Next Article in Journal
Multifunctional Tyrosinase Inhibitor Peptides with Copper Chelating, UV-Absorption and Antioxidant Activities: Kinetic and Docking Studies
Previous Article in Journal
Primary Processing and Storage Affect the Dominant Microbiota of Fresh and Chill-Stored Sea Bass Products
 
 
Font Type:
Arial Georgia Verdana
Font Size:
Aa Aa Aa
Line Spacing:
Column Width:
Background:
Article

In Vitro Bile Salt Hydrolase (BSH) Activity Screening of Different Probiotic Microorganisms

by
Jimmy G. Hernández-Gómez
1,
Argelia López-Bonilla
2,
Gabriela Trejo-Tapia
2,
Sandra V. Ávila-Reyes
2,
Antonio R. Jiménez-Aparicio
2 and
Humberto Hernández-Sánchez
1,*
1
Departamento de Ingeniería Bioquímica, Escuela Nacional de Ciencias Biológicas, Instituto Politécnico Nacional, Av. Wilfrido Massieu 399, UP Adolfo López Mateos, Mexico City CP 07738, Mexico
2
Centro de Desarrollo de Productos Bióticos, Instituto Politécnico Nacional, Yautepec CP 62731, Mexico
*
Author to whom correspondence should be addressed.
Foods 2021, 10(3), 674; https://doi.org/10.3390/foods10030674
Submission received: 24 February 2021 / Revised: 12 March 2021 / Accepted: 18 March 2021 / Published: 22 March 2021
(This article belongs to the Section Nutraceuticals, Functional Foods, and Novel Foods)

Abstract

Bile salt hydrolase (BSH) activity in probiotic strains is usually correlated with the ability to lower serum cholesterol levels in hypercholesterolemic patients. The objective of this study was the evaluation of BSH in five probiotic strains of lactic acid bacteria (LAB) and a probiotic yeast. The activity was assessed using a qualitative direct plate test and a quantitative high-performance thin- layer chromatography assay. The six strains differed in their BSH substrate preference and activity. Lactobacillus plantarum DGIA1, a potentially probiotic strain isolated from a double cream cheese from Chiapas, Mexico, showed excellent deconjugation activities in the four tested bile acids (69, 100, 81, and 92% for sodium glycocholate, glycodeoxycholate, taurocholate, and taurodeoxycholate, respectively). In the case of the commercial probiotic yeast Saccharomyces boulardii, the deconjugation activities were good against sodium glycodeoxycholate, taurocholate, and taurodeoxycholate (100, 57, and 63%, respectively). These last two results are part of the novelty of the work. A weak deconjugative activity (5%) was observed in the case of sodium glycocholate. This is the first time that the BSH activity has been detected in this yeast.

1. Introduction

Cardiovascular diseases are the leading cause of mortality in the world among adults between 35 and 70 years old, with more than 18 million deaths in 2019. They are classified as civilization diseases, so preventing them is very important [1]. In modern societies, ingesting high-fat, high-cholesterol diets usually leads to hypercholesterolemia and atherosclerosis [2]. The World Health Organization (WHO) has warned that by the year 2030, ischemic heart disease will continue to be the leading cause of death worldwide, with a death toll of around 23.6 million people. Hypercholesterolemic patients may avoid the use of cholesterol-lowering drugs such as statins [3], through diet control, exercise, weight loss, and supplementation with probiotics [4].
Probiotics, in particular, lactic acid bacteria (LAB), are live microorganisms that have beneficial health effects when administered in the right amounts. Eating them with everyday food (cheese, fermented milks, etc.) can prevent many diseases, including hypercholesterolemia [5]. Several mechanisms for cholesterol removal by probiotics have been shown, such as deconjugation of bile salts by the enzyme bile salt hydrolase (BSH), the production of short-chain fatty acids, the assimilation of cholesterol into bacterial cell membranes, and the conversion of cholesterol by hydrogenation to the poorly absorbed sterol coprostanol [6].
Bile acids are produced from cholesterol inside the liver. Cholic acids belong to the primary bile acids class and are synthesized by hepatocytes, then excreted into the intestinal tract as glycine or taurine conjugates. In turn, primary bile acids can be used as substrates for bacterial biotransformation to secondary bile acids in the colon. Many probiotic microorganisms have the ability to produce the enzyme BSH, which catalyzes the deconjugation of bile salts linked with glycine or taurine, as shown in Figure 1 [7].
This characteristic has evolved as a mechanism to tolerate the antimicrobial effect of conjugated bile acids in the small intestine [8]. These unconjugated bile acids are eventually excreted in the feces, having an overall effect of lowering the serum cholesterol level in people with hypercholesterolemia [9,10]. Glycine or taurine are released when the amide bonds undergo hydrolysis by the BSH, and can be used as carbon sources by the intestinal microbiota. It has been shown that bacteria belonging to the genera Lactobacillus, Bifidobacterium, and Enterococcus possess BSH activity [9]. For adequate activity, this enzyme must be delivered in the proximal small intestine [11]. However, the exact site of release using live bacteria is less predictable than other systems, such as microencapsulated BSH. Nevertheless, the cost of using purified enzymes in microencapsulation is an important issue, even in the case of crude enzyme extracts [9]. A possible solution usually involves finding a wild strain that is able to produce high amounts of the enzyme or a GMO in which the bsh gene could be cloned and expressed for overproduction of the BSH [12]. The following research was focused on the quantitative screening of the most promising probiotic strains with superior in vitro bile-salt-hydrolyzing capacity, so supplements or foods that include them could be recommended for daily consumption for the lowering of serum cholesterol.

2. Materials and Methods

2.1. Microorganisms

Five lactic acid bacteria (LAB) strains of the genus Lactobacillus and a yeast were used in this work: Lactobacillus casei Shirota was isolated from the fermented dairy beverage Yakult®. L. plantarum 299v was isolated from capsules of the supplement Protransitus LP®. L. rhamnosus GG was isolated from packets of the supplement Vivera®. L. plantarum DGIA1 was isolated from a double cream cheese from the Mexican State of Chiapas [13]. L. fermentum K73 was isolated from Colombian suero costeño (traditional fermented sour cream) [14]. Saccharomyces cerevisiae var. boulardii CNCM I-745 was isolated from capsules of the supplement Floratil® [15]. The LAB were kept frozen at −70 °C in MRS broth (YPD broth for the yeast) supplemented with 50% glycerol (v/v) until used.

2.2. Qualitative Direct Plate BSH Assay

In the case of the LAB strains, sterile filter discs (6 mm) were saturated with an overnight culture in MRS broth and then placed on MRS agar plates supplemented with 0.5% (w/v) sodium salt of glycocholic, glycodeoxycholic, taurocholic, or taurodeoxycholic acids (Sigma-Aldrich, St. Louis, MO, USA) and 0.37 g/L CaCl2. The plates were incubated at 37 °C for 72 h, after which the diameter of the deconjugated bile acid precipitation zones (opaque halos) was measured. In the case of the yeast S. boulardii, the procedure was very similar, but YPD broth and agar were used instead of MRS. MRS or YPD agar medium plates without supplementation of the conjugated bile acids were used as controls [6,10].

2.3. Quantitative High-Performance Thin-Layer Chromatography (HPTLC) BSH Assay

To determine the BSH activity, the quantitative HPTLC method described by Rohawi et al. [16] was used with some modifications. Briefly, the probiotic microorganisms were cultured at 37 °C for 24 h in tubes with MRS broth (YPD broth in the case of S. boulardii) containing 1 mmol/L of the sodium salts of glycocholic, glycodeoxycholic, taurocholic, or taurodeoxycholic acids. Uninoculated tubes were used as controls. The cultures were centrifuged at 1300× g at 4 °C for 10 min, and the cell-free supernatant was aliquoted and stored at −80 °C until use.
The HPTLC plates (20 × 10 cm2 with silica gel 60 with fluorescent indicator F254) were oven-activated at 105 °C for 15 min and cooled in a desiccator. Samples were applied to the plates as 8 mm bands using a Linomat 5 with a 25 µL syringe using nitrogen as the propellant (Camag®, Muttenz, Switzerland). The bands were 10 mm apart and 15 mm from the lower edge of the plates, and 17 lanes were used in each plate. Stock standard solutions of the sodium salts of glycocholic, glycodeoxycholic, taurocholic, or taurodeoxycholic acids were prepared in methanol (1 µg/mL). From the stock standard solution, volumes from 1 to 12 µL/band were applied on the HPTLC plates to obtain a final concentration range of 1–12 µg/band for the construction of a 7-point calibration curve. The HPTLC plates were developed using a mixture of methanol, n-hexane, and a 10:1 mixture of ethyl acetate:acetic acid in proportions determined by trial and error for each of the four bile salts (Table 1). The plates were developed at 25 ± 3 °C in an ADC2 automatic developing chamber (Camag®, Muttenz, Switzerland), and the solvent front was allowed to run to 60 mm from the lower edge of plate. The plates were dried for 5 min in a stream of cold air and dipped for derivatization in a p-anisaldehyde/sulfuric acid (anisaldehyde:acetic acid:methanol:sulfuric acid—1:20:170:10) solution at an immersion speed of 5 cm/s. The plates were allowed to dry for 30 s and oven-heated at 110 °C for 10 min so the colored bands could be seen. Plates were scanned and densitometrically evaluated with a TLC Scanner 4 (Camag®, Muttenz, Switzerland) monitored by WinCATS Planar Chromatography Manager v1.4.6 using a scanning slit of 4 × 0.30 mm2 at a scanning speed of 20 mm/s. The plates were scanned in absortion mode at 550 nm with a tungsten lamp. Peak profiles were generated from the captured images using the visionCATS v2.4 software (Camag®, Muttenz, Switzerland). The concentration of the samples was evaluated by interpolation in the 7-point absorbance vs. concentration calibration curve.

2.4. Statistical Analysis

Data analysis was carried out with MyStat 12 software (SYSTAT Software, Inc., Chicago, IL, USA). The Shapiro–Wilk normality test, followed by a multiple comparison analysis (MCA), were used to detect significant differences between means at a significance level of α = 0.05. If the data follow a normal distribution, a parametric test such as one-way ANOVA with a post hoc test such as Tukey would be the MCA of choice. If this assumption could not be supported, a nonparametric test such as Wilcoxon would be used [17]. All data are presented as the arithmetic mean of three determinations ± standard deviation, unless stated otherwise.

3. Results and Discussion

3.1. BSH Activity Screening

The probiotic cultures were screened for BSH activity by qualitative direct plate assay. The results of this assay are shown in Table 2. It can be observed that BSH activity could be detected in all the probiotic strains with the exception of S. boulardii. The only strain that showed activity against the four conjugated bile acids was L. plantarum DGIA1. Three strains showed activity against three bile acids, and one of them (L. rhamnosus GG) showed only weak activity against sodium taurodeoxycholate. This last result was unexpected because the bile resistance and the presence of a bsh gene is well documented for L. rhamnosus GG [18]. The high bile tolerance (up to 1%) of S. boulardii has been previously reported, even though the actual mechanism is still unknown [19]. Based on the preliminary BSH activity screening results and on the bile tolerance information reported by other authors, all the probiotic strains were selected for quantitative BSH activity determination toward the four bile acids.

3.2. Quantitative HPTLC BSH Assay

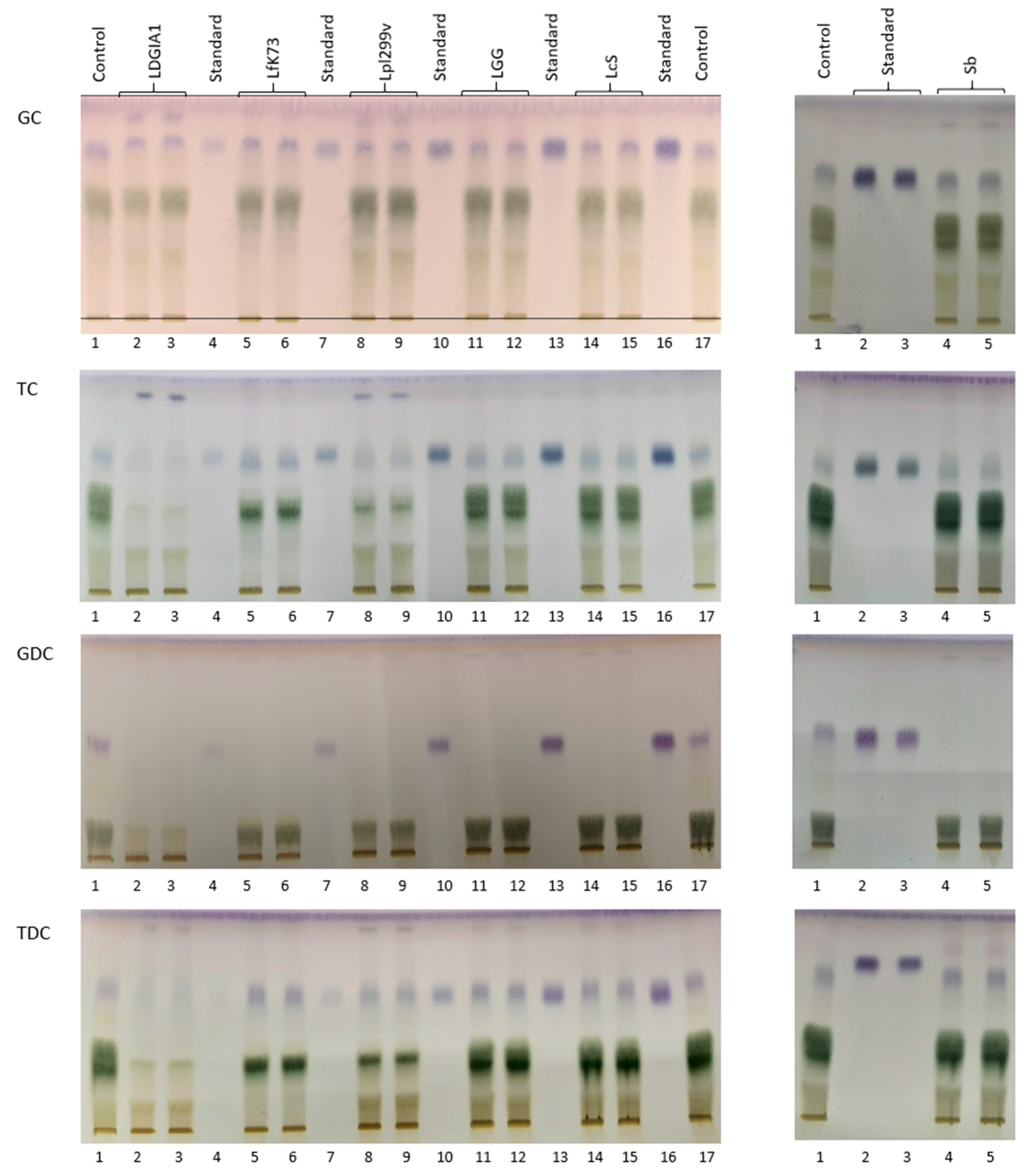
Previous reports have shown that HPTLC is a rapid quantitative determination method for the deconjugation reaction of primary and secondary bile salts by probiotics [17]. The HPTLC plates after being run and developed are presented in Figure 2. The bile salt deconjugation activity by strains of probiotics is shown in Table 3. When the deconjugation activity data were assessed for normality, the Shapiro–Wilk test indicated a strong evidence for departure from normality (p < 0.05). In this case, the multiple comparison analysis testing was performed by the nonparametric Wilcoxon test using a significance level of α = 0.05 to detect differences among the deconjugation activities on the four bile salts for each strain. All six strains were able to completely deconjugate sodium glycodeoxycholate (100% hydrolysis). L. plantarum 299v had the highest specific BSH activity against sodium glycocholate (85% deconjugation) and L. plantarum DGIA1 had the highest specific BSH activity against sodium taurocholate and taurodeoxycholate (81% and 92% deconjugation, respectively). The highest overall deconjugation ability was observed in L. plantarum DGIA1, with values from 69 to 100% hydrolysis for the four bile salts, so it can be considered as the best BSH probiotic producer in this study.

3.3. Lactobacillus casei Shirota

Lactobacillus casei Shirota is a well-known probiotic and facultative heterofermentative LAB that has been given the Generally Recognized as Safe (GRAS) status by the FDA. L. casei Shirota provides health benefits derived from the regulation of the intestinal microbiota, improvement of abdominal dysfunction, prevention of infections, and modulation of the inflammatory and immune responses [20]. In general, L. casei strains have been extensively used in the dairy industry for centuries in the elaboration of cheeses and fermented dairy beverages. Additionally, many strains of L. casei confer general health benefits by acting as probiotics [21]. The reports of the presence of BSH in L. casei strains have been controversial. There are some studies where the authors have not found the activity of this enzyme in their L. casei strains [10,22]. However, there are others (including this study) in which good BSH activities have been detected [9,23,24,25]. The comparative values of the deconjugation percentage for sodium glycocholate and taurocholate can be observed in Table 4. All of the strains (including L. casei Shirota) showed a higher BSH activity in the case of the sodium glycocholate. According to Table 3, the preferred substrate for the BSH of L. casei Shirota is sodium glycodeoxycholate, although it can also have a weak action against sodium taurodeoxycholate. González-Vázquez et al. [26] reported that sodium taurocholate is the best substrate for the BSH of L. casei strains J57 and Shirota.

3.4. Lactobacillus fermentum K73

L. fermentum K73 is a probiotic heterofermentative LAB isolated from Colombian suero costeño. It has the ability to absorb cholesterol and is reported to have good BSH activity [14]. There are many reports dealing with the presence of BSH in L. fermentum strains [9,22]. The substrate specificity varies with the strain. Cueto and Aragón [14] isolated three strains with good BSH activity (K11, K73, and K75) that were able to deconjugate sodium glycocholate. On the other hand, Jiang et al. [19] isolated two strains (ZL4 and L545) with activity against sodium taurocholate and taurodeoxycholate, but no activity against sodium glycocholate or glycodeoxycholate could be detected. Similar results were obtained by Moser and Savage [28] using the ATCC strains 11976 and 23271. In this study, the strain K73 showed a high activity against sodium glycocholate and glycodeoxycholate (61% and 100% deconjugation, respectively) and a relatively weak activity against sodium taurocholate and taurodeoxycholate (24% and 4% deconjugation, respectively). It is important to highlight that K73 is, to our knowledge, the only strain reported to have deconjugating activity against all four bile salts.

3.5. Lactobacillus rhamnosus GG

L. rhamnosus GG is a well-known probiotic and facultative heterofermentative LAB. This microorganism has the ability to survive and thrive at gastric acid pH and in the presence of bile. In addition, it can adhere to enterocytes while inhibiting some pathogens and reducing inflammatory processes [29]. There are several studies reporting the presence of BSH in L. rhamnosus strains [9,30]. The presence of BSH in L. rhamnosus GG has been reported previously [18]. The reports on the BSH substrate specificity are scarce. Dong and Lee [31] indicated that the BSH of L. rhamnosus E9 had a preference for sodium glycocholate. Tsai et al. [6] reported that L. rhamnosus NBHK007 had good activity against sodium taurocholate. In this study, the strain GG showed a high activity against sodium glycocholate and glycodeoxycholate (63% and 100% deconjugation, respectively) and a relatively low activity against sodium taurocholate or taurodeoxycholate (24% and 1% deconjugation, respectively). This is the first time that information is being provided about the deconjugation percentages of different bile acids by the GG strain.

3.6. Lactobacillus plantarum 299v and DGIA1

L. plantarum 299v is an LAB used extensively as a probiotic in several formulations. It shows a broad range of beneficial effects on human health, including the treatment of gastrointestinal and allergic diseases, obesity, metabolic syndrome, type 2 diabetes, nonalcoholic fatty liver, hypercholesterolemia, autoimmune disorders, inflammation, and different types of cancer. These effects have been confirmed by clinical studies [32]. BSH activity is related to the cholesterol-lowering potential of LAB, and its presence has been demonstrated in many strains of L. plantarum, including the strain 299v [9,33,34,35,36]. Several studies on BSH substrate specificity have shown substrate preference toward glycine-conjugated bile salts [10,12,37,38]. There are also a few reports indicating a preference for taurine-conjugated bile salts [28] and others indicating that for the strains Lp80 [12] and Lp-onlly, Lp-529, and Lp501 [22] the substrate preference is unclear since the strains have good activity in the two kinds of conjugated bile acids. Table 3 shows that in this study, the results for BSH activity in the strain 299v indicate a preference (as in most studies) for the glycine-conjugated bile salts (85% and 100% deconjugation for sodium glycocholate and glycodeoxycholate, respectively, compared to 65% and 31% deconjugation for sodium taurocholate and taurodeoxycholate, respectively). However, in the case of L. plantarum DGIA1, the deconjugation activities were high in all cases (69%, 100%, 81%, and 92% for sodium glycocholate, glycodeoxycholate, taurocholate, and taurodeoxycholate, respectively). This could indicate that the strain DGIA1 has a very potent BSH capable of deconjugating glycine- and taurine-containing primary and secondary bile salts. These are characteristics not previously found in strains of L. plantarum. This finding also confirms the fact that strains from food origin, such as DGIA1, can have BSH activities equal to or stronger than strains isolated from the intestines of humans. However, the fact that strains with this activity are isolated most often from the intestines or feces from mammals still stands [9]. The probiotic potential of the halotolerant strain DGIA1 has been evidenced previously [39].

3.7. Saccharomyces boulardii

The probiotic yeast S. boulardii has been prescribed to humans for almost 40 years for the prevention and treatment of gastrointestinal disorders with a predominant inflammatory component [40]. The yeast has been used mainly for prophylaxis and treatment of diarrheal diseases caused by the administration of antibiotics or in the case of bacterial infections caused by Escherichia coli, Clostridioides difficile, Vibrio cholera, and Helicobacter pylori [41]. However, the probiotic characteristics of the yeast also include the ability to tolerate the presence of bile salts at concentrations up to 1% [19,42] through a mechanism that is still unknown. One possible explanation for this tolerance could be the presence of a BSH. To our knowledge, the detection of this enzyme has not been reported previously. In this study, the deconjugation activities of S. boulardii were good in the cases of sodium glycodeoxycholate, taurocholate, and taurodeoxycholate (100%, 57%, and 63%, respectively). Weak deconjugative activity (5%) was observed in the case of sodium glycocholate. This BSH activity in the yeast could be an additional explanation for the observed anti-hypercholesterolemic effect of the yeast. This effect, reported initially by Girard et al. [43] in hamsters, has been also observed in adult humans [44]. The authors observed a decrease in remnant lipoproteins after daily supplementation with the probiotic yeast for 8 weeks. This is very important, because these remnant lipoproteins induce the development of fat deposits in the arteries. Briand et al. [45] observed that daily administration of S. boulardii for 2 to 3 weeks in hamsters fed a high-cholesterol diet significantly reduced the total plasma cholesterol compared to control animals, and also modified the gut microbiota composition of the rodent. These modifications of the microbiota were correlated to variations of lipidemic values. Therefore, the presence of BSH in the yeast could also be important to explain the lowering of the plasma cholesterol levels.

4. Conclusions

Tolerance to bile acids is often cited as an important probiotic characteristic. However, there are several mechanisms behind this attribute, many of which are very important, because they are also involved in the reduction of the blood cholesterol level of the host. This study confirms the finding that, in the case of probiotic Lactobacillus, the BSH content and substrate specificity depend strongly on the species and strain. The most promising result from this research was the finding that the cheese-isolated strain DGIA1 of L. plantarum was able to achieve high levels of deconjugation in sodium glycocholate, glycodeoxycholate, taurocholate, and taurodeoxycholate. In addition, the confirmation of the presence of BSH in S. boulardii, which had not previously been investigated, is an important result that must be explored further. Taking this into consideration, the daily consumption of a double cream cheese portion or S. boulardii supplements could be recommended to decrease serum cholesterol levels.

Author Contributions

Conceptualization, J.G.H.-G. and H.H.-S.; methodology, J.G.H.-G., A.L.-B., and S.V.Á.-R.; software, H.H.-S.; validation, J.G.H.-G., A.L.-B., and S.V.Á.-R.; formal analysis, J.G.H.-G., A.L.-B., and H.H.-S.; investigation, J.G.H.-G., A.R.J.-A., and H.H.-S.; resources, G.T.-T., A.R.J.-A., and H.H.-S.; data curation, J.G.H.-G. and H.H.-S.; writing—original draft preparation, J.G.H.-G. and H.H.-S.; writing—review and editing, H.H.-S.; visualization, H.H.-S.; supervision, A.R.J.-A. and H.H.-S.; project administration, G.T.-T., A.R.J.-A., and H.H.-S.; funding acquisition, G.T.-T., A.R.J.-A., and H.H.-S. All authors have read and agreed to the published version of the manuscript.

Funding

This research was funded by INSTITUTO POLITECNICO NACIONAL, grant number SIP-20200277.

Data Availability Statement

All the data are included in the article.

Acknowledgments

J.G.H.-G. acknowledges CONACyT and SIP-IPN for the Ph.D. and BEIFI scholarships. The help of Elizabeth Rubio and Luis Rafael Garibay from CeProBi-IPN is appreciated. S.V.Á.-R. acknowledges support from the CONACyT professorship program.

Conflicts of Interest

The authors declare no conflict of interest.

References

  1. World Health Organization. Cardiovascular Diseases (CVDs). 2017. Available online: https://www.who.int/news-room/fact-sheets/detail/cardiovascular-diseases-(cvds) (accessed on 20 March 2021).
  2. Lahoz, C.; Mostaza, J.M. La aterosclerosis como enfermedad sistémica. Rev. Esp. Cardiol. 2007, 60, 184–195. (In Spanish) [Google Scholar] [CrossRef]
  3. Navi, B.B.; Zegal, A.Z. The role of cholesterol and statins in stroke. Curr. Cardiol. Rep. 2009, 11, 4–11. [Google Scholar] [CrossRef]
  4. Miremadi, F.; Ayyash, M.; Sherkat, F.; Stojanovska, L. Cholesterol reduction mechanisms and fatty acid composition of cellular membranes of probiotic Lactobacilli and Bifidobacteria. J. Funct. Foods 2014, 9, 295–305. [Google Scholar] [CrossRef]
  5. Wang, C.; Zhang, C.; Li, S.; Yu, L.; Tian, F.; Zhao, J.; Zhang, H.; Chen, W.; Zhai, Q. Effects of probiotic supplementation on dyslipidemia in type 2 diabetes mellitus: A Meta-Analysis of randomized controlled trials. Foods 2020, 9, 1540. [Google Scholar] [CrossRef] [PubMed]
  6. Tsai, C.C.; Lin, P.P.; Hsieh, Y.M.; Zhang, Z.Y.; Wu, H.C.; Huang, C.C. Cholesterol-lowering potentials of lactic acid bacteria based on bile-salt hydrolase activity and effect of potent strains on cholesterol metabolism in vitro and in vivo. Sci. World J. 2014, 2014, 690752. [Google Scholar] [CrossRef]
  7. Begley, M.; Hill, C.; Gahan, C.G.M. Bile salt hydrolase activity in probiotics. Appl. Environ. Microbiol. 2006, 72, 1729–1738. [Google Scholar] [CrossRef]
  8. Foley, M.H.; O’Flaherty, S.; Barrangou, R.; Theriot, C.M. Bile salt hydrolases: Gatekeepers of bile acid metabolism and host-microbiome crosstalk in the gastrointestinal tract. PLoS Pathog. 2019, 15, e1007581. [Google Scholar] [CrossRef]
  9. Tanaka, H.; Doesburg, K.; Iwasaki, T.; Mierau, I. Screening of lactic acid bacteria for bile salt hydrolase activity. J. Dairy Sci. 1999, 82, 2530–2535. [Google Scholar] [CrossRef]
  10. Kumar, R.; Grover, S.; Batish, V.K. Bile Salt Hydrolase (Bsh) activity screening of Lactobacilli: In vitro selection of indigenous lactobacillus strains with potential bile salt hydrolysing and cholesterol-lowering ability. Probiotics Antimicrob. Proteins 2012, 4, 162–172. [Google Scholar] [CrossRef]
  11. Lambert, J.M.; Weinbreck, F.; Kleerebezem, M. In Vitro analysis of protection of the enzyme bile salt hydrolase against enteric conditions by whey protein−gum arabic microencapsulation. J. Agric. Food Chem. 2008, 56, 8360–8364. [Google Scholar] [CrossRef] [PubMed]
  12. Christiaens, H.; Leer, R.J.; Pouwels, P.H.; Verstraete, W. Cloning and expression of a conjugated bile acid hydrolase gene from Lactobacillus plantarum by using a direct plate assay. Appl. Environ. Microbiol. 1992, 58, 3792–3798. [Google Scholar] [CrossRef]
  13. Morales, F.; Morales, J.I.; Hernández, C.H.; Hernández-Sánchez, H. Isolation and partial characterization of halotolerant lactic acid bacteria from two mexican cheeses. Appl. Biochem. Biotechnol. 2011, 164, 889–905. [Google Scholar] [CrossRef]
  14. Cueto, C.; Aragón, S. Evaluation of probiotic potential of lactic acid bacteria to reduce in vitro cholesterol. Sci. Agropecu. 2012, 3, 45–50. [Google Scholar] [CrossRef][Green Version]
  15. Czerucka, D.; Piche, T.; Rampal, P. Review article: Yeast as probiotics-Saccharomyces boulardii. Aliment. Pharmacol. Ther. 2007, 26, 767–778. [Google Scholar] [CrossRef]
  16. Rohawi, N.S.; Ramasamy, K.; Agatonovic-Kustrin, S.; Lim, S.M. A new high-performance thin-layer chromatographic method for determining bile salt hydrolase activity. J. Chromatogr. B 2018, 1092, 145–151. [Google Scholar] [CrossRef]
  17. McHugh, M.L. Multiple comparison analysis testing in ANOVA. Biochem. Med. 2011, 21, 203–209. [Google Scholar] [CrossRef] [PubMed]
  18. Koskenniemi, K.; Laakso, K.; Koponen, J.; Kankainen, M.; Greco, D.; Auvinen, P.; Savijoki, K.; Nyman, T.A.; Surakka, A.; Salusjärvi, T.; et al. Proteomics and transcriptomics characterization of bile stress response in probiotic Lactobacillus rhamnosus GG. Mol. Cell. Proteom. 2011, 10, S1–S18. [Google Scholar] [CrossRef]
  19. Sharaf, A.N.; Abosereh, N.A.R.; Abdalla, S.M.; Mohamed, H.A.L.A.; Salim, R.G.S. Impact of some genetic treatments on the probiotic activities of Saccharomyces boulardii. Res. J. Cell Mol. Biol. 2009, 3, 12–19. [Google Scholar]
  20. Kato-Kataoka, A.; Nishida, K.; Takada, M.; Kawai, M.; Kikuchi-Hayakawa, H.; Suda, K.; Ishikawa, H.; Gondo, Y.; Shimizu, K.; Matsuki, T.; et al. Fermented milk containing Lactobacillus casei Strain shirota preserves the diversity of the gut microbiota and relieves abdominal dysfunction in healthy medical students exposed to academic stress. Appl. Environ. Microbiol. 2016, 82, 3649–3658. [Google Scholar] [CrossRef] [PubMed]
  21. Wang, G.; Yin, S.; An, H.; Chen, S.; Hao, Y. Coexpression of bile salt hydrolase gene and catalase gene remarkably improves oxidative stress and bile salt resistance in Lactobacillus casei. J. Ind. Microbiol. Biotechnol. 2011, 38, 985–990. [Google Scholar] [CrossRef] [PubMed]
  22. Jiang, J.; Hang, X.; Zhang, M.; Liu, X.; Li, D.; Yang, H. Diversity of bile salt hydrolase activities in different lactobacilli toward human bile salts. Ann. Microbiol. 2009, 60, 81–88. [Google Scholar] [CrossRef]
  23. Liong, M.; Shah, N. Bile salt deconjugation ability, bile salt hydrolase activity and cholesterol co-precipitation ability of lactobacilli strains. Int. Dairy J. 2005, 15, 391–398. [Google Scholar] [CrossRef]
  24. González-Vázquez, R.; Gutiérrez-López, G.F.; Arellano-Cárdenas, S.; López-Villegas, E.O.; Téllez-Medina, D.I.; Rivera-Espinoza, Y. Morphometric parameters, zeta potential and growth rate of Lactobacillus casei Shirota by effect of different bile salts. Rev. Mex. Ing. Quim. 2014, 13, 189–199. [Google Scholar]
  25. Kandola, S. Investigation of bile tolerance and deconjugation ability of various Lactobacillus casei group strains. Asian J. Dairy Food Res. 2019, 38, 61–66. [Google Scholar] [CrossRef]
  26. González-Vázquez, R.; Azaola-Espinosa, A.; Mayorga-Reyes, L.; Reyes-Nava, L.A.; Shah, N.P.; Rivera-Espinoza, Y. Isolation, identification and partial characterization of a Lactobacillus casei Strain with bile salt hydrolase activity from pulque. Probiotics Antimicrob. Proteins 2015, 7, 242–248. [Google Scholar] [CrossRef] [PubMed]
  27. Brashears, M.M.; Gilliland, S.E.; Buck, L.M. Bile salt deconjugation and cholesterol removal from media by Lactobacillus casei. J. Dairy Sci. 1998, 81, 2103–2110. [Google Scholar] [CrossRef]
  28. Moser, S.A.; Savage, D.C. Bile salt hydrolase activity and resistance to toxicity of conjugated bile salts are un-related properties in Lactobacilli. Appl. Environ. Microbiol. 2001, 67, 3476–3480. [Google Scholar] [CrossRef] [PubMed]
  29. Capurso, L. Thirty years of Lactobacillus rhamnosus GG. A review. J. Clin. Gastroenterol. 2019, 53, S1–S41. [Google Scholar] [CrossRef] [PubMed]
  30. Khare, A.; Gaur, S. Cholesterol-lowering effects of Lactobacillus species. Curr. Microbiol. 2020, 77, 638–644. [Google Scholar] [CrossRef] [PubMed]
  31. Dong, Z.; Lee, B.H. Bile salt hydrolases: Structure and function, substrate preference, and inhibitor development. Protein Sci. 2018, 27, 1742–1754. [Google Scholar] [CrossRef]
  32. Świeca, M.; Kordowska-Wiater, M.; Pytka, M.; Gawlik-Dziki, U.; Bochnak, J.; Złotek, U.; Baraniak, B. Lactobacillus plantarum 299V improves the microbiological quality of legume sprouts and effectively survives in these carriers during cold storage and in vitro digestion. PLoS ONE 2018, 13, e0207793. [Google Scholar] [CrossRef]
  33. Lambert, J.M.; Bongers, R.S.; De Vos, W.M.; Kleerebezem, M. Functional analysis of four bile salt hydrolase and penicillin acylase family members in Lactobacillus plantarum WCFS1. Appl. Environ. Microbiol. 2008, 74, 4719–4726. [Google Scholar] [CrossRef] [PubMed]
  34. O’Flaherty, S.; Crawley, A.B.; Theriot, C.M.; Barrangou, R. The Lactobacillus bile salt hydrolase repertoire reveals niche-specific adaptation. mSphere 2018, 3, e00140-18. [Google Scholar] [CrossRef]
  35. Yasiri, A.; Vannaxay, E.; Kiatmontri, J.; Seubsasan, S. Isolation and determination of bile salt hydro-lase-producing lactic acid bacteria from fermented spider plant. J. Pure Appl. Microbiol. 2018, 12, 1055–1060. [Google Scholar] [CrossRef]
  36. Nuhwa, R.; Tanasupawat, S.; Taweechotipatr, M.; Sitdhipol, J.; Savarajara, A. Bile salt hydrolase activity and cholesterol assimilation of lactic acid bacteria isolated from flowers. J. Appl. Pharm. Sci. 2019, 9, 106–110. [Google Scholar]
  37. Patel, A.K.; Singhania, R.R.; Pandey, A.; Chincholkar, S.B. Probiotic bile salt hydrolase: Current developments and perspectives. Appl. Biochem. Biotechnol. 2009, 162, 166–180. [Google Scholar] [CrossRef]
  38. Prete, R.; Long, S.L.; Gallardo, A.L.; Gahan, C.G.; Corsetti, A.; Joyce, S.A. Beneficial bile acid metabolism from Lactobacillus plantarum of food origin. Sci. Rep. 2020, 10, 1165. [Google Scholar] [CrossRef] [PubMed]
  39. Melgar-Lalanne, G.; Rivera-Espinoza, Y.; Reyes-Méndez, A.I.; Hernández-Sánchez, H. In vitro evaluation of the probiotic potential of halotolerant Lactobacilli isolated from a ripened tropical Mexican cheese. Probiotics Antimicrob. Proteins 2013, 5, 239–251. [Google Scholar] [CrossRef]
  40. Kelesidis, T.; Pothoulakis, C. Efficacy and safety of the probiotic Saccharomyces boulardii for the prevention and therapy of gastrointestinal disorders. Ther. Adv. Gastroenterol. 2012, 5, 11–125. [Google Scholar] [CrossRef]
  41. Khatri, I.; Tomar, R.; Ganesan, K.; Prasad, G.S.; Subramanian, S. Complete genome sequence and comparative genomics of the probiotic yeast Saccharomyces boulardii. Sci. Rep. 2017, 7, 371. [Google Scholar] [CrossRef]
  42. Zubaidy, Z.M.; Khidhr, K.O. Isolation and identification of Saccharomyces cerevisiae var boulardii and its uses as a probiotic (in vitro). Rafidain J. Sci. 2014, 25, 1–11. [Google Scholar]
  43. Girard, P.; Pansart, Y.; Verleye, M. Anti-hypercholesterolemic effect of Saccharomyces boulardii in the Hamster. Pharmacology 2014, 94, 239–244. [Google Scholar] [CrossRef]
  44. Ryan, J.J.; Hanes, D.A.; Schafer, M.B.; Mikolai, J.; Zwickey, H. Effect of the probiotic Saccharomyces boulardii on cholesterol and lipoprotein particles in hypercholesterolemic adults: A single-arm, open-label pilot study. J. Altern. Complement. Med. 2015, 21, 288–293. [Google Scholar] [CrossRef] [PubMed]
  45. Briand, F.; Sulpice, T.; Giammarinaro, P.; Roux, X. Saccharomyces boulardii CNCM I-745 changes lipidemic profile and gut microbiota in a hamster hypercholesterolemic model. Benef. Microbes 2019, 10, 555–567. [Google Scholar] [CrossRef] [PubMed]
Figure 1. Deconjugation reaction of the glycocholic and taurocholic acids by the microbial bile salt hydrolase (BSH) present in the intestinal tract. A similar reaction occurs for the deconjugation of the secondary bile salts (glycodeoxycholic and taurodeoxycholic acids).
Figure 1. Deconjugation reaction of the glycocholic and taurocholic acids by the microbial bile salt hydrolase (BSH) present in the intestinal tract. A similar reaction occurs for the deconjugation of the secondary bile salts (glycodeoxycholic and taurodeoxycholic acids).
Foods 10 00674 g001
Figure 2. Quantitative assay of deconjugated bile acids in the cell-free supernatant from the six probiotic strains cultured at 37 °C for 24 h in MRS broth (YPD broth for SB) separated on HPTLC plates and derivatized with p-anisaldehyde/sulfuric acid. GC, sodium glycocholate; TC, sodium taurocholate; GDC, sodium glycodeoxycholate; TDC, sodium taurodeoxycholate; LDGIA1, Lactobacillus plantarum DGIA1; LfK73, Lactobacillus fermentum K73; Lpl299v, Lactobacillus plantarum 299v; LGG, Lactobacillus rhamnosus GG; LcS, Lactobacillus casei Shirota; SB, Saccharomyces boulardii.
Figure 2. Quantitative assay of deconjugated bile acids in the cell-free supernatant from the six probiotic strains cultured at 37 °C for 24 h in MRS broth (YPD broth for SB) separated on HPTLC plates and derivatized with p-anisaldehyde/sulfuric acid. GC, sodium glycocholate; TC, sodium taurocholate; GDC, sodium glycodeoxycholate; TDC, sodium taurodeoxycholate; LDGIA1, Lactobacillus plantarum DGIA1; LfK73, Lactobacillus fermentum K73; Lpl299v, Lactobacillus plantarum 299v; LGG, Lactobacillus rhamnosus GG; LcS, Lactobacillus casei Shirota; SB, Saccharomyces boulardii.
Foods 10 00674 g002
Table 1. Composition of the optimized developing solvents for the determination of four bile salts by HPTLC.
Table 1. Composition of the optimized developing solvents for the determination of four bile salts by HPTLC.
Bile Saltn-Hexane (%)Methanol (%)Ethyl Acetate:Acetic Acid (10:1) (%)hRf
TC20404078
TDC15355070
GC10405070
GDC30205052
GC, sodium glycocholate; GDC, sodium glycodeoxycholate; TC, sodium taurocholate; TDC, sodium taurodeoxycholate; hRf, retardation factor (100 × Rf) where Rf can be defined as the ratio of the distance traveled by the spot to the distance traveled by the solvent front.
Table 2. BSH activity of probiotic strains grown on bile salt—MRS medium as manifested by the formation of a precipitation zone around the colony. The diameters of the precipitation zones are expressed in mm.
Table 2. BSH activity of probiotic strains grown on bile salt—MRS medium as manifested by the formation of a precipitation zone around the colony. The diameters of the precipitation zones are expressed in mm.
ProbioticSodium Glycocholate Sodium GlycodeoxycholateSodium TaurocholateSodium Taurodeoxycholate
Lb. plantarum 299v1302
Lb. rhamnosus GG0001
Lb.plantarum DGIA13322
Lb.casei Shirota1021
Lb. fermentum K731032
S. boulardii0000
Table 3. Bile salt deconjugation activity (%) of the six strains of probiotics evaluated by HPTLC.
Table 3. Bile salt deconjugation activity (%) of the six strains of probiotics evaluated by HPTLC.
StrainGCGDCTCTDC
Control0 ± 1.20 ± 2.10 ± 1.410 ± 2.3
LcS49 ± 8.1 a100 ± 0 b41 ± 2.25 a18 ± 0.24 c
LDGIA169 ± 2.2 a100 ± 0 b81 ± 0.20 c92 ± 6.45 d
Lfk7361 ± 1.1 a100 ± 0 b24 ± 5.20 c4 ± 2.25 d
LGG63 ± 3.8 a100 ± 0 b24 ± 7.31 c1 ± 1.22 d
Lpl29985 ± 5.2 a100 ± 0 b65 ± 7.26 c31 ± 2.54 d
SB5 ± 3.6 a100 ± 0 b57 ± 1.07 c63 ± 6.01 c
LDGIA1, Lactobacillus plantarum DGIA1; LfK73, Lactobacillus fermentum K73; Lpl299v, Lactobacillus plantarum 299v; LGG, Lactobacillus rhamnosus GG; LcS, Lactobacillus casei Shirota; SB, Saccharomyces boulardii. Results are expressed as mean ± SD, n = 3. a–d Means within a row with different lowercase letters are significantly different (p ≤ 0.05). Uninoculated tubes were used as controls.
Table 4. Comparative values of the deconjugation percentage for sodium glycocholate and taurocholate in different strains of Lactobacillus casei.
Table 4. Comparative values of the deconjugation percentage for sodium glycocholate and taurocholate in different strains of Lactobacillus casei.
Lb. casei StrainGCTCReference
ASCC 15202620.7[23]
ASCC 152179.553.8[23]
ASCC 29068.943.6[25]
E5100.066.7[27]
N1935.725.0[27]
Shirota49 ± 8.141 ± 2.25This study
Publisher’s Note: MDPI stays neutral with regard to jurisdictional claims in published maps and institutional affiliations.

Share and Cite

MDPI and ACS Style

Hernández-Gómez, J.G.; López-Bonilla, A.; Trejo-Tapia, G.; Ávila-Reyes, S.V.; Jiménez-Aparicio, A.R.; Hernández-Sánchez, H. In Vitro Bile Salt Hydrolase (BSH) Activity Screening of Different Probiotic Microorganisms. Foods 2021, 10, 674. https://doi.org/10.3390/foods10030674

AMA Style

Hernández-Gómez JG, López-Bonilla A, Trejo-Tapia G, Ávila-Reyes SV, Jiménez-Aparicio AR, Hernández-Sánchez H. In Vitro Bile Salt Hydrolase (BSH) Activity Screening of Different Probiotic Microorganisms. Foods. 2021; 10(3):674. https://doi.org/10.3390/foods10030674

Chicago/Turabian Style

Hernández-Gómez, Jimmy G., Argelia López-Bonilla, Gabriela Trejo-Tapia, Sandra V. Ávila-Reyes, Antonio R. Jiménez-Aparicio, and Humberto Hernández-Sánchez. 2021. "In Vitro Bile Salt Hydrolase (BSH) Activity Screening of Different Probiotic Microorganisms" Foods 10, no. 3: 674. https://doi.org/10.3390/foods10030674

APA Style

Hernández-Gómez, J. G., López-Bonilla, A., Trejo-Tapia, G., Ávila-Reyes, S. V., Jiménez-Aparicio, A. R., & Hernández-Sánchez, H. (2021). In Vitro Bile Salt Hydrolase (BSH) Activity Screening of Different Probiotic Microorganisms. Foods, 10(3), 674. https://doi.org/10.3390/foods10030674

Note that from the first issue of 2016, this journal uses article numbers instead of page numbers. See further details here.

Article Metrics

Back to TopTop