Implantation of Covered Stent for Coarctation of the Aorta and Secondary Hypertension in Adolescents—Case Report
Abstract
:1. Introduction
2. Case Report
2.1. Presenting Symptoms
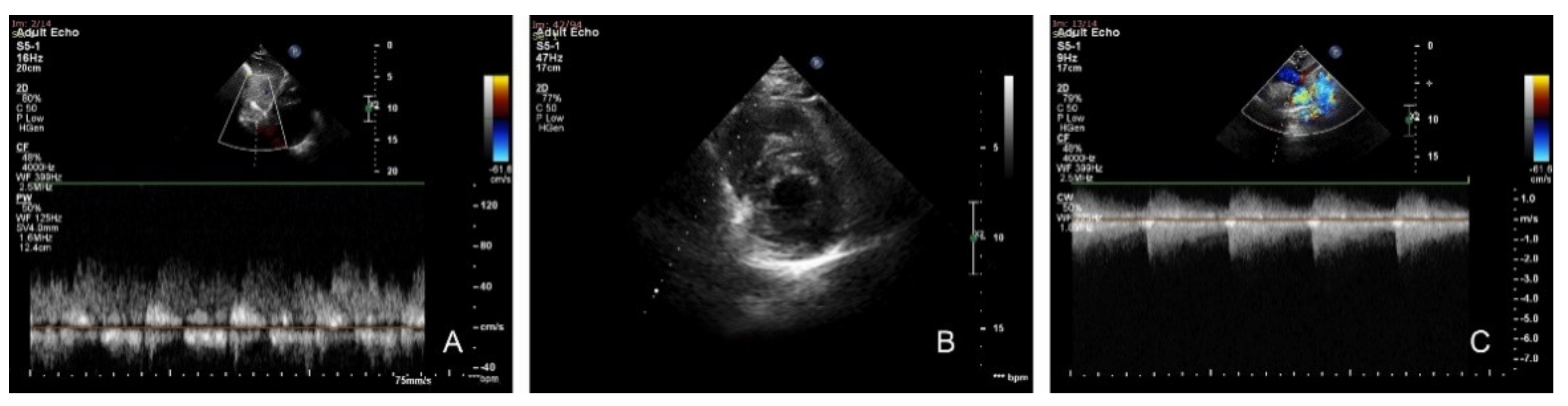
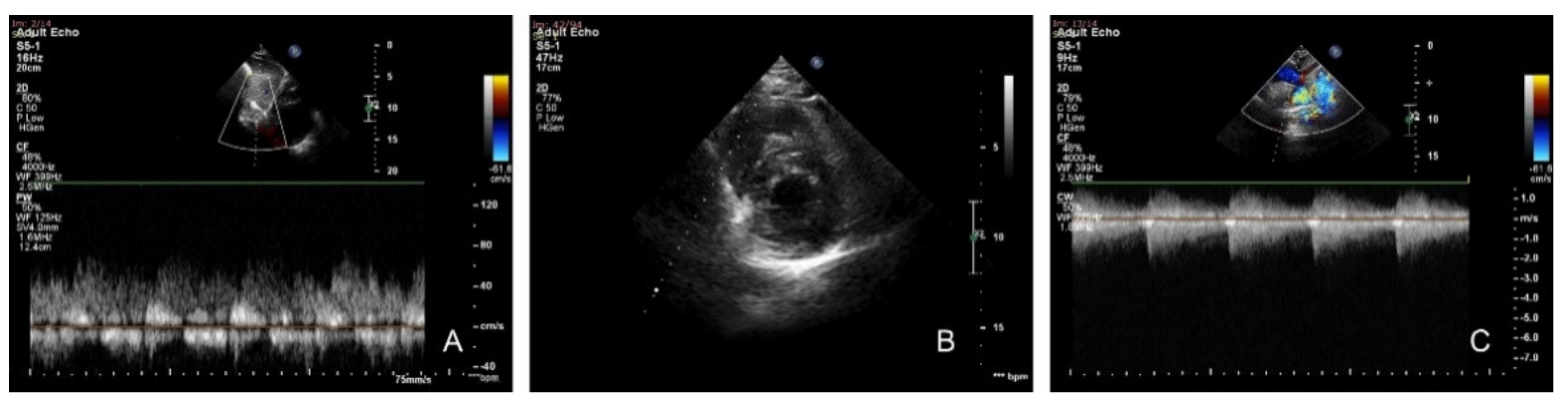
2.2. Diagnostic Criteria
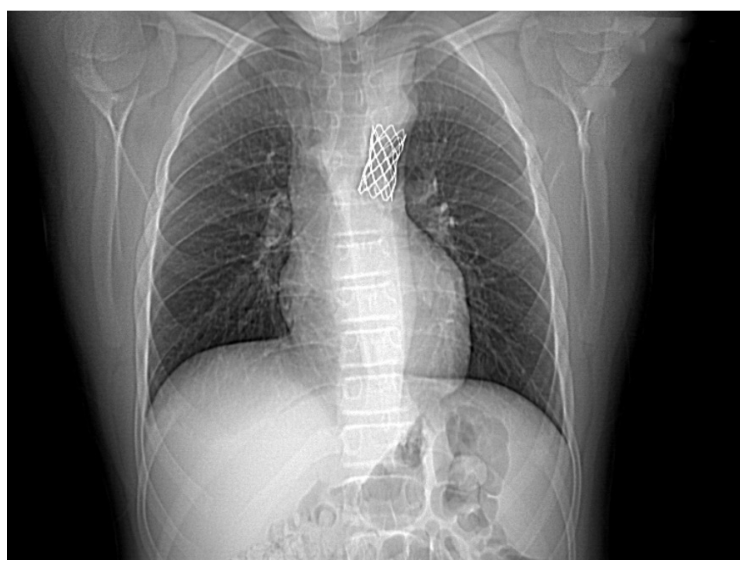
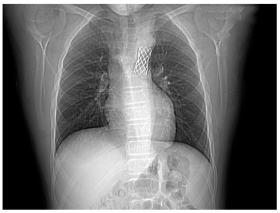
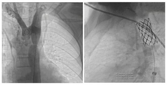
2.3. Therapeutic Approach, Postprocedural Evolution, Cardiologic Follow Up
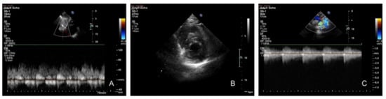
Follow Up at 1 Month
3. Discussion
4. Conclusions
Author Contributions
Funding
Institutional Review Board Statement
Informed Consent Statement
Conflicts of Interest
References
- Georgescu, A.; Onorato, E.; Nicolae, S.; Balnescu, S. Aortic Coarctation Treated by PTA and Stenting: A Case Presentation and Literature Review. Maedica 2015, 10, 342–347. [Google Scholar] [PubMed]
- Hijazi, Z.M.; Kenny, D. Clinical Manifestations and Diagnosis of Coarctation of the Aorta. Available online: www.uptodate.com/contents/clinical-manifestations-and-diagnosis-of-coarctation-of-the-aorta (accessed on 1 August 2021).
- Bacha, E.; Hijazi, Z.M. Management of Coarctation of the Aorta. Available online: https://www.uptodate.com/contents/management-of-coarctation-of-the-aorta (accessed on 1 August 2021).
- Stout, K.K.; Daniels, C.J.; Aboulhosn, J.A.; Bozkurt, B.; Broberg, C.S.; Colman, J.M.; Crumb, S.R.; Dearani, J.A.; Fuller, S.; Gurvitz, M. 2018 AHA/ACC Guidel. Manag. Adults With Congenital Heart Disease: A Report of the American College of Cardiology/American Heart Association Task Force on Clinical Practice Guidelines. J. Am. Coll. Cardiol. 2019, 73, e81. [Google Scholar] [CrossRef] [PubMed]
- Petropoulos, A.C.; Haciyeva, M.; Rzazade, N.; Xudiyeva, A.; Isayev, I. Adolescences Hypertension: A Late Case of Coarctation of Aorta: A Case Report and Short Review of Literature. Am. J. Cardiovasc. Thorac. Surg. 2018, 3, 1–7. [Google Scholar] [CrossRef] [Green Version]
- Sun, Z.; Cheng, T.O.; Li, L.; Zhang, L.; Wang, X.; Dong, N.; Lv, Q.; Li, K.; Yuan, L.; Wang, J.; et al. Diagnostic Value of Transthoracic Echocardiography in Patients with Coarctation of Aorta: The Chinese Experience in 53 Patients Studied between 2008 and 2012 in One Major Medical Center. PLoS ONE 2015, 10, e0127399. [Google Scholar] [CrossRef] [PubMed]
- Shepherd, B.; Abbas, A.; McParland, P.; Fitzsimmons, S.; Shambrook, J.; Peebles, C.; Brown, I.; Harden, S. MRI in adult patients with aortic coarctation: Diagnosis and followup. Clin. Radiol. 2015, 70, 433–445. [Google Scholar] [CrossRef] [PubMed]
- Teien, D.E.; Wendel, H.; Björnebrink, J.; Ekelund, L. Evaluation of anatomical obstruction by Doppler echocardiography and magnetic resonance imaging in patients with coarctation of the aorta. Br. Heart J. 1993, 69, 352–355. [Google Scholar] [CrossRef] [PubMed] [Green Version]
- Jost, C.H.A.; Schaff, H.V.; Connolly, H.M.; Danielson, G.K.; Dearani, J.A.; Puga, F.J.; Warnes, C.A. Spectrum of reoperations after repair of aortic coarctation: Importance of an individualized approach because of coexistent cardiovascular disease. Mayo Clin. Proc. 2002, 77, 646. [Google Scholar] [CrossRef] [PubMed]
- Warnes, C.A.; Williams, R.G.; Bashore, T.M.; Child, J.S.; Connolly, H.M.; Dearani, J.A.; Del Nido, P.; Fasules, J.W.; Graham, T.P.; Hijazi, Z.M. ACC/AHA 2008 guidelines for the management of adults with congenital heart disease: A report of the American College of Cardiology/American Heart Association Task Force on Practice Guidelines. J. Am. Coll. Cardiol. 2008, 52, e143–e263. [Google Scholar] [CrossRef] [PubMed] [Green Version]
- Torok, R.D.; Campbell, M.J.; A Fleming, G.; Hill, K.D. Coarctation of the aorta: Management from infancy to adulthood. World J. Cardiol. 2015, 7, 765–775. [Google Scholar] [CrossRef] [PubMed]
- Cowley, C.G.; Orsmond, G.S.; Feola, P.; McQuillan, L.; Shaddy, R.E. Long term, randomized comparison of balloon angioplasty and surgery for native coarctation of the aorta in childhood. Circulation 2005, 111, 3453–3456. [Google Scholar] [CrossRef] [PubMed] [Green Version]
- Alcibar, J.; Blanco, R.; Fernandez, L.; Arriola, J.; Garcia, K.; Peña, N.; Inguanzo, R.; Voces, R.; Castellanos, E.; Montes, P.M. Elective implantation of covered stents for coarctation and recoarctation in adolescents and adults. Rev. Esp. Cardiol. 2013, 66, 443–449. [Google Scholar] [CrossRef] [PubMed]
- Sasikumar, D.; Sasidharan, B.; Rashid, A.; Ayyappan, A.; Goplakrishnan, A.; Krishnamoorthy, K.M.; Sivasubramonian, S. Early and late outcome of covered and non-covered stents in the treatment of coarctation of aorta—A single centre experience. Indian Heart J. 2020, 72, 278–282. [Google Scholar] [CrossRef] [PubMed]
- Jha, N.K.; Tofeig, M.; Kumar, R.A.; Eltahir, A.; Athar, S.M.; AlHakami, A.; Khan, A.; Khan, M.D. Stent dilatation of atretic aortic coarctation in an adult-case report and literature review. J. Cardiothorac. Surg. 2016, 11, 1–4. [Google Scholar] [CrossRef] [PubMed] [Green Version]
- Expert Panel on Integrated Guidelines for Cardiovascular Health and risk reduction in Children and Adolescents: Summary report. Pediatrics 2011, 128 (Suppl. 5), S213.
- Sciacca, P.; Stella, I.; Leonardi, S.; Sciacca, F.; Guccione, P. Abdominal Coarctation in a 9 Year Girl Mimicking Anxiety Attacks: Case Report. Ann. Clin. Case Rep. 2016, 1, 1156. [Google Scholar]
- Rao, P.S. Neonatal (and Infant) Coarctation of the Aorta: Management Challenges. Res. Rep. Neonatol. 2020, 10, 11–22. [Google Scholar] [CrossRef] [Green Version]
- Cinteză, E.E.; Filip, C.; Bogdan, A.; Nicolescu, A.M.; Mahmoud, H. Atretic aortic coarctation—Transradial approach. Case series and review of the literature. Rom. J. Morphol. Embryol. 2017, 58, 1029–1033. [Google Scholar] [PubMed]
- Stassen, J.; De Meester, P.; Troost, E.; Roggen, L.; Moons, P.; Gewillig, M.; Van De Bruaene, A.; Budts, W. Covered stent placement for treatment of coarctation of the aorta: Immediate and long-term results. Acta Cardiol. 2021, 76, 464–472. [Google Scholar] [CrossRef] [PubMed]
- Taggart, N.W.; Minahan, M.; Cabalka, A.K.; Cetta, F.; Usmani, K.; Ringel, R.E. Immediate Outcomes of Covered Stent Placement for Treatment or Prevention of Aortic Wall Injury Associated with Coarctation of the Aorta (COAST II). Cardiovasc. Interv. 2016, 9, 484–493. [Google Scholar] [CrossRef] [PubMed]
- Charles, E.; Mullins, M.D. Coarctation of the Aorta and Miscellaneous Arterial Stents. In Cardiac Catheterization in Congenital Heart Disease: Pediatric and Adult; Blackwell Publishing: Malden, MA, USA, 16 December 2005; Chapter 25; pp. 642–660. ISBN 9781405122009. [Google Scholar] [CrossRef]
- Petropoulos, A.C.; Moschovi, M.; Xudiyeva, A.; Qarayev, F.; Isayev, I. Late Coarctation Presenters Suffer Chronic Hypertension Resisting to Medicine Treatment. Peertechz J. Pediatr. Ther. 2017, 3, 001–008. [Google Scholar]





Publisher’s Note: MDPI stays neutral with regard to jurisdictional claims in published maps and institutional affiliations. |
© 2021 by the authors. Licensee MDPI, Basel, Switzerland. This article is an open access article distributed under the terms and conditions of the Creative Commons Attribution (CC BY) license (https://creativecommons.org/licenses/by/4.0/).
Share and Cite
Ghiragosian-Rusu, S.-E.; Blesneac, C.; Sglimbea, A.; Ghiragosian, C.; Hadadi, L.; Făgărășan, A.; Togănel, R. Implantation of Covered Stent for Coarctation of the Aorta and Secondary Hypertension in Adolescents—Case Report. Children 2021, 8, 1018. https://doi.org/10.3390/children8111018
Ghiragosian-Rusu S-E, Blesneac C, Sglimbea A, Ghiragosian C, Hadadi L, Făgărășan A, Togănel R. Implantation of Covered Stent for Coarctation of the Aorta and Secondary Hypertension in Adolescents—Case Report. Children. 2021; 8(11):1018. https://doi.org/10.3390/children8111018
Chicago/Turabian StyleGhiragosian-Rusu, Simina-Elena, Cristina Blesneac, Anca Sglimbea, Claudiu Ghiragosian, Laszlo Hadadi, Amalia Făgărășan, and Rodica Togănel. 2021. "Implantation of Covered Stent for Coarctation of the Aorta and Secondary Hypertension in Adolescents—Case Report" Children 8, no. 11: 1018. https://doi.org/10.3390/children8111018
APA StyleGhiragosian-Rusu, S.-E., Blesneac, C., Sglimbea, A., Ghiragosian, C., Hadadi, L., Făgărășan, A., & Togănel, R. (2021). Implantation of Covered Stent for Coarctation of the Aorta and Secondary Hypertension in Adolescents—Case Report. Children, 8(11), 1018. https://doi.org/10.3390/children8111018

