New Processes to Extract and Purify Phosvitin by Using Aqueous Salt Solutions, Precipitation and Ultrafiltration Techniques
Abstract
1. Introduction
2. Materials and Methods
2.1. Extraction of the PRF
2.2. Effect of Desalting pH on the Phosvitin Purity Obtained
2.3. Purification of Phosvitin from PRF by Ultrafiltration
2.4. Chemical Analysis
2.5. Anion Exchange Chromatography
2.6. SDS-PAGE Analysis
2.7. Statistical Analysis
3. Results and Discussion
3.1. Preparation of a Phosvitin-Rich Fraction (PRF)
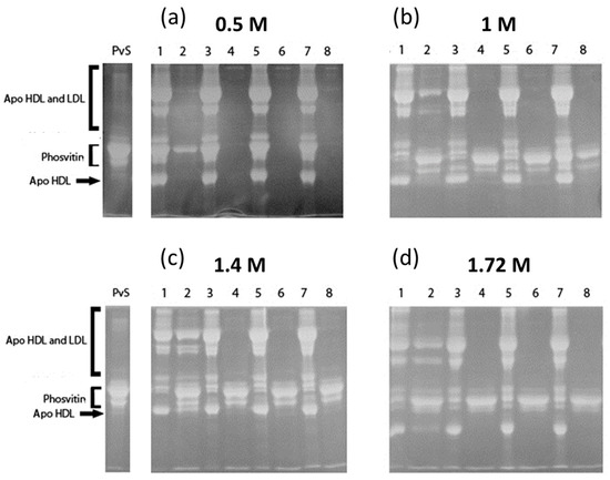
3.2. Effect of Desalting pH on the Purity of the Phosvitin Obtained
3.3. Purification of Phosvitin from PRF by Ultrafiltration
3.4. Evaluation of the Purity of the Phosvitin Extracted and Purified
3.4.1. Anion Exchange Chromatography Analysis
3.4.2. Electrophoresis Analysis
3.4.3. N/P Atomic Ratio
4. Conclusions
Author Contributions
Funding
Data Availability Statement
Conflicts of Interest
References
- Zu, Y.; Zhang, Y.; Zhao, X.; Shan, C.; Zu, S.; Wang, K.; Li, Y.; Ge, Y. Preparation and Characterization of Chitosan-Polyvinyl Alcohol Blend Hydrogels for the Controlled Release of Nano-Insulin. Int. J. Biol. Macromol. 2012, 50, 82–87. [Google Scholar] [CrossRef] [PubMed]
 - Burley, R.W.; Cook, W.H. Isolation and composition of avian egg yolk granules and their constituent α- and β-lipovitellins. Can. J. Biochem. Physiol. 1961, 39, 1295–1307. [Google Scholar] [CrossRef] [PubMed]
 - Causeret, D.; Matringe, E.; Lorient, D. Ionic Strength and pH Effects on Composition and Microstructure of Yolk Granules. J. Food Sci. 1991, 56, 1532–1536. [Google Scholar] [CrossRef]
 - Kamat, V.B.; Lawrence, G.A.; Barratt, M.D.; Darke, A.; Leslie, R.B.; Shipley, G.G.; Stubbs, J.M. Physical Studies of Egg Yolk Low Density Lipoprotein. Chem. Phys. Lipids 1972, 9, 1–25. [Google Scholar] [CrossRef]
 - Laca, A.; Paredes, B.; Díaz, M. A Method of Egg Yolk Fractionation. Characterization of Fractions. Food Hydrocoll. 2010, 24, 434–443. [Google Scholar] [CrossRef]
 - Wallace, R.A.; Morgan, J.P. Chromatographic Resolution of Chicken Phosvitin. Multiple Macromolecular Species in a Classic Vitellogenin-Derived Phosphoprotein. Biochem. J. 1986, 240, 871–878. [Google Scholar] [CrossRef]
 - Taborsky, G.; Mok, C.C. Phosvitin. Homogeneity and Molecular Weight. J. Biol. Chem. 1967, 242, 1495–1501. [Google Scholar] [CrossRef]
 - Anton, M.; Castellani, O.; Guérin-Dubiard, C. Phosvitin. In Bioactive Egg Compounds; Huopalahti, R., López-Fandiño, R., Anton, M., Schade, R., Eds.; Springer: Berlin/Heidelberg, Germany, 2007; pp. 17–24. ISBN 978-3-540-37885-3. [Google Scholar]
 - Itoh, T.; Kubo, M.; Adachi, S. Isolation and Characterization of Major Apoproteins from Hen’s Egg Yolk Granule. J. Food Sci. 1986, 51, 1115–1117. [Google Scholar] [CrossRef]
 - Lu, C.-L.; Baker, R.C. Characteristics of Egg Yolk Phosvitin as an Antioxidant for Inhibiting Metal-Catalyzed Phospholipid Oxidations. Poult. Sci. 1986, 65, 2065–2070. [Google Scholar] [CrossRef]
 - Ishikawa, S.I.; Tamaki, S.; Arihara, K.; Itoh, M. Egg Yolk Protein and Egg Yolk Phosvitin Inhibit Calcium, Magnesium, and Iron Absorptions in Rats. J. Food Sci. 2007, 72, S412–S419. [Google Scholar] [CrossRef]
 - Chung, S.L.; Ferrier, L.K. Conditions Affecting Emulsifying Properties of Egg Yolk Phosvitin. J. Food Sci. 1991, 56, 1259–1262. [Google Scholar] [CrossRef]
 - Sattar Khan, M.A.; Babiker, E.E.; Azakami, H.; Kato, A. Effect of Protease Digestion and Dephosphorylation on High Emulsifying Properties of Hen Egg Yolk Phosvitin. J. Agric. Food Chem. 1998, 46, 4977–4981. [Google Scholar] [CrossRef]
 - Marcet, I.; Sáez-Orviz, S.; Rendueles, M.; Díaz, M. Egg Yolk Granules and Phosvitin. Recent Advances in Food Technology and Applications. LWT 2022, 153, 112442. [Google Scholar] [CrossRef]
 - Belhomme, C.; David-Briand, E.; Ropers, M.-H.; Guérin-Dubiard, C.; Anton, M. Interfacial Characteristics of Spread Films of Hen Egg Yolk Phosvitin at the Air–Water Interface: Interrelation with Its Charge and Aggregation State. Food Hydrocoll. 2007, 21, 896–905. [Google Scholar] [CrossRef]
 - Joubert, F.J.; Cook, W.H. Separation and Characterization of Lipovitellin from Hen Egg Yolk. Can. J. Biochem. Physiol. 1958, 36, 389–398. [Google Scholar] [CrossRef] [PubMed]
 - Mecham, D.K.; Olcott, H.S. Phosvitin, the Principal Phosphoprotein of Egg Yolk. J. Am. Chem. Soc. 1949, 71, 3670–3679. [Google Scholar] [CrossRef]
 - Sundararajan, T.A.; Sampath Kumar, K.S.V.; Sarma, P.S. A Simplified Procedure for the Preparation of Phosvitin and Vitellin. Biochim. Biophys. Acta 1960, 38, 360–362. [Google Scholar] [CrossRef]
 - Wallace, R.A.; Morgan, J.P. Isolation of Phosvitin: Retention of Small Molecular Weight Species and Staining Characteristics on Electrophoretic Gels. Anal. Biochem. 1986, 157, 256–261. [Google Scholar] [CrossRef]
 - Castellani, O.; Martinet, V.; David-Briand, E.; Guérin-Dubiard, C.; Anton, M. Egg Yolk Phosvitin: Preparation of Metal-Free Purified Protein by Fast Protein Liquid Chromatography Using Aqueous Solvents. J. Chromatogr. B 2003, 791, 273–284. [Google Scholar] [CrossRef]
 - Lei, B.; Wu, J. Purification of Egg Yolk Phosvitin by Anion Exchange Chromatography. J. Chromatogr. A 2012, 1223, 41–46. [Google Scholar] [CrossRef]
 - Zhang, X.; Qiu, N.; Geng, F.; Ma, M. Simply and Effectively Preparing High-Purity Phosvitin Using Polyethylene Glycol and Anion-Exchange Chromatography. J. Sep. Sci. 2011, 34, 3295–3301. [Google Scholar] [CrossRef]
 - Jung, S.; Ahn, D.U.; Nam, K.C.; Kim, H.J.; Jo, C. Separation of Phosvitin from Egg Yolk without Using Organic Solvents. Asian-Australas. J. Anim. Sci. 2013, 26, 1622–1629. [Google Scholar] [CrossRef]
 - Guilmineau, F.; Krause, I.; Kulozik, U. Efficient Analysis of Egg Yolk Proteins and Their Thermal Sensitivity Using Sodium Dodecyl Sulfate Polyacrylamide Gel Electrophoresis under Reducing and Nonreducing Conditions. J. Agric. Food Chem. 2005, 53, 9329–9336. [Google Scholar] [CrossRef]
 - Dixon, D.K.; Cotterill, O.J. Electrophoretic and Chromatographic Changes in Egg Yolk Proteins Due to Heat. J. Food Sci. 1981, 46, 981–983. [Google Scholar] [CrossRef]
 - Anton, M. Composition and Structure of Hen Egg Yolk. In Bioactive Egg Compounds; Huopalahti, R., López-Fandiño, R., Anton, M., Schade, R., Eds.; Springer: Berlin/Heidelberg, Germany, 2007; pp. 1–6. ISBN 978-3-540-37885-3. [Google Scholar]
 - Anton, M. High-Density Lipoproteins (HDL) or Lipovitellin Fraction. In Bioactive Egg Compounds; Huopalahti, R., López-Fandiño, R., Anton, M., Schade, R., Eds.; Springer: Berlin/Heidelberg, Germany, 2007; pp. 13–16. ISBN 978-3-540-37885-3. [Google Scholar]
 - Ito, Y.; Tatsuzo, F. Chemical Composition of the Egg-Yolk Lipoproteins. J. Biochem. 1962, 52, 221–222. [Google Scholar] [CrossRef]
 - Evans, A.J.; Burley, R.W. Proteolysis of Apoprotein B during the Transfer of Very Low Density Lipoprotein from Hens’ Blood to Egg Yolk. J. Biol. Chem. 1987, 262, 501–504. [Google Scholar] [CrossRef]
 - Cheang, B.; Zydney, A.L. A Two-Stage Ultrafiltration Process for Fractionation of Whey Protein Isolate. J. Membr. 2004, 231, 159–167. [Google Scholar] [CrossRef]
 - Datta, D.; Bhattacharjee, S.; Nath, A.; Das, R.; Bhattacharjee, C.; Datta, S. Separation of Ovalbumin from Chicken Egg White Using Two-Stage Ultrafiltration Technique. Sep. Purif. Technol. 2009, 66, 353–361. [Google Scholar] [CrossRef]
 - Ghosh, R.; Silva, S.S.; Cui, Z. Lysozyme Separation by Hollow-Fibre Ultrafiltration. Biochem. Eng. J. 2000, 6, 19–24. [Google Scholar] [CrossRef]
 - Le Denmat, M.; Anton, M.; Beaumal, V. Characterisation of Emulsion Properties and of Interface Composition in O/W Emulsions Prepared with Hen Egg Yolk, Plasma and Granules. Food Hydrocoll. 2000, 14, 539–549. [Google Scholar] [CrossRef]
 - Chay Pak Ting, B.P.; Pouliot, Y.; Juneja, L.R.; Okubo, T.; Gauthier, S.F.; Mine, Y. On the Use of Ultrafiltration for the Concentration and Desalting of Phosvitin from Egg Yolk Protein Concentrate. Int. J. Food Sci. Technol. 2010, 45, 1633–1640. [Google Scholar] [CrossRef]
 - Goswami, D.; Dhandhukia, P.; Patel, P.; Thakker, J.N. Screening of PGPR from Saline Desert of Kutch: Growth Promotion in Arachis Hypogea by Bacillus Licheniformis A2. Microbiol. Res. 2014, 169, 66–75. [Google Scholar] [CrossRef]
 - Laemmli, U.K. Cleavage of Structural Proteins during the Assembly of the Head of Bacteriophage T4. Nature 1970, 227, 680–685. [Google Scholar] [CrossRef]
 - Samaraweera, H.; Zhang, W.; Lee, E.J.; Ahn, D.U. Egg Yolk Phosvitin and Functional Phosphopeptides—Review. J. Food Sci. 2011, 76, R143–R150. [Google Scholar] [CrossRef]
 - Lee, H.Y.; Abeyrathne, E.D.N.S.; Choi, I.; Suh, J.W.; Ahn, D.U. Sequential Separation of Immunoglobulin Y and Phosvitin from Chicken Egg Yolk without Using Organic Solvents. Poult. Sci. 2014, 93, 2668–2677. [Google Scholar] [CrossRef]
 - Ko, K.Y.; Nam, K.C.; Jo, C.; Lee, E.J.; Ahn, D.U. A Simple and Efficient Method for Preparing Partially Purified Phosvitin from Egg Yolk Using Ethanol and Salts. Poult. Sci. 2011, 90, 1096–1104. [Google Scholar] [CrossRef]
 - Taborsky, G. Optical Rotatory Dispersion and Circular Dichroism of Phosvitin at Low PH. Reversible Transition between Unordered Conformation and Beta Structure. J. Biol. Chem. 1968, 243, 6014–6020. [Google Scholar] [CrossRef]
 - Renugopalakrishnan, V.; Horowitz, P.M.; Glimcher, M.J. Structural Studies of Phosvitin in Solution and in the Solid State. J. Biol. Chem. 1985, 260, 11406–11413. [Google Scholar] [CrossRef]
 - Taborsky, G. Phosphoproteins. In Advances in Protein Chemistry; Anfinsen, C.B., Edsall, J.T., Richards, F.M., Eds.; Academic Press: Cambridge, MA, USA, 1974; Volume 28, pp. 1–210. [Google Scholar]
 - Ren, J.; Wu, J. Preparation of High Purity Egg Phosvitin Using Anion Exchange Chromatography. Food Chem. 2014, 158, 186–191. [Google Scholar] [CrossRef]
 - Salgın, S.; Salgın, U.; Soyer, N. Streaming Potential Measurements of Polyethersulfone Ultrafiltration Membranes to Determine Salt Effects on Membrane Zeta Potential. Int. J. Electrochem. Sci. 2013, 8, 4073–4084. [Google Scholar] [CrossRef]
 - Ternes, W. Characterization of Water Soluble Egg Yolk Proteins with Isoelectric Focusing. J. Food Sci. 1989, 54, 764–765. [Google Scholar] [CrossRef]
 - Persson, A.; Jönsson, A.-S.; Zacchi, G. Transmission of BSA during Cross-Flow Microfiltration: Influence of PH and Salt Concentration. J. Membr. 2003, 223, 11–21. [Google Scholar] [CrossRef]
 - Le Denmat, M.; Anton, M.; Gandemer, G. Protein Denaturation and Emulsifying Properties of Plasma and Granules of Egg Yolk as Related to Heat Treatment. J. Food Sci. 1999, 64, 194–197. [Google Scholar] [CrossRef]
 - Tsutsui, T.; Obara, T. Hydrophobic Components in Delipidated Granule of Egg Yolk. Chem. Biol. Technol. Agric. 1982, 46, 2587–2589. [Google Scholar]
 - Yang, S.-S.; Cotterill, O.J. Physical and Functional Properties of 10% Salted Egg Yolk in Mayonnaise. J. Food Sci. 1989, 54, 210–213. [Google Scholar] [CrossRef]
 







| Method | N/P | Phosvitin Recovery  (100 g Dry Egg Yolk)  | 
|---|---|---|
| Lei and Wu [21] | 2.5 ± 0.3 | 2.5 g | 
| Wallace and Morgan [19] | 3.34 | 0.6 g | 
| a Castellani et al. [20] | 2.63 ± 0.07 | 1.7 g | 
| PRF (our procedure) | 3.6 ± 0.2 | 2.4 g | 
| Pd3.0 (our procedure) | 2.5 ± 0.1 | 1.1 g | 
| UF (our procedure) | 2.5 ± 0.1 | 0.9 g | 
Disclaimer/Publisher’s Note: The statements, opinions and data contained in all publications are solely those of the individual author(s) and contributor(s) and not of MDPI and/or the editor(s). MDPI and/or the editor(s) disclaim responsibility for any injury to people or property resulting from any ideas, methods, instructions or products referred to in the content.  | 
© 2023 by the authors. Licensee MDPI, Basel, Switzerland. This article is an open access article distributed under the terms and conditions of the Creative Commons Attribution (CC BY) license (https://creativecommons.org/licenses/by/4.0/).
Share and Cite
Marcet, I.; Ridella, F.; Díaz, M.; Rendueles, M. New Processes to Extract and Purify Phosvitin by Using Aqueous Salt Solutions, Precipitation and Ultrafiltration Techniques. Separations 2023, 10, 407. https://doi.org/10.3390/separations10070407
Marcet I, Ridella F, Díaz M, Rendueles M. New Processes to Extract and Purify Phosvitin by Using Aqueous Salt Solutions, Precipitation and Ultrafiltration Techniques. Separations. 2023; 10(7):407. https://doi.org/10.3390/separations10070407
Chicago/Turabian StyleMarcet, Ismael, Florencia Ridella, Mario Díaz, and Manuel Rendueles. 2023. "New Processes to Extract and Purify Phosvitin by Using Aqueous Salt Solutions, Precipitation and Ultrafiltration Techniques" Separations 10, no. 7: 407. https://doi.org/10.3390/separations10070407
APA StyleMarcet, I., Ridella, F., Díaz, M., & Rendueles, M. (2023). New Processes to Extract and Purify Phosvitin by Using Aqueous Salt Solutions, Precipitation and Ultrafiltration Techniques. Separations, 10(7), 407. https://doi.org/10.3390/separations10070407
        
