, Y.; Wang, J.; Li, Y.; Hang, Y.; Yin, X.; Li, Q. Circular dichroism and infrared spectroscopic characterization of secondary structure components of protein Z during mashing and boiling processes. Food Chem. 2015, 188, 201–209. [Google Scholar] [CrossRef]
- Tahlan, S.; Kumar, S.; Ramasamy, K.; Lim, S.M.; Shah, S.A.A.; Mani, V.; Narasimhan, B. In-silico molecular design of heterocyclic benzimidazole scaffolds as prospective anticancer agents. BMC Chem. 2019, 13, 90. [Google Scholar] [CrossRef]
- Salomon-Ferrer, R.; Case, D.A.; Walker, R.C. An overview of the Amber biomolecular simulation package. WIREs Comput. Mater. Sci. 2013, 3, 198–210. [Google Scholar] [CrossRef]
- Wang, J.; Wolf, R.M.; Caldwell, J.W.; Kollman, P.A.; Case, D.A. Development and testing of a general amber force field. J. Comput. Chem. 2004, 25, 1157–1174. [Google Scholar] [CrossRef]
- Maier, J.A.; Martinez, C.; Kasavajhala, K.; Wickstrom, L.; Hauser, K.E.; Simmerling, C. ff14SB: Improving the accuracy of protein side chain and backbone parameters from ff99SB. J. Chem. Theory Comput. 2015, 11, 3696–3713. [Google Scholar] [CrossRef]
- Sagui, C.; Darden, T.A. Molecular dynamics simulations of biomolecules: Long-range electrostatic effects. Annu. Rev. Biophys. 1999, 28, 155–179. [Google Scholar] [CrossRef] [PubMed]
- Mark, P.; Nilsson, L. Structure and Dynamics of the TIP3P, SPC, and SPC/E water models at 298 K. J. Phys. Chem. A 2001, 105, 9954–9960. [Google Scholar] [CrossRef]
- Kräutler, V.; van Gunsteren, W.F.; Hünenberger, P.H. A fast SHAKE algorithm to solve distance constraint equations for small molecules in molecular dynamics simulations. J. Comput. Chem. 2001, 22, 501–508. [Google Scholar] [CrossRef]
- Larini, L.; Mannella, R.; Leporini, D. Langevin stabilization of molecular-dynamics simulations of polymers by means of quasisymplectic algorithms. J. Chem. Phys. 2007, 126, 104101. [Google Scholar] [CrossRef]
- Chen, Y.; Zheng, Y.; Fong, P.; Mao, S.; Wang, Q. The application of the MM/GBSA method in the binding pose prediction of FGFR inhibitors. Phys. Chem. Chem. Phys. 2020, 22, 9656–9663. [Google Scholar] [CrossRef]
- Huang, C.-Y.; Hsieh, M.C.; Zhou, Q. Application of tryptophan tluorescence bandwidth-maximum plot in analysis of monoclonal antibody structure. AAPS Pharmscitech 2016, 18, 838–845. [Google Scholar] [CrossRef]
- Callis, P.R. 1La and 1Lb transitions of tryptophan: Applications of theory and experimental observations to fluorescence of proteins. In Methods in Enzymology; Academic Press: Cambridge, MA, USA, 1997; Volume 278, pp. 113–150. [Google Scholar]
- Kang, J.; Liu, Y.; Xie, M.-X.; Li, S.; Jiang, M.; Wang, Y.-D. Interactions of human serum albumin with chlorogenic acid and ferulic acid. Biochim. Biophys. Acta Gen. Subj. 2004, 1674, 205–214. [Google Scholar] [CrossRef]
- Rehman, A.A.; Sarwar, T.; Arif, H.; Ali, S.S.; Ahsan, H.; Tabish, M.; Khan, F.H. Spectroscopic and thermodynamic studies on ferulic acid–Alpha-2-macroglobulin interaction. J. Mol. Struct. 2017, 1144, 254–259. [Google Scholar] [CrossRef]
- Yang, J.Y.; Yang, W.Y. Site-specific two-color protein labeling for FRET studies using split inteins. J. Am. Chem. Soc. 2009, 131, 11644–11645. [Google Scholar] [CrossRef]
- Bernard. New Trends in Fluorescence Spectroscopy; New Trends in Fluorescence Spectroscopy; Springer: Berlin/Heidelberg, Germany, 2001; p. 411. [Google Scholar]
- Baptista, M.S.; Indig, G.L. Effect of BSA Binding on Photophysical and Photochemical Properties of Triarylmethane Dyes. J. Phys. Chem. B 1998, 102, 4678–4688. [Google Scholar] [CrossRef]
- Ehteshami, M.; Rasoulzadeh, F.; Mahboob, S.; Rashidi, M.-R. Characterization of 6-mercaptopurine binding to bovine serum albumin and its displacement from the binding sites by quercetin and rutin. J. Lumin. 2013, 135, 164–169. [Google Scholar] [CrossRef]
- Kelly, S.M.; Jess, T.J.; Price, N.C. How to study proteins by circular dichroism. Biochim. Biophys. Acta Proteins Proteom. 2005, 1751, 119–139. [Google Scholar] [CrossRef] [PubMed]
- Ye, S.; Cech, A.L.; Belmares, R.; Bergstrom, R.C.; Tong, Y.; Corey, D.R.; Kanost, M.R.; Goldsmith, E.J. The structure of a Michaelis serpin–protease complex. Nat. Struct. Mol. Biol. 2001, 8, 979–983. [Google Scholar] [CrossRef] [PubMed]
- Chen, L.; Zhu, M.; Hu, X.; Pan, J.; Zhang, G. Exploring the binding mechanism of ferulic acid and ovalbumin: Insights from spectroscopy, molecular docking and dynamics simulation. J. Sci. Food Agric. 2022, 102, 3835–3846. [Google Scholar] [CrossRef] [PubMed]
- Yun, S.; Zhang, T.; Li, M.; Chen, B.; Zhao, G. Proanthocyanidins inhibit iron absorption from soybean (Glycine max) seed ferritin in rats with iron deficiency anemia. Plant Foods Hum. Nutr. 2011, 66, 212–217. [Google Scholar] [CrossRef] [PubMed]
- Jongberg, S.; Andersen, M.L.; Lund, M.N. Covalent protein-polyphenol bonding as initial steps of haze formation in beer. J. Am. Soc. Brew Chem. 2020, 78, 153–164. [Google Scholar] [CrossRef]






Disclaimer/Publisher’s Note: The statements, opinions and data contained in all publications are solely those of the individual author(s) and contributor(s) and not of MDPI and/or the editor(s). MDPI and/or the editor(s) disclaim responsibility for any injury to people or property resulting from any ideas, methods, instructions or products referred to in the content. |
© 2023 by the authors. Licensee MDPI, Basel, Switzerland. This article is an open access article distributed under the terms and conditions of the Creative Commons Attribution (CC BY) license (https://creativecommons.org/licenses/by/4.0/).
Share and Cite
Sun, M.; Liu, H.; Xu, C.; Jiang, Z.; Lv, C. Inhibition of Iron Release from Donkey Spleen Ferritin through Malt-Derived Protein Z–Ferulic Acid Interactions. Foods 2023, 12, 234. https://doi.org/10.3390/foods12020234
Sun M, Liu H, Xu C, Jiang Z, Lv C. Inhibition of Iron Release from Donkey Spleen Ferritin through Malt-Derived Protein Z–Ferulic Acid Interactions. Foods. 2023; 12(2):234. https://doi.org/10.3390/foods12020234
Chicago/Turabian StyleSun, Mingyang, Hanhan Liu, Chen Xu, Zhenghui Jiang, and Chenyan Lv. 2023. "Inhibition of Iron Release from Donkey Spleen Ferritin through Malt-Derived Protein Z–Ferulic Acid Interactions" Foods 12, no. 2: 234. https://doi.org/10.3390/foods12020234
APA StyleSun, M., Liu, H., Xu, C., Jiang, Z., & Lv, C. (2023). Inhibition of Iron Release from Donkey Spleen Ferritin through Malt-Derived Protein Z–Ferulic Acid Interactions. Foods, 12(2), 234. https://doi.org/10.3390/foods12020234

