Citronellol Reduces Sepsis-Induced Renal Inflammation via AP-1/NF-κB/TNF-α Pathway
Abstract
1. Introduction
2. Materials and Methods
2.1. Reagents
2.2. Animal Experiments
2.3. Blood Collection
2.4. Biochemical Measurements
2.5. The Murine Sepsis Score (MSS) System
2.6. Jablonski (AKI) Score System Criteria
2.7. Gene Expression Analysis
2.8. Statistical Analysis
3. Results
3.1. Effects of Citronellol on Inflammatory Pathways in CLP-Induced Kidney Injury
3.2. Effects of Citronellol on Murine Sepsis Score (MSS) and Survival Rate in CLP-Induced Kidney Injury
3.3. Effect of Citronellol on Urea and Creatinine in CLP-Induced Kidney Injury
3.4. Effect of Citronellol on KIM-1 in CLP-Induced Kidney Injury
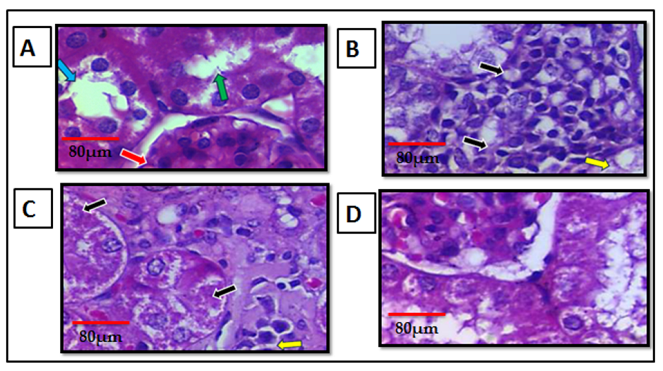
3.5. Effect of Citronellol on Kidney Histology in CLP-Induced Kidney Injury
4. Discussion
5. Conclusions
Author Contributions
Funding
Institutional Review Board Statement
Informed Consent Statement
Data Availability Statement
Acknowledgments
Conflicts of Interest
References
- Fortrie, G.; De Geus, H.R.H.; Betjes, M.G.H. The aftermath of acute kidney injury: A narrative review of long-term mortality and renal function. Crit. Care 2019, 23, 24. [Google Scholar] [CrossRef]
- Chang, Y.; Chou, Y.; Kan, W.; Shiao, C. Sepsis and Acute Kidney Injury: A Review Focusing on the Bidirectional Interplay. Int. J. Mol. Sci. 2022, 23, 9159. [Google Scholar] [CrossRef]
- Christensen, M.G.; Johnsen, N.; Skals, M.; Hamilton, A.D.M. Prevention of P2 Receptor-Dependent Thrombocyte Activation by Pore-Forming Bacterial Toxins Improves Outcome in A Murine Model of Urosepsis. Int. J. Mol. Sci. 2020, 21, 5652. [Google Scholar] [CrossRef]
- Zhang, J.; Wang, C.; Kang, K.; Liu, H.; Liu, X.; Jia, X.; Yu, K. Loganin attenuates septic acute renal injury with the participation of akt and nrf2/ho-1 signaling pathways. Drug Des. Dev. Ther. 2021, 15, 501–513. [Google Scholar] [CrossRef]
- Yang, S.; Su, T.; Huang, L.; Feng, L.; Liao, T. A novel risk-predicted nomogram for sepsis associated-acute kidney injury among critically ill patients. BMC Nephrol. 2021, 22, 173. [Google Scholar] [CrossRef] [PubMed]
- He, F.F.; Wang, Y.M.; Chen, Y.Y.; Huang, W.; Li, Z.Q.; Zhang, C. Sepsis-induced AKI: From pathogenesis to therapeutic approaches. Front. Pharmacol. 2022, 13, 981578. [Google Scholar] [CrossRef] [PubMed]
- Abraham, M.N.; Kelly, A.P.; Brandwein, A.B.; Fernandes, T.D.; Leisman, D.E.; Taylor, M.D.; Brewer, M.R.; Capone, C.A.; Deutschman, C.S. Use of Organ Dysfunction as a Primary Outcome Variable Following Cecal Ligation and Puncture: Recommendations for Future Studies. Shock 2020, 54, 168–182. [Google Scholar] [CrossRef]
- Kannan, S.K.; Kim, C.Y.; Heidarian, M.; Berton, R.R.; Jensen, I.J.; Griffith, T.S.; Badovinac, V.P. Mouse Models of Sepsis. Curr. Protoc. 2024, 4, e997. [Google Scholar] [CrossRef]
- Siempos, I.I.; Lam, H.C.; Ding, Y.; Choi, M.E.; Choi, A.M.K.; Ryter, S.W. Cecal Ligation and Puncture-induced Sepsis as a Model To Study Autophagy in Mice. J. Vis. Exp. 2014, e51066. [Google Scholar] [CrossRef] [PubMed]
- Silva, D.; Diniz-Neto, H.; Cordeiro, L.; Silva-Neta, M.; Silva, S.; Andrade-Júnior, F.; Leite, M.; Nóbrega, J.; Morais, M.; Souza, J.; et al. (R)-(+)-β-Citronellol and (S)-(−)-β-Citronellol in Combination with Amphotericin B against Candida spp. Int. J. Mol. Sci. 2020, 21, 1785. [Google Scholar] [CrossRef]
- Al Kury, L.T.; Abdoh, A.; Ikbariah, K.; Sadek, B.; Mahgoub, M. In Vitro and In Vivo Antidiabetic Potential of Monoterpenoids: An Update. Molecules 2022, 27, 182. [Google Scholar] [CrossRef] [PubMed]
- Shwaish, M.M.; Farhan, W.T.; Mohammed, T.T. Antidiabetic and antihyperglycemic effect of citrus. Int. J. Health Sci. (Qassim) 2022, 6, 8299–8308. [Google Scholar] [CrossRef]
- Busi, S.; Prasad, R. Antimicrobial Photodynamic Therapy: Concepts and Applications; Taylor & Francis Group: Boca Raton, FL, USA, 2023. [Google Scholar]
- Rumienczyk, I.; Kulecka, M.; Ostrowski, J.; Mar, D.; Bomsztyk, K.; Standage, S.W.; Mikula, M. Multi-organ transcriptome dynamics in a mouse model of cecal ligation and puncture-induced polymicrobial sepsis. J. Inflamm. Res. 2021, 14, 2377–2388. [Google Scholar] [CrossRef] [PubMed]
- Rao, K.; Sethi, K.; Ischia, J.; Gibson, L.; Galea, L.; Xiao, L.; Yim, M.; Chang, M.; Papa, N.; Bolton, D.; et al. Protective effect of zinc preconditioning against renal ischemia reperfusion injury is dose dependent. PLoS ONE 2017, 12, e0180028. [Google Scholar] [CrossRef] [PubMed]
- Shareef, S.M.; Kathem, S.H. L-Carvone ameliorates lipopolysaccharide-induced acute kidney injury in mice model. Afr. J. Biol. Sci. (S. Afr.) 2024, 6, 188–207. [Google Scholar] [CrossRef]
- Mahmood, Y.S.; Kadhim, S.H. Protective Effects of Citronellol Against Rhabdomyolysis-Induced Acute Kidney Injury in Mice by Inhibiting NF-κB and IL-1β Signaling Pathway. Iraqi J. Pharm. Sci. 2023, 32, 85–90. [Google Scholar]
- Sulzbacher, M.M.; Sulzbacher, L.M.; Passos, F.R.; Letícia, B.; Bilibio, E.; De Oliveira, K.; Althaus, W.F.; Frizzo, M.N.; Ludwig, M.S.; Beatrice, I.; et al. Adapted Murine Sepsis Score: Improving the Research in Experimental Sepsis Mouse Model. Biomed. Res. Int. 2022, 2022, 5700853. [Google Scholar] [CrossRef] [PubMed]
- Kathem, S.H.; Nasrawi, Y.S.; Mutlag, S.H.; Nauli, S.M. Limonene Exerts Anti-Inflammatory Effect on LPS-Induced Jejunal Injury in Mice by Inhibiting NF-κB/AP-1 Pathway. Biomolecules 2024, 14, 334. [Google Scholar] [CrossRef]
- Shrum, B.; Anantha, R.V.; Xu, S.X.; Donnelly, M.; Haeryfar, S.M.M.; McCormick, J.K.; Mele, T. A robust scoring system to evaluate sepsis severity in an animal model. BMC Res. Notes 2014, 7, 233. [Google Scholar] [CrossRef]
- Du, H.; Sheng, M.; Wu, L.; Zhang, Y.; Shi, D.; Weng, Y.; Xu, R.; Yu, W. Hydrogen-rich saline attenuates acute kidney injury after liver transplantation via activating p53-mediated autophagy. Transplantation 2016, 100, 563–570. [Google Scholar] [CrossRef]
- Nemours, S.; Castro, L.; Soriano, D.R.; Semidey, M.E.; Aranda, M.; Ferrer, M.; Sanchez, A.; Morote, J.; Recasens, G.C.; Meseguer, A. Temporal and sex-dependent gene expression patterns in a renal ischemia–reperfusion injury and recovery pig model. Sci. Rep. 2022, 12, 6926. [Google Scholar] [CrossRef] [PubMed]
- Ruiz, S.; Vardon-Bounes, F.; Merlet-Dupuy, V.; Conil, J.M.; Buléon, M.; Fourcade, O.; Tack, I.; Minville, V. Sepsis modeling in mice: Ligation length is a major severity factor in cecal ligation and puncture. Intensive Care Med. Exp. 2016, 4, 22. [Google Scholar] [CrossRef] [PubMed]
- Sun, S.J.; Wang, J.M.; Wang, J.X.; Wang, F.Q.; Yao, S.L.; Xia, H.F. Maresin 1 mitigates sepsis-associated acute kidney injury in mice via inhibition of the NF-κB / STAT3/MAPK pathways. Front. Pharmacol. 2019, 10, 1323. [Google Scholar] [CrossRef] [PubMed]
- Shareef, S.M.; Kathem, S.H. Gentiopicroside ameliorates lipopolysaccharide-induced acute kidney injury by inhibiting TLR4/NF-κB signaling in mice model. J. Pharm. Negat. Results 2022, 13, 135–145. [Google Scholar]
- James, M.T.; Bhatt, M.; Pannu, N.; Tonelli, M. Long-term outcomes of acute kidney injury and strategies for improved care. Nat. Rev. Nephrol. 2020, 16, 193–205. [Google Scholar] [CrossRef]
- Mehta, R.L.; Cerdá, J.; Burdmann, E.A.; Tonelli, M.; García-García, G.; Jha, V.; Susantitaphong, P.; Rocco, M.; Vanholder, R.; Sever, M.S.; et al. International Society of Nephrology’s 0by25 initiative for acute kidney injury (zero preventable deaths by 2025): A human rights case for nephrology. Lancet 2015, 385, 2616–2643. [Google Scholar] [CrossRef]
- See, E.J.; Jayasinghe, K.; Glassford, N.; Bailey, M.; Johnson, D.W.; Polkinghorne, K.R.; Toussaint, N.D.; Bellomo, R. Long-term risk of adverse outcomes after acute kidney injury: A systematic review and meta-analysis of cohort studies using consensus definitions of exposure. Kidney Int. 2019, 95, 160–172. [Google Scholar] [CrossRef]
- Zhang, L.; Rao, J.; Liu, X.; Wang, X.; Wang, C.; Fu, S.; Xiao, J. Attenuation of Sepsis-Induced Acute Kidney Injury by Exogenous H 2 S via Inhibition of Ferroptosis. Molecules 2023, 28, 4770. [Google Scholar] [CrossRef]
- Fanous, M.S.; De La Cruz, J.E.; Michael, O.S.; Afolabi, J.M.; Kumar, R.; Adebiyi, A. Early Fluid Plus Norepinephrine Resuscitation Diminishes Kidney Hypoperfusion and Inflammation in Septic Newborn Pigs. Shock 2024, 61, 885–893. [Google Scholar] [CrossRef] [PubMed]
- Su, J.; Chen, S.; Xiao, J.; Feng, Z.; Hu, S.; Su, Q.; Chen, Q.; Chen, D. Aloe-Emodin Ameliorates Cecal Ligation and Puncture-Induced Sepsis. Int. J. Mol. Sci. 2023, 24, 11972. [Google Scholar] [CrossRef]
- Jayaraj, R.L.; Azimullah, S.; Parekh, K.A.; Ojha, S.K.; Beiram, R. Effect of citronellol on oxidative stress, neuroinflammation and autophagy pathways in an in vivo model of Parkinson’s disease. Heliyon 2022, 8, e11434. [Google Scholar] [CrossRef]
- Iqbal, U.; Malik, A.; Tabassum, N.; Mehmood, M.H.; Nawaz, S. β-Citronellol: A potential anti-inflammatory and gastro-protective agent-mechanistic insights into its modulatory effects on COX-II, 5-LOX, eNOS, and ICAM-1 pathways through in vitro, in vivo, in silico, and network pharmacology studi. Inflammopharmacology 2024, 32, 3761–3784. [Google Scholar] [CrossRef]
- Berton, R.R.; Jensen, I.J.; Harty, J.T.; Griffith, T.S.; Badovinac, V.P. Inflammation Controls Susceptibility of Immune-Experienced Mice to Sepsis. ImmunoHorizons 2022, 6, 528–542. [Google Scholar] [CrossRef]
- Soares, C.L.R.; Wilairatana, P.; Silva, L.R.; Moreira, P.S.; Vilar Barbosa, N.M.M.; da Silva, P.R.; Coutinho, H.D.M.; de Menezes, I.R.A.; Felipe, C.F.B. Biochemical aspects of the inflammatory process: A narrative review. Biomed. Pharmacother. 2023, 168, 115764. [Google Scholar] [CrossRef] [PubMed]
- Vandewalle, J.; Steeland, S.; Van Ryckeghem, S.; Eggermont, M.; Van Wonterghem, E.; Vandenbroucke, R.E.; Libert, C. A Study of Cecal Ligation and Puncture-Induced Sepsis in Tissue-Specific Tumor Necrosis Factor Receptor 1-Deficient Mice. Front. Immunol. 2019, 10, 2574. [Google Scholar] [CrossRef] [PubMed]
- Park, D.; Ro, M.; Lee, A.J.; Kwak, D.W.; Chung, Y.; Kim, J.H. Contributory Role of BLT2 in the Production of Proinflammatory Cytokines in Cecal Ligation and Puncture-Induced Sepsis. Mol. Cells 2021, 44, 893–899. [Google Scholar] [CrossRef] [PubMed]
- Phuengmaung, P.; Khiewkamrop, P.; Makjaroen, J.; Issara-Amphorn, J.; Boonmee, A.; Benjaskulluecha, S.; Ritprajak, P.; Nita-Lazar, A.; Palaga, T.; Hirankarn, N.; et al. Less Severe Sepsis in Cecal Ligation and Puncture Models with and without Lipopolysaccharide in Mice with Conditional Ezh2-Deleted Macrophages (LysM-Cre System). Int. J. Mol. Sci. 2023, 24, 8517. [Google Scholar] [CrossRef]
- Mao, S.; Wang, B.; Yue, L.; Xia, W. Effects of citronellol grafted chitosan oligosaccharide derivatives on regulating anti-inflammatory activity. Carbohydr. Polym. 2021, 262, 117972. [Google Scholar] [CrossRef]
- Bayala, B.; Coulibaly, A.Y.; Djigma, F.W.; Nagalo, B.M.; Baron, S.; Figueredo, G.; Lobaccaro, J.A.; Simpore, J. Chemical composition, antioxidant, anti-inflammatory and antiproliferative activities of the essential oil of Cymbopogon nardus, a plant used in traditional medicine. Biomol. Concepts 2020, 11, 86–96. [Google Scholar] [CrossRef]
- Cape, C.A.; Barbosa, D.B.; Santos, L.; Ximenes, V.F. Antifungal, Antioxidant, and Irritative Potential of Citronella Oil (Cymbopogon nardus) Associated with Phenethyl Ester of Caffeic Acid (CAPE). Cosmetics 2024, 11, 162. [Google Scholar] [CrossRef]
- Munir, S.; Hafeez, R.; Younis, W.; Malik, M.N.H.; Munir, M.U.; Manzoor, W.; Razzaq, M.A.; Pessoa, L.B.; Lopes, K.S.; Lívero, F.A.d.R.; et al. The Protective Effect of Citronellol against Doxorubicin-Induced Cardiotoxicity in Rats. Biomedicines 2023, 11, 2820. [Google Scholar] [CrossRef] [PubMed]
- Ronco, M.T.; Manarin, R.; Francés, D.; Serra, E.; Revelli, S.; Carnovale, C. Benznidazole treatment attenuates liver NF-κB activity and MAPK in a cecal ligation and puncture model of sepsis. Mol. Immunol. 2011, 48, 867–873. [Google Scholar] [CrossRef] [PubMed]
- Jamal, M.Z.; Kathem, S.H. Citronellol protects renal function by exerting anti-inflammatory and antiapoptotic effects against acute kidney injury induced by folic acid in mice. Naunyn. Schmiedebergs. Arch. Pharmacol. 2024, 398, 5927–5937. [Google Scholar] [CrossRef]
- Wu, Y.; Wang, Q.; Li, M.; Lao, J.; Tang, H.; Ming, S.; Wu, M.; Gong, S.; Li, L.; Liu, L.; et al. SLAMF7 regulates the inflammatory response in macrophages during polymicrobial sepsis. J. Clin. Investig. 2023, 133, e150224. [Google Scholar] [CrossRef] [PubMed]
- Luo, J.; Wang, J.; Zhang, J.; Sang, A.; Ye, X.; Cheng, Z.; Li, X. Nrf2 Deficiency Exacerbated CLP-Induced Pulmonary Injury and Inflammation through Autophagy- and NF-κB/PPARγ-Mediated Macrophage Polarization. Cells 2022, 11, 3927. [Google Scholar] [CrossRef] [PubMed]
- Gan, Y.; Tao, S.; Cao, D.; Xie, H.; Zeng, Q. Protection of resveratrol on acute kidney injury in septic rats. Hum. Exp. Toxicol. 2017, 36, 1015–1022. [Google Scholar] [CrossRef] [PubMed]

; CLP:
; citronellol 50 mg/kg:
; citronellol 100 mg/kg:
.
; CLP:
; citronellol 50 mg/kg:
; citronellol 100 mg/kg:
.
; CLP:
; citronellol 50 mg/kg:
; citronellol 100 mg/kg:
.
; CLP:
; citronellol 50 mg/kg:
; citronellol 100 mg/kg:
.
; CLP:
; citronellol 50 mg/kg:
; citronellol 100 mg/kg:
.
; CLP:
; citronellol 50 mg/kg:
; citronellol 100 mg/kg:
.
; CLP:
; citronellol 50 mg/kg:
; citronellol 100 mg/kg:
.
; CLP:
; citronellol 50 mg/kg:
; citronellol 100 mg/kg:
.

| Primers | Sequence 5 ʹ→ʹ3ʹ Direction | Accession No. | |
|---|---|---|---|
| GAPDH | Forward | CGGGTTCCTATAAATACGGACTG | NM_001289726.2 |
| GAPDH | Reverse | CCAATACGGCCAAATCCGTTC | |
| NF-ĸB | Forward | AAGACAAGGAGCAGGACATG | NM_001410442.1 |
| NF-ĸB | Reverse | AGCAACATCTTCACATCCC | |
| AP-1 | Forward | AG GCTGCAGGATGATGCGAT | NM_007457.4 |
| AP-1 | Reverse | TTCTAGCCAGGACGACTTGC | |
| KIM-1 | Forward | GGCTCTCTCCTAACTGGTCA | XM_011248784.3 |
| KIM-1 | Reverse | CCACCACCCCCTTTACTTCC | |
| TNF-α | Forward | TAGCCCACGTCGTAGCAAAC | NM_013693.3 |
| TNF-α | Reverse | ACAAGGTACAACCCATCGGC | |
| Group | Mean ± SD |
|---|---|
| CLP | 3.40 ± 0.55 * |
| Citronellol 50 mg/kg | 1.60 ± 0.55 ** |
| Citronellol 100 mg/kg | 0.40 ± 0.12 |
Disclaimer/Publisher’s Note: The statements, opinions and data contained in all publications are solely those of the individual author(s) and contributor(s) and not of MDPI and/or the editor(s). MDPI and/or the editor(s) disclaim responsibility for any injury to people or property resulting from any ideas, methods, instructions or products referred to in the content. |
© 2025 by the authors. Licensee MDPI, Basel, Switzerland. This article is an open access article distributed under the terms and conditions of the Creative Commons Attribution (CC BY) license (https://creativecommons.org/licenses/by/4.0/).
Share and Cite
Atiyah, H.R.; Kathem, S.H.; Nauli, S.M. Citronellol Reduces Sepsis-Induced Renal Inflammation via AP-1/NF-κB/TNF-α Pathway. Biomolecules 2025, 15, 1614. https://doi.org/10.3390/biom15111614
Atiyah HR, Kathem SH, Nauli SM. Citronellol Reduces Sepsis-Induced Renal Inflammation via AP-1/NF-κB/TNF-α Pathway. Biomolecules. 2025; 15(11):1614. https://doi.org/10.3390/biom15111614
Chicago/Turabian StyleAtiyah, Huda Rashid, Sarmed H. Kathem, and Surya M. Nauli. 2025. "Citronellol Reduces Sepsis-Induced Renal Inflammation via AP-1/NF-κB/TNF-α Pathway" Biomolecules 15, no. 11: 1614. https://doi.org/10.3390/biom15111614
APA StyleAtiyah, H. R., Kathem, S. H., & Nauli, S. M. (2025). Citronellol Reduces Sepsis-Induced Renal Inflammation via AP-1/NF-κB/TNF-α Pathway. Biomolecules, 15(11), 1614. https://doi.org/10.3390/biom15111614

