Next Issue
Volume 155, 01
Previous Issue
Volume 155, 01
 
 
Swiss Archives of Neurology, Psychiatry and Psychotherapy is published by MDPI from Volume 176 Issue 1 (2026). Previous articles were published by another publisher in Open Access under a CC-BY (or CC-BY-NC-ND) licence, and they are hosted by MDPI on mdpi.com as a courtesy and upon agreement with EMH Editores Medicorum Helveticorum.

Swiss Arch. Neurol. Psychiatry Psychother., Volume 155, Issue 2 (01 2004) – 11 articles

  • Issues are regarded as officially published after their release is announced to the table of contents alert mailing list.
  • You may sign up for e-mail alerts to receive table of contents of newly released issues.
  • PDF is the official format for papers published in both, html and pdf forms. To view the papers in pdf format, click on the "PDF Full-text" link, and use the free Adobe Reader to open them.
Order results
Result details
Select all
Export citation of selected articles as:
637 KB  
Review
Jeffrey L. Cummings, Michael S. Mega: Neuropsychiatry and Behavioral Neuroscience
by F. Assal
Swiss Arch. Neurol. Psychiatry Psychother. 2004, 155(2), 105-106; https://doi.org/10.4414/sanp.2004.01467 - 1 Jan 2004
Viewed by 57
Abstract
Après Clinical Neuropsychiatry publié en 1985, une nouvelle mouture intitulée Neuropsychiatry and Behavioral Neuroscience paraît enfin sous la plume de Jeffrey L. Cummings, professeur de neurologie et de psychiatrie, et Michael S. Mega, spécialisé en neuroimagerie [...]
Full article
637 KB  
Review
Buchbesprechungen Livres Book reviews
by C. Bassetti:
Swiss Arch. Neurol. Psychiatry Psychother. 2004, 155(2), 104; https://doi.org/10.4414/sanp.2004.01466 - 1 Jan 2004
Abstract
Au début du XXe siècle, le Dr. Aloïs Alzheimer examine Auguste D. qui souffre de troubles de la mémoire, du langage et de désorientation mais est admise en psychiatrie pour des symptômes non cognitifs à type de délire de jalousie et d’hallucinations visuelles [...] Read more.
Au début du XXe siècle, le Dr. Aloïs Alzheimer examine Auguste D. qui souffre de troubles de la mémoire, du langage et de désorientation mais est admise en psychiatrie pour des symptômes non cognitifs à type de délire de jalousie et d’hallucinations visuelles [...]
Full article
268 KB  
Abstract
172. Tagung der Schweizerischen Neurologischen Gesellschaft 172e Réunion de la Société Suisse de Neurologie und/et Annual meeting of the Swiss Society for Sleep Research, Sleep Medicine and Chronobiology
by EMH Swiss Medical Publishers Ltd.
Swiss Arch. Neurol. Psychiatry Psychother. 2004, 155(2), 90-103; https://doi.org/10.4414/sanp.2004.01463 - 1 Jan 2004
Viewed by 54
Abstract
Mechanism of ischaemic infarct in spontaneous carotid dissection [...] Full article
179 KB  
Abstract
7. Jahrestagung der Zerebrovaskulären Arbeitsgruppe der Schweiz 7e Réunion du Groupe suisse de travail pour les maladies cérébrovasculaires
by EMH Swiss Medical Publishers Ltd.
Swiss Arch. Neurol. Psychiatry Psychother. 2004, 155(2), 85-89; https://doi.org/10.4414/sanp.2004.01465 - 1 Jan 2004
Viewed by 51
Abstract
Metabolic changes after H2 15O-PET examination using acetazolamide in a patient with Moyamoya disease: a case report with review of further cases [...] Full article
176 KB  
Article
Direttive per il trattamento della Malattia di Parkinson
by H. P. Ludin
Swiss Arch. Neurol. Psychiatry Psychother. 2004, 155(2), 79-83; https://doi.org/10.4414/sanp.2004.01458 - 1 Jan 2004
Viewed by 53
Abstract
Cinque anni fa il nostro gruppo di lavoro ha pubblicato delle direttive per il trattamento dei pazienti parkinsoniani3. La successiva introduzione di diverse opzioni terapeutiche giustifica una nuova stesura delle direttive. Negli ultimi anni il trattamento della M. di Parkinson (sindrome [...] Read more.
Cinque anni fa il nostro gruppo di lavoro ha pubblicato delle direttive per il trattamento dei pazienti parkinsoniani3. La successiva introduzione di diverse opzioni terapeutiche giustifica una nuova stesura delle direttive. Negli ultimi anni il trattamento della M. di Parkinson (sindrome parkinsoniana idiopatica) è diventato sempre più complesso. Da una parte sono disponibili numerosi nuovi approcci terapeutici, sia farmacologici che chirurgici, dall’altra abbiamo adesso più di 30 anni di esperienza con il trattamento con L-Dopa. È stato dimostrato che le complicazioni della terapia cronica possono essere ridotte da un’oculata scelta iniziale dei farmaci. Poiché il momento di inizio o attuazione dei singoli provvedimenti e la posologia dei diversi farmaci variano considerevolmente da un paziente all’altro, resterà anche in futuro raccomandabile effettuare il trattamento solo in stretta collaborazione con un neurologo. Full article
177 KB  
Guidelines
Recommandations pour le traitement de la maladie de Parkinson
by H. P. Ludin
Swiss Arch. Neurol. Psychiatry Psychother. 2004, 155(2), 74-78; https://doi.org/10.4414/sanp.2004.01457 - 1 Jan 2004
Cited by 6 | Viewed by 123
Abstract
Il y a 5 ans, notre groupe de travail a publié des recommandations pour le traitement des patients parkinsoniens3. Entre temps de nouvelles possibilités thérapeutiques sont apparues, justifiant une révision de ces recommandations. Le traitement de la maladie de Parkinson est devenu de [...] Read more.
Il y a 5 ans, notre groupe de travail a publié des recommandations pour le traitement des patients parkinsoniens3. Entre temps de nouvelles possibilités thérapeutiques sont apparues, justifiant une révision de ces recommandations. Le traitement de la maladie de Parkinson est devenu de plus en plus complexe au cours de ces dernières années. D’une part, nous disposons d’un grand nombre de traitements médicamenteux et de méthodes thérapeutiques chirurgicales nouvelles et, d’autre part, nous avons pu collecter les résultats et l’expérience de 30 années de traitement par la L-Dopa. Par ailleurs, il s’est avéré que les problèmes liés aux traitements prolongés pouvaient être minimisés par un choix optimal des médicaments introduits à la phase initiale de la maladie. Comme le moment précis où des mesures thérapeutiques doivent être initiées ou poursuivies, ainsi que la posologie des médicaments administrés est susceptible de variation considérable d’un malade à l’autre, il est également conseillé, à l’avenir, de procéder aux décisions thérapeutiques en concertation étroite avec un neurologue. Full article
166 KB  
Tutorial
Neurologist-in-training
by Patrik Michel
Swiss Arch. Neurol. Psychiatry Psychother. 2004, 155(2), 70-73; https://doi.org/10.4414/sanp.2004.01461 - 1 Jan 2004
Viewed by 48
Abstract
Multiple choice questions [...] Full article
141 KB  
Short Communication
Are antinuclear antibodies useful in neurologic patients? A retrospective analysis based on 545 cases
by Daniel Eschle and H.-G. Wieser
Swiss Arch. Neurol. Psychiatry Psychother. 2004, 155(2), 67-69; https://doi.org/10.4414/sanp.2004.01464 - 1 Jan 2004
Cited by 1 | Viewed by 48
Abstract
In this retrospective analysis determination of antinuclear antibodies had no positive or negative predictive value for diagnosing neuropsychiatric systemic lupus erythematosus (NPSLE). A history suggestive of antiphospholipid syndrome, of unusual symptoms for the patient’s age and/or signs of non-neurological manifestations of systemic lupus [...] Read more.
In this retrospective analysis determination of antinuclear antibodies had no positive or negative predictive value for diagnosing neuropsychiatric systemic lupus erythematosus (NPSLE). A history suggestive of antiphospholipid syndrome, of unusual symptoms for the patient’s age and/or signs of non-neurological manifestations of systemic lupus erythematosus in a female patient were typical of NPSLE. Full article
156 KB  
Case Report
Severe neurological complications in an adult achondroplastic dwarf with generalised spinal stenosis
by P. J. Fournier, M. Aguilar and S. Stephanov
Swiss Arch. Neurol. Psychiatry Psychother. 2004, 155(2), 64-66; https://doi.org/10.4414/sanp.2004.01459 - 1 Jan 2004
Viewed by 86
Abstract
A case is reported with generalised spinal stenosis and severe neurological complications.Neurological and radiological findings and surgical procedures are discussed. The patient was admitted with profound spastic lower paraparesis and the upper limbs were paretic. After an emergency lumbar decompression, the patient improved [...] Read more.
A case is reported with generalised spinal stenosis and severe neurological complications.Neurological and radiological findings and surgical procedures are discussed. The patient was admitted with profound spastic lower paraparesis and the upper limbs were paretic. After an emergency lumbar decompression, the patient improved and on the twelfth day he was able to take a short walk.Twenty-two days after the lumbar decompression a cervico-thoracic decompression was performed which proved fatal. Full article
Show Figures

Figure 1

165 KB  
Article
Infiziertes retroperitoneales Hämatom als ungewöhnliche Ursache eines Fallfusses
by R. H. Andres, Alain Barth and R. W. Seiler
Swiss Arch. Neurol. Psychiatry Psychother. 2004, 155(2), 60-63; https://doi.org/10.4414/sanp.2004.01460 - 1 Jan 2004
Cited by 1 | Viewed by 91
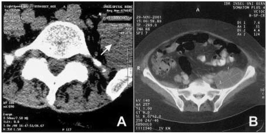
Abstract
This is a case report of a 72-year-old woman under oral anticoagulation who presented in the emergency room with a subacute onset of left-accentuated lumboischialgia, a left-side foot drop, a foot plantar flexion palsy and an eversion weakness. Other clinical findings included an [...] Read more.
This is a case report of a 72-year-old woman under oral anticoagulation who presented in the emergency room with a subacute onset of left-accentuated lumboischialgia, a left-side foot drop, a foot plantar flexion palsy and an eversion weakness. Other clinical findings included an abscessing parotitis and an oligoarthritis of unknown aetiology. The neuroradiological evaluation with computer tomography and myeloradiculography did not show any adequate spinal or radicular affection. A complete left-leg palsy and increasing sensory deficits developed during the early course of the hospitalisation. A pelvic CT was performed and revealed a left-sided retroperitoneal mass lesion with compression of the sacral plexus and the ischiadic nerve. CT-guided puncture resulted in the diagnosis of a haematoma infected with Staphylococcus aureus. We considered this process to be induced by the anticoagulant treatment and secondary septic dissemination from the parotid abscess. Percutaneous drainage and antibiotic treatment resulted in fast clinical recovery of the motor deficits; however, mild sensory residues persisted. Our case report demonstrates the necessity to consider for possible extraspinal lesions also in patients presenting with the typical symptoms of radicular compression, particularly when the initial evaluations were not conclusive. Full article
Show Figures

Figure 1

202 KB  
Article
Génétique et maladie de Parkinson
by Ch. Wider, Z. K. Wszolek, J. Ghika, J. Bogousslavsky and F. Vingerhoets
Swiss Arch. Neurol. Psychiatry Psychother. 2004, 155(2), 51-59; https://doi.org/10.4414/sanp.2004.01462 - 1 Jan 2004
Viewed by 83
Abstract
Parkinson’s disease is the second most common neurodegenerative disease, affecting around 2% of the general population aged 80 or more. Its precise origin is still a matter of debate, and its diagnosis relies upon clinical and pathological examination. While many environmental factors are [...] Read more.
Parkinson’s disease is the second most common neurodegenerative disease, affecting around 2% of the general population aged 80 or more. Its precise origin is still a matter of debate, and its diagnosis relies upon clinical and pathological examination. While many environmental factors are known to increase the risk for Parkinson’s disease, a genetic component has also long been suspected. Numerous studies have emphasised the importance of genetics in Parkinson’s disease, showing that one of the major risk factors for the development of the disease is a positive family history. Furthermore, although previously published work has yielded conflicting results regarding this issue, data from twin studies demonstrate that the concordance for Parkinson’s disease is higher in monozygotic twins compared with dizygotic twins, a pattern suggesting a genetic transmission of the disease. However, it is only recently that developments in molecular biology allowed several genes to be identified. Until now, 11 different loci have been described causing inherited parkinsonism, either dominant or recessive. Most of these genes have been discovered in large Parkinson’s disease families, with multigeneration pedigrees. While their relevance for the sporadic form of Parkinson’s disease needs to be further elucidated, studies have shown an association between genetic polymorphism of α-synuclein, ubiquitin-C terminal hydrolase and tau genes, and sporadic Parkinson’s disease. These studies therefore suggest a common cellular mechanism in neurodegenerative pathways in sporadic and familial forms of Parkinson’s disease. In addition, genes and loci have been described that are not linked to monogenic forms of Parkinson’s disease, but rather increase the lifetime risk of developing the disease, thus behaving like inherited risk factors. PARK 1, 3, 4, 5 and 8 are loci responsible for dominantly inherited parkinsonism.The mutation of the α-synuclein gene was the first to be described in 1997, but it is a very uncommon cause of Parkinson’s disease. While PARK 4 is associated with atypical features (dementia, myoclonus), the other dominantly inherited Parkinson’s diseases mimic more the sporadic form. Among the recessively inherited Parkinson’s diseases (PARK 2, 6, 7 and 9), PARK 2 is the most frequently encountered: numerous mutations have been described on the parkin gene located on chromosome 6.PARK 2 phenotype is an autosomal recessive juvenile parkinsonism, with a good response to levodopa but frequently associated with early dyskinesias. The manifestations of PARK 6 and 7 also share many clinical aspects with the sporadic form of the disease, while PARK 9 (Kufor- Rakeb syndrome) is associated with spasticity, dementia and oculomotor signs. Among “parkinson-plus” syndromes, frontotemporal dementia and parkinsonism linked with chromosome 17 (FTDP-17) is caused by mutations of the tau gene and dominantly inherited. The association of parkinsonism and dystonia characterises both DYT 12 (chromosome 19, dominant) and DYT 3 (X-linked recessive). Ataxia and parkinsonism are found in some of the dominantly inherited spino-cerebellar ataxias, and mutations of mitochondrial complex 1 cause parkinsonism with dementia, dystonia and oculomotor signs. This article reviews the studies and available evidences supporting a genetic cause of Parkinson’s disease and “parkinson-plus” syndromes, and discusses the main genes and loci that have been described until now. Full article
Show Figures

Figure 1

Previous Issue
Next Issue
Back to TopTop