Skin Whitening Effect and Molecular Mechanism of Phenyllactic Acid (PLA) Derived from Limosilactobacillus reuteri Culture Broth
Abstract
1. Introduction
2. Materials and Methods
2.1. Chemicals and Reagents
2.2. HPLC Analysis
2.3. Molecular Docking
2.4. Mushroom Tyrosinase Inhibition Activity
2.5. Enzyme Kinetics Analysis
2.6. Cell Culture
2.7. MTT Assay
2.8. Melanin Contents
2.9. Intracellular Tyrosinase Inhibition Activity
2.10. Western Blot Analysis
2.11. Statistical Analysis
3. Results
3.1. HPLC Analysis of PLA
3.2. Molecular Docking Analysis
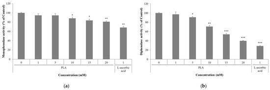
3.3. Mushroom Tyrosinase Activity
3.4. Enzyme Kinetic Analysis of PLA
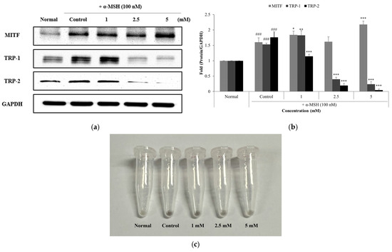
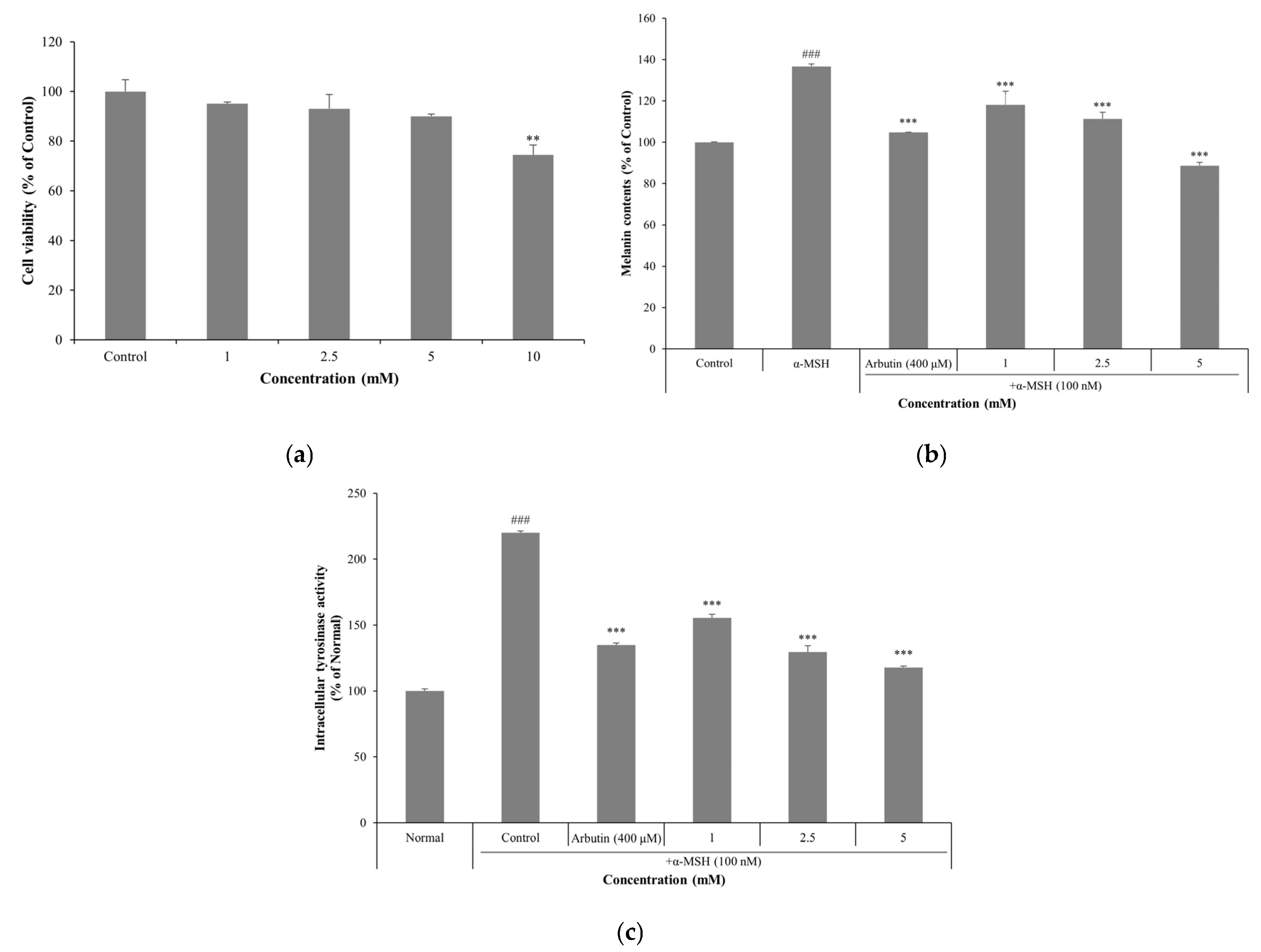
3.5. Effect of PLA on Melanin Synthesis and Tyrosinase Activity in B16F10 Melanoma Cell
3.6. Effect of PLA on the Protein Levels MITF, TRP-1, TRP-2 in B16F10 Melanoma Cell
4. Discussion
5. Conclusions
Author Contributions
Funding
Institutional Review Board Statement
Informed Consent Statement
Data Availability Statement
Acknowledgments
Conflicts of Interest
References
- Brenner, M.; Hearing, V.J. The protective role of melanin against UV damage in human skin. Photochem. Photobiol. 2008, 84, 539–549. [Google Scholar] [CrossRef]
- Burger, P.; Landreau, A.; Azoulay, S.; Michel, T.; Fernandez, X. Skin whitening cosmetics: Feedback and challenges in the development of natural skin lighteners. Cosmetics 2016, 3, 36. [Google Scholar] [CrossRef]
- Ito, S. A chemist’s view of melanogenesis. Pigment Cell Res. 2003, 16, 230–236. [Google Scholar] [CrossRef]
- Rodríguez-López, J.N.; Tudela, J.; Varón, R.; García-Carmona, F.; García-Cánovas, F. Analysis of a kinetic model for melanin biosynthesis pathway. J. Biol. Chem. 1992, 267, 3801–3810. [Google Scholar] [CrossRef]
- Vachtenheim, J.; Borovanský, J. “Transcription physiology” of pigment formation in melanocytes: Central role of MITF. Exp. Dermatol. 2010, 19, 617–627. [Google Scholar] [CrossRef] [PubMed]
- Boo, Y.C. Arbutin as a skin depigmenting agent with antimelanogenic and antioxidant properties. Antioxidants 2021, 10, 1129. [Google Scholar] [CrossRef] [PubMed]
- Mohamad, R.; Mohamed, M.S.; Suhaili, N.; Salleh, M.M.; Ariff, A.B. Kojic acid: Applications and development of fermentation process for production. Biotechnol. Mol. Biol. Rev. 2010, 5, 24–37. [Google Scholar]
- Ravetti, S.; Clemente, C.; Brignone, S.; Hergert, L.; Allemandi, D.; Palma, S. Ascorbic acid in skin health. Cosmetics 2019, 6, 58. [Google Scholar] [CrossRef]
- Lukic, J.; Chen, V.; Strahinic, I.; Begovic, J.; Lev-Tov, H.; Davis, S.C.; Tomic-Canic, M.; Pastar, I. Probiotics or pro-healers: The role of beneficial bacteria in tissue repair. Wound Repair Regen. 2017, 25, 911–922. [Google Scholar] [CrossRef] [PubMed]
- La Fata, G.; Weber, P.; Mohajeri, M.H. Probiotics and the gut immune system: Indirect regulation. Probiotics Antimicrob. Proteins 2018, 10, 11–21. [Google Scholar] [CrossRef]
- Lolou, V.; Panayiotidis, M.I. Functional role of probiotics and prebiotics on skin health and disease. Fermentation 2019, 5, 41. [Google Scholar] [CrossRef]
- Mu, Q.; Tavella, V.J.; Luo, X.M. Role of Lactobacillus reuteri in human health and diseases. Front. Microbiol. 2018, 9, 757. [Google Scholar] [CrossRef]
- Abuqwider, J.; Altamimi, M.; Mauriello, G. Limosilactobacillus reuteri in Health and Disease. Microorganisms 2022, 10, 522. [Google Scholar] [CrossRef]
- Wang, Q.; He, Y.; Li, X.; Zhang, T.; Liang, M.; Wang, G.; Zhao, J.; Zhang, H.; Chen, W. Lactobacillus reuteri CCFM8631 Alleviates Hypercholesterolaemia Caused by the Paigen Atherogenic Diet by Regulating the Gut Microbiota. Nutrients 2022, 14, 1272. [Google Scholar] [CrossRef]
- Ma, Y.; Zhong, Y.; Tang, W.; Valencak, T.G.; Liu, J.; Deng, Z.; Mao, J.; Liu, D.; Wang, S.; Wang, Y.; et al. Lactobacillus reuteri ZJ617 Attenuates Metabolic Syndrome via Microbiota-Derived Spermidine. Nat. Commun. 2025, 16, 877. [Google Scholar] [CrossRef] [PubMed]
- Thomas, C.M.; Hong, T.; van Pijkeren, J.P.; Hemarajata, P.; Trinh, D.V.; Hu, W.; Britton, R.A.; Kalkum, M.; Versalovic, J. Histamine Derived from Probiotic Lactobacillus reuteri Suppresses TNF via Modulation of PKA and ERK Signaling. PLoS ONE 2012, 7, e31951. [Google Scholar] [CrossRef] [PubMed]
- Ghosh, R.; Sil, D.; Sharma, R.; Kumar, D.; Komal, K.; Kumar, S.; Mahajan, H.S.; Sharma, M.; Kumar, M. Investigating Postbiotics as Innovative Adjuvants: Deciphering the Gut-Breast Connection in Breast Cancer Therapy, from Gut Microbiome to Personalized Medicine. Mol. Biol. Rep. 2025, 52, 547. [Google Scholar] [CrossRef]
- Rafique, N.; Jan, S.Y.; Dar, A.H.; Dash, K.K.; Sarkar, A.; Shams, R.; Pandey, V.K.; Khan, S.A.; Amin, Q.A.; Hussain, S.Z. Promising Bioactivities of Postbiotics: A Comprehensive Review. J. Agric. Food Res. 2023, 14, 100708. [Google Scholar] [CrossRef]
- Lee, H.W.; Lee, Y.R.; Park, K.M.; Lee, N.K.; Paik, H.D. Antimelanogenic and Antioxidant Effects of Postbiotics of Lactobacillus Strains in α-MSH-Induced B16F10 Melanoma Cells via CREB/MITF and MAPKs Signaling Pathway. J. Microbiol. Biotechnol. 2024, 34, 2279–2289. [Google Scholar] [CrossRef]
- Rawal, S.; Ali, S.A. Probiotics and Postbiotics Play a Role in Maintaining Dermal Health. Food Funct. 2023, 14, 3966–3981. [Google Scholar] [CrossRef] [PubMed]
- Kim, Y.K.; Cho, M.; Kang, D.J. Anti-Inflammatory Response of New Postbiotics in TNF-α/IFN-γ-Induced Atopic Dermatitis-like HaCaT Keratinocytes. Curr. Issues Mol. Biol. 2024, 46, 6100–6111. [Google Scholar] [CrossRef]
- Jin, X.; Nguyen, T.T.M.; Yi, E.-J.; Zheng, Q.; Park, S.-J.; Yi, G.-S.; Yang, S.-J.; Kim, M.-J.; Yi, T.-H. Emerging Trends in Skin Anti-Photoaging by Lactic Acid Bacteria: A Focus on Postbiotics. Chemistry 2024, 6, 1495–1508. [Google Scholar] [CrossRef]
- Liang, F.; Que, Y.; Liu, Y.; Inam, M.; Yang, Y.; Zhang, Y.; Liu, J.; Lin, Q. Metabolic Profiles of Flammulina velutipes Residues during Lactiplantibacillus plantarum Fermentation. Environ. Technol. Innov. 2025, 37, 103931. [Google Scholar] [CrossRef]
- Song, N.R.; Shin, S.Y.; Kim, K.M.; Choi, S.R.; Park, D.S.; Kim, S.O.; Jung, D.H.; Park, K.M. Anti-Photoaging Activities of Limosilactobacillus reuteri Culture Broth. Biocell 2025, 49, 1291–1310. [Google Scholar] [CrossRef]
- Mu, W.; Yu, S.; Zhu, L.; Zhang, T.; Jiang, B. Recent Research on 3-Phenyllactic Acid, a Broad-Spectrum Antimicrobial Compound. Appl. Microbiol. Biotechnol. 2012, 95, 1155–1163. [Google Scholar] [CrossRef]
- Ruey, J.Y.; Van Scott, E.J. Organic Acids with Novel Functions: α-Hydroxy, Aldobionic, N-Acetylamino Acids, and Related Compounds. In Textbook of Cosmetic Dermatology, 5th ed.; Informa Healthcare: London, UK, 2017; pp. 91–108. [Google Scholar]
- Rajanikar, R.V.; Nataraj, B.H.; Naithani, H.; Ali, S.A.; Panjagari, N.R.; Behare, P.V. Phenyllactic Acid: A Green Compound for Food Biopreservation. Food Control 2021, 128, 108184. [Google Scholar] [CrossRef]
- Ha, J.H.; Park, S.N. Mechanism underlying inhibitory effect of six dicaffeoylquinic acid isomers on melanogenesis and the computational molecular modeling studies. Bioorg. Med. Chem. 2018, 26, 4201–4208. [Google Scholar] [CrossRef]
- Eberhardt, J.; Santos-Martins, D.; Tillack, A.F.; Forli, S. AutoDock Vina 1.2.0: New Docking Methods, Expanded Force Field, and Python Bindings. J. Chem. Inf. Model. 2021, 61, 3891–3898. [Google Scholar] [CrossRef] [PubMed]
- Bugnon, M.; Röhrig, U.F.; Goullieux, M.; Perez, M.A.S.; Daina, A.; Michielin, O.; Zoete, V. SwissDock 2024: Major Enhancements for Small-Molecule Docking with Attracting Cavities and AutoDock Vina. Nucleic Acids Res. 2024, 52, W324–W332. [Google Scholar] [CrossRef]
- Supino, R. MTT assays. Methods Mol. Biol. 1995, 43, 137–149. [Google Scholar] [CrossRef] [PubMed]
- Qiu, L.; Chen, Q.-H.; Zhuang, J.-X.; Zhong, X.; Zhou, J.-J.; Guo, Y.-J.; Chen, Q.-X. Inhibitory Effects of α-Cyano-4-Hydroxycinnamic Acid on the Activity of Mushroom Tyrosinase. Food Chem. 2009, 112, 609–613. [Google Scholar] [CrossRef]
- Li, Z.C.; Chen, L.H.; Yu, X.J.; Hu, Y.H.; Song, K.K.; Zhou, X.W.; Chen, Q.X. Inhibition Kinetics of Chlorobenzaldehyde Thiosemicarbazones on Mushroom Tyrosinase. J. Agric. Food Chem. 2010, 58, 12537–12540. [Google Scholar] [CrossRef] [PubMed]
- Sakeh, N.M.; Md Razip, N.N.; Mohd Ma’in, F.I.; Abdul Bahari, M.N.; Latif, N.; Akhtar, M.N.; Balia Yusof, Z.N.; Ahmad, S. Melanogenic Inhibition and Toxicity Assessment of Flavokawain A and B on B16/F10 Melanoma Cells and Zebrafish (Danio rerio). Molecules 2020, 25, 3403. [Google Scholar] [CrossRef] [PubMed]
- Zheng, Y.; Lee, E.-H.; Lee, S.-Y.; Lee, Y.; Shin, K.-O.; Park, K.; Kang, I.-J. Morus alba L. root decreases melanin synthesis via sphingosine-1-phosphate signaling in B16F10 cells. J. Ethnopharmacol. 2023, 301, 115848. [Google Scholar] [CrossRef] [PubMed]
- Tachibana, M. MITF: A stream flowing for pigment cells. Pigment Cell Res. 2000, 13, 230–240. [Google Scholar] [CrossRef]
- Lee, C.S.; Park, M.; Han, J.; Lee, J.-H.; Bae, I.-H.; Choi, H.; Son, E.D.; Park, Y.-H.; Lim, K.-M. Liver X receptor activation inhibits melanogenesis through the acceleration of ERK-mediated MITF degradation. J. Invest. Dermatol. 2013, 133, 1063–1071. [Google Scholar] [CrossRef]
- Wellbrock, C.; Arozarena, I. Microphthalmia-associated transcription factor in melanoma development and MAP-kinase pathway targeted therapy. Pigment Cell Melanoma Res. 2015, 28, 390–406. [Google Scholar] [CrossRef]






| Column | Agilent Zorbax C18 (4.6 × 250 mm, 5 μm) | ||
| Injection volume | 10 uL | ||
| Wavelength | 210 nm | ||
| Flow rate | 1 mL/min | ||
| Calibration range | 6.25–100 μg/mL | ||
| Mobile phase | (A) Water (containing 0.2% phosphoric acid), (B) Acetonitrile | ||
| Gradient conditions | Time (min) | A (%) | B (%) |
| 0 | 100 | 0 | |
| 1 | 100 | 0 | |
| 5 | 0 | 100 | |
| 20 | 0 | 100 | |
| 23 | 100 | 0 | |
| 30 | 100 | 0 | |
| Model | Calculated Affinity (kcal/mol) | Model | Calculated Affinity (kcal/mol) |
|---|---|---|---|
| 1 | −4.420 | 11 | −3.473 |
| 2 | −4.329 | 12 | −3.471 |
| 3 | −4.230 | 13 | −3.416 |
| 4 | −4.163 | 14 | −3.384 |
| 5 | −3.943 | 15 | −3.287 |
| 6 | −3.871 | 16 | −3.169 |
| 7 | −3.789 | 17 | −3.168 |
| 8 | −3.722 | 18 | −3.139 |
| 9 | −3.529 | 19 | −3.097 |
| 10 | −3.513 | 20 | −3.096 |
Disclaimer/Publisher’s Note: The statements, opinions and data contained in all publications are solely those of the individual author(s) and contributor(s) and not of MDPI and/or the editor(s). MDPI and/or the editor(s) disclaim responsibility for any injury to people or property resulting from any ideas, methods, instructions or products referred to in the content. |
© 2025 by the authors. Licensee MDPI, Basel, Switzerland. This article is an open access article distributed under the terms and conditions of the Creative Commons Attribution (CC BY) license (https://creativecommons.org/licenses/by/4.0/).
Share and Cite
Kim, K.-M.; Shin, S.-Y.; Song, N.-R.; Byun, J.-H.; Kim, S.-J.; Kim, S.O.; Park, K.-M. Skin Whitening Effect and Molecular Mechanism of Phenyllactic Acid (PLA) Derived from Limosilactobacillus reuteri Culture Broth. Cosmetics 2025, 12, 258. https://doi.org/10.3390/cosmetics12060258
Kim K-M, Shin S-Y, Song N-R, Byun J-H, Kim S-J, Kim SO, Park K-M. Skin Whitening Effect and Molecular Mechanism of Phenyllactic Acid (PLA) Derived from Limosilactobacillus reuteri Culture Broth. Cosmetics. 2025; 12(6):258. https://doi.org/10.3390/cosmetics12060258
Chicago/Turabian StyleKim, Ki-Min, Seo-Yeon Shin, Nu-Ri Song, Jae-Hee Byun, Seon-Ju Kim, Sun Oh Kim, and Kyung-Mok Park. 2025. "Skin Whitening Effect and Molecular Mechanism of Phenyllactic Acid (PLA) Derived from Limosilactobacillus reuteri Culture Broth" Cosmetics 12, no. 6: 258. https://doi.org/10.3390/cosmetics12060258
APA StyleKim, K.-M., Shin, S.-Y., Song, N.-R., Byun, J.-H., Kim, S.-J., Kim, S. O., & Park, K.-M. (2025). Skin Whitening Effect and Molecular Mechanism of Phenyllactic Acid (PLA) Derived from Limosilactobacillus reuteri Culture Broth. Cosmetics, 12(6), 258. https://doi.org/10.3390/cosmetics12060258

