Next Issue
Volume 3, 06
Previous Issue
Volume 2, 12
 
 
Germs is published by MDPI from Volume 15 Issue 4 (2025). Previous articles were published by another publisher in Open Access under a CC-BY (or CC-BY-NC-ND) licence, and they are hosted by MDPI on mdpi.com as a courtesy and upon agreement with the former publisher Infection Science Forum.

Germs, Volume 3, Issue 1 (03 2013) – 6 articles

  • Issues are regarded as officially published after their release is announced to the table of contents alert mailing list.
  • You may sign up for e-mail alerts to receive table of contents of newly released issues.
  • PDF is the official format for papers published in both, html and pdf forms. To view the papers in pdf format, click on the "PDF Full-text" link, and use the free Adobe Reader to open them.
Order results
Result details
Select all
Export citation of selected articles as:
446 KB  
Review
DNA Vaccines: Roles Against Diseases
by Kishwar Hayat Khan
Germs 2013, 3(1), 26-35; https://doi.org/10.11599/germs.2013.1034 - 1 Mar 2013
Cited by 177 | Viewed by 103
Abstract
Vaccination is the most successful application of immunological principles to human health. Vaccine efficacy needs to be reviewed from time to time and its safety is an overriding consideration. DNA vaccines offer simple yet effective means of inducing broad-based immunity. These vaccines work [...] Read more.
Vaccination is the most successful application of immunological principles to human health. Vaccine efficacy needs to be reviewed from time to time and its safety is an overriding consideration. DNA vaccines offer simple yet effective means of inducing broad-based immunity. These vaccines work by allowing the expression of the microbial antigen inside host cells that take up the plasmid. These vaccines function by generating the desired antigen inside the cells, with the advantage that this may facilitate presentation through the major histocompatibility complex. This review article is based on a literature survey and it describes the working and designing strategies of DNA vaccines. Advantages and disadvantages for this type of vaccines have also been explained, together with applications of DNA vaccines. DNA vaccines against cancer, tuberculosis, Edwardsiella tarda, HIV, anthrax, influenza, malaria, dengue, typhoid and other diseases were explored. Full article
Show Figures

Figure 1

291 KB  
Case Report
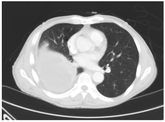
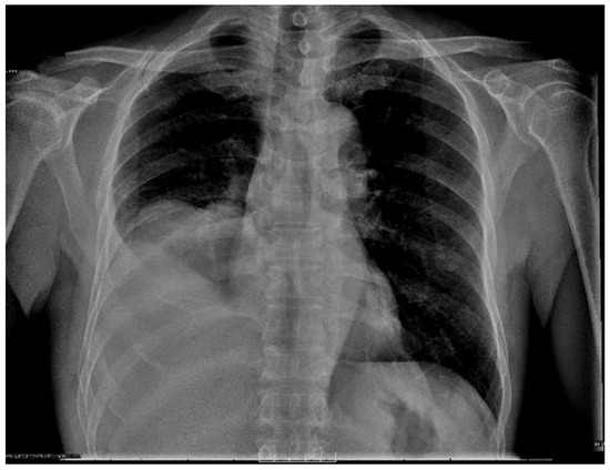
Tuberculous Empyema Presenting as a Persistent Chest Wall Mass: Case Report
by Jennifer Madeo, Rinal Patel, Wondwossen Gebre and Shadab Ahmed
Germs 2013, 3(1), 21-25; https://doi.org/10.11599/germs.2013.1033 - 1 Mar 2013
Cited by 12 | Viewed by 67
Abstract
Empyema necessitatis is an empyema that spreads outside of the pleural space involving the chest wall. Tuberculosis is the most common cause. It occurs in both immunocompetent and immunocompromised patients. Due to the long latency period and the paucity of symptoms, diagnosis can [...] Read more.
Empyema necessitatis is an empyema that spreads outside of the pleural space involving the chest wall. Tuberculosis is the most common cause. It occurs in both immunocompetent and immunocompromised patients. Due to the long latency period and the paucity of symptoms, diagnosis can be challenging. Clinicians must have a high awareness of this disease, especially in patients from endemic regions. The disease is treatable with surgical and medical interventions. Failure to diagnose can lead to grave consequences for both the individual patient and public health. This is particularly true in endemic regions where controlling the spread of TB is challenging. We report a rare presentation of pulmonary tuberculosis in an otherwise healthy 72-year-old USA immigrant from Thailand. He presented with a painless, chronic chest wall swelling with minimal systemic symptoms. Imaging revealed empyema necessitatis. Histopathology could not give a definitive diagnosis because the tissue was too necrotic. Despite negative acid-fast staining, sputum cultures were positive for tuberculosis. The case presentation is followed by a brief review of the current relevant literature. This case highlights the importance of clinical suspicion and increased awareness for this silent but serious infection. Full article
Show Figures

Figure 1

149 KB  
Case Report
Epidemiological Investigation of a Case of Chickenpox in a Medical College in Kancheepuram, India
by Saurabh RamBiharilal Shrivastava, Prateek Saurabh Shrivastava and Jegadeesh Ramasamy
Germs 2013, 3(1), 18-20; https://doi.org/10.11599/germs.2013.1032 - 1 Mar 2013
Cited by 3 | Viewed by 71
Abstract
Chickenpox is an acute, highly infectious disease caused by human herpesvirus 3. The disease is highly communicable with a secondary attack rate of almost 90%. Secondary cases can occur due to their exposure to the primary case. The main aim of the current [...] Read more.
Chickenpox is an acute, highly infectious disease caused by human herpesvirus 3. The disease is highly communicable with a secondary attack rate of almost 90%. Secondary cases can occur due to their exposure to the primary case. The main aim of the current epidemiological investigation was to trace the probable source of infection and prevent the emergence of secondary cases. The epidemiological investigation showed that the index case was the primary case as well and that there were no secondary cases because of the immediate isolation of the primary case. This epidemiological investigation reinforced that effective preventive and control measures, if implemented timely for the primary case, can reduce the risk of transmission of infection from case to susceptible contacts and thus prevent the emergence of subsequent secondary cases. Full article
247 KB  
Article
Breast Ecology Assessment in the Study of Local Microflora—Study Protocol
by Dana Mihaela Jianu, Anca Streinu-Cercel, Alexandru Blidaru, Maria Filipescu, Ioan Petre Florescu, Ioana Berciu, Oltjon Cobani, Olga Dorobăţ, ŞTefan Adrian Jianu, Oana Streinu-Cercel, Floria Stăniceanu and Adrian Streinu-Cercel
Germs 2013, 3(1), 14-17; https://doi.org/10.11599/germs.2013.1029 - 1 Mar 2013
Cited by 4 | Viewed by 51
Abstract
Introduction: Recent articles have described an endogenous breast flora, particularly in the nipple ducts, with potential implications in the outcome of aesthetic breast surgery. To characterize the ecology of the breast, we designed a study to assess the microbial species identified on the [...] Read more.
Introduction: Recent articles have described an endogenous breast flora, particularly in the nipple ducts, with potential implications in the outcome of aesthetic breast surgery. To characterize the ecology of the breast, we designed a study to assess the microbial species identified on the breast skin and parenchyma in patients undergoing breast surgical interventions. Methods: After obtaining informed consent and background data on concurrent diseases, previous contact with the hospital system and prior use of antibiotics, samples are collected preoperatively from three areas of the breast skin, bilaterally: the inframammary fold, the areola and the axilla, prior to decontamination. These samples will serve as positive controls and will aid in characterizing the normal breast skin flora. After preoperative decontamination, samples are again collected, to check for any residual bacterial flora and the nipple is sealed with Tegaderm (3M, USA) and betadine ointment, to reduce any putative bacterial load. Intraoperatively, samples are collected from: (a) the incision line (dermal level): 1. superficially, 2. medium depth in the breast parenchyma, 3. deep parenchyma, and (b) axillary parenchyma (where possible), together with a bioptic fragment. Postoperatively, a second nipple sample is collected. For secondary breast augmentation surgeries, capsular biopsy is also performed (where relevant), and the implants undergo sonication, to allow biofilm identification. In the laboratory, all samples are cultured on blood agar incubated with CO2, cystine lactose electrolyte deficient medium and Sabouraud gentamicin-chloramphenicol agar. For positive culture samples, the number of colonies and their morphologic characteristics are reported. Identification will be carried out with MALDI-TOF and VITEK (bioMérieux, France), yielding automated antibiotic sensitivity profiles. For all germs with sensitivity profiles differing from the wild-type strain, E-tests will be performed. Follow-up information on the postoperative evolution will be collected and analyzed for potential factors predictive of good evolution. Discussion: This study will provide important information about the microflora of the breast skin, its sensitivity profile, and the degree of contamination of the nipple ducts and parenchyma, if any, addressing a scientific hypothesis insufficiently explored so far. Full article
374 KB  
Article
Cardiac Involvement in HIV-Positive Patients
by Efrat Daglan, Dan Yamin, Bogdana Manu and Anca Streinu-Cercel
Germs 2013, 3(1), 8-13; https://doi.org/10.11599/germs.2013.1031 - 1 Mar 2013
Cited by 2 | Viewed by 51
Abstract
Introduction: The history of HIV/AIDS in Romania is different compared to the rest of the world. Here, the vast majority of HIV-positive patients have been infected since infancy and have been receiving HAART treatment for at least ten years. This situation is a [...] Read more.
Introduction: The history of HIV/AIDS in Romania is different compared to the rest of the world. Here, the vast majority of HIV-positive patients have been infected since infancy and have been receiving HAART treatment for at least ten years. This situation is a unique environment to check for long-term cardiac involvement in HIV-positive patients with a long evolution of the infection. Methods: A group of 40 HIV-positive patients were randomly selected to undergo an echocardiogram to check for cardiac involvement. Data collection took place at the National Institute for Infectious Diseases “Prof.Dr. Matei Balş” in Bucharest, Romania, from September 2011 to February 2012. Patients were examined and compared based on cardiovascular risk factors and disease risk factors described in field literature, including: age, gender, blood pressure, lipid profile, glucose, HbA1c, lifestyle habits, time from infection, duration of treatment and drug class use. Results: The median age of patients was 23, with a mean time from infection of 20.85 years and a duration of treatment of 15.9 years. Out of the 40 patients included in the study, 15 (37.5%) had cardiac involvement such as hyperkinetic syndrome, hypertrophy, atheroma, pulmonary hypertension or overlapping syndromes. The main risk factors were: male gender (OR 3.187, 90%CI 1.038–9.779), high cholesterol (>200 mg/dL) or smoking (OR 2.538, 90%CI 0.789–8.163), with a high risk for cardiac involvement in patients that were smokers and also had high levels of cholesterol (OR 5.75, 90%CI 1.263–26.169). Conclusions: An important aspect of this study is that both major risk factors identified are modifiable to an extent, and while cholesterol levels can be controlled with lipid-lowering medication, smoking can be stopped with or without replacement therapy. We need to stress on the importance of smoke-reducing policies and, particularly, encouraging young patients to not start smoking. Full article
Show Figures

Figure 1

158 KB  
Editorial
Expected Sensitivity to Antibiotics in Bacterial Infections
by Oana Streinu-Cercel
Germs 2013, 3(1), 7; https://doi.org/10.11599/germs.2013.1030 - 1 Mar 2013
Cited by 8 | Viewed by 60
Abstract
Antibiotic resistance is a common concern for infectious diseases practitioners worldwide [...] Full article
Previous Issue
Next Issue
Back to TopTop