Mild Crigler–Najjar Syndrome with Progressive Liver Disease—A Multicenter Retrospective Cohort Study
Abstract
:1. Introduction
2. Materials and Methods
2.1. Patients
2.2. Biochemical Data
2.3. Liver Histology
2.4. Genetic Anylysis
3. Results
3.1. Patient’s Clinical Courses
3.1.1. Patients One, Two, and Three (Figure 1a)
3.1.2. Patient Four
3.1.3. Patient Five
3.1.4. Patients Six and Seven (Figure 1b)
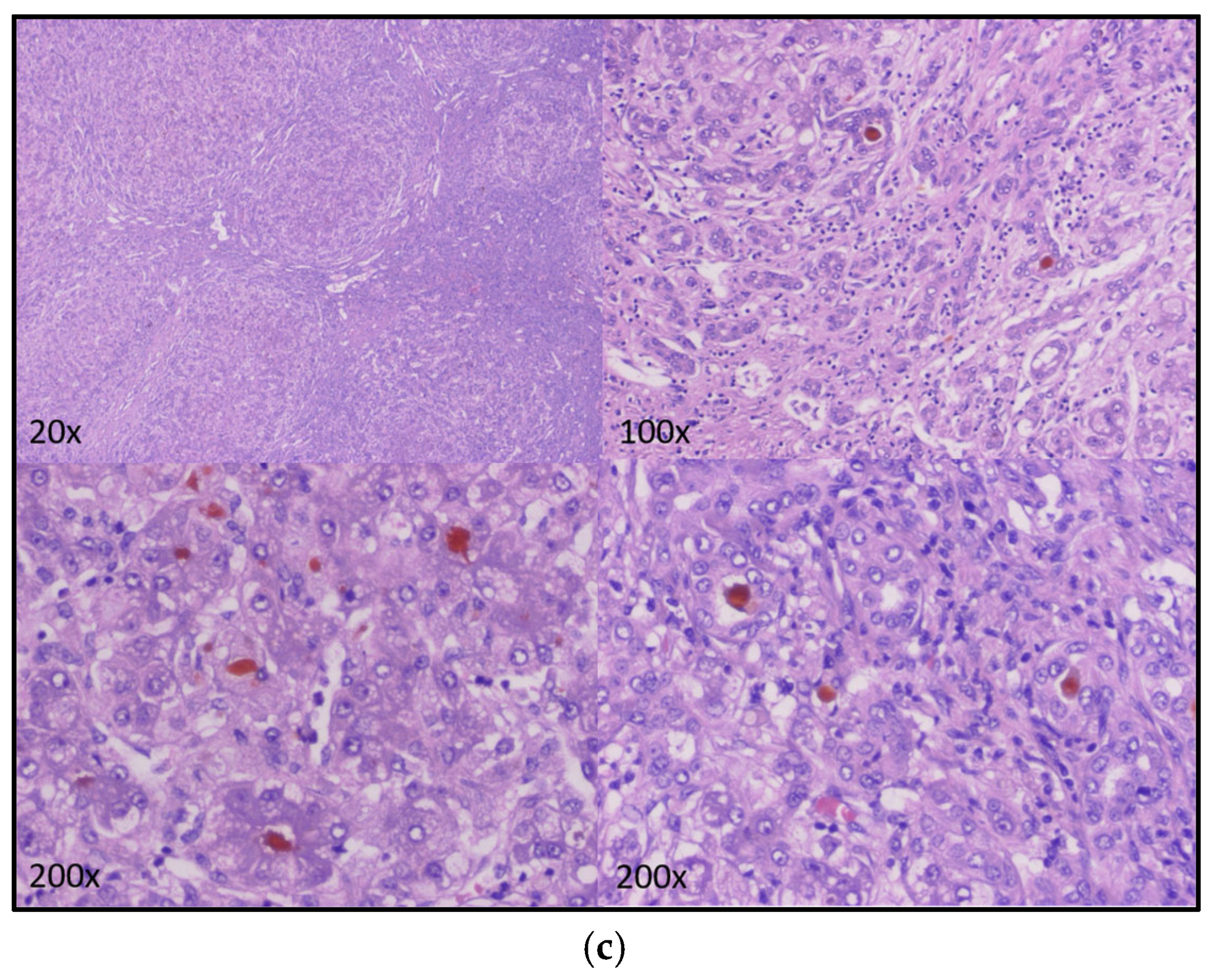
3.1.5. Patient Eight (Figure 1c)
3.1.6. Patients Nine and Ten (Figure 1d)
3.1.7. Patient 11
3.1.8. Patient 12,13,14
3.2. Liver Enzymes and Function According to the Patient’s Age
3.3. Liver Enzymes and Function According to the Need for Liver Transplantation
4. Discussion
5. Conclusions
Author Contributions
Funding
Institutional Review Board Statement
Informed Consent Statement
Data Availability Statement
Conflicts of Interest
Abbreviations
References
- Ebrahimi, A.; Rahim, F. Crigler-Najjar Syndrome: Current Perspectives and the Application of Clinical Genetics. Endocr. Metab. Immune Disord. Drug Targets 2018, 18, 201–211. [Google Scholar] [CrossRef] [PubMed]
- Porro, F.; Bortolussi, G.; Barzel, A.; De Caneva, A.; Iaconcig, A.; Vodret, S.; Zentilin, L.; Kay, M.A.; Muro, A.F. Promoterless gene targeting without nucleases rescues lethality of a Crigler-Najjar syndrome mouse model. EMBO Mol. Med. 2017, 9, 1346–1355. [Google Scholar] [CrossRef]
- Sun, L.; Li, M.; Zhang, L.; Teng, X.; Chen, X.; Zhou, X.; Ma, Z.; Qi, L.; Wang, P. Differences in UGT1A1 gene mutations and pathological liver changes between Chinese patients with Gilbert syndrome and Crigler-Najjar syndrome type II. Medicine 2017, 96, e8620. [Google Scholar] [CrossRef] [PubMed]
- Zheng, B.; Hu, G.; Yu, J.; Liu, Z. Crigler-Najjar syndrome type II in a Chinese boy resulting from three mutations in the bilirubin uridine 5′-diphosphate-glucuronosyltransferase (UGT1A1) gene and a family genetic analysis. BMC Pediatr. 2014, 14, 267. [Google Scholar] [CrossRef] [PubMed]
- Barış, Z.; Özçay, F.; Usta, Y.; Özgün, G. Liver Cirrhosis in a Patient with Crigler Najjar Syndrome. Fetal Pediatr. Pathol. 2018, 37, 301–306. [Google Scholar] [CrossRef] [PubMed]
- Mitchell, E.; Ranganathan, S.; McKiernan, P.; Squires, R.H.; Strauss, K.; Soltys, K.; Mazariegos, G.; Squires, J.E. Hepatic Parenchymal Injury in Crigler-Najjar Type I. J. Pediatr. Gastroenterol. Nutr. 2018, 66, 588–594. [Google Scholar] [CrossRef] [PubMed]
- Aronson, S.J.; Junge, N.; Trabelsi, M.; Kelmemi, W.; Hubert, A.; Brigatti, K.W.; Fox, M.D.; Knegt, R.J.; Escher, J.C.; Ginocchio, V.M.; et al. Disease burden and management of Crigler-Najjar syndrome: Report of a world registry. Liver Int. 2022, 42, 1593–1604. [Google Scholar] [CrossRef] [PubMed]
- Collaud, F.; Bortolussi, G.; Guianvarc’h, L.; Aronson, S.J.; Bordet, T.; Veron, P.; Charles, S.; Vidal, P.; Sola, M.S.; Rundwasser, S.; et al. Preclinical Development of an AAV8-hUGT1A1 Vector for the Treatment of Crigler-Najjar Syndrome. Mol. Ther. Methods Clin. Dev. 2018, 12, 157–174. [Google Scholar] [CrossRef] [PubMed]
- van Dijk, R.; Beuers, U.; Bosma, P.J. Gene replacement therapy for genetic hepatocellular jaundice. Clin. Rev. Allergy Immunol. 2015, 48, 243–253. [Google Scholar] [CrossRef] [PubMed]
- Ribes-Koninckx, C.; Ibars, E.P.; Agrasot, M.Á.C.; Bonora-Centelles, A.; Miquel, B.P.; Carbó, J.J.V.; Aliaga, E.D.; Pallardó, J.M.; Gómez-Lechón, M.J.; Castell, J.V. Clinical Outcome of Hepatocyte Transplantation in Four Pediatric Patients with Inherited Metabolic Diseases. Cell Transplant. 2012, 21, 2267–2282. [Google Scholar] [CrossRef]
- Schröder, H.; Junge, N.; Herden, U.; Deutschmann, A.; Weidemann, S.A.; Krebs-Schmitt, D.; Grabhorn, E.F. Outcome of liver transplantation and prevalence of liver fibrosis in Crigler-Najjar syndrome. Clin. Transplant. 2021, 35, e14219. [Google Scholar] [CrossRef] [PubMed]
- Fata, C.R.; Gillis, L.A.; Pacheco, M.C. Liver Fibrosis Associated with Crigler–Najjar Syndrome in a Compound Heterozygote: A Case Report. Pediatr. Dev. Pathol. 2017, 20, 522–525. [Google Scholar] [CrossRef] [PubMed]
- Stalke, A.; Skawran, B.; Auber, B.; Illig, T.; Schlegelberger, B.; Junge, N.; Goldschmidt, I.; Leiskau, C.; von Neuhoff, N.; Baumann, U.; et al. Diagnosis of monogenic liver diseases in childhood by next-generation sequencing. Clin. Genet. 2018, 93, 665–670. [Google Scholar] [CrossRef] [PubMed]
- Ishak, K.; Baptista, A.; Bianchi, L.; Callea, F.; De Groote, J.; Gudat, F.; Denk, H.; Desmet, V.; Korb, G.; MacSween, R.N. Histological grading and staging of chronic hepatitis. J. Hepatol. 1995, 22, 696–699. [Google Scholar] [CrossRef]
- Stalke, A.; Sgodda, M.; Cantz, T.; Skawran, B.; Lainka, E.; Hartleben, B.; Baumann, U.; Pfister, E. KIF12 Variants and Disturbed Hepatocyte Polarity in Children with a Phenotypic Spectrum of Cholestatic Liver Disease. J. Pediatr. 2022, 240, 284–291.e9. [Google Scholar] [CrossRef] [PubMed]
- Pauli-Magnus, C.; Lang, T.; Meier, Y.; Zodan-Marin, T.; Jung, D.; Breymann, C.; Zimmermann, R.; Kenngott, S.; Beuers, U.; Reichel, C.; et al. Sequence analysis of bile salt export pump (ABCB11) and multidrug resistance p-glycoprotein 3 (ABCB4, MDR3) in patients with intrahepatic cholestasis of pregnancy. Pharmacogenetics 2004, 14, 91–102. [Google Scholar] [CrossRef] [PubMed]
- Lang, C.; Meier, Y.; Stieger, B.; Beuers, U.; Lang, T.; Kerb, R.; Kullak-Ublick, G.A.; Meier, P.J.; Pauli-Magnus, C. Mutations and polymorphisms in the bile salt export pump and the multidrug resistance protein 3 associated with drug-induced liver injury. Pharmacogenet. Genom. 2007, 17, 47–60. [Google Scholar] [CrossRef] [PubMed]
- Canu, G.; Minucci, A.; Zuppi, C.; Capoluongo, E. Gilbert and Crigler Najjar syndromes: An update of the UDP-glucuronosyltransferase 1A1 (UGT1A1) gene mutation database. Blood Cells Mol. Dis. 2013, 50, 273–280. [Google Scholar] [CrossRef]
- Costa, E. Hematologically important mutations: Bilirubin UDP-glucuronosyltransferase gene mutations in Gilbert and Crigler–Najjar syndromes. Blood Cells Mol. Dis. 2006, 36, 77–80. [Google Scholar] [CrossRef]
- Maruo, Y.; Topaloglu, A.K.; Takahashi, H.; Mori, A.; Iwai, M.; Duzovali, O.; Yamamoto, K.; Matui, K.; Sato, H.; Takeuchi, Y. Crigler-Najjar Syndrome Type II Caused by a Homozygous Triple Mutation [T-3279G, A(TA)7TAA, and H39D] of UGT1A1. J. Pediatr. Gastroenterol. Nutr. 2006, 42, 236–239. [Google Scholar] [CrossRef] [PubMed]



| Variable (n = Available Patients/Data) | Median (Mean); or Characteristic and Corresponding Absolute Number | 95% CI; or Percentage of Available Patients/Data | Minimal– Maximal Value |
|---|---|---|---|
| Sex (n = 14) | female n = 6 | 43% | --- |
| Patients with promotor variants (n = 12) | n = 12 | 100% | --- |
| Treatment with phenobarbital | n = 4 | 29% | --- |
| Patients with LT | n = 6 | 43% | --- |
| Patients alive | n = 12 | 86% | |
| Patients with advanced fibrosis (ISHAK F > 3) (n = 11) | n = 7 | 64% | |
| Age at diagnosis (n = 8) | 2.50 (3.67) years | 1.22–6.11 | 0.08–12.00 |
| Age of the last liver biopsy before LT | 12.00 (10.80) years | 6.96–14.64 | 1.00–17.00 |
| Age at liver biopsy: non-advanced fibrosis (ISHAK F ≤ 3) | 12.00 (9.00) years | 0.62–17.38 | 1.00–17.00 |
| Age at liver biopsy: advanced fibrosis (ISHAK F > 3) | 14.00 (12.60) years | 8.43–16.77 | 7.00–15.00 |
| Age LT (n = 5) | 12.40 (13.00) years | 8.32–16.48 | 7.00–15.00 |
| AST before LT or last visit (n = 13) | 105.00 (146.15) U/L | 63.71–228.60 | 28.00–545.00 |
| ALT before LT or last visit (n = 12) | 124.5 (152.33) U/L | 89.05–215.61 | 45.00–318.00 |
| GGT before LT or last visit (n = 12) | 54.00 (103.75) U/L | 3.02–204.48 | 18.00–584.00 |
| Total bilirubin before LT or last visit (n = 13) | 146.00 (202.14) µmol/L | 119.85–284.43 | 55.00–555.00 |
| Conjugated bilirubin before LT or last visit (n = 12) | 9.5 (39.44) µmol/L | −05.39–84.28 | 4.00–214.00 |
| Bile acids before LT or last visit (n = 6) | 229.33 (179.00) µmol/L | −30.44–489.11 | 7.00–570.00 |
| Albumin before LT or last visit (n = 12) | 40.4 (39.68) g/L | 35.93–43.4 | 29.00–48.00 |
| INR before LT or last visit (n = 11) | 1.05 (1.37) | 0.92–1.82 | 0.80–2.46 |
| Thrombocytes before LT or last visit (n = 13) | 226.00 (220.77) Tsd/µL | 155.76–285.78 | 68.00–403.00 |
| Interval diagnosis—LT (n = 4) | 5.8 (5.77) years | −3.83–15.37 | 0.25–11.16 |
| Age at death (n = 2) | 15.00 (15.00) years | 15.00–15.00 | 15.00–15.00 |
| Patient age at last follow-up (n = 14) | 12.00 (13.64) years | 6.50–20.79 | 0.60–42.00 |
| Patient age at last follow-up (n = 14) | 148.00 (170.00) months | 84.56–255.44 | 6.00–506.00 |
| Patient age at last follow-up only w/o need for liver transplantation (n = 8) | 6.00 (6.75) years | 1.51–11.99 | 0.60–16.00 |
| Variable | Patients with Need for LT (n = 6) Median (Mean) 95% CI | Patients without Need for LT (n = 8) Median (Mean) 95% CI | p = |
|---|---|---|---|
| Age at blood analysis (last visit or last visit before LT) | 13.5 (13.00) 8.96–17.04 | 6.00 (6.50) 1.31–11.69 | 0.08 |
| AST (U/L) | 104.00 (179.17) −9.54–367.87 | 88.50 (114.25) 43.39–185.11 | 0.49 |
| ALT (U/L) | 173.00 (167.67) 47.16–288.17 | 105.00 (132.43) 55.75–209.11 | 0.73 |
| GGT (U/L) | 82.00 (184.60) −94.87–464.07 | 28.5 (50.50) 7.00–93.99 | 0.03 |
| Total bilirubin (µmol/L) | 179.00 (203.67) 128.48–278.86 | 129.8 (193.60) 52.37–334.83 | 0.23 |
| Conjugated bilirubin (µmol/L) | 9.20 (48.60) −66.28–163.48 | 9.51 (29.04) −16.37–74.45 | 0.94 |
| INR | 1.71 (1.73) 0.53–2.92 | 0.99 (1.17) 0.64–1.70 | 0.73 |
Disclaimer/Publisher’s Note: The statements, opinions and data contained in all publications are solely those of the individual author(s) and contributor(s) and not of MDPI and/or the editor(s). MDPI and/or the editor(s) disclaim responsibility for any injury to people or property resulting from any ideas, methods, instructions or products referred to in the content. |
© 2023 by the authors. Licensee MDPI, Basel, Switzerland. This article is an open access article distributed under the terms and conditions of the Creative Commons Attribution (CC BY) license (https://creativecommons.org/licenses/by/4.0/).
Share and Cite
Junge, N.; Hentschel, H.; Krebs-Schmitt, D.; Stalke, A.; Pfister, E.-D.; Hartleben, B.; Claßen, M.; Querfurt, A.; Münch, V.; Bufler, P.; et al. Mild Crigler–Najjar Syndrome with Progressive Liver Disease—A Multicenter Retrospective Cohort Study. Children 2023, 10, 1431. https://doi.org/10.3390/children10091431
Junge N, Hentschel H, Krebs-Schmitt D, Stalke A, Pfister E-D, Hartleben B, Claßen M, Querfurt A, Münch V, Bufler P, et al. Mild Crigler–Najjar Syndrome with Progressive Liver Disease—A Multicenter Retrospective Cohort Study. Children. 2023; 10(9):1431. https://doi.org/10.3390/children10091431
Chicago/Turabian StyleJunge, Norman, Hanna Hentschel, Dorothee Krebs-Schmitt, Amelie Stalke, Eva-Doreen Pfister, Björn Hartleben, Martin Claßen, Alexander Querfurt, Veronika Münch, Philip Bufler, and et al. 2023. "Mild Crigler–Najjar Syndrome with Progressive Liver Disease—A Multicenter Retrospective Cohort Study" Children 10, no. 9: 1431. https://doi.org/10.3390/children10091431
APA StyleJunge, N., Hentschel, H., Krebs-Schmitt, D., Stalke, A., Pfister, E.-D., Hartleben, B., Claßen, M., Querfurt, A., Münch, V., Bufler, P., Oh, J., & Grabhorn, E. (2023). Mild Crigler–Najjar Syndrome with Progressive Liver Disease—A Multicenter Retrospective Cohort Study. Children, 10(9), 1431. https://doi.org/10.3390/children10091431

