Previous Issue
Volume 12, December
 
 

Dermatopathology, Volume 13, Issue 1 (March 2026) – 8 articles

  • Issues are regarded as officially published after their release is announced to the table of contents alert mailing list.
  • You may sign up for e-mail alerts to receive table of contents of newly released issues.
  • PDF is the official format for papers published in both, html and pdf forms. To view the papers in pdf format, click on the "PDF Full-text" link, and use the free Adobe Reader to open them.
Order results
Result details
Section
Select all
Export citation of selected articles as:
9 pages, 2653 KB  
Case Report
The Unusual Invader in a Patient with Long-Standing Rheumatoid Arthritis: A Case of Leishmania major Colonization of Rheumatoid Nodules
by Monia Di Prete, Viviana Lora, Arianna Lamberti, Alessandra Latini and Carlo Cota
Dermatopathology 2026, 13(1), 8; https://doi.org/10.3390/dermatopathology13010008 - 27 Jan 2026
Viewed by 129
Abstract
Rheumatoid nodules are the most common extra-articular manifestation of rheumatoid arthritis. Long-term immunomodulatory therapies, including corticosteroids, used in the management of rheumatoid arthritis are associated with a higher risk of infections. Leishmaniasis is a neglected protozoal infection that may arise in these patients. [...] Read more.
Rheumatoid nodules are the most common extra-articular manifestation of rheumatoid arthritis. Long-term immunomodulatory therapies, including corticosteroids, used in the management of rheumatoid arthritis are associated with a higher risk of infections. Leishmaniasis is a neglected protozoal infection that may arise in these patients. Cutaneous presentation is the most common and is characterized by a wide spectrum of clinical manifestations and courses, depending on the interplay between species involved and the host’s immune response. Here, we report the rare and intriguing case of a patient with long-standing rheumatoid arthritis, chronically treated with systemic prednisone, whose rheumatoid nodules were colonized by Leishmania major. In this context, therapeutic strategies must be tailored to species and patient factors. This report expands the differential diagnosis of rheumatoid nodule, highlighting the importance of considering opportunistic infections in exuberant presentations, particularly in immunosuppressed patients coming from or travelling in endemic regions. Intracellular pathogens may exploit the localized immunological niche represented by the rheumatoid nodule of an immunocompromised host to survive and replicate undisturbed. It also underscores the value of the clinico-pathological correlation and the importance of integrating molecular analyses to identify unexpected microorganisms that can be hidden by concomitant disease, avoiding misdiagnosis, ensuring timely treatment, and improving patients outcomes. Full article
(This article belongs to the Section Clinico-Pathological Correlation in Dermatopathology)
Show Figures

Figure 1

19 pages, 1071 KB  
Review
Behçet-like Syndromes: A Comprehensive Review
by Gaia Mancuso, Igor Salvadè, Adam Ogna, Brenno Balestra and Helmut Beltraminelli
Dermatopathology 2026, 13(1), 7; https://doi.org/10.3390/dermatopathology13010007 - 16 Jan 2026
Viewed by 306
Abstract
Background: Behçet-like syndrome (BLS) refers to the presence of Behçet’s disease (BD) features occurring in association with distinct clinical–pathological conditions such as inborn errors of immunity, myeloproliferative disorders, infections, or drug exposure. BLS may differ clinically from BD and is increasingly recognized as [...] Read more.
Background: Behçet-like syndrome (BLS) refers to the presence of Behçet’s disease (BD) features occurring in association with distinct clinical–pathological conditions such as inborn errors of immunity, myeloproliferative disorders, infections, or drug exposure. BLS may differ clinically from BD and is increasingly recognized as a separate entity. Distinguishing BLS from primary BD is essential for appropriate management, and studying BLS may provide insights into BD pathogenesis. Objectives: To summarize clinical features, treatments, and genetic abnormalities reported in BLS, we reviewed all published cases up to January 2024. Methods: A systematic search of PubMed, Scopus, and Embase was performed using the terms “Behçet-like syndrome”, “Behçet-like disease”, and “Pseudo-Behçet disease”. We included English-language reports of patients > 12 years old with a defined underlying etiology and Behçet-like manifestations, defined by ≥2 ICBD criteria and/or gastrointestinal involvement, mucosal ulcers, thrombosis, or non-recurrent disease. Epidemiological, clinical, laboratory, histological, and treatment data were extracted and analyzed descriptively. Results: Of 679 publications, 53 met inclusion criteria, comprising 100 patients with BLS. The median age was 44 years (IQR 22–52), with a female predominance (1:2). Fifty-three percent were from non-European countries. A genetic disorder was identified in 70% of cases, while HLA-B51 was present in 10%. Frequent manifestations included skin lesions (68%), fever (56%), intestinal involvement (43%), and joint symptoms (43%). Treatments included glucocorticoids (65%), conventional DMARDs (32%), and biologics (22%), mainly anti-TNF agents. Antiviral/antibiotic therapy was used in 9% and chemotherapy in 15%. Two patients with trisomy-8 MDS underwent allogeneic stem cell transplantation. Conclusions: Diverse conditions—including monogenic diseases, immune defects, myeloproliferative disorders, infections, and drug-related reactions—can produce Behçet-like features. Our findings highlight differences in clinical expression and treatment response across BLS etiologies. Recognizing BLS is essential for appropriate management and may contribute to a deeper understanding of BD pathogenesis and future targeted therapies. Full article
(This article belongs to the Section Clinico-Pathological Correlation in Dermatopathology)
Show Figures

Figure 1

21 pages, 696 KB  
Systematic Review
Tumor Infiltrating Lymphocytes in Cutaneous Squamous Cell Carcinoma—A Systematic Review
by Li Yang Loo, Shi Huan Tay and Choon Chiat Oh
Dermatopathology 2026, 13(1), 6; https://doi.org/10.3390/dermatopathology13010006 - 13 Jan 2026
Viewed by 184
Abstract
Cutaneous squamous cell carcinoma (cSCC) is an immunogenic malignancy with variable immune infiltration and inconsistent responses to checkpoint blockade. Tumor-infiltrating lymphocytes (TILs) influence tumor progression and therapeutic outcome, yet their phenotypic and functional diversity across disease contexts remains incompletely understood. This review systematically [...] Read more.
Cutaneous squamous cell carcinoma (cSCC) is an immunogenic malignancy with variable immune infiltration and inconsistent responses to checkpoint blockade. Tumor-infiltrating lymphocytes (TILs) influence tumor progression and therapeutic outcome, yet their phenotypic and functional diversity across disease contexts remains incompletely understood. This review systematically characterizes the TIL landscape in human cSCC. Following PRISMA 2020 guidelines, PubMed and Embase were searched up to May 2025 and restricted to studies evaluating tumor-infiltrating lymphocytes in human cSCC, using the modified Newcatle–Ottawa score to assess risk of bias. Data were synthesized qualitatively given methodological heterogeneity. 48 studies met inclusion criteria. cSCCs exhibited dense CD3+ infiltrates composed of cytotoxic (CD8+GzmB+, Ki-67+, CD69+) and regulatory (FOXP3+, CCR4+) subsets. Higher CD8+ activity correlated with smaller tumors and longer disease-free survival, whereas FOXP3+ enrichment and TGF-β2 signaling promoted immune evasion. Immunosuppressed patients demonstrated diminished CD8+ density and clonality. Immune modulation with PD-1/PD-L1 blockade, imiquimod, HPV vaccination, or OX40 stimulation enhanced effector function. The cSCC immune microenvironment reflects a balance between cytotoxic and suppressive factors. Harmonizing multimodal immune profiling and integrating spatial context with systemic immune status may advance both prognostic stratification and therapeutic design. Full article
Show Figures

Figure 1

11 pages, 2242 KB  
Article
The Need for Standardization of PRAME Immunohistochemistry in Melanocytic Neoplasms
by Calla M. Sullivan, Dominick DiMaio, Scott Lauer, Dinesh Pradhan, Julie Youngs, Kaeli Samson and Corey J. Georgesen
Dermatopathology 2026, 13(1), 5; https://doi.org/10.3390/dermatopathology13010005 - 31 Dec 2025
Viewed by 367
Abstract
Accurate diagnosis of melanomas is crucial for proper evaluation and treatment. One immunohistochemical stain frequently utilized is PRAME (PReferentially expressed Antigen in MElanoma), a tumor-associated antigen expressed in most melanomas. This study aims to evaluate the reproducibility of PRAME scoring performed by dermatopathologists [...] Read more.
Accurate diagnosis of melanomas is crucial for proper evaluation and treatment. One immunohistochemical stain frequently utilized is PRAME (PReferentially expressed Antigen in MElanoma), a tumor-associated antigen expressed in most melanomas. This study aims to evaluate the reproducibility of PRAME scoring performed by dermatopathologists at an academic tertiary referral medical center. A blinded survey was designed featuring 21 melanocytic neoplasms stained with PRAME and H&E. For each case, five dermatopathologists provided a PRAME score from 0–4+, percent PRAME positivity, values for H-score, and a descriptive interpretation. Absolute agreement across raters was assessed using a Kappa statistic for PRAME score and intraclass correlations (ICCs) for H-score and PRAME percentage. Statistical analysis indicated poor inter-rater reliability for PRAME score (Kappa = 0.16), percent PRAME positivity (ICC = 0.31), and H-score (ICC = 0.40). Reporting language varied among pathologists. Our study demonstrated that the interpretation of PRAME immunohistochemistry lacks reproducibility, especially for challenging lesions. This suggests that a more rigorous, defined, and reproducible scoring method should be investigated for equivocal cases. Future studies may explore the utility of artificial intelligence software in the interpretation of PRAME for borderline lesions to improve reliability and standardize scoring. Full article
Show Figures

Figure 1

7 pages, 724 KB  
Case Report
Deeply Pigmented Reticulated Acanthoma with Sebaceous Differentiation Mimicking Cutaneous Malignancy: A Case Report and Review of the Literature
by Padol Chamninawakul, Xiaotian Wu and Joyce S. S. Lee
Dermatopathology 2026, 13(1), 4; https://doi.org/10.3390/dermatopathology13010004 - 30 Dec 2025
Viewed by 297
Abstract
Reticulated acanthoma with sebaceous differentiation (RASD) is a rare, benign cutaneous neoplasm. Its variable clinical presentation frequently mimics both benign and malignant entities, posing a significant diagnostic challenge. We report a case of pigmented RASD in a 78-year-old Malay male of Fitzpatrick skin [...] Read more.
Reticulated acanthoma with sebaceous differentiation (RASD) is a rare, benign cutaneous neoplasm. Its variable clinical presentation frequently mimics both benign and malignant entities, posing a significant diagnostic challenge. We report a case of pigmented RASD in a 78-year-old Malay male of Fitzpatrick skin type IV who presented with a 5-year history of an 8 × 5 mm deeply pigmented, asymmetrical nodule on the left upper back, with a 2 mm central raised area showing less pigmentation. The lesion was clinically suspicious for malignant melanoma. Histopathological examination revealed characteristic features of RASD: a broad, plate-like, reticulated and pigmented epidermal proliferation with clusters of mature sebocytes at the bases of anastomosing rete ridges. Following biopsy confirmation, the residual lesion is being managed conservatively with observation. This case demonstrates an unusual heavily pigmented clinical presentation that completely obscured the typical yellowish hue associated with sebaceous differentiation, highlighting pigmented RASD as an important diagnostic pitfall in patients with skin of color. In conclusion, RASD should be included in the differential diagnosis of pigmented cutaneous lesions, especially in patients with skin of color. Recognition of this benign entity can prevent unnecessary aggressive surgical intervention. Full article
Show Figures

Figure 1

16 pages, 4622 KB  
Article
Hypothetical Abductive Reasoning in Dermatology and Dermatopathology
by Carlo Francesco Tomasini and Lorenzo Magnani
Dermatopathology 2026, 13(1), 3; https://doi.org/10.3390/dermatopathology13010003 - 25 Dec 2025
Viewed by 523
Abstract
Abductive reasoning, or abduction, is a key process in scientific discovery and medical diagnosis. In everyday dermatology and dermatopathology, however, it functions as the practical engine behind differential diagnosis, clinicopathologic correlation, and disciplined pattern recognition. In this paper, we retain the epistemological [...] Read more.
Abductive reasoning, or abduction, is a key process in scientific discovery and medical diagnosis. In everyday dermatology and dermatopathology, however, it functions as the practical engine behind differential diagnosis, clinicopathologic correlation, and disciplined pattern recognition. In this paper, we retain the epistemological foundation of abduction but translate it into usable steps for clinicians and dermatopathologists. We distinguish abduction from deduction and induction; separate creative abduction (which generates new concepts) from selective abduction (daily diagnostic choice); and show how both operate within a simple Select-and-Test (ST) Model: select a hypothesis, deduce what else should be true, test against data, and then update. We then reinterpret Ackerman’s algorithmic method of pattern analysis as an operationalization of the ST-Model. Through a couple of concise case vignettes, we illustrate visual and manipulative abduction, nonmonotonic updates, and the role of artifacts (dermoscopy, DIF, stains) as so-called epistemic mediators. Finally, we map contemporary AI tools to selective abduction and propose practical guardrails for fairness, transparency, and accountability. The result is a pragmatic framework that preserves philosophical depth while addressing the daily needs of dermatologists and dermatopathologists in the clinic and at the microscope. Full article
Show Figures

Figure 1

10 pages, 2453 KB  
Article
Increased Expression of Angiopoietin 2 and Tie2 in Rosacea
by Aysin Kaya, Jean-Hilaire Saurat, Nathalie Satta and Gürkan Kaya
Dermatopathology 2026, 13(1), 2; https://doi.org/10.3390/dermatopathology13010002 - 25 Dec 2025
Viewed by 405
Abstract
In this study we evaluated the expression of Angiopoietin 1, Angiopoietin 2, and Tie2 by immunohistochemistry in the skin of 10 patients with erythemato telangiectatic and papulopustular rosacea. Significantly increased expression of Tie2 and Angiopoietin 2 in the endothelial cells of the dermal [...] Read more.
In this study we evaluated the expression of Angiopoietin 1, Angiopoietin 2, and Tie2 by immunohistochemistry in the skin of 10 patients with erythemato telangiectatic and papulopustular rosacea. Significantly increased expression of Tie2 and Angiopoietin 2 in the endothelial cells of the dermal vessels in rosacea skin vs. non-lesional skin (100% and 33.3% for Tie2, and 100% and 50% for Angiopoietin 2) was observed. There was no difference in the expression of Angiopoietin 1 and phosphorylated Tie2 (pTie2) between the lesional skin of rosacea and non-lesional skin. Full article
Show Figures

Figure 1

16 pages, 3943 KB  
Article
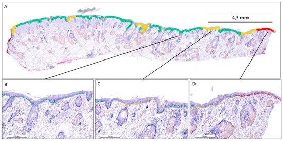
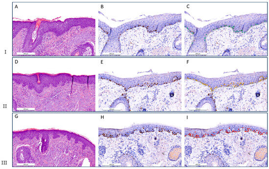
Artificial Intelligence for Lentigo Maligna: Automated Margin Assessment via Sox-10-Based Melanocyte Density Mapping
by Rieke Löper, Lennart Abels, Daniel Otero Baguer, Felix Bremmer, Michael P. Schön and Christina Mitteldorf
Dermatopathology 2026, 13(1), 1; https://doi.org/10.3390/dermatopathology13010001 - 19 Dec 2025
Viewed by 516
Abstract
Lentigo maligna (LM) is a melanoma in situ with high cumulative sun damage. Histological evaluation of resection margins is difficult and time-consuming. Melanocyte density (MD) is a suitable, quantifiable, and reproducible diagnostic criterion. In this retrospective single-centre study, we investigated whether an artificial [...] Read more.
Lentigo maligna (LM) is a melanoma in situ with high cumulative sun damage. Histological evaluation of resection margins is difficult and time-consuming. Melanocyte density (MD) is a suitable, quantifiable, and reproducible diagnostic criterion. In this retrospective single-centre study, we investigated whether an artificial intelligence (AI) tool can support the assessment of LM. Training and evaluation were based on MD in Sox-10-stained digitalised slides. In total, 86 whole slide images (WSIs) from LM patients were annotated and used as a training set. The test set consisted of 177 slides. The tool was trained to detect the epidermis, measure its length, and determine the MD. A cut-off of ≥30 melanocytes per 0.5 mm of epidermis length was defined as positive. Our AI model automatically recognises the epidermis and measures the MD. The model was trained on nuclear immunohistochemical signals and can also be applied to other nuclear stains, such as PRAME or MITF. The WSI is automatically visualised by a three-colour heat map with a subdivision into low, borderline, and high melanocyte density. The cut-offs can be adjusted individually. Compared to manually counted ground truth MD, the AI model achieved high sensitivity (87.84%), specificity (72.82%), and accuracy (79.10%), and an area under the curve (AUC) of 0.818 in the test set. This automated tool can assist (dermato) pathologists by providing a quick overview of the WSI at first glance and making the time-consuming assessment of resection margins more efficient and more reproducible. The AI model can provide significant benefits in the daily routine workflow. Full article
(This article belongs to the Section Artificial Intelligence in Dermatopathology)
Show Figures

Figure 1

Previous Issue
Back to TopTop