DEFECTIVE EMBRYO AND MERISTEMS1 (DEM1) Is Essential for Cell Proliferation and Cell Differentiation in Tomato
Abstract
1. Introduction
2. Results
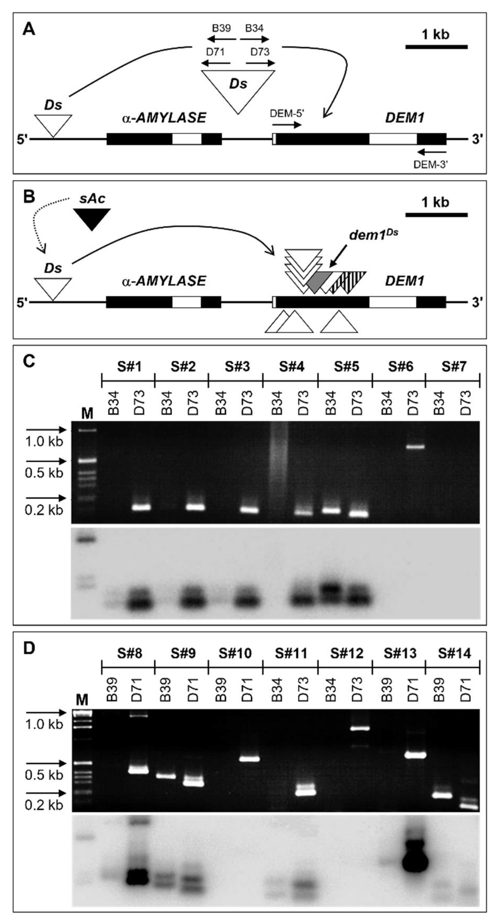
2.1. DEM1 Is Required for Normal Embryogenesis and Meristem Development in Tomato
2.2. Somatic Mutagenesis of the Tomato DEM1 Gene Identified Further Roles for the DEM1 Protein in Leaf Development
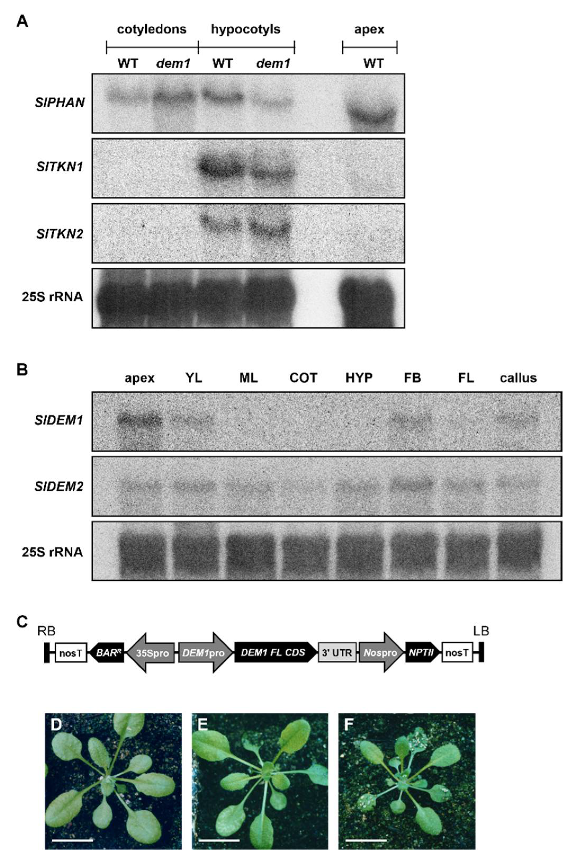
2.3. The in Planta Expression of SlDEM1-Specific Sequences Negatively Impacted Cell Proliferation in Tomato Leaves and Failed to Complement the Developmental Phenotype Displayed by dem1 Mutant Seedlings
2.4. The Adaxial Tissue and Blade Expansion Defects of the Leaves of SMD Transformants Are Similar to Those Expressed by Plants with Altered PHAN and KNOX1 Gene Expression
3. Discussion
3.1. The dem1 Mutant and SMD Transformant line Show That DEM1 Is Required for Cell Proliferation and Cell Differentiation during Tomato Vegetative Development
3.2. Molecular Manipulation of DEM1 Gene Expression Confirms the Requirement of SlDEM1 for Cell Proliferation and Cell Differentiation in Tomato
3.3. In Tomato, DEM1 Does Not Directly Interact with KNOX1 or PHAN-LIKE Genes at Either the Genetic or Molecular Level
4. Materials and Methods
4.1. Plant Growth and Plant Transformation
4.2. Microscopy Techniques for Tomato Plant Line Analysis
4.3. Plant Expression Vector Construction and Introduction into Agrobacterium tumefaciens
4.4. Genomic DNA Extraction and Nucleic Acid Hybridization
4.5. Total RNA Extraction, Complementary DNA Synthesis, and Reverse-Transcriptase Polymerase Chain Reaction
5. Conclusions
Supplementary Materials
Author Contributions
Funding
Institutional Review Board Statement
Informed Consent Statement
Data Availability Statement
Acknowledgments
Conflicts of Interest
References
- Fletcher, J.C.; Brand, U.; Running, M.P.; Simon, R.; Meyerowitz, E.M. Signaling of Cell Fate Decisions by CLAVATA3 in Arabidopsis Shoot Meristems. Science 1999, 283, 1911–1914. [Google Scholar] [CrossRef] [PubMed]
- Clark, S.E.; Williams, R.W.; Meyerowitz, E.M. The CLAVATA1Gene Encodes a Putative Receptor Kinase That Controls Shoot and Floral Meristem Size in Arabidopsis. Cell 1997, 89, 575–585. [Google Scholar] [CrossRef]
- Sharma, V.K.; Fletcher, J.C.; Tada, S.; Volrath, S.; Guyer, D.; Scheidegger, A.; Ryals, J.; Ohta, D.; Ward, E. Maintenance of Shoot and Floral Meristem Cell Proliferation and Fate. Plant Physiol. 2002, 129, 31–39. [Google Scholar] [CrossRef]
- Kessler, S.; Townsley, B.; Sinha, N. L1 Division and Differentiation Patterns Influence Shoot Apical Meristem Maintenance. Plant Physiol. 2006, 141, 1349–1362. [Google Scholar] [CrossRef] [PubMed]
- Geier, F.; Lohmann, J.U.; Gerstung, M.; Maier, A.T.; Timmer, J.; Fleck, C. A Quantitative and Dynamic Model for Plant Stem Cell Regulation. PLoS ONE 2008, 3, e3553. [Google Scholar] [CrossRef]
- Clark, S.; Jacobsen, S.; Levin, J.; Meyerowitz, E. The CLAVATA and SHOOT MERISTEMLESS loci competitively regulate meristem activity in Arabidopsis. Development 1996, 122, 1567–1575. [Google Scholar] [CrossRef]
- Laufs, P.; Grandjean, O.; Jonak, C.; Kieu, K.; Traas, J. Cellular parameters of the shoot apical meristem in Arabidopsis. Plant Cell 1998, 10, 1375–1389. [Google Scholar] [CrossRef]
- Xu, L.; Xu, Y.; Dong, A.; Sun, Y.; Pi, L.; Xu, Y.; Huang, H. Novel as1 and as2 defects in leaf adaxial-abaxial polarity reveal the requirement for ASYMMETRIC LEAVES1 and 2 and ERECTA functions in specifying leaf adaxial identity. Development 2003, 130, 4097–4107. [Google Scholar] [CrossRef]
- Goldshmidt, A.; Alvarez, J.P.; Bowman, J.L.; Eshed, Y. Signals derived from YABBY gene activities in organ primordia regulate growth and partitioning of Arabidopsis shoot apical meristems. Plant Cell 2008, 20, 1217–1230. [Google Scholar] [CrossRef]
- Itoh, J.I.; Kitano, H.; Matsuoka, M.; Nagato, Y. Shoot organization genes regulate shoot apical meristem organization and the pattern of leaf primordium initiation in rice. Plant Cell 2000, 12, 2161–2174. [Google Scholar] [CrossRef]
- Heisler, M.G.; Ohno, C.; Das, P.; Sieber, P.; Reddy, G.V.; Long, J.A.; Meyerowitz, E.M. Patterns of Auxin Transport and Gene Expression during Primordium Development Revealed by Live Imaging of the Arabidopsis Inflorescence Meristem. Curr. Biol. 2005, 15, 1899–1911. [Google Scholar] [CrossRef] [PubMed]
- McHale, N.A.; Koning, R.E. PHANTASTICA Regulates Development of the Adaxial Mesophyll in Nicotiana Leaves. Plant Cell 2004, 16, 1251–1262. [Google Scholar] [CrossRef] [PubMed]
- Golz, J.F.; Roccaro, M.; Kuzoff, R.; Hudson, A. GRAMINIFOLIA promotes growth and polarity of Antirrhinum leaves. Development 2004, 131, 3661–3670. [Google Scholar] [CrossRef] [PubMed]
- Golz, J.; Hudson, A. Signalling in Plant Lateral Organ Development. Plant Cell 2002, 14, S277–S288. [Google Scholar] [CrossRef]
- Bonaccorso, O.; Lee, J.E.; Puah, L.; Scutt, C.P.; Golz, J.F. FILAMENTOUS FLOWER controls lateral organ development by acting as both an activator and a repressor. BMC Plant Biol. 2012, 12, 176. [Google Scholar] [CrossRef]
- Li, Z.; Li, B.; Shen, W.-H.; Huang, H.; Dong, A. TCP transcription factors interact with AS2 in the repression of class-I KNOX genes in Arabidopsis thaliana. Plant J. 2012, 71, 99–107. [Google Scholar] [CrossRef]
- Ishibashi, N.; Kanamaru, K.; Ueno, Y.; Kojima, S.; Kobayashi, T.; Machida, C.; Machida, Y. ASYMMETRIC-LEAVES2 and an ortholog of eukaryotic NudC domain proteins repress expression of AUXIN-RESPONSE-FACTOR and class 1 KNOX homeobox genes for development of flat symmetric leaves in Arabidopsis. Biol. Open 2012, 1, 197–207. [Google Scholar] [CrossRef]
- Spinelli, S.V.; Martin, A.P.; Viola, I.L.; Gonzalez, D.H.; Palatnik, J.F. A mechanistic link between STM and CUC1 during Arabidopsis development. Plant Physiol. 2011, 156, 1894–1904. [Google Scholar] [CrossRef]
- Ha, C.M.; Jun, J.H.; Fletcher, J.C. Control of Arabidopsis Leaf Morphogenesis Through Regulation of the YABBY and KNOX Families of Transcription Factors. Genetics 2010, 186, 197–206. [Google Scholar] [CrossRef]
- Vollbrecht, E.; Veit, B.; Sinha, N.; Hake, S. The developmental gene Knotted-1 is a member of a maize homeobox gene family. Nature 1991, 350, 241–243. [Google Scholar] [CrossRef]
- Veit, B.; Briggs, S.P.; Schmidt, R.J.; Yanofsky, M.F.; Hake, S. Regulation of leaf initiation by the terminal ear 1 gene of maize. Nature 1998, 393, 166–168. [Google Scholar] [CrossRef] [PubMed]
- Hake, S.; Vollbrecht, E.; Freeling, M. Cloning Knotted, the dominant morphological mutant in maize using Ds2 as a transposon tag. EMBO J. 1989, 8, 15–22. [Google Scholar] [CrossRef] [PubMed]
- Lincoln, C.; Long, J.A.; Yamaguchi, J.; Serikawa, K.; Hake, S. A knotted1-like homeobox gene in Arabidopsis is expressed in the vegetative meristem and dramatically alters leaf morphology when overexpressed in transgenic plants. Plant Cell 1994, 6, 1859–1876. [Google Scholar] [PubMed]
- Matsuoka, M.; Ichikawa, H.; Saito, A.; Tada, Y.; Fujimura, T.; Kano-Murakami, Y. Expression of a Rice Homeobox Gene Causes Altered Morphology of Transgenic Plants. Plant Cell 1993, 5, 1039. [Google Scholar] [CrossRef]
- Ma, H.; McMullen, M.D.; Finer, J.J. Identification of a homeobox-containing gene with enhanced expression during soybean (Glycine max L.) somatic embryo development. Plant Mol. Biol. 1994, 24, 465–473. [Google Scholar] [CrossRef]
- Kerstetter, R.; Vollbrecht, E.; Lowe, B.; Veit, B.; Yamaguchi, J.; Hake, S. Sequence analysis and expression patterns divide the maize knotted1-like homeobox genes into 2 classes. Plant Cell 1994, 6, 1877–1887. [Google Scholar]
- Scofield, S.; Murray, J.A.H. KNOX Gene Function in Plant Stem Cell Niches. Plant Mol. Biol. 2006, 60, 929–946. [Google Scholar] [CrossRef]
- Reiser, L.; Sánchez-Baracaldo, P.; Hake, S. Knots in the family tree: Evolutionary relationships and functions of knox homeobox genes. Plant Mol. Biol. 2000, 42, 151–166. [Google Scholar] [CrossRef]
- Furumizu, C.; Alvarez, J.P.; Sakakibara, K.; Bowman, J.L. Antagonistic Roles for KNOX1 and KNOX2 Genes in Patterning the Land Plant Body Plan Following an Ancient Gene Duplication. PLoS Genet. 2015, 11, e1004980. [Google Scholar] [CrossRef]
- Sakakibara, K.; Ando, S.; Yip, H.K.; Tamada, Y.; Hiwatashi, Y.; Murata, T.; Deguchi, H.; Hasebe, M.; Bowman, J.L. KNOX2 Genes Regulate the Haploid-to-Diploid Morphological Transition in Land Plants. Science 2013, 339, 1067–1070. [Google Scholar] [CrossRef]
- Gao, J.; Yang, X.; Zhao, W.; Lang, T.; Samuelsson, T. Evolution, diversification, and expression of KNOX proteins in plants. Front. Plant Sci. 2015, 6, 882. [Google Scholar] [CrossRef]
- Waites, R.; Selvadurai, H.R.; Oliver, I.R.; Hudson, A. The PHANTASTICA Gene Encodes a MYB Transcription Factor Involved in Growth and Dorsoventrality of Lateral Organs in Antirrhinum. Cell 1998, 93, 779–789. [Google Scholar] [CrossRef]
- Timmermans, M.C.; Hudson, A.; Becraft, P.W.; Nelson, T. ROUGH SHEATH2: A Myb Protein That Represses knox Homeobox Genes in Maize Lateral Organ Primordia. Science 1999, 284, 151–153. [Google Scholar] [CrossRef] [PubMed]
- Byrne, M.; Barley, R.; Curtis, M.; Arroyo, J.M.; Dunham, M.; Hudson, A.; Martienssen, R.A. Asymmetric leaves1 mediates leaf patterning and stem cell function in Arabidopsis. Nature 2000, 408, 967–971. [Google Scholar] [CrossRef] [PubMed]
- Sato, Y.; Aoki, Y.; Matsuoka, M. A Loss-of-Function Mutation in the Rice KNOX Type Homeobox Gene, OSH3. Plant Cell Physiol. 2002, 43, 44–51. [Google Scholar] [CrossRef]
- Koltai, H.; Bird, D.M. Epistatic repression of PHANTASTICA and class 1 KNOTTED genes is uncoupled in tomato. Plant J. 2000, 22, 455–459. [Google Scholar] [CrossRef]
- Waites, R.; Hudson, A. The Handlebars gene is required with Phantastica for dorsoventral asymmetry of organs and for stem cell activity in Antirrhinum. Development 2001, 128, 1923–1931. [Google Scholar] [CrossRef]
- Byrne, M.; Simorowski, J.; Martienssen, R. ASYMMETRIC LEAVES1 reveals knox gene redundancy in Arabidopsis. Development 2002, 129, 1957–1965. [Google Scholar] [CrossRef]
- Tsiantis, M.; Schneeberger, R.; Golz, J.F.; Freeling, M.; Langdale, J.A. The Maize rough sheath2 Gene and Leaf Development Programs in Monocot and Dicot Plants. Science 1999, 284, 154–156. [Google Scholar] [CrossRef]
- Kim, M.; Pham, T.; Hamidi, A.; McCormick, S.; Kuzoff, R.K.; Sinha, N. Reduced leaf complexity in tomato wiry mutants suggests a role for PHAN and KNOX genes in generating compound leaves. Development 2003, 130, 4405–4415. [Google Scholar] [CrossRef]
- Keddie, J.S.; Carroll, B.J.; Thomas, C.M.; Reyes, M.E.C.; Klimyuk, V.; Holtan, H.; Gruissem, W.; Jones, J. Transposon Tagging of the Defective embryo and meristems Gene of Tomato. Plant Cell 1998, 10, 877. [Google Scholar] [CrossRef] [PubMed]
- Lee, C.H.; Hawker, N.P.; Peters, J.R.; Lonhienne, T.G.A.; Gursanscky, N.R.; Matthew, L.; Brosnan, C.A.; Mann, C.W.G.; Cromer, L.; Taochy, C.; et al. DEFECTIVE EMBRYO AND MERISTEMS genes are required for cell division and gamete viability in Arabidopsis. PLoS Genet. 2021, 17, e1009561. [Google Scholar] [CrossRef] [PubMed]
- Carroll, B.; Klimyuk, V.I.; Thomas, C.M.; Bishop, G.J.; Harrison, K.; Scofield, S.R.; Jones, J. Germinal transpositions of the maize element Dissociation from T-DNA loci in tomato. Genetics 1995, 139, 407–420. [Google Scholar] [CrossRef] [PubMed]
- Upadhyaya, N.M.; Zhou, X.-R.; Zhu, Q.-H.; Ramm, K.; Wu, L.; Eamens, A.; Sivakumar, R.; Kato, T.; Yun, D.-W.; Santhoshkumar, C.; et al. An iAc/Ds gene and enhancer trapping system for insertional mutagenesis in rice. Funct. Plant Biol. 2002, 29, 547–559. [Google Scholar] [CrossRef]
- Upadhyaya, N.M.; Zhu, Q.-H.; Zhou, X.-R.; Eamens, A.; Hoque, M.S.; Ramm, K.; Shivakkumar, R.; Smith, K.F.; Pan, S.-T.; Li, S.; et al. Dissociation (Ds) constructs, mapped Ds launch pads and a transiently-expressed transposase system suitable for localized insertional mutagenesis in rice. Theor. Appl. Genet. 2006, 112, 1326–1341. [Google Scholar] [CrossRef]
- Waites, R.; Hudson, A. phantastica: A gene required for dorsoventrality of leaves in Antirrhinum majus. Development 1995, 121, 2143–2154. [Google Scholar] [CrossRef]
- Chuck, G.; Lincoln, C.; Hake, S. KNAT1 induces lobed leaves with ectopic meristems when overexpressed in Arabidopsis. Plant Cell 1996, 8, 1277–1289. [Google Scholar]
- Pautot, V.; Dockx, J.; Hamnant, O.; Kronenberger, J.; Grandjean, O.; Jublot, D.; Traas, J. KNAT2: Evidence for a link between Knotted-like genes and carpel development. Plant Cell 2001, 13, 1719–1734. [Google Scholar] [CrossRef]
- Cleary, A.L.; Smith, L.G.; Uwer, U.; Willmitzer, L.; Altmann, T. The Tangled1 Gene Is Required for Spatial Control of Cytoskeletal Arrays Associated with Cell Division during Maize Leaf Development. Plant Cell 1998, 10, 1875–1888. [Google Scholar] [CrossRef]
- Reynolds, J.; Eisses, J.; Sylvester, A. Balancing division and expansion during maize leaf morphogenesis: Analysis of the mutant, warty-1. Development 1998, 125, 259–268. [Google Scholar] [CrossRef]
- Hemerly, A.S.; Ferreira, P.C.G.; Van Montagu, M.; Engler, G.; Inze, D. Cell division events are essential for embryo patterning and morphogenesis: Studies on dominant-negative cdc2aAt mutants of arabidopsis. Plant J. 2000, 23, 123–130. [Google Scholar] [CrossRef] [PubMed]
- Hendelman, A.; Kravchik, M.; Stav, R.; Frank, W.; Arazi, T. Tomato HAIRY MERISTEM genes are involved in meristem maintenance and compound leaf morphogenesis. J. Exp. Bot. 2016, 67, 6187. [Google Scholar] [CrossRef] [PubMed]
- Capua, Y.; Eshed, Y. Coordination of auxin-triggered leaf initiation by tomato LEAFLESS. Proc. Natl. Acad. Sci. USA 2017, 114, 3246–3251. [Google Scholar] [CrossRef] [PubMed]
- Al-Hammadi, A.S.; Sreelakshmi, Y.; Negi, S.; Siddiqi, I.; Sharma, R. The polycotyledon Mutant of Tomato Shows Enhanced Polar Auxin Transport. Plant Physiol. 2003, 133, 113–125. [Google Scholar] [CrossRef] [PubMed]
- Cookson, P.J.; Kiano, J.W.; Shipton, C.A.; Fraser, P.D.; Romer, S.; Schuch, W.; Bramley, P.M.; Pyke, K.A. Increases in cell elongation, plastid compartment size and phytoene synthase activity underlie the phenotype of the high pigment-1 mutant of tomato. Planta 2003, 217, 896–903. [Google Scholar] [CrossRef]
- Ding, D.-Q.; Tomita, Y.; Yamamoto, A.; Chikashige, Y.; Haraguchi, T.; Hiraoka, Y. Large-scale screening of intracellular protein localization in living fission yeast cells by the use of a GFP-fusion genomic DNA library. Genes Cells 2000, 5, 169–190. [Google Scholar] [CrossRef]
- Parsons, R.L.; Behringer, F.J.; Medford, J.I. The SCHIZOID gene regulates differentiation and cell division in Arabidopsis thaliana shoots. Planta 2000, 211, 34–42. [Google Scholar] [CrossRef]
- Bereterbide, A.; Hernould, M.; Castera, S.; Mouras, A. Inhibition of cell proliferation, cell expansion and differentiation by the Arabidopsis SUPERMAN gene in transgenic tobacco plants. Planta 2001, 214, 22–29. [Google Scholar] [CrossRef]
- Smith, L.G. What is the role of cell division in leaf development? Sem. Cell Develop. Biol. 1996, 7, 839–848. [Google Scholar] [CrossRef]
- Smith, L.G.; Gerttula, M.; Han, S.; Levy, J. Tangled1: A Microtubule Binding Protein Required for the Spatial Control of Cytokinesis in Maize. J. Cell Biol. 2001, 152, 231–236. [Google Scholar] [CrossRef]
- McConnell, J.R.; Emery, J.; Eshed, Y.; Bao, N.; Bowman, J.; Barton, M.K. Role of PHABULOSA and PHAVOLUTA in determining radial patterning in shoots. Nature 2001, 411, 709–713. [Google Scholar] [CrossRef] [PubMed]
- Lynn, K.; Fernandez, A.; Aida, M.; Sedbrook, J.; Tasaka, M.; Masson, P.; Barton, M. The PINHEAD/ZWILLE gene acts pleiotropically in Arabidopsis development and has overlapping functions with the ARGONAUTE1 gene. Development 1999, 126, 469–481. [Google Scholar] [CrossRef] [PubMed]
- Hofer, J.; Gourlay, C.; Michael, A.; Ellis, T.N. Expression of a class 1 knotted1-like homeobox gene is down-regulated in pea compound leaf primordia. Plant Mol. Biol. 2001, 45, 387–398. [Google Scholar] [CrossRef] [PubMed]
- Byrne, M.; Timmermans, M.; Kidner, C.; Martienssen, R. Development of leaf shape. Curr. Opin. Plant Biol. 2001, 4, 38–43. [Google Scholar] [CrossRef]
- Bharathan, G.; Goliber, T.; Moore, C.; Kessler, S.; Pham TSinha, N. Homologies in leaf form inferred from KNOX1 gene expression during development. Science 2002, 296, 1858–1860. [Google Scholar] [CrossRef]
- Hareven, D.; Gutfinger, T.; Parnis, A.; Eshed, Y.; Lifschitz, E. The Making of a Compound Leaf: Genetic Manipulation of Leaf Architecture in Tomato. Cell 1996, 84, 735–744. [Google Scholar] [CrossRef]
- Chen, J.; Janssen, B.; Williams, A.; Sinha, N. A gene fusion at a homeobox locus: Alterations in leaf shape and implications for morphological evolution. Plant Cell 1997, 9, 1289–1304. [Google Scholar]
- Janssen, B.-J.; Williams, A.; Chen, J.-J.; Mathern, J.; Hake, S.; Sinha, N. Isolation and characterization of two knotted-like homeobox genes from tomato. Plant Mol. Biol. 1998, 36, 417–425. [Google Scholar] [CrossRef]
- Siegfried, K.; Eshed, Y.; Baum, S.; Otsuga, D.; Drews, G.; Bowman, J. Members of the YABBY gene family specify abaxial cell fate in Arabidopsis. Development 1999, 126, 4117–4128. [Google Scholar] [CrossRef]
- Eshed, Y.; Baum, S.F.; Bowman, J.L. Distinct Mechanisms Promote Polarity Establishment in Carpels of Arabidopsis. Cell 1999, 99, 199–209. [Google Scholar] [CrossRef]
- Fillatti, J.J.; Kiser, J.; Rose, R.; Comai, L. Efficient Transfer of a Glyphosate Tolerance Gene into Tomato Using a Binary Agrobacterium Tumefaciens Vector. Nat. Biotechnol. 1987, 5, 726–730. [Google Scholar] [CrossRef]
- Frary, A.; Earle, E. An examination of factors affecting the efficiency of Agrobacterium-mediated transformation of tomato. Plant Cell Rep. 1996, 16, 235–240. [Google Scholar] [CrossRef] [PubMed]
- Clough, S.J.; Bent, A.F. Floral dip: A simplified method for Agrobacterium-mediated transformation of Arabidopsis thaliana. Plant J. 1998, 16, 735–743. [Google Scholar] [CrossRef] [PubMed]
- Keddie, J.S.; Carroll, B.; Jones, J.; Gruissem, W. The DCL gene of tomato is required for chloroplast development and palisade cell morphogenesis in leaves. EMBO J. 1996, 15, 4208–4217. [Google Scholar] [CrossRef] [PubMed]
- Jones, J.; Shlumukov, L.; Carland, F.; English, J.; Scofield, S.R.; Bishop, G.J.; Harrison, K. Effective vectors for transformation, expression of heterologous genes, and assaying transposon excision in transgenic plants. Transgenic Res. 1992, 1, 285–297. [Google Scholar] [CrossRef]
- Jefferson, R.A.; Kavanagh, T.A.; Bevan, M.W. GUS fusions: Beta-glucuronidase as a sensitive and versatile gene fusion marker in higher plants. EMBO J. 1987, 6, 3901–3907. [Google Scholar] [CrossRef]
- Figurski, D.H.; Helinski, D.R. Replication of an origin-containing derivative of plasmid RK2 dependent on a plasmid function provided in trans. Proc. Natl. Acad. Sci. USA 1979, 76, 1648–1652. [Google Scholar] [CrossRef]






Publisher’s Note: MDPI stays neutral with regard to jurisdictional claims in published maps and institutional affiliations. |
© 2022 by the authors. Licensee MDPI, Basel, Switzerland. This article is an open access article distributed under the terms and conditions of the Creative Commons Attribution (CC BY) license (https://creativecommons.org/licenses/by/4.0/).
Share and Cite
Matthew, L.; Reyes, M.E.C.; Mann, C.W.G.; McDowall, A.W.; Eamens, A.L.; Carroll, B.J. DEFECTIVE EMBRYO AND MERISTEMS1 (DEM1) Is Essential for Cell Proliferation and Cell Differentiation in Tomato. Plants 2022, 11, 2545. https://doi.org/10.3390/plants11192545
Matthew L, Reyes MEC, Mann CWG, McDowall AW, Eamens AL, Carroll BJ. DEFECTIVE EMBRYO AND MERISTEMS1 (DEM1) Is Essential for Cell Proliferation and Cell Differentiation in Tomato. Plants. 2022; 11(19):2545. https://doi.org/10.3390/plants11192545
Chicago/Turabian StyleMatthew, Louisa, Melquiades E. C. Reyes, Christopher W. G. Mann, Alasdair W. McDowall, Andrew L. Eamens, and Bernard J. Carroll. 2022. "DEFECTIVE EMBRYO AND MERISTEMS1 (DEM1) Is Essential for Cell Proliferation and Cell Differentiation in Tomato" Plants 11, no. 19: 2545. https://doi.org/10.3390/plants11192545
APA StyleMatthew, L., Reyes, M. E. C., Mann, C. W. G., McDowall, A. W., Eamens, A. L., & Carroll, B. J. (2022). DEFECTIVE EMBRYO AND MERISTEMS1 (DEM1) Is Essential for Cell Proliferation and Cell Differentiation in Tomato. Plants, 11(19), 2545. https://doi.org/10.3390/plants11192545

