Next Issue
Volume 150, 01
Previous Issue
Volume 150, 01
 
 
Swiss Archives of Neurology, Psychiatry and Psychotherapy is published by MDPI from Volume 176 Issue 1 (2026). Previous articles were published by another publisher in Open Access under a CC-BY (or CC-BY-NC-ND) licence, and they are hosted by MDPI on mdpi.com as a courtesy and upon agreement with the previous journal publisher.

Swiss Arch. Neurol. Psychiatry Psychother., Volume 150, Issue 4 (01 1999) – 7 articles , Pages 161-212

  • Issues are regarded as officially published after their release is announced to the table of contents alert mailing list.
  • You may sign up for e-mail alerts to receive table of contents of newly released issues.
  • PDF is the official format for papers published in both, html and pdf forms. To view the papers in pdf format, click on the "PDF Full-text" link, and use the free Adobe Reader to open them.
Order results
Result details
Select all
Export citation of selected articles as:
93 KB  
Communication
Varia
by EMH Swiss Medical Publishers Ltd.
Swiss Arch. Neurol. Psychiatry Psychother. 1999, 150(4), 212; https://doi.org/10.4414/sanp.1999.01108 - 1 Jan 1999
Viewed by 36
264 KB  
Abstract
163. Fortbildungstagung der Schweizerischen Neurologischen Gesellschaft
by EMH Swiss Medical Publishers Ltd.
Swiss Arch. Neurol. Psychiatry Psychother. 1999, 150(4), 205-211; https://doi.org/10.4414/sanp.1999.01104 - 1 Jan 1999
Viewed by 30
Abstract
Die Aphasie als Ausdruck einer Teilleistungsstörung [...] Full article
522 KB  
Abstract
162. Fortbildungstagung der Schweizerischen Neurologischen Gesellschaft 162e Réunion de la Société Suisse de Neurologie
by EMH Swiss Medical Publishers Ltd.
Swiss Arch. Neurol. Psychiatry Psychother. 1999, 150(4), 192-204; https://doi.org/10.4414/sanp.1999.01102 - 1 Jan 1999
Viewed by 35
118 KB  
Article
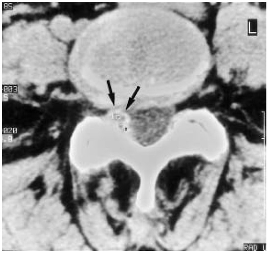
Seltene Ursache einer hartnäckigen Ischialgie
by S. Rüegg, O. Gratzl and A. J. Steck
Swiss Arch. Neurol. Psychiatry Psychother. 1999, 150(4), 189-191; https://doi.org/10.4414/sanp.1999.01105 - 1 Jan 1999
Viewed by 33 Show Figures

Figure 1

193 KB  
Article
Restless legs und nächtlicher Myoklonus
by J. Mathis
Swiss Arch. Neurol. Psychiatry Psychother. 1999, 150(4), 176-188; https://doi.org/10.4414/sanp.1999.01106 - 1 Jan 1999
Cited by 2 | Viewed by 41
Abstract
The restless legs syndrome (RLS) is a frequent chronic neurological illness, characterised by strange unpleasant sensations in the legs or less often in the arms, which occur predominately in the evening while sitting or lying in the bed with prompt relieve while standing [...] Read more.
The restless legs syndrome (RLS) is a frequent chronic neurological illness, characterised by strange unpleasant sensations in the legs or less often in the arms, which occur predominately in the evening while sitting or lying in the bed with prompt relieve while standing up and walking. Some patient report involuntary movements which may persist during sleep in form of “periodic movements in sleep” (PLMS). The main consequence in RLS may be a severe insomnia and sometimes an abnormal daytime sleepiness which may be accompanied by depression and suicidal ideas. PLMS are also known as an isolated phenomenon without clinical complaints or may be associated with insomnia or daytime sleepiness [...] Full article
Show Figures

Figure 1

130 KB  
Article
Carotid dissection and carotid occlusion with stroke: neuro-ophthalmological manifestations
by M. Paciaroni, M. Viana Baptista and Julien Bogousslavsky
Swiss Arch. Neurol. Psychiatry Psychother. 1999, 150(4), 169-175; https://doi.org/10.4414/sanp.1999.01107 - 1 Jan 1999
Cited by 3 | Viewed by 39
Abstract
We assessed the prevalence and characteristics of neuro-ophthalmological manifestations (NOMs) in patients with stroke due to internal carotid artery (ICA) disease. NOMs were evaluated in 81 patients with ICA dissection and 229 patients with ICA atherosclerotic occlusion from the Lausanne Stroke Registry. NOMs, [...] Read more.
We assessed the prevalence and characteristics of neuro-ophthalmological manifestations (NOMs) in patients with stroke due to internal carotid artery (ICA) disease. NOMs were evaluated in 81 patients with ICA dissection and 229 patients with ICA atherosclerotic occlusion from the Lausanne Stroke Registry. NOMs, seen in 57% of patients with ICA dissection consisted of visual field defect (32%), Horner’s syndrome (26%), transient monocular blindness (5%), ocular ischaemic syndrome (4%) and ocular motor paresis (1%). The prevalence of NOMs was lower with ICA atherosclerotic occlusion (42%). Similarly, they consisted of visual field defects (26%), Horner’s syndrome (7%), transient monocular blindness (8%) and ocular ischaemic syndrome (3%). NOMs, consisting predominantly of homonymous hemianopia and transient monocular blindness, were the presenting signs in 16% of ICA dissection and 9% of ICA occlusion. Recognition of initial NOMs in these disorders may provide a window of opportunity for interventive therapies to avert stroke. Full article
124 KB  
Article
Psychosoziale Auswirkung Multipler Sklerose auf Familie und Kinder
by Barbara Steck, L. Kappos and D. Bürgina
Swiss Arch. Neurol. Psychiatry Psychother. 1999, 150(4), 161-168; https://doi.org/10.4414/sanp.1999.01103 - 1 Jan 1999
Cited by 12 | Viewed by 30
Abstract
Based on the investigation of 52 families and 84 offsprings by means of semi-structured interviews and psychological tests we analyse the difficulties of coping with a chronic somatic disease of parents with multiple sclerosis (MS) and their children. The psychosocial impact of MS [...] Read more.
Based on the investigation of 52 families and 84 offsprings by means of semi-structured interviews and psychological tests we analyse the difficulties of coping with a chronic somatic disease of parents with multiple sclerosis (MS) and their children. The psychosocial impact of MS on partner relationship, family dynamic, parenthood and -function, communication and relationship between parent and child is addressed. As a consequence of the confrontation with the parental disease offsprings manifest psychosomatic symptoms, hypochondrial complaints, fears of death, loss and transmission. Children and adolescents are emotionally overburdend as a result of conflict avoidance tendency of their parents and a lack of assistance. Our results show the importance of a joint mourning process of the parents and an open communication about the emotional experience of the illness situation for the psychosocial development of offsprings.We conclude that – from the time of the diagnosis – the patient and his family should be introduced to members of a multidisciplinary team (including psychotherapist and social worker) who can eventually provide services as needed. Full article
Show Figures

Figure 1

Previous Issue
Next Issue
Back to TopTop