Next Issue
Volume 3, 09
Previous Issue
Volume 3, 03
 
 
GERMS is published by MDPI from Volume 15 Issue 4 (2025). Previous articles were published by another publisher in Open Access under a CC-BY (or CC-BY-NC-ND) licence, and they are hosted by MDPI on mdpi.com as a courtesy and upon agreement with the former publisher Infection Science Forum.

GERMS, Volume 3, Issue 2 (06 2013) – 5 articles

  • Issues are regarded as officially published after their release is announced to the table of contents alert mailing list.
  • You may sign up for e-mail alerts to receive table of contents of newly released issues.
  • PDF is the official format for papers published in both, html and pdf forms. To view the papers in pdf format, click on the "PDF Full-text" link, and use the free Adobe Reader to open them.
Order results
Result details
Select all
Export citation of selected articles as:
111 KB  
Correction
Errata
by Giovanni Guaraldi
GERMS 2013, 3(2), 67; https://doi.org/10.11599/germs.2013.1039 (registering DOI) - 1 Jun 2013
Viewed by 27
Abstract
Reference 2 was corrected to “Guaraldi G, Baraboutis IG. Evolving perspectives on HIV-associated lipodystrophy syndrome: moving from lipodystrophy to non-infectious HIV co-morbidities. Journal of Antimicrobial Chemotherapy. 2009; 64(3): 437-40” [...] Full article
185 KB  
Case Report
Primary Cerebral Echinococcosis Presenting as Long-Standing Generalized Weakness
by Jennifer Madeo, Xi Zheng, Shadab Ahmed and Radhames Ramos De Oleo
GERMS 2013, 3(2), 63-66; https://doi.org/10.11599/germs.2013.1038 - 1 Jun 2013
Cited by 9 | Viewed by 25
Abstract
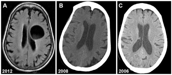
Echinococcosis is an infectious disease that can remain dormant for years. The most common sites of infection are liver and lungs. Primary cerebral disease is very rare. Here we report on an unusual case of echinococcosis, where the only identifiable lesion was a [...] Read more.
Echinococcosis is an infectious disease that can remain dormant for years. The most common sites of infection are liver and lungs. Primary cerebral disease is very rare. Here we report on an unusual case of echinococcosis, where the only identifiable lesion was a slowly growing intracranial hydatid cyst. No lesions on the liver identified. The patient is a United States immigrant from rural South India with a chief complaint of progressive weakness and aphasia. Further analysis revealed an interesting association between the clinical, anatomical and hematological findings over time. We conclude that hydatid cyst disease should be considered in patients from endemic areas with long-standing neurological symptoms. Full article
Show Figures

Figure 1

350 KB  
Article
Evaluation of Public Awareness and Attitude to Pulmonary Tuberculosis in a Nigerian Rural Community
by Philip Ifesinachi Anochie, Edwina Chinwe Onyeneke, Anthony Chidiebere Onyeozirila, Leonard Chibuzo Igbolekwu, Bestman Chukwuemeka Onyeneke and Angelina Chinyere Ogu
GERMS 2013, 3(2), 52-62; https://doi.org/10.11599/germs.2013.1037 - 1 Jun 2013
Cited by 18 | Viewed by 25
Abstract
Introduction: Community based interventions have long been linked to tuberculosis control efforts. Effectively treated and cured patients living within their home communities are often the best advocates and may become the drivers of social mobilization to support control of tuberculosis. Methods: A descriptive [...] Read more.
Introduction: Community based interventions have long been linked to tuberculosis control efforts. Effectively treated and cured patients living within their home communities are often the best advocates and may become the drivers of social mobilization to support control of tuberculosis. Methods: A descriptive cross-sectional knowledge, attitude, behavioral and practice (KABP) survey on tuberculosis was carried out in a rural Nigerian community. We used the multi-stage sampling method for subject selection. We administered an interview schedule consisting of a pre-tested structured interviewer-administered questionnaire, together with in-depth interviews and focus group discussions. Results: We applied the questionnaire to 1186 people in designated rural households. Most of the participants, (1154, 97.3%) had prior knowledge and awareness about tuberculosis as a disease, 612 (51.6%) considered tuberculosis a result of HIV/AIDS epidemics or malnutrition, and 451 (38%) believed that it can be cured by Western medicine. The unwillingness of respondents to relate with TB patients was generally high (97%, 1150), even where levels of awareness and knowledge were high. Conclusions: These results should be used to orient tuberculosis control programs, especially those aimed at mobilizing people for tuberculosis control and eradication. Full article
146 KB  
Editorial
Laudatio
by Oana Streinu-Cercel
GERMS 2013, 3(2), 48; https://doi.org/10.11599/germs.2013.1036 - 1 Jun 2013
Viewed by 25
Abstract
We are proud to announce that two distinguished members of our Editorial Board, [...] Full article
171 KB  
Opinion
Prevalence of Nasal Carriage of S aureus in Children
by Liliana Lucia Preoţescu and Oana Streinu-Cercel
GERMS 2013, 3(2), 49-51; https://doi.org/10.11599/germs.2013.1035 - 5 Mar 2013
Cited by 7 | Viewed by 41
Abstract
Asymptomatic carriage of Staphylococcus aureus is common, particularly in the anterior part of the nasal cavity. Apart from nasal and nasopharyngeal carriage, another frequent site for S aureus colonization is the skin, particularly the inguinal fold, rectum and axilla. The general prevalence of [...] Read more.
Asymptomatic carriage of Staphylococcus aureus is common, particularly in the anterior part of the nasal cavity. Apart from nasal and nasopharyngeal carriage, another frequent site for S aureus colonization is the skin, particularly the inguinal fold, rectum and axilla. The general prevalence of S aureus carriage is around 20–30% as reported by relevant studies in field literature. In children, data on nasal carriage appears to be somewhat similar to the prevalence reported in adults, ranging from 18.12 to 38.5 percent, but there are certain particularities and a wide variability between results from different countries and different studies. To determine the real prevalence of S aureus and MRSA strains, studies should adjust for confounding factors, as described in this article. Full article
Previous Issue
Next Issue
Back to TopTop