The Complex Consequences of Severe Polytrauma with Traumatic Brain Injuries Caused by a Traffic Accident in a Child: A Case Report
Abstract
1. Introduction
- Loss of consciousness with a syncopal episode: The clinical picture is similar to that of classic vagal syncope, where the child experiences a brief period of unconsciousness accompanied by intense pallor [14]. Vasovagal syncope can sometimes occur in adolescents. Pathophysiologically, it correlates with both vasovagal syncope and neurocardiogenic syncope [14]. In rare cases, loss of consciousness is followed by gradual recovery with regenerative sleep, clonic activity, classic vasovagal syncope complicated by short-term cerebral anoxia, and seizures [15,16,17].
- Seizures, which can complicate 2% of cases of traumatic brain injury in children, usually occur within the first two hours after the injury and last less than five minutes. Occasionally, there is a personal history of febrile seizures, but the prognosis is favorable, and the cranial CT is normal [18,19,20]. In some cases, convulsions may be the first manifestation of epilepsy, with cranial trauma acting merely as a contributing factor or even a coincidence. As with all cases of non-lesional occasional convulsions (e.g., febrile seizures), the pathophysiological mechanism involves abrupt physicochemical changes in neuronal membranes and ion channels [21].
- Prolonged neurological manifestations: The most common symptoms include headache and qualitative or quantitative alterations in consciousness. Other neurological changes include visual disturbances, amnesia, paresis, dysphasia, vertigo, dysautonomic signs (nausea, vomiting, and pallor), and secondary seizures [22,23]. Migraine can occur in children or teenagers. Complicated migraines may be associated with traumatic triggers, such as hemiplegic migraine, a condition referred to as ‘childhood post-traumatic migraine’ [19,22,23].
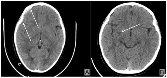
2. Case Description
3. Discussion
4. Conclusions
Author Contributions
Funding
Institutional Review Board Statement
Informed Consent Statement
Data Availability Statement
Conflicts of Interest
References
- Butcher, N.; Balogh, Z.J. The Definition of Polytrauma: The Need for International Consensus. Injury 2009, 40 (Suppl. 4), S12–S22. [Google Scholar] [CrossRef]
- Rau, C.S.; Wu, S.C.; Kuo, P.J.; Chen, Y.C.; Chien, P.C.; Hsieh, H.Y.; Hsieh, C.H. Polytrauma Defined by the New Berlin Definition: A Validation Test Based on Propensity-Score Matching Approach. Int. J. Environ. Res. Public Health 2017, 14, 1045. [Google Scholar] [CrossRef] [PubMed]
- Ciorba, M.C.; Maegele, M. Polytrauma in Children. Dtsch. Arztebl. Int. 2024, 121, 291–297. [Google Scholar] [CrossRef] [PubMed]
- Paffrath, T.; Lefering, R.; Flohé, S.; TraumaRegister DGU. How to Define Severely Injured Patients?—An Injury Severity Score (ISS) Based Approach Alone Is Not Sufficient. Injury 2014, 45 (Suppl. 3), S64–S69. [Google Scholar] [CrossRef] [PubMed]
- Wendling-Keim, D.S.; Hefele, A.; Muensterer, O.; Lehner, M. Trauma Scores and Their Prognostic Value for the Outcome Following Pediatric Polytrauma. Front. Pediatr. 2021, 9, 721585. [Google Scholar] [CrossRef] [PubMed]
- Raimondi, A.J.; Hirschauer, J. Head Injury in the Infant and Toddler: Coma Scoring and Outcome Scale. Childs Brain 1984, 11, 12–35. [Google Scholar] [CrossRef] [PubMed]
- Rosenfeld, J.V.; Maas, A.I.; Bragge, P.; Manley, G.T.; Gruen, R.L. Early Management of Severe Traumatic Brain Injury. Lancet 2012, 380, 1088–1098. [Google Scholar] [CrossRef] [PubMed]
- Teisch, L.F.; Allen, C.J.; Tashiro, J.; Upperman, J.S. Injury Patterns and Outcomes Following Pediatric Bicycle Accidents. Pediatr. Surg. Int. 2015, 31, 1021–1025. [Google Scholar] [CrossRef]
- Lahoti, O.; Arya, A. Management of Orthopaedic Injuries in Multiply Injured Children. Indian J. Orthop. 2018, 52, 454–461. [Google Scholar] [CrossRef]
- Tatem, A.; Kapoor, R. Management of Multiply Injured Pediatric Trauma Patients in the Emergency Department. Pediatr. Emerg. Med. Pract. 2018, 15, 1–20. [Google Scholar]
- Thippeswamy, P.B.; Rajasekaran, R.B. Imaging in Polytrauma—Principles and Current Concepts. J. Clin. Orthop. Trauma 2021, 16, 106–113. [Google Scholar] [CrossRef] [PubMed]
- Sievers, E.M.; Murray, J.A.; Chen, D.; Velmahos, G.C.; Demetriades, D.; Berne, T.V. Abdominal Computed Tomography Scan in Pediatric Blunt Abdominal Trauma. Am. Surg. 1999, 65, 968–971. [Google Scholar] [CrossRef] [PubMed]
- Amoroso, T.A. Evaluation of the Patient with Blunt Abdominal Trauma: An Evidence-Based Approach. Emerg. Med. Clin. N. Am. 1999, 17, 63–75, viii. [Google Scholar] [CrossRef] [PubMed]
- Lombroso, C.T.; Lerman, P. Breath-Holding Spells (Cyanotic and Pallid Infantile Syncope). Pediatrics 1967, 39, 563–581. [Google Scholar] [CrossRef]
- Müller, M.J.; Paul, T. Synkopen bei Kindern und Jugendlichen [Syncope in Children and Adolescents]. Herzschrittmacherther. Elektrophysiol. 2018, 29, 204–207. [Google Scholar] [CrossRef]
- Grubb, B.P. Cerebral Syncope: New Insights into an Emerging Entity. J. Pediatr. 2000, 136, 431–432. [Google Scholar] [CrossRef]
- Mandal, K.; West, C.H. The Management of Immediate Post-Traumatic Seizures in Children Following Minor Head Injury—Time for a Multicentre Study? Childs Nerv. Syst. 2001, 17, 670–673. [Google Scholar] [CrossRef] [PubMed]
- Fisher, C.M. Transient Global Amnesia: Precipitating Activities and Other Observations. Arch. Neurol. 1982, 39, 605–608. [Google Scholar] [CrossRef] [PubMed]
- Packard, R.C.; Ham, L.P. Pathogenesis of Posttraumatic Headache and Migraine: A Common Headache Pathway? Headache 1997, 37, 142–152. [Google Scholar] [CrossRef] [PubMed]
- Lauritzen, M.; Strong, A.J. ‘Spreading Depression of Leão’ and Its Emerging Relevance to Acute Brain Injury in Humans. J. Cereb. Blood Flow Metab. 2017, 37, 1553–1570. [Google Scholar] [CrossRef]
- Foulon, M.; Noel, P. Epilepsie Post-Traumatique Précoce Dans l’Enfance: Signification et Pronostic à Court Terme [Early Post-Traumatic Epilepsy in Childhood: Significance and Short-Term Prognosis (Author’s Transl)]. Acta Neurol. Belg. 1977, 77, 276–284. [Google Scholar] [PubMed]
- Gascon, G.; Barlow, C. Juvenile Migraine, Presenting as an Acute Confusional State. Pediatrics 1970, 45, 628–635. [Google Scholar] [CrossRef]
- Menken, M. Transitory Confusion after Minor Head Injury: A Migraine Variant Syndrome. Clin. Pediatr. 1978, 17, 421–422. [Google Scholar] [CrossRef] [PubMed]
- Hotta, H. Neurogenic Control of Parenchymal Arterioles in the Cerebral Cortex. Prog. Brain Res. 2016, 225, 3–39. [Google Scholar] [CrossRef]
- Sakas, D.E.; Whittaker, K.W.; Whitwell, H.L.; Singounas, E.G. Syndromes of Posttraumatic Neurological Deterioration in Children with No Focal Lesions Revealed by Cerebral Imaging: Evidence for a Trigeminovascular Pathophysiology. Neurosurgery 1997, 41, 661–667. [Google Scholar] [CrossRef] [PubMed]
- Ponsford, J.L.; Spitz, G.; Cromarty, F.; Gifford, D.; Attwood, D. Costs of Care after Traumatic Brain Injury. J. Neurotrauma 2013, 30, 1498–1505. [Google Scholar] [CrossRef]
- Solans, M.; Pane, S.; Estrada, M.-D.; Serra-Sutton, V.; Berra, S.; Herdman, M.; Alonso, J.; Rajmil, L. Health-Related Quality of Life Measurement in Children and Adolescents: A Systematic Review of Generic and Disease-Specific Instruments. Value Health 2008, 11, 742–764. [Google Scholar] [CrossRef]
- Levin, H.S.; Mattis, S.; Ruff, R.M.; Eisenberg, H.M.; Marshall, L.F.; Tabaddor, K.; High, W.M.; Frankowski, R.F. Neurobehavioral Outcome Following Minor Head Injury: A Three-Center Study. J. Neurosurg. 1987, 66, 234–243. [Google Scholar] [CrossRef]
- Marshall, S.; Bayley, M.; McCullagh, S.; Velikonja, D.; Berrigan, L. Clinical Practice Guidelines for Mild Traumatic Brain Injury and Persistent Symptoms. Can. Fam. Physician 2012, 58, 257–267, e128–e140. [Google Scholar] [PubMed]
- Butcher, N.E.; D’Este, C.; Balogh, Z.J. The Quest for a Universal Definition of Polytrauma: A Trauma Registry-Based Validation Study. J. Trauma Acute Care Surg. 2014, 77, 620–623. [Google Scholar] [CrossRef] [PubMed]
- Chrysou, K.; Halat, G.; Hoksch, B.; Schmid, R.A.; Kocher, G.J. Lessons from a Large Trauma Center: Impact of Blunt Chest Trauma in Polytrauma Patients—Still a Relevant Problem? Scand. J. Trauma Resusc. Emerg. Med. 2017, 25, 42. [Google Scholar] [CrossRef] [PubMed]





| Class/Parameter | Value |
|---|---|
| Triglycerides | 113 mg/dL |
| HDL Cholesterol | 34 mg/dL |
| LDL Cholesterol | 122.4 mg/dL |
Disclaimer/Publisher’s Note: The statements, opinions and data contained in all publications are solely those of the individual author(s) and contributor(s) and not of MDPI and/or the editor(s). MDPI and/or the editor(s) disclaim responsibility for any injury to people or property resulting from any ideas, methods, instructions or products referred to in the content. |
© 2025 by the authors. Licensee MDPI, Basel, Switzerland. This article is an open access article distributed under the terms and conditions of the Creative Commons Attribution (CC BY) license (https://creativecommons.org/licenses/by/4.0/).
Share and Cite
Anghelina, L.; Radu, L.; Gheonea, C.; Teică, V.; Anghelina, A.-M.; Siminel, M.A. The Complex Consequences of Severe Polytrauma with Traumatic Brain Injuries Caused by a Traffic Accident in a Child: A Case Report. Children 2025, 12, 516. https://doi.org/10.3390/children12040516
Anghelina L, Radu L, Gheonea C, Teică V, Anghelina A-M, Siminel MA. The Complex Consequences of Severe Polytrauma with Traumatic Brain Injuries Caused by a Traffic Accident in a Child: A Case Report. Children. 2025; 12(4):516. https://doi.org/10.3390/children12040516
Chicago/Turabian StyleAnghelina, Liliana, Lucrețiu Radu, Cristian Gheonea, Vlăduț Teică, Adelina-Maria Anghelina, and Mirela Anişoara Siminel. 2025. "The Complex Consequences of Severe Polytrauma with Traumatic Brain Injuries Caused by a Traffic Accident in a Child: A Case Report" Children 12, no. 4: 516. https://doi.org/10.3390/children12040516
APA StyleAnghelina, L., Radu, L., Gheonea, C., Teică, V., Anghelina, A.-M., & Siminel, M. A. (2025). The Complex Consequences of Severe Polytrauma with Traumatic Brain Injuries Caused by a Traffic Accident in a Child: A Case Report. Children, 12(4), 516. https://doi.org/10.3390/children12040516

