- Case Report
Endovascular Infection with Salmonella Group C—A Case Report
- Manuela Arbune,
- Roxana Ciobotaru and
- Doina Carina Voinescu
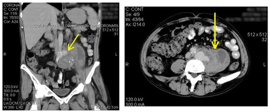
Introduction: The risk of secondary endovascular infections after bacteremia with Salmonella spp. is augmented by preexisting atherosclerotic arterial lesions. Over the age of 50, the incidence varies between 25 and 35%. Case report: A 57‐year‐old ma...

