Quality Characteristics and Consumer Acceptance of High-Moisture Mozzarella Obtained from Heat-Treated Goat Milk
Abstract
1. Introduction
2. Materials and Methods
2.1. Cheesemaking Protocols
2.2. Physical–Chemical and Microbiological Analyses
2.3. Proteolysis, Lipolysis, and Volatile Organic Compounds (VOC)
2.4. Consumer Test
2.5. Statistical Analysis
3. Results and Discussion
3.1. Physical–Chemical and Microbiological Characteristics of Milk and Cheese
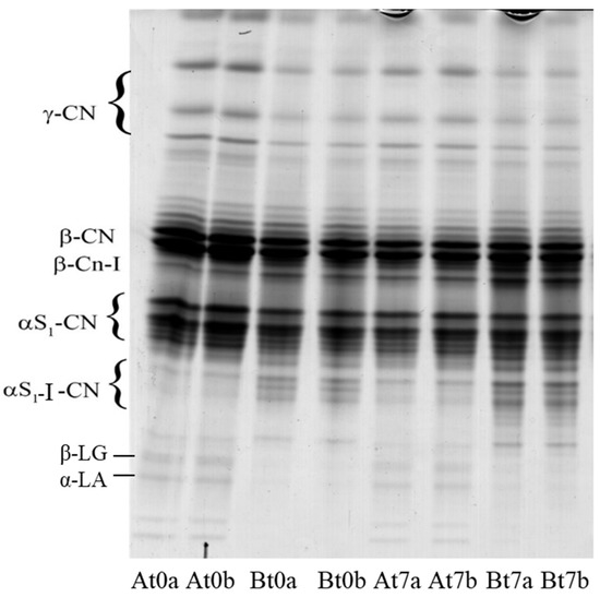
3.2. Pimary Proteolysis and Lipolysis
3.3. VOC
3.4. Consumer Testing
4. Conclusions
Author Contributions
Funding
Institutional Review Board Statement
Informed Consent Statement
Data Availability Statement
Conflicts of Interest
References
- CLAL. Global Pasta Filata Cheese Market Trends. Clal Dairy Forum. 2016. Available online: https://www.clal.it/downloads/news/Dubiel-EN.pdf (accessed on 28 February 2021).
- Ruminantia. 13 December 2019. Available online: https://www.ruminantia.it/la-storia-della-mozzarella-di-bufala/ (accessed on 12 March 2021).
- Natrella, G.; Gambacorta, G.; De Palo, P.; Maggiolino, A.; Faccia, M. Volatile organic compounds in milk and mozzarella: Comparison between two different farming systems. Int. J. Food Sci. Technol. 2020, 55, 3403–3411. [Google Scholar] [CrossRef]
- Council of the European Union. Commission Regulation (EC) 1107/96 of 12 June 1996 on the registration of geographical indications and designations of origin under the procedure laid down in Article 17 of Council Regulation (EEC) No 2081/92. Off. J. Eur. Union 1996, L 148. 21.6.1996. [Google Scholar]
- Council of the European Union. Commission Implementing Regulation (EU) 2020/2018 of 9 December 2020 entering a name in the register of protected designations of origin and protected geographical indications (Mozzarella di Gioia del Colle (PDO). Off. J. Eur. Union 2020, L 415/46. 10.12.2020. [Google Scholar]
- Pal, U.K.; Agnihotri, M.K. Quality and shelf-life of direct acid goat milk Mozzarella cheese at refrigeration temperature. Int. J. An. Sci. 2000, 15, 57–61. [Google Scholar]
- Imm, J.Y.; Oh, E.J.; Han, K.S.; Oh, S.; Park, Y.W.; Kim, S.H. Functionality and physico-chemical characteristics of bovine and caprine mozzarella cheeses during refrigerated storage. J. Dairy Sci. 2003, 86, 2790–2798. [Google Scholar] [CrossRef]
- Shaker, R.R.; Attlee, A.; Kasi, H.; Osaili, T.M.; Al Nabulsi, A.A.; Ababneh, A.H. Comparison of the quality of low moisture mozzarella cheese made from bovine, ovine and caprine milks. J. Food Agric. Env. 2012, 10, 89–93. [Google Scholar]
- Paz, N.F.; De Oliveira, E.G.; Villalva, F.J.; Armada, M.; Ramón, A.N. Effect of pH at drainage on the physicochemical, textural and microstructural characteristics of mozzarella cheese from goat milk. Food Sci. Technol. 2017, 37, 193–201. [Google Scholar] [CrossRef]
- Faccia, M.; Trani, A.; Gambacorta, G.; Loizzo, P.; Cassone, A.; Caponio, F. Production technology and characterization of Fior di latte cheeses made from sheep and goat milks. J. Dairy Sci. 2015, 98, 1402–1410. [Google Scholar] [CrossRef] [PubMed]
- Tripaldi, C.; Palocci, G.; Di Giovanni, S.; Marri, N.; Boselli, C.; Giangolini, G.; Amatiste, S. Microbiological and chemical characteristics of pasta filata type cheese from raw ewe milk, using thermophilic and mesophilic starters. J. Food Saf. Food Qual. 2018, 69, 105–130. [Google Scholar]
- Verruck, S.; Dantas, A.; Schwinden Prudencio, E. Functionality of the components from goat’s milk, recent advances for functional dairy products development and its implications on human health. J. Funct. Foods 2019, 52, 243–257. [Google Scholar] [CrossRef]
- Gonzales-Barron, U.; Gonçalves-Tenório, A.; Rodrigues, V.; Cadavez, V. Foodborne pathogens in raw milk and cheese of sheep and goat origin: A meta-analysis approach. Curr. Opin. Food Sci. 2017, 18, 7–13. [Google Scholar] [CrossRef]
- Trevisani, E.; Mancusi, R.; Valero, A. Thermal inactivation kinetics of Shiga toxin-producing Escherichia coli in buffalo mozzarella curd. J. Dairy Sci. 2014, 97, 642–650. [Google Scholar] [CrossRef] [PubMed]
- Tirloni, E.; Bernardi, C.; Rosshaug, P.S.; Stella, S. Potential growth of Listeria monocytogenes in Italian mozzarella cheese as affected by microbiological and chemical-physical environment. J. Dairy Sci. 2019, 102, 4913–4924. [Google Scholar] [CrossRef] [PubMed]
- Ustunol, Z.; Brown, R.J. Effects of heat treatment and post treatment holding time on rennet clotting of milk. J. Dairy Sci. 1985, 68, 526–530. [Google Scholar] [CrossRef]
- Shah, R.D.; Jana, A.; Solanky, M.J. Use of plasticizing treatment in producing pasteurized Mozzarella cheese from raw milk. J. Food Sci. Technol. Mysore 2008, 45, 275–278. [Google Scholar]
- Jana, A.; Mandal, P.K. Manufacturing and quality of mozzarella cheese: A review. Int. J. Dairy Sci. 2011, 6, 199–226. [Google Scholar] [CrossRef]
- IDF. Milk: Determination of Fat Content. Butyrometer Gerber; IDF Standard 105; International Dairy Federation: Brussels, Belgium, 1981. [Google Scholar]
- ISO/IDF. Milk and Milk Products—Determination of Nitrogen Content—Part 1: Kjeldahl Principle and Crude Protein Calculation; ISO 8968–1:2014/IDF 20–1:2014; International Standardisation Organisation: Geneva, Switzerland, 2014. [Google Scholar]
- IDF. Cheese and Processed Cheese Products: Determination of Dry Matter; IDF Standard 4; International Dairy Federation: Brussels, Belgium, 1986. [Google Scholar]
- IDF. Determination of pH; IDF Standard 115A; International Dairy Federation: Brussels, Belgium, 1989. [Google Scholar]
- ISO/IDF. Cheese—Determination of fat content—Butyrometer for Van Gulik method; ISO 3432:2008/IDF 221:2008; International Standardisation Organisation: Geneva, Switzerland, 2008. [Google Scholar]
- Trani, A.; Gambacorta, G.; Loizzo, P.; Cassone, A.; Fasciano, C.; Zambrini, A.V.; Faccia, M. Comparison of HPLC-RI, LC/MS-MS and enzymatic assays for the analysis of residual lactose in lactose-free milk. Food Chem. 2017, 233, 385–390. [Google Scholar] [CrossRef]
- Amagliani, G.; Petruzzelli, A.; Carloni, E.; Tonucci, F.; Foglini, M.; Micci, E.; Ricci, M.; Di Lullo, S.; Rotundo, L.; Brandi, G. Presence of Escherichia coli O157, Salmonella spp., and Listeria monocytogenes in raw ovine milk destined for cheese production and evaluation of the equivalence between the analytical methods applied. Foodborne Pathog. Dis. 2016, 13, 626–632. [Google Scholar] [CrossRef]
- Andrews, A.T. Proteinases in normal bovine milk and their action on caseins. J. Dairy Res. 1983, 50, 45–55. [Google Scholar] [CrossRef]
- Candiano, G.; Bruschi, M.; Musante, L.; Santucci, L.; Ghiggeri, G.M.; Carnemolla, B.; Orecchia, P.; Zardi, L.; Righetti, P.G. Blue silver: A very sensitive colloidal Coomassie G-250 staining for proteome analysis. Electrophoresis 2004, 25, 1327–1333. [Google Scholar] [CrossRef]
- Trani, A.; Gambacorta, G.; Loizzo, P.; Alviti, G.; Schena, A.; Faccia, M.; Aquilanti, L.; Santarelli, S.; Di Luccia, A. Biochemical traits of Ciauscolo, a spreadable typical Ttalian dry-cured sausage. J. Food Sci. 2010, 75, C514–C524. [Google Scholar] [CrossRef]
- Folch, J.; Lees, M.; Sloane-Stanley, G.H. A simple method for isolation and purification of total lipids from animal tissues. J. Biol. Chem. 1957, 226, 497–509. [Google Scholar] [CrossRef]
- Faccia, M.; Trani, A.; Natrella, G.; Gambacorta, G. Chemical-sensory and volatile compound characterization of ricotta forte, a traditional fermented whey cheese. J. Dairy Sci. 2017, 101, 5751–5757. [Google Scholar] [CrossRef]
- Calvo, M.M. Influence of fat, heat treatments and species on milk rennet clotting properties and glycomacropeptide formation. Eur. Food Res. Technol. 2002, 214, 182–185. [Google Scholar] [CrossRef]
- Kuo, M.I.; Gunasekaran, S.; Johnson, M.; Chen, C. Nuclear magnetic resonance study of water mobility in pasta filata and non-pasta filata mozzarella. J. Dairy Sci. 2001, 84, 1950–1958. [Google Scholar] [CrossRef]
- Sheehan, J.; Guinee, T.P. Effect of pH and calcium level on the biochemical, textural and functional properties of reduced-fat Mozzarella cheese. Int. Dairy J. 2004, 14, 161–172. [Google Scholar] [CrossRef]
- Law, A.J.R.; Leaver, J. Effects of acidification and storage of milk on dissociation of bovine casein micelles. J. Agric. Food Chem. 1998, 46, 5008–5016. [Google Scholar] [CrossRef]
- Altieri, C.; Scrocco, C.; Sinigaglia, M.; Del Nobile, M.A. Use of chitosan to prolong mozzarella cheese shelf life. J. Dairy Sci. 2005, 88, 2683–2688. [Google Scholar] [CrossRef]
- Faccia, M.; Gambacorta, G.; Natrella, G.; Caponio, F. Shelf life extension of Italian mozzarella by use of calcium lactate buffered brine. Food Control. 2019, 100, 287–291. [Google Scholar] [CrossRef]
- Ismail, B.; Nielsen, S.S. Invited review: Plasmin protease in milk: Current knowledge and relevance to dairy industry. J. Dairy Sci. 2010, 93, 4999–5009. [Google Scholar] [CrossRef] [PubMed]
- Kiely, L.J.; Kindstedt, P.S.; Hendricks, G.M.; Levis, J.E.; Yun, J.J.; Barbano, D.M. Age related changes in the microstructure of mozzarella cheese. Food Struct. 1993, 12, 13–20. [Google Scholar]
- Faccia, M.; Trani, A.; Loizzo, P.; Gagliardi, R.; La Gatta, B.; Di Luccia, A. Detection of αs1-I casein in mozzarella Fiordilatte: A possible tool to reveal the use of stored curd in cheesemaking. Food Control. 2014, 42, 101–108. [Google Scholar] [CrossRef]
- Pesic, M.B.; Barac, M.B.; Stanojevic, S.P.; Ristic, N.M.; Macej, O.D.; Vrvic, M.M. Heat induced casein–whey protein interactions at natural pH of milk: A comparison between caprine and bovine milk. Small Rum. Res. 2012, 108, 77–86. [Google Scholar] [CrossRef]
- Murgia, M.A.; Deiana, P.; Nudda, A.; Correddu, F.; Montanari, L.; Mangia, N.P. Assessment of microbiological quality and physicochemical parameters of Fruhe made by ovine and goat milk: A Sardinian (Italy) cheese. Fermentation 2020, 6, 119. [Google Scholar] [CrossRef]
- Ferrandini, E.; Castillo, M.; de Renobales, M.; Virto, M.D.; Garrido, M.D.; Rovira, S.; López, M.B. Influence of lamb rennet paste on the lipolytic and sensory profile of Murcia al Vino cheese. J. Dairy Sci. 2012, 95, 2788–2796. [Google Scholar] [CrossRef] [PubMed]
- Collins, Y.F.; McSweeney, P.L.H.; Wilkinson, M.G. Lipolysis and free fatty acid catabolism in cheese: A review of current knowledge. Int. Dairy J. 2003, 13, 841–866. [Google Scholar] [CrossRef]
- Mc Sweeney, P.L.H. Biochemistry of cheese ripening. Int. J. Dairy Technol. 2004, 57, 127–144. [Google Scholar] [CrossRef]
- Fedele, V.; Rubino, R.; Claps, S.; Sepe, L.; Morone, G. Seasonal evolution of volatile compounds content and aromatic profile in milk and cheese from grazing goat. Small Rum. Res. 2005, 59, 273–279. [Google Scholar] [CrossRef]
- Coppa, M.; Chassaing, C.; Sibra, C.; Cornu, A.; Verbič, J.; Golecký, J.; Engel, E.; Ratel, J.; Boudon, A.; Ferlay, A.; et al. Forage system is the key driver of mountain milk specificity. J. Dairy Sci. 2019, 102, 10483–10499. [Google Scholar] [CrossRef]
- Vasta, V.; D’Alessandro, A.G.; Priolo, A.; Petrotos, K.; Martemucci, G. Volatile compound profile of ewe’s milk and meat of their suckling lambs in relation to pasture vs. indoor feeding system. Small Rum. Res. 2012, 105, 16–21. [Google Scholar] [CrossRef]
- Ueda, Y.; Asakuma, S.; Miyaji, M.; Akiyama, F. Effect of time at pasture and herbage intake on profile of volatile organic compounds of dairy cow milk. Anim. Sci. J. 2016, 87, 117–125. [Google Scholar] [CrossRef] [PubMed]
- Narushima, H.; Omori, T.; Minoda, Y. Microbial transformation of α-pinene. Eur. J. Appl. Microbiol. Biotechnol. 1982, 16, 174–178. [Google Scholar] [CrossRef]
- Trudgill, P.W. Microbial metabolism of monoterpenes—Recent developments. Biodegradation 1990, 1, 93–105. [Google Scholar] [CrossRef]
- Demyttenaere, J.C.R. Biotransformation of terpenoids by microorganisms. In Studies in Natural Products Chemistry; Atta-ur-Rahman, Ed.; Elsevier: Amsterdam, The Netherlands, 2001; Volume 25, Part F, pp. 125–178. [Google Scholar]
- Sgarbi, E.; Lazzi, C.; Tabanelli, G.; Gatti, M.; Neviani, E.; Gardini, F. Non-starter lactic acid bacteria volatilomes produced using cheese components. J. Dairy Sci. 2013, 96, 4223–4234. [Google Scholar] [CrossRef]
- Morales, P.; Fernández-García, E.; Nuñez, M. Volatile compounds produced in cheese by Pseudomonas strains of dairy origin belonging to six different species. J. Agric. Food Chem. 2005, 53, 6835–6843. [Google Scholar] [CrossRef] [PubMed]





| Trial | pH | Moisture | Fat (wb) | Fat (dm) | Protein (wb) | Protein (dm) | Lactose | Yield |
|---|---|---|---|---|---|---|---|---|
| At0 | 5.30 ± 0.2 a | 61.1 ± 1.3 b | 15.4 ± 1.3 b | 39.6 ± 3.3 | 17.4 ± 0.8 b | 44.7 ± 2.1 | 0.3 ± 0.1 a | 16.9 ± 0.7 a |
| Bt0 | 5.33 ± 0.2 a | 58.5 ± 0.8c | 17.2 ± 1.5 a | 41.4 ± 3.6 | 19.6 ± 1.0 a | 47.2 ± 2.4 | 0.4 ± 0.1 a | 14.3 ± 0.4 b |
| At7 | 5.20 ± 0.2 b | 65.3 ± 2.0 a | 13.8 ± 1.9 b | 39.8 ± 5.5 | 15.0 ± 1.3 c | 43.2 ± 3.7 | nd | - |
| Bt7 | 5.23 ± 0.2 b | 59.1 ± 1.7 b,c | 17.1 ± 1.3 a | 41.8 ± 3.2 | 18.9 ± 1.1 a,b | 46.2 ± 2.7 | nd | - |
| Trial | Hardness | Springiness | Gumminess | Chewiness | ||||
|---|---|---|---|---|---|---|---|---|
| X | σ | X | σ | X | σ | X | σ | |
| At0 | 7.7 c | 0.4 | 0.45 b | 0.04 | 2.6 b | 0.3 | 1.9 b | 0.3 |
| Bt0 | 15.1 a | 0.5 | 0.57 a | 0.03 | 3.3 a | 0.3 | 2.7 a | 0.4 |
| At7 | 3.1 d | 0.1 | 0.10 d | 0.00 | 0.7 d | 0.0 | 0.4 d | 0.0 |
| Bt7 | 9.5 b | 0.3 | 0.19 c | 0.00 | 1.5 c | 0.1 | 1.3 c | 0.1 |
| Group | At0 | Bt0 | At7 | Bt7 |
|---|---|---|---|---|
| Total mesophilic | 7.37 b | 7.47 b | 8.41 a | 8.22 a |
| Yeasts and molds | 2.90 b | 2.53 c | 3.53 a | 3.46 a |
| Coliforms | 3.36 b | 4.90 a | 4.35 a | 4.72 a |
| Enterobacteriaceae | 4.10 b | 4.23 b | 5.22 a | 5.51 a |
| Lactobacilli | 5.59 b | 5.34 b | 6.11 a | 6.19 a |
| Lactococci and streptococci | 8.15 c | 9.08 a | 8.44 b | 9.23 a |
| Salmonella spp. in 25 g | Absent | Absent | Absent | Absent |
| L. monocytogenes in 25 g | Absent | Absent | Absent | Absent |
| At0 | Bt0 | At7 | Bt7 | |
|---|---|---|---|---|
| Butanoic (C4) | - | - | - | - |
| Caproic (C6) | - | - | - | - |
| Capyilic (C8) | - | 0.02 ± 0.01 b | - | 0.08 ± 0.02 a |
| Capric (C10) | - | 0.08 ± 0.01 b | 0.17 ± 0.03 a | 0.21 ± 0.03 a |
| Lauric (C12) | - | 0.12 ± 0.05 | - | 0.15 ± 0.07 |
| Myristic (C14) | - | 0.21 ± 0.01 b | 0.41 ± 0.09 a | 0.58 ± 0.11 a |
| Palmitic (C16) | 1.30 ± 0.33 b | 2.04 ± 0.51 a | 2.10 ± 0.35 a | 2.56 ± 0.51 a |
| Margaric (C17) | - | 0.01 ± 0.01 b | - | 0.04 ± 0.01 a |
| Stearic (C18:0) | 0.61 ± 0.11 c | 0.90 ± 0.12 b | 0.96 ± 0.20 a, b | 1.23 ± 0.17 a |
| Oleic (C18:1) | 0.23 ± 0.05 c | 0.63 ± 0.21 b | 0.87 ± 0.14 b | 1.11 ± 0.16 a |
| Linoleic (C18:2) | - | 0.07 ± 0.01 | - | 0.11 ± 0.04 |
| Arachidic (C20) | - | 0.02 ± 0.01 b | - | 0.04 ± 0.01 a |
| Total | 2.14 ± 0.47 c | 4.10 ± 0.57 b | 4.51 ± 0.52 b | 6.11 ± 0.53 a |
| Compounds | At0 | Bt0 | t0 | At7 | Bt7 | t7 | ||||
|---|---|---|---|---|---|---|---|---|---|---|
| m | σ | m | σ | Sig | m | σ | m | σ | Sig | |
| Acids | ||||||||||
| Acetic | 1.8 | 0.4 | 2.6 | 0.5 | 2.6 | 0.6 | 12.5 | 3.4 | * | |
| Butanoic | 0.0 | 0.0 | 0.0 | 0.0 | 1.9 | 0.3 | 5.7 | 1.0 | ** | |
| Caproic | 0.0 | 0.0 | 0.0 | 0.0 | 3.1 | 0.7 | 5.0 | 0.9 | * | |
| Caprylic | 0.0 | 0.0 | 0.0 | 0.0 | 5.4 | 1.1 | 4.4 | 0.8 | ||
| Nonanoic | 0.0 | 0.0 | 0.0 | 0.0 | 1.1 | 0.2 | 1.1 | 0.3 | ||
| Capric | 0.0 | 0.0 | 0.0 | 0.0 | 2.2 | 0.5 | 3.9 | 0.9 | * | |
| Total acids | 1.8 | 0.4 | 2.6 | 0.5 | 16.3 | 1.8 | 32.6 | 4.6 | ** | |
| Hydrocarbons | ||||||||||
| 1,6-octadiene, 3,7-dimethyl- | 1.0 | 0.1 | 0.5 | 0.0 | * | 0.7 | 0.1 | 0.4 | 0.1 | * |
| Cycloheptane | 0.0 | 0.0 | 0.0 | 0.0 | 0.3 | 0.1 | 0.6 | 0.1 | * | |
| Octane | 1.1 | 0.2 | 1.7 | 0.2 | * | 0.8 | 0.2 | 0.7 | 0.1 | |
| Total hydrocarbons | 2.1 | 0.2 | 2.2 | 0.2 | 1.8 | 0.3 | 1.7 | 0.1 | ||
| Alcohols | ||||||||||
| Ethanol | 2.0 | 0.2 | 3.3 | 0.4 | * | 0.6 | 0.2 | 2.2 | 0.3 | ** |
| Ketones | ||||||||||
| 2-Propanone (acetone) | 1.3 | 0.3 | 4.2 | 0.5 | ** | 19.0 | 1.8 | 0.8 | 0.1 | ** |
| 2-Butanone | 1.8 | 0.5 | 3.6 | 0.7 | * | 0.5 | 0.1 | 1.1 | 0.4 | * |
| 2,3-Butanedione | 2.2 | 0.6 | 3.5 | 0.5 | * | 0.5 | 0.1 | 1.5 | 0.3 | * |
| 2-Butanone, 3-hydroxy (acetoin) | 7.8 | 0.7 | 27.0 | 5.4 | ** | 4.6 | 0.6 | 3.6 | 0.5 | |
| 5-Hepten-2-one, 6-methyl- | 0.9 | 0.1 | 1.4 | 0.6 | 0.0 | 0.0 | 0.0 | 0.0 | * | |
| 2-Nonanone | 2.0 | 0.5 | 2.0 | 0.1 | 1.4 | 0.5 | 3.6 | 0.7 | * | |
| Total ketones | 16.0 | 1.6 | 41.7 | 6.8 | ** | 26.0 | 2.1 | 10.6 | 0.9 | ** |
| Aldehydes | ||||||||||
| Hexanal | 0.0 | 0.0 | 0.0 | 0.0 | 0.7 | 0.4 | 1.7 | 0.5 | * | |
| Octanal | 0.4 | 0.1 | 0.5 | 0.1 | 0.0 | 0.0 | 0.0 | 0.0 | ||
| Nonanal | 1.0 | 0.2 | 2.5 | 0.7 | * | 0.0 | 0.0 | 0.0 | 0.0 | |
| Decanal | 0.0 | 0.0 | 0.0 | 0.0 | 1.0 | 0.2 | 1.5 | 0.4 | * | |
| Total aldehydes | 1.4 | 0.2 | 3.0 | 0.7 | * | 1.7 | 0.5 | 3.2 | 0.6 | * |
| Aromatic compounds | ||||||||||
| Benzene, methyl- | 3.8 | 0.9 | 1,7 | 0.1 | * | 3.0 | 0.6 | 1,1 | 0.4 | * |
| Benzene, 1-methyl-2-(1-methylethyl) | 1.7 | 0.3 | 1,0 | 0.1 | * | 0.0 | 0.0 | 0.0 | 0.0 | |
| Benzaldehyde | 0.0 | 0.0 | 00 | 0.0 | 0.3 | 0,1 | 0.5 | 0.1 | ||
| Total aromatic compounds | 5.5 | 0.9 | 2.7 | 0.3 | * | 3.3 | 0.6 | 1.6 | 0.5 | * |
| Esters | ||||||||||
| Acetic acid, butyl ester | 0.9 | 0.1 | 1.1 | 0.1 | 0.4 | 0.1 | 0.9 | 0.2 | * | |
| Acetic acid, hexyl ester | 2.2 | 0.1 | 2.4 | 0.3 | 0.0 | 0.0 | 0.0 | 0.0 | ||
| Hexanoic acid, butyl ester | 0.5 | 0.2 | 0.7 | 0.1 | 0.5 | 0.3 | 0.6 | 0.3 | ||
| Total esters | 3.6 | 0.3 | 4.2 | 0.4 | 0.9 | 0.3 | 1.5 | 0.4 | ||
| Terpenoids | ||||||||||
| Tricyclene | 0.9 | 0.1 | 0.9 | 0.2 | 0.6 | 0.2 | 1.0 | 0.3 | ||
| α-Pinene | 50.1 | 4.2 | 26.8 | 2.8 | ** | 32.4 | 4.1 | 7.3 | 1.7 | ** |
| β-Pinene | 7.6 | 0.6 | 5.3 | 0.5 | * | 5.1 | 1.6 | 3.0 | 0.6 | * |
| Sabinene | 3.1 | 0.6 | 0.5 | 0.1 | * | 2.4 | 0.5 | 0.5 | 0.1 | * |
| l-Phellandrene | 0.0 | 0.0 | 0.0 | 0.0 | 0.5 | 0.1 | 0.9 | 0.3 | ||
| Citrine | 0.8 | 0.1 | 0.6 | 0.2 | 0.4 | 0.2 | 3.8 | 0.7 | ** | |
| dl-Limonene | 1.8 | 0.4 | 4.2 | 1.0 | * | 5.7 | 0.6 | 27.9 | 2.6 | ** |
| γ-Terpinene | 0.0 | 0.0 | 0.0 | 0.0 | 0.4 | 0.2 | 0.5 | 0.2 | ||
| Camphene | 3.4 | 0.4 | 2.0 | 0.3 | * | 2.1 | 0.5 | 1.6 | 0.3 | |
| Total terpenoids | 67.7 | 4.7 | 40.3 | 4.1 | ** | 49.6 | 4.9 | 46.5 | 4.2 | |
Publisher’s Note: MDPI stays neutral with regard to jurisdictional claims in published maps and institutional affiliations. |
© 2021 by the authors. Licensee MDPI, Basel, Switzerland. This article is an open access article distributed under the terms and conditions of the Creative Commons Attribution (CC BY) license (https://creativecommons.org/licenses/by/4.0/).
Share and Cite
Faccia, M.; Gambacorta, G.; Pasqualone, A.; Summo, C.; Caponio, F. Quality Characteristics and Consumer Acceptance of High-Moisture Mozzarella Obtained from Heat-Treated Goat Milk. Foods 2021, 10, 833. https://doi.org/10.3390/foods10040833
Faccia M, Gambacorta G, Pasqualone A, Summo C, Caponio F. Quality Characteristics and Consumer Acceptance of High-Moisture Mozzarella Obtained from Heat-Treated Goat Milk. Foods. 2021; 10(4):833. https://doi.org/10.3390/foods10040833
Chicago/Turabian StyleFaccia, Michele, Giuseppe Gambacorta, Antonella Pasqualone, Carmine Summo, and Francesco Caponio. 2021. "Quality Characteristics and Consumer Acceptance of High-Moisture Mozzarella Obtained from Heat-Treated Goat Milk" Foods 10, no. 4: 833. https://doi.org/10.3390/foods10040833
APA StyleFaccia, M., Gambacorta, G., Pasqualone, A., Summo, C., & Caponio, F. (2021). Quality Characteristics and Consumer Acceptance of High-Moisture Mozzarella Obtained from Heat-Treated Goat Milk. Foods, 10(4), 833. https://doi.org/10.3390/foods10040833
