Synergistic Impacts of Phosphorus Deficiency Coupled with Thermal and High-Light Stress on Physiological Profiles of Cultivated Saccharina japonica
Abstract
1. Introduction
2. Results
2.1. The Growth of S. japonica
2.2. Pigment Content of S. japonica
2.3. Fluorescence Parameters of Chlorophyll
2.4. Phosphatase Activity
2.5. Metabolomic Profiles
3. Discussion
3.1. Effects of Phosphorus Deficiency on the Growth and Physiological Responses of Cultivated S. japonica
3.2. Synergistic Effect of Elevated Temperature and High Light Intensity with Phosphorusdeficiency on the Growth and Physiological Responses of Cultivated S. japonica
3.3. Sustainable Kelp Aquaculture Under Climate and Environmental Changes: Challenges and Mitigation Strategies
4. Materials and Methods
4.1. Algal Collection and Maintenance
4.2. Culture Experiment
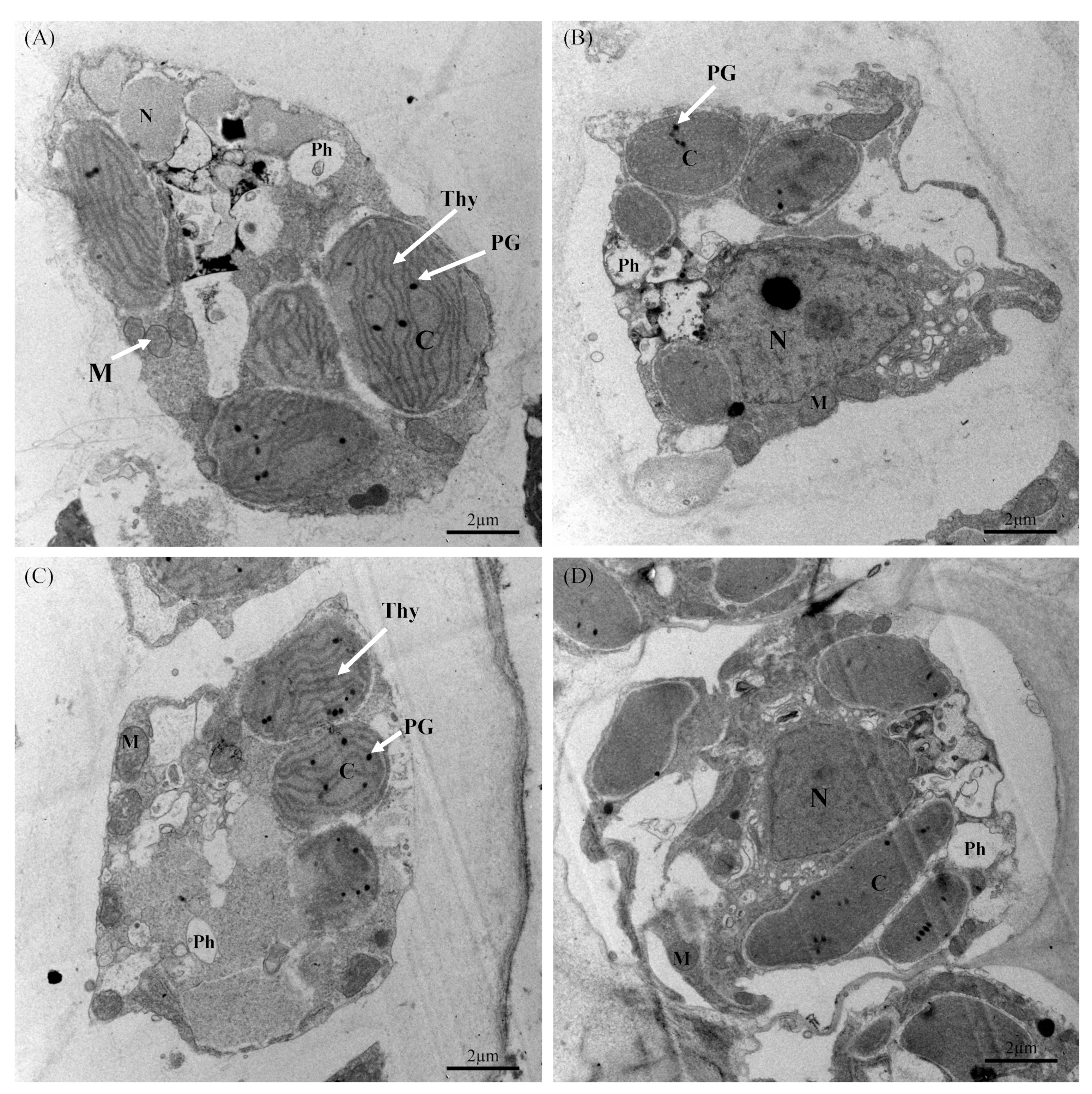
4.3. Ultrastructural Observation
4.4. Measurements of the Relative Growth Rate
4.5. Measurements of Pigment Content
4.6. Measurements of Chlorophyll Fluorescence Parameters
4.7. Measurements of AKP and ACP Activities
4.8. Metabolite Extraction
4.9. Data Analysis
5. Conclusions
Author Contributions
Funding
Data Availability Statement
Conflicts of Interest
References
- Harley, C.D.G.; Anderson, K.M.; Demes, K.W.; Jorve, J.P.; Kordas, R.L.; Coyle, T.A.; Graham, M.H. Effects of climate change on global seaweed communities. J. Phycol. 2012, 48, 1064–1078. [Google Scholar] [CrossRef] [PubMed]
- Ross, F.W.R.; Boyd, P.W.; Filbee-Dexter, K.; Watanabe, K.; Ortega, A.; Krause-Jensen, D.; Lovelock, C.; Sondak, C.F.A.; Bach, L.T.; Duarte, C.M.; et al. Potential role of seaweeds in climate change mitigation. Sci. Total Environ. 2023, 885, 163699. [Google Scholar] [CrossRef] [PubMed]
- Campbell, I.; Macleod, A.; Sahlmann, C.; Neves, L.; Funderud, J.; Øverland, M.; Hughes, A.D.; Stanley, M. The Environmental risks associated with the development of seaweed farming in Europe—Prioritizing key knowledge gaps. Front. Mar. Sci. 2019, 6, 107. [Google Scholar] [CrossRef]
- Kumar, Y.N.; Poong, S.-W.; Gachon, C.; Brodie, J.; Sade, A.; Lim, P.-E. Impact of elevated temperature on the physiological and biochemical responses of Kappaphycus alvarezii (Rhodophyta). PLoS ONE 2020, 15, e0239097. [Google Scholar] [CrossRef]
- Bischof, K.; Gómez, I.; Molis, M.; Hanelt, D.; Karsten, U.; Lüder, U.; Roleda, M.Y.; Zacher, K.; Wiencke, C. Ultraviolet radiation shapes seaweed communities. Rev. Environ. Sci. Bio 2006, 5, 141–166. [Google Scholar] [CrossRef]
- Kinnby, A.; White, J.C.B.; Toth, G.B.; Pavia, H. Ocean acidification decreases grazing pressure but alters morphological structure in a dominant coastal seaweed. PLoS ONE 2021, 16, e0245017. [Google Scholar] [CrossRef]
- Krause-Jensen, D.; Duarte, C.M. Substantial role of macroalgae in marine carbon sequestration. Nat. Geosci. 2016, 9, 737–742. [Google Scholar] [CrossRef]
- Perini, V.; Bracken, M.E.S. Nitrogen availability limits phosphorus uptake in an intertidal macroalga. Oecologia 2014, 175, 667–676. [Google Scholar] [CrossRef]
- Raven, J.A. Interactions between nitrogen and phosphorus metabolism. In Annual Plant Reviews Online; Roberts, J.A., Ed.; Wiley: Hoboken, NJ, USA, 2018; Volume 48, pp. 187–214. [Google Scholar] [CrossRef]
- Zhou, W.; Wu, H.; Shi, M.; Chen, Z.; Wang, J.; Xu, J. Phosphorus deficiency regulates the growth and photophysiology responses of an economic macroalga Gracilariopsis lemaneiformis to ocean acidification and warming. J. Appl. Phycol. 2024, 36, 1577–1590. [Google Scholar] [CrossRef]
- FAO. The State of World Fisheries and Aquaculture 2022: Towards Blue Transformation; FAO: Rome, Italy, 2022. [Google Scholar] [CrossRef]
- Pereira, L. A review of the nutrient composition of selected edible seaweeds. In Seaweed: Ecology, Nutrient Composition and Medicinal Uses; Pomin, V.H., Ed.; Nova Science: New York, NY, USA, 2011; Chapter 2; pp. 15–47. [Google Scholar]
- Baghel, R.S.; Choudhary, B.; Pandey, S.; Pathak, P.K.; Patel, M.K.; Mishra, A. Rehashing our insight of seaweeds as a potential source of foods, nutraceuticals, and pharmaceuticals. Foods 2023, 12, 3642. [Google Scholar] [CrossRef]
- Bennett, J.P.; Robinson, L.F.; Gomez, L.D. Valorisation strategies for brown seaweed biomass production in a European context. Algal Res. 2023, 75, 103248. [Google Scholar] [CrossRef]
- Duarte, C.M.; Wu, J.; Xiao, X.; Bruhn, A.; Krause-Jensen, D. Can seaweed farming play a role in climate change mitigation and adaptation? Front. Mar. Sci. 2017, 4, 100. [Google Scholar] [CrossRef]
- Jiang, Z.; Jiang, W.; Rastrick, S.P.S.; Wang, X.; Fang, J.; Du, M.; Gao, Y.; Mao, Y.; Strand, Ø.; Fang, J. The potential of kelp Saccharina japonica in shielding pacific oyster Crassostrea gigas from elevated seawater pCO2 stress. Front. Mar. Sci. 2022, 9, 862172. [Google Scholar] [CrossRef]
- Maulu, S.; Hasimuna, O.J.; Haambiya, L.H.; Monde, C.; Musuka, C.G.; Makorwa, T.H.; Munganga, B.P.; Phiri, K.J.; Nsekanabo, J.D. Climate change effects on aquaculture production: Sustainability implications, mitigation, and adaptations. Front. Sustain. Food Syst. 2021, 5, 609097. [Google Scholar] [CrossRef]
- Li, X.D.; Su, L.; Li, X.J.; Li, J.; Xu, Y.J.; Chang, R.L.; Yu, R.C.; Yang, D.Z.; Pang, S.J. Comprehensive analyses of large-scale saccharina japonica damage in the principal farming area of Rongcheng Shandong Province in 2021-2022. J. Agr. Sci. Tech. 2023, 25, 206–222, (In Chinese with English Abstract). [Google Scholar] [CrossRef]
- Li, W.; Wang, Z.; Cui, Q.; Sun, X.; Huang, H. Coastal ecological disasters triggered by an extreme rainfall event thousands of kilometers inland. Commun. Earth Environ. 2024, 5, 238. [Google Scholar] [CrossRef]
- Lin, S.; Litaker, R.W.; Sunda, W.G. Phosphorus physiological ecology and molecular mechanisms in marine phytoplankton. J. Phycol. 2016, 52, 10–36. [Google Scholar] [CrossRef]
- Roleda, M.Y.; Hurd, C.L. Seaweed nutrient physiology: Application of concepts to aquaculture and bioremediation. Phycologia 2019, 58, 552–562. [Google Scholar] [CrossRef]
- Kobayashi, K.; Endo, K.; Wada, H. Specific distribution of phosphatidylglycerol to photosystem complexes in the thylakoid membrane. Front. Plant Sci. 2017, 8, 1991. [Google Scholar] [CrossRef]
- Carstensen, A.; Herdean, A.; Schmidt, S.B.; Sharma, A.; Spetea, C.; Pribil, M.; Husted, S. The impacts of phosphorus deficiency on the photosynthetic electron transport chain. Plant Physiol. 2018, 177, 271–284. [Google Scholar] [CrossRef]
- El-Agawany, N.I.; Kaamoush, M.I.A. Algal sensitivity to nickel toxicity in response to phosphorus starvation. Sci. Rep. 2022, 12, 21033. [Google Scholar] [CrossRef]
- Zhang, F.; Wen, Z.; Wang, S.; Tang, W.; Luo, Y.-W.; Kranz, S.A.; Hong, H.; Shi, D. Phosphate limitation intensifies negative effects of ocean acidification on globally important nitrogen fixing Cyanobacterium. Nat. Commun. 2022, 13, 6730. [Google Scholar] [CrossRef] [PubMed]
- Kuczynska, P.; Jemiola-Rzeminska, M.; Strzalka, K. Photosynthetic pigments in diatoms. Mar. Drugs 2015, 13, 5847–5881. [Google Scholar] [CrossRef] [PubMed]
- Zhang, D.; Sun, J.Z.; Fu, M.-H.; Li, C.J. Photosynthetic performance and antioxidant activity of Gracilariopsis lemaneiformis are sensitive to phosphorus deficiency in elevated temperatures. Front. Mar. Sci. 2024, 11, 1432937. [Google Scholar] [CrossRef]
- Odoom, A.; Ofosu, W.; Odoom, A.; Ofosu, W. Role of phosphorus in the photosynthetic dark phase biochemical pathways. In Phosphorus in Soils and Plants; Anjum, N.A., Masood, A., Umar, S., Khan, N.A., Eds.; IntechOpen: London, UK, 2024; pp. 1–16. [Google Scholar] [CrossRef]
- Tahiluddin, A.B. Effects of phosphorus availability on macroalgae: A review. J. Biometry Stud. 2023, 3, 22–26. [Google Scholar] [CrossRef]
- Bao, M.; Park, J.-S.; Xing, Q.; He, P.; Zhang, J.; Yarish, C.; Yoo, H.I.; Kim, J.K. Comparative analysis of physiological responses in two Ulva prolifera strains revealed the effect of eutrophication on high temperature and copper stress tolerance. Front. Mar. Sci. 2022, 9, 863918. [Google Scholar] [CrossRef]
- Brembu, T.; Mühlroth, A.; Alipanah, L.; Bones, A.M. The effects of phosphorus limitation on carbon metabolism in diatoms. Philos. Trans. R. Soc. B 2017, 372, 20160406. [Google Scholar] [CrossRef]
- Mahaffey, C.; Reynolds, S.; Davis, C.E.; Lohan, M.C. Alkaline phosphatase activity in the subtropical ocean: Insights from nutrient, dust and trace metal addition experiments. Front. Mar. Sci. 2014, 1, 73. [Google Scholar] [CrossRef]
- Yoshitake, Y.; Yoshimoto, K. Intracellular Phosphate recycling systems for survival during phosphate starvation in plants. Front. Plant Sci. 2023, 13, 1088211. [Google Scholar] [CrossRef]
- Sun, H.; Zhao, W.; Mao, X.; Li, Y.; Wu, T.; Chen, F. High-aalue biomass from microalgae production platforms: Strategies and progress based on carbon metabolism and energy conversion. Biotechnol. Biofuels 2018, 11, 227. [Google Scholar] [CrossRef]
- Nielsen, S.L.; Nielsen, H.D.; Pedersen, M.F. Juvenile life stages of the brown alga Fucus serratus L. are more sensitive to combined stress from high copper concentration and temperature than adults. Mar. Biol. 2014, 161, 1895–1904. [Google Scholar] [CrossRef]
- Rocha, G.S.; Lopes, L.F.P.; Melão, M.G.G. Phosphorus limitation combined with aluminum triggers synergistic responses on the freshwater microalgae Raphidocelis subcapitata (Chlorophyceae). Chemosphere 2024, 352, 141320. [Google Scholar] [CrossRef] [PubMed]
- Fernández, P.A.; Gaitán-Espitia, J.D.; Leal, P.P.; Schmid, M.; Revill, A.T.; Hurd, C.L. Nitrogen sufficiency enhances thermal tolerance in habitat-forming kelp: Implications for acclimation under thermal stress. Sci. Rep. 2020, 10, 3186. [Google Scholar] [CrossRef]
- Ohtake, M.; Natori, N.; Sugai, Y.; Tsuchiya, K.; Aketo, T.; Nishihara, G.N.; Toda, T. Growth and nutrient uptake characteristics of Sargassum macrocarpum cultivated with phosphorus-replete wastewater. Aquat. Bot. 2020, 163, 103208. [Google Scholar] [CrossRef]
- Parra, M.; Stahl, S.; Hellmann, H. Vitamin B6 and its role in cell metabolism and physiology. Cells 2018, 7, 84. [Google Scholar] [CrossRef]
- Leal, P.P.; Hurd, C.L.; Sander, S.G.; Armstrong, E.; Fernández, P.A.; Suhrhoff, T.J.; Roleda, M.Y. Copper pollution exacerbates the effects of ocean acidification and warming on kelp microscopic early life stages. Sci. Rep. 2018, 8, 14763. [Google Scholar] [CrossRef] [PubMed]
- Gao, X.; Choi, H.G.; Park, S.K.; Kim, J.H.; Yu, O.H.; Nam, K.W. Sporophytic photosynthesis and gametophytic growth of the kelp Ecklonia stolonifera affected by ocean acidification and warming. Aquac. Res. 2019, 50, 856–861. [Google Scholar] [CrossRef]
- Donham, E.M.; Strope, L.T.; Hamilton, S.L.; Kroeker, K.J. Coupled changes in pH, temperature, and dissolved oxygen impact the physiology and ecology of herbivorous kelp forest grazers. Glob. Change Biol. 2022, 28, 3023–3039. [Google Scholar] [CrossRef]
- Arafeh-Dalmau, N.; Villaseñor-Derbez, J.C.; Schoeman, D.S.; Mora-Soto, A.; Bell, T.W.; Butler, C.L.; Costa, M.; Dunga, L.V.; Houskeeper, H.F.; Lagger, C.; et al. Intensifying marine heatwaves and limited protection threaten global kelp forests. bioRxiv 2024, 594016. [Google Scholar] [CrossRef]
- Choi, S.K.; Kim, T.; Son, Y.B.; Park, S.R. Threats to a temperate kelp forest species, Ecklonia cava, through tropical fish herbivory associated with sea surface warming in the East China Sea. Diversity 2024, 16, 253. [Google Scholar] [CrossRef]
- Filbee-Dexter, K.; Wernberg, T.; Fredriksen, S.; Norderhaug, K.M.; Pedersen, M.F. Arctic kelp forests: Diversity, resilience and future. Glob. Planet. Change 2019, 172, 1–14. [Google Scholar] [CrossRef]
- Lozano-Hernández, E.A.; Ramírez-Álvarez, N.; Rios Mendoza, L.M.; Macías-Zamora, J.V.; Mejía-Trejo, A.; Beas-Luna, R.; Hernández-Guzmán, F.A. Kelp forest food webs as hot spots for the accumulation of microplastic and polybrominated diphenyl ether pollutants. Environ. Res. 2024, 257, 119299. [Google Scholar] [CrossRef]
- Hu, C.; Li, D.; Chen, C.; Ge, J.; Muller-Karger, F.E.; Liu, J.; Yu, F.; He, M. On the recurrent Ulva prolifera blooms in the Yellow Sea and East China Sea. J. Geophys. Res. 2010, 115, 2009JC005561. [Google Scholar] [CrossRef]
- Rachman, A.; Intan, M.D.B.; Thoha, H.; Sianturi, O.R.; Masseret, E. Distribution and abundance of Pyrodinium bahamense cyst in the harmful algal blooms risk waters in Indonesia. Oseanol. Limnol. Indones. 2021, 6, 37–53. [Google Scholar] [CrossRef]
- Edwards, M.; Johns, D.G.; Leterme, S.C.; Svendsen, E.; Richardson, A.J. Regional climate change and harmful algal blooms in the northeast Atlantic. Limnol. Oceanogr. 2006, 51, 820–829. [Google Scholar] [CrossRef]
- Hu, J.; Berthold, D.E.; Wang, Y.; Xiao, X.; Laughinghouse, H.D. Treatment of the red tide dinoflagellate Karenia brevis and brevetoxins using USEPA-registered algaecides. Harmful Algae 2022, 120, 102347. [Google Scholar] [CrossRef] [PubMed]
- Bricelj, V.M.; Lonsdale, D.J. Aureococcus anophagefferens: Causes and ecological consequences of brown tides in U.S. mid-Atlantic coastal waters. Limnol. Oceanogr. 1997, 42, 1023–1038. [Google Scholar] [CrossRef]
- Díaz, P.A.; Álvarez, G.; Varela, D.; Pérez-Santos, I.; Díaz, M.; Molinet, C.; Seguel, M.; Aguilera-Belmonte, A.; Guzmán, L.; Uribe, E.; et al. Impacts of harmful algal blooms on the aquaculture industry: Chile as a case study. Perspect. Phycol. 2019, 6, 39–50. [Google Scholar] [CrossRef]









Disclaimer/Publisher’s Note: The statements, opinions and data contained in all publications are solely those of the individual author(s) and contributor(s) and not of MDPI and/or the editor(s). MDPI and/or the editor(s) disclaim responsibility for any injury to people or property resulting from any ideas, methods, instructions or products referred to in the content. |
© 2025 by the authors. Licensee MDPI, Basel, Switzerland. This article is an open access article distributed under the terms and conditions of the Creative Commons Attribution (CC BY) license (https://creativecommons.org/licenses/by/4.0/).
Share and Cite
Zhang, J.; Wang, X.; Ren, X.; Gao, X.; Li, J. Synergistic Impacts of Phosphorus Deficiency Coupled with Thermal and High-Light Stress on Physiological Profiles of Cultivated Saccharina japonica. Plants 2025, 14, 1412. https://doi.org/10.3390/plants14101412
Zhang J, Wang X, Ren X, Gao X, Li J. Synergistic Impacts of Phosphorus Deficiency Coupled with Thermal and High-Light Stress on Physiological Profiles of Cultivated Saccharina japonica. Plants. 2025; 14(10):1412. https://doi.org/10.3390/plants14101412
Chicago/Turabian StyleZhang, Jing, Xiaonan Wang, Xingyue Ren, Xu Gao, and Jingyu Li. 2025. "Synergistic Impacts of Phosphorus Deficiency Coupled with Thermal and High-Light Stress on Physiological Profiles of Cultivated Saccharina japonica" Plants 14, no. 10: 1412. https://doi.org/10.3390/plants14101412
APA StyleZhang, J., Wang, X., Ren, X., Gao, X., & Li, J. (2025). Synergistic Impacts of Phosphorus Deficiency Coupled with Thermal and High-Light Stress on Physiological Profiles of Cultivated Saccharina japonica. Plants, 14(10), 1412. https://doi.org/10.3390/plants14101412

