Beneficial Effects of Dietary Flaxseed Oil through Inflammation Pathways and Gut Microbiota in Streptozotocin-Induced Diabetic Mice
Abstract
1. Introduction
2. Materials and Methods
2.1. Animals
2.2. Study Design
2.3. Inflammatory Cytokine Detection, Western Blotting, and RT-PCR Analysis
2.4. 16S rDNA Sequencing Analysis
2.5. Statistical Analysis
3. Results
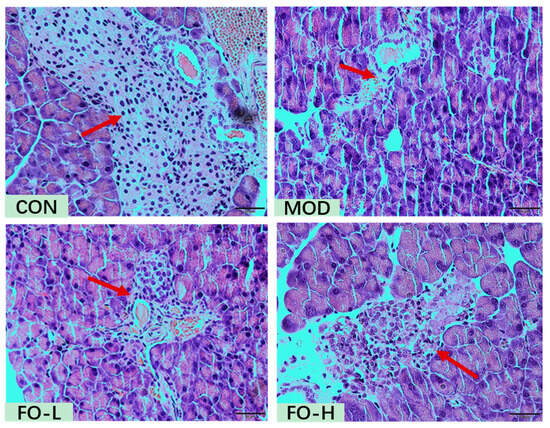
3.1. Flaxseed Oil Altered Glucose, Lipid Metabolism, and Inflammation in Type 1 Diabetic Mice
3.2. Flaxseed Oil Changed TLR4/MyD88 Pathway in Type 1 Diabetic Mice
3.3. Flaxseed Oil Regulated Fecal Microbiota in Type 1 Diabetic Mice
4. Discussion
5. Conclusions
Supplementary Materials
Author Contributions
Funding
Institutional Review Board Statement
Informed Consent Statement
Data Availability Statement
Conflicts of Interest
References
- WHO. Diabetes. 2022. Available online: https://www.who.int/news-room/fact-sheets/detail/diabetes (accessed on 5 April 2023).
- Norris, J.M.; Johnson, R.K.; Stene, L.C. Type 1 diabetes-early life origins and changing epidemiology. Lancet Diabetes Endocrinol. 2020, 8, 226–238. [Google Scholar] [CrossRef] [PubMed]
- von Scholten, B.J.; Kreiner, F.F.; Gough, S.C.L.; von Herrath, M. Current and future therapies for type 1 diabetes. Diabetologia 2021, 64, 1037–1048. [Google Scholar] [CrossRef] [PubMed]
- Roep, B.O.; Thomaidou, S.; van Tienhoven, R.; Zaldumbide, A. Type 1 diabetes mellitus as a disease of the β-cell (do not blame the immune system?). Nat. Rev. Endocrinol. 2021, 17, 150–161. [Google Scholar] [CrossRef] [PubMed]
- Din, J.N.; Newby, D.E.; Flapan, A.D. Omega 3 fatty acids and cardiovascular disease–fishing for a natural treatment. BMJ (Clin. Res. Ed.) 2004, 328, 30–35. [Google Scholar] [CrossRef] [PubMed]
- Cunnane, S.; Ganguli, S.; Menard, C.; Liede, A.; Hamadeh, M.; Chen, Z.; Wolever, T.; Jenkins, D.J.A. High alpha-linolenic acid flaxseed (Linum usitatissimum): Some nutritional properties in humans. Br. J. Nutr. 1993, 69, 443–453. [Google Scholar] [CrossRef] [PubMed]
- Goyal, A.; Sharma, V.; Upadhyay, N.; Gill, S.; Sihag, M. Flax and flaxseed oil: An ancient medicine & modern functional food. J. Food Sci. Technol.-Mysore 2014, 51, 1633–1653. [Google Scholar] [CrossRef]
- Ferrer-Garcia, J.C.; Vidal, L.G.; Izquierdo, A.M.; Juan, C.S. Consumption of Nuts and Vegetal Oil in People with Type 1 Diabetes Mellitus. Nutr. Hosp. 2015, 31, 2641–2647. [Google Scholar] [CrossRef]
- Djousse, L.; Hunt, S.C.; Arnett, D.K.; Province, M.A.; Eckfeldt, J.H.; Ellison, R.C. Dietary linolenic acid is inversely associated with plasma triacylglycerol: The National Heart, Lung, and Blood Institute Family Heart Study. Am. J. Clin. Nutr. 2003, 78, 1098–1102. [Google Scholar] [CrossRef]
- Tao, M.; Saydah, S.H.; McDowell, M.A.; Eberhardt, M.S. Relationship of polyunsaturated fatty acid intake to peripheral neuropathy among adults with diabetes in the National Health and Nutrition Examination Survey (NHANES) 1999–2004. Diabetes Care 2008, 31, 93–95. [Google Scholar] [CrossRef]
- Albert, C.M.; Oh, K.; Whang, W.; Manson, J.E.; Chae, C.U.; Stampfer, M.J.; Willett, W.C.; Hu, F.B. Dietary alpha-linolenic acid intake and risk of sudden cardiac death and coronary heart disease. Circulation 2005, 112, 3232–3238. [Google Scholar] [CrossRef]
- Djousse, L.; Hunt, S.C.; Tang, W.H.; Eckfeldt, J.H.; Province, M.A.; Ellison, R.C. Dietary linolenic acid and fasting glucose and insulin: The National Heart, Lung, and Blood Institute Family Heart Study. Obesity 2006, 14, 295–300. [Google Scholar] [CrossRef]
- Wei, J.K.; Hou, R.X.; Xi, Y.Z.; Kowalski, A.; Wang, T.S.; Yu, Z.; Hu, Y.R.; Chandrasekar, E.K.; Sun, H.; Ali, M.K. The association and dose-response relationship between dietary intake of alpha-linolenic acid and risk of CHD: A systematic review and meta-analysis of cohort studies. Br. J. Nutr. 2018, 119, 83–89. [Google Scholar] [CrossRef] [PubMed]
- Tohgi, N. Effect of alpha-linolenic acid-containing linseed oil on coagulation in type 2 diabetes. Diabetes Care 2004, 27, 2563–2564. [Google Scholar] [CrossRef] [PubMed][Green Version]
- Santos, A.L.T.; Weiss, T.; Duarte, C.K.; Gross, J.L.; de Azevedo, M.J.; Zelmanovitz, T. Dietary fat composition and cardiac events in patients with type 2 diabetes. Atherosclerosis 2014, 236, 31–38. [Google Scholar] [CrossRef] [PubMed][Green Version]
- Chiva-Blanch, G.; Giro, O.; Cofan, M.; Calle-Pascual, A.L.; Delgado, E.; Gomis, R.; Jimenez, A.; Franch-Nadal, J.; Martinez, G.R.; Ortega, E. Low Percentage of Vegetable Fat in Red Blood Cells Is Associated with Worse Glucose Metabolism and Incidence of Type 2 Diabetes. Nutrients 2022, 14, 1368. [Google Scholar] [CrossRef]
- Brostow, D.P.; Odegaard, A.O.; Koh, W.P.; Duval, S.; Gross, M.D.; Yuan, J.M.; Pereira, M.A. Omega-3 fatty acids and incident type 2 diabetes: The Singapore Chinese Health Study. Am. J. Clin. Nutr. 2011, 94, 520–526. [Google Scholar] [CrossRef]
- Brown, T.J.; Brainard, J.; Song, F.; Wang, X.; Abdelhamid, A.; Hooper, L.; Ajabnoor, S.; Alabdulghafoor, F.; Brainard, J.; Brown, T.J.; et al. Omega-3; omega-6, and total dietary polyunsaturated fat for prevention and treatment of type 2 diabetes mellitus: Systematic review and meta-analysis of randomised controlled trials. BMJ—Br. Med. J. 2019, 366, 4697. [Google Scholar] [CrossRef]
- Weta, I.W.; Sutirtayasa, I.W.P.; Subawa, A.A.N.S.N.; Malik, S.G. Supplementation 2000mg and 1000mg of linoleic acid and alfa linolenic acid delayed pre diabetic state in Balinese young obese women: A Randomised Clinical Trial. Bali Med. J. 2017, 6, S55–S60. [Google Scholar] [CrossRef]
- Alhazmi, A.; Stojanovski, E.; McEvoy, M.; Garg, M.L. Macronutrient intake and type 2 diabetes risk in middle-aged Australian women. Results from the Australian Longitudinal Study on Women’s Health. Public Health Nutr. 2014, 17, 1587–1594. [Google Scholar] [CrossRef]
- Taylor, C.G.; Noto, A.D.; Stringer, D.M.; Froese, S.; Malcolmson, L. Dietary Milled Flaxseed and Flaxseed Oil Improve N-3 Fatty Acid Status and Do Not Affect Glycemic Control in Individuals with Well-Controlled Type 2 Diabetes. J. Am. Coll. Nutr. 2010, 29, 72–80. [Google Scholar] [CrossRef]
- Canetti, L.; Werner, H.; Leikin-Frenkel, A. Linoleic and alpha linolenic acids ameliorate streptozotocin-induced diabetes in mice. Arch. Physiol. Biochem. 2014, 120, 34–39. [Google Scholar] [CrossRef] [PubMed]
- Mejia-Zepeda, R.; Perez-Hernandez, I.H. Effect of alpha linolenic acid on membrane fluidity and respiration of liver mitochondria in normoglycemic and diabetic Wistar rats. J. Bioenerg. Biomembr. 2020, 52, 421–430. [Google Scholar] [CrossRef] [PubMed]
- Keegan, A.; Cotter, M.A.; Cameron, N.E. Corpus cavernosum dysfunction in diabetic rats: Effects of combined alpha-lipoic acid and gamma-linolenic acid treatment. Diabetes-Metab. Res. Rev. 2001, 17, 380–386. [Google Scholar] [CrossRef] [PubMed]
- Zhang, W.; Fu, F.; Tie, R.; Liang, X.Y.; Tian, F.; Xing, W.J.; Li, J.; Ji, L.; Xing, J.L.; Sun, X.; et al. Alpha-linolenic acid intake prevents endothelial dysfunction in high-fat diet-fed streptozotocin rats and underlying mechanisms. Vasa-Eur. J. Vasc. Med. 2013, 42, 421–428. [Google Scholar] [CrossRef]
- Cavina, M.; Battino, M.; Gaddi, A.V.; Savo, M.T.; Visioli, F. Supplementation with alpha-linolenic acid and inflammation: A feasibility trial. Int. J. Food Sci. Nutr. 2021, 72, 386–390. [Google Scholar] [CrossRef]
- Faintuch, J.; Horie, L.M.; Barbeiro, H.V.; Barbeiro, D.F.; Soriano, F.G.; Ishida, R.K.; Cecconello, I. Systemic inflammation in morbidly obese subjects: Response to oral supplementation with alpha-linolenic acid. Obes. Surg. 2007, 17, 341–347. [Google Scholar] [CrossRef]
- Winnik, S.; Lohmann, C.; Richter, E.K.; Schafer, N.; Song, W.L.; Leiber, F.; Mocharla, P.; Hofmann, J.; Klingenberg, R.; Boren, J.; et al. Dietary alpha-linolenic acid diminishes experimental atherogenesis and restricts T cell-driven inflammation. Eur. Heart J. 2011, 32, 2573–2584. [Google Scholar] [CrossRef]
- Wen, J.; Khan, I.; Li, A.P.; Chen, X.J.; Yang, P.R.; Song, P.S.; Jing, Y.P.; Wei, J.S.; Che, T.J.; Zhang, C.J. Alpha-linolenic acid given as an anti-inflammatory agent in a mouse model of colonic inflammation. Food Sci. Nutr. 2019, 7, 3873–3882. [Google Scholar] [CrossRef]
- Kaveh, M.; Eftekhar, N.; Boskabady, M.H. The effect of alpha linolenic acid on tracheal responsiveness, lung inflammation, and immune markers in sensitized rats. Iran. J. Basic Med. Sci. 2019, 22, 255–261. [Google Scholar] [CrossRef]
- Leung, K.S.; Galano, J.M.; Oger, C.; Durand, T.; Lee, J.C.Y. Enrichment of alpha-linolenic acid in rodent diet reduced oxidative stress and inflammation during myocardial infarction. Free Radic. Biol. Med. 2021, 162, 53–64. [Google Scholar] [CrossRef]
- Walkiewicz, K.; Janion, K.; Getek-Paszek, M.; Nowakowska-Zajdel, E. The role of linoleic and alpha-linolenic acids and their metabolites in maintaining chronic inflammation and developing colorectal cancer. Adv. Hyg. Exp. Med. 2020, 74, 464–470. [Google Scholar] [CrossRef]
- Knip, M.; Siljander, H. The role of the intestinal microbiota in type 1 diabetes mellitus. Nat. Rev. Endocrinol. 2016, 12, 154–167. [Google Scholar] [CrossRef] [PubMed]
- Gao, X.Y.; Chang, S.L.; Liu, S.F.; Peng, L.; Xie, J.; Dong, W.M.; Tian, Y.; Sheng, J. Correlations between alpha-Linolenic Acid-Improved Multitissue Homeostasis and Gut Microbiota in Mice Fed a High-Fat Diet. Msystems 2020, 5. [Google Scholar] [CrossRef] [PubMed]
- Li, Y.W.; Yu, Z.; Liu, Y.Y.; Wang, T.; Liu, Y.J.; Bai, Z.X.; Ren, Y.; Ma, H.Y.; Bao, T.; Lu, H.X.; et al. Dietary alpha-Linolenic Acid-Rich Flaxseed Oil Ameliorates High-Fat Diet-Induced Atherosclerosis via Gut Microbiota-Inflammation-Artery Axis in ApoE(−/−) Mice. Front. Cardiovasc. Med. 2022, 9, 830781. [Google Scholar] [CrossRef]
- Villarreal-Renteria, A.I.; Herrera-Echauri, D.D.; Rodriguez-Rocha, N.P.; Zuniga, L.Y.; Munoz-Valle, J.F.; Garcia-Arellano, S.; Bernal-Orozco, M.F.; Macedo-Ojeda, G. Effect of flaxseed (Linum usitatissimum) supplementation on glycemic control and insulin resistance in prediabetes and type 2 diabetes: A systematic review and meta-analysis of randomized controlled trials. Complement. Ther. Med. 2022, 70, 102852. [Google Scholar] [CrossRef]
- Chen, Z.; Qian, F.; Hu, Y.; Voortman, T.; Li, Y.; Rimm, E.B.; Sun, Q. Dietary phytoestrogens and total and cause-specific mortality: Results from 2 prospective cohort studies. Am. J. Clin. Nutr. 2023, 117, 130–140. [Google Scholar] [CrossRef]
- Moreira, F.D.; Reis, C.E.G.; Welker, A.F.; Gallassi, A.D. Acute Flaxseed Intake Reduces Postprandial Glycemia in Subjects with Type 2 Diabetes: A Randomized Crossover Clinical Trial. Nutrients 2022, 14, 3736. [Google Scholar] [CrossRef]
- Shareghfarid, E.; Nadjarzadeh, A.; Heidarzadeh-Esfahani, N.; Azamian, Y.; Hajiahmadi, S. The Effect of Flaxseed Oil Supplementation on Body Composition and Inflammation Indices in Overweight Adults with Pre-Diabetes. Nutr. Metab. Insights 2022, 15, 11786388221090083. [Google Scholar] [CrossRef]
- Bagherniya, M.; Mahdavi, A.; Abbasi, E.; Iranshahy, M.; Sathyapalan, T.; Sahebkar, A. The effects of phytochemicals and herbal bio-active compounds on tumour necrosis factor-alpha in overweight and obese individuals: A clinical review. Inflammopharmacology 2022, 30, 91–110. [Google Scholar] [CrossRef]
- Xia, H.; Shi, X.L.; Zhou, B.J.; Sui, J.; Yang, C.; Liu, H.C.; Yang, L.G.; Wang, S.K.; Sun, G.J. Milled flaxseed-added diets ameliorated hepatic inflammation by reducing gene expression of TLR4/NF-kappa B pathway and altered gut microbiota in STZ-induced type 1 diabetic mice. Food Sci. Hum. Wellness 2022, 11, 32–40. [Google Scholar] [CrossRef]
- Al Za, M.; Ali, H.; Ali, B.H. Effect of flaxseed on systemic inflammation and oxidative stress in diabetic rats with or without chronic kidney disease. PLoS ONE 2021, 16, e0258800. [Google Scholar] [CrossRef]
- Gaspar, R.C.; Veiga, C.B.; Bessi, M.P.; Dátilo, M.N.; Sant, M.R.; Rodrigues, P.B.; de Moura, L.P.; da Silva, A.S.R.; Santos, G.A.; Catharino, R.R.; et al. Unsaturated fatty acids from flaxseed oil and exercise modulate GPR120 but not GPR40 in the liver of obese mice: A new anti-inflammatory approach. J. Nutr. Biochem. 2019, 66, 52–62. [Google Scholar] [CrossRef] [PubMed]
- Jangale, N.M.; Devarshi, P.P.; Bansode, S.B.; Kulkarni, M.J.; Harsulkar, A.M. Dietary flaxseed oil and fish oil ameliorates renal oxidative stress, protein glycation, and inflammation in streptozotocin–nicotinamide-induced diabetic rats. J. Physiol. Biochem. 2016, 72, 327–336. [Google Scholar] [CrossRef]
- Jangale, N.M.; Devarshi, P.P.; Dubal, A.A.; Ghule, A.E.; Koppikar, S.J.; Bodhankar, S.L.; Chougale, A.D.; Kulkarni, M.J.; Harsulkar, A.M. Dietary flaxseed oil and fish oil modulates expression of antioxidant and inflammatory genes with alleviation of protein glycation status and inflammation in liver of streptozotocin–nicotinamide induced diabetic rats. Food Chem. 2013, 141, 187–195. [Google Scholar] [CrossRef]
- Yu, X.; Deng, Q.; Tang, Y.; Xiao, L.; Liu, L.; Yao, P.; Tang, H.; Dong, X. Flaxseed Oil Attenuates Hepatic Steatosis and Insulin Resistance in Mice by Rescuing the Adaption to ER Stress. J. Agric. Food Chem. 2018, 66, 10729–10740. [Google Scholar] [CrossRef]
- Cabrera, S.M.; Henschel, A.M.; Hessner, M.J. Innate inflammation in type 1 diabetes. Transl. Res. 2016, 167, 214–227. [Google Scholar] [CrossRef] [PubMed]
- Tomic, M.; Vrabec, R.; Pauk, S.V.; Bulum, T.; Ljubic, S. Systemic inflammation and dyslipidemia are associated with retinopathy in type 2 but not in type 1 diabetes. Scand. J. Clin. Lab. Investig. 2020, 80, 484–490. [Google Scholar] [CrossRef]
- Badawy, E.A.; Rasheed, W.I.; Elias, T.R.; Hussein, J.; Harvi, M.; Morsy, S.; Mahmoud, Y.A.E.-L. Flaxseed oil reduces oxidative stress and enhances brain monoamines release in streptozotocin-induced diabetic rats. Hum. Exp. Toxicol. 2015, 34, 1133–1138. [Google Scholar] [CrossRef] [PubMed]
- Gök, M.; Ulusu, N.N.; Tarhan, N.; Tufan, C.; Ozansoy, G.; Arı, N.; Karasu, Ç. Flaxseed Protects Against Diabetes-Induced Glucotoxicity by Modulating Pentose Phosphate Pathway and Glutathione-Dependent Enzyme Activities in Rats. J. Diet. Suppl. 2016, 13, 339–351. [Google Scholar] [CrossRef]
- Hamesch, K.; Borkham-Kamphorst, E.; Strnad, P.; Weiskirchen, R. Lipopolysaccharide-induced inflammatory liver injury in mice. Lab. Anim. 2015, 49 (Suppl. 1), 37–46. [Google Scholar] [CrossRef]
- Chen, S.-N.; Tan, Y.; Xiao, X.-C.; Li, Q.; Wu, Q.; Peng, Y.-Y.; Ren, J.; Dong, M.-L. Deletion of TLR4 attenuates lipopolysaccharide-induced acute liver injury by inhibiting inflammation and apoptosis. Acta Pharmacol. Sin. 2021, 42, 1610–1619. [Google Scholar] [CrossRef] [PubMed]
- Soares, J.B.; Pimentel-Nunes, P.; Roncon-Albuquerque, R.; Leite-Moreira, A. The role of lipopolysaccharide/toll-like receptor 4 signaling in chronic liver diseases. Hepatol. Int. 2010, 4, 659–672. [Google Scholar] [CrossRef] [PubMed]
- Kleigrewe, K.; Haack, M.; Baudin, M.; Ménabréaz, T.; Crovadore, J.; Masri, M.; Beyrer, M.; Andlauer, W.; Lefort, F.; Dawid, C.; et al. Dietary Modulation of the Human Gut Microbiota and Metabolome with Flaxseed Preparations. Int. J. Mol. Sci. 2022, 23, 10473. [Google Scholar] [CrossRef] [PubMed]
- Zhu, L.; Sha, L.; Li, K.; Wang, Z.; Wang, T.; Li, Y.; Liu, P.; Dong, X.; Dong, Y.; Zhang, X.; et al. Dietary flaxseed oil rich in omega-3 suppresses severity of type 2 diabetes mellitus via anti-inflammation and modulating gut microbiota in rats. Lipids Health Dis. 2020, 19, 20. [Google Scholar] [CrossRef] [PubMed]
- Smith, B.J.; Miller, R.A.; Schmidt, T.M. Muribaculaceae Genomes Assembled from Metagenomes Suggest Genetic Drivers of Differential Response to Acarbose Treatment in Mice. Msphere 2021, 6, e00851-21. [Google Scholar] [CrossRef]
- Mrozinska, S.; Kapusta, P.; Gosiewski, T.; Sroka-Oleksiak, A.; Ludwig-Słomczyńska, A.H.; Matejko, B.; Kiec-Wilk, B.; Bulanda, M.; Malecki, M.T.; Wolkow, P.P.; et al. The Gut Microbiota Profile According to Glycemic Control in Type 1 Diabetes Patients Treated with Personal Insulin Pumps. Microorganisms 2021, 9, 155. [Google Scholar] [CrossRef]
- Lang, J.; Wang, X.; Liu, K.; He, D.; Niu, P.; Cao, R.; Jin, L.; Wu, J. Oral delivery of staphylococcal nuclease by Lactococcus lactis prevents type 1 diabetes mellitus in NOD mice. Appl. Microbiol. Biotechnol. 2017, 101, 7653–7662. [Google Scholar] [CrossRef] [PubMed]





Disclaimer/Publisher’s Note: The statements, opinions and data contained in all publications are solely those of the individual author(s) and contributor(s) and not of MDPI and/or the editor(s). MDPI and/or the editor(s) disclaim responsibility for any injury to people or property resulting from any ideas, methods, instructions or products referred to in the content. |
© 2023 by the authors. Licensee MDPI, Basel, Switzerland. This article is an open access article distributed under the terms and conditions of the Creative Commons Attribution (CC BY) license (https://creativecommons.org/licenses/by/4.0/).
Share and Cite
Xia, H.; Wang, Y.; Shi, X.; Liao, W.; Wang, S.; Sui, J.; Sun, G. Beneficial Effects of Dietary Flaxseed Oil through Inflammation Pathways and Gut Microbiota in Streptozotocin-Induced Diabetic Mice. Foods 2023, 12, 3229. https://doi.org/10.3390/foods12173229
Xia H, Wang Y, Shi X, Liao W, Wang S, Sui J, Sun G. Beneficial Effects of Dietary Flaxseed Oil through Inflammation Pathways and Gut Microbiota in Streptozotocin-Induced Diabetic Mice. Foods. 2023; 12(17):3229. https://doi.org/10.3390/foods12173229
Chicago/Turabian StyleXia, Hui, Ying Wang, Xiangling Shi, Wang Liao, Shaokang Wang, Jing Sui, and Guiju Sun. 2023. "Beneficial Effects of Dietary Flaxseed Oil through Inflammation Pathways and Gut Microbiota in Streptozotocin-Induced Diabetic Mice" Foods 12, no. 17: 3229. https://doi.org/10.3390/foods12173229
APA StyleXia, H., Wang, Y., Shi, X., Liao, W., Wang, S., Sui, J., & Sun, G. (2023). Beneficial Effects of Dietary Flaxseed Oil through Inflammation Pathways and Gut Microbiota in Streptozotocin-Induced Diabetic Mice. Foods, 12(17), 3229. https://doi.org/10.3390/foods12173229

