Parametric Mapping Cardiac Magnetic Resonance Imaging for the Diagnosis of Myocarditis in Children in the Era of COVID-19 and MIS-C
Abstract
:1. Introduction
2. CMR Findings of Myocardial Inflammation and Pathological Correlations
3. CMR in Acute Myocarditis
4. CMR in Chronic Myocarditis
5. CMR in COVID-19-Associated Myocarditis
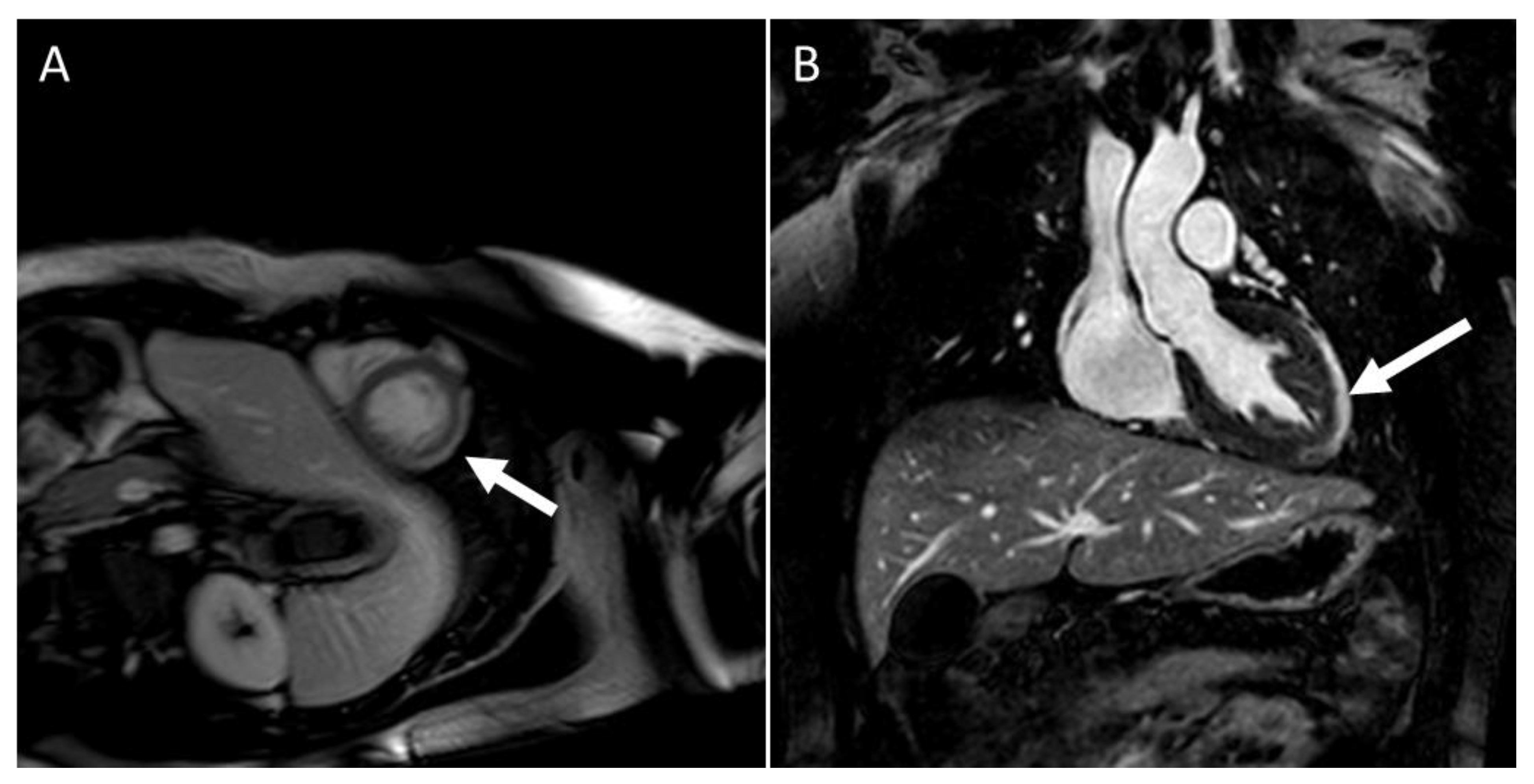
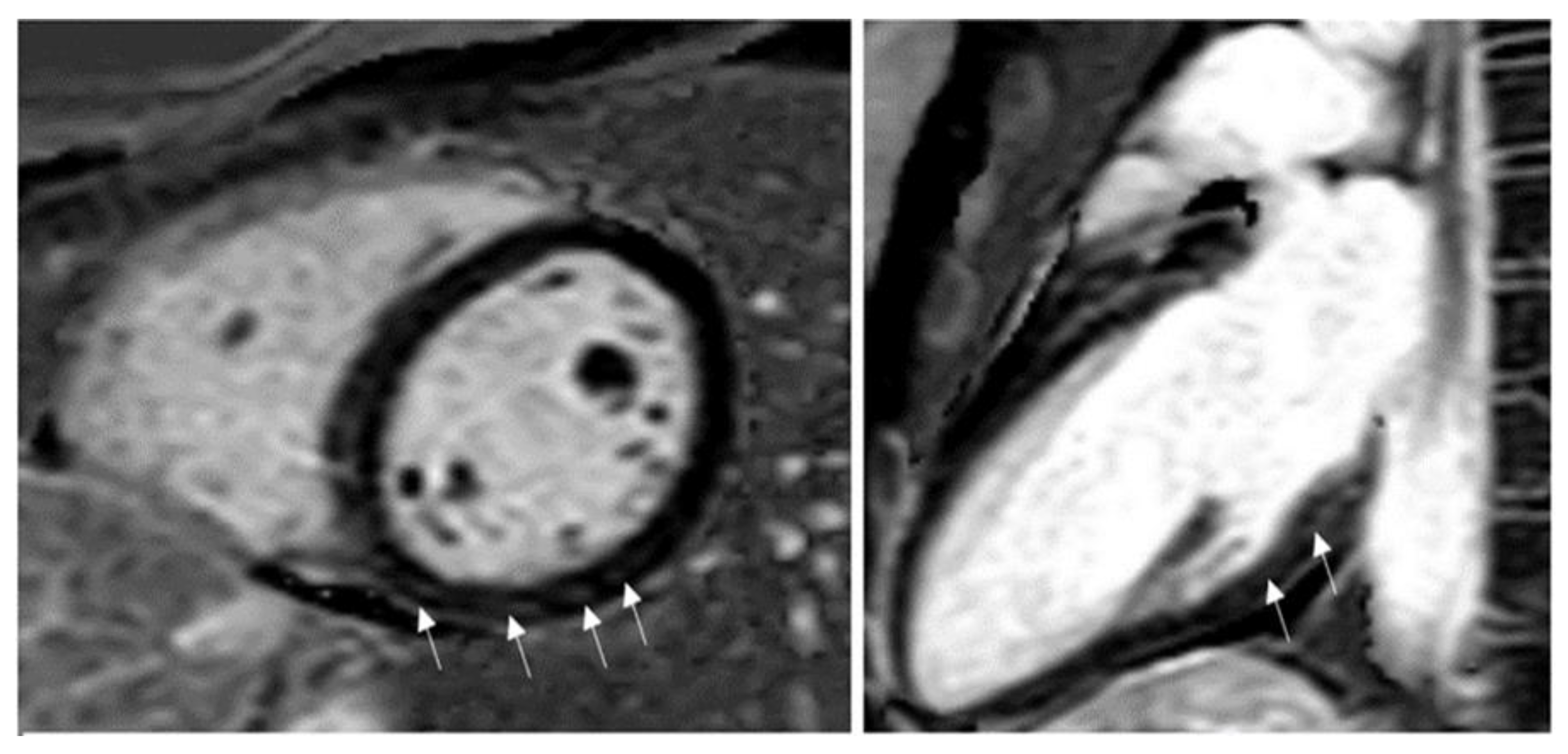
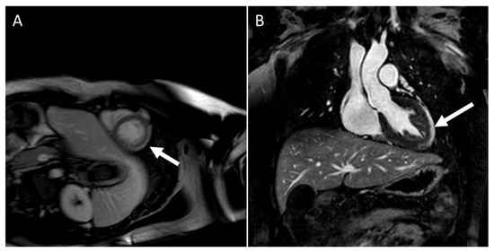
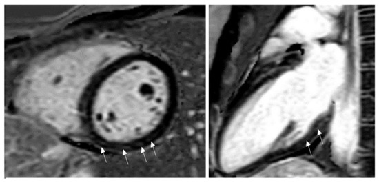
6. CMR in Myocarditis with MIS-C
7. CMR in mRNA COVID-19 Vaccine-Associated Myocarditis
8. Conclusions
Author Contributions
Funding
Institutional Review Board Statement
Informed Consent Statement
Data Availability Statement
Acknowledgments
Conflicts of Interest
References
- Klugman, D.; Berger, J.T.; Sable, C.A.; He, J.; Khandelwal, S.G.; Slonim, A.D. Pediatric patients hospitalized with myocarditis: A multi-institutional analysis. Pediatric Cardiol. 2010, 31, 222–228. [Google Scholar] [CrossRef]
- Ghelani Sunil, J.; Spaeder Michael, C.; Pastor, W.; Spurney Christopher, F.; Klugman, D. Demographics, Trends, and Outcomes in Pediatric Acute Myocarditis in the United States, 2006 to 2011. Circ. Cardiovasc. Qual. Outcomes 2012, 5, 622–627. [Google Scholar] [CrossRef] [PubMed] [Green Version]
- Rodriguez-Gonzalez, M.; Sanchez-Codez, M.I.; Lubian-Gutierrez, M.; Castellano-Martinez, A. Clinical presentation and early predictors for poor outcomes in pediatric myocarditis: A retrospective study. World J. Clin. Cases 2019, 7, 548–561. [Google Scholar] [CrossRef] [PubMed]
- Canter, C.E.; Simpson, K.E. Diagnosis and treatment of myocarditis in children in the current era. Circulation 2014, 129, 115–128. [Google Scholar] [CrossRef] [PubMed] [Green Version]
- Dasgupta, S.; Iannucci, G.; Mao, C.; Clabby, M.; Oster, M.E. Myocarditis in the pediatric population: A review. Cong Heart Dis. 2019, 14, 868–877. [Google Scholar] [CrossRef]
- Bejiqi, R.; Retkoceri, R.; Maloku, A.; Mustafa, A.; Bejiqi, H.; Bejiqi, R. The diagnostic and clinical approach to pediatric myocarditis: A review of the current literature. Open Access Maced. J. Med. Sci. 2019, 7, 162–173. [Google Scholar] [CrossRef] [Green Version]
- Martinez-Villar, M.; Gran, F.; Sabaté-Rotés, A.; Tello-Montoliu, A.; Castellote, A.; Figueras-Coll, M.; Ferrer, Q.; Roses-Noguer, F. Acute myocarditis with infarct-like presentation in a pediatric population: Role of cardiovascular magnetic resonance. Pediatric Cardiol. 2018, 39, 51–56. [Google Scholar] [CrossRef]
- Abrar, S.; Ansari, M.J.; Mittal, M.; Kushwaha, K.P. Predictors of mortality in pediatric myocarditis. J. Clin. Diagn. Res. 2016, 10, Sc12–Sc16. [Google Scholar]
- Kociol, R.D.; Cooper, L.T.; Fang, J.C. recognition and initial management of fulminant myocarditis: A scientific statement from the American Heart Association. Circulation 2020, 141, e69–e92. [Google Scholar] [CrossRef]
- Law, Y.M.; Lal, A.K.; Chen, S.; Cihakova, D.; Cooper, L.T.; Deshpande, S.; Godown, J.; Grosse-Wortmann, L.; Robinson, J.D.; Towbin, J.A.; et al. American Heart Association Pediatric Heart Failure and Transplantation Committee of the Council on Lifelong Congenital Heart Disease and Heart Health in the Young and Stroke Council. Diagnosis and management of myocarditis in children: A scientific statement from the American Heart Association. Circulation 2021, 144, e123–e135. [Google Scholar]
- Ammirati, E.; Frigerio, M.; Adler, E.; Basso, C.; Birnie, D.H.; Brambatti, M.; Hare, J.M.; Heidecker, B.; Heymans, S.; Hubner, N.; et al. Management of acute myocarditis and chronic inflammatory cardiomyopathy: An expert consensus document. Circ. Heart Fail. 2020, 13, e007405. [Google Scholar] [CrossRef] [PubMed]
- McNamara, D.M.; Starling, R.C.; Cooper, L.T.; Boehmer, J.P.; Mather, P.J.; Janosko, K.M.; Gorscan, J., 3rd; Kip, K.E.; Dec, G.W. Clinical and demographic predictors of outcomes in recent-onset dilated cardiomyopathy. Results of the IMAC (Intervention in Myocarditis and Acute Cardiomyopathy)-2 study. J. Am. Coll. Cardiol. 2011, 58, 1112–1118. [Google Scholar] [CrossRef] [PubMed] [Green Version]
- Caforio, A.L.P.; Pankuweit, S.; Arbustini, E.; Basso, C.; Gimeno-Blanes, J.; Felix, S.B.; Fu, M.; Heliö, T.; Heymans, S.; Jahns, R.; et al. Current state of knowledge on aetiology, diagnosis, management, and therapy of myocarditis: A position statement of the European Society of Cardiology Working Group on Myocardial and Pericardial Diseases. Eur. Heart J. 2013, 34, 2636–4814. [Google Scholar] [CrossRef] [PubMed]
- Tschope, C.; Ammirati, E.; Bozkurt, B.; Caforio, A.L.P.; Cooper, L.T.; Felix, S.B.; Hare, J.M.; Heidecker, B.; Heymans, S.; Hübner, N.; et al. Myocarditis and inflammatory cardiomyopathy: Current evidence and future directions. Nat. Rev. Cardiol. 2021, 18, 169–193. [Google Scholar] [CrossRef] [PubMed]
- Klein, A.L.; Abbara, S.; Agler, D.A.; Appleton, C.P.; Asher, C.R.; Hoit, B.; Hung, J.; Garcia, M.J.; Kronzon, I.; Oh, J.K.; et al. American Society of Echocardiography clinical recommendations for multimodality cardiovascular imaging of patients with pericardial disease. J. Am. Soc. Echocardiogr. 2013, 26, 965–1012. [Google Scholar] [CrossRef] [PubMed]
- Friedrich, M.G.; Sechtem, U.; Schulz-Menger, J.; Holmvang, G.; Alakija, P.; Cooper, L.T.; Liu, P.; White, J.A.; Abdel-Aty, H.; Gutberlet, M.; et al. Cardiovascular magnetic resonance in myocarditis: A JACC white paper. J. Am. Coll. Cardiol. 2009, 53, 1475–1487. [Google Scholar] [CrossRef] [PubMed] [Green Version]
- Wei, S.; Fu, J.; Chen, L.; Yu, S. Performance of cardiac magnetic resonance imaging for diagnosis of myocarditis compared with endomyocardial biopsy. Med. Sci. Monit. 2017, 23, 3687–3696. [Google Scholar] [CrossRef] [Green Version]
- Pan, J.A.; Lee, Y.J.; Salerno, M. Diagnostic performance of extracellular volume, native T1, and T2 mapping versus lake Louis criteria by cardiac magnetic resonance for detection of acute myocarditis: A meta-analysis. Circ. Cardiovasc. Imaging 2018, 11, e007598. [Google Scholar] [CrossRef] [Green Version]
- Ferreira, V.M.; Schulz-Menger, J.; Holmvang, G.; Kramer, C.M.; Carbone, I.; Sechtem, U.; Kinderman, I.; Gutberlet, M.; Cooper, L.T.; Liu, P.; et al. Cardiovascular magnetic resonance in nonischemic myocardial inflammation: Expert recommendations. J. Am. Coll. Cardiol. 2018, 72, 3158–3176. [Google Scholar] [CrossRef]
- Luetkens, J.A.; Faron, A.; Isaak, A.; Kuetting, D.; Gliem, C.; Dabir, D.; Kornblum, C.; Thomas, D. Comparison of original and 2018 Lake Louise criteria for diagnosis of acute myocarditis: Results of a validation cohort. Radiol. Cardiothorac. Imaging 2019, 1, e190010. [Google Scholar] [CrossRef]
- Isaak, A.; Bischoff, L.; Faron, A.; Endler, C.; Mesropyan, N.; Sprinkart, A.; Peiper, C.C.; Kuetting, D.; Dabir, D.; Attenberger, U.; et al. Multiparametric cardiac magnetic resonance imaging in pediatric and adolescent patients with acute myocarditis. Pediatric Radiol. 2021, 51, 2470–2480. [Google Scholar] [CrossRef] [PubMed]
- Cornicelli, M.D.; Rigsby, C.K.; Rychlik, K.; Pahl, E.; Robinson, J.D. Diagnostic performance of cardiovascular magnetic resonance native T1 and T2 mapping in pediatric patients with acute myocarditis. J. Cardiovasc. Magn. Reson. 2019, 21, 40. [Google Scholar] [CrossRef] [PubMed] [Green Version]
- Hales-Kharazmi, A.; Hirsch, N.; Slesnik, T.; Deshpande, S.R. Utility of cardiac MRI in pediatric myocarditis. Cardiol. Young 2018, 3, 377–385. [Google Scholar] [CrossRef]
- Banka, P.; Robinson, J.D.; Uppu, S.C.; Harris, M.A.; Hasbani, K.; Lai, W.W.; Richmond, M.; Fratzz, S.; Jain, S.; Johnson, T.R.; et al. Cardiovascular magnetic resonance techniques and findings in children with myocarditis: A multicenter retrospective study. J. Cardiovasc. Magn. Reson. 2015, 17, 96. [Google Scholar] [CrossRef] [PubMed] [Green Version]
- Chinali, M.; Franceschini, A.; Ciancarella, P.; Lisignoli, V.; Curione, D.; Ciliberti, P.; Esposito, C.; Pasqua, A.D.; Rinelli, G.; Secinaro, A. Echocardiographic two-dimensional speckle tracking identifies acute regional myocardial edema and sub-acute fibrosis in pediatric focal myocarditis with normal ejection fraction: Comparison with cardiac magnetic resonance. Sci. Rep. 2020, 10, 11321. [Google Scholar] [CrossRef]
- Francone, M.; Chimenti, C.; Galea, N.; Scopelliti, F.; Verardo, R.; Galea, R.; Carbone, I.; Catalano, C.; Fedele, F.; Frustaci, A. CMR sensitivity varies with clinical presentation and extent of cell necrosis in biopsy-proven acute myocarditis. JACC Cardiovasc. Imaging 2014, 7, 254–263. [Google Scholar] [CrossRef]
- Yuan, W.-F.; Zhao, X.-X.; Sun, W.-J.; Shao-Ping, W.; Ya-Bin, L.; Tang, X. LGE-MRI in the assessment of left ventricular remodeling in myocarditis. Curr. Med. Imaging 2019, 15, 900–905. [Google Scholar] [CrossRef]
- Martins, D.S.; Ait-Ali, L.; Khraiche, D.; Festa, P.; Barison, A.; Martini, N.; Benadjaoud, Y.; Anjos, R.; Boddaert, N.; Bonnet, D.; et al. Evolution of acute myocarditis in a pediatric population: An MRI based study. Int. J. Cardiol. 2021, 329, 226–233. [Google Scholar] [CrossRef]
- Grigoratus, C.; Bella, G.D.; Aquaro, G.D. Diagnostic and prognostic role of cardiac magnetic resonance in acute myocarditis. Heart Fail. Rev. 2019, 24, 81–90. [Google Scholar] [CrossRef]
- Dusenbery, S.M.; Newburger, J.W.; Colan, S.D.; Gauvreau, K.; Baker, A.; Powell, A.J. Myocardial fibrosis in patients with a history of Kawasaki disease. IJC Heart Vasc. 2021, 32, 100713. [Google Scholar] [CrossRef]
- Secinaro, A.; Ntsinjana, H.; Tann, O.; Schuler, P.K.; Muthurangu, V.; Hughes, M.; Tsang, V.; Taylor, A.M. Cardiovascular magnetic resonance findings in repaired anomalous left coronary artery to pulmonary artery connection (ALCAPA). J. Cardiovasc. Magn. Reson. 2011, 1391, 27. [Google Scholar] [CrossRef] [PubMed] [Green Version]
- Mahrholdt, H.; Wagner, A.; Deluigi, C.C.; Kispert, E.; Hager, S.; Meinhardt, G.; Vogelseberg, H.; Fritz, P.; Dippon, J.; C-Thomas, B.; et al. Presentation, patterns of myocardial damage, and clinical course of viral myocarditis. Circulation 2006, 114, 1581–1590. [Google Scholar] [CrossRef] [PubMed] [Green Version]
- Saeed, M.; Hetts, S.W.; Jablonowski, R.; Wilson, M.W. Magnetic resonance imaging and multi-detector computed tomography assessment of extracellular compartment in ischemic and nonischemic myocardial pathologies. World J. Cardiol. 2014, 6, 1192–1218. [Google Scholar] [CrossRef]
- Messroghli, D.R.; Moon, J.C.; Ferreira, V.M.; Grosse-Wortmann, L.; He, T.; Kellman, P. Clinical recommendations for cardiovascular magnetic resonance mapping of T1, T2, T2* and extracellular volume: A consensus statement by the Society for Cardiovascular Magnetic Resonance (SCMR) endorsed by the European Association for Cardiovascular Imaging (EACVI). J. Cardiovasc. Magn. Reson. 2017, 19, 75. [Google Scholar] [PubMed] [Green Version]
- Gagliardi, M.G.; Bevilacqua, M.; Di Renzi, P.; Picardo, S.; Passariello, R.; Marcelletti, C. Usefulness of magnetic resonance imaging for diagnosis of acute myocarditis in infants and children, and comparison with endomyocardial biopsy. Am. J. Cardiol. 1991, 68, 1089–1091. [Google Scholar] [CrossRef]
- Dubey, S.; Agarwal, A.; Nguyen, S.; Adebo, D. Persistence of late gadolinium enhancement on follow-up CMR imaging in children with acute myocarditis. Pediatric Cardiol. 2020, 41, 1777–1782. [Google Scholar] [CrossRef] [PubMed]
- Lurz, P.; Luecke, C.; Eitel, I.; Fohrenbach, F.; Frank, C.; Grothoff, M.; de Waha, S.; Rommel, K.P.; Lurz, J.A.; Klingel, K.; et al. Comprehensive cardiac magnetic resonance imaging in patients with suspected myocarditis: The MyoRacer-Trial. J. Am. Coll. Cardiol. 2016, 67, 1800–1811. [Google Scholar] [CrossRef]
- Cooper, L.T.; Baughman, K.L.; Feldman, A.M.; Frustaci, A.; Jessup, M.; American Heart Association; American College of Cardiology; European Society of Cardiology; Heart Failure Society of America; Heart Failure Association of the European Society of Cardiology. The role of endomyocardial biopsy in the management of cardiovascular disease: A scientific statement from the American Heart Association, the American College of Cardiology, and the European Society of Cardiology. Endorsed by the Heart Failure Society of America and the Heart Failure Association of the European Society of Cardiology. J. Am. Coll. Cardiol. 2007, 50, 1914–1931. [Google Scholar]
- Brambatti, M.; Matassini, M.V.; Adler, E.D.; Klingel, K.; Camici, P.G.; Ammirati, E. Eosinophilic myocarditis characteristics, treatment, and outcomes. J. Am. Coll. Cardiol. 2017, 70, 2363–2375. [Google Scholar] [CrossRef]
- Frustaci, A.; Russo, M.A.; Chimenti, C. Randomized study on the efficacy of immunosuppressive therapy in patients with virus-negative inflammatory cardiomyopathy: The TIMIC study. Eur. Heart J. 2009, 30, 1995–2002. [Google Scholar] [CrossRef]
- Baccouche, H.; Mahrholdt, H.; Meinhardt, G.; Merher, R.; Voehringer, M.; Hill, S.; Klingel, K.; Kanndolf, R.; Sechtem, U.; Yilmaz, A. Diagnostic synergy of noninvasive cardiovascular magnetic resonance and invasive endomyocardial biopsy in troponin-positive patients without coronary artery disease. Eur. Heart J. 2009, 30, 2869–2879. [Google Scholar] [CrossRef] [PubMed] [Green Version]
- Windram, J.; Grosse-Wortmann, L.; Shariat, M.; Greer, M.-L.; Crawford, M.W.; Yoo, S.-J. Cardiovascular MRI without sedation or general anesthesia using a feed-and-sleep technique in neonates and infants. Pediatric Radiol. 2012, 42, 183–187. [Google Scholar] [CrossRef] [PubMed]
- Fogel, M.A.; Weinberg, P.M.; Parave, E.; Harris, C.; Montenegro, L.; Harris, M.A.; Concepcion, M. Deep sedation for cardiac magnetic resonance imaging: A comparison with cardiac anesthesia. J. Pediatric 2008, 152, 534–539. [Google Scholar] [CrossRef] [PubMed]
- Odegard, K.C.; DiNardo, J.A.; Tsai-Goodman, B.; Powell, A.J.; Geva, T.; Laussen, P.C. Anesthesia considerations for cardiac MRI in infants and small children. Pediatric Anesth. 2004, 14, 471–476. [Google Scholar] [CrossRef]
- Stockton, E.; Hughes, M.; Broadhead, M.; Taylor, A.; McEwan, A. A prospective audit of safety issues associated with general anesthesia for pediatric cardiac magnetic resonance imaging. Paediatr. Anaesth. 2012, 22, 1087–1093. [Google Scholar] [CrossRef]
- Sarikouch, S.; Schaeffler, R.; Körperich, H.; Dongas, A.; Haas, N.A.; Beerbaum, P. Cardiovascular magnetic resonance imaging for intensive care infants: Safe and effective? Pediatric Cardiol. 2009, 30, 146–152. [Google Scholar] [CrossRef]
- Mitchell, F.M.; Prasad, S.K.; Greil, G.F.; Drivas, P.; Vassiliou, V.S.; Raphael, C.E. Cardiovascular magnetic resonance: Diagnostic utility and specific considerations in the pediatric population in children: Review Paper. World J. Clin. Pediatric 2016, 5, 1. [Google Scholar] [CrossRef]
- Hinojar, R.; Foote, L.; Ucar, E.A.; Jackson, T.; Jabbour, A.; Yu, C.-Y.; mcChohon, J.; Higgins, D.M.; Carr-White, G.; Mayr, M.; et al. Native T1 in discrimination of acute and convalescent stages in patients with clinical diagnosis of myocarditis: A proposed diagnostic algorithm using CMR. JACC Cardiovasc. Imaging 2015, 8, 37–46. [Google Scholar] [CrossRef] [Green Version]
- Bohnen, S.; Radunski, U.K.; Lund, G.K.; Kandolf, R.; Stehning, C.; Schnackenburg, B.; Adam, G.; Blankenberg, S.; Muellerleile, K. Performance of T1 and T2 mapping cardiovascular magnetic resonance to detect active myocarditis in patients with recent-onset heart failure. Circ. Cardiovasc. Imaging 2015, 8, e003073. [Google Scholar] [CrossRef] [Green Version]
- Latus, H.; Gummel, K.; Klingel, K.; Moysich, A.; Khalil, M.; Mazhari, N.; Bauer, J.; Kandolf, R.; Schranz, D.; Apitz, C. Focal myocardial fibrosis assessed by late gadolinium enhancement cardiovascular magnetic resonance in children and adolescents with dilated cardiomyopathy. J. Cardiovasc. Magn. Reson. 2015, 17, 34. [Google Scholar] [CrossRef] [Green Version]
- Grun, S.; Schumm, J.; Greulich, S.; Wagner, A.; Schneider, S.; Burder, O.; Kispert, E.M.; Hill, S.; Ong, P.; Klingel, K.; et al. Long-term follow-up of biopsy-proven myocarditis: Predictors of mortality and incomplete recovery. J. Am. Coll. Cardiol. 2012, 59, 1604–1615. [Google Scholar] [CrossRef] [PubMed]
- Ait-Ali, L.; Martins, D.S.; Khraiche, D.; Festa, P.; Barison, A.; Martini, N.; Benadjaoud, Y.; Anjos, R.; Boddaert, N.; Bonnet, D.; et al. Cardiac MRI prediction of recovery in children with acute myocarditis. JACC Cardiovasc. Imaging 2021, 14, 693–695. [Google Scholar] [CrossRef] [PubMed]
- Baessler, B.; Luecke, C.; Lurz, J.; Klingel, K.; Das, A.; von Roeder, M.; de Waha-Thiele, S.; Besler, C.; Rommel, K.-P.; Mantiz, D.; et al. Cardiac MRI and texture analysis of myocardial T1 and T2 maps in myocarditis with acute versus chronic symptoms of heart failure. Radiology 2019, 292, 608–617. [Google Scholar] [CrossRef] [PubMed]
- Foerster, S.R.; Canter, C.E.; Cinar, A.; Sleeper, L.A.; Webber, S.A.; Pahl, E.; Kantor, P.F.; Alvarez, J.A.; Colan, S.D.; Jefferies, J.L.; et al. Ventricular remodeling and survival are more favorable for myocarditis than for idiopathic dilated cardiomyopathy in childhood: An outcomes study from the Pediatric Cardiomyopathy Registry. Circ. Heart Fail. 2010, 3, 689–697. [Google Scholar] [CrossRef] [Green Version]
- Lurz, P.; Eitel, I.; Adam, J.; Steiner, J.; Grothoff, M.; Desch, S.; Fuernau, G.; de Eaha, S.; Sareban, M.; Luecke, C.; et al. Diagnostic performance of CMR imaging compared with EMB in patients with suspected myocarditis. JACC Cardiovasc. Imaging 2012, 5, 513–524. [Google Scholar] [CrossRef]
- Aquaro, G.D.; Ghebru Habtemicael, Y.; Camastra, G.; Monti, L.; Dellegrottaglie, S.; Moro, C.; Lanzillo, C.; Scatteia, A.; Di Roma, M.; Pontone, G.; et al. “Cardiac Magnetic Resonance” Working Group of the Italian Society of Cardiology. Prognostic value of repeating cardiac magnetic resonance in patients with acute myocarditis. J. Am. Coll. Cardiol. 2019, 74, 2439–2448. [Google Scholar] [CrossRef]
- Buckley, B.J.R.; Harrison, S.L.; Fazio-Eynullayeva, E.; Underhill, P.; Lane, D.A.; Lip, G.Y.H. Prevalence and clinical outcomes of myocarditis and pericarditis in 718,365 COVID-19 patients. Eur. J. Clin. Investig. 2021, 51, e13679. [Google Scholar] [CrossRef]
- Shi, S.; Qin, M.; Shen, B.; Cai, Y.; Liu, T.; Yang, F.; Gong, W.; Liu, X.; Liang, J.; Zhao, Q.; et al. Association of cardiac injury with mortality in hospitalized patients with COVID-19 in Wuhan, China. JAMA Cardiol. 2020, 5, 802–810. [Google Scholar] [CrossRef] [Green Version]
- Tavazzi, G.; Pellegrini, C.; Maurelli, M.; Belliato, M.; Sciutti, F.; Bottazzi, A.; Sepe, P.A.; Resasco, T.; Camporotondo, R.; Bruno, R.; et al. Myocardial localization of coronavirus in COVID-19 cardiogenic shock. Eur. J. Heart Fail. 2020, 22, 911–915. [Google Scholar] [CrossRef] [Green Version]
- Lindner, D.; Fitzek, A.; Brauninger, H.; Aleshcheva, G.; Edler, C.; Meissner, K.; Scherschel, K.; Kirchohof, P.; Escher, F.; Schultheiss, H.P.; et al. Association of cardiac infection with SARS-CoV-2 in confirmed COVID-19 autopsy cases. JAMA Cardiol. 2020, 5, 1281–1285. [Google Scholar] [CrossRef]
- Halushka, M.K.; Vander Heide, R.S. Myocarditis is rare in COVID-19 autopsies: Cardiovascular findings across 277 postmortem examinations. Cardiovasc. Pathol. 2021, 50, 107300. [Google Scholar] [CrossRef] [PubMed]
- Kawakami, R.; Sakamoto, A.; Kawai, K.; Gianatti, A.; Pellegrini, D.; Nasr, A.; Kutys, B.; Guo, L.; Cornelissen, A.; Mori, M.; et al. Pathological evidence of SARS-CoV2 as a cause of myocarditis: JACC review topic of the week. J. Am. Coll. Cardiol. 2021, 77, 314–325. [Google Scholar] [CrossRef] [PubMed]
- Bearse, M.; Hung, Y.P.; Krauson, A.J.; Bonanno, L.; Boyraz, B.; Harris, C.K.; Helland, T.L.; Hilburn, C.F.; Hutichison, B.; Jobbagy, S.; et al. Factors associated with myocardial SARS-CoV-2 infection, myocarditis, and cardiac inflammation in patients with COVID-19. Mod. Pathol. 2021, 34, 1345–1357. [Google Scholar] [CrossRef]
- Li, W.; Moore, M.J.; Vasilieva, N.; Sui, J.; Wong, S.K.; Berne, M.A.; Somasundaran, M.; Sullivan, J.L.; Luzuriaga, K.; Grrenough, T.C.; et al. Angiotensin-converting enzyme 2 is a functional receptor for the SARS coronavirus. Nature 2003, 426, 450–454. [Google Scholar] [CrossRef] [PubMed] [Green Version]
- Banu, N.; Panikar, S.S.; Leal, L.R.; Leal, A.R. Protective role of ACE2 and its downregulation in SARS-CoV-2 infection leading to macrophage activation syndrome: Therapeutic implications. Life Sci. 2020, 256, 117905. [Google Scholar] [CrossRef]
- Das, B.B.; Tejtel, S.K.S.; Deshpande, S.; Shekerdemian, L.S. A review of the cardiovascular effects of COVID-9 in adults and children. Tex. Heart Inst. J. 2021, 48, e207395. [Google Scholar] [CrossRef]
- Incardi, R.M.; Lupi, L.; Zaccone, G.; Italia, L.; Raffo, M.; Tomasoni, D.; Cani, D.S.; Cerini, M.; Farina, M.; Gavazzi, E.; et al. Cardiac involvement in pa patient eith coronavirus disease 2019 (COVID-19). JAMA Cardiol. 2020, 5, 819–824. [Google Scholar] [CrossRef] [Green Version]
- Kelle, S.; Bucciarelli-Ducci, C.; Judd, R.M.; Kwong, R.Y.; Simonetti, O.; Plein, S.; Raimondi, F.; Weinsaft, J.W.; Wong, T.C.; Carr, J. Society for Cardiovascular Magnetic resonance (SCMR) recommended CMR protocols for scanning patients with active or convalescent-phase COVID-19 infection. J. Cardiovasc. Magn. Reson. 2020, 22, 61. [Google Scholar] [CrossRef]
- Puntmann, V.O.; Carerj, M.L.; Wieters, I.; Fahim, M.; Arendt, C.; Hoffmann, J.; Shchendrygina, A.; Escher, F.; Vasa-Nicotera, M.; Zeiher, A.M.; et al. Outcomes of cardiovascular magnetic resonance imaging in patients recently recovered from coronavirus disease 2019 (COVID-19). JAMA Cardiol. 2020, 5, 1265–7365. [Google Scholar] [CrossRef]
- Gnecchi, M.; Moretti, F.; Bassi, E.M.; Leonardi, S.; Totaro, R.; Perotti, L.; Zuccaro, V.; Perilin, S.; Preda, L.; Baldanti, F.; et al. Myocarditis in a 16-year-old boy positive for SARS-CoV-2. Lancet 2020, 395, e116. [Google Scholar] [CrossRef]
- Das, B.B. SARS-CoV-2 Myocarditis in a High School Athlete after COVID-19 and Its Implications for Clearance for Sports. Children 2021, 8, 427. [Google Scholar] [CrossRef] [PubMed]
- Rajpal, S.; Tong, M.S.; Borchers, J. Cardiovascular magnetic resonance findings in competitive athletes recovering from COVID-19 infection. JAMA Cardiol. 2021, 6, 116–118. [Google Scholar] [CrossRef] [PubMed]
- Clark, D.E.; Parikh, A.; Dendy, J.M. COVID-19 myocardial pathology evaluation in athletes with cardiac magnetic resonance (COMPETE CMR). Circulation 2021, 143, 609–612. [Google Scholar] [CrossRef] [PubMed]
- Starekova, J.; Bluemke, D.A.; Bradham, W.S. Evaluation for myocarditis in competitive student-athletes recovering from coronavirus disease 2019 with cardiac magnetic resonance imaging. JAMA Cardiol. 2021, 6, 945–950. [Google Scholar] [CrossRef]
- Kim, I.N.-C.; Kim, J.Y.; Kim, H.A.; Han, S. COVID-19-related myocarditis in a 21-year-old female patient. Eur. Heart J. 2020, 41, 1859. [Google Scholar] [CrossRef]
- Luetkens, J.A.; Isaak, A.; Öztürk, C.; Mesropyan, N.; Monin, M.; Schlabe, S.; Reinert, M.; Faron, A.; Heine, A.; Velten, M.; et al. Cardiac MRI in Suspected Acute COVID-19 Myocarditis. Radiol. Cardiothorac. Imaging 2021, 3, e200628. [Google Scholar] [CrossRef]
- Maurus, S.; Weckbach, L.T.; Marschner, C.; Kunz, W.G.; Ricke, J.; Kazmierczak, P.M.; Bieber, S.; Brado, J.; Kraechan, A.; Hellmuth, J.C.; et al. Differences in cardiac magnetic resonance imaging markers between patients with COVID-19 associated myocardial injury and patients with clinically suspected myocarditis. J. Thorac. Imaging 2021, 36, 279–285. [Google Scholar] [CrossRef]
- Theocharis, P.; Wong, J.; Pushparajah, K.; Mathur, S.K.; Simpson, J.M.; Pascall, E.; Cleary, A.; Stewart, K.; Adhvaryu, K.; Savis, A.; et al. Multimodality cardiac evaluation in children and young adults with multisystem inflammation associated with COVID-19. Eur. Heart J. Cardiovasc. Imaging 2021, 22, 896–903. [Google Scholar] [CrossRef]
- Libby, P.; Lüscher, T. COVID-19 is, in the end, an endothelial disease. Eur. Heart J. 2020, 41, 3038–3044. [Google Scholar] [CrossRef]
- Bartoszek, M.; Małek, Ł.; Barczuk-Falęcka, M.; Brzewski, M. Cardiac magnetic resonance follow-up of children after pediatric inflammatory multisystem syndrome temporally associated with SARS-CoV-2 with initial cardiac involvement. J. Magn. Reson. Imaging 2021, 55, 27870. [Google Scholar] [CrossRef]
- Webster, G.; Patel, A.B.; Carr, M.R.; Rigsby, C.K.; Rychlik, K.; Rowley, A.H.; Robinson, J.D. Cardiovascular magnetic resonance imaging in children after recovery from symptomatic COVID-19 or MIS-C: A prospective study. J. Cardiovasc. Magn. Reson. 2021, 23, 86. [Google Scholar] [CrossRef] [PubMed]
- Aeschliman, F.A.; Misra, N.; Hussein, T.; Panaioli, E.; Soslow, J.H.; Crum, K.; Steele, J.M.; Huber, S.; Marcora, S.; Brambilla, P.; et al. Myocardial involvement in children with post-COVID multisystem inflammatory syndrome: A cardiovascular magnetic resonance-based multicenter international study—The CARDOVID registry. J. Cardiovasc. Magn. Reson. 2021, 23, 140. [Google Scholar] [CrossRef] [PubMed]
- Blondiaux, E.; Parisot, P.; Redheuil, A.; Tzaroukian, L.; Levy, Y.; Sileo, C.; Schnuriger, A.; Lorrot, M.; Guedj, R.; le Pointe, H.D. Cardiac MRI in Children with multisystem inflammatory syndrome associated with COVID-19. Radiology 2020, 297, E283–E288. [Google Scholar] [CrossRef] [PubMed]
- Chakraborty, A.; Philip, R.; Santoso, M.; Naik, R.; Merlocco, A.; Johnson, J.N. Cardiovascular magnetic resonance imaging in children with multisystem inflammatory syndrome in children (MIS-C) associated with COVID-19: Institutional protocol-based medium-term follow-up study. Pediatric Cardiol. 2022. [Google Scholar] [CrossRef]
- Matsubara, D.; Chang, J.; Kauffman, H.L.; Wang, Y.; Nadaraj, S.; Patel, C.; Paridon, S.M.; Fogel, M.A.; Quartemain, M.D.; Banerjee, A. Longitudinal Assessment of Cardiac Outcomes of Multisystem Inflammatory Syndrome in Children Associated With COVID-19 Infections. JAHA 2022, 11, e023251. [Google Scholar] [CrossRef]
- Jain, S.S.; Steele, J.M.; Fonseca, B.; Huang, S.; Shah, S.; Maskatia, S.A.; Buddhe, S.; Misra, N.; Ramachandran, P.; Gaur, L.; et al. COVID-19 vaccination-associated myocarditis in adolescents. Pediatrics 2021, 148, e2021053427. [Google Scholar] [CrossRef]
- Das, B.B.; Kohli, U.; Ramachandran, P.; Nguyen, H.H.; Greil, G.; Hussain, T.; Tandon, A.; Kane, C.; Avula, S.; Duru, C.; et al. Myopericarditis after mRNA COVID-19 vaccination in adolescents 12 to 18 years of age. J. Pediatrics 2021, 30, 26–32.e1. [Google Scholar] [CrossRef]
- Marshall, M.; Ferguson, I.D.; Lewis, P.; Jaggi, P.; Gagliardo, C.; Collins, J.S.; Shaughnessy, R.; Caron, R.; Fuss, C.; Corbin, K.J.E.; et al. Symptomatic acute myocarditis in seven adolescents following Pfizer-BioNTech COVID-19 vaccination. Pediatrics 2021, 148, e2021052478. [Google Scholar] [CrossRef]
- Snapiri, O.; Rosenberg Danziger, C.; Shirman, N.; Weissbach, A.; Lowenthal, A.; Ayalon, I.; Adam, D.; Yarden-Bilavsky, H.; Bilavsky, E. Transient cardiac injury in adolescents receiving the BNT162b2 mRNA COVID-19 vaccine. Pediatric Infect. Dis. J. 2021, 40, e360. [Google Scholar] [CrossRef]
- Tano, E.; San Martin, S.; Girgis, S.; Martinez-Fernandez, Y.; Sanchez Vegas, C. Perimyocarditis in adolescents after Pfizer-BioNTech COVID-19 vaccine. J. Pediatric Infect. Dis. Soc. 2021, 10, 962–966. [Google Scholar] [CrossRef]
- Bozkurt, B.; Kamat, I.; Hotez, P.J. Myocarditis with COVID-19 mRNA vaccines. Circulation 2021, 144, 471–484. [Google Scholar] [CrossRef] [PubMed]
- Shay, D.K.; Shimabukuro, T.T.; DeStefano, F. Myocarditis occurring after immunization with mRNA-based COVID-19 vaccines. JAMA Cardiol. 2021, 6, 1196–1201. [Google Scholar] [CrossRef] [PubMed]
- Dionne, A.; Sperotto, F.; Chamberlain, S.; Baker, A.L.; Powell, A.J.; Prakash, A.; Castellanos, D.A.; Saleeb, S.F.; de Ferranti, S.D.; Newburger, J.W.; et al. Association of Myocarditis With BNT162b2 Messenger RNA COVID-19 Vaccine in a Case Series of Children. JAMA Cardiol. 2021, 6, 1446–1450. [Google Scholar] [CrossRef] [PubMed]
- Muthukumar, A.; Narasimhan, M.; Li, Q.Z.; Mahimainathan, L.; Hitto, I.; Fuda, F.; Batra, K.; Jiang, X.; Zhu, C.; Schoggins, J.; et al. In-Depth evaluation of a case of presumed myocarditis after the second dose of COVID-19 mRNA vaccine. Circulation 2021, 144, 487–498. [Google Scholar] [CrossRef]
- Vojdani, A.; Kharrazian, D. Potential antigenic cross-reactivity between SARS-CoV-2 and human tissue with a possible link to an increase in autoimmune diseases. Clin. Immunol. 2020, 217, 108480. [Google Scholar] [CrossRef]
- Tsilingiris, D.; Vallianou, N.G.; Karampela, I.; Liu, J.; Dalamaga, M. Potential implications of lipid nanoparticles in the pathogenesis of myocarditis associated with the use of mRNA vaccines against SARS-CoV-2. Metabol Open. 2022, 13, 100159. [Google Scholar] [CrossRef]
- Aljohani, O.A.; Mackie, D.; Bratincsak, A.; Bradley, J.S.; Perry, J.C. Spectrum of Viral Pathogens Identified in Children with Clinical479Myocarditis (Pre-Coronavirus Disease-2019, 2000-2018): Etiologic Agent Versus Innocent Bystander. J. Pediatrics 2022, 242, 18–24. [Google Scholar] [CrossRef]










| Reference | n | Age | CMR in Days Following Acute Clinical Myocarditis | Abnormal T1 Plus T2 CMR Findings n (%) | LGE + n (%) |
|---|---|---|---|---|---|
| Gagliardi et al. [35] | 11 | 9 mo– 9 yrs | 24–48 days | Tissue characterization obtained in T1 weighed spin-echo sequences in 100% of pts | |
| Banka et al. [24] | 143 | 16 yrs (mean) | 2 days (mean) | LLC + ve in 117 (82%), negative in 18 (13%), And equivocal in 7 (5%) yielding a sensitivity of 82% | 115 (81%) |
| Martinez-Villar et al. [7] | 26 | 0–16 yrs (median) 14 yrs | 11–53 days | Total of 2 of 3 LLC in all 26 patients (100%) | 26 (100%) |
| Cornicelli et al. [22] | 23 | 15.1 yrs (mean) | 4.5 days (mean) | LLC: diagnostic yield 57% Revised LLC increased diagnostic yield to77% | 86% |
| Chinali et al. [25] | 40 | 2–17 yrs (median) 13 yrs | At admission 10/40 had FU CMR | Myocardial edema in 33 (82.5%) 6 recovered, 4(40%) had persistent fibrosis | 19 (47.5%) 4(40%) had persistent LGE |
| Dubey et al. [36] | 34 (Follow-up CMR in 12 who had LGE at baseline) | 10–17 yrs (median 16 yrs) | After discharge | Persistence LGE in 10/12 (83%) | |
| Martin et al. [28] | 125 | Average 15.1 yrs | Average 8 days | Revised LLC in 94 (76%) 79 had FU: 16 pts had disappearance of LLC | 93 (74.4%) 35(28%) had persistent LGE |
| Isaak et al. [21] | 43 (Follow-up CMR in 27/43 pts But only 17 had parametric mapping available) | 8–21 yrs (mean) 17 yrs | 1–9 days of initial diagnosis 53 days from the initial CMR (median) | Focal edema in 32 (74.4%) Persistent focal edema in 12/27 (44.4%) | 36 (83.7%) LGE persistent in 20/27 (74%) |
| Reference | n | Age | CMR in Days after COVID-19 + Test | Clinical Symptoms | Abnormal T1 Plus T2 CMR Findings n (%) | LGE + n (%) |
|---|---|---|---|---|---|---|
| Gnecchi M, et al. [72] | 1 | 16 yrs | 2 days | Symptomatic | T2 mapping-patchy edema of the lateral wall | Subpericardial LGE+ |
| Das BB [73] | 1 | 16 yrs | 60 days | Symptomatic | ECV 40% Relative myocardial signal intensity was calculated to be >2.4 compared to the pectoralis muscle | No LGE |
| Rajpal et al. [74] | 26 | 19–21 yrs | 11–53 days | 46% symptomatic | 4 (15%) | 12 (46%) |
| Clark et al. [75] | 59 | 19–21 yrs | 13–37 days | 78% symptomatic | 16 (27%) | 2 (3%) |
| Starekova et al. [76] | 145 | 19–21 yrs | 11–94 days | 77% symptomatic | 2 (1.4%) | 42 (29%) |
| Kim In-C et al. [77] | 1 | 21 yrs | NA | Symptomatic | Native T1 +ve for ECV 61%, | Transmural LGE + |
Publisher’s Note: MDPI stays neutral with regard to jurisdictional claims in published maps and institutional affiliations. |
© 2022 by the authors. Licensee MDPI, Basel, Switzerland. This article is an open access article distributed under the terms and conditions of the Creative Commons Attribution (CC BY) license (https://creativecommons.org/licenses/by/4.0/).
Share and Cite
Das, B.B.; Akam-Venkata, J.; Abdulkarim, M.; Hussain, T. Parametric Mapping Cardiac Magnetic Resonance Imaging for the Diagnosis of Myocarditis in Children in the Era of COVID-19 and MIS-C. Children 2022, 9, 1061. https://doi.org/10.3390/children9071061
Das BB, Akam-Venkata J, Abdulkarim M, Hussain T. Parametric Mapping Cardiac Magnetic Resonance Imaging for the Diagnosis of Myocarditis in Children in the Era of COVID-19 and MIS-C. Children. 2022; 9(7):1061. https://doi.org/10.3390/children9071061
Chicago/Turabian StyleDas, Bibhuti B., Jyothsna Akam-Venkata, Mubeena Abdulkarim, and Tarique Hussain. 2022. "Parametric Mapping Cardiac Magnetic Resonance Imaging for the Diagnosis of Myocarditis in Children in the Era of COVID-19 and MIS-C" Children 9, no. 7: 1061. https://doi.org/10.3390/children9071061
APA StyleDas, B. B., Akam-Venkata, J., Abdulkarim, M., & Hussain, T. (2022). Parametric Mapping Cardiac Magnetic Resonance Imaging for the Diagnosis of Myocarditis in Children in the Era of COVID-19 and MIS-C. Children, 9(7), 1061. https://doi.org/10.3390/children9071061

