Next Issue
Volume 3, 03
Previous Issue
Volume 2, 09
 
 
GERMS is published by MDPI from Volume 15 Issue 4 (2025). Previous articles were published by another publisher in Open Access under a CC-BY (or CC-BY-NC-ND) licence, and they are hosted by MDPI on mdpi.com as a courtesy and upon agreement with the former publisher Infection Science Forum.

GERMS, Volume 2, Issue 4 (12 2012) – 5 articles

  • Issues are regarded as officially published after their release is announced to the table of contents alert mailing list.
  • You may sign up for e-mail alerts to receive table of contents of newly released issues.
  • PDF is the official format for papers published in both, html and pdf forms. To view the papers in pdf format, click on the "PDF Full-text" link, and use the free Adobe Reader to open them.
Order results
Result details
Select all
Export citation of selected articles as:
138 KB  
Erratum
Erratum*
by Hagit Najar and Anca Streinu-Cercel
GERMS 2012, 2(4), 149; https://doi.org/10.11599/germs.2012.1028 - 1 Dec 2012
Viewed by 44
Abstract
Najar H, Streinu-Cercel A. Epidemiological management of rabies in Romania [...] Full article
106 KB  
Communication
Infectious Mononucleosis or Glandular Fever Revisited
by Hilary Denis Solomons
GERMS 2012, 2(4), 148; https://doi.org/10.11599/germs.2012.1027 - 1 Dec 2012
Cited by 2 | Viewed by 35
Abstract
Infectious mononucleosis is also known as kissing disease or Pfeiffer’s disease [...] Full article
402 KB  
Article
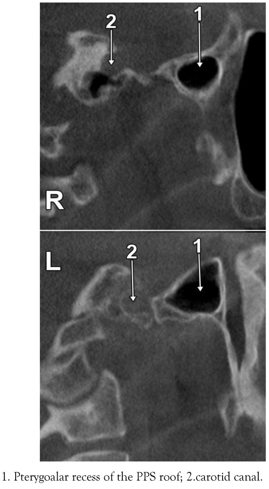
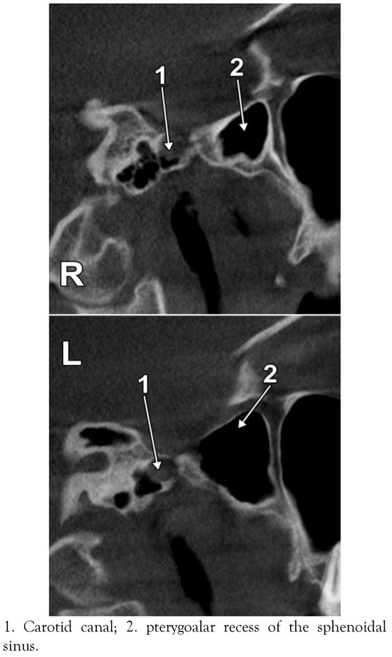
The Pneumatization Patterns of the Roof of the Parapharyngeal Space in CBCT
by Felicia Andrei, Andrei Gheorghe Marius Motoc, Adelina Maria Jianu, Mugurel Constantin Rusu and Carla Loreto
GERMS 2012, 2(4), 142-147; https://doi.org/10.11599/germs.2012.1026 - 1 Dec 2012
Cited by 1 | Viewed by 36
Abstract
Introduction: The rhinopharynx and the parapharyngeal space (PPS) are complex anatomical territories located beneath the skull base. Thorough knowledge of the complex anatomy of the PPS is essential in treatment of pathologies such as parapharyngeal abscesses. The roof of the PPS is overlooked [...] Read more.
Introduction: The rhinopharynx and the parapharyngeal space (PPS) are complex anatomical territories located beneath the skull base. Thorough knowledge of the complex anatomy of the PPS is essential in treatment of pathologies such as parapharyngeal abscesses. The roof of the PPS is overlooked in anatomy. It was hypothesized that the pneumatization pattern of the PPS roof is individually variable, as determined by the variable pneumatization patterns of the sphenoid and temporal bones. The study was aimed at assessing the anatomy of the PPS roof in CBCT. Methods: The present study was performed retrospectively on a group of 35 subjects (37.1% males) evaluated by CBCT for various dental procedures. Results: The mean age of the group was 37.9 (SD: 14.2, range: 18 to 61). The major bony landmarks of the PPS roof were: the petrous apex with the carotid canal, the jugular foramen, the foramen lacerum, the sphenopetrosal fissure or suture, and the root of the pterygoid process. Variable patterns of pneumatization were determined by the petrous apex air cells and the pterygoalar recess of the sphenoidal sinus. As related to the individually pattern of pneumatization, the following types of the PPS roof were defined: (i) type 1 – not pneumatized PPS roof; (ii) type 2 – sphenoidal but not petrosal pneumatization of the PPS roof; (iii) type 3 – petrosal but not sphenoidal pneumatization of the PPS roof; (iv) type 4 – sphenoidal and petrosal pneumatizations of the PPS roof. Discussion: Although on the left side the degree of pneumatization was higher than on the right side, no statistical differences were recorded (p > 0.05). The pattern of pneumatizations in the PPS roof should be assessed when PPS involvement in otitis or sinusitis is considered. Full article
Show Figures

Figure 1

311 KB  
Article
Management of Accidental Exposure to HCV, HBV and HIV in Healthcare Workers in Romania
by Eyal Malka, Anca Streinu-Cercel, Daniela PiŢIgoi and Rodica Bacruban
GERMS 2012, 2(4), 137-141; https://doi.org/10.11599/germs.2012.1025 - 1 Dec 2012
Cited by 5 | Viewed by 56
Abstract
Introduction: Accidental blood exposure in healthcare workers is an important issue worldwide. We present a study which analyzed the route of exposure, the source of infection and the post-exposure prophylaxis treatment administered. Method: We performed retrospective study of occupational exposure to [...] Read more.
Introduction: Accidental blood exposure in healthcare workers is an important issue worldwide. We present a study which analyzed the route of exposure, the source of infection and the post-exposure prophylaxis treatment administered. Method: We performed retrospective study of occupational exposure to HBV, HCV and HIV and the subsequent post-exposure prophylaxis among healthcare workers at the National Institute of Infectious Diseases “Prof.Dr. Matei Balş”, Bucharest, Romania, from December 2002 to December 2011. Results: Sixty healthcare workers with a mean age of 36 reported an occupational exposure during a period of 9 years, 54 (90%) were females and 6 (10%) were males. 48 (80%) exposed healthcare workers were nurses, 7 (11.6%) were doctors and 5 (8.3%) were medical assisting staff. In 49 (81.6%) cases the exposure was percutaneous and in 11 (18.3%) cases the exposure was mucosal/corneal. Ten (16.6%) exposed healthcare workers had insufficient levels of antibody (HBsAb) response, (below 10 mIU/mL), 6 (10%) had titers between 11 and 500 mIU/mL, 31 (51.6%) between 501-1000 mIU/mL, and 13 (21.6%) above 1000 mIU/mL). Discussion: The exposure events analysis in this study yielded similar results compared to other previous parallel studies. Minimizing risks to HCWs for acquisition of blood-borne pathogens and correct and rapid post-exposure prophylaxis treatment in case of exposure should be an integral part of the infection control and occupational health programs in all healthcare facilities. Full article
Show Figures

Figure 1

206 KB  
Editorial
A New Scientific Era in Biomedicine—Regenerative Surgery Based on Lipotransplant: New Therapeutic Horizons for HIV-Positive Patients
by Dana Mihaela Jianu
GERMS 2012, 2(4), 135-136; https://doi.org/10.11599/germs.2012.1024 - 1 Dec 2012
Cited by 1 | Viewed by 43
Abstract
Very often the psychological repercussions of lipodystrophy in HIV infected patients are important to a level that can reach reluctance to antiretroviral therapy or lead to depression and anxiety [...] Full article
Previous Issue
Next Issue
Back to TopTop