Antiproliferative Rapeseed Defatted Meal Protein and Their Hydrolysates on MCF-7 Breast Cancer Cells and Human Fibroblasts
Abstract
:1. Introduction
2. Materials and Methods
2.1. Raw Materials
2.2. Defatted Rapeseed Meal Characterization
2.3. Obtaining of Protein Isolate (RPI)
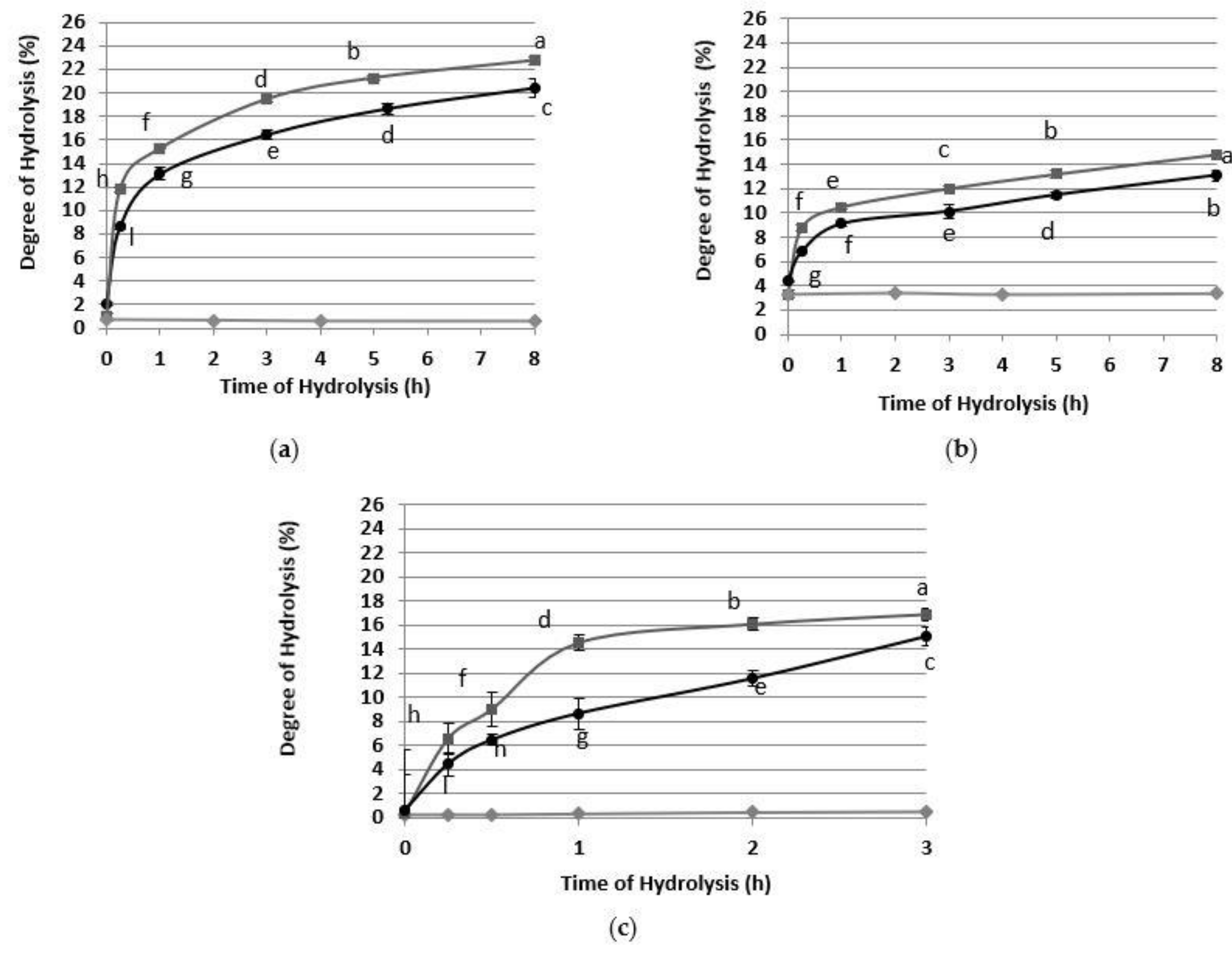
2.4. Enzymatic Hydrolysis
2.5. Antiproliferative Activity
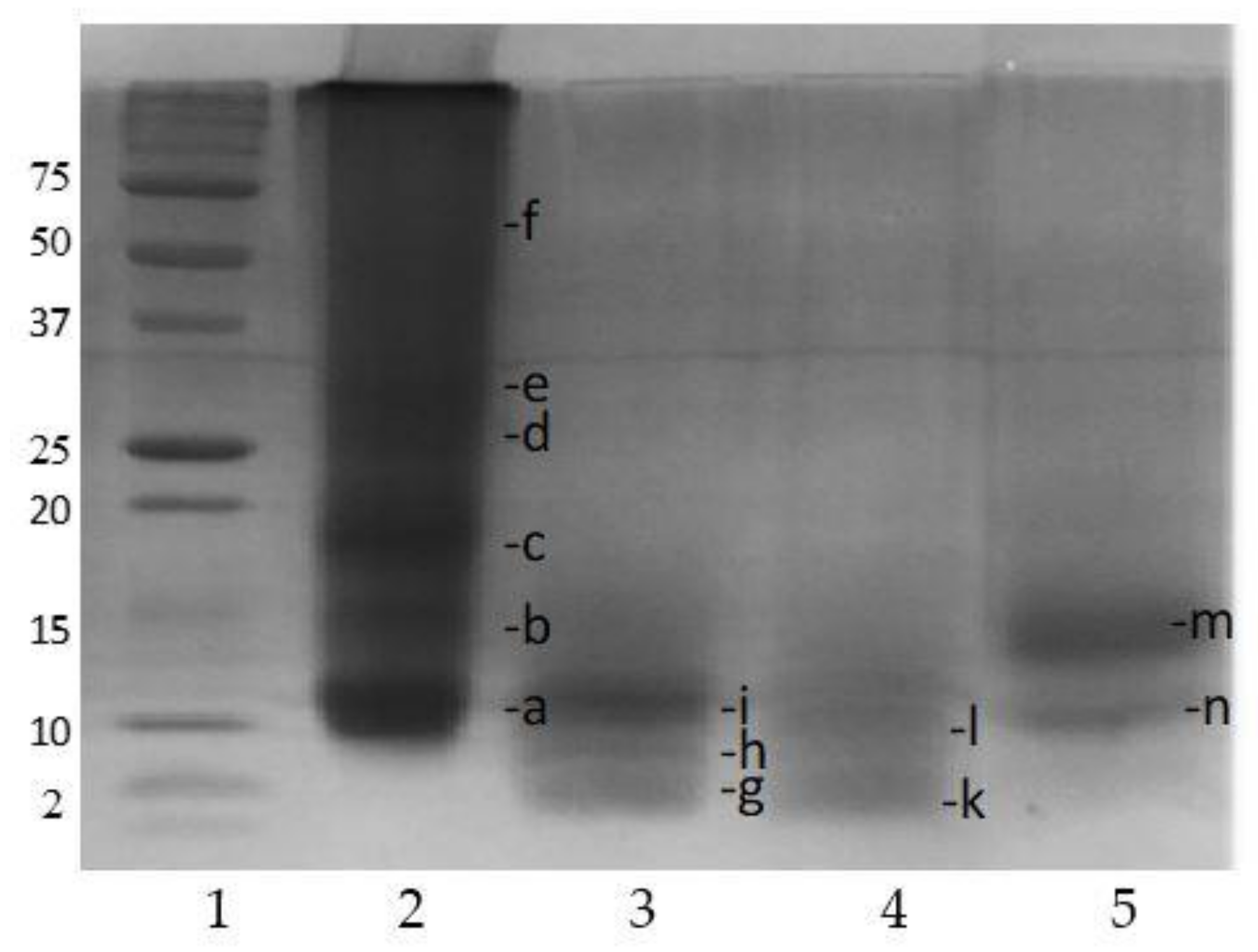
2.6. SDS-PAGE Analysis
2.7. Membrane Separation
2.8. Statistical Analysis
3. Results
3.1. Process Mass Balance and Characterization of the Recovered Extracts
3.2. Protein Hydrolysates Production
3.3. Inhibition of MCF-7 and Human Fibroblasts Proliferation by the Protein Hydrolysates
3.3.1. Inhibition of MCF-7 and Human Fibroblasts Proliferation by the Protein Hydrolysates Obtained with Alkalase 2.4 L from RPI and RAE
3.3.2. Inhibition of MCF-7 and Human Fibroblasts’ Proliferation by the Protein Hydrolysates Obtained with Alkalase 2.4 L from DRM
3.4. Effect of the Type of Hydrolysate Obtained from RPI with Commercial Proteases on Cell Inhibition on MCF-7 and Human Fibroblast
3.5. Characterization of Protein Extracts Obtained with Alkalase 2.4 L by SDS-PAGE Electrophoresis
3.6. Effect of the Mean Size of the Protein Extract RPI (DH1) on the Cellular Inhibition of MCF-7 Cells
4. Conclusions
Author Contributions
Funding
Informed Consent Statement
Data Availability Statement
Acknowledgments
Conflicts of Interest
References
- Bray, F.; Ferlay, J.; Soerjomataram, I. Global Cancer Statistics 2018: GLOBOCAN Estimates of Incidence and Mortality Worldwide for 36 Cancers in 185 Countries. CA Cancer J. Clin. 2018, 68, 394–424. [Google Scholar]
- Nwachukwu, I.D.; Aluko, R.E. Anticancer and antiproliferative properties of food-derived protein hydrolysates and peptides. J. Food Bioact. 2019, 7, 18–26. [Google Scholar]
- Daliri, E.B.-M.; Oh, D.H.; Lee, B.H. Bioactive Peptides. Foods 2017, 6, 32. [Google Scholar] [CrossRef]
- Hsu, K.C.; Li-Chan, E.C.Y.; Jao, C.L. Antiproliferative activity of peptides prepared from enzymatic hydrolysates of tuna dark muscle on human breast cancer cell line MCF-7. Food Chem. 2011, 126, 617–622. [Google Scholar]
- Wang, L.; Zhang, J.; Qiang, Y.; Xie, H.; Shi, J.; Ju, X. Separation and purification of an anti-tumor peptide from rapeseed (Brassica campestris L.) and the effect on cell apoptosis. Food Funct. 2016, 7, 2239–2248. [Google Scholar]
- Chen, Z.; Li, W.; Santhanam, R.K.; Wang, C.; Gao, X.; Chen, Y.; Wang, C.; Xu, L.; Chen, H. Bioactive peptide with antioxidant and anticancer activities from black soybean [Glycine max (L.) Merr.] by-product: Isolation, identification and molecular docking study. Eur. Food Res. Technol. 2018, 245, 677–689. [Google Scholar]
- Wang, Z.; Zhang, X. Isolation and identification of antiproliferative peptides from Spirulina platensis using three-step hydrolysis. J. Sci. Food Agric. 2017, 97, 918–922. [Google Scholar]
- Xue, Z.; Wen, H.; Zhai, L.; Yu, Y.; Li, Y.; Yu, W.; Cheng, A.; Wang, C.; Kou, X. Antioxidant activity and antiproliferative effect of a bioactive peptide from chickpea (Cicer arietinum L.). Food Res. Int. 2015, 77, 75–81. [Google Scholar]
- Chatterjee, C.; Gleddie, S.; Xiao, C.W. Soybean bioactive peptides and their functional properties. Nutrients 2018, 10, 8–11. [Google Scholar]
- Hajirostamloo, B. Bioactive component in milk and dairy product. World Acad. Sci. Eng. Technol. 2010, 72, 162–166. [Google Scholar]
- Bhutia, S.K.; Mallick, S.K.; Maiti, T.K. In vitro immunostimulatory properties of Abrus lectins derived peptides in tumor bearing mice. Phytomedicine 2009, 16, 776–782. [Google Scholar]
- Ivanova, P.; Kalaydzhiev, H.; Rustad, T.; Silva, C.L.M.; Chalova, V.I. Comparative biochemical profile of protein-rich products obtained from industrial rapeseed meal. Emir. J. Food Agric. 2017, 29, 170–178. [Google Scholar]
- Shahid, M.; Cai, G.; Zu, F.; Zhao, Q.; Qasim, M.; Hong, Y.; Fan, C.; Zhou, Y. Comparative Transcriptome Analysis of Developing Seeds and Silique Wall Reveals Dynamic Transcription Networks for Effective Oil Production in Brassica napus L. Int. J. Mol. Sci. 2019, 20, 1982. [Google Scholar]
- Kalaydzhiev, H.; Ivanova, P.; Stoyanova, M.; Pavlov, A.; Rustad, T.; Silva, C.L.M.; Chalova, V.I. Valorization of Rapeseed Meal: Influence of Ethanol Antinutrients Removal on Protein Extractability, Amino Acid Composition and Fractional Profile. Waste Biomass Valoriz. 2019, 11, 2709–2719. [Google Scholar]
- Wanasundara, J.P.D.; Tan, S.; Alashi, A.M.; Pudel, F.; Blanchard, C. Proteins From Canola/Rapeseed: Current Status. In Sustainable Protein Sources; Academic Press: Cambridge, MA, USA, 2017. [Google Scholar]
- Xue, Z.; Yu, W.; Liu, Z.; Wu, M.; Kou, X.; Wang, J. Preparation and antioxidative properties of a rapeseed (Brassica napus) protein hydrolysate and three peptide fractions. J. Agric. Food Chem. 2009, 57, 5287–5293. [Google Scholar]
- Xie, H.; Wang, Y.; Zhang, J.; Chen, J.; Wu, D.; Wang, L. Study of the fermentation conditions and the antiproliferative activity of rapeseed peptides by bacterial and enzymatic cooperation. Int. J. Food Sci. Technol. 2015, 50, 619–625. [Google Scholar]
- Valencia, P.; Pinto, M.; Almonacid, S. Identification of the key mechanisms involved in the hydrolysis of fish protein by Alcalase. Process Biochem. 2014, 49, 258–264. [Google Scholar]
- AOAC. AOAC: Official Methods of Analysis; AOAC: Rockville, MD, USA, 1990; Volume 1. [Google Scholar]
- Tkachuk, R. Nitrogen to protein conversion factors for Cereals and Oilseed meals. Cereal Chem. 1969, 46, 419–423. [Google Scholar]
- Akbari, A.; Wu, J. An integrated method of isolating napin and cruciferin from defatted canola meal. LWT Food Sci. Technol. 2015, 64, 308–315. [Google Scholar]
- Nielsen, P.M.; Petersen, D.; Dambmann, C. Improved method for determining food protein degree of hydrolysis. J. Food Sci. 2001, 66, 642–646. [Google Scholar]
- Skehan, P.; Storeng, R.; Scudiero, D.; Monks, A.; Vistica, D.; Warren, J.T.; Bokesch, H.; Boyd, M.R. New Colorimetric Cytotoxicity Assay for anticancer-drug screening. JNCI J. Natl. Cancer Inst. 1990, 82, 1107–1112. [Google Scholar]
- Neuhoff, V.; Arold, N.; Taube, D.; Ehrhardt, W. Improved staining of proteins in polyacrylamide gels including isoelectric focusing gels with clear background at nanogram sensitivity using Coomassie Brilliant Blue G-250 and R-250. Electrophoresis 1988, 9, 255–262. [Google Scholar]
- Laemmli, U. Cleavage of Structural Proteins during the Assembly of the Head of Bacteriophage T4; Nature Publishing Group: Berlin, Germany, 1970; Volume 228, pp. 726–734. [Google Scholar]
- Gerzhova, A.; Mondor, M.; Benali, M.; Aider, M. Study of total dry matter and protein extraction from canola meal as affected by the pH, salt addition and use of zeta-potential/turbidimetry analysis to optimize the extraction conditions. Food Chem. 2016, 201, 243–252. [Google Scholar]
- Tan, S.H.; Mailer, R.J.; Blanchard, C.L.; Agboola, S.O. Extraction and characterization of protein fractions from Australian canola meals. Food Res. Int. 2011, 44, 1075–1082. [Google Scholar]
- Pedroche, J.; Yust, M.M.; Lqari, H.; Girón-Calle, J.; Alaiz, M.; Vioque, J.; Millán, F. Brassica carinata protein isolates: Chemical composition, protein characterization and improvement of functional properties by protein hydrolysis. Food Chem. 2004, 88, 337–346. [Google Scholar]
- Sari, Y.W.; Syafitri, U.; Sanders, J.P.M.; Bruins, M.E. How biomass composition determines protein extractability. Ind. Crops Prod. 2015, 70, 125–133. [Google Scholar]
- Das Purkayastha, M.; Mahanta, C.L. Statistically designed optimal process conditions for recuperation of protein from rapeseed meal. J. Food Sci. Technol. 2015, 52, 3203–3218. [Google Scholar]
- Gupta, N.; Bhagyawant, S.S. Enzymatic treatment improves ACE-I inhibiton and antiproliferative potential of chickpea. Vegetos 2019, 32, 363–369. [Google Scholar]
- He, R.; Malomo, S.A.; Alashi, A.; Girgih, A.T.; Ju, X.; Aluko, R.E. Purification and hypotensive activity of rapeseed protein-derived renin and angiotensin converting enzyme inhibitory peptides. J. Funct. Foods 2013, 5, 781–789. [Google Scholar]
- Jamuna, K.S.; Suma, M.S.; Ramesh, C.K.; Mahmood, R.; Nanjundaswamy, L. Studies on in vitro antiproliferative activities in Cruciferae vegetables. J. Appl. Hortic. 2017, 19, 1–5. [Google Scholar]
- Xue, Z.; Liu, Z.; Wu, M.; Zhuang, S.; Yu, W. Effect of rapeseed peptide on DNA damage and apoptosis in Hela cells. Exp. Toxicol. Pathol. 2010, 62, 519–523. [Google Scholar]
- Rodrigues, E.G.; Dobroff, A.S.; Taborda, C.P.; Travassos, L.R. Antifungal and antitumor models of bioactive protective peptides. An. Acad. Bras. Cienc. 2009, 81, 503–520. [Google Scholar]
- Chi, C.F.; Hu, F.Y.; Wang, B.; Li, T.; Ding, G.F. Antioxidant and anticancer peptides from the protein hydrolysate of blood clam (Tegillarca granosa) muscle. J. Funct. Foods 2015, 15, 301–313. [Google Scholar]
- Cobs-Rosas, M.; Concha-Olmos, J.; Weinstein-Oppenheimer, C.; Zúñiga-Hansen, M.E. Assessment of antiproliferative activity of pectic substances obtained by different extraction methods from rapeseed cake on cancer cell lines. Carbohydr. Polym. 2015, 117, 923–932. [Google Scholar]
- Kim, S.M. Antioxidant and anticancer activities of enzymatic hydrolysates of solitary tunicate (Styela clava). Food Sci. Biotechnol. 2011, 20, 1075–1085. [Google Scholar]
- Wu, J.; Muir, A.D. Comparative structural, emulsifying, and biological properties of 2 major canola proteins, cruciferin and napin. J. Food Sci. 2008, 73, C210–C216. [Google Scholar]
- Zheng, Q.; Qiu, D.; Liu, X.; Zhang, L.; Cai, S.; Zhang, X. Antiproliferative effect of Dendrobium catenatum Lindley polypeptides on human liver, gastric and breast cancer cell lines. Food Funct. 2015, 6, 1489–1495. [Google Scholar]
- Ortiz-Martinez, M.; Gonzalez de Mejia, E.; García-Lara, S.; Aguilar, O.; Lopez-Castillo, L.M.; Otero-Pappatheodorou, J.T. Antiproliferative effect of peptide fractions isolated from a quality protein maize, a white hybrid maize, and their derived peptides on hepatocarcinoma human HepG2 cells. J. Funct. Foods 2017, 34, 36–48. [Google Scholar]
- Li-Chan, E.C.Y. Bioactive peptides and protein hydrolysates: Research trends and challenges for application as nutraceuticals and functional food ingredients. Curr. Opin. Food Sci. 2015, 1, 28–37. [Google Scholar]







| Component | DRM | RAE | MR | RPI | SA |
|---|---|---|---|---|---|
| Total solid (g) | 100 | 54.8 ± 4.2 | 51.2 ± 2.3 | 21.5 ± 0.6 | 33.2 ± 2.2 |
| Humidity (g) | 6.0 ± 0.3 | - | - | - | - |
| Crude protein (g) | 30.6 ± 1.5 | 23.4 ± 2.7 | 7.2 ± 2.1 | 15.5 ± 1.5 | 7.9 ± 2.4 |
| Ash (g) | 6.0 ± 0.0 | 12.8 ± 0.5 | 5.2 ± 0.1 | 1.7 ± 0.4 | 11.1 ± 0.1 |
| Crude fiber (g) | 10.3 ± 1.5 | 2.5 * | 7.8 ± 0.4 | - | - |
| Crude fat (g) | 0.3 ± 0.0 | - | - | - | - |
| Nitrogen free extract (g) | 46.8 ± 1.0 | 15.7 * | 31.1 ± 1.1 | - | - |
| Total Solid (mg) | Protein (mg) | Protein (% w/w) a | Protein (% w/w) b | |
|---|---|---|---|---|
| Fraction I (>10 kDa) | 633.6 ± 6.8 | 455.8 ± 5.2 | 46.6 | 71.9 |
| Fraction II (3–10 kDa) | 422.3 ± 5.8 | 354.8 ± 6.6 | 36.3 | 84.0 |
| Fraction III (<3 kDa) | 243.8 ± 7.5 | 168.1 ± 6.1 | 17.2 | 68.9 |
Publisher’s Note: MDPI stays neutral with regard to jurisdictional claims in published maps and institutional affiliations. |
© 2021 by the authors. Licensee MDPI, Basel, Switzerland. This article is an open access article distributed under the terms and conditions of the Creative Commons Attribution (CC BY) license (http://creativecommons.org/licenses/by/4.0/).
Share and Cite
Ferrero, R.L.; Soto-Maldonado, C.; Weinstein-Oppenheimer, C.; Cabrera-Muñoz, Z.; Zúñiga-Hansen, M.E. Antiproliferative Rapeseed Defatted Meal Protein and Their Hydrolysates on MCF-7 Breast Cancer Cells and Human Fibroblasts. Foods 2021, 10, 309. https://doi.org/10.3390/foods10020309
Ferrero RL, Soto-Maldonado C, Weinstein-Oppenheimer C, Cabrera-Muñoz Z, Zúñiga-Hansen ME. Antiproliferative Rapeseed Defatted Meal Protein and Their Hydrolysates on MCF-7 Breast Cancer Cells and Human Fibroblasts. Foods. 2021; 10(2):309. https://doi.org/10.3390/foods10020309
Chicago/Turabian StyleFerrero, Romina L., Carmen Soto-Maldonado, Caroline Weinstein-Oppenheimer, Zaida Cabrera-Muñoz, and María Elvira Zúñiga-Hansen. 2021. "Antiproliferative Rapeseed Defatted Meal Protein and Their Hydrolysates on MCF-7 Breast Cancer Cells and Human Fibroblasts" Foods 10, no. 2: 309. https://doi.org/10.3390/foods10020309
APA StyleFerrero, R. L., Soto-Maldonado, C., Weinstein-Oppenheimer, C., Cabrera-Muñoz, Z., & Zúñiga-Hansen, M. E. (2021). Antiproliferative Rapeseed Defatted Meal Protein and Their Hydrolysates on MCF-7 Breast Cancer Cells and Human Fibroblasts. Foods, 10(2), 309. https://doi.org/10.3390/foods10020309

