Recombinant Human Peptide Growth Factors, Bone Morphogenetic Protein-7 (rhBMP7), and Platelet-Derived Growth Factor-BB (rhPDGF-BB) for Osteoporosis Treatment in an Oophorectomized Rat Model
Abstract
1. Introduction
2. Materials and Methods
2.1. Growth Factors
2.2. Animals and Treatment
2.3. Blood and Serum Collection
2.4. Quantification of Alkaline Phosphatase (ALP)
2.5. X-ray
2.6. Micro CT
2.7. Histology
2.8. Statistical Analysis
3. Results
3.1. Oophorectomy Induces Body Mass Gain
3.2. Oophorectomized Animals Exhibit an Increased Serum ALP Concentration
3.3. In Vivo X-ray Analysis Confirmed the Osteoporosis Animal Model
3.4. Micro-CT Analysis Indicates That Recombinant Protein Treatment Increases Bone Volume and Trabeculae Number
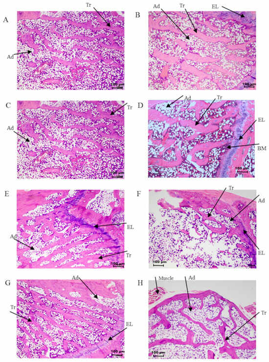
3.5. Histology Evidences That Recombinant Proteins and Zoledronic Acid Can Reduce Osteoporosis Severity
4. Discussion
5. Conclusions
Author Contributions
Funding
Institutional Review Board Statement
Informed Consent Statement
Data Availability Statement
Acknowledgments
Conflicts of Interest
References
- Wa, P. Consensus Development Conference: Diagnosis, Prophylaxis, and Treatment of Osteoporosis. Am. J. Med. 1993, 94, 646–650. [Google Scholar] [CrossRef]
- Vestergaard, P.; Rejnmark, L.; Mosekilde, L. Increased Mortality in Patients with a Hip Fracture-Effect of Pre-Morbid Conditions and Post-Fracture Complications. Osteoporos. Int. 2007, 18, 1583–1593. [Google Scholar] [CrossRef]
- Qaseem, A.; Forciea, M.A.; McLean, R.M.; Denberg, T.D. Treatment of Low Bone Density or Osteoporosis to Prevent Fractures in Men and Women: A Clinical Practice Guideline Update from the American College of Physicians. Ann. Intern. Med. 2017, 166, 818–839. [Google Scholar] [CrossRef]
- Kanis, J.A.; Norton, N.; Harvey, N.C.; Jacobson, T.; Johansson, H.; Lorentzon, M.; Mccloskey, E.V.; Willers, C.; Borgström, F. SCOPE 2021: A New Scorecard for Osteoporosis in Europe. Arch. Osteoporos. 2021, 16, 82. [Google Scholar] [CrossRef]
- Javaid, M.K.; Pinedo-Villanueva, R.; Shah, A.; Mohsin, Z.; Hiligsmann, M.; Motek-Soulié, A.; Fuggle, N.R.; Halbout, P.; Cooper, C. The Capture the Fracture® Partnership: An Overview of a Global Initiative to Increase the Secondary Fracture Prevention Care for Patient Benefit. Osteoporos. Int. 2023, 34, 1827–1835. [Google Scholar] [CrossRef] [PubMed]
- Zofkova, I.; Blahos, J. New Molecules Modulating Bone Metabolism—New Perspectives in the Treatment of Osteoporosis. Physiol. Res. 2017, 66, 341–347. [Google Scholar] [CrossRef]
- Johansson, H.; Siggeirsdóttir, K.; Harvey, N.C.; Odén, A.; Gudnason, V.; McCloskey, E.; Sigurdsson, G.; Kanis, J.A. Imminent Risk of Fracture after Fracture. Osteoporos. Int. 2017, 28, 775–780. [Google Scholar] [CrossRef]
- Åkesson, K.; Mitchell, P. Capture a Fratura; International Osteoporosis Foundation: Nyon, Switzerland, 2012; pp. 1–28. [Google Scholar]
- Kim, H.K.; Lee, J.S.; Kim, J.H.; Seon, J.K.; Park, K.S.; Jeong, M.H.; Yoon, T.R. Bone-Forming Peptide-2 Derived from BMP-7 Enhances Osteoblast Differentiation from Multipotent Bone Marrow Stromal Cells and Bone Formation. Exp. Mol. Med. 2017, 49, e328. [Google Scholar] [CrossRef]
- Zhong, X.; Zhang, F.; Yin, X.; Cao, H.; Wang, X.; Liu, D.; Chen, J.; Chen, X. Bone Homeostasis and Gut Microbial-Dependent Signaling Pathways. J. Microbiol. Biotechnol. 2021, 31, 765–774. [Google Scholar] [CrossRef] [PubMed]
- Chandra, A.; Rajawat, J. Skeletal Aging and Osteoporosis: Mechanisms and Therapeutics. Int. J. Mol. Sci. 2021, 22, 3553. [Google Scholar] [CrossRef]
- Segredo-Morales, E.; García-García, P.; Évora, C.; Delgado, A. BMP Delivery Systems for Bone Regeneration: Healthy vs. Osteoporotic Population. Review. J. Drug Deliv. Sci. Technol. 2017, 42, 107–118. [Google Scholar] [CrossRef]
- Chen, X.; Zhang, S.; Chen, X.; Hu, Y.; Wu, J.; Chen, S.; Chang, J.; Wang, G.; Gao, Y. Emodin Promotes the Osteogenesis of MC3T3-E1 Cells via BMP-9/Smad Pathway and Exerts a Preventive Effect in Ovariectomized Rats. Acta Biochim. Biophys. Sin. 2017, 49, 867–878. [Google Scholar] [CrossRef]
- Bartelt, A.; Behler-Janbeck, F.; Beil, F.T.; Koehne, T.; Müller, B.; Schmidt, T.; Heine, M.; Ochs, L.; Yilmaz, T.; Dietrich, M.; et al. Lrp1 in Osteoblasts Controls Osteoclast Activity and Protects against Osteoporosis by Limiting PDGF-RANKL Signaling. Bone Res. 2018, 6, 4. [Google Scholar] [CrossRef] [PubMed]
- Qaseem, A.; Hicks, L.A.; Etxeandia-Ikobaltzeta, I.; Shamliyan, T.; Cooney, T.G. Pharmacologic Treatment of Primary Osteoporosis or Low Bone Mass to Prevent Fractures in Adults: A Living Clinical Guideline from the American College of Physicians. Ann. Intern. Med. 2023, 176, 224–238. [Google Scholar] [CrossRef] [PubMed]
- Wang, J.-C.; Chien, W.-C.; Chung, C.-H.; Liao, W.-I.; Tsai, S.-H. Adverse Cardiovascular Effects of Nitrogen-Containing Bisphosphonates in Patients with Osteoporosis: A Nationwide Population-Based Retrospective Study. Int. J. Cardiol. 2016, 215, 232–237. [Google Scholar] [CrossRef]
- Hartle, J.E.; Tang, X.; Kirchner, H.L.; Bucaloiu, I.D.; Sartorius, J.A.; Pogrebnaya, Z.V.; Akers, G.A.; Carnero, G.E.; Perkins, R.M. Bisphosphonate Therapy, Death, and Cardiovascular Events among Female Patients with CKD: A Retrospective Cohort Study. Am. J. Kidney Dis. 2012, 59, 636–644. [Google Scholar] [CrossRef]
- Otto, S.; Aljohani, S.; Fliefel, R.; Ecke, S.; Ristow, O.; Burian, E.; Troeltzsch, M.; Pautke, C.; Ehrenfeld, M. Infection as an Important Factor in Medication-Related Osteonecrosis of the Jaw (MRONJ). Medicina 2021, 57, 463. [Google Scholar] [CrossRef] [PubMed]
- Zeytinoglu, M.; Naaman, S.C.; Dickens, L.T. Denosumab Discontinuation in Patients Treated for Low Bone Density and Osteoporosis. Endocrinol. Metab. Clin. North Am. 2021, 50, 205–222. [Google Scholar] [CrossRef]
- McClung, M.R. Role of Bone-Forming Agents in the Management of Osteoporosis. Aging Clin. Exp. Res. 2021, 33, 775–791. [Google Scholar] [CrossRef]
- Zhang, W.; Zhou, X.; Hou, W.; Chen, E.; Ye, C.; Chen, M.; Lu, Q.; Yu, X.; Li, W. Reversing the Imbalance in Bone Homeostasis via Sustained Release of SIRT-1 Agonist to Promote Bone Healing under Osteoporotic Condition. Bioact. Mater. 2023, 19, 429–443. [Google Scholar] [CrossRef]
- Lee, Z.H.; Kim, H.-J.; Ryoo, H.M. A Novel Osteogenic Activity of Suberoylanilide Hydroxamic Acid Is Synergized by BMP-2. J. Bone Metab. 2015, 22, 51–56. [Google Scholar] [CrossRef] [PubMed]
- Carreira, A.C.; Alves, G.G.; Zambuzzi, W.F.; Sogayar, M.C.; Granjeiro, J.M. Bone Morphogenetic Proteins: Structure, Biological Function and Therapeutic Applications. Arch. Biochem. Biophys. 2014, 561, 64–73. [Google Scholar] [CrossRef]
- Asila, A.; Yang, X.; Kaisaer, Y.; Ma, L. SNHG16/MiR-485-5p/BMP7 Axis Modulates Osteogenic Differentiation of Human Bone Marrow-Derived Mesenchymal Stem Cells. J. Gene Med. 2021, 23, e3296. [Google Scholar] [CrossRef] [PubMed]
- Ducy, P.; Karsenty, G. The Family of Bone Morphogenetic Proteins. Kidney Int. 2000, 57, 2207–2214. [Google Scholar] [CrossRef]
- Leboy, P.; Grasso-Knight, G.; D’Angelo, M.; Volk, S.W.; Lian, J.V.; Drissi, H.; Stein, G.S.; Adams, S.L. Smad-Runx Interactions during Chondrocyte Maturation. J. Bone Joint Surg. Am. 2001, 83, S15–S22. [Google Scholar] [CrossRef]
- Caplan, A.I.; Correa, D. PDGF in Bone Formation and Regeneration: New Insights into a Novel Mechanism Involving MSCs. J. Orthop. Res. 2011, 29, 1795–1803. [Google Scholar] [CrossRef]
- Andrae, J.; Gallini, R.; Betsholtz, C. Role of Platelet-Derived Growth Factors in Physiology and Medicine. Genes Dev. 2008, 22, 1276–1312. [Google Scholar] [CrossRef] [PubMed]
- Wang, F.; Ye, Y.; Zhang, Z.; Teng, W.; Sun, H.; Chai, X.; Zhou, X.; Chen, J.; Mou, H.; Eloy, Y.; et al. PDGFR in PDGF-BB/PDGFR Signaling Pathway Does Orchestrates Osteogenesis in a Temporal Manner. Research 2023, 6, 0086. [Google Scholar] [CrossRef]
- Hollinger, J.O.; Hart, C.E.; Hirsch, S.N.; Lynch, S.; Friedlaender, G.E. Recombinant Human Platelet-Derived Growth Factor: Biology and Clinical Applications. J. Bone Jt. Surg. Am. Vol. 2008, 90, 48–54. [Google Scholar] [CrossRef]
- He, S.; Hou, T.; Zhou, J.; Ai, Q.; Dou, C.; Luo, F.; Xu, J.; Xing, J. Endothelial Cells Promote Migration of Mesenchymal Stem Cells via PDGF-BB/PDGFR β -Src-Akt in the Context of Inflammatory Microenvironment upon Bone Defect. Stem Cells Int. 2022, 2022, 2401693. [Google Scholar] [CrossRef]
- Xie, H.; Cui, Z.; Wang, L.; Xia, Z.; Hu, Y.; Xian, L.; Li, C.; Xie, L.; Crane, J.; Wan, M.; et al. PDGF-BB Secreted by Preosteoclasts Induces Angiogenesis during Coupling with Osteogenesis. Nat. Med. 2014, 20, 1270–1278. [Google Scholar] [CrossRef]
- Pountos, I.; Georgouli, T.; Henshaw, K.; Bird, H.; Jones, E.; Giannoudis, P.V. The Effect of Bone Morphogenetic Protein-2, Bone Morphogenetic Protein-7, Parathyroid Hormone, and Platelet-Derived Growth Factor on the Proliferation and Osteogenic Differentiation of Mesenchymal Stem Cells Derived from Osteoporotic Bone. J. Orthop. Trauma 2010, 24, 552–556. [Google Scholar] [CrossRef] [PubMed]
- Bustos-Valenzuela, J.C.; Halcsik, E.; Bassi, E.J.; Demasi, M.A.; Granjeiro, J.M.; Sogayar, M.C. Expression, Purification, Bioactivity, and Partial Characterization of a Recombinant Human Bone Morphogenetic Protein-7 Produced in Human 293T Cells. Mol. Biotechnol. 2010, 46, 118–126. [Google Scholar] [CrossRef] [PubMed]
- Mitlak, B.H.; Finkelman, R.D.; Hill, E.L.; Li, J.; Martin, B.; Smith, T.; D’Andrea, M.; Antoniades, H.N.; Lynch, S.E. The Effect of Systemically Administered PDGF-BB on the Rodent Skeleton. J. Bone Miner. Res. 1996, 11, 238–247. [Google Scholar] [CrossRef] [PubMed]
- Hak, D.J.; Makino, T.; Niikura, T.; Hazelwood, S.J.; Curtiss, S.; Reddi, A.H. Recombinant Human BMP-7 Effectively Prevents Non-Union in Both Young and Old Rats. J. Orthop. Res. 2006, 24, 11–20. [Google Scholar] [CrossRef] [PubMed]
- Hollinger, J.O.; Onikepe, A.O.; MacKrell, J.; Einhorn, T.; Bradica, G.; Lynch, S.; Hart, C.E. Accelerated Fracture Healing in the Geriatric, Osteoporotic Rat with Recombinant Human Platelet-Derived Growth Factor-BB and an Injectable Beta-Tricalcium Phosphate/Collagen Matrix. J. Orthop. Res. 2008, 26, 83–90. [Google Scholar] [CrossRef]
- Solchaga, L.A.; Hee, C.K.; Roach, S.; Snel, L.B. Safety of Recombinant Human Platelet-Derived Growth Factor-BB in Augment® Bone Graft. J. Tissue Eng. 2012, 3, 2041731412442668. [Google Scholar] [CrossRef]
- Diwan, A.; Appleyard, R.; Bhargav, D.; Fang, Z.; Leong, A.; Wei, A. Bone Morphogenetic Protein-7 Accelerates Fracture Healing in Osteoporotic Rats. Indian J. Orthop. 2013, 47, 540. [Google Scholar] [CrossRef] [PubMed]
- Zhang, W.; Jin, Y.; Qian, S.; Li, J.; Chang, Q.; Ye, D.; Pan, H.; Zhang, M.; Cao, H.; Liu, X.; et al. Vacuum Extraction Enhances RhPDGF-BB Immobilization on Nanotubes to Improve Implant Osseointegration in Ovariectomized Rats. Nanomedicine 2014, 10, 1809–1818. [Google Scholar] [CrossRef]
- Mathavan, N.; Tägil, M.; Isaksson, H. Do Osteoporotic Fractures Constitute a Greater Recalcitrant Challenge for Skeletal Regeneration? Investigating the Efficacy of BMP-7 and Zoledronate Treatment of Diaphyseal Fractures in an Open Fracture Osteoporotic Rat Model. Osteoporos. Int. 2017, 28, 697–707. [Google Scholar] [CrossRef]
- Lasota, A.; Danowska-Klonowska, D. Experimental Osteoporosis—Different Methods of Ovariectomy in Female White Rats. Rocz. Akad. Med. Bialymst. 2004, 49 (Suppl. S1), 129–131. [Google Scholar]
- Khajuria, D.K.; Razdan, R.; Mahapatra, D.R. Description of a New Method of Ovariectomy in Female Rats. Rev. Bras. Reumatol. 2012, 52, 462–470. [Google Scholar]
- Azzi, C.M.G.; Nishiyama, A.C.O.C. Desenvolvimento de Um Modelo Animal Para Osteoporose Induzido Por Ooforectomia Em Rato Fêmea Nude (Rowett). Master’s degree disertation, Universidade de São Paulo, São Paulo, Brazil, 2017. [Google Scholar]
- Marcu, F.; Bogdan, F.; Muţiu, G.; Lazăr, L. The Histopathological Study of Osteoporosis. Rom. J. Morphol. Embryol. 2011, 52, 321–325. [Google Scholar]
- Carlsson, C.; Weisbrod, S. Ossos, Articulações, Tendões e Ligamentos. In Bases da Patologia em Veterinária; Zachary, J.F., McGavin, M.D., Eds.; Elsevier Ltd: Rio de Janeiro, Brazil, 2013; pp. 923–974. [Google Scholar]
- Xu, H.; Liu, T.; Hu, L.; Li, J.; Gan, C.; Xu, J.; Chen, F.; Xiang, Z.; Wang, X.; Sheng, J. Effect of Caffeine on Ovariectomy-Induced Osteoporosis in Rats. Biomed. Pharmacother. 2019, 112, 108650. [Google Scholar] [CrossRef]
- Compston, J.E.; McClung, M.R.; Leslie, W.D. Osteoporosis. Lancet 2019, 393, 364–376. [Google Scholar] [CrossRef]
- Vidal, M.; Thibodaux, R.J.; Neira, L.F.V.; Messina, O.D. Osteoporosis: A Clinical and Pharmacological Update. Clin. Rheumatol. 2019, 38, 385–395. [Google Scholar] [CrossRef] [PubMed]
- Chen, Y.; Heiman, M.L. Increased Weight Gain after Ovariectomy Is Not a Consequence of Leptin Resistance. Am. J. Physiol. Endocrinol. Metab. 2001, 280, 315–322. [Google Scholar] [CrossRef] [PubMed]
- Burch, K.E.; McCracken, K.; Buck, D.J.; Davis, R.L.; Sloan, D.K.; Curtis, K.S. Relationship Between Circulating Metabolic Hormones and Their Central Receptors During Ovariectomy-Induced Weight Gain in Rats. Front. Physiol. 2022, 12, 800266. [Google Scholar] [CrossRef] [PubMed]
- Yousefzadeh, N.; Kashfi, K.; Jeddi, S.; Ghasemi, A. Ovariectomized Rat Model of Osteoporosis: A Practical Guide. EXCLI J. 2020, 19, 89–107. [Google Scholar]
- Choi, K.H.; Lee, J.H.; Lee, D.G. Sex-Related Differences in Bone Metabolism in Osteoporosis Observational Study. Medicine 2021, 100, E26153. [Google Scholar] [CrossRef]
- Kang, K.Y.; Hong, Y.S.; Park, S.-H.; Ju, J.H. Increased Serum Alkaline Phosphatase Levels Correlate with High Disease Activity and Low Bone Mineral Density in Patients with Axial Spondyloarthritis. Semin. Arthritis Rheum. 2015, 45, 202–207. [Google Scholar] [CrossRef]
- Mukaiyama, K.; Kamimura, M.; Uchiyama, S.; Ikegami, S.; Nakamura, Y.; Kato, H. Elevation of Serum Alkaline Phosphatase (ALP) Level in Postmenopausal Women Is Caused by High Bone Turnover. Aging Clin. Exp. Res. 2015, 27, 413–418. [Google Scholar] [CrossRef]
- Grigoryan, A.V.; Dimitrova, A.A.; Kostov, K.G.; Russeva, A.L.; Atanasova, M.A.; Blagev, A.B.; Betova, T.M.; Trifonov, R.G. Changes of Serum Concentrations of Alkaline Phosphatase and Metalloproteinase-9 in an Ovariectomized Wistar Rat Model of Osteoporosis. J. Biomed. Clin. Res. 2017, 10, 32–36. [Google Scholar] [CrossRef]
- Lang, J.; Zhao, Q.; He, Y.; Yu, X. Bone Turnover Markers and Novel Biomarkers in Lung Cancer Bone Metastases. Biomarkers 2018, 23, 518–526. [Google Scholar] [CrossRef]
- Cheng, C.H.; Chen, L.R.; Chen, K.H. Osteoporosis Due to Hormone Imbalance: An Overview of the Effects of Estrogen Deficiency and Glucocorticoid Overuse on Bone Turnover. Int. J. Mol. Sci. 2022, 23, 1376. [Google Scholar] [CrossRef] [PubMed]
- Salamanna, F.; Borsari, V.; Contartese, D.; Nicoli Aldini, N.; Fini, M. Link between Estrogen Deficiency Osteoporosis and Susceptibility to Bone Metastases: A Way towards Precision Medicine in Cancer Patients. Breast 2018, 41, 42–50. [Google Scholar] [CrossRef] [PubMed]
- Rahman, M.M.; Matsuoka, K.; Takeshita, S.; Ikeda, K. Secretion of PDGF Isoforms during Osteoclastogenesis and Its Modulation by Anti-Osteoclast Drugs. Biochem. Biophys. Res. Commun. 2015, 462, 159–164. [Google Scholar] [CrossRef]
- Wang, X.; Matthews, B.G.; Yu, J.; Novak, S.; Grcevic, D.; Sanjay, A.; Kalajzic, I. PDGF Modulates BMP2-Induced Osteogenesis in Periosteal Progenitor Cells. JBMR Plus 2019, 3, e10127. [Google Scholar] [CrossRef]
- Li, D.; Wan, Q.; Pathak, J.L.; Li, Z. Platelet-Derived Growth Factor BB Enhances Osteoclast Formation and Osteoclast Precursor Cell Chemotaxis. J. Bone Miner. Metab. 2017, 35, 355–365. [Google Scholar] [CrossRef] [PubMed]
- Zhang, Z.; Chen, J.; Jin, D. Platelet-Derived Growth Factor (PDGF)-BB Stimulates Osteoclastic Bone Resorption Directly: The Role of Receptor Beta. Biochem. Biophys. Res. Commun. 1998, 251, 190–194. [Google Scholar] [CrossRef]
- Salazar, V.S.; Gamer, L.W.; Rosen, V. BMP Signalling in Skeletal Development, Disease and Repair. Nat. Rev. Endocrinol. 2016, 12, 203–221. [Google Scholar] [CrossRef] [PubMed]
- Desmyter, S.; Goubau, Y.; Benahmed, N.; de Wever, A.; Verdonk, R. The Role of Bone Morphogenetic Protein-7 (Osteogenic Protein-1) in the Treatment of Tibial Fracture Non-Unions. An Overview of the Use in Belgium. Acta Orthop. Belg. 2008, 74, 534–537. [Google Scholar] [PubMed]
- Cecchi, S.; Bennet, S.J.; Arora, M. Bone Morphogenetic Protein-7: Review of Signalling and Efficacy in Fracture Healing. J. Orthop. Translat. 2016, 4, 28–34. [Google Scholar] [CrossRef] [PubMed]
- Helbig, L.; Omlor, G.W.; Ivanova, A.; Guehring, T.; Sonntag, R.; Kretzer, J.P.; Minkwitz, S.; Wildemann, B.; Schmidmaier, G. Bone Morphogenetic Proteins-7 and -2 in the Treatment of Delayed Osseous Union Secondary to Bacterial Osteitis in a Rat Model. BMC Musculoskelet Disord. 2018, 19, 1–13. [Google Scholar] [CrossRef] [PubMed]
- Chan, M.C.; Hilyard, A.C.; Wu, C.; Davis, B.N.; Hill, N.S.; Lal, A.; Lieberman, J.; Lagna, G.; Hata, A.; Rahman, M.M.; et al. Molecular Basis for Antagonism between PDGF and the TGFΒ Family of Signalling Pathways by Control of MiR-24 Expression. EMBO J. 2010, 29, 559–573. [Google Scholar] [CrossRef] [PubMed]
- Bayer, E.A.; Fedorchak, M.V.; Little, S.R. The Influence of Platelet-Derived Growth Factor and Bone Morphogenetic Protein Presentation on Tubule Organization by Human Umbilical Vascular Endothelial Cells and Human Mesenchymal Stem Cells in Coculture. Tissue Eng. Part A 2016, 22, 1296–1304. [Google Scholar] [CrossRef]
- Novak, S.; Madunic, J.; Shum, L.; Vucetic, M.; Wang, X.; Tanigawa, H.; Ghosh, M.; Sanjay, A.; Kalajzic, I. PDGF Inhibits BMP2-Induced Bone Healing. NPJ Regen. Med. 2023, 8, 3. [Google Scholar] [CrossRef]
- Pittenger, M.F.; Mackay, A.M.; Beck, S.C.; Jaiswal, R.K.; Douglas, R.; Mosca, J.D.; Moorman, M.A.; Simonetti, D.W.; Craig, S.; Marshak, D.R. Multilineage Potential of Adult Human Mesenchymal Stem Cells. Science 1999, 284, 143–147. [Google Scholar] [CrossRef]
- Komori, T. Regulation of Osteoblast Differentiation by Transcription Factors. J. Cell Biochem. 2006, 99, 1233–1239. [Google Scholar] [CrossRef]
- Zhuang, H.; Zhang, X.; Zhu, C.; Tang, X.; Yu, F.; Shang, G.W.; Cai, X. Molecular Mechanisms of PPAR-γ Governing MSC Osteogenic and Adipogenic Differentiation. Curr. Stem. Cell Res. Ther. 2016, 11, 255–264. [Google Scholar] [CrossRef]
- Wang, E.A.; Israel, D.I.; Kelly, S.; Luxenberg, D.P. Bone Morphogenetic Protein-2 Causes Commitment and Differentiation in C3H10T1/2 and 3T3 Cells. Growth Factors 1993, 9, 57–71. [Google Scholar] [CrossRef] [PubMed]
- Hata, K.; Nishimura, R.; Ikeda, F.; Yamashita, K.; Matsubara, T.; Nokubi, T.; Yoneda, T. Differential Roles of Smad1 and P38 Kinase in Regulation of Peroxisome Proliferator-Activating Receptor Gamma during Bone Morphogenetic Protein 2-Induced Adipogenesis. Mol. Biol. Cell 2003, 14, 545–555. [Google Scholar] [CrossRef] [PubMed]
- Hu, L.; Yin, C.; Zhao, F.; Ali, A.; Ma, J.; Qian, A. Mesenchymal Stem Cells: Cell Fate Decision to Osteoblast or Adipocyte and Application in Osteoporosis Treatment. Int. J. Mol. Sci. 2018, 19, 360. [Google Scholar] [CrossRef] [PubMed]
- Astudillo, P.; Ríos, S.; Pastenes, L.; Pino, A.M.; Rodríguez, J.P. Increased Adipogenesis of Osteoporotic Human-Mesenchymal Stem Cells (MSCs) Characterizes by Impaired Leptin Action. J. Cell. Biochem. 2008, 103, 1054–1065. [Google Scholar] [CrossRef] [PubMed]
- Horowitz, M.C.; Berry, R.; Holtrup, B.; Sebo, Z.; Nelson, T.; Fretz, J.A.; Lindskog, D.; Kaplan, J.L.; Ables, G.; Rodeheffer, M.S.; et al. Bone Marrow Adipocytes. Adipocyte 2017, 6, 193–204. [Google Scholar] [CrossRef] [PubMed]
- Hu, Y.; Li, X.; Zhi, X.; Cong, W.; Huang, B.; Chen, H.; Wang, Y.; Li, Y.; Wang, L.; Fang, C.; et al. RANKL from Bone Marrow Adipose Lineage Cells Promotes Osteoclast Formation and Bone Loss. EMBO Rep. 2021, 22, e52481. [Google Scholar] [CrossRef] [PubMed]
- Yu, W.; Zhong, L.; Yao, L.; Wei, Y.; Gui, T.; Li, Z.; Kim, H.; Holdreith, N.; Jiang, X.; Tong, W.; et al. Bone Marrow Adipogenic Lineage Precursors Promote Osteoclastogenesis in Bone Remodeling and Pathologic Bone Loss. J. Clin. Investig. 2021, 131, e140214. [Google Scholar] [CrossRef]
- Black, D.M.; Delmas, P.D.; Eastell, R.; Reid, I.R.; Boonen, S.; Cauley, J.A.; Cosman, F.; Lakatos, P.; Leung, P.C.; Man, Z.; et al. Once-Yearly Zoledronic Acid for Treatment of Postmenopausal Osteoporosis. N. Engl. J. Med. 2007, 356, 1809–1822. [Google Scholar] [CrossRef]
- Liu, M.; Guo, L.; Pei, Y.; Li, N.; Jin, M.; Ma, L.; Liu, Y.; Sun, B.; Li, C. Efficacy of Zoledronic Acid in Treatment of Osteoporosis in Men and Women-a Meta-Analysis. Int. J. Clin. Exp. Med. 2015, 8, 3855. [Google Scholar]








| Group | Surgery | Treatment | Number of Injections | Dose/Injection | Euthanasia |
|---|---|---|---|---|---|
| Control | Not performed | None | Non-applicable | Non-applicable | 150 days |
| Sham | Surgery without ovary remotion | None | Non-applicable | Non-applicable | 150 days |
| Zoledronic Acid | Oophorectomy | Zoledronic acid | Two injections within a 22-day interval | 100 µg/kg | 150 days |
| Vehicle | Oophorectomy | None | 2×/week | 20 mM Tris-HCl pH 7.2 + 300 mM NaCl | 150 days |
| PDGF-BB 2× | Oophorectomy | PDGF-BB | 2×/week | 20 µg/kg | 150 days |
| BMP-7 2× | Oophorectomy | BMP-7 | 2×/week | 30 µg/kg | 150 days |
| PDGF-BB + BMP-7 2× | Oophorectomy | PDGF-BB + BMP-7 | 2×/week | 20 µg/kg of PDGF-BB + 30 µg/kg of BMP-7 | 150 days |
| PDGF-BB 1x | Oophorectomy | PDGF-BB | 1×/week | 20 µg/kg | 150 days |
| BMP-7 2× | Oophorectomy | BMP-7 | 1×/week | 30 µg/kg | 150 days |
| PDGF-BB + BMP-7 1× | Oophorectomy | PDGF-BB + BMP-7 | 1×/week | 20 µg/kg of PDGF-BB + 30 µg/kg of BMP-7 | 150 days |
| Oophorectomy | Oophorectomy | None | Non-applicable | Non-applicable | 100 days |
| Score | Trabecular Thickness |
|---|---|
| 0 | Normal |
| 1 | Discrete reduction |
| 2 | Moderate reduction |
| 3 | Pronounced reduction |
| Score | Clinical Condition |
|---|---|
| 0 | Normal |
| 1 | Mild osteoporosis |
| 2 | Moderate osteoporosis |
| 3 | Severe osteoporosis |
Disclaimer/Publisher’s Note: The statements, opinions and data contained in all publications are solely those of the individual author(s) and contributor(s) and not of MDPI and/or the editor(s). MDPI and/or the editor(s) disclaim responsibility for any injury to people or property resulting from any ideas, methods, instructions or products referred to in the content. |
© 2024 by the authors. Licensee MDPI, Basel, Switzerland. This article is an open access article distributed under the terms and conditions of the Creative Commons Attribution (CC BY) license (https://creativecommons.org/licenses/by/4.0/).
Share and Cite
Reis, T.G.; Del Colletto, A.M.S.; Silva, L.A.S.; Koga, B.A.A.; Sogayar, M.C.; Carreira, A.C.O. Recombinant Human Peptide Growth Factors, Bone Morphogenetic Protein-7 (rhBMP7), and Platelet-Derived Growth Factor-BB (rhPDGF-BB) for Osteoporosis Treatment in an Oophorectomized Rat Model. Biomolecules 2024, 14, 317. https://doi.org/10.3390/biom14030317
Reis TG, Del Colletto AMS, Silva LAS, Koga BAA, Sogayar MC, Carreira ACO. Recombinant Human Peptide Growth Factors, Bone Morphogenetic Protein-7 (rhBMP7), and Platelet-Derived Growth Factor-BB (rhPDGF-BB) for Osteoporosis Treatment in an Oophorectomized Rat Model. Biomolecules. 2024; 14(3):317. https://doi.org/10.3390/biom14030317
Chicago/Turabian StyleReis, Thamara Gonçalves, Alice Marcela Sampaio Del Colletto, Luiz Augusto Santana Silva, Bruna Andrade Aguiar Koga, Mari Cleide Sogayar, and Ana Claudia Oliveira Carreira. 2024. "Recombinant Human Peptide Growth Factors, Bone Morphogenetic Protein-7 (rhBMP7), and Platelet-Derived Growth Factor-BB (rhPDGF-BB) for Osteoporosis Treatment in an Oophorectomized Rat Model" Biomolecules 14, no. 3: 317. https://doi.org/10.3390/biom14030317
APA StyleReis, T. G., Del Colletto, A. M. S., Silva, L. A. S., Koga, B. A. A., Sogayar, M. C., & Carreira, A. C. O. (2024). Recombinant Human Peptide Growth Factors, Bone Morphogenetic Protein-7 (rhBMP7), and Platelet-Derived Growth Factor-BB (rhPDGF-BB) for Osteoporosis Treatment in an Oophorectomized Rat Model. Biomolecules, 14(3), 317. https://doi.org/10.3390/biom14030317

