Next Article in Journal
A Decade of Change in Susceptibility Patterns of Gram-Negative Blood Culture Isolates: A Single Center Study
Previous Article in Journal
Seroprevalence of Rubella Virus IgG in Pregnant Women in Harare, Zimbabwe
 
 
Germs is published by MDPI from Volume 15 Issue 4 (2025). Previous articles were published by another publisher in Open Access under a CC-BY (or CC-BY-NC-ND) licence, and they are hosted by MDPI on mdpi.com as a courtesy and upon agreement with the former publisher Infection Science Forum.
Font Type:
Arial Georgia Verdana
Font Size:
Aa Aa Aa
Line Spacing:
Column Width:
Background:
Case Report

Endovascular Infection with Salmonella Group C—A Case Report

by
Manuela Arbune
*,
Roxana Ciobotaru
and
Doina Carina Voinescu
Faculty of Medicine and Pharmacy, “Dunărea de Jos University” of Galaţi, Galați, Romania
*
Author to whom correspondence should be addressed.
Germs 2015, 5(3), 21-24; https://doi.org/10.11599/germs.2015.1077
Submission received: 16 May 2015 / Revised: 22 August 2015 / Accepted: 29 August 2015 / Published: 1 September 2015

Abstract

Introduction: The risk of secondary endovascular infections after bacteremia with Salmonella spp. is augmented by preexisting atherosclerotic arterial lesions. Over the age of 50, the incidence varies between 25 and 35%. Case report: A 57-year-old male, smoker, alcohol user, in poor social condition, was hospitalized for fever, malaise, left leg persistent thrombophlebitis, coxofemoral and back pain. His medical history was significant for recent sepsis with Salmonella group C, and a recent diagnosis of hepatitis C. During the antibiotic treatment, he complained of a left inguinal tumor, corresponding to a paravertebral image along the left psoas muscle identified by abdominal computed tomography. A paravertebral hematoma and an aneurysm of the left aortoiliac junction were repaired by surgery. The culture of the aneurysm was positive for Salmonella group C. Conclusions: The differential diagnosis of lower limb persistent thrombophlebitis should consider the compression by abdominal aneurysm, consequent to a vascular complication from bacteremia with Salmonella spp.

Introduction

Salmonella spp. are involved in a large spectrum of human diseases, including gastrointestinal diseases and invasive infections. Globally, the non-typhoid Salmonella is the cause of 94 million cases of gastroenteritis and 115,000 deaths per year [1]. Most infections have a selflimiting evolution. Invasive and systemic infections can occur in young children, elderly, immunosuppressed patients infected with human immunodeficiency virus, hemoglobinopathies or malignant neoplasm [1]. Salmonella can invade even the healthy arterial intima, although only 3% of cases occur in healthy people. Over the age of 50, the incidence of secondary endovascular infections after bacteremia with Salmonella spp. varies between 25 and 35% [2]. Microarray techniques revealed a virulence plasmid related to Salmonella choleraesuis (group C), known as the most frequent serotype involved in infectious endarteritis [3].

Case report

A male patient, aged 57 years old, was admitted with fever, pain in the hip and left lumbar region. He was a heavy smoker (20 cigarettes/day) and drinker (12 units of alcohol/day), unemployed and divorced.
He denied significant events in his medical history and declared no hospitalization until two months previously, when fever over 38 °C and back pain occurred. He lost 10% of his body weight in two months. He used self-medication of fever with acetaminophen. After 16 days, he was admitted into the rheumatology department for the suspicion of lumbar discitis and sepsis, but the blood cultures were positive for Salmonella group C. Based on the antibiogram, first-line antibiotic treatment with ceftriaxone continued for a total of 15 days. The fever dropped in 3 days, but he developed thrombophlebitis in the left lower leg, resistant to anticoagulation therapy for 7 days (Figure 1). The suspicion of paraneoplastic thrombophlebitis required further investigations. Chest X rays, abdominal echography, alpha-fetoprotein and prostatic antigen were in normal ranges, surface antigen of hepatitis B virus and antibodies of human immunodeficiency virus negative. The test for hepatitis C antibodies was positive. Duplex ultrasound revealed no obstructive lesions in the peripheral vessels of the left lower limb. Additionally, he was diagnosed with high blood pressure and received an angiotensin-converting enzyme inhibitor.
The patient requested to be discharged because he did not have a medical insurance, but no antibiotic treatment was followed at home.
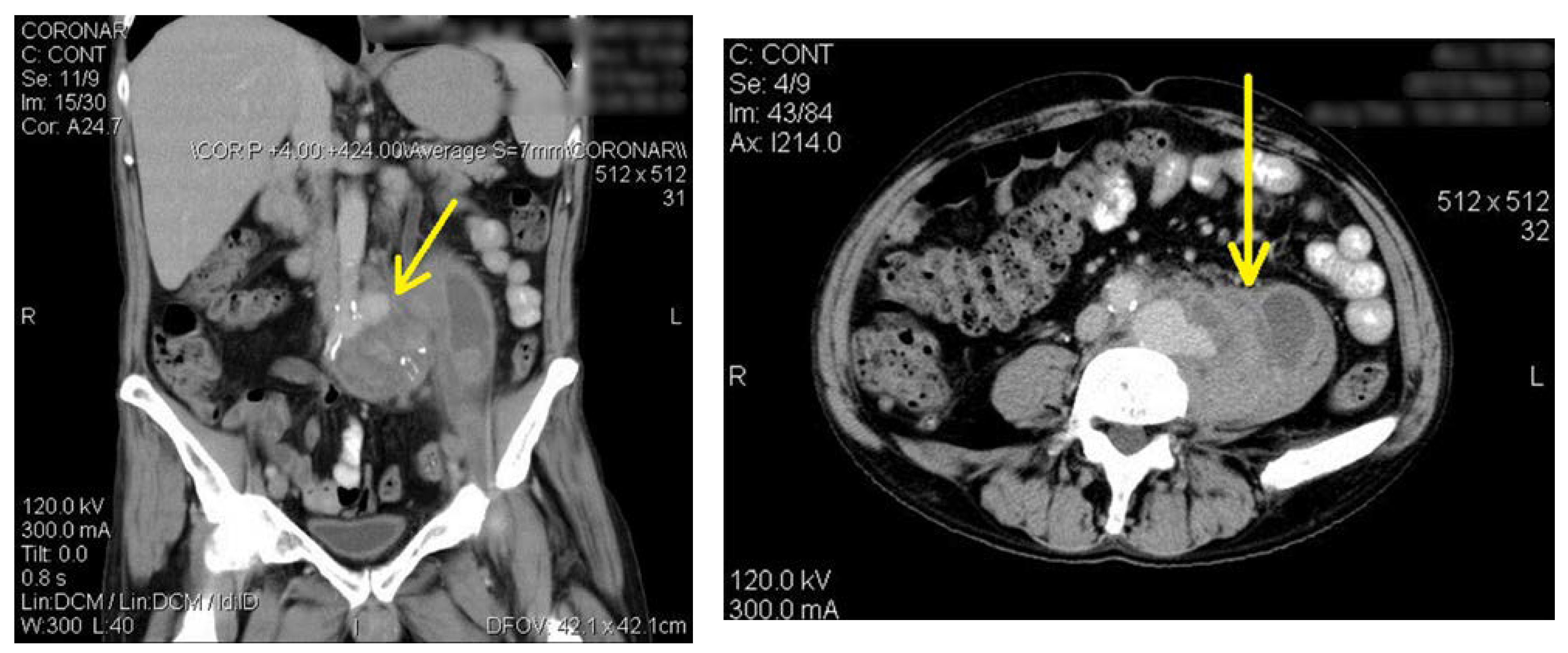
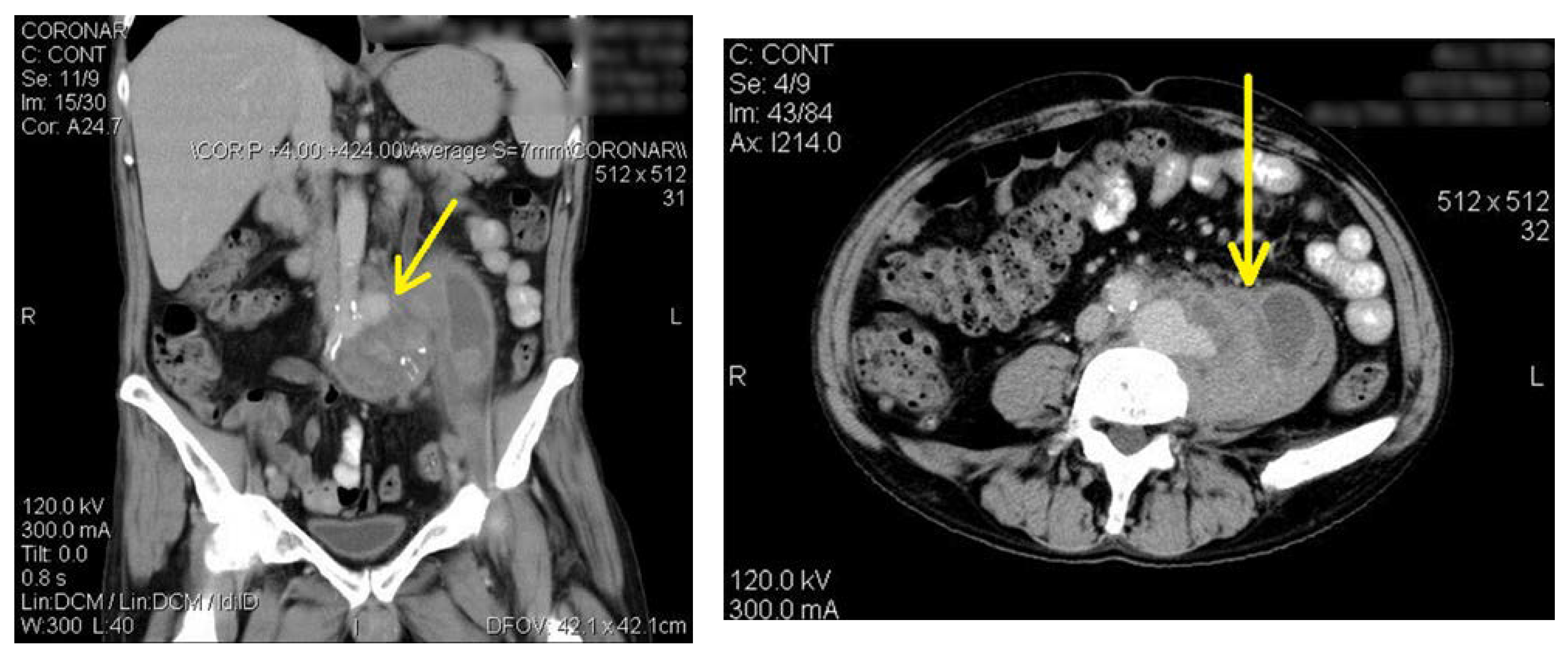
After 3 weeks, he came back in emergency for relapsed fever. The low back pain had increased, accompanied by the occurrence of left hip pain and functional impotence. The clinical exam revealed high fever, of 39.1 °C, blood pressure of 180/90 mmHg, heart rate of 125 bpm, respiratory frequency of 25/min, tenderness on percussion in the left lumbar region, swelling of the left leg, pain and disability of the left hip joint. He received meropenem as first choice antibiotic. Salmonella group C was identified in the blood cultures after 3 days. Based on the antibiogram, therapy was de-escalated to ceftriaxone and ciprofloxacin. The fever dropped within 2 days, but inflammatory signs appeared in the left leg, while the pain in the back and the left hip persisted. After five days the patient complained of a sensitive, soft swelling, which measured 5/7 cm, in the left inguinal region. The computed tomography scan with contrast of the abdomen and pelvis (Figure 2a,b) ruled out the suspicion of arthritis in the left hip and revealed an aneurysm of the left common iliac artery. Under coverage of antibiotic therapy, the aneurysm was excised, the aortic bifurcation removed and an aortic bifemoral bypass was performed. The bacterial culture of the excised aneurysm wall was positive for Salmonella group C. The patient continued ceftriaxone for six weeks and was cured when he was discharged. He gave up alcohol and smoking. He follows ambulatory antiplatelet and antihypertensive treatments and is waiting to be evaluated for hepatitis C treatment.

Discussion

The cardiovascular injuries related to Salmonella infections are the consequences of bacteremia and of secondary seeding of the endothelium [4]. The vascular endothelial infection is favored by preexisting atherosclerotic arterial lesions and it can be complicated by the development of an aneurysm or by the enlargement of a preexisting aneurysm [5]. Aortitis is the most common aspect of Salmonella endarteritis [6]. Salmonella spp. have an affinity for atheromatous plaques in the vessel wall, although normal endothelium can also be invaded [7].
In the case we have reported, the risk factors for endarteritis were hypertension, chronic HCV hepatitis and chronic alcohol consumption. Other risk factors identified by previous studies are diabetes, coronary artery disease and gastrectomy [8].
In a retrospective study on endarteritis with Salmonella spp., 90% of patients had fever, back pain or abdominal pain, 73% had positive bacteremia and 42% had a palpable aneurysm [9]. In our case, the development of endarteritis followed the common clinical manifestations, but the inadequate interpretation of the initial symptoms delayed the diagnosis. The poor social conditions contributed to the neglected vascular disease, which added a supplementary risk factor to a long list of smoking, alcohol consumption and inflammation related to chronic hepatitis C. The pain and the functional impotence of the left hip during Salmonella group C sepsis justified the clinical suspicion of septic arthritis, but the computed tomography exam did not sustain it.
The differential diagnosis of the lower limb thrombophlebitis, unresponsive to conventional therapy, requires the investigation for the diagnosis of paraneoplastic syndrome, thrombophilia or abdominal mass compression. The aneurysm of the iliac artery is a rare cause of edema and deep vein thrombosis of the lower limb, as was the case of our patient [10].
The imagistic diagnosis of the aortic aneurysm would have been done earlier. According to a recent predictive scoring algorithm to identify adults over the age of 50 with non-typhoid Salmonella at risk for vascular infections, our patient would have cumulated 3 of 4 risk factors: male sex, hypertension and serogroup C infection.9 The significance of the score is a risk rate of 55.2% and argues for the complex intervention of a multidisciplinary team for diagnosis, monitoring and treatment.9
The decision to choose ceftriaxone was correct, but 2 weeks of treatment were insufficient for a vascular infection. The mortality risk of the bacterial aneurysm is 90% in the absence of surgery, but the prognosis is improved by the new endovascular techniques [3,8]. Open abdominal traditional surgery was successful in our case, as endovascular aneurysm repair was not available. The positive culture of Salmonella group C from the excised piece from the vascular wall confirmed the bacterial etiology of the aneurysm. The patient was well at 12 months of follow-up after the surgical intervention. The future prognosis depends on the improvement of his lifestyle and the control of chronic comorbidities.

Conclusion

The bacterial endarteritis and the risk of aneurysm complications should be considered when managing patients with cardiovascular risk factors, fever, back pain, abdominal pain, and positive blood cultures. The persistence of thrombophlebitis in the left lower limb, after anticoagulant therapy, should indicate a potential abdominal aneurysm. The severity of the complications in bacteremia with Salmonella spp. should be evaluated considering the prognostic score, in order to optimize the medical decisions.

Author Contributions

All authors had equal contributions. All authors read and approved the final version of the manuscript.

Informed Consent Statement

Written consent was obtained from the patient prior to publication.

Conflicts of Interest

All authors—none to declare.

References

  1. Centers for Disease Control and Prevention. National enteric disease surveillance: Salmonella annual summary, 2009. CDC: Atlanta, GA, USA, 2011. Available online: http://www.cdc.gov/ncezid/dfwed/PDFs/salmonellaannual-summary-2009-508c.pdf (accessed on 9 January 2014).
  2. Wang, J.H.; Liu, Y.C.; Yen, M.Y.; et al. Mycotic aneurysm due to non-typhi Salmonella: report of 16 cases. Clin. Infect Dis. 1996, 23, 743–747. [Google Scholar] [CrossRef] [PubMed]
  3. Chiu, C.H.; Su, L.H.; Chu, C. Salmonella enterica serotype Choleraesuis: epidemiology, pathogenesis, clinical disease, and treatment. Clin Microbiol Rev 2004, 17, 31122. [Google Scholar] [CrossRef] [PubMed]
  4. Reddy, D.J.; Emst, C.B. Infected aortic aneurysm: recognition and management. Semin. Vasc Surg 1988, 1, 174–181. [Google Scholar]
  5. Laohapensang, K.; Rutherford, R.B.; Arworn, S. Infected aneurysm. Ann Vasc Dis. 2010, 3, 16–23. [Google Scholar] [CrossRef] [PubMed]
  6. Yu, S.Y.; Hsieh, H.C.; Ko, P.J.; Huang, Y.K.; Chu, J.J.; Lee, C.H. Surgical outcome for mycotic aortic and iliac aneurysm. World J Surg. 2011, 35, 1671–1678. [Google Scholar] [CrossRef] [PubMed]
  7. Steyers, C.M., 3rd; Miller, F.J., Jr. Endothelial dysfunction in chronic inflammatory diseases. Int J Mol Sci 2014, 15, 11324–11349. [Google Scholar] [CrossRef] [PubMed]
  8. Soravia-Dunand, V.A. 1.; Loo, V.G.; Salit, I.E. Aortitis due to Salmonella: Report of 10 cases and comprehensive review of the literature. Clin Infect Dis 1999, 29, 862–868. [Google Scholar] [CrossRef] [PubMed]
  9. Chen, P.L.; Lee, C.C.; Li, C.Y.; et al. A simple scoring algorithm predicting vascular infections in adults with nontyphoid Salmonella bacteremia. Clin Infect Dis 2012, 55, 194–200. [Google Scholar] [CrossRef] [PubMed]
  10. Bhasin, N.; Jones, S.M.; Patel, J.; et al. Internal iliac artery aneurysm—a cause of leg swelling and cellulitis. J R Soc Med 2004, 97, 483–484. [Google Scholar] [PubMed]
Figure 1. Male patient, 57 years-old—synoptic clinical evolution and diagnosis.
Figure 1. Male patient, 57 years-old—synoptic clinical evolution and diagnosis.
Germs 05 00021 g001
Figure 2. (a). Abdominal computed tomography with oral and intravenous contrast in coronal section: aneurysm in the external iliac artery; at the level of the aortic bifurcation, overlapping the left iliac artery, a mass with heterogeneous density, fluid before and after contrast, with inside calcification, well delimited; iliac vessel with right wall calcifications. (b). Abdominal computed tomography with oral and intravenous contrast in transversal section: aneurysm in the external iliac artery; at the level of the aortic bifurcation, overlapping the left iliac artery, a mass with heterogeneous density, fluid before and after contrast, with inside calcification, well delimited; iliac vessel with right wall calcifications.
Figure 2. (a). Abdominal computed tomography with oral and intravenous contrast in coronal section: aneurysm in the external iliac artery; at the level of the aortic bifurcation, overlapping the left iliac artery, a mass with heterogeneous density, fluid before and after contrast, with inside calcification, well delimited; iliac vessel with right wall calcifications. (b). Abdominal computed tomography with oral and intravenous contrast in transversal section: aneurysm in the external iliac artery; at the level of the aortic bifurcation, overlapping the left iliac artery, a mass with heterogeneous density, fluid before and after contrast, with inside calcification, well delimited; iliac vessel with right wall calcifications.
Germs 05 00021 g002

Share and Cite

MDPI and ACS Style

Arbune, M.; Ciobotaru, R.; Voinescu, D.C. Endovascular Infection with Salmonella Group C—A Case Report. Germs 2015, 5, 21-24. https://doi.org/10.11599/germs.2015.1077

AMA Style

Arbune M, Ciobotaru R, Voinescu DC. Endovascular Infection with Salmonella Group C—A Case Report. Germs. 2015; 5(3):21-24. https://doi.org/10.11599/germs.2015.1077

Chicago/Turabian Style

Arbune, Manuela, Roxana Ciobotaru, and Doina Carina Voinescu. 2015. "Endovascular Infection with Salmonella Group C—A Case Report" Germs 5, no. 3: 21-24. https://doi.org/10.11599/germs.2015.1077

APA Style

Arbune, M., Ciobotaru, R., & Voinescu, D. C. (2015). Endovascular Infection with Salmonella Group C—A Case Report. Germs, 5(3), 21-24. https://doi.org/10.11599/germs.2015.1077

Article Metrics

Back to TopTop