5-Fluorouracil Loaded Biogenic and Albumin Capped Gold Nanoparticles Using Bacterial Enzyme—In Vitro-In Silico Gastroplus® Simulation and Prediction
Abstract
1. Introduction
2. Materials and Methods
2.1. Materials
2.2. Methods
2.2.1. Culture Growth and Isolation of Enzyme from Bacillus licheniformis
2.2.2. In Situ Biosynthesis of 5-FU Loaded BSA Capped Gold Nanoparticles
2.3. Characterization of Gold Nanoparticles
2.3.1. Scanning Electron Microscopy (SEM) Study
2.3.2. Particle Size and Size Distribution of Selected Formulations
2.3.3. Zeta Potential of Selected Formulations
2.3.4. Drug Loading (%DL) and Entrapment Efficiency (%EE)
2.3.5. Effect of Concentration of Cell Lysate on %EE
2.3.6. Fourier Transform Infrared (FTIR) Study
2.3.7. In Vitro Drug Release Study
2.3.8. In Vitro Hemolysis Study
2.4. Cellular Cytotoxicity Assessment by the Developed Formulation
2.4.1. Cell Lines and Growth Media
2.4.2. Cell Viability Assay (MTT Assay)
2.4.3. Apoptosis Analysis and Morphological Studies
2.4.4. GastroPlus® Prediction: In Silico Prediction
Parameter Sensitivity Analysis (PSA)
Regional Absorption: Compartmental Absorption Prediction
2.5. Statistical Analysis
3. Results and Discussion
3.1. Culture Growth of Bacillus licheniformis
3.2. Preparation of BSA Capped and Uncapped Gold Nanoparticles
3.3. Characterizations of Prepared Formulations
3.3.1. Morphological Analysis
3.3.2. Particle Size, Size-Distribution and Zeta Potential
3.3.3. %DL and %EE Studies
3.3.4. FT-IR Analysis
3.3.5. Drug Release Study
3.3.6. Hemolysis Assessment
3.3.7. MTT Assay Analysis
3.3.8. Cell Inhibition by Optimized F11 at IC50 and 0.5 × IC50 against MCF-7
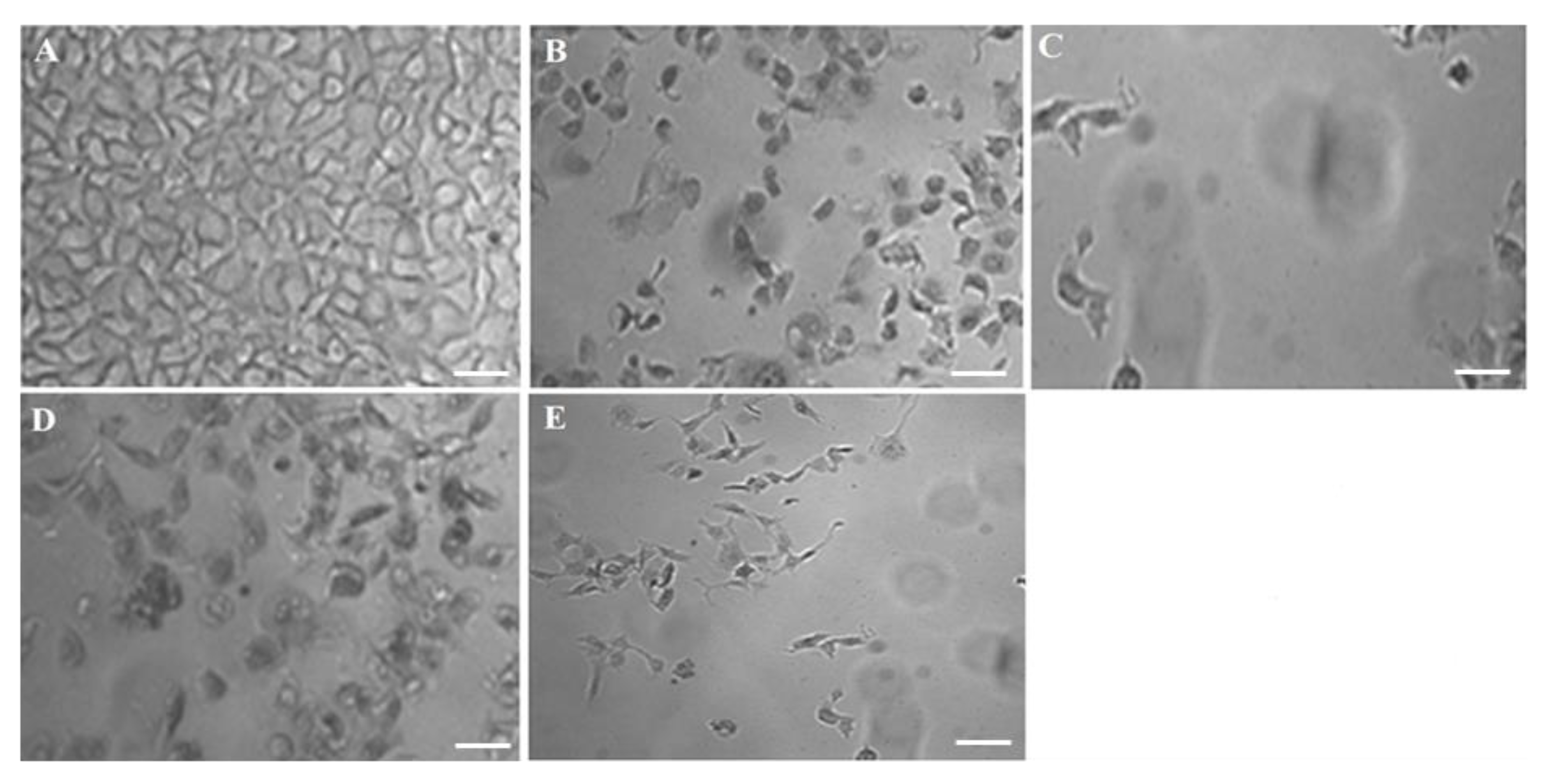
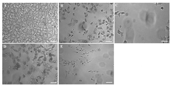
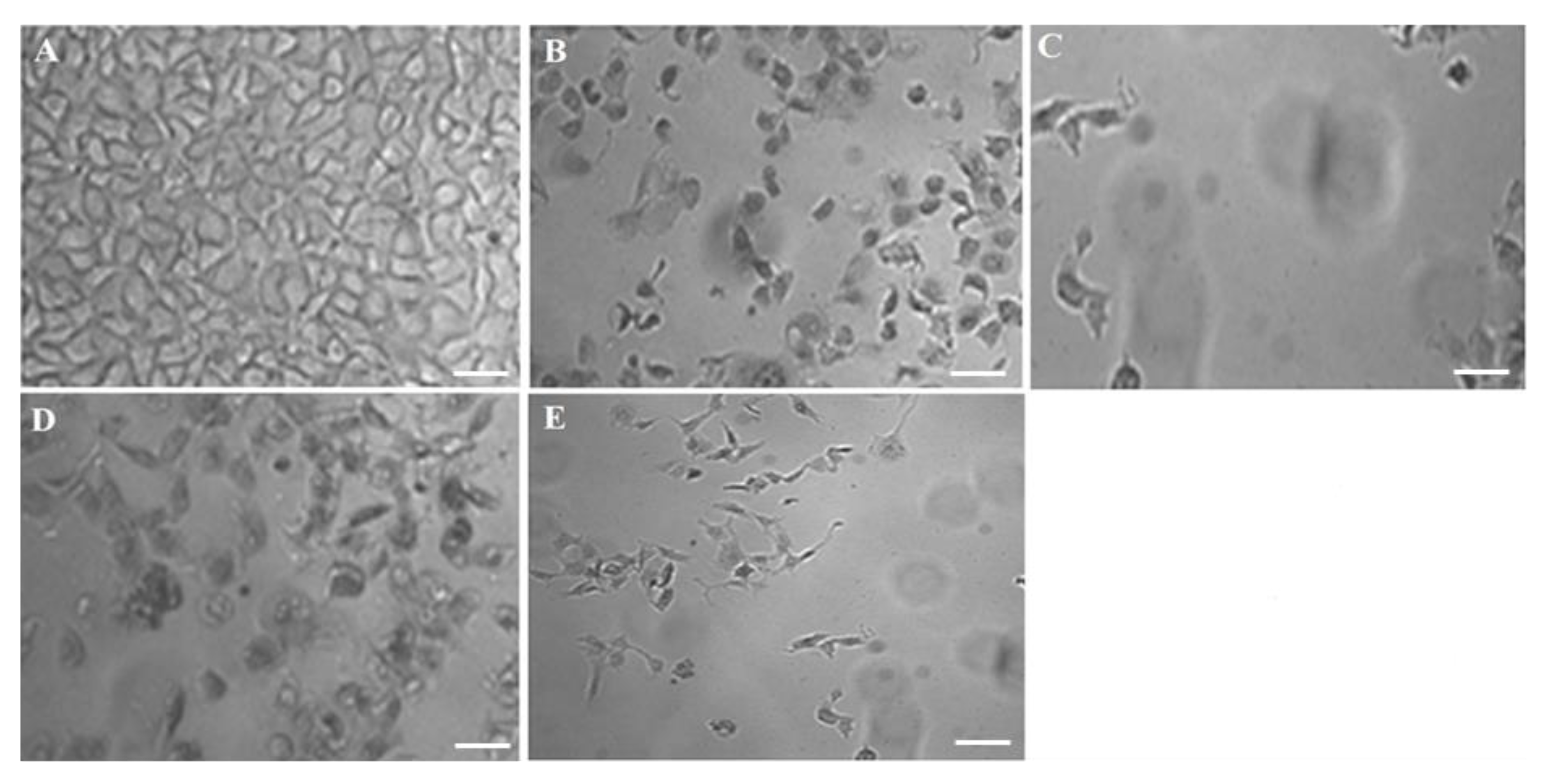
3.3.9. Apoptosis Analysis and Morphological Studies
3.3.10. GastroPlus® Prediction: PSA Analysis and Regional Absorption
Regional Compartmental Absorption
4. Conclusions
Author Contributions
Funding
Acknowledgments
Conflicts of Interest
Appendix A

References
- World Health Organization. Available online: https://gco.iarc.fr (accessed on 1 April 2020).
- Macdonald, J.S. Toxicity of 5-fluorouracil. Oncology 1999, 13, 33–34. [Google Scholar] [PubMed]
- Haggag, Y.A.; Osman, M.A.; El-Gizawy, S.A.; Goda, A.E.; Shamloula, M.M.; Faheem, A.M.; McCarron, P.A. Polymeric nano-encapsulation of 5-fluorouracil enhances anti-cancer activity and ameliorates side effects in solid Ehrlich Carcinoma-bearing mice. Biomed. Pharmacother. 2018, 105, 215–224. [Google Scholar] [CrossRef] [PubMed]
- Lai, L.F.; Guo, H.X. Preparation of new 5-fluorouracil-loaded zein nanoparticles for liver targeting. Int. J. Pharm. 2011, 404, 317–323. [Google Scholar] [CrossRef] [PubMed]
- Le, V.M.; Nho, T.D.T.; Ly, H.T.; Vo, T.S.; Nguyen, H.D.; Phung, T.T.H.; Zou, A.; Liu, J. Enhanced anticancer efficacy and tumor targeting through folate-PEG modified nanoliposome loaded with 5-fluorouracil. Adv. Nat. Sci. Nanosci. Nanotechnol. 2017, 8, 7. [Google Scholar] [CrossRef]
- Gomaa, I.E.; Gaber, S.A.A.; Bhatt, S.; Liehr, T.; Glei, M.; El-Tayeb, T.A.; Abdel-Kader, M.H. In vitro cytotoxicity and genotoxicity studies of gold nanoparticles-mediated photo-thermal therapy versus 5-fluorouracil. J. Nanopart. Res. 2015, 17, 102. [Google Scholar]
- Murawala, P.; Tirmale, A.; Shiras, A.; Prasad, B.L.V. In situ synthesized BSA capped gold nanoparticles: Effective carrier of anticancer drug Methotrexate to MCF-7 breast cancer cells. Mater. Sci. Eng. C 2014, 34, 158–167. [Google Scholar] [CrossRef]
- Srivastav, S.K.; Yamada, R.; Ogino, C.; Kondo, A. Biogenic synthesis and characterization of gold nanoparticles by Escherichia coli K12 and its heterogeneous catalysis in degradation of 4-nitrophenol. Nanoscale Res. Lett. 2013, 8, 70. [Google Scholar] [CrossRef]
- Das, S.K.; Das, A.R.; Guha, A.K. Gold nanoparticles: Microbial synthesis and application in water hygiene management. Langmuir 2009, 25, 8192–8199. [Google Scholar] [CrossRef]
- Gericke, M.; Pinches, A. Microbial production of gold nanoparticles. Gold Bull. 2006, 39, 22–28. [Google Scholar] [CrossRef]
- Narayanan, K.B.; Sakthivel, N. Biological synthesis of metal nanoparticles by microbes. Adv. Colloid Interface Sci. 2010, 156, 1–13. [Google Scholar] [CrossRef]
- Thakkar, K.N.; Mhatre, S.S.; Parikh, R.Y. Biological synthesis of metallic nanoparticles. Nanomed.-Nanotechnol. 2010, 6, 257–262. [Google Scholar] [CrossRef] [PubMed]
- Boisselier, E.; Astruc, D. Gold nanoparticles in nanomedicine: Preparations, imaging, diagnostics, therapies and toxicity. Chem. Soc. Rev. 2009, 38, 1759–1782. [Google Scholar] [CrossRef] [PubMed]
- Daniel, M.C.; Astruc, D. Gold nanoparticles: Assembly, supramolecular chemistry, quantum-size-related properties and applications toward biology, catalysis and nanotechnology. Chem. Rev. 2004, 104, 293–346. [Google Scholar] [CrossRef] [PubMed]
- Ghosh, P.; Han, G.; De, M.; Kim, C.K.; Rotello, V.M. Gold nanoparticles in delivery applications. Adv. Drug Deliv. Rev. 2008, 60, 1307–1315. [Google Scholar] [CrossRef]
- Kumar, A.; Ma, H.; Zhang, X.; Huang, K.; Jin, S.; Liu, J.; Wei, T.; Cao, W.; Zou, G.; Liang, X.J. Gold nanoparticles functionalized with therapeutic and targeted peptides for cancer treatment. Biomaterials 2012, 33, 1180–1189. [Google Scholar] [CrossRef]
- Maeda, H.; Nakamura, H.; Fang, J. The EPR effect for macromolecular drug delivery to solid tumors: Improvement of tumor uptake, lowering of systemic toxicity and distinct tumor imaging in vivo. Adv. Drug Deliv. Rev. 2003, 65, 71–79. [Google Scholar] [CrossRef]
- Paciotti, G.F.; Myer, L.; Weinreich, D.; Goia, D.; Pavel, N.; McLaughlin, R.E.; Tamarkin, L. Colloidal gold: A novel nanoparticle vector for tumor directed drug delivery. Drug Deliv. 2004, 11, 169–183. [Google Scholar] [CrossRef]
- Lee, J.J.; Beumer, J.H.; Chu, E. Therapeutic drug monitoring of 5-fluorouracil. Cancer Chemother. Pharmacol. 2016, 78, 447–464. [Google Scholar] [CrossRef]
- Dhar, S.; Reddy, E.M.; Shiras, A.; Pokharkar, V.; Prasad, B.L.V. Natural gum reduced/stabilized gold nanoparticles for drug delivery formulations. Chem. Eur. J. 2008, 14, 10244–10250. [Google Scholar] [CrossRef]
- Kratz, F. Albumin as a drug carrier: Design of prodrugs, drug conjugates and nanoparticles. J. Control Release 2008, 132, 171–183. [Google Scholar] [CrossRef]
- Mohamed, M.B.; Adbel-Ghani, N.T.; El-Borady, O.M.; El-Sayed, M.A. 5-Fluorouracil induces plasmonic coupling in gold nanospheres: New generation of chemotherapeutic agents. J. Nanomed. Nanotechnol. 2012, 3, 1–7. [Google Scholar] [CrossRef]
- Ngernyuang, N.; Seubwai, W.; Daduang, S.; Boonsiri, P.; Limpaiboon, T.; Daduang, J. Targeted delivery of 5-fluorouracil to cholangiocarcinoma cells using folic acid as a targeting agent. Mater. Sci. Eng. C 2016, 60, 411–415. [Google Scholar] [CrossRef] [PubMed]
- Safwat, M.A.; Soliman, G.M.; Sayed, D.; Attia, M.A. Fluorouracil-loaded gold nanoparticles for the treatment of skin cancer: Development, in vitro characterization and in vivo evaluation in a mouse skin cancer xenograft model. Mol. Pharm. 2018, 15, 2194–2205. [Google Scholar] [CrossRef] [PubMed]
- Wu, C.M.; Wu, P.C.; Wang, Y.H.; Li, T.J.; Yang, L.X.; Wu, Y.N.; Yang, H.Y.; Shieh, D.B. Synthesis of polynucleotide modified gold nanoparticles as a high potent anti-cancer drug carrier. J. Chin. Chem. Soc. 2009, 56, 703–708. [Google Scholar] [CrossRef]
- Safwat, M.A.; Ghareb, M.S.; Sayed, D.; Attia, M.A. Gold nanoparticles capped with benzalkonium chloride and poly (ethylene imine) for enhanced loading and skin permeability of 5-fluorouracil. Drug Dev. Ind. Pharm. 2017, 43, 1780–1791. [Google Scholar] [CrossRef] [PubMed]
- Zhao, F.; Zhao, Y.; Liu, Y.; Chang, X.; Chen, C.; Zhao, Y. Cellular uptake, intracellular trafficking and cytotoxicity of nanomaterials. Small 2011, 2011. 7, 1322–1337. [Google Scholar] [CrossRef]
- Mohammad, O.; Faisal, S.M.; Ahmad, N.; Rauf, M.A.; Umar, M.S.; Mujeeb, A.A.; Pachauri, P.; Ahmed, A.; Kashif, M.; Ajmal, M.; et al. Bio-mediated synthesis of 5-FU based nanoparticles employing orange fruit juice: A novel drug delivery system to treat skin fibrosarcoma in model animals. Sci. Rep. 2019, 9, 12288. [Google Scholar] [CrossRef]
- Singh, S.; Vidyarthi, A.S.; Nigam, V.K.; Dev, A. Extracellular facile biosynthesis, characterization and stability of gold nanoparticles by Bacillus licheniformis. Artif. Cells Nanomed. Biotechnol. 2014, 42, 6–12. [Google Scholar] [CrossRef]
- Kumari, M.; Mishra, A.; Pandey, S.; Singh, S.P.; Chaudhry, V.; Mudiam, M.K.R.; Nautiyal, C.S. Physico-chemical condition optimization during biosynthesis lead to development of improved and catalytically efficient gold nanoparticles. Sci. Rep. 2016, 6, 1–14. [Google Scholar] [CrossRef]
- Karmi, A.; Husseini, G.A.; Faroun, M.; Sowwan, M. Multifunctional nanovehicles for combined 5-fluorouracil and gold nanoparticles based on the nanoprecipitation method. J. Nanosci. Nanotechnol. 2011, 11, 4675–4683. [Google Scholar] [CrossRef]
- Nair, L.; Jagadeeshan, S.; Nair, S.A.; Kumar, G.V. Biological evaluation of 5-fluorouracil nanoparticles for cancer chemotherapy and its dependence on the carrier, PLGA. Int. J. Nanomed. 2011, 6, 1685. [Google Scholar]
- Pan, X.; Zhang, X.; Sun, H.; Zhang, J.; Yan, M.; Zhang, H. Autophagy inhibition promotes 5-fluorouraci-induced apoptosis by stimulating ROS formation in human non-small cell lung cancer A549 cells. PLoS ONE 2013, 8, e56679. [Google Scholar] [CrossRef] [PubMed]
- Hussain, A.; Samad, A.; Ramzan, M.; Ahsan, M.N.; Rehman, Z.; Ahmad, F.J. Elastic liposome-based gel for topical delivery of 5-fluorouracil: In vitro and in vivo investigation. Drug Deliv. 2016, 23, 1115–1129. [Google Scholar] [CrossRef] [PubMed]
- Dash, V.; Mishra, S.K.; Singh, M.; Goyal, A.K.; Rath, G. Release kinetic studies of aspirin microcapsules from ethyl cellulose, cellulose acetate phthalate and their mixtures by emulsion solvent evaporation method. Sci. Pharm. 2010, 78, 93–102. [Google Scholar] [CrossRef] [PubMed]
- Hussain, A.; Shakeel, F.; Singh, S.K.; Al sarra, I.A.; Faruk, A.; Alanazi, F.K.; Christoper, G.V.P. Solidified SNEDDS for the oral delivery of rifampicin: Evaluation, proof of concept, in vivo kinetics and in silico GastroPlusTM simulation. Int. J. Pharm. 2019, 566, 203–217. [Google Scholar] [CrossRef] [PubMed]
- Baskaran, M.; Baskaran, P.; Arulsamy, N.; Thyagarajan, B. Preparation and evaluation of PLGA-coated capsaicin magnetic nanoparticles. Pharm. Res. 2017, 34, 1255–1263. [Google Scholar] [CrossRef]
- McCall, R.L.; Sirianni, R.W. PLGA nanoparticles formed by single-or double-emulsion with vitamin E-TPGS. J. Vis. Exp. JoVE 2013, 82, 1–8. [Google Scholar] [CrossRef]
- Zhang, Z.; Wang, X.; Li, B.; Hou, Y.; Yang, J.; Yi, L. Development of a novel morphological paclitaxel-loaded PLGA microspheres for effective cancer therapy: In vitro and in vivo evaluations. Drug Deliv. 2018, 25, 166–177. [Google Scholar] [CrossRef]
- Steinhardt, J.; Krijn, J.; Leidy, J.G. Differences between Bovine and Human Serum Albumins: Binding Isotherms, Optical Rotatory Dispersion, Viscosity, Hydrogen Ion Titration and Fluorescence Effects. Biochemistry 1971, 10, 4005–4015. [Google Scholar] [CrossRef]
- Maghsoudi, A.; Shojaosadati, S.A.; Farahani, E.V. 5-Fluorouracil-Loaded BSA Nanoparticles: Formulation Optimization and In Vitro Release Study. AAPS Pharm. Sci. Tech. 2008, 9, 1092–1096. [Google Scholar] [CrossRef]
- Matai, I.; Sachdev, A.; Gopinath, P. Multicomponent 5-fluorouracil loaded PAMAM stabilized-silver nanocomposites synergistically induce apoptosis in human cancer cells. Biomater. Sci. 2015, 3, 457–468. [Google Scholar] [CrossRef] [PubMed]
- Sun, S.B.; Liu, P.; Shao, F.M.; Miao, Q.L. Formulation and evaluation of PLGA nanoparticles loaded capecitabine for prostate cancer. Int. J. Clin. Exp. Med. 2015, 8, 19670. [Google Scholar] [PubMed]
- Das, S.K.; Das, A.R.; Guha, A.K. Microbial synthesis of multishaped gold nanostructures. Small 2010, 6, 1012–1021. [Google Scholar] [CrossRef] [PubMed]
- Song, J.Y.; Jang, H.K.; Kim, B.S. Biological synthesis of gold nanoparticles using Magnolia kobus and Diopyros kaki leaf extract. Process. Biochem. 2009, 44, 1133–1138. [Google Scholar] [CrossRef]
- Wang, W.; Ding, X.; Xu, Q.; Wang, J.; Wang, L.; Lou, X. Zeta-potential data reliability of gold nanoparticle biomolecularconjugates and its application in sensitive quantification of surfaceabsorbed protein. Colloids Surf. B Biointerfaces 2016, 148, 541–548. [Google Scholar] [CrossRef]
- Sneha, K.; Kumar, S.M.; Kim, S.; Yun, Y. Counter ions and temperature incorporated tailoring of biogenic gold nanoparticles. Process. Biochem. 2010, 45, 1450–1458. [Google Scholar] [CrossRef]
- Komalam, A.; Muraleegharan, L.G.; Subburaj, S.; Suseela, S.; Babu, A.; George, S. Designed plasmonic nanocatalysts for the reduction of eosin Y: Absorption and fluorescence study. Int. Nano Lett. 2012, 2, 26. [Google Scholar] [CrossRef]
- Nivethaa, E.A.K.; Dhanavel, S.; Narayanan, V.; Vasu, C.A.; Stephen, A. An in vitro cytotoxicity study of 5-fluorouracil encapsulated chitosan/gold nanocomposites towards MCF-7 cells. RSC Adv. 2015, 5, 1024–1032. [Google Scholar] [CrossRef]
- Senapati, S.; Mahanta, A.K.; Kumar, S.; Maiti, P. Controlled drug delivery vehicles for cancer treatment and their performance. Signal Transduct. Target. Ther. 2018, 3, 7. [Google Scholar] [CrossRef]
- Tawfik, E.; Ahamed, M.; Almalik, A.; Alfaqeeh, M.; Alshamsan, A. Prolonged exposure of colon cancer cells to 5-fluorouracil nanoparticles improves its anticancer activity. Saudi Pharm. J. 2017, 25, 206–213. [Google Scholar] [CrossRef]
- Aseichev, A.V.; Azizova, O.A.; Beckman, E.M.; Skotnikova, O.I.; Dudnik, L.B.; Shcheglovitova, O.N.; Sergienko, V.I. Effects of Gold Nanoparticles on Erythrocyte Hemolysis. Bull. Exp. Biol. Med. 2014, 156, 495–498. [Google Scholar] [CrossRef] [PubMed]
- Dobrovolskaia, M.A.; Patri, A.K.; Zheng, J.; Clogston, J.D.; Ayub, N.; Aggarwal, P.; Neun, B.W.; Hall, J.B.; McNeil, S.E. Interaction of colloidal gold nanoparticles with human blood: Effects on particle size and analysis of plasma protein binding profiles. Nanomedicine 2009, 5, 106–117. [Google Scholar] [CrossRef] [PubMed]
- Mohiyuddin, S.; Naqvi, S.; Packirisamy, G. Enhanced antineoplastic/therapeutic efficacy using 5-fluorouracil-loaded calcium phosphate nanoparticles. Beilstein J. Nanotechnol. 2018, 9, 2499–2515. [Google Scholar] [CrossRef] [PubMed]
- Su, J.; Cheng, H.; Zhang, D.; Wang, M.; Xie, C.; Hu, Y.; Chang, H.C.-W.; Li, Q. Synergistic Effects of 5-Fluorouracil and Gambogenic Acid on A549 Cells: Activation of Cell Death Caused by Apoptotic and Necroptotic Mechanisms via the ROS-Mitochondria Pathway. Biol. Pharm. Bull. 2014, 37, 1259–1268. [Google Scholar] [CrossRef]
- Kumar, U.S.; Matai, I.; Dubey, P.; Bhushan, B.; Sachdev, A.; Gopinath, P. Differentially cross-linkable core–shell nanofibers for tunable delivery of anticancer drugs: Synthesis, characterization and their anticancer efficacy. RSC Adv. 2014, 4, 38263–38272. [Google Scholar] [CrossRef]
- Bala, I.; Hariharan, S.; Kumar, M.R. PLGA nanoparticles in drug delivery: The state of the art. Crit. Rev. Ther. Drug Carrier Sys. 2004, 21, 387–422. [Google Scholar] [CrossRef]
- Matsumura, Y.; Maeda, H. A new concept for macromolecular therapeutics in cancer chemotherapy: Mechanism of tumoritropic accumulation of proteins and the antitumor agent smancs. Cancer Res. 1986, 46, 6387–6392. [Google Scholar]
- Stehle, G.; Sinn, H.; Wunder, A.; Schrenk, H.H.; Schütt, S.; Maier-Borst, W.; Heene, D.L. The loading rate determines tumor targeting properties of methotrexate albumin conjugates in rats. Anticancer Drugs 1997, 8, 667–672. [Google Scholar] [CrossRef]
- Kratz, F.; Warnecke, A.; Scheuermann, K.; Stockmar, C.; Schwab, J.; Lazar, P.; Druckes, P.; Esser, N.; Drevs, J.; Rognan, D. Probing, The cysteine-34 position of endogenous serum albumin with thiol-binding doxorubicin derivatives. Improved efficacy of an acid-sensitive doxorubicin derivative with specific albumin-binding properties compared to that of the parent compound. J. Med. Chem. 2002, 45, 5523–5533. [Google Scholar] [CrossRef]
- Zhang, X.; Lionberger, R.A.; Davit, B.M.; Yu, L.X. Utility of Physiologically Based Absorption Modeling in Implementing Quality by Design in Drug Development. AAPS J. 2011, 13, 59–71. [Google Scholar] [CrossRef]
- Fraile, R.J.; Baker, L.H.; Buroker, T.R.; Horwitz, J.; Vaitkevicius, V.K. Pharmacokinetics of 5-Fluorouracil Administered Orally, by Rapid Intravenous and by Slow Infusion. Cancer Res. 1980, 40, 2223–2228. [Google Scholar]
- Milano, G.; Chamorey, A.L. Clinical pharmacokinetics of 5-Fluorouracil with consideration of chronopharmacokinetics. Chronobiol. Int. 2002, 19, 177–189. [Google Scholar] [CrossRef]
- Buur, A.; Trier, L.; Magnusson, C.; Artursson, P. Permeability of 5-fluorouracil and prodrugs in Caco-2 cell monolayers. Int. J. Pharm. 1996, 129, 223–231. [Google Scholar] [CrossRef]
- Newton, D.W.; Kluza, R.B. pKa values of medicinal compounds in pharmacy practice. Ann. Pharm. 1978, 12, 546–554. [Google Scholar] [CrossRef]
- Ortiz, R.; Prados, J.; Melguizo, C.; Arias, J.L.; Ruiz, M.A.; Álvarez, P.J.; Caba, O.; Luque, R.; Segura, A.; Aránega, A. 5-Fluorouracil-loaded poly(ε-caprolactone) nanoparticles combined with phage E gene therapy as a new strategy against colon cancer. Int. J. Nanomed. 2012, 7, 95–107. [Google Scholar]
- Arias, J. Novel strategies to improve the anticancer action of 5-fluorouracil by using drug delivery systems. Molecules 2008, 13, 2340–2369. [Google Scholar] [CrossRef] [PubMed]
- Omura, K. Clinical implications of dihydropyrimidine dehydrogenase (DPD) activity in 5-FU-based chemotherapy: Mutations in the DPD gene and DPD inhibitory fluoropyrimidines. Int. J. Clin. Oncol. 2003, 8, 132–138. [Google Scholar] [CrossRef]











| Formulation | Coded | Description | * CLS Concentration (%) | ** HAuCl4 (mg/L) | |||
|---|---|---|---|---|---|---|---|
| C1 | C2 | C3 | A | B | |||
| F1 | GP | Placebo 1 | 10 | - | - | - | 500 |
| F2 | CGP | Placebo 2 | 10 | - | - | - | 500 |
| F3 | 5-CGP | 5-FU loaded | 10 | - | - | - | 500 |
| F4 | 5-GP | 5-FU loaded | 10 | - | - | - | 500 |
| F5 | GP | Placebo 3 | - | 50 | - | - | 500 |
| F6 | CGP | Placebo 4 | - | 50 | - | - | 500 |
| F7 | 5-CGP | 5-FU loaded | - | 50 | - | - | 500 |
| F8 | 5-GP | 5-FU loaded | - | 50 | - | - | 500 |
| F9 | GP | Placebo 5 | - | - | 100 | - | 500 |
| F10 | CGP | Placebo 6 | - | - | 100 | - | 500 |
| F11 | 5-CGP | 5-FU loaded | - | - | 100 | - | 500 |
| F12 | 5-GP | 5-FU loaded | - | - | 100 | - | 500 |
| F13 | GP | Placebo 7 | - | - | 100 | 250 | - |
| F14 | CGP | Placebo 8 | - | - | 100 | 250 | - |
| F15 | 5-CGP | 5-FU loaded | - | - | 100 | 250 | - |
| F16 | 5-GP | 5-FU loaded | - | - | 100 | 250 | - |
| Code | Sample | Particle Size (nm) | (PDI) * | ζ (mV) * | DL * | %EE * |
|---|---|---|---|---|---|---|
| F9 | GP | 38.25 ± 11.33 | 0.247 | −26.36 ± 1.94 | - | - |
| F10 | CGP | 58.72 ± 17.65 | 0.161 | −19.51 ± 2.36 | - | - |
| F3 | 5-CGP | 81.49 ± 12.41 | 0.283 | −23.68 ± 2.88 | 26.9 ± 1.3 | 10.23 ± 0.01 |
| F7 | 5-CGP | 140.46 ± 16.48 | 0.233 | −18.18 ± 3.49 | 54.5 ± 2.7 | 37.46 ± 0.8 |
| F11 | 5-CGP | 249.62 ± 18.45 | 0.269 | −25.66 ± 3.21 | 89.4 ± 3.2 | 64.77 ± 1.32 |
| F12 | 5-GP | 178.09 ± 10.19 | 0.273 | −18.31 ± 1.97 | 37.0 ± 1.0 | 41.94 ± 0.8 |
| F13 | GP | 101.59 ± 10.17 | 0.110 | −29.87 ± 2.94 | - | - |
| F14 | CGP | 165.4 ± 9.63 | 0.265 | −27.27 ± 2.65 | - | - |
| F15 | 5-CGP | 211.04 ± 13.29 | 0.281 | −27.43 ± 2.04 | 4.71 ± 0.02 | 42.02 ± 2.4 |
| F16 | 5-GP | 112.3 ± 10.31 | 0.272 | −26.09 ± 2.68 | 3.54 ± 0.01 | 29.16 ± 1.5 |
| Input Parameters | Values |
|---|---|
| Molecular weight (g/mole) | 130.1 a |
| Molecular formula | C4H3FN2O2 d |
| LogP value | −0.3 c,d |
| Aqueous solubility (mg/mL) | 12.0 a |
| pKa value | 8.0 d |
| Apparent permeability (Papp cm s−1 × 10−6) | 1.9 (rabbit colon) c |
| Protein binding (%) | 8–12 b |
| Plasma clearance (mL/Kg/min) | 27 a |
| Oral dose (mg/m2/day) | 500 a |
| Dosing volume (mL) | 250.0 a |
| Plasma half-life (min) | 11.1 b |
| Volume of distribution (L/Kg) | 0.43 a |
| Human body weight (Kg) | 75 d |
| Simulation time (h) | 1.0 d |
Publisher’s Note: MDPI stays neutral with regard to jurisdictional claims in published maps and institutional affiliations. |
© 2020 by the authors. Licensee MDPI, Basel, Switzerland. This article is an open access article distributed under the terms and conditions of the Creative Commons Attribution (CC BY) license (http://creativecommons.org/licenses/by/4.0/).
Share and Cite
Mahdi, W.A.; Hussain, A.; Ramzan, M. 5-Fluorouracil Loaded Biogenic and Albumin Capped Gold Nanoparticles Using Bacterial Enzyme—In Vitro-In Silico Gastroplus® Simulation and Prediction. Processes 2020, 8, 1579. https://doi.org/10.3390/pr8121579
Mahdi WA, Hussain A, Ramzan M. 5-Fluorouracil Loaded Biogenic and Albumin Capped Gold Nanoparticles Using Bacterial Enzyme—In Vitro-In Silico Gastroplus® Simulation and Prediction. Processes. 2020; 8(12):1579. https://doi.org/10.3390/pr8121579
Chicago/Turabian StyleMahdi, Wael A., Afzal Hussain, and Mohd. Ramzan. 2020. "5-Fluorouracil Loaded Biogenic and Albumin Capped Gold Nanoparticles Using Bacterial Enzyme—In Vitro-In Silico Gastroplus® Simulation and Prediction" Processes 8, no. 12: 1579. https://doi.org/10.3390/pr8121579
APA StyleMahdi, W. A., Hussain, A., & Ramzan, M. (2020). 5-Fluorouracil Loaded Biogenic and Albumin Capped Gold Nanoparticles Using Bacterial Enzyme—In Vitro-In Silico Gastroplus® Simulation and Prediction. Processes, 8(12), 1579. https://doi.org/10.3390/pr8121579

