Characteristics of Physicochemical Properties of Chalky Grains of Japonica Rice Generated by High Temperature during Ripening
Abstract
1. Introduction
2. Materials and Methods
2.1. Materials
2.2. Ratios of Whole and Chalky Rice Grains
2.3. Preparation of Milled Rice Flour
2.4. Preparation of Starch Granules
2.5. Iodine Absorption Spectrum
2.6. Pasting Properties
2.7. Measurement of RS
2.8. Physical Properties of Cooked Rice Grains
2.9. Measurement of Glucose and Sucrose Contents
2.10. α-Amylase Activity
2.11. β-Amylase Activity
2.12. Sodium Dodecyl Sulfate–Polyacrylamide Gel Electrophoresis (SDS-PAGE)
2.13. Statistical Analyses
3. Results and Discussion
3.1. Pasting Properties of 40 Rice Samples and Sorting of Chalky Rice Grains
3.2. Iodine Absorption Spectrum
3.3. Pasting Properties
3.4. Physical Properties of Cooked Rice Grains
3.5. α- and β-Amylase Activities
3.6. RS Contents
3.7. Glucose and Sucrose Contents
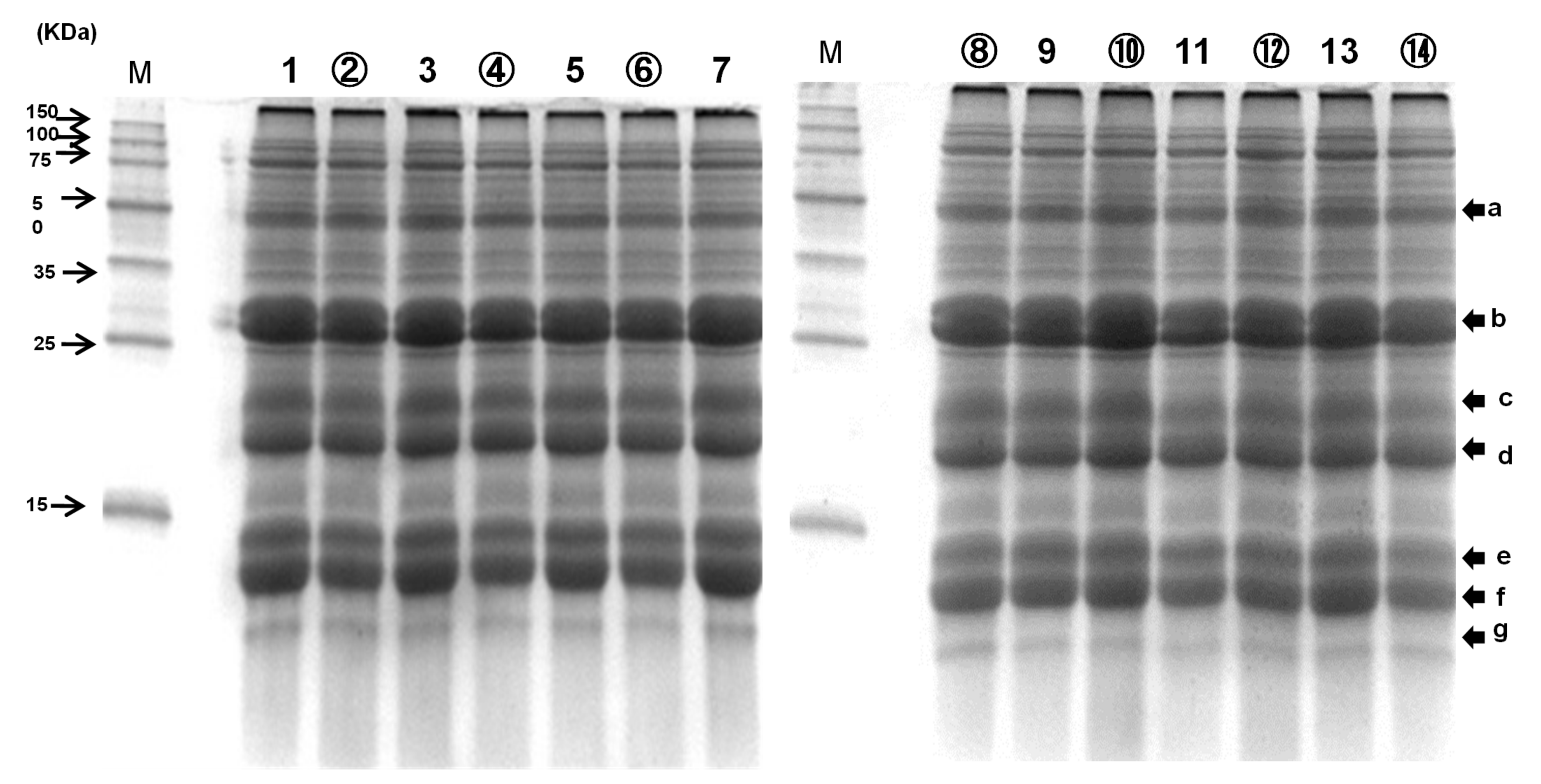
3.8. SDS-PAGE
3.9. Correlation among the Physicochemical and Physical Properties of Whole and Chalky Rice Grains of 7 Rice Samples with a High Ratio of Chalky Rice Grains
3.10. Formula for Estimating the H1 (RD) of Cooked Whole and Chalky Rice Grains Based on the Pasting Properties Using RVA and α-Amylase Activities
4. Conclusions
- (1)
- Chalky rice grains showed lower values of pasting viscosities, such as Max. vis. Final vis. and lower AAC and 13kDa prolamin than the whole grains.
- (2)
- On the contrary, they showed higher values of λmax/AAC ratios, α-amylase and β-amylase activities, and glucose and sucrose contents.
- (3)
- Cooked rice grains from the chalky grains showed lower hardness and higher retrogradation degree after cooking compared with the whole grains.
- (4)
- Particularly, rice cultivars Morinokumasan, Koshihikari (Toukamachi), and Sasanishiki were damaged markedly by ripening under high temperature.
Supplementary Materials
Author Contributions
Funding
Data Availability Statement
Conflicts of Interest
References
- Childs, N.W. Chapter 1: Production and utilization of rice. In RICE: Chemistry and Technology; Scientific Societies: St. Paul, MN, USA, 2004; pp. 1–23. [Google Scholar]
- Ohtsubo, K.; Toyoshima, H.; Okadome, H. Quality assay of rice using traditional and novel tools. Cereal Foods World 1998, 43, 203–206. [Google Scholar]
- Ohtsubo, K.; Nakamura, S. Evaluation of Palatability of Cooked Rice. In Advances in International Rice Research; IntechOpen: London, UK, 2017; pp. 91–110. [Google Scholar]
- Nakamura, S.; Satoh, H.; Ohtsubo, K. Development of formulae for estimating amylose content, amylopectin chain length distribution, and resistant starch content based on the iodine absorption curve of rice starch. Biosci. Biotechnol. Biochem. 2015, 79, 443–455. [Google Scholar] [CrossRef] [PubMed]
- Nakamura, S.; Yamaguchi, H.; Benitani, Y.; Ohtsubo, K. Development of a novel formula for estimating the amylose content of starch using Japonica milled rice flours based on the iodine absorption curve. Biosci. Biotechnol. Biochem. 2020, 84, 2347–2359. [Google Scholar] [CrossRef] [PubMed]
- Nakamura, S.; Katsura, J.; Kato, K.; Ohtsubo, K. Development of formulae for estimating amylose content and resistant starch content based on the pasting properties measured by RVA of Japonica polished rice and starch. Biosci. Biotechnol. Biochem. 2016, 80, 329–340. [Google Scholar] [CrossRef]
- Nakamura, S.; Katsura, J.; Maruyama, Y.; Ohtsubo, K. Evaluation of Hardness and Retrogradation of Cooked Rice Based on Its Pasting Properties Using a Novel RVA Testing. Foods 2021, 10, 987. [Google Scholar] [CrossRef]
- Nakamura, S.; Katsura, J.; Maruyama, Y.; Ohtsubo, K. Relationship between fatty acid composition and starch properties of 30 Japonica rice cultivars. Cereal Chem. J. 2019, 96, 228–242. [Google Scholar] [CrossRef]
- IPCC 6th Assessment Report. Available online: https://www.ipcc.ch/report/ar6/wg1/downloads/report/IPCC_AR6_WGI_SPM_final.pdf (accessed on 10 December 2021).
- Morita, S.; Shiratsuchi, H.; Takahashi, J.; Fujita, K. Effect of temperature on grain ripening in rice plants. Jpn. Crop Sci. 2004, 73, 77–83. (In Japanese) [Google Scholar] [CrossRef]
- Peng, S.; Huang, J.; Sheehy, J.E.; Laza, R.C.; Visperas, R.M.; Zhong, X.; Centeno, G.S.; Khush, G.S.; Cassman, K.G. Rice yields decline with higher night temperature from global warming. Proc. Natl. Acad. Sci. USA 2004, 101, 9971–9975. [Google Scholar] [CrossRef]
- Nagaoka, I.; Sasahara, H.; Shigemune, A.; Goto, A.; Miura, K. The Effect of High-Temperature Stress Applied to the Root on Grain Quality of Rice. Plant Prod. Sci. 2012, 15, 274–277. [Google Scholar] [CrossRef]
- Morita, S. Prospect for developing measures to prevent high-temperature damage to rice grain ripening. Jpn. Crop Sci. 2008, 77, 1–12. (In Japanese) [Google Scholar] [CrossRef]
- Mitsui, T.; Yamakawa, H.; Kobata, T. Molecular physiological aspects of chalking mechanism in rice grains under high-temperature stress. Plant Prod. Sci. 2016, 19, 22–29. [Google Scholar] [CrossRef]
- Asaoka, M.; Okuno, K.; Sugimoto, Y.; Kawakami, J.; Fuwa, H. Effect of Environmental Temperature During Development of Rice Plants on Some Properties of Endosperm Starch. Starch Stärke 1984, 36, 189–193. [Google Scholar] [CrossRef]
- Tsutsui, K.; Kaneko, K.; Hanashiro, I.; Nishinari, K.; Toshiaki, M. Characteristics of Opaque and Translucent Parts of High Temperature Stressed Grains of Rice. J. Appl. Glycosci. 2013, 60, 61–67. [Google Scholar] [CrossRef]
- Liao, J.-L.; Zhou, H.-W.; Zhang, H.-Y.; Zhong, P.-A.; Huang, Y.-J. Comparative proteomic analysis of differentially expressed proteins in the early milky stage of rice grains during high temperature stress. J. Exp. Bot. 2014, 65, 655–671. [Google Scholar] [CrossRef]
- Fahad, S.; Hussain, S.; Saud, S.; Hassan, S.; Chauhan, B.; Khan, F.; Ihsan, M.Z.; Ullah, A.; Wu, C.; Bajwa, A.; et al. Responses of Rapid Viscoanalyzer Profile and Other Rice Grain Qualities to Exogenously Applied Plant Growth Regulators under High Day and High Night Temperatures. PLoS ONE 2016, 11, e0159590. [Google Scholar] [CrossRef]
- Lanning, S.B.; Siebenmorgen, T.J.; Counce, P.A.; Ambardekar, A.A.; Mauromoustakos, A. Extreme nighttime air temperatures in 2010 impact rice chalkiness and milling quality. Field Crop. Res. 2011, 124, 132–136. [Google Scholar] [CrossRef]
- Wang, Y.; Zhang, Y.; Zhang, Q.; Cui, Y.; Xiang, J.; Chen, H.; Hu, G.; Chen, Y.; Wang, X.; Zhu, D.; et al. Comparative transcriptome analysis of panicle development under heat stress in two rice (Oryza sativa L.) cultivars differing in heat tolerance. PeerJ 2019, 7, e7595. [Google Scholar] [CrossRef]
- Nevame, A.Y.M.; Emon, R.M.; Malek, M.A.; Hasan, M.M.; Alam, A.; Muharam, F.M.; Aslani, F.; Rafii, M.Y.; Ismail, M.R. Relationship between High Temperature and Formation of Chalkiness and Their Effects on Quality of Rice. BioMed Res. Int. 2018, 2018, 1–18. [Google Scholar] [CrossRef]
- Khan, M.I.R.; Iqbal, N.; Masood, A.; Per, T.S.; A Khan, N. Salicylic acid alleviates adverse effects of heat stress on photosynthesis through changes in proline production and ethylene formation. Plant Signal. Behav. 2013, 8, e26374. [Google Scholar] [CrossRef]
- Paul, P.; Dhatt, B.K.; Sandhu, J.; Hussain, W.; Irvin, L.; Morota, G.; Staswick, P.; Walia, H. Divergent phenotypic response of rice accessions to transient heat stress during early seed development. Plant Direct 2020, 4, e00196. [Google Scholar] [CrossRef]
- Patindol, J.; Wang, Y.-J. Fine Structures and Physicochemical Properties of Starches from Chalky and Translucent Rice Kernels. J. Agric. Food Chem. 2003, 51, 2777–2784. [Google Scholar] [CrossRef] [PubMed]
- Singh, N.; Sodhi, N.; Kaur, M.; Saxena, S. Physico-chemical, morphological, thermal, cooking and textural properties of chalky and translucent rice kernels. Food Chem. 2003, 82, 433–439. [Google Scholar] [CrossRef]
- Chun, A.; Song, J.; Kim, K.-J.; Lee, H.-J. Quality of head and chalky rice and deterioration of eating quality by chalky rice. J. Crop. Sci. Biotechnol. 2009, 12, 239–244. [Google Scholar] [CrossRef]
- Sang, W.; Shao, X.; Jin, T. Texture Attributes, Retrogradation Properties and Microbiological Shelf Life of Instant Rice Cake. J. Food Process. Preserv. 2014, 39, 1832–1838. [Google Scholar] [CrossRef]
- Feng, N.; Tang, S.; Zhou, M.; Lv, Z.; Chen, Y.; Li, P.; Wu, Q. Optimizing the texture and retrogradation properties of Niangao (Rice Cake) made with naturally fermented rice flour. Food Sci. Technol. 2019, 39, 810–817. [Google Scholar] [CrossRef]
- Yang, Z.; Han, X.; Wu, H.; Zhang, L.; Zhang, L.; Iqbal, M.J. Impact of Emulsifiers Addition on the Retrogradation of Rice Gels during Low-Temperature Storage. J. Food Qual. 2017, 2017, 1–7. [Google Scholar] [CrossRef]
- Yamamoto, K.; Sawada, S.; Onogaki, I. Properties of rice starch prepared by alkali method with various conditions (in Japanese). Denpun Kagaku. 1973, 20, 99–104. (In Japanese) [Google Scholar]
- Yamamoto, K.; Sawada, S.; Onogaki, I. Effects of quality and quantity of alkali solution on the properties of rice starch (in Japanese). Denpun Kagaku. 1981, 28, 241–244. (In Japanese) [Google Scholar]
- Juliano, B.O. A simplified assay for milled-rice amylose. Cereal Sci. Today 1971, 12, 334–360. [Google Scholar]
- Toyoshima, H.; Okadome, H.; Ohtsubo, K.; Suto, M.; Horisue, N.; Inatsu, O.; Narizuka, A.; Aizaki, M.; Inouchi, N.; Fuwa, H. Cooperative test on the small-scale rapid method for the gelatinization properties test of rice flours with a rapid visco analyser (in Japanese). Nippon Shokuhin Kogakukaishi 1997, 44, 579–584. [Google Scholar] [CrossRef]
- Nakamura, S.; Cui, J.; Zhang, X.; Yang, F.; Xu, X.; Sheng, H.; Ohtsubo, K. Comparison of eating quality and physicochemical properties between Japanese and Chinese rice cultivars. Biosci. Biotechnol. Biochem. 2016, 80, 2437–2449. [Google Scholar] [CrossRef]
- Okadome, H.; Kurihara, M.; Kusuda, O.; Toyoshima, H.; Kim, J.I.; Shimotsubo, K.; Matsuda, T.; Ohtsubo, K. Multiple Measurements of Physical Properties of Cooked Rice Grains with Different Nitrogenous Fertilizers. Jpn. J. Crop. Sci. 1999, 68, 211–216. [Google Scholar] [CrossRef][Green Version]
- Hizukuri, S. Polymodal distribution of the chain lengths of amylopectins, and its significance. Carbohydr. Res. 1986, 147, 342–347. [Google Scholar] [CrossRef]
- Takeda, Y.; Hizukuri, S.; Juliano, B.O. Structures of rice amylopectins with low and high affinities for iodine. Carbohydr. Res. 1987, 168, 79–88. [Google Scholar] [CrossRef]
- Igarashi, T.; Kanda, H.; Kinoshita, M. Grain-filling temperature of rice influences the content of super-long chain of am-ylopectin and its unit-chain distribution. Appl. Glycosci. 2008, 55, 191–197. [Google Scholar] [CrossRef][Green Version]
- Sano, Y. Differential regulation of waxy gene expression in rice endosperm. Theor. Appl. Genet. 1984, 68, 467–473. [Google Scholar] [CrossRef]
- Hirano, H.; Sano, Y. Enhancement of Wx gene expression and the accumulation of amylose in response to cool temper-atures during seed development in rice. Plant Cell Physiol. 1998, 39, 807–812. [Google Scholar] [CrossRef]
- Asaoka, M.; Okuno, K. Effect of environmental temperature at the milky stage on amylose content and fine structure of amylopectin of waxy and nonwaxy endosperm starches of rice. Agric. Biol. Chem. 1985, 49, 373–379. [Google Scholar]
- Gallant, D.J.; Bouchet, B.; Baldwin, P.M. Microscopy of starch: Evidence of a new level of granule organization. Carbohydr. Polym. 1997, 32, 177–191. [Google Scholar] [CrossRef]
- Taira, H.; Nakagahra, M.; Nagamine, T. Fatty acid composition of Indica, Sinica, Javanica, and Japonica groups of non-glutinous brown rice. J Agric Food Chem. 1988, 36, 45–47. [Google Scholar] [CrossRef]
- Inouchi, N.; Ando, H.; Asaoka, M.; Okuno, K.; Fuwa, H. The Effect of Environmental Temperature on Distribution of Unit Chains of Rice Amylopectin. Starch Stärke 2000, 52, 8–12. [Google Scholar] [CrossRef]
- Igarashi, T.; Yanagihara, T.; Kanda, H.; Kawamoto, K.; Masaki, K. Development of new eating quality evaluation method based on iodine adsorption multispectral analysis of rice flour. J. Crop Sci. 2009, 78, 66–73. [Google Scholar] [CrossRef]
- Nakamura, S.; Suzuki, D.; Kitadume, R.; Ohtsubo, K. Quality Evaluation of Rice Crackers Based on Physicochemical Measurements. Biosci. Biotechnol. Biochem. 2012, 76, 794–804. [Google Scholar] [CrossRef][Green Version]
- Okuda, M.; Hashizume, K.; Joyo, M.; Numata, M.; Goto–Yamamoto, N.; Mikami, S. Changes in mean air temperature after heading and starch characteristics of rice grains for sake making among harvest years and areas. J. Brew. Soc. Jpn. 2010, 105, 97–105. [Google Scholar] [CrossRef][Green Version]
- Okuda, M.; Iizuka, S.; Xu, Y.; Wang, D. Rice in brewing. In Rice; Elsevier BV: Amsterdam, The Netherlands, 2019; pp. 589–626. [Google Scholar]
- Takami, K.; Koriyama, T.; Ohtsubo, K. Staling Characteristics of Cooked Low-Amylose Rice and a Proposal of Evaluation Method. Nippon. Shokuhin Kagaku Kogaku Kaishi 1998, 45, 469–477. [Google Scholar] [CrossRef]
- Umemoto, T.; Horibata, T.; Aoki, N.; Hiratsuka, M.; Yano, M.; Inouchi, N. Effects of Variations in Starch Synthase on Starch Properties and Eating Quality of Rice. Plant Prod. Sci. 2008, 11, 472–480. [Google Scholar] [CrossRef]
- Hakata, M.; Kuroda, M.; Miyashita, T.; Yamaguchi, T.; Kojima, M.; Sakakibara, H.; Mitsui, T.; Yamakawa, H. Suppression of α-amylase genes improves quality of rice grain ripened under high temperature. Plant Biotechnol. J. 2012, 10, 1110–1117. [Google Scholar] [CrossRef]
- Iwata, H.; Iwase, S.; Takahama, K.; Matuura, H.; Itani, T.; Aramaki, I. Relation between α-glucosidase activity and physical and chemical properties of rice. Nippon Shokuhin Kagaku Kogaku Kaishi. 2001, 48, 482–490. (In Japanese) [Google Scholar] [CrossRef][Green Version]
- Kaplan, F.; Guy, C.L. β-Amylase Induction and the Protective Role of Maltose during Temperature Shock. Plant Physiol. 2004, 135, 1674–1684. [Google Scholar] [CrossRef]
- Englyst, H.N.; Kingman, S.M.; Cummings, J.H. Classification and measurement of nutritionally important starch fractions. Eur. J. Clin. Nutr. 1992, 46 (Suppl. s2), S33–S50. [Google Scholar]
- Englyst, H.N.; Cummings, J.H. Digestion of the polysaccharides of some cereal foods in the human small intestine. Am. J. Clin. Nutr. 1985, 42, 778–787. [Google Scholar] [CrossRef] [PubMed]
- Jane, J.; Chen, Y.Y.; Lee, L.F.; McPherson, A.E.; Wong, K.S.; Radosavljevic, M.; Kasemsuwan, T. Effects of Amylopectin Branch Chain Length and Amylose Content on the Gelatinization and Pasting Properties of Starch. Cereal Chem. J. 1999, 76, 629–637. [Google Scholar] [CrossRef]
- Lian, X.; Kang, H.; Sun, H.; Liu, L.; Li, L. Identification of the Main Retrogradation-Related Properties of Rice Starch. J. Agric. Food Chem. 2015, 63, 1562–1572. [Google Scholar] [CrossRef]
- Bergman, C.J.; Bhattacharya, K.R.; Ohtsubo, K. Rice end-use Qquality Aanalysis. In Rice-Chemistry and Technology, 3rd ed.; Champagne, E.T., Ed.; American Association Cereal Chemistry Int.: St. Paul, MN, USA, 2004; pp. 415–472. [Google Scholar]
- Inouchi, N. Study on structures and physical properties of endosperm starches of rice and other cereals . J. Appl. Glycosci. 2010, 57, 13–23. (In Japanese) [Google Scholar] [CrossRef]
- Ong, M.; Blanshard, J. Texture determinants of cooked, parboiled rice. II: Physicochemical properties and leaching behaviour of rice. J. Cereal Sci. 1995, 21, 261–269. [Google Scholar] [CrossRef]
- Honjyo, K. Studies on Protein Content in Rice Grain: I. Variation of protein content between rice varieties and the influences of environmental factors on the protein content. Jpn. J. Crop. Sci. 1971, 40, 183–189. [Google Scholar] [CrossRef]
- Honjyo, K. Effect of the fertilization on protein content and protein production. In paddy grain. Jpn. J. Crop Sci. 1971, 40, 190–196. (In Japanese) [Google Scholar] [CrossRef]
- Ohtsub, K. Chemical components of rice (Prorein). In Science of Rice; Ishitani, K., Ohtsubo, K., Eds.; Asakura Publishing Co., Ltd.: Tokyo, Japan, 1995; pp. 18–47. (In Japanese) [Google Scholar]
- Yamakawa, H.; Hirai-Kimura, R.; Nakata, Y.; Nakata, M.; Kuroda, M.; Yamaguchi, T. An Activity-Staining Method on Filtration Paper Enables High-Throughput Screening of Temperature-Sensitive and Inactive Mutations of Rice α-Amylase for Improvement of Rice Grain Quality. Plant Cell Physiol. 2017, 58, 658–667. [Google Scholar] [CrossRef]
- Mitsukawa, N.; Konishi, R.; Uchiki, M.; Masumura, T.; Tanaka, K. Molecular Cloning and Characterization of a Cysteine-rich 16.6-kDa Prolamin in Rice Seeds. Biosci. Biotechnol. Biochem. 1999, 63, 1851–1858. [Google Scholar] [CrossRef]
- Kitadume, R.; Nakamura, S.; Kumagai, T.; Takahashi, H.; Ohtsubo, K. Characreristics of chalky rice grains and their in-fluence on rice cracker processing. Nippon Shokuhin Kagaku Kogaku Kaishi. 2012, 59, 621–627. (In Japanese) [Google Scholar] [CrossRef][Green Version]




| Max.vis. | Mini.vis. | BD | Fin.vis | SB | Pt | Cons | SB/ | Max/ | Max/ | |
|---|---|---|---|---|---|---|---|---|---|---|
| (RVU) | (RVU) | (RVU) | (RVU) | (RVU) | (℃) | (RVU) | Cons | Mini | Fin | |
| Tsuyahime (Shimane) | 394.2 ± 7.0a | 185.8 ± 1.2a | 208.5 ± 5.8a | 311.8 ± 0.6a | −82.4 ± 7.7a | 63.9 ± 1.1a | 126.0 ± 1.8a | −0.7 ± 0.1a | 2.1 ± 0.0a | 1.3 ± 0.0a |
| Sagabiyori | 367.8 ± 11.6b | 144.8 ± 0.1b | 223.0 ± 11.7b | 271.1 ± 1.5b | −96.7 ± 13.1b | 63.0 ± 8.2b | 126.3 ± 1.4a | −0.8 ± 0.1a | 2.5 ± 0.1a | 1.4 ± 0.0a |
| Oidemai | 344.0 ± 1.9b | 152.8 ± 1.5b | 191.2 ± 0.4a | 275.5 ± 1.0b | −68.6 ± 0.9c | 63.5 ± 0.1c | 122.6 ± 0.5a | −0.6 ± 0.0a | 2.3 ± 0.0a | 1.2 ± 0.0a |
| Hatsushimo | 353.9 ± 4.2b | 146.6 ± 1.8b | 207.3 ± 2.5a | 271.0 ± 2.5b | −83.0 ± 1.7a | 63.5 ± 0.1c | 124.4 ± 0.8a | −0.7 ± 0.0a | 2.4 ± 0.0a | 1.3 ± 0.0a |
| Akihonami | 337.4 ± 2.5b | 154.5 ± 1.0b | 182.8 ± 3.5c | 286.9 ± 1.4b | −60.5 ± 3.9d | 63.0 ± 2.7a | 132.4 ± 0.4a | −0.4 ± 0.0b | 2.2 ± 0.0a | 1.2± 0.0a |
| Nikomaru | 350.9 ± 3.5b | 157.5 ± 1.0b | 193.3 ± 4.5a | 283.3 ± 0.4b | −67.6 ± 3.8c | 64.6 ± 0.0a | 125.7 ± 0.6a | −0.5 ± 0.0b | 2.2 ± 0.0a | 1.2 ± 0.0a |
| Koshihikari (Hyougo) | 365.2 ± 1.3b | 155.8 ± 8.0b | 209.3 ± 9.3a | 275.0± 9.3b | −90.1 ± 10.5b | 63.6 ± 0.5a | 119.2 ± 1.2a | −0.8 ± 0.1a | 2.3 ± 0.1a | 1.3 ± 0.0a |
| Morinokumasan | 343.9 ± 0.5b | 153.0 ± 2.2b | 190.9 ± 1.8a | 271.4 ± 2.9b | −72.5 ± 2.4a | 68.0 ± 0.4a | 118.4 ± 0.6a | −0.6 ± 0.0a | 2.2 ± 0.0a | 1.3 ± 0.0a |
| Yumeshizuku | 380.5 ± 9.0a | 169.1 ± 3.3a | 211.4 ± 12.3a | 290.2 ± 3.2a | −90.3 ± 12.2b | 63.5 ± 0.4c | 121.1 ± 0.1a | −0.7 ± 0.1a | 2.3 ± 0.1a | 1.3 ± 0.0a |
| Ichihomare | 355.8 ± 1.5b | 142.3 ± 2.2b | 213.5 ± 3.7a | 259.2 ± 2.0b | −96.6 ± 3.6b | 63.0 ± 7.2a | 116.9 ± 0.2a | −0.8 ± 0.0a | 2.5 ± 0.0a | 1.4 ± 0.0a |
| Hinohikari | 310.0 ± 1.8c | 145.5 ± 0.3b | 164.4 ± 2.1c | 275.3 ± 0.5b | −34.7 ± 2.3d | 63.5 ± 0.2a | 129.7 ± 0.2a | −0.3 ± 0.0b | 2.1 ± 0.0a | 1.1 ± 0.0a |
| Ryunohitomi | 341.4 ± 1.1b | 131.0 ± 3.8b | 210.4 ± 4.9b | 222.5 ± 6.2c | −118.9 ± 7.2b | 60.0 ± 0.6a | 91.5 ± 2.4b | −1.3 ± 0.1c | 2.6 ± 0.1a | 1.5 ± 0.0a |
| Koshihikari (Muikamachi) | 390.7 ± 0.6a | 159.8 ± 0.5b | 230.8 ± 1.1d | 280.5 ± 1.6b | −110.2 ± 2.2b | 63.5 ± 0.1c | 120.7 ± 1.2a | −0.9 ± 0.0c | 2.4 ± 0.0a | 1.4 ± 0.0a |
| Koshihikari (Shibata) | 396.5 ± 0.1a | 157.0 ± 0.8b | 239.5 ± 0.9d | 280.0 ± 0.2b | −116.5 ± 0.3e | 68.0 ± 2.1a | 123.0 ± 0.6a | −0.9 ± 0.0c | 2.5 ± 0.0a | 1.4 ± 0.0a |
| Koshihikari (Myoukou) | 353.1 ± 3.6b | 145.9 ± 0.6b | 207.3 ± 2.9a | 269.7 ± 1.4b | −83.4 ± 2.2a | 64.0 ± 0.5a | 123.8 ± 0.7a | −0.7 ± 0.0a | 2.4 ± 0.0a | 1.3 ± 0.0a |
| Kumasannochikara | 401.5 ± 6.3a | 143.7 ± 1.6b | 257.8 ± 4.7d | 276.1 ± 1.1b | −125.4 ± 5.2e | 68.4 ± 0.3d | 132.4 ± 0.5a | −0.9 ± 0.0c | 2.8 ± 0.0b | 1.5 ± 0.0a |
| Shinnosuke | 419.2 ± 0.6a | 144.7 ± 0.1b | 274.5 ± 0.6e | 257.7 ± 0.0b | −161.5 ± 0.6f | 67.0 ± 0.1d | 113.0 ± 0.1a | −1.4 ± 0.0c | 2.9 ± 0.0b | 1.6 ± 0.0b |
| Kinumusume | 402.4 ± 2.5a | 155.4 ± 1.2b | 247.0 ± 3.7d | 288.2 ± 1.8b | −114.2 ± 4.2b | 68.0 ± 0.0d | 132.8 ± 0.5a | −0.9 ± 0.0c | 2.6 ± 0.0a | 1.4 ± 0.0a |
| Sainokizuna | 445.7 ± 0.1d | 149.7 ± 0.2b | 296.0 ± 0.2e | 266.3 ± 0.1b | −179.4 ± 0.1f | 67.9 ± 0.5d | 116.6 ± 0.3a | −1.5 ± 0.0c | 3.0 ± 0.0b | 1.7 ± 0.0b |
| Tentakaku | 434.9 ± 1.7d | 170.0 ± 1.7a | 264.8 ± 0.0e | 296.7 ± 2.3e | −138.2 ± 0.6e | 70.4 ± 0.2d | 126.7 ± 0.6a | −1.1 ± 0.0c | 2.6 ± 0.0a | 1.5 ± 0.0a |
| Hanaechizen | 454.8 ± 2.9d | 183.9 ± 0.4a | 270.9 ± 3.4e | 323.0 ± 0.9a | −131.8 ± 3.9e | 70.9 ± 0.0d | 139.1 ± 0.5a | −0.9 ± 0.0c | 2.5 ± 0.0a | 1.4 ± 0.0a |
| Fusaotome | 437.1 ± 3.1d | 145.5 ± 0.2b | 291.6 ± 2.9e | 281.0 ± 0.2b | −156.2 ± 3.3f | 69.8 ± 0.5d | 135.4 ± 0.4a | −1.2 ± 0.0c | 3.0 ± 0.0b | 1.6 ± 0.0b |
| Koshihikari (Oguni) | 428.2 ± 2.7d | 148.2 ± 1.9b | 280.0 ± 0.8e | 261.2 ± 2.2b | −167.0 ± 0.5f | 68.8 ± 0.0d | 113.0 ± 0.3a | −1.5 ± 0.0c | 2.9 ± 0.0b | 1.6 ± 0.0b |
| Koshihikari (Yamakoshi) | 384.1 ± 10.6a | 151.6 ± 2.8b | 232.5 ± 7.8b | 287.6 ± 2.1b | −96.5 ± 8.5b | 65.2 ± 0.1a | 136.0 ± 0.6a | −0.7 ± 0.1a | 2.5 ± 0.0a | 1.3 ± 0.0a |
| Koshihikari (Niigata) | 411.0 ± 4.1a | 156.8 ± 1.3b | 254.2 ± 2.8d | 282.8 ± 0.9b | −128.3 ± 3.1e | 68.0 ± 0.0d | 125.9 ± 0.4a | −1.0 ± 0.0c | 2.6 ± 0.0a | 1.5 ± 0.0a |
| Koshihikari (Nagano) | 359.7 ± 2.1b | 165.8 ± 0.3b | 193.9 ± 2.4a | 301.7 ± 0.3a | −58.0 ± 2.4d | 63.5 ± 1.6b | 135.9 ± 0.0a | −0.4 ± 0.0b | 2.2 ± 0.0a | 1.2 ± 0.0a |
| Tsuyahime (Yamagata) | 384.4 ± 1.5a | 151.2 ± 0.1b | 233.2 ± 1.5b | 276.5 ± 0.6b | −107.9 ± 0.9b | 64.0 ± 0.0a | 125.3 ± 0.6a | −0.9 ± 0.0c | 2.5 ± 0.0a | 1.4 ± 0.0a |
| Hitomebore | 348.3 ± 8.5b | 144.3 ± 3.4b | 204.0 ± 5.2a | 272.6 ± 3.4b | −75.7 ± 5.2a | 64.0 ± 0.4a | 128.3 ± 0.0a | −0.6 ± 0.0a | 2.4 ± 0.0a | 1.3 ± 0.0a |
| Nanatsuboshi | 354.3 ± 4.1b | 133.2 ± 1.2b | 221.1 ± 2.9b | 238.3 ± 1.5c | −116.0 ± 2.6e | 63.2 ± 0.9a | 105.1 ± 0.4b | −1.1 ± 0.0c | 2.7 ± 0.0b | 1.5 ± 0.0a |
| Yumepirika | 357.8 ± 1.4b | 159.9 ± 8.8b | 197.9 ± 7.5a | 286.7 ± 7.7b | −71.1 ± 6.4a | 63.0 ± 5.1b | 126.8 ± 1.1a | −0.6 ± 0.0a | 2.2 ± 0.1a | 1.2 ± 0.0a |
| Tennotubu | 364.9 ± 1.8b | 157.4 ± 0.9b | 207.5 ± 2.7a | 292.8 ± 1.0a | −72.1 ± 2.8a | 64.7 ± 0.0a | 135.4 ± 0.1a | −0.5 ± 0.0b | 2.3 ± 0.0a | 1.4 ± 0.0a |
| Sasanishiki | 356.1 ± 2.4b | 143.5 ± 1.6b | 212.6 ± 0.8b | 260.8 ± 1.8b | −95.3 ± 0.5b | 66.0 ± 0.5a | 117.3 ± 0.2a | −0.8 ± 0.0a | 2.5 ± 0.0a | 1.1 ± 0.0a |
| Akitakomachi | 357.9 ± 16.3b | 198.6 ± 31.2a | 159.3 ± 15.0c | 334.4 ± 22.3a | −23.6 ± 6.1g | 64.3 ± 0.4a | 135.8 ± 8.9a | −0.2 ± 0.0d | 1.8 ± 0.2a | 1.3 ± 0.0a |
| Seitennohekireki | 378.1 ± 3.1a | 160.6 ± 2.0b | 217.5 ± 5.1b | 287.9 ± 2.1b | − 90.2± 5.2b | 65.0 ± 0.6a | 127.3 ± 0.1a | −0.7 ± 0.0a | 2.4 ± 0.0a | 1.2 ± 0.0a |
| Ginganoshizuku | 350.0 ± 4.4b | 156.7 ± 3.9b | 193.2 ± 0.5a | 290.5 ± 5.1b | −59.5 ± 0.7c | 63.2± 0.1c | 133.7 ± 1.2a | −0.4 ± 0.0b | 2.2 ± 0.0a | 1.9 ± 0.0b |
| Yukiwakamaru | 377.6 ± 3.6a | 112.5 ± 1.2c | 265.2 ± 2.4e | 198.7 ± 1.2c | −179.0 ± 2.4f | 64.4 ± 0.6a | 86.2 ± 0.1b | −2.1 ± 0.0e | 3.4 ± 0.0b | 1.3 ± 0.0a |
| Datemasayume | 398.7 ± 2.1a | 140.3 ± 1.8b | 258.4 ± 0.4d | 252.6 ± 2.1b | −146.1 ± 0.0f | 62.0 ± 0.3a | 112.3 ± 0.4a | −1.3 ± 0.0c | 2.8 ± 0.0b | 1.6 ± 0.0b |
| Koshihikari (Tochio) | 395.5 ± 0.5a | 151.5 ± 1.2b | 244.0 ± 1.6d | 268.0 ± 1.1b | −127.5 ± 1.6e | 66.0 ± 1.0a | 116.5 ± 0.1a | −1.1 ± 0.0c | 2.6 ± 0.0b | 1.5 ± 0.0a |
| Koshihikari (Toukamachi) | 403.8 ± 0.7a | 156.3 ± 2.2b | 247.5 ± 1.5d | 300.0 ± 2.6b | −103.8 ± 1.9e | 68.0 ± 0.0a | 143.7 ± 0.4a | −0.7 ± 0.0c | 2.6 ± 0.0b | 1.3 ± 0.0a |
| Koshihikari (Sado) | 393,9 ± 0.8a | 157.0 ± 0.6b | 240.0 ± 0.2d | 280.0 ± 0.5c | −113.9 ± 0.2f | 67.5 ± 0.0a | 123.0 ± 0.1a | −1.0 ± 0.0e | 2.5 ± 0.0b | 1.4 ± 0.0a |
| λmax | Aλmax | AAC | λmax/ | λmax/ | Fb3 (DP ≧ 37) | New | Fb3/ | |
|---|---|---|---|---|---|---|---|---|
| (nm) | (%) | AAC | Aλmax | (%) | λmax | Fa | ||
| Morinokumasan (wG) | 569.0 ± 0.0a | 0.293 ± 0.00a | 12.9 ± 0.2a | 44.0 ± 0.5a | 1945.4 ± 14.1a | 12.3 ± 0.1a | 0.28 ± 0.0a | 0.6 ± 0.0a |
| Morinokumasan (CG) | 567.5 ± 0.7a | 0.263 ± 0.00b | 10.7 ± 0.0b | 53.0 ± 0.1b | 2161.9 ± 3.1b | 11.0 ± 0.0b | 0.24 ± 0.0a | 0.4 ± 0.0b |
| Koshihikari (Shibata) (WG) | 578.5 ± 4.9a | 0.269± 0.00a | 11.9 ± 0.1a | 48.6 ± 0.0a | 2150.6 ± 18.4a | 11.2 ± 0.0a | 0.22± 0.0a | 0.4± 0.0a |
| Koshihikari (Shibata) (CG) | 566.0 ± 1.4b | 0.279 ± 0.00a | 11.7 ± 0.1a | 48.3 ± 0.3a | 2028.7 ± 5.2a | 11.7 ± 0.1a | 0.27 ± 0.0a | 0.5 ± 0.0a |
| Koshihikari (Tochio) (WG) | 574.5 ± 0.7a | 0.300 ± 0.00a | 13.7 ± 0.1a | 42.1 ± 0.3a | 1918.2 ± 11.2a | 12.6 ± 0.1a | 0.27 ± 0.0a | 0.6 ± 0.0a |
| Koshihikari (Tochio) (CG) | 572.5 ± 2.1a | 0.297 ± 0.00a | 13.4 ± 0.2a | 42.8 ± 0.4a | 1927.6 ± 2.0a | 12.5 ± 0.1a | 0.27 ± 0.0a | 0.6 ± 0.0a |
| Koshihikari (Toukamachi) (WG) | 573.0 ± 1.4a | 0.299 ± 0.00a | 13.3 ± 0.3a | 42.9 ± 1.1a | 1916.5 ± 22.9a | 12.6 ± 0.1a | 0.27 ± 0.0a | 0.6 ± 0.0a |
| Koshihikari (Toukamachi) (CG) | 570.5 ± 3.5a | 0.282 ± 0.01a | 12.1 ± 0.4b | 47.2 ± 1.2b | 2023.3 ± 28.1b | 11.8 ± 0.3b | 0.26 ± 0.0a | 0.5 ± 0.0b |
| Hanaechizen (wG) | 567.0 ± 0.0a | 0.348 ± 0.00a | 16.5 ± 0.2a | 34.4 ± 0.3a | 1631.7 ± 10.0a | 14.8 ± 0.1a | 0.37 ± 0.0a | 0.8 ± 0.0a |
| Hanaechizen (CG) | 563.0 ± 2.8a | 0.340 ± 0.00a | 15.6 ± 0.3b | 36.1 ± 0.5a | 1658.3 ± 4.9b | 14.4 ± 0.0a | 0.39 ± 0.0a | 0.8 ± 0.0a |
| Koshihikari (Oguni) (wG) | 566.5 ± 2.1a | 0.338 ± 0.01a | 15.8 ± 0.4a | 36.0 ± 0.9a | 1676.2 ± 21.8a | 14.3 ± 0.3a | 0.36 ± 0.0a | 0.8 ± 0.0a |
| Koshihikari (Oguni)(CG) | 566.0 ± 0.0a | 0.337 ± 0.00a | 15.7 ± 0.1a | 36.1 ± 0.2a | 1679.5 ± 7.0a | 14.3 ± 0.1a | 0.37 ± 0.0a | 0.8 ± 0.0a |
| Sasanishiki (wG) | 575.5 ± 0.7a | 0.339 ± 0.00a | 16.1 ± 0.1a | 35.6 ± 0.2a | 1697.8 ± 23.3a | 14.4 ± 0.2a | 0.31 ± 0.0a | 0.7 ± 0.0a |
| Sasanishiki (CG) | 570.5 ± 2.1a | 0.323 ± 0.00b | 15.2 ± 0.1b | 37.4 ± 0.2b | 1766.3 ± 6.6b | 13.7 ± 0.0b | 0.32 ± 0.0a | 0.7 ± 0.0a |
| Maxi.vis. | Mini.vis. | BD | Fin.vis | SB | Pt | Cons | SB/ | Max/ | Max/ | |
|---|---|---|---|---|---|---|---|---|---|---|
| (RVU) | (RVU) | (RVU) | (RVU) | (RVU) | (℃) | (RVU) | Cons | Mini | Fin | |
| Morinokumasan (wG) | 352.4 ± 7.1a | 152.8 ± 2.8a | 199.6 ± 4.4a | 269.9 ± 1.2a | −82.5 ± 6.0a | 66.1 ± 1.0a | 117.1 ± 1.6a | −0.7 ± 0.1a | 2.3 ± 0.0a | 1.3 ± 0.0a |
| Morinokumasan (CG) | 320.9 ± 7.5b | 132.4 ± 1.0b | 188.5 ± 6.5a | 238.4 ± 0.8b | −82.5 ± 6.7a | 66.1 ± 0.1a | 106.0 ± 0.2b | −0.8 ± 0.1a | 2.4 ± 0.0a | 1.3 ± 0.0a |
| Koshihikari (Shibata) (WG) | 395.7 ± 3.1a | 150.2 ± 2.0a | 245.5 ± 1.1a | 266.2 ± 1.9a | −129.5 ± 1.2a | 65.0 ± 0.5a | 116.0 ± 0.1a | −1.1 ± 0.0a | 2.6 ± 0.0a | 1.5 ± 0.0a |
| Koshihikari (Shibata) (CG) | 364.7 ± 1.5b | 144.9 ± 0.5b | 219.8 ± 0.9b | 257.3 ± 0.4b | −107.5 ± 1.1b | 67.1 ± 0.4a | 112.4 ± 0.2a | −1.0 ± 0.0a | 2.5 ± 0.0a | 1.4 ± 0.0a |
| Koshihikari (Tochio) (WG) | 396.5 ± 3.7a | 142.9 ± 0.3a | 253.6 ± 3.4a | 257.5 ± 0.2a | −138.9 ± 3.5a | 64.6 ± 0.1a | 114.7 ± 0.1a | −2.1 ± 0.1a | 2.8 ± 0.0a | 1.5 ± 0.0a |
| Koshihikari (Tochio) (CG) | 393.9 ± 0.8a | 135.7 ± 0.6b | 258.2 ± 0.2a | 244.4 ± 0.5b | −149.5 ± 0.2b | 65.2 ± 0.0a | 108.7 ± 0.1b | −2.3 ± 0.0a | 2.9 ± 0.0a | 1.6 ± 0.0a |
| Koshihikari (Toukamachi) (WG) | 400.7 ± 3.7a | 155.2 ± 4.5a | 245.5 ± 8.2a | 273.6 ± 4.9a | −127.1 ± 8.6a | 65.0 ± 0.1a | 118.5 ± 0.4a | −2.5 ± 0.2a | 2.6 ± 0.1a | 1.5 ± 0.1a |
| Koshihikari (Toukamachi) (CG) | 371.4 ± 0.1b | 146.0 ± 0.2b | 225.5 ± 0.1b | 260.1 ± 0.5b | −111.3 ± 0.4b | 68.0 ± 0.2a | 114.1 ± 0.3a | −1.7 ± 0.0b | 2.5 ± 0.0a | 1.4 ± 0.0a |
| Hanaechizen (wG) | 446.0 ± 1.4a | 176.5 ± 0.9a | 269.5 ± 0.4a | 316.8 ± 0.6a | −129.3 ± 0.7a | 67.5 ± 0.1a | 140.3 ± 0.3a | −0.9 ± 0.0a | 2.5 ± 0.0a | 1.4 ± 0.0a |
| Hanaechizen (CG) | 392.5 ± 0.8b | 162.3 ± 0.4b | 230.3 ± 0.4b | 293.9 ± 1.2b | −98.7 ± 0.5b | 68.5 ± 0.0a | 131.6 ± 0.8b | −0.7 ± 0.0a | 2.4 ± 0.0a | 1.3 ± 0.0a |
| Koshihikari (Oguni) (wG) | 433.3 ± 0.2a | 152.3 ± 1.9a | 281.1 ± 2.1a | 268.1 ± 1.6a | −165.2 ± 1.8a | 66.0 ± 0.2a | 115.9 ± 0.3a | −1.4 ± 0.0a | 2.8 ± 0.0a | 1.6 ± 0.0a |
| Koshihikari (Oguni)(CG) | 420.7 ± 0.5b | 144.8 ± 0.7b | 275.9 ± 0.2a | 259.0 ± 0.7a | −161.7 ± 0.2a | 67.0 ± 0.0a | 114.2 ± 0.0a | −1.4 ± 0.0a | 2.9 ± 0.0a | 1.6 ± 0.0a |
| Sasanishiki (wG) | 382.2 ± 0.2a | 162.1 ± 0.3a | 2201. ± 0.5a | 303.2 ± 0.1a | −79.0 ± 0.1a | 65.0 ± 0.1a | 141.0 ± 0.4a | −0.6 ± 0.0a | 2.4 ± 0.0a | 1.3 ± 0.0a |
| Sasanishiki (CG) | 342.9 ± 0.1b | 151.3 ± 0.4b | 191.6 ± 0.3b | 282.8 ± 0.7b | −60.2 ± 0.6b | 66.4 ± 0.0a | 131.5 ± 0.3b | −0.5 ± 0.0a | 2.3 ± 0.0a | 1.2 ± 0.0a |
| Group | Sample | Surface | Overall | Surface | Overall | Surface | Surface | Overall | Surface | Overall |
| layer | layer | layer | layer | layer | ||||||
| Hardness | Hardness | Stickiness | Stickiness | Adhesion | Balance | Balance | Balance | Balance | ||
| (H1) | (H2) | (S1) | (S2) | (L3) | Degree H1 | Degree H2 | Degree A1 | Degree A2 | ||
| ×105[N/cm2] | ×105[N/cm2] | ×105[N/cm2] | ×105[N/cm2] | [mm] | (S1/H1) | (S2/H2) | (A3/A1) | (A6/A4) | ||
| (A) | Morinokumasan (wG) | 0.07 ± 0.02a | 1.61 ± 0.3a | −0.01 ± 0.00a | −0.36 ± 0.1a | 3.01 ± 0.5a | 0.09 ± 0.1a | 0.23 ± 0.05a | 0.17 ± 0.1a | 0.08 ± 0.0a |
| Morinokumasan (CG) | 0.07 ± 0.01a | 1.47 ± 0.2b | 0.00 ± 0.00a | −0.33 ± 0.0a | 2.67 ± 0.9a | 0.07 ± 0.0a | 0.23 ± 0.05a | 0.13 ± 0.1a | 0.09 ± 0.0a | |
| Koshihikari (Shibata) (WG) | 0.06 ± 0.01a | 1.59 ± 0.2a | 0.00 ± 0.00a | −0.32 ± 0.1a | 2.78 ± 0.8a | 0.06 ± 0.0a | 0.20 ± 0.05a | 0.13 ± 0.1a | 0.08 ± 0.0a | |
| Koshihikari (Shibata) (CG) | 0.05 ± 0.02b | 1.44 ± 0.2b | 0.00 ± 0.00a | −0.31 ± 0.0a | 2.81 ± 0.8a | 0.10 ± 0.1a | 0.22 ± 0.03a | 0.22 ± 0.2a | 0.10 ± 0.0a | |
| Koshihikari (Tochio) (WG) | 0.06 ± 0.01a | 1.76 ± 0.1a | −0.01 ± 0.00a | −0.30 ± 0.0a | 3.01 ± 0.5a | 0.17 ± 0.1a | 0.17 ± 0.03a | 0.32 ± 0.2a | 0.10 ± 0.0a | |
| Koshihikari (Tochio) (CG) | 0.04 ± 0.02b | 1.65 ± 0.1b | −0.01 ± 0.00a | −0.32 ± 0.0a | 3.05 ± 0.3a | 0.22 ± 0.1a | 0.20 ± 0.03a | 0.44 ± 0.1b | 0.13 ± 0.0a | |
| Koshihikari (Toukamachi) (WG) | 0.07 ± 0.01a | 1.57 ± 0.2a | 0.00 ± 0.00a | −0.30 ± 0.1a | 2.72 ± 0.7a | 0.06 ± 0.0a | 0.19 ± 0.07a | 0.11 ± 0.1a | 0.07 ± 0.0a | |
| Koshihikari (Toukamachi) (CG) | 0.05 ± 0.02b | 1.41 ± 0.2b | 0.00 ± 0.00a | −0.30 ± 0.1a | 2.68 ± 0.9a | 0.09 ± 0.1a | 0.22 ± 0.04a | 0.21 ± 0.1a | 0.09 ± 0.0a | |
| Hanaechizen (wG) | 0.07 ± 0.01a | 1.81 ± 0.2a | −0.01 ± 0.00a | −0.35 ± 0.1a | 2.82 ± 0.8a | 0.10 ± 0.0a | 0.20 ± 0.03a | 0.17 ± 0.1a | 0.07 ± 0.0a | |
| Hanaechizen (CG) | 0.05 ± 0.02b | 1.54 ± 0.3b | 0.01 ± 0.00b | −0.32 ± 0.1a | 2.71 ± 0.9a | 0.09 ± 0.1b | 0.21 ± 0.04a | 0.18 ± 0.1a | 0.08 ± 0.0a | |
| Koshihikari (Oguni) (wG) | 0.05 ± 0.01a | 1.49 ± 0.2a | −0.01 ± 0.01a | −0.29 ± 0.1a | 2.63 ± 0.9a | 0.14 ± 0.1a | 0.19 ± 0.04a | 0.28 ± 0.2a | 0.11 ± 0.1a | |
| Koshihikari (Oguni)(CG) | 0.04 ± 0.01b | 1.62 ± 0.2b | −0.01 ± 0.00a | −0.31 ± 0.0a | 2.86 ± 0.8a | 0.22 ± 0.1b | 0.19 ± 0.03a | 0.43 ± 0.2b | 0.12 ± 0.0a | |
| Sasanishiki (wG) | 0.06 ± 0.02a | 1.69 ± 0.3a | −0.01 ± 0.01a | −0.33 ± 0.1a | 2.87 ± 0.7a | 0.16 ± 0.1a | 0.20 ± 0.03a | 0.27 ± 0.2a | 0.11 ± 0.0a | |
| Sasanishiki (CG) | 0.04 ± 0.01b | 1.49 ± 0.2b | −0.01 ± 0.00a | −0.30 ± 0.1a | 3.06 ± 0.4a | 0.16 ± 0.1a | 0.20 ± 0.03a | 0.37 ± 0.2b | 0.11 ± 0.0a | |
| Sample | Surface | Overall | Surface | Overall | Surface | Surface | Overall | Surface | Overall | |
| layer | layer | layer | layer | layer | ||||||
| Hardness | Hardness | Stickiness | Stickiness | Adhesion | Balance | Balance | Balance | Balance | ||
| (H1) | (H2) | (S1) | (S2) | (L3) | Degree H1 | Degree H2 | Degree A1 | Degree A2 | ||
| ×105[N/cm2] | ×105[N/cm2] | ×105[N/cm2] | ×105[N/cm2] | [mm] | (S1/H1) | (S2/H2) | (A3/A1) | (A6/A4) | ||
| (B) | Morinokumasan (wG) | 0.07 ± 0.02a | 1.50 ± 0.2a | −0.01 ± 0.00a | −0.28 ± 0.1a | 2.64 ± 0.9a | 0.08 ± 0.1a | 0.18 ± 0.1a | 0.16 ± 0.1a | 0.08 ± 0.0a |
| Morinokumasan (CG) | 0.09 ± 0.03b | 1.80 ± 0.2a | 0.00 ± 0.00a | −0.31 ± 0.1b | 2.36 ± 1.2a | 0.05 ± 0.0a | 0.18 ± 0.0a | 0.08 ± 0.1a | 0.05 ± 0.0a | |
| Koshihikari(Shibata)(WG) | 0.06 ± 0.04a | 1.57 ± 0.4a | 0.00 ± 0.00a | −0.22 ± 0.1a | 2.20 ± 1.1a | 0.02 ± 0.0a | 0.15 ± 0.1a | 0.06 ± 0.0a | 0.05 ± 0.0a | |
| Koshihikari(Shibata)(CG) | 0.07 ± 0.02a | 1.51 ± 0.3a | 0.00 ± 0.00a | −0.25 ± 0.1b | 2.64 ± 0.9a | 0.04 ± 0.0a | 0.17 ± 0.1a | 0.10 ± 0.1a | 0.06 ± 0.0a | |
| Koshihikari(Tochio)(WG) | 0.11 ± 0.04a | 2.02 ± 0.2a | 0.00 ± 0.00a | −0.21 ± 0.1a | 2.77 ± 0.7a | 0.05 ± 0.0a | 0.11 ± 0.1a | 0.09 ± 0.1a | 0.04 ± 0.0a | |
| Koshihikari(Tochio)(CG) | 0.07 ± 0.04b | 1.75 ± 0.2b | 0.00 ± 0.00a | −0.24 ± 0.1b | 2.12 ± 1.2a | 0.07 ± 0.0a | 0.14 ± 0.1a | 0.11 ± 0.1a | 0.06 ± 0.0a | |
| Koshihikari(Toukamachi)(WG) | 0.09 ± 0.03a | 1.96 ± 0.2a | −0.01 ± 0.00a | −0.34 ± 0.1a | 2.74 ± 0.9a | 0.12 ± 0.1a | 0.18 ± 0.0a | 0.17 ± 0.1a | 0.07 ± 0.0a | |
| Koshihikari(Toukamachi)(CG) | 0.08 ± 0.05a | 1.80 ± 0.4a | −0.01 ± 0.00a | −0.31 ± 0.1b | 2.43 ± 1.0a | 0.12 ± 0.1a | 0.18 ± 0.1a | 0.20 ± 0.2a | 0.10 ± 0.1a | |
| Hanaechizen (wG) | 0.13 ± 0.04a | 2.07 ± 0.2a | −0.01 ± 0.00a | −0.25 ± 0.1a | 2.72 ± 0.9a | 0.05 ± 0.0a | 0.13 ± 0.1a | 0.07 ± 0.1a | 0.04 ± 0.0a | |
| Hanaechizen (CG) | 0.16 ± 0.07b | 2.11 ± 0.3a | 0.00 ± 0.00a | −0.17 ± 0.1b | 2.57 ± 0.9a | 0.03 ± 0.0a | 0.09 ± 0.1a | 0.04 ± 0.0a | 0.03 ± 0.0a | |
| Koshihikari(Oguni) (wG) | 0.10 ± 0.05a | 1.82 ± 0.2a | 0.00 ± 0.00a | −0.24 ± 0.1a | 2.80 ± 0.9a | 0.06 ± 0.0a | 0.14 ± 0.1a | 0.11 ± 0.1a | 0.05 ± 0.a | |
| Koshihikari(Oguni)(CG) | 0.12 ± 0.07a | 1.97 ± 0.3a | 0.00 ± 0.00a | −0.14 ± 0.1b | 1.85 ± 1.1b | 0.05 ± 0.0a | 0.08 ± 0.1b | 0.063 ± 0.1a | 0.04 ± 0.0a | |
| Sasanishiki (wG) | 0.10 ± 0.05a | 1.86 ± 0.sa | 0.00 ± 0.00a | −0.26 ± 0.1a | 2.73 ± 0.87a | 0.06 ± 0.1a | 0.15 ± 0.1a | 0.12 ± 0.1a | 0.05 ± 0.0a | |
| Sasanishiki (CG) | 0.08 ± 0.03a | 1.84 ± 0.2a | −0.01 ± 0.00a | −0.27 ± 0.1a | 2.90 ± 0.6a | 0.06 ± 0.1a | 0.15 ± 0.1a | 0.13 ± 0.1a | 0.05 ± 0.0a |
| α-Amylase | β-Amylase | D-Glucose | Sucrose | RS | |
|---|---|---|---|---|---|
| (Ug−1) | (Ug−1) | (%) | (%) | (%) | |
| Morinokumasan (wG) | 0.012 ± 0.00a | 0.025 ± 0.00a | 0.077 ± 0.00a | 0.325 ± 0.01a | 0.26 ± 0.00a |
| Morinokumasan (CG) | 0.022 ± 0.00b | 0.036 ± 0.00b | 0.089 ± 0.00b | 0.432 ± 0.02b | 0.28 ± 0.00a |
| Koshihikari (Shibata) (WG) | 0.008 ± 0.00a | 0.021 ± 0.00a | 0.060 ± 0.00a | 0.276 ± 0.01a | 0.37 ± 0.00a |
| Koshihikari (Shibata) (CG) | 0.011 ± 0.00b | 0.035 ± 0.00b | 0.076 ± 0.00b | 0.368 ± 0.02b | 0.29 ± 0.02b |
| Koshihikari (Tochio) (WG) | 0.008 ± 0.00a | 0.018 ± 0.00a | 0.078 ± 0.00a | 0.294 ± 0.01a | 0.33 ± 0.01a |
| Koshihikari (Tochio) (CG) | 0.011 ± 0.00b | 0.020 ± 0.00a | 0.087 ± 0.00b | 0.348 ± 0.02b | 0.34 ± 0.01a |
| Koshihikari (Toukamachi) (WG) | 0.011 ± 0.00a | 0.016 ± 0.00a | 0.061 ± 0.00a | 0.279 ± 0.02a | 0.27 ± 0.01a |
| Koshihikari (Toukamachi) (CG) | 0.016 ± 0.00b | 0.027 ± 0.00b | 0.076 ± 0.00b | 0.351 ± 0.02b | 0.32 ± 0.01b |
| Hanaechizen (wG) | 0.012 ± 0.00a | 0.018 ± 0.00a | 0.065 ± 0.00a | 0.310 ± 0.01a | 0.49 ± 0.02a |
| Hanaechizen (CG) | 0.025 ± 0.00b | 0.029 ± 0.00b | 0.086 ± 0.00b | 0.422 ± 0.01b | 0.54 ± 0.01b |
| Koshihikari (Oguni) (wG) | 0.013 ± 0.00a | 0.025 ± 0.00a | 0.068 ± 0.00a | 0.302 ± 0.01a | 0.43 ± 0.01a |
| Koshihikari (Oguni)(CG) | 0.015 ± 0.00b | 0.033 ± 0.00b | 0.084 ± 0.00b | 0.411 ± 0.01b | 0.38 ± 0.01a |
| Sasanishiki (wG) | 0.010 ± 0.00a | 0.026 ± 0.00a | 0.056 ± 0.00a | 0.286 ± 0.01a | 0.46 ± 0.01a |
| Sasanishiki (CG) | 0.023 ± 0.00b | 0.037 ± 0.00b | 0.084 ± 0.00b | 0.384 ± 0.01b | 0.48 ± 0.01a |
| λmax | Aλmax | AAC | Fb3/Fa | H1 | H2 | S2/H2 | H1(R) | H2(R) | H1(RD) | H2(RD) | Maxi.vis. | Mini.vis. | Fin.vis | Pt | SB/Cons | α-Amylase | β-Amylase | D-Glucose | Sucrose | 13kDaPlolamin | RS | |
|---|---|---|---|---|---|---|---|---|---|---|---|---|---|---|---|---|---|---|---|---|---|---|
| λmax | 1.00 | |||||||||||||||||||||
| Aλmax | −0.35 | 1.00 | ||||||||||||||||||||
| AAC | −0.23 | 0.99 ** | 1.00 | |||||||||||||||||||
| Fb3/Fa | −0.44 | 0.99 ** | 0.97 ** | 1.00 | ||||||||||||||||||
| H 1 | 0.24 | −0.06 | −0.05 | −0.08 | 1.00 | |||||||||||||||||
| H 2 | 0.30 | 0.41 | 0.47 | 0.38 | 0.44 | 1.00 | ||||||||||||||||
| S2/H2 | −0.39 | −0.45 | −0.52 | −0.40 | 0.06 | −0.61 * | 1.00 | |||||||||||||||
| H 1(R) | −0.43 | 0.69 ** | 0.64* | 0.72 ** | 0.14 | 0.36 | −0.28 | 1.00 | ||||||||||||||
| (H2) R | −0.27 | 0.67 ** | 0.65* | 0.68 ** | 0.07 | 0.43 | −0.53 | 0.84 ** | 1.00 | |||||||||||||
| H1(RD) | −0.53 | 0.64 * | 0.59* | 0.68 ** | −0.46 | 0.05 | −0.27 | 0.81 ** | 0.70 ** | 1.00 | ||||||||||||
| H2(RD) | −0.50 | 0.37 | 0.30 | 0.41 | −0.27 | −0.33 | −0.07 | 0.59 * | 0.71 ** | 0.69 ** | 1.00 | |||||||||||
| Maxi.vis | −0.05 | 0.61 * | 0.62 * | 0.62 * | 0.09 | 0.52 | −0.64 * | 0.48 | 0.46 | 0.35 | 0.06 | 1.00 | ||||||||||
| Mini.vis | −0.12 | 0.68 ** | 0.68 ** | 0.67 ** | 0.44 | 0.42 | −0.16 | 0.52 | 0.42 | 0.19 | 0.11 | 0.51 | 1.00 | |||||||||
| Fin.vis | −0.07 | 0.72 ** | 0.74 ** | 0.70 ** | 0.37 | 0.43 | −0.19 | 0.53 * | 0.46 | 0.23 | 0.14 | 0.40 | 0.97 ** | 1.00 | ||||||||
| Pt | −0.79 ** | 0.27 | 0.17 | 0.33 | −0.30 | −0.36 | 0.46 | 0.42 | 0.24 | 0.55 * | 0.53 * | 0.03 | 0.29 | 0.26 | 1.00 | |||||||
| SB/Cons | −0.30 | 0.20 | 0.18 | 0.21 | 0.15 | −0.14 | 0.51 | 0.16 | −0.17 | 0.07 | −0.06 | −0.37 | 0.34 | 0.43 | −0.15 | 1.00 | ||||||
| α-Amylase | −061 * | 0.16 | 0.10 | 0.22 | −0.32 | −0.50 | 0.41 | 0.38 | 0.31 | 0.54 * | 0.71 ** | −0.42 | −0.05 | 0.03 | −0.28 | 0.46 | 1.00 | |||||
| β-Amylase | −0.50 | −0.06 | −0.12 | −0.02 | −0.46 | −0.63 * | 0.55 * | −0.06 | −0.23 | 0.24 | 0.24 | −0.58 * | −0.31 | −0.21 | 0.01 | 0.63* | 0.70 ** | 1.00 | ||||
| D-Glucose | −0.53* | −0.15 | −0.21 | −0.09 | −0.56 * | −0.29 | 0.29 | 0.07 | 0.08 | 0.41 | 0.31 | −0.43 | −0.57 * | −0.51 | 0.27 | 0.05 | 0.64 * | 0.55 * | 1.00 | |||
| Sucrose | −0.69 ** | −0.02 | −0.10 | 0.05 | −0.47 | −0.44 | 0.48 | 0.25 | 0.13 | 0.53 | 0.48 | −0.43 | −0.35 | −0.28 | 0.02 | 0.35 | 0.83 ** | 0.79 ** | 0.85 ** | 1.00 | ||
| 13-kDa Plolamin | 0.61 * | −0.76 ** | −0.72 ** | −0.80** | 0.23 | −0.16 | −0.03 | −0.66 * | −0.49 | −0.73 ** | −0.38 | −041 | −0.51 * | −0.59 * | 0.62 * | −0.34 | −0.44 | −0.18 | −0.20 | −0.40 | 1.00 | |
| RS | −0.21 | 0.80 ** | 0.81 ** | 0.80 ** | −0.12 | 0.24 | −0.30 | 0.69 ** | 0.55 * | 0.66 * | 0.39 | 0.40 | 0.64 * | 0.74 ** | −072 ** | 0.44 | 0.38 | 0.09 | -0.09 | 0.10 | −0.74 ** | 1.00 |
Publisher’s Note: MDPI stays neutral with regard to jurisdictional claims in published maps and institutional affiliations. |
© 2021 by the authors. Licensee MDPI, Basel, Switzerland. This article is an open access article distributed under the terms and conditions of the Creative Commons Attribution (CC BY) license (https://creativecommons.org/licenses/by/4.0/).
Share and Cite
Nakamura, S.; Satoh, A.; Aizawa, M.; Ohtsubo, K. Characteristics of Physicochemical Properties of Chalky Grains of Japonica Rice Generated by High Temperature during Ripening. Foods 2022, 11, 97. https://doi.org/10.3390/foods11010097
Nakamura S, Satoh A, Aizawa M, Ohtsubo K. Characteristics of Physicochemical Properties of Chalky Grains of Japonica Rice Generated by High Temperature during Ripening. Foods. 2022; 11(1):97. https://doi.org/10.3390/foods11010097
Chicago/Turabian StyleNakamura, Sumiko, Ayaka Satoh, Masaki Aizawa, and Ken’ichi Ohtsubo. 2022. "Characteristics of Physicochemical Properties of Chalky Grains of Japonica Rice Generated by High Temperature during Ripening" Foods 11, no. 1: 97. https://doi.org/10.3390/foods11010097
APA StyleNakamura, S., Satoh, A., Aizawa, M., & Ohtsubo, K. (2022). Characteristics of Physicochemical Properties of Chalky Grains of Japonica Rice Generated by High Temperature during Ripening. Foods, 11(1), 97. https://doi.org/10.3390/foods11010097

