Catalytic Synthesis of (S)-CHBE by Directional Coupling and Immobilization of Carbonyl Reductase and Glucose Dehydrogenase
Abstract
1. Introduction
2. Materials and Methods
2.1. Materials
2.2. Construction of Plasmids
2.3. Protein Expression and Purification
2.4. Connection Validation and Enzyme Immobilization
2.5. SEM Analysis
2.6. Secondary Structure Analysis
2.7. Determination of Enzyme Activity
2.8. Effect of pH and Temperature on the Activity of BsCR and BsGDH
2.9. pH and Temperature Stability Analysis of Free Enzymes and the Immobilized Enzymes
2.10. Asymmetric Reduction Reactions of COBE
2.11. Effect of Different Conditions on the Yield of (S)-CHBE
2.12. Reusability of the Immobilized Enzyme
2.13. HPLC Analysis of (S)-CHBE
3. Results
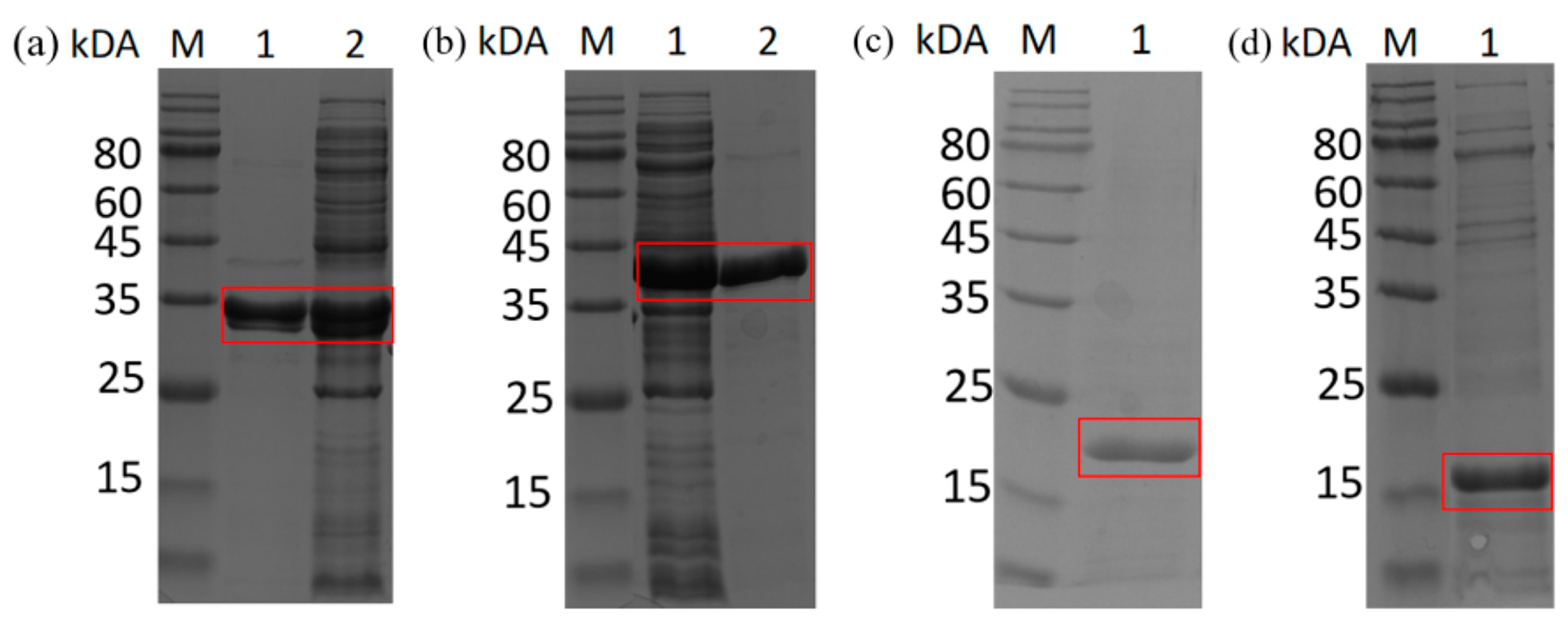
3.1. Recombinant Protein Expression and Purification
3.2. Optimization of the Enzyme Immobilization Process
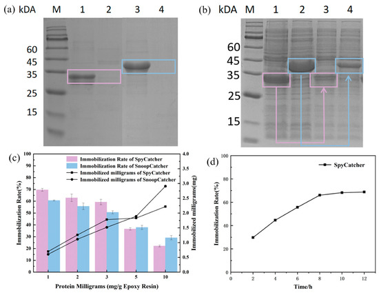
3.2.1. Catcher and Tag Connection Validation
3.2.2. Enzyme-Directed Immobilization on Epoxy Resin
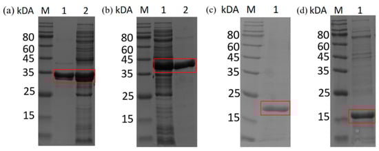
3.3. Characterization of Immobilized Enzymes
3.4. Characteristics of Free and Immobilized Enzymes
3.5. Optimization of Parameters in Coupling Reaction
3.6. Reusability of Immobilized Enzymes
4. Discussion
5. Conclusions
Supplementary Materials
Author Contributions
Funding
Institutional Review Board Statement
Informed Consent Statement
Data Availability Statement
Acknowledgments
Conflicts of Interest
References
- Ye, Q.; Ouyang, P.; Ying, H. A review—Biosynthesis of optically pure ethyl (S)-4-chloro-3-hydroxybutanoate ester: Recent advances and future perspectives. Appl. Microbiol. Biotechnol. 2011, 89, 513–522. [Google Scholar] [CrossRef] [PubMed]
- Kaliaperumal, T.; Kumar, S.; Gummadi, S.N.; Chadha, A. Asymmetric synthesis of (S)-ethyl-4-chloro-3-hydroxybutanoate using Candida parapsilosis ATCC 7330. J. Ind. Microbiol. Biotechnol. 2010, 37, 159–165. [Google Scholar] [CrossRef] [PubMed]
- Wan, N.W.; Liu, Z.Q.; Xue, F.; Shen, Z.Y.; Zheng, Y.G. A One-Step Biocatalytic Process for (S)-4-Chloro-3-hydroxybutyronitrile using Halohydrin Dehalogenase: A Chiral Building Block for Atorvastatin. ChemCatChem 2015, 7, 2446–2450. [Google Scholar] [CrossRef]
- Steinreiber, J.; Faber, K.; Griengl, H. De-racemization of Enantiomers versus De-epimerization of Diastereomers—Classification of Dynamic Kinetic Asymmetric Transformations (DYKAT). Chem.–A Eur. J. 2008, 14, 8060–8072. [Google Scholar] [CrossRef] [PubMed]
- Wu, J.; Pai, C.C.; Kwok, W.H.; Guo, R.W.; Au-Yeung, T.T.; Yeung, C.H.; Chan, A.S. Studies on the rhodium- and ruthenium-catalyzed asymmetric hydrogenation of α-dehydroamino acids using a family of chiral dipyridylphosphine ligand (P-Phos). Tetrahedron Asymmetry 2003, 14, 987–992. [Google Scholar] [CrossRef]
- Zheng, G.; Xu, J. New opportunities for biocatalysis: Driving the synthesis of chiral chemicals. Curr. Opin. Biotechnol. 2011, 22, 784–792. [Google Scholar] [CrossRef] [PubMed]
- Naeem, M.; Li, A.; Younis, M.A.; Shen, B.; Ye, L.; Yu, H. Asymmetric Bioreduction of 4-hydroxy-2-butanone by Carbonyl Reductases PFODH and CpSADH Delivers 1,3-butanediol Enantiomers with Excellent R- and S-enantioselectivity. Biotechnol. Bioprocess Eng. 2019, 24, 972–980. [Google Scholar] [CrossRef]
- Tan, Z.; Ma, H.; Li, Q.; Pu, L.; Cao, Y.; Qu, X.; Zhu, C.; Ying, H. Biosynthesis of optically pure chiral alcohols by a substrate coupled and biphasic system with a short-chain dehydrogenase from Streptomyces griseus. Enzym. Microb. Technol. 2016, 93–94, 191–199. [Google Scholar] [CrossRef]
- Wang, Q.; Shen, L.; Ye, T.; Cao, D.; Chen, R.; Pei, X.; Xie, T.; Li, Y.; Gong, W.; Yin, X. Overexpression and characterization of a novel (S)-specific extended short-chain dehydrogenase/reductase from Candida parapsilosis. Bioresour. Technol. 2012, 123, 690–694. [Google Scholar] [CrossRef] [PubMed]
- Wang, Q.; Ye, T.; Ma, Z.; Chen, R.; Xie, T.; Yin, X. Characterization and site-directed mutation of a novel aldo–keto reductase from Lodderomyces elongisporus NRRL YB-4239 with high production rate of ethyl (R)-4-chloro-3-hydroxybutanoate. J. Ind. Microbiol. Biotechnol. 2014, 41, 1609–1616. [Google Scholar] [CrossRef] [PubMed]
- Zhao, H.; van der Donk, W.A. Regeneration of cofactors for use in biocatalysis. Curr. Opin. Biotechnol. 2003, 14, 583–589. [Google Scholar] [CrossRef] [PubMed]
- Yang, H.; Jia, X.; Han, Y. Microbial redox coenzyme engineering and applications in biosynthesis. Trends Microbiol. 2022, 30, 318–321. [Google Scholar] [CrossRef] [PubMed]
- Betancor, L.; Berne, C.; Luckarift, H.R.; Spain, J.C. Coimmobilization of a redox enzyme and a cofactor regeneration system. Chem. Commun. 2006, 34, 3640–3642. [Google Scholar] [CrossRef] [PubMed]
- Liu, W.; Wang, P. Cofactor regeneration for sustainable enzymatic biosynthesis. Biotechnol. Adv. 2007, 25, 369–384. [Google Scholar] [CrossRef] [PubMed]
- Rao, J.; Zhang, R.; Xu, G.; Li, L.; Xu, Y. Efficient production of (S)-1-phenyl-1,2-ethanediol using xylan as co-substrate by a coupled multi-enzyme Escherichia coli system. Microb. Cell Factories 2020, 19, 87. [Google Scholar] [CrossRef] [PubMed]
- Jakoblinnert, A.; Mladenov, R.; Paul, A.; Sibilla, F.; Schwaneberg, U.; Ansorge-Schumacher, M.B.; de María, P.D. Asymmetric reduction of ketones with recombinant E. coli whole cells in neat substrates. Chem. Commun. 2011, 47, 12230–12232. [Google Scholar] [CrossRef] [PubMed]
- Gröger, H.; Chamouleau, F.; Orologas, N.; Rollmann, C.; Drauz, K.; Hummel, W.; Weckbecker, A.; May, O. Enantioselective Reduction of Ketones with “Designer Cells” at High Substrate Concentrations: Highly Efficient Access to Functionalized Optically Active Alcohols. Angew. Chem. Int. Ed. 2006, 45, 5677–5681. [Google Scholar] [CrossRef] [PubMed]
- Zhou, L.; Ouyang, Y.; Kong, W.; Ma, T.; Zhao, H.; Jiang, Y.; Gao, J.; Ma, L. One pot purification and co-immobilization of His-tagged old yellow enzyme and glucose dehydrogenase for asymmetric hydrogenation. Enzym. Microb. Technol. 2022, 156, 110001. [Google Scholar] [CrossRef] [PubMed]
- Garcia-Bofill, M.; Sutton, P.W.; Guillen, M.; Alvaro, G. Enzymatic synthesis of a statin precursor by immobilised alcohol dehydrogenase with NADPH oxidase as cofactor regeneration system. Appl. Catal. A: Gen. 2021, 609, 117909. [Google Scholar] [CrossRef]
- Peng, F.; Ou, X.Y.; Guo, Z.W.; Zeng, Y.J.; Zong, M.H.; Lou, W.Y. Co-immobilization of multiple enzymes by self-assembly and chemical crosslinking for cofactor regeneration and robust biocatalysis. Int. J. Biol. Macromol. 2020, 162, 445–453. [Google Scholar] [CrossRef]
- Schoffelen, S.; van Hest, J.C. Chemical approaches for the construction of multi-enzyme reaction systems. Curr. Opin. Struct. Biol. 2013, 23, 613–621. [Google Scholar] [CrossRef]
- Jiang, Y.; Zhang, X.; Yuan, H.; Huang, D.; Wang, R.; Liu, H.; Wang, T. Research progress and the biotechnological applications of multienzyme complex. Appl. Microbiol. Biotechnol. 2021, 105, 1759–1777. [Google Scholar] [CrossRef] [PubMed]
- Zakeri, B.; Fierer, J.O.; Celik, E.; Chittock, E.C.; Schwarz-Linek, U.; Moy, V.T.; Howarth, M. Peptide tag forming a rapid covalent bond to a protein, through engineering a bacterial adhesin. Proc. Natl. Acad. Sci. USA 2012, 109, E690–E697. [Google Scholar] [CrossRef] [PubMed]
- Reddington, S.C.; Howarth, M. Secrets of a covalent interaction for biomaterials and biotechnology: SpyTag and SpyCatcher. Curr. Opin. Chem. Biol. 2015, 29, 94–99. [Google Scholar] [CrossRef] [PubMed]
- Izoré, T.; Contreras-Martel, C.; El Mortaji, L.; Manzano, C.; Terrasse, R.; Vernet, T.; Di Guilmi, A.M.; Dessen, A. Structural Basis of Host Cell Recognition by the Pilus Adhesin from Streptococcus pneumoniae. Structure 2010, 18, 106–115. [Google Scholar] [CrossRef] [PubMed]
- Buldun, C.M.; Jean, J.X.; Bedford, M.R.; Howarth, M. SnoopLigase Catalyzes Peptide–Peptide Locking and Enables Solid-Phase Conjugate Isolation. J. Am. Chem. Soc. 2018, 140, 3008–3018. [Google Scholar] [CrossRef] [PubMed]
- Qu, J.; Cao, S.; Wei, Q.; Zhang, H.; Wang, R.; Kang, W.; Ma, T.; Zhang, L.; Liu, T.; Wing-Ngor Au, S.; et al. Synthetic Multienzyme Complexes, Catalytic Nanomachineries for Cascade Biosynthesis In Vivo. ACS Nano 2019, 13, 9895–9906. [Google Scholar] [CrossRef] [PubMed]
- Bao, J.; Liu, N.; Zhu, L.; Xu, Q.; Huang, H.; Jiang, L. Programming a Biofilm-Mediated Multienzyme-Assembly-Cascade System for the Biocatalytic Production of Glucosamine from Chitin. J. Agric. Food Chem. 2018, 66, 8061–8068. [Google Scholar] [CrossRef] [PubMed]
- Lin, Y.; Jin, W.; Cai, L.; Liu, X.; Qiu, Y.; Zhang, G. Green preparation of covalently co-immobilized multienzymes on silica nanoparticles for clean production of reducing sugar from lignocellulosic biomass. J. Clean. Prod. 2021, 314, 127994. [Google Scholar] [CrossRef]
- Wei, Q.; He, S.; Qu, J.; Xia, J. Synthetic Multienzyme Complexes Assembled on Virus-like Particles for Cascade Biosynthesis In Cellulo. Bioconjugate Chem. 2020, 31, 2413–2420. [Google Scholar] [CrossRef] [PubMed]
- Li, L.; Fierer, J.O.; Rapoport, T.A.; Howarth, M. Structural Analysis and Optimization of the Covalent Association between SpyCatcher and a Peptide Tag. J. Mol. Biol. 2014, 426, 309–317. [Google Scholar] [CrossRef]
- Khairil Anuar, I.N.; Banerjee, A.; Keeble, A.H.; Carella, A.; Nikov, G.I.; Howarth, M. Spy&Go purification of SpyTag-proteins using pseudo-SpyCatcher to access an oligomerization toolbox. Nat. Commun. 2019, 10, 1734. [Google Scholar] [PubMed]
- Zou, S.P.; Wang, Z.C.; Qin, C.; Zheng, Y.G. Covalent immobilization of Agrobacterium radiobacter epoxide hydrolase on ethylenediamine functionalised epoxy supports for biocatalytical synthesis of (R)-epichlorohydrin. Biotechnol. Lett. 2016, 38, 1579–1585. [Google Scholar] [CrossRef] [PubMed]
- Wang, J.; Lu, Y.; Cheng, P.; Zhang, C.; Tang, L.; Du, L.; Li, J.; Ou, Z. Construction of Bi-Enzyme Self-Assembly Clusters Based on SpyCatcher/SpyTag for the Efficient Biosynthesis of (R)-Ethyl 2-hydroxy-4-phenylbutyrate. Biomolecules 2023, 13, 91. [Google Scholar] [CrossRef] [PubMed]
- Ansari, S.A.; Husain, Q. Potential applications of enzymes immobilized on/in nano materials: A review. Biotechnol. Adv. 2012, 30, 512–523. [Google Scholar] [CrossRef] [PubMed]
- Chern, J.-T.; Chao, Y.-P. Chitin-binding domain based immobilization of d-hydantoinase. J. Biotechnol. 2005, 117, 267–275. [Google Scholar] [CrossRef] [PubMed]
- Linder, M.; Nevanen, T.; Söderholm, L.; Bengs, O.; Teeri, T.T. Improved immobilization of fusion proteins via cellulose-binding domains. Biotechnol. Bioeng. 1998, 60, 642–647. [Google Scholar] [CrossRef]
- Gajšek, M.; Jančič, U.; Vasić, K.; Knez, Ž.; Leitgeb, M. Enhanced activity of immobilized transglutaminase for cleaner production technologies. J. Clean. Prod. 2019, 240, 118218. [Google Scholar] [CrossRef]
- Schoene, C.; Fierer, J.O.; Bennett, S.P.; Howarth, M. SpyTag/SpyCatcher Cyclization Confers Resilience to Boiling on a Mesophilic Enzyme. Angew. Chem. Int. Ed. 2014, 53, 6101–6104. [Google Scholar] [CrossRef]
- Wang, Y.; Chang, Y.; Jia, R.; Sun, H.; Tian, J.; Luo, H.; Yu, H.; Shen, Z. SpyTag/SpyCatcher cyclization and covalent immobilization in enhancing cephalosporin C acylase stability. Process Biochem. 2020, 95, 260–268. [Google Scholar] [CrossRef]
- Mateo, C.; Grazu, V.; Palomo, J.M.; Lopez-Gallego, F.; Fernandez-Lafuente, R.; Guisan, J.M. Immobilization of enzymes on heterofunctional epoxy supports. Nat. Protoc. 2007, 2, 1022–1033. [Google Scholar] [CrossRef] [PubMed]
- You, Z.Y.; Liu, Z.Q.; Zheng, Y.G. Characterization of a newly synthesized carbonyl reductase and construction of a biocatalytic process for the synthesis of ethyl (S)-4-chloro-3-hydroxybutanoate with high space-time yield. Appl. Microbiol. Biotechnol. 2014, 98, 1671–1680. [Google Scholar] [CrossRef] [PubMed]
- Tan, Z.; Cheng, H.; Chen, G.; Ju, F.; Fernández-Lucas, J.; Zdarta, J.; Jesionowski, T.; Bilal, M. Designing multifunctional biocatalytic cascade system by multi-enzyme co-immobilization on biopolymers and nanostructured materials. Int. J. Biol. Macromol. 2023, 227, 535–550. [Google Scholar] [CrossRef] [PubMed]







| Primer Name | Primer Sequences (5′ to 3′) |
|---|---|
| yueD-F | CGCGCGCTCGAGCTACTACAAAAACTCTTTAATATCATAAATGCG |
| yueD-R | CGCGCGGGATCCATGGAACTTTATATCATCACCGGAG |
| bs-F | CGCGGATCCATGTATCCGGATTTAAAAGGAAA |
| bs-R | CGCCTCGAGTTAACCGCGGCCTGCCTGGA |
| YSTY44-R | GCATTTATGATATTAAAGAGTTTTTGGGAGGCTCCGGATCCGCT |
| YSTY56-F | GGATCTCAGTGGTGGTGGTGGTGGTGCTCGAGTTATTATTTGTAACGTTTATACGC |
| GSTY44-F | TGGTGGTGGTGGTGGTGCTCGAGTTACTTGTTGACCTTGATGAA |
| GSTY44-R | ATCCTTCATTCCAGGCAGGCCGCGGTGAATTCGCCAGAACCAGC |
| Plasmids | Purpose | Source |
|---|---|---|
| pET28a | Expression Vector | Our Laboratory |
| pET28a-VLT | Template | Our Laboratory |
| pET28a-DLSN | Template | Our Laboratory |
| pET28a-His-PT-SpyCatcher | SpyCatcher Expression Vector | Our Laboratory |
| pET28a-His-PT-SnoopCatcher | SnoopCatcher Expression Vector | Our Laboratory |
| pET28a-yueD | Carbonyl Reductase Expression Vector | This Study |
| pET28a-bsgdh | Glucose Dehydrogenase Expression Vector | This Study |
| pET28a-ydlspt | Fusion Expression Vectors Carbonyl Reductase and SpyTag (SpyTag in C Segment) | This Study |
| pET28a-bsgdhsnpt | Fusion Expression Vectors Glucose Dehydrogenase and SnoopTag (SnoopTag in C Segment) | This Study |
| Enzyme | Activity (U/mg) |
|---|---|
| BscR | 1.986 |
| LXTE@BsCR-SpyTag | 0.669 |
| BsGDH | 9.037 |
| LXTE@BsGDH-SnoopTag | 2.836 |
Disclaimer/Publisher’s Note: The statements, opinions and data contained in all publications are solely those of the individual author(s) and contributor(s) and not of MDPI and/or the editor(s). MDPI and/or the editor(s) disclaim responsibility for any injury to people or property resulting from any ideas, methods, instructions or products referred to in the content. |
© 2024 by the authors. Licensee MDPI, Basel, Switzerland. This article is an open access article distributed under the terms and conditions of the Creative Commons Attribution (CC BY) license (https://creativecommons.org/licenses/by/4.0/).
Share and Cite
Wang, Y.; Sun, R.; Chen, P.; Wang, F. Catalytic Synthesis of (S)-CHBE by Directional Coupling and Immobilization of Carbonyl Reductase and Glucose Dehydrogenase. Biomolecules 2024, 14, 504. https://doi.org/10.3390/biom14040504
Wang Y, Sun R, Chen P, Wang F. Catalytic Synthesis of (S)-CHBE by Directional Coupling and Immobilization of Carbonyl Reductase and Glucose Dehydrogenase. Biomolecules. 2024; 14(4):504. https://doi.org/10.3390/biom14040504
Chicago/Turabian StyleWang, Yadong, Ruiqi Sun, Peng Chen, and Fenghuan Wang. 2024. "Catalytic Synthesis of (S)-CHBE by Directional Coupling and Immobilization of Carbonyl Reductase and Glucose Dehydrogenase" Biomolecules 14, no. 4: 504. https://doi.org/10.3390/biom14040504
APA StyleWang, Y., Sun, R., Chen, P., & Wang, F. (2024). Catalytic Synthesis of (S)-CHBE by Directional Coupling and Immobilization of Carbonyl Reductase and Glucose Dehydrogenase. Biomolecules, 14(4), 504. https://doi.org/10.3390/biom14040504

