Condylar Asymmetry in Children with Unilateral Posterior Crossbite Malocclusion: A Comparative Cross-Sectional Study
Abstract
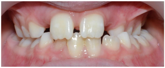
1. Introduction
2. Materials and Methods
2.1. Study Design
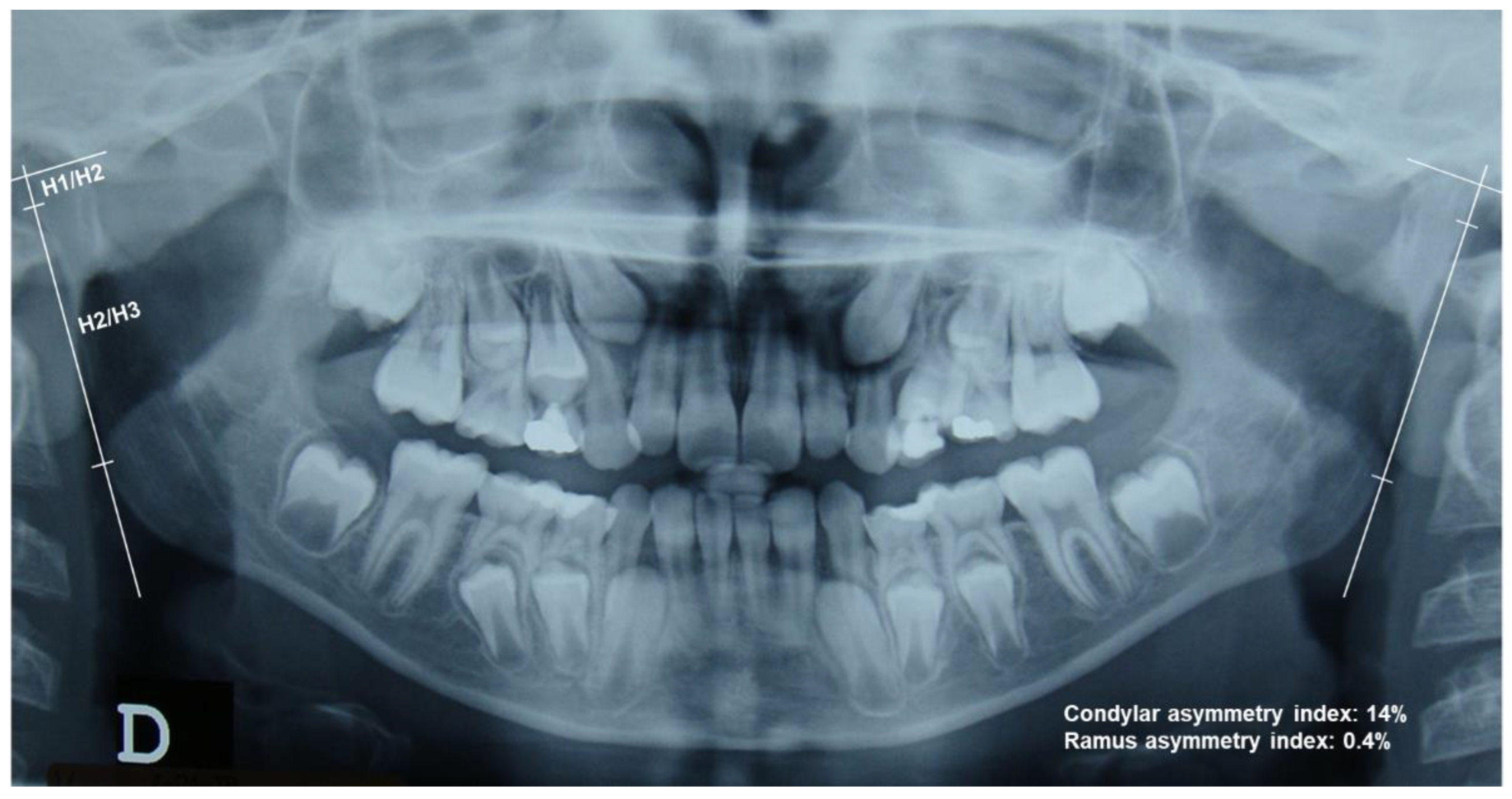
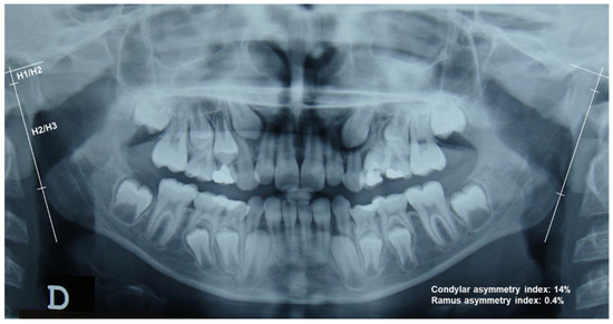
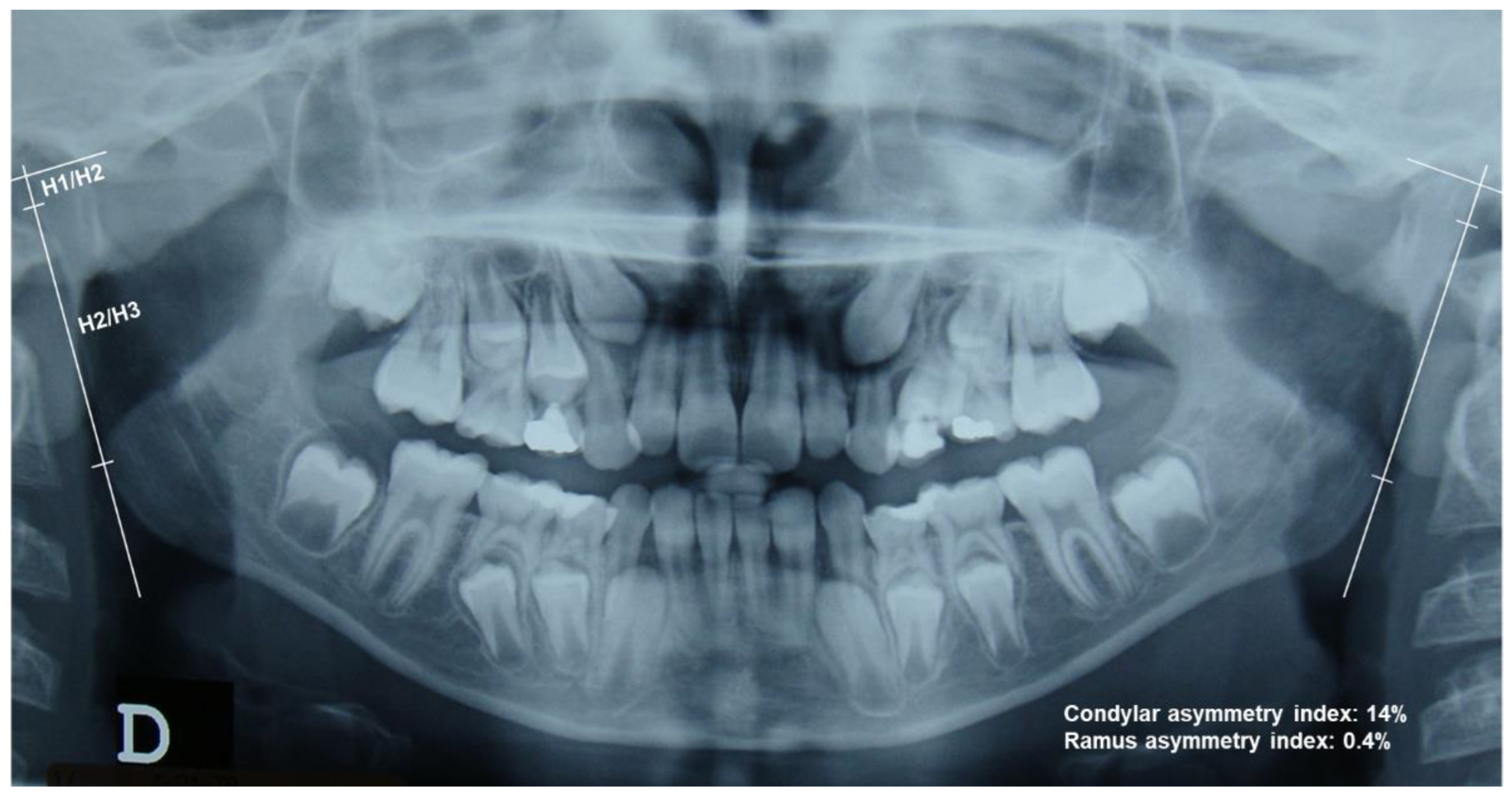
2.2. Measurements on OPGs
2.3. Statistical Analysis
3. Results
4. Discussion
5. Conclusions
Author Contributions
Funding
Institutional Review Board Statement
Informed Consent Statement
Data Availability Statement
Acknowledgments
Conflicts of Interest
References
- The Glossary of Prosthodontic Terms: Ninth Edition. J. Prosthet. Dent 2017, 117, e1–e105. [CrossRef] [PubMed]
- Piancino, M.G.; Kyrkanides, S. Understanding Masticatory Function in Unilateral Crossbites; John Wiley & Sons: Hoboken, NJ, USA, 2016. [Google Scholar]
- Moller, E.; Troelstrup, B. Functional and morphologic asymmetry in children with unilateral cross-bite. J. Dent. Res. 1975, 5, 178. [Google Scholar]
- Pinto, A.S.; Buschang, P.H.; Throckmorton, G.S.; Chen, P. Morphological and positional asymmetries of young children with functional unilateral posterior crossbite. Am. J. Orthod. Dentofac. Orthop. 2001, 120, 513–520. [Google Scholar] [CrossRef] [PubMed]
- Ugolini, A.; Agostino, P.; Silvestrini-Biavati, A.; Harrison, J.E.; Batista, K.B. Orthodontic treatment for posterior crossbites. Cochrane Database Syst. Rev. 2021, 24, CD000979. [Google Scholar]
- Thilander, B. Prevalence of malocclusion and orthodontic treatment need in children and adolescents in Bogota, Colombia. An epidemiological study related to different stages of dental development. Eur. J. Orthod. Dentofac. Orthop. 2001, 23, 153–168. [Google Scholar] [CrossRef]
- Grippaudo, C.; Pantanali, F.; Paolantonio, E.G.; Grecolini, M.E.; Saulle, R.; La Torre, G.; Deli, R. Prevalence of malocclusion in Italian schoolchildren and orthodontic treatment need. Eur. J. Paediatr. Dent. 2013, 14, 314–318. [Google Scholar]
- Lombardo, G.; Vena, F.; Negri, P.; Pagano, S.; Barilotti, C.; Paglia, L.; Colombo, S.; Orso, M.; Cianetti, S. Worldwide prevalence of malocclusion in the different stages of dentition: A systematic review and meta-analysis. Eur. J. Paediatr. Dent. 2020, 21, 115–122. [Google Scholar]
- Lam, P.; Sadowsky, C.; Omerza, F. Mandibular asymmetry and condylar position in children with unilateral posterior crossbite. Am. J. Orthod. 1999, 115, 569–575. [Google Scholar] [CrossRef]
- Miresmaeili, A.; Salehisaheb, H.; Farhadian, M.; Borjali, M. Mandibular asymmetry in young adult patients with unilateral posterior crossbite: A controlled retrospective CBCT study. Int. Orthod. 2021, 19, 433–444. [Google Scholar] [CrossRef]
- Fabozzi, F.F.; Nucci, L.; Correra, A.; d’Apuzzo, F.; Franchi, L.; Perillo, L. Comparison of two protocols for early treatment of dentoskeletal Class III malocclusion: Modified SEC III versus RME/FM. Orthod. Craniofac. Res. 2021, 24, 344–350. [Google Scholar] [CrossRef]
- Dalessandri, D.; Tonni, I.; Dianiskova, S.; Migliorati, M.; Bonetti, S.; Visconti, L.; Salgarello, S.; Paganelli, C. Rapid palatal expander vs. quad-helix in the orthodontic treatment of cleft lip and palate patients. Minerva Stomatol. 2016, 65, 97–103. [Google Scholar] [PubMed]
- Throckmorton, G.S.; Buschang, P.H.; Hayasaki, H.; Pinto, A.S. Changes in the masticatory cycle following treatment of posterior unilateral crossbite in children. Am. J. Orthod. Dentofac. Orthop. 2001, 120, 521–529. [Google Scholar] [CrossRef] [PubMed]
- Bezuur, J.N.; Habets, L.L.; Hansson, T.L. The recognition of craniomandibular disorders; condylar symmetry in relation to myogenous and arthrogenous origin of pain. J. Oral Rehabil. 1989, 16, 257–260. [Google Scholar] [CrossRef]
- Crincoli, V.; Di Comite, M.; Di Bisceglie, M.B.; Fatone, L.; Favia, G. Temporomandibular Disorders in Psoriasis Patients with and without Psoriatic Arthritis: An Observational Study. Int. J. Med. Sci. 2015, 12, 341–348. [Google Scholar] [CrossRef]
- Thilander, B.; Bjerklin, K. Posterior crossbite and temporomandibular disorders (TMDs): Need for orthodontic treatment? Eur. J. Orthod. 2012, 34, 667–673. [Google Scholar] [CrossRef]
- Fukushima-Nakayama, Y.; Ono, T.; Hayashi, M.; Inoue, M.; Wake, H.; Ono, T.; Nakashima, T. Reduced Mastication Impairs Memory Function. J. Dent. Res. 2017, 96, 1058–1066. [Google Scholar] [CrossRef] [PubMed]
- Piancino, M.G.; Tortarolo, A.; Polimeni, A.; Bramanti, E.; Bramanti, P. Altered mastication adversely impacts morpho-functional features of the hippocampus: A systematic review on animal studies in three different experimental conditions involving the masticatory function. PLoS ONE 2020, 15, e0237872. [Google Scholar] [CrossRef]
- Da Silva, J.D.; Ni, S.C.; Lee, C.; Elani, H.; Ho, K.; Thomas, C.; Kuwajima, Y.; Ishida, Y.; Kobayashi, T.; Ishikawa-Nagai, S. Association between cognitive health and masticatory conditions: A descriptive study of the national database of the universal healthcare system in Japan. Aging 2021, 13, 7943–7952. [Google Scholar] [CrossRef]
- Kim, M.S.; Han, D.H. Does reduced chewing ability efficiency influence cognitive function? Results of a 10-year national cohort study. Medicine 2022, 101, e29270. [Google Scholar] [CrossRef]
- Habets, L.L.; Bezuur, J.N.; Naeiji, M.; Hansson, T.L. The Orthopantomogram, an aid in diagnosis of temporomandibular joint problems. II. The vertical symmetry. J. Oral. Rehabil. 1988, 15, 465–471. [Google Scholar] [CrossRef]
- Diéguez Pérez, M.; De Nova García, J.; Mourelle Martínez, M.R.; Feijoo García, G. Indicators of jawbone asymmetry through analysis of panoramic radiographs. Eur. J. Paediatr. Dent. 2016, 17, 136–140. [Google Scholar] [PubMed]
- Kasimoglu, Y.; Tuna, E.B.; Rahimi, B.; Marsan, G.; Gencay, K. Condylar asymmetry in different occlusion types. Cranio 2015, 33, 10–14. [Google Scholar] [CrossRef] [PubMed]
- Uysal, T.; Sisman, Y.; Kurt, G.; Ramoglu, S.I. Condylar and ramal vertical asymmetry in unilateral and bilateral posterior crossbite patients and a normal occlusion sample. Am. J. Orthod. Dentofac. Orthop. 2009, 136, 37–43. [Google Scholar] [CrossRef] [PubMed]
- Lopatienė, K.; Trumpytė, K. Relationship between unilateral posterior crossbite and mandibular asymmetry during late adolescence. Stomatologija 2018, 20, 90–95. [Google Scholar]
- Kilic, N.; Kiki, A.; Oktay, H. Condylar asymmetry in unilateral posterior crossbite patients. Am. J. Orthod. Dentofacial Orthop. 2008, 133, 382–387. [Google Scholar] [CrossRef]
- Piancino, M.G.; Cannavale, R.; Dalmasso, P.; Tonni, I.; Filipello, F.; Perillo, L.; Cattalini, M.; Meini, A. Condylar asymmetry in patients with juvenile idiopathic arthritis: Could it be a sign of a possible temporomandibular joints involvement? Semin. Arthritis Rheum. 2015, 45, 208–213. [Google Scholar] [CrossRef]
- Schiffman, E.; Ohrbach, R.; Truelove, E.; Look, J.; Anderson, G.; Goulet, J.P.; List, T.; Svensson, P.; Gonzalez, Y.; Lobbezoo; et al. International RDC/TMD Consortium Network, International association for Dental Research; Orofacial Pain Special Interest Group, International Association for the Study of Pain. Diagnostic Criteria for Temporomandibular Disorders (DC/TMD) for Clinical and Research Applications: Recommendations of the International RDC/TMD Consortium Network and Orofacial Pain Special Interest Group. J. Oral Fac. Pain Headache 2014, 28, 6–27. [Google Scholar] [CrossRef]
- Thilander, B.; Carlsson, G.E.; Ingervall, B. Postnatal development of the human temporomandibular joint. I. A histological study. Acta Odontol. Scand. 1976, 34, 117–126. [Google Scholar] [CrossRef]
- Ingervall, B.; Carlsson, G.E.; Thilander, B. Postnatal development of the human temporomandibular joint. II. A microradiographic study. Acta Odontol. Scand. 1976, 34, 133–139. [Google Scholar] [CrossRef]
- Fuentes, M.A.; Opperman, L.A.; Buschang, P.; Bellinger, L.L.; Carlson, D.S.; Hinton, R.J. Lateral functional shift of the mandible: Part, I. Effects on condylar cartilage thickness and proliferation. Am. J. Orthod. Dentofac. Orthop. 2003, 123, 153–159. [Google Scholar] [CrossRef]
- Hinton, R.J. Changes in articular eminence morphology with dental function. Am. J. Phys. Anthropol. 1981, 54, 439–455. [Google Scholar] [CrossRef] [PubMed]
- Dean, D. Facial Growth, 3rd ed.; Enlow, D.H., Ed.; W.B. Saunders: Philadelphia, PA, USA, 1990. [Google Scholar]
- Moss, M.L.; Rankow, R.M. The role of the functional matrix in mandibular growth. Angle Orthod. 1968, 38, 95–103. [Google Scholar] [PubMed]
- Piancino, M.G.; Cannavale, R.; Dalmasso, P.; Tonni, I.; Garagiola, U.; Perillo, L.; Olivieri, A.N. Cranial structure and condylar asymmetry of patients with juvenile idiopathic arthritis: A risky growth pattern. Clin. Rheumatol. 2018, 37, 2667–2673. [Google Scholar] [CrossRef] [PubMed]
- Almaqrami, B.S.; Alhammadi, M.S.; Tang, B.; ALyafrusee, E.S.; Hua, F.; He, H. Three-dimensional morphological and positional analysis of the temporomandibular joint in adults with posterior crossbite: A cross-sectional comparative study. J. O. Rehab. 2021, 48, 666–677. [Google Scholar] [CrossRef]
- Evangelista, K.; Valladares-Neto, J.; Garcia Silva, M.A.; Soares Cevidanes, L.H.; de Oliveira Ruellas, A.C. Three-dimensional assessment of mandibular asymmetry in skeletal Class I and unilateral crossbite malocclusion in 3 different age groups. Am. J. Orthod. Dentofac. Orthop. 2020, 158, 209–220. [Google Scholar] [CrossRef]
- Ortún-Terrazas, J.; Fagan, M.J.; Cegoñino, J.; Illipronti-Filho, E.; Pérez Del Palomar, A. Towards an early 3D-diagnosis of craniofacial asymmetry by computing the accurate midplane: A PCA-based method. Comput. Methods Programs Biomed. 2020, 191, 105397. [Google Scholar] [CrossRef]
- Halicioglu, K.; Celikoglu, M.; Yavuz, I.; Sekerci, A.E.; Buyuk, S.K. An evaluation of condylar and ramal vertical asymmetry in adolescents with unilateral and bilateral posterior crossbite using cone beam computed tomography (CBCT). Aust. Orthod. J. 2014, 30, 11–18. [Google Scholar]
- Veli, I.; Uysal, T.; Ozer, T.; Ucar, F.I.; Eruz, M. Mandibular asymmetry in unilateral and bilateral posterior crossbite patients using cone-beam computed tomography. Angle Orthod. 2011, 81, 966–974. [Google Scholar] [CrossRef]




| Unilateral Posterior Crossbite | Control | |
|---|---|---|
| Age [years.months] | 8.0 (1.3) | 8.4 (1.3) |
| Molar class I | 12 | 16 |
| Molar class II | 4 | 17 |
| Molar class III | 2 | - |
| Molar class—asymmetrical | 15 | - |
| Unilateral posterior crossbite—Right | 21 | - |
| Unilateral posterior crossbite—Left | 12 | - |
| Body Weight [kg] | 30.8 (8.8) | 31.4 (8.1) |
| Height [m] | 1.3 (0.08) | 1.31 (0.1) |
| BMI | 16.7 (2.9) | 16.9 (3) |
| Total [number] | 33 | 33 |
| Unilateral Posterior Crossbite | Control | p-Value | |
|---|---|---|---|
| † Asymmetric condyles [proportion] | 73% | 21% | p < 0.0001 |
| † Asymmetric rami [proportion] | 6% | 9% | n.s. |
| ‡ Mean asymmetry index—Condyle | 10.7% (9.0) | 4.2% (3.3) | p < 0.001 |
| ‡ Mean asymmetry index—Ramus | 1.9% (2.3) | 2.4% (2.0) | n.s. |
Publisher’s Note: MDPI stays neutral with regard to jurisdictional claims in published maps and institutional affiliations. |
© 2022 by the authors. Licensee MDPI, Basel, Switzerland. This article is an open access article distributed under the terms and conditions of the Creative Commons Attribution (CC BY) license (https://creativecommons.org/licenses/by/4.0/).
Share and Cite
Tortarolo, A.; Rotolo, R.; Nucci, L.; Tepedino, M.; Crincoli, V.; Piancino, M.G. Condylar Asymmetry in Children with Unilateral Posterior Crossbite Malocclusion: A Comparative Cross-Sectional Study. Children 2022, 9, 1772. https://doi.org/10.3390/children9111772
Tortarolo A, Rotolo R, Nucci L, Tepedino M, Crincoli V, Piancino MG. Condylar Asymmetry in Children with Unilateral Posterior Crossbite Malocclusion: A Comparative Cross-Sectional Study. Children. 2022; 9(11):1772. https://doi.org/10.3390/children9111772
Chicago/Turabian StyleTortarolo, Alessandro, Rossana Rotolo, Ludovica Nucci, Michele Tepedino, Vito Crincoli, and Maria Grazia Piancino. 2022. "Condylar Asymmetry in Children with Unilateral Posterior Crossbite Malocclusion: A Comparative Cross-Sectional Study" Children 9, no. 11: 1772. https://doi.org/10.3390/children9111772
APA StyleTortarolo, A., Rotolo, R., Nucci, L., Tepedino, M., Crincoli, V., & Piancino, M. G. (2022). Condylar Asymmetry in Children with Unilateral Posterior Crossbite Malocclusion: A Comparative Cross-Sectional Study. Children, 9(11), 1772. https://doi.org/10.3390/children9111772

