Next Issue
Volume 155, 01
Previous Issue
Volume 155, 01
 
 
Swiss Archives of Neurology, Psychiatry and Psychotherapy is published by MDPI from Volume 176 Issue 1 (2026). Previous articles were published by another publisher in Open Access under a CC-BY (or CC-BY-NC-ND) licence, and they are hosted by MDPI on mdpi.com as a courtesy and upon agreement with the previous journal publisher.

Swiss Arch. Neurol. Psychiatry Psychother., Volume 155, Issue 7 (01 2004) – 9 articles , Pages 297-364

  • Issues are regarded as officially published after their release is announced to the table of contents alert mailing list.
  • You may sign up for e-mail alerts to receive table of contents of newly released issues.
  • PDF is the official format for papers published in both, html and pdf forms. To view the papers in pdf format, click on the "PDF Full-text" link, and use the free Adobe Reader to open them.
Order results
Result details
Select all
Export citation of selected articles as:
113 KB  
Tutorial
Neurologist-in-training
by Patrik Michel
Swiss Arch. Neurol. Psychiatry Psychother. 2004, 155(7), 361-364; https://doi.org/10.4414/sanp.2004.01522 - 1 Jan 2004
Viewed by 25
Abstract
Neurological MCQ [...] Full article
221 KB  
Abstract
174e Réunion de la Société Suisse de Neurologie et Réunion annuelle de la Société Suisse de Neuroradiologie 174. Tagung der Schweizerischen Neurologischen Gesellschaft und Jahrestagung der Schweizerischen Gesellschaft für Neuroradiologie
by EMH Swiss Medical Publishers Ltd.
Swiss Arch. Neurol. Psychiatry Psychother. 2004, 155(7), 353-360; https://doi.org/10.4414/sanp.2004.01531 - 1 Jan 2004
Viewed by 30
Abstract
Percutaneous vertebroplasty in multiple myeloma [...] Full article
209 KB  
Review
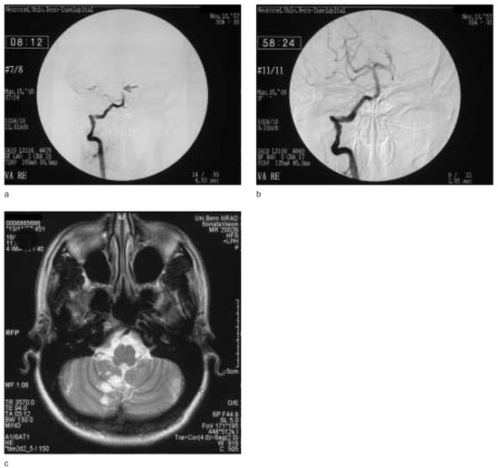
Current concepts of endovascular aneurysm treatment, and about the role of stents for endovascular repair of cerebral arteries
by Daniel A. Rüfenacht, M. Ohta, H. Yilmaz, C. Miranda, D. San Millan Ruiz, G. Abdo and P. Lylyk
Swiss Arch. Neurol. Psychiatry Psychother. 2004, 155(7), 348-352; https://doi.org/10.4414/sanp.2004.01526 - 1 Jan 2004
Cited by 7 | Viewed by 33
Abstract
Within the last 15 years, image-guided minimally invasive endovascular treatment for ruptured or un-ruptured cerebral aneurysms has surpassed surgical treatment for a subset of aneurysms, as shown in recent large randomised trials (ISAT, ISUIA). Endovascular patient care occurs at equal or lower cost [...] Read more.
Within the last 15 years, image-guided minimally invasive endovascular treatment for ruptured or un-ruptured cerebral aneurysms has surpassed surgical treatment for a subset of aneurysms, as shown in recent large randomised trials (ISAT, ISUIA). Endovascular patient care occurs at equal or lower cost than surgery. Cerebral aneurysms are of variable pathogenesis and by far the largest group consists of saccular aneurysms formed at proximal cerebral vessel bifurcations. Likely based on a focal vessel wall weakness, fragile out-pouchings typically develop in areas of high shear stress and at areas of the vessel tree where there is higher intravascular pressure, i.e. along the proximal intracranial branching of the internal carotid artery and less frequently of the vertebro-basilar system. Initiation, growth and rupture of an aneurysm are likely driven by a combination of several factors, each contributing to a variable degree in each of the evolutionary steps of an aneurysm’s history. Current treatment modalities include for open surgical treatment various techniques to reconstruct the artery (clips) or to reinforce the aneurysm wall (wrapping) or to bypass circulation of the vessel carrying an aneurysm (aneurysm trapping and bypass surgery). Less invasive, endovascular treatment techniques have been based on the principles of aneurysm filling with coils or polymers or vessel occlusion (aneurysm trapping). More recently, vessel reconstruction with stents rather than aneurysm filling has been advocated as treatment (Lylyk et al., J Neurosurg 2002;97: 1306–13).Both coils and stent techniques aim to induce slowing of blood flow and initiation of thrombosis within the aneurysm. Secondary vessel wall repair with scar tissue occurs within weeks. With small vessel wall defects (focal defects, usually less than 3–4 mm in maximum diameter), coil implantation seems to allow successful repair under this principle, provided that the lumen of the aneurysm pouch is suitable for coil introduction.With larger vessel wall defects in proportion to the vessel diameter (segmental defects), either the vessel must be occluded if tolerated by the patient, or the vessel is reconstructed with the use of stent implants. Based on initial clinical experience, stents seem to offer advantages over coils alone in the endovascular repair of segmental arterial wall defects. However, more research is required to better understand this stent function and to adapt stent technology to the new role it is asked to play in the intracranial circulation: repairing vessels with an aneurysm rather than opening a stenosis as typically requested in coronary or peripheral vessels. The following text is an update on current concepts and treatment, and how medical informatics is about to influence patient management by better lesion understanding, treatment simulation, implant design and medical engineering. Full article
Show Figures

Figure 1

141 KB  
Review
Endovascular treatment of cerebral arteriovenous malformations with emphasis on the curative role of embolisation
by A. Valavanis, A. Pangalu and M. Tanaka
Swiss Arch. Neurol. Psychiatry Psychother. 2004, 155(7), 341-347; https://doi.org/10.4414/sanp.2004.01523 - 1 Jan 2004
Cited by 9 | Viewed by 28
Abstract
Cerebral arteriovenous malformations are complex and only partially understood vascular lesions of the central nervous system with a natural history characterised by significant morbidity and mortality mainly due to an increased haemorrhagic risk. Microneurosurgical removal, radiosurgical obliteration and neuroendovascular embolisation are the principal [...] Read more.
Cerebral arteriovenous malformations are complex and only partially understood vascular lesions of the central nervous system with a natural history characterised by significant morbidity and mortality mainly due to an increased haemorrhagic risk. Microneurosurgical removal, radiosurgical obliteration and neuroendovascular embolisation are the principal therapeutic modalities applied individually or in various combinations according to varying selection criteria for the treatment of cerebral arteriovenous malformations. In this context embolisation plays a central role either as a complementary or as the sole treatment technique. This report summarises the evolutive 18 years of continuous experience of the senior author with the neuroradiological evaluation and endovascular treatment of 644 patients with a cerebral arteriovenous malformation. Special emphasis is given to the underlying concepts and specific endovascular techniques developed for the complete, i.e. curative embolisation of cerebral arteriovenous malformations. Precise angiographic analysis of the vascular composition and intrinsic angioarchitecture of the nidus of the arteriovenous malformation by superselective microcatheterisation is required to identify the types of feeding arteries and patterns of their supply, the number and vascular connections of nidal compartments, the types of arteriovenous shunts, the morphology of the vascular spaces composing the nidus and the number and exit patterns of draining veins. Complete angiographic investigation for recognition of secondarily induced phenomena of the cerebral vasculature, such as arterial and venous high-flow angiopathy and so-called perinidal angiogenesis is essential for a comprehensive evaluation and assessment of the associated haemorrhagic risk. Based on a precise topographic classification, detailed angioarchitectural analysis, application of superselective multimicrocatheterisation techniques along with a controlled intranidal injection of non-absorbable liquid embolic materials, nearly 40% of cerebral arteriovenous malformations can be completely and stably obliterated and therefore curatively treated by single session or multistaged embolisation with a morbidity of 1.3% and a mortality of 1.3%, which are lower than the known natural history of this disease. Full article
207 KB  
Review
Intraarterial thrombolysis and the role of intensive care in acute ischaemic stroke
by M. Arnold, L. Remonda, K. Nedeltchev, U. Fischer, M. Sturzenegger, G. Schroth and Heinrich P. Mattle
Swiss Arch. Neurol. Psychiatry Psychother. 2004, 155(7), 331-340; https://doi.org/10.4414/sanp.2004.01527 - 1 Jan 2004
Viewed by 23
Abstract
Thrombolytics have the potential to reduce disability of acute ischaemic stroke patients without increasing mortality, if patients are carefully selected. Per 1000 patients treated 110–150 less will be disabled. Intravenous thrombolysis with recombinant tissue plasminogen activator (rt-PA) given within 3 hours after stroke [...] Read more.
Thrombolytics have the potential to reduce disability of acute ischaemic stroke patients without increasing mortality, if patients are carefully selected. Per 1000 patients treated 110–150 less will be disabled. Intravenous thrombolysis with recombinant tissue plasminogen activator (rt-PA) given within 3 hours after stroke onset has been shown to reduce the rate of long-term-disability significantly. The clinical benefit of intraarterial thrombolysis in acute stroke patients with M1 or M2 occlusion of the middle cerebral artery, when performed up to six hours of symptom onset, has recently been proved in a randomised trial. In addition, several case series indicate that intraarterial thrombolysis and intravenous thrombolysis can be administered safely in clinical practice and improve clinical outcome when the occluded vessel is recanalised. In acute stroke due to basilar artery occlusion intraarterial thrombolysis is a therapeutic option at longer time intervals in specialist stroke centres. Several series of patients with basilar artery occlusion suggest that intraarterial thrombolysis has the potential to enhance the chances of basilar artery recanalisation and improve clinical outcome. In some of these studies, using various thrombolytic agents and intervals to treatment, an association between vessel recanalisation and clinical outcome was described. The percentage of patients with a favourable functional clinical outcome is more than 50% when early recanalisation of the basilar artery can be achieved and very low when the artery remains occluded. To date, no randomised controlled trial has compared intraarterial thrombolysis and intravenous thrombolysis. Intraarterial thrombolysis has several advantages: arteriography assesses the complete vessel status and collateral circulation. The thrombolytic medication can be applied directly into the thrombus.Vessel recanalisation as well as reocclusion are visualised directly, and in the case of rapid recanalisation, the infusion of the thrombolytic drug can be stopped before the maximum dose is applied. If pharmacological thrombolysis cannot be achieved, mechanical recanalisation procedures like thrombus perforation, thrombaspiration or percutaneous transluminal angioplasty are alternative or adjunctive strategies. In addition, mechanical recanalisation can sometimes be timesaving and achieved within a few minutes and faster than pharmacological reopening of the vessel. Limitations of intraarterial thrombolysis include the potential risk of arteriography, the time delay due to diagnostic arteriography and that it can only be applied at institutions with an experienced interventional neuroradiology team. Bleeding represents a hazard as with intravenous thrombolysis. Another major advantage of intraarterial thrombolysis is the extended time window up 6 hours compared to the 3 hours of intravenous thrombolysis.Therefore, intraarterial thrombolysis increases the number of patients who are eligible for thrombolysis. Nevertheless, campaigns and protocols for early referral to stroke centres and a standardised treatment algorithm are urgently needed. Educational programs for both the physicians and the public have the potential to increase the percentage of patients admitted to stroke centres within the time window for thrombolysis. Full article
Show Figures

Figure 1

207 KB  
Article
The impact of CT in acute cerebral ischaemia
by Rüdiger von Kummer
Swiss Arch. Neurol. Psychiatry Psychother. 2004, 155(7), 315; https://doi.org/10.4414/sanp.2004.01528 - 1 Jan 2004
Viewed by 38
Abstract
Computed tomography (CT) including CT perfusion imaging and CT angiography has the capacity to assess stroke pathology on a functional and morphological level and can thus provide important information about patients with acute stroke. It excludes brain haemorrhage, assesses the extent of perfusion [...] Read more.
Computed tomography (CT) including CT perfusion imaging and CT angiography has the capacity to assess stroke pathology on a functional and morphological level and can thus provide important information about patients with acute stroke. It excludes brain haemorrhage, assesses the extent of perfusion deficit, the extent of ischaemic damage, and the site and type of arterial obstruction. In patients with transient or mild symptoms, the assessment of vascular pathology and consecutive haemodynamic impairment is most important to guide treatment that will prevent disabling stroke. In patients with completed stroke, the early assessment of ischaemic damage is most important. Ischaemic brain tissue below the blood flow level of structural integrity takes up water immediately that causes a decrease in X-ray attenuation. Computed tomography has thus the specific advantage to identify the brain tissue that is irreversibly injured. If CT can exclude major ischaemic damage in acute stroke patients, reperfusion strategies may rescue brain function even after accepted therapeutic time windows. Full article
Show Figures

Figure 1

142 KB  
Review
Neuroimaging of the ischaemic penumbra
by Karl-Olof Lövblad
Swiss Arch. Neurol. Psychiatry Psychother. 2004, 155(7), 309-314; https://doi.org/10.4414/sanp.2004.01525 - 1 Jan 2004
Cited by 1 | Viewed by 27
Abstract
As ischaemic stroke is no longer considered a fatal or catastrophic disease with no or little therapeutic possibilities, it is indispensable to demonstrate the target for any intervention. This target is the ischaemic penumbra, which is considered to be tissue at risk of [...] Read more.
As ischaemic stroke is no longer considered a fatal or catastrophic disease with no or little therapeutic possibilities, it is indispensable to demonstrate the target for any intervention. This target is the ischaemic penumbra, which is considered to be tissue at risk of undergoing infarction if nothing is done acutely within the time window. This penumbra has varied in its definition over the last few decades but now an operational model based on new magnetic resonance imaging or computed tomography techniques has emerged. The proposed model is the diffusion-perfusion mismatch, where the central diffusion lesion represents the infarcted core which is surrounded by an area of diminished perfusion.This model shows progression of the DWI lesion into the periinfarct hypoperfusion and is reversed in case of successful intervention such as thrombolysis. Full article
185 KB  
Review
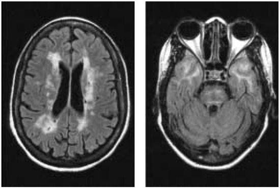
Magnetic resonance imaging in dementia
by Philip Scheltens
Swiss Arch. Neurol. Psychiatry Psychother. 2004, 155(7), 299-308; https://doi.org/10.4414/sanp.2004.01524 - 1 Jan 2004
Cited by 2 | Viewed by 42
Abstract
Dementia is a clinical syndrome that has many causes. Structural neuroimaging is needed to refine differential diagnosis and identify comorbidity. Excluding structural lesions remains an important indication for either a CT or MR scan in an individual with cognitive decline, particularly if the [...] Read more.
Dementia is a clinical syndrome that has many causes. Structural neuroimaging is needed to refine differential diagnosis and identify comorbidity. Excluding structural lesions remains an important indication for either a CT or MR scan in an individual with cognitive decline, particularly if the presentation is in any way unusual. The ability of CT, if done appropriately with negative angulation and thin slices, and MRI to detect even subtle medial temporal lobe atrophy helps to diagnose Alzheimer’s disease and differentiate it from normal aging and non-dementia (i.e. depression) but does not rule out other dementias. Absence may indicate dementia with Lewy bodies if fitting with the clinical suspicion. The sensitivity of MRI to detect vascular pathology aids tremendously to the distinction between Alzheimer’s disease and vascular dementia, but has also learnt that overlap syndromes between the two conditions exist. Definite progress is being made in distinguishing normal aging from neurodegeneration using serial scans.The pattern of atrophy may indicate a focal dementia rather than Alzheimer’s disease. Clinically useful measures that distinguish the different neurodegenerative disorders from each other at an early stage are still awaited. MRI is increasingly being used to predict incipient dementia in subjects with mild cognitive impairment and as such the presence of medial temporal lobe atrophy has more predictive value for Alzheimer’s disease than any other measure. Imaging research is also likely to focus on measuring progression and detecting therapeutic effect. Hence, MRI is already being used in clinical trials in mild cognitive impairment, Alzheimer’s disease and vascular dementia. MRI is increasingly seen as an essential investigation in dementia. Unless and until novel biomarkers are found that can reliably detect and track the underlying pathological processes in the different dementias, MRI will continue to play an important role in the diagnosis of patients with dementia and in research into treatments. Full article
Show Figures

Figure 1

120 KB  
Editorial
Swiss Neuroimaging: State-of-the-art 2004
by Karl-Olof Lövblad, Christoph Michel and Margitta Seeck
Swiss Arch. Neurol. Psychiatry Psychother. 2004, 155(7), 297-298; https://doi.org/10.4414/sanp.2004.01530 - 1 Jan 2004
Viewed by 32
Abstract
This special issue of the Swiss Archives of Neurology and Psychiatry is devoted to Neuroimaging, reflecting the growing use and quality of images in the field of Neuroscience for the purpose of research, diagnosis and therapy [...] Full article
Previous Issue
Next Issue
Back to TopTop