Positive Effect of Peptides Obtained from Nile Tilapia (Oreochromis niloticus) on Inflammation Regulation and Wound Healing
Abstract
1. Introduction
2. Materials and Methods (Supplementary Figure S1)
2.1. Tilápia Nilo (Oreochromis niloticus) Preparation for Skin Extraction
2.2. Preparation of Tilápia Nilo Skin Hydrolysate for Peptide Recovery
2.3. LC/MS-MS Analysis
2.3.1. Protein Identification
2.3.2. Characterization of the Amino Acid Composition of MCPs
2.4. In Vitro Assays
2.4.1. Cytotoxicity/Proliferation Assays
2.4.2. Scratch Assay
2.5. In Vivo Assays
2.5.1. Animals
2.5.2. Experimental Design
2.5.3. Surgical Wounds
2.5.4. Measure of Wound Area and Contraction Rate
2.5.5. Histological Analysis
2.6. Analysis of Oxidative Stress Markers and Antioxidant Defenses
2.6.1. Hydrogen Peroxide Production
2.6.2. Nitric Oxide Analysis
2.6.3. Determination of TBARS
- 0.375% TBA solution (Reagent: 2-thiobarbituric acid 98%, Sigma-Aldrich, St Louis, MO, USA)
- -
- Weigh 0.0375 g of TBA.
- -
- Dilute in 10 mL of distilled water.
- -
- Homogenize in a heated magnetic stirrer, as the solution requires diluting time.
- 0.25 M HCl solution (Reagent: Hydrochloric Acid 37% P.A.)
- -
- Pipette 214.6 µL of HCl.
- -
- Complete the volume with 10 mL of distilled water.
- -
- Homogenize with a magnetic stirrer.
Note: HCl must be pipetted into the Gas Exhaust Hood. - 15% TCA solution (Reagent: Trichloroacetic Acid ≥ 99%; Sigma-Aldrich)
- -
- Weigh 1.5 g of TCA.
- -
- Complete the volume with 10 mL of distilled water.
- -
- Homogenize with a magnetic stirrer.
- After preparation, combine the 3 solutions in a single bottle covered with aluminum foil to create a TBARS solution with a final volume of 30 mL. This step must be performed in a dark environment, and the solution must be prepared for use on the same day, as TCA turns to water and TBA oxidizes). The TBARS solution is transparent in color.
- To construct the curve, a 10 mM TMPO stock solution must be prepared.
- Pipette 16.47 µL of the reagent 1,1,3-Tetramethoxypropane (TMPO) [MW: 1645.2; Density: 0.997, Sigma-Aldrich].
- Dilute in 10 mL of distilled water in an amber bottle or a bottle lined with aluminum foil.
- Homogenize and store at −20 °C (in 10 mM stock solution) until the next day.
- Assemble the Standard Curve.
- -
- Add 200 µL of the sample (tissue or plasma) to each microtube (leave it on ice).
- -
- Perform the following steps for all microtubes (samples and standard):
- (1)
- Pipette 400 µL of the previously prepared solution (TBARS).
- (2)
- Mix in the vortex for at least 10 s.
- (3)
- Place in a water bath for 40 min at 90 °C (be careful not to let water enter).
- (4)
- Place in an ice bath for 5 min.
- (5)
- Add 600 µL of n-Butanol.
- (6)
- Vortex for 1 to 2 min to invert the phase (the upper part becomes pink, and the lower part clear).
- (7)
- Centrifuge at 3500 rpm for 10 min at 15 °C.
- (8)
- CAREFULLY remove 200 µL of the supernatant (upper liquid phase—light pink color).
- (9)
- Aliquot into each well of the 96-well plate (check the plate design in the diagram below).
- (10)
- Perform the reading on a plate spectrophotometer at 540 nm.
- (11)
- Expected absorbance values are between 0.1 and 1.
- (12)
- The biochemical data are normalized to total protein levels in the supernatant. The total protein levels are quantified in all homogenates [41].
2.6.4. Superoxide Dismutase Activity
2.7. Cytokine Expression Analysis
2.8. Immunohistochemistry Analysis
2.9. Statistical Analysis
3. Results
3.1. Enzymatic Hydrolyse
3.2. LC/MS-MS Analysis
3.2.1. Peptide Characterization
3.2.2. Amino Acid Composition of MCPs
3.3. In Vitro Assays
3.3.1. Cytotoxicity/Proliferation Assays
3.3.2. Effect of T19 on the Scratch Assay
3.4. In Vivo Assays
3.4.1. Wound Area and Wound Contraction Index
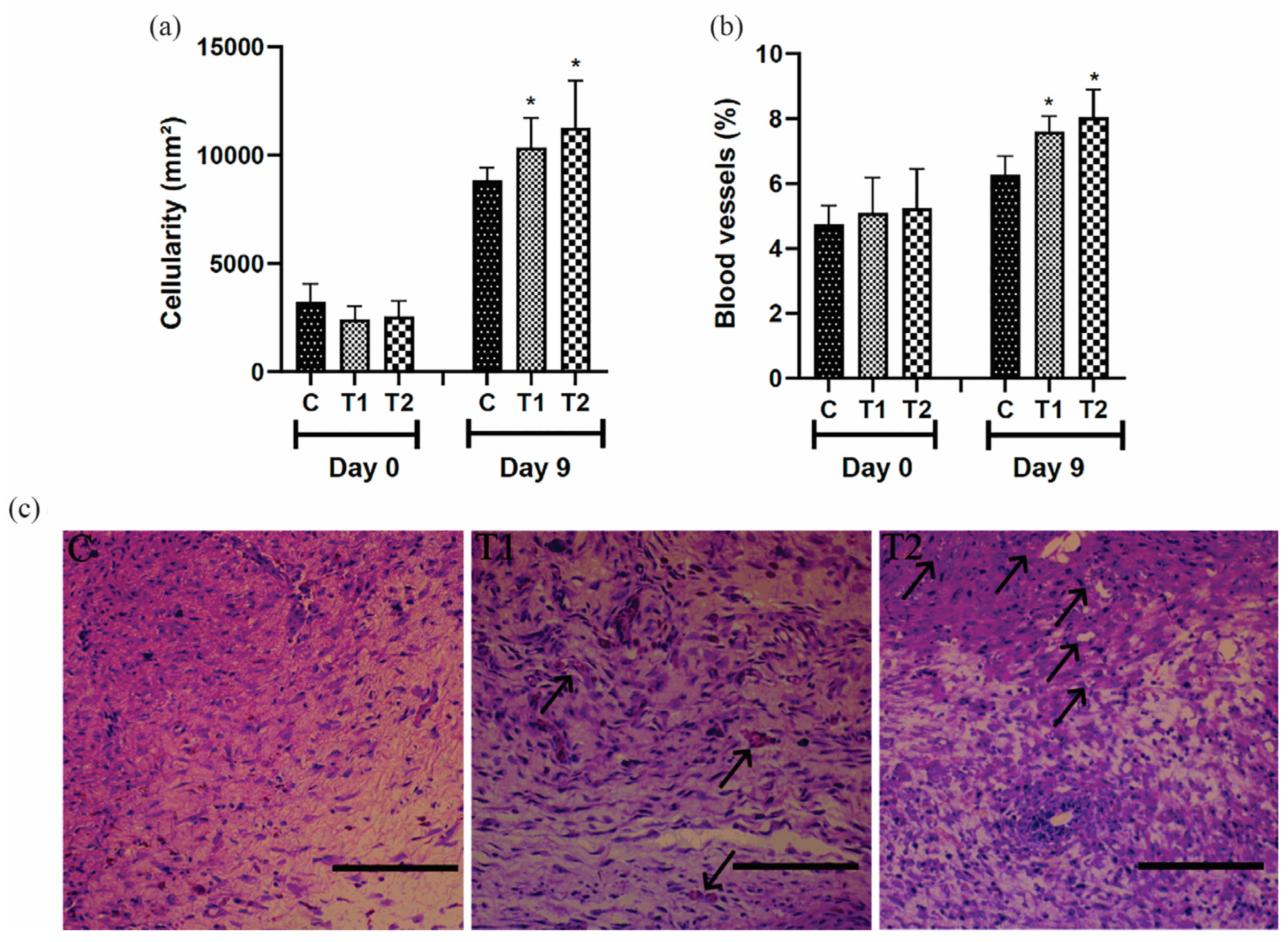
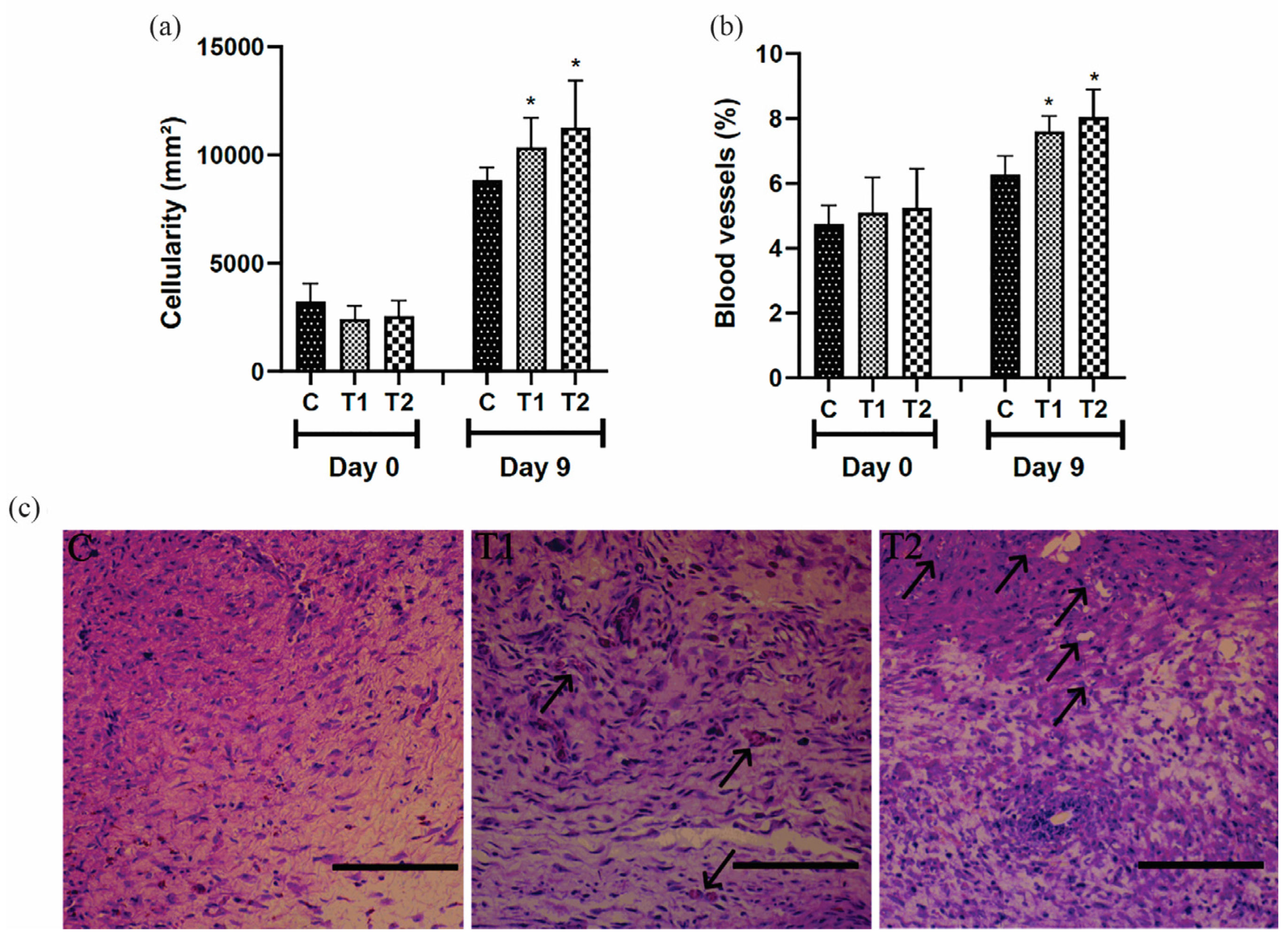
3.4.2. Histopathological Results
3.5. Results of Oxidative Stress Markers and Antioxidant Defenses
3.5.1. Antioxidant Enzyme
3.5.2. Evaluation of Oxidative Stress Markers
3.6. Analysis of Pro- and Anti-Inflammatory Cytokines in Scar Tissue
3.7. Immunohistochemistry
4. Discussion
5. Conclusions
Supplementary Materials
Author Contributions
Funding
Institutional Review Board Statement
Informed Consent Statement
Data Availability Statement
Conflicts of Interest
References
- Swann, G. Editorial. J. Vis. Commun. Med. 2010, 33, 148–149. [Google Scholar] [CrossRef] [PubMed]
- Eklouh-Molinier, C.; Gaydou, V.; Froigneux, E.; Barlier, P.; Couturaud, V.; Manfait, M.; Piot, O. In Vivo Confocal Raman Microspectroscopy of the Human Skin: Highlighting of Spectral Markers Associated to Aging via a Research of Correlation between Raman and Biometric Mechanical Measurements. Anal. Bioanal. Chem. Anal. Bioanal. Chem. 2015, 407, 8363–8372. [Google Scholar] [CrossRef] [PubMed]
- Karimkhani, C.; Dellavalle, R.P.; Coffeng, L.E.; Flohr, C.; Hay, R.J.; Langan, S.M.; Nsoesie, E.O.; Ferrari, A.J.; Erskine, H.E.; Silverberg, J.I.; et al. Global Skin Disease Morbidity and Mortality. JAMA Dermatol. 2017, 153, 406. [Google Scholar] [CrossRef] [PubMed]
- Reichenberg, J.; Davis, M. Venous Ulcers. Semin. Cutan. Med. Surg. 2005, 24, 216–226. [Google Scholar] [CrossRef] [PubMed]
- Cavassan, N.R.V.; Camargo, C.C.; De Pontes, L.G.; Barraviera, B.; Ferreira, R.S.; Miot, H.A.; Abbade, L.P.F.; Santos, L.D.D. Correlation between Chronic Venous Ulcer Exudate Proteins and Clinical Profile: A Cross-Sectional Study. J. Proteom. 2019, 192, 280–290. [Google Scholar] [CrossRef] [PubMed]
- Buster, K.J.; Stevens, E.I.; Elmets, C.A. Dermatologic Health Disparities. Dermatol. Clin. 2012, 30, 53–59. [Google Scholar] [CrossRef] [PubMed]
- PLISA. Plisa Plataforma de Información en Salud Para Las Américas—Indicador de Estado de Salud. Available online: http://www.paho.org/data/index.php/es/?option=com_content&view=article&id=515:indicadoresviz&Itemid=347 (accessed on 22 May 2020).
- Reinke, J.M.; Sorg, H. Wound Repair and Regeneration. Eur. Surg. Res. 2012, 49, 35–43. [Google Scholar] [CrossRef] [PubMed]
- Dehkordi, A.N.; Babaheydari, F.M.; Chehelgerdi, M.; Dehkordi, S.R. Skin Tissue Engineering: Wound Healing Based on Stem-Cell-Based Therapeutic Strategies. Stem Cell Res. Ther. 2019, 10, 111. [Google Scholar] [CrossRef] [PubMed]
- Tziotzios, C.; Profyris, C.; Sterling, J. Cutaneous Scarring: Pathophysiology, Molecular Mechanisms, and Scar Reduction Therapeutics. J. Am. Acad. Dermatol. 2012, 66, 13–24. [Google Scholar] [CrossRef]
- Mechanism Action of Platelets and Crucial Blood Coagulation Pathways in Hemostasis. Available online: http://www.ncbi.nlm.nih.gov/pubmed/29340130 (accessed on 27 June 2020).
- Qin, Y. Functional Wound Dressings. In Elsevier eBooks; Elsevier: Amsterdam, The Netherlands, 2016; pp. 89–107. [Google Scholar]
- Davis, J. Smart Bandage Technologies. In Elsevier eBooks; Elsevier: Amsterdam, The Netherlands, 2016. [Google Scholar]
- Serra, M.B.; Barroso, W.A.; Da Silva, N.N.; Silva, S.D.N.; Borges, A.C.R.; Abreu, I.C.; Da Rocha Borges, M.O. From Inflammation to Current and Alternative Therapies Involved in Wound Healing. Int. J. Inflamm. 2017, 2017, 3406215. [Google Scholar] [CrossRef]
- Cañedo-Dorantes, L.; Cañedo-Ayala, M. Skin Acute Wound Healing: A Comprehensive Review. Int. J. Inflamm. 2019, 2019, 3706315. [Google Scholar] [CrossRef] [PubMed]
- Greaves, N.S.; Ashcroft, K.J.; Baguneid, M.; Bayat, A. Current Understanding of Molecular and Cellular Mechanisms in Fibroplasia and Angiogenesis during Acute Wound Healing. J. Dermatol. Sci. 2013, 72, 206–217. [Google Scholar] [CrossRef] [PubMed]
- Landén, N.X.; Li, D.; Ståhle, M. Transition from Inflammation to Proliferation: A Critical Step during Wound Healing. Cell. Mol. Life Sci. 2016, 73, 3861–3885. [Google Scholar] [CrossRef] [PubMed]
- Blakaj, A.; Bucala, R. Fibrocytes in Health and Disease. Fibrogenes. Tissue Repair 2012, 5, 548–556. [Google Scholar] [CrossRef] [PubMed]
- Xue, M.; Jackson, C.J. Extracellular Matrix Reorganization during Wound Healing and Its Impact on Abnormal Scarring. Adv. Wound Care 2015, 4, 119–136. [Google Scholar] [CrossRef] [PubMed]
- De Oliveira Gonzalez, A.C.; Costa, T.F.; De Araújo Andrade, Z.; Medrado, A.R.A.P. Wound Healing—A Literature Review. An. Bras. Dermatol. 2016, 91, 614–620. [Google Scholar] [CrossRef] [PubMed]
- Black, E.H.; Nesi, F.A.; Calvano, C.J.; Gladstone, G.J.; Levine, M.R. Smith and Nesi’s Ophthalmic Plastic and Reconstructive Surgery; Springer Science & Business Media: Berlin/Heidelberg, Germany, 2012. [Google Scholar]
- Desmouliere, A.; Darby, I.A.; Laverdet, B.; Bonté, F. Fibroblasts and Myofibroblasts in Wound Healing. Clin. Cosmet. Investig. Dermatol. 2014, 301, 301–311. [Google Scholar] [CrossRef] [PubMed]
- Chen, P.; Parks, W.C. Role of Matrix Metalloproteinases in Epithelial Migration. J. Cell. Biochem. 2009, 108, 1233–1243. [Google Scholar] [CrossRef]
- Shanmugasundaram, N.; Uma, T.S.; Lakshmi, T.S.R.; Babu, M. Efficiency of Controlled Topical Delivery of Silver Sulfadiazine in Infected Burn Wounds. J. Biomed. Mater. Research. Part A 2008, 89A, 472–482. [Google Scholar] [CrossRef]
- Johnson, R.M.; Richard, R. Partial-Thickness Burns: Identification and Management. Adv. Ski. Wound Care 2003, 16, 178–187. [Google Scholar] [CrossRef]
- Pei, X.; Yang, R.; Zhang, Z.; Gao, L.; Wang, J.; Xu, Y.; Zhao, M.; Han, X.; Liu, Z.; Li, Y. Marine Collagen Peptide Isolated from Chum Salmon (Oncorhynchus keta) Skin Facilitates Learning and Memory in Aged C57BL/6J Mice. Food Chem. 2010, 118, 333–340. [Google Scholar] [CrossRef]
- Felice, F.; Zambito, Y.; Belardinelli, E.; Fabiano, A.; Santoni, T.; Di Stefano, R. Effect of Different Chitosan Derivatives on in Vitro Scratch Wound Assay: A Comparative Study. Int. J. Biol. Macromol. 2015, 76, 236–241. [Google Scholar] [CrossRef] [PubMed]
- Huang, H.-N.; Chan, Y.-L.; Hui, C.-F.; Wu, J.-L.; Wu, C.-J.; Chen, J.-Y. Use of Tilapia Piscidin 3 (TP3) to Protect against MRSA Infection in Mice with Skin Injuries. Oncotarget 2015, 6, 12955–12969. [Google Scholar] [CrossRef] [PubMed]
- Huang, H.-N.; Pan, C.-Y.; Wu, H.-Y.; Chen, J.-Y. Antimicrobial Peptide Epinecidin-1 Promotes Complete Skin Regeneration of Methicillin-Resistant Staphylococcus Aureus-Infected Burn Wounds in a Swine Model. Oncotarget 2017, 8, 21067–21080. [Google Scholar] [CrossRef]
- Ennaas, N.; Hammami, R.; Gomaa, A.; Bédard, F.; Biron, É.; Subirade, M.; Beaulieu, L.; Fliss, I. Collagencin, an Antibacterial Peptide from Fish Collagen: Activity, Structure and Interaction Dynamics with Membrane. Biochem. Biophys. Res. Commun. 2016, 473, 642–647. [Google Scholar] [CrossRef]
- Kim, S.-K.; Ngo, D.-H.; Vo, T.-S. Marine Fish-Derived Bioactive Peptides as Potential Antihypertensive Agents. Adv. Food Nutr. Res. 2012, 65, 249–260. [Google Scholar]
- Xu, L.; Dong, W.; Zhao, J.; Xu, Y. Effect of Marine Collagen Peptides on Physiological and Neurobehavioral Development of Male Rats with Perinatal Asphyxia. Mar. Drugs 2015, 13, 3653–3671. [Google Scholar] [CrossRef] [PubMed]
- Costa, C.F.; De Sousa, G.C.; Rodrigues, A.C.E.; De Sousa Vieira, F.; Viana, D.D.S.F.; Costa, E.D.S.; Oliveira, D.É.P.; Santos, S.S.D.; Santos, A.D.R.S.; Da Costa, A.C.M. Perfil de Pacientes Que Sofreram Queimaduras No Brasil: Uma Revisão Integrativa. Rev. Eletrônica Acervo Saúde 2017, 2178, 2091. [Google Scholar] [CrossRef]
- Hu, Z.; Yang, P.; Zhou, C.; Li, S.; Hong, P. Marine Collagen Peptides from the Skin of Nile Tilapia (Oreochromis niloticus): Characterization and Wound Healing Evaluation. Mar. Drugs 2017, 15, 102. [Google Scholar] [CrossRef]
- Mostaço-Guidolin, L.; Rosin, N.; Hackett, T.-L. Imaging Collagen in Scar Tissue: Developments in Second Harmonic Generation Microscopy for Biomedical Applications. Int. J. Mol. Sci. 2017, 18, 1772. [Google Scholar] [CrossRef]
- Tang, J.; Saito, T. Biocompatibility of Novel Type I Collagen Purified from Tilapia Fish Scale: An In Vitro Comparative Study. BioMed Res. Int. 2015, 2015, 139476. [Google Scholar] [CrossRef] [PubMed]
- Masso-Silva, J.; Diamond, G. Antimicrobial Peptides from Fish. Pharmaceuticals 2014, 7, 265–310. [Google Scholar] [CrossRef] [PubMed]
- Del Rosario Loyo Casao, T.; Pinheiro, C.G.; Sarandy, M.M.; Zanatta, A.C.; Vilegas, W.; Novaes, R.D.; Gonçalves, R.V.; Leite, J.P.V. Croton Urucurana Baillon Stem Bark Ointment Accelerates the Closure of Cutaneous Wounds in Knockout IL-10 Mice. J. Ethnopharmacol. 2020, 261, 113042. [Google Scholar] [CrossRef] [PubMed]
- Óleo de Cravo: Um Anestésico Alternativo Para o Manejo de Peixes.—Portal Embrapa. Available online: https://www.embrapa.br/busca-de-publicacoes/-/publicacao/681655/oleo-de-cravo-um-anestesico-alternativo-para-o-manejo-de-peixes (accessed on 11 December 2019).
- Hoar, W.S. A Laboratory Companion for General and Comparative Physiology; Prentice-Hall: Upper Saddle River, NJ, USA, 1967. [Google Scholar]
- Bradford, M. A Rapid and Sensitive Method for the Quantitation of Microgram Quantities of Protein Utilizing the Principle of Protein-Dye Binding. Anal. Biochem. 1976, 72, 248–254. [Google Scholar] [CrossRef] [PubMed]
- Ma, B.; Zhang, K.; Hendrie, C.; Liang, C.; Li, M.; Doherty-Kirby, A.; Lajoie, G. PEAKS: Powerful Software for Peptide de Novo Sequencing by Tandem Mass Spectrometry. Rapid Commun. Mass Spectrom. 2003, 17, 2337–2342. [Google Scholar] [CrossRef] [PubMed]
- Pan, C.; Park, B.H.; McDonald, W.H.; Carey, P.A.; Banfield, J.F.; VerBerkmoes, N.C.; Hettich, R.L.; Samatova, N.F. A High-Throughput de Novo Sequencing Approach for Shotgun Proteomics Using High-Resolution Tandem Mass Spectrometry. BMC Bioinform. 2010, 11, 118. [Google Scholar] [CrossRef] [PubMed]
- Mosmann, T. Rapid Colorimetric Assay for Cellular Growth and Survival: Application to Proliferation and Cytotoxicity Assays. J. Immunol. Methods 1983, 65, 55–63. [Google Scholar] [CrossRef] [PubMed]
- Gonçalves, R.V.; Novaes, R.D.; Matta, S.L.P.; Benevides, G.P.; Faria, F.R.; Pinto, M.V.M. Comparative Study of the Effects of Gallium-Aluminum-Arsenide Laser Photobiomodulation and Healing Oil on Skin Wounds in Wistar Rats: A Histomorphometric Study. Photomed. Laser Surg. 2010, 28, 597–602. [Google Scholar] [CrossRef] [PubMed]
- Ågren, M.S.; Mertza, P.M.; Franzén, L. A Comparative Study of Three Occlusive Dressings in the Treatment of Full-Thickness Wounds in Pigs. J. Am. Acad. Dermatol. 1997, 36, 53–58. [Google Scholar] [CrossRef]
- Sarandy, M.M.; Miranda, L.L.; Altoé, L.S.; Novaes, R.D.; Zanuncio, V.V.; Leite, J.P.V.; Gonçalves, R.V. Strychnos pseudoquina Modulates the Morphological Reorganization of the Scar Tissue of Second Intention Cutaneous Wounds in Rats. PLoS ONE 2018, 13, e0195786. [Google Scholar] [CrossRef]
- Oliveira, J.M.; Losano, N.F.; Condessa, S.S.; De Freitas, R.M.P.; Cardoso, S.A.; Freitas, M.B.; De Oliveira, L.L. Exposure to Deltamethrin Induces Oxidative Stress and Decreases of Energy Reserve in Tissues of the Neotropical Fruit-Eating Bat Artibeus lituratus. Ecotoxicol. Environ. Saf. 2018, 148, 684–692. [Google Scholar] [CrossRef] [PubMed]
- Diaz De Leon, J.A.; Borges, C.R. Evaluation of Oxidative Stress in Biological Samples Using the Thiobarbituric Acid Reactive Substances Assay. J. Vis. Exp. 2020, 159, 61122. [Google Scholar] [CrossRef]
- Szydłowska-Czerniak, A.; Tułodziecka, A.; Szłyk, E. Evaluation of Antioxidant Activity of Food Additives and Its Inhibitory Effect on Lipid Oxidation in Food Products. Food Chem. 2017, 234, 211–218. [Google Scholar] [CrossRef]
- Tsikas, D. Analysis of Nitrite and Nitrate in Biological Fluids by Assays Based on the Griess Reaction: Appraisal of the Griess Reaction in the l-Arginine/Nitric Oxide Area of Research. J. Chromatogr. B 2007, 851, 51–70. [Google Scholar] [CrossRef] [PubMed]
- Dieterich, S.; Bieligk, U.; Beulich, K.; Hasenfuss, G.; Prestle, J. Gene Expression of Antioxidative Enzymes in the Human Heart. Circulation 2000, 101, 33–39. [Google Scholar] [CrossRef] [PubMed]
- Bian, W.; Meng, B.; Li, X.; Wang, S.; Cao, X.; Liu, N.; Yang, M.; Tang, J.; Wang, Y.; Yang, X. OA-GL21, a Novel Bioactive Peptide from Odorrana andersonii, Accelerated the Healing of Skin Wounds. Biosci. Rep. 2018, 38, BSR20180215. [Google Scholar] [CrossRef] [PubMed]
- Ebaid, H.; Abdel-Salam, B.; Hassan, I.; Al-Tamimi, J.; Metwalli, A.; Alhazza, I. Camel Milk Peptide Improves Wound Healing in Diabetic Rats by Orchestrating the Redox Status and Immune Response. Lipids Health Dis. 2015, 14, 132. [Google Scholar] [CrossRef] [PubMed]
- Alves, R.S.; Alves, L.B.; Altoé, L.S.; Sarandy, M.M.; Freitas, M.B.; Silveira, N.J.F.; Novaes, R.D.; Gonçalves, R.V. Peptides from Animal Origin: A Systematic Review on Biological Sources and Effects on Skin Wounds. Oxidative Med. Cell. Longev. 2020, 2020, 4352761. [Google Scholar] [CrossRef] [PubMed]
- Fox, J.L. Antimicrobial Peptides Stage a Comeback. Nat. Biotechnol. 2013, 31, 379–382. [Google Scholar] [CrossRef]
- Vijaykrishnaraj, M.; Prabhasankar, P. Marine Protein Hydrolysates: Their Present and Future Perspectives in Food Chemistry—A Review. RSC Adv. 2015, 5, 34864–34877. [Google Scholar] [CrossRef]
- Fu, Y.; Therkildsen, M.; Aluko, R.E.; Lametsch, R. Exploration of Collagen Recovered from Animal By-Products as a Precursor of Bioactive Peptides: Successes and Challenges. Crit. Rev. Food Sci. Nutr. 2018, 59, 2011–2027. [Google Scholar] [CrossRef] [PubMed]
- Gbogouri, G.A.; Linder, M.; Fanni, J.; Parmentier, M. Influence of Hydrolysis Degree on the Functional Properties of Salmon Byproducts Hydrolysates. J. Food Sci. 2004, 69, C615–C622. [Google Scholar] [CrossRef]
- Yamamoto, S.; Deguchi, K.; Onuma, M.; Numata, N.; Sakai, Y. Absorption and Urinary Excretion of Peptides after Collagen Tripeptide Ingestion in Humans. Biol. Pharm. Bull. 2016, 39, 428–434. [Google Scholar] [CrossRef]
- Sun, X.; Chai, Y.; Wang, Q.; Liu, H.; Wang, S.; Xiao, J. A Natural Interruption Displays Higher Global Stability and Local Conformational Flexibility than a Similar Gly Mutation Sequence in Collagen Mimic Peptides. Biochemistry 2015, 54, 6106–6113. [Google Scholar] [CrossRef] [PubMed]
- Ramshaw, J.A.M.; Shah, N.K.; Brodsky, B. Gly-X-Y Tripeptide Frequencies in Collagen: A Context for Host–Guest Triple-Helical Peptides. J. Struct. Biol. 1998, 122, 86–91. [Google Scholar] [CrossRef] [PubMed]
- Dölz, R.; Heidemann, E. Influence of Different Tripeptides on the Stability of the Collagen Triple Helix. I. Analysis of the Collagen Sequence and Identification of Typical Tripeptides. Biopolymers 1986, 25, 1069–1080. [Google Scholar] [CrossRef] [PubMed]
- Glattauer, V.; Werkmeister, J.A.; Kirkpatrick, A.; Ramshaw, J.a.M. Identification of the Epitope for a Monoclonal Antibody That Blocks Platelet Aggregation Induced by Type III Collagen. Biochem. J. 1997, 323, 45–49. [Google Scholar] [CrossRef] [PubMed]
- Zubarev, R.A. Electron-Capture Dissociation Tandem Mass Spectrometry. Curr. Opin. Biotechnol. 2004, 15, 12–16. [Google Scholar] [CrossRef] [PubMed]
- Jang, S.I.; Mok, J.Y.; Jeon, I.H.; Park, K.-H.; Nguyen, T.T.T.; Park, J.S.; Hwang, H.M.; Song, M.-S.; Lee, D.; Chai, K.Y. Effect of Electrospun Non-Woven Mats of Dibutyryl Chitin/Poly(Lactic Acid) Blends on Wound Healing in Hairless Mice. Molecules 2012, 17, 2992–3007. [Google Scholar] [CrossRef]
- Aydin, A.; Reis, R.; Sipahi, H.; Zeybekoðlu, G.; Çelik, N.; Kírmízíbekmez, H.; Kaklíkkaya, N. Hydroxytyrosol: The Phytochemical Responsible for Bioactivity of Traditionally Used Olive Pits. Euroasian J. Hepato-Gastroenterol. 2018, 8, 126–132. [Google Scholar] [CrossRef]
- Okur, M.E.; Ayla, Ş.; Polat, D.Ç.; Günal, M.Y.; Yoltaş, A.; Biçeroğlu, Ö. Novel Insight into Wound Healing Properties of Methanol Extract of Capparis ovata Desf. Var. Palaestina Zohary Fruits. J. Pharm. Pharmacol. 2018, 70, 1401–1413. [Google Scholar] [CrossRef] [PubMed]
- De Castro Campos Pinto, N.; Cassini-Vieira, P.; De Souza-Fagundes, E.M.; Barcelos, L.S.; Castañon, M.C.M.N.; Scio, E. Pereskia Aculeata Miller Leaves Accelerate Excisional Wound Healing in Mice. J. Ethnopharmacol. 2016, 194, 131–136. [Google Scholar] [CrossRef] [PubMed]
- Larouche, J.; Sheoran, S.; Maruyama, K.; Martino, M.M. Immune Regulation of Skin Wound Healing: Mechanisms and Novel Therapeutic Targets. Adv. Wound Care 2018, 7, 209–231. [Google Scholar] [CrossRef] [PubMed]
- Bodnar, R.J. Chemokine Regulation of Angiogenesis during Wound Healing. Adv. Wound Care 2015, 4, 641–650. [Google Scholar] [CrossRef] [PubMed]
- Ley, K.; Laudanna, C.; Cybulsky, M.I.; Nourshargh, S. Getting to the Site of Inflammation: The Leukocyte Adhesion Cascade Updated. Nat. Rev. Immunol. 2007, 7, 678–689. [Google Scholar] [CrossRef] [PubMed]
- Aliste, C.; Peñaranda, J.M.S. Atypical Fibroxanthoma Showing Diffuse Staining for CD31. J. Cutan. Pathol. 2011, 38, 679–680. [Google Scholar] [CrossRef] [PubMed]
- Requena, L.; El-Shabrawi-Caelen, L.; Walsh, S.N.; Segura, S.; Ziemer, M.; Hurt, M.A.; Sangüeza, O.P.; Kutzner, H. Intralymphatic Histiocytosis. A Clinicopathologic Study of 16 Cases. Am. J. Dermatopathol. 2009, 31, 140–151. [Google Scholar] [CrossRef] [PubMed]
- Gaetti Jardim, E.C.; Manrique, G.R.; De Mendonça, J.C.G.; Hanssessian, A.; De Barros, R.M.G. Uso de Técnicas de Análise Histológica e Imunohistoquímica Em Odontologia. Arch. Health Investig. 2013, 2, 40–49. [Google Scholar]
- Crompton, R.; Williams, H.; Ansell, D.; Campbell, L.; Holden, K.; Cruickshank, S.; Hardman, M.J. Oestrogen Promotes Healing in a Bacterial LPS Model of Delayed Cutaneous Wound Repair. Lab. Investig. 2016, 96, 439–449. [Google Scholar] [CrossRef]
- Gupta, A.; Dai, T.; Hamblin, M.R. Effect of Red and Near-Infrared Wavelengths on Low-Level Laser (Light) Therapy-Induced Healing of Partial-Thickness Dermal Abrasion in Mice. Lasers Med. Sci. 2013, 29, 257–265. [Google Scholar] [CrossRef]
- Lau, S.K.; Chu, P.G.; Weiss, L.M. CD163: A Specific Marker of Macrophages in Paraffin-Embedded Tissue Samples. Am. J. Clin. Pathol. 2004, 122, 794–801. [Google Scholar] [CrossRef]
- Dijkstra, C.D.; Döpp, E.A.; Vogels, I.M.C.; Van Noorden, C.J.F. Macrophages and Dendritic Cells in Antigen-Induced Arthritis. Scand. J. Immunol. 1987, 26, 513–523. [Google Scholar] [CrossRef]
- Akila, P.; Prashant, V.; Suma, M.N.; Prashant, S.N.; Chaitra, T.R. RETRACTED: CD163 and Its Expanding Functional Repertoire. Clin. Chim. Acta 2012, 413, 669–674. [Google Scholar] [CrossRef]
- Ferrer, M.D.; Busquets-Cortés, C.; Capó, X.; Tejada, S.; Tur, J.A.; Pons, A.; Sureda, A. Cyclooxygenase-2 Inhibitors as a Therapeutic Target in Inflammatory Diseases. Curr. Med. Chem. 2019, 26, 3225–3241. [Google Scholar] [CrossRef]
- O’Banion, M.K.; Winn, V.D.; Young, D.A. cDNA Cloning and Functional Activity of a Glucocorticoid-Regulated Inflammatory Cyclooxygenase. Proc. Natl. Acad. Sci. USA 1992, 89, 4888–4892. [Google Scholar] [CrossRef] [PubMed]
- Ito, J.-I.; Nagayasu, Y.; Hoshikawa, M.; Kato, K.H.; Miura, Y.; Asai, K.; Hayashi, H.; Yokoyama, S.; Michikawa, M. Enhancement of FGF-1 Release along with Cytosolic Proteins from Rat Astrocytes by Hydrogen Peroxide. Brain Res. 2013, 1522, 12–21. [Google Scholar] [CrossRef] [PubMed]
- Loo, A.E.K.; Wong, Y.T.; Ho, R.; Wasser, M.; Du, T.; Ng, W.T.; Halliwell, B. Effects of Hydrogen Peroxide on Wound Healing in Mice in Relation to Oxidative Damage. PLoS ONE 2012, 7, e49215. [Google Scholar] [CrossRef] [PubMed]
- Mittal, M.; Siddiqui, M.R.; Tran, K.; Reddy, S.P.; Malik, A.B. Reactive Oxygen Species in Inflammation and Tissue Injury. Antioxid. Redox Signal. 2014, 20, 1126–1167. [Google Scholar] [CrossRef]
- Fang, F.C. Antimicrobial Reactive Oxygen and Nitrogen Species: Concepts and Controversies. Nat. Reviews. Microbiol. 2004, 2, 820–832. [Google Scholar] [CrossRef]
- Möller, M.N.; Li, Q.; Lancaster, J.R.; Denicola, A. Acceleration of Nitric Oxide Autoxidation and Nitrosation by Membranes. IUBMB Life 2007, 59, 243–248. [Google Scholar] [CrossRef]
- De Oliveira, C.M.B.; Sakata, R.K.; Issy, A.M.; Gerola, L.R.; Salomão, R. Citocinas e Dor. Rev. Bras. Anestesiol. 2011, 61, 260–265. [Google Scholar] [CrossRef]
- Curfs, J.H.; Meis, J.F.; Hoogkamp-Korstanje, J.A. A Primer on Cytokines: Sources, Receptors, Effects, and Inducers. Clin. Microbiol. Rev. 1997, 10, 742–780. [Google Scholar] [CrossRef] [PubMed]
- Raeburn, C.D.; Sheppard, F.; Barsness, K.A.; Arya, J.; Harken, A.H. Cytokines for Surgeons. Am. J. Surg. 2002, 183, 268–273. [Google Scholar] [CrossRef] [PubMed]
- Grunau, A.; Escher, U.; Bereswill, S.; Heimesaat, M.M. Toll-like Receptor-4 Dependent Inflammatory Responses Following Intestinal Colonization of Secondary Abiotic IL10-Deficient Mice with Multidrug-Resistant Pseudomonas Aeruginosa. Eur. J. Microbiol. Immunol. 2017, 7, 210–219. [Google Scholar] [CrossRef]
- Lennon, E.M.; Borst, L.B.; Edwards, L.L.; Moeser, A.J. Mast Cells Exert Anti-Inflammatory Effects in an IL10−/−Model of Spontaneous Colitis. Mediat. Inflamm. 2018, 2018, 7817360. [Google Scholar] [CrossRef] [PubMed]
- Bueno, F.G.; Panizzon, G.P.; De Leite Mello, E.V.S.; Lechtenberg, M.; Petereit, F.; De Mello, J.C.P.; Hensel, A. Hydrolyzable Tannins from Hydroalcoholic Extract from Poincianella pluviosa Stem Bark and Its Wound-Healing Properties: Phytochemical Investigations and Influence on in Vitro Cell Physiology of Human Keratinocytes and Dermal Fibroblasts. Fitoterapia 2014, 99, 252–260. [Google Scholar] [CrossRef] [PubMed]
- Coelho, G.D.P.; Martins, V.S.; Amaral, L.V.D.; Novaes, R.D.; Sarandy, M.M.; Gonçalves, R.V. Applicability of Isolates and Fractions of Plant Extracts in Murine Models in Type II Diabetes: A Systematic Review. Evid. Based Complement. Altern. Med. 2016, 2016, 3537163. [Google Scholar] [CrossRef]
- Gonçalves, R.V.; Novaes, R.D.; Sarandy, M.M.; Leite, J.P.V.; Vilela, E.F.; Cupertino, M.D.C.; Da Matta, S.L.P. Schizocalyx Cuspidatus (A. St.-Hil.) Kainul. & B. Bremer Extract Improves Antioxidant Defenses and Accelerates the Regression of Hepatic Fibrosis after Exposure to Carbon Tetrachloride in Rats. Nat. Prod. Res. 2016, 30, 2738–2742. [Google Scholar] [CrossRef]










| Database Identification | |||
|---|---|---|---|
| Accession | Description | Mass (Da) | Peptide Sequence |
| I3KV11|I3KV11_ORENI | Uncharacterized protein OS = Oreochromis niloticus OX = 8128 GN = LOC100707505 PE = 3 SV = 2 | 1252.6564 | LFLQNFSASAR |
| 1160.644 | IGVDEFAALVK | ||
| 1165.5503 | SGFIEEDELK | ||
| 1005.5131 | AFAVIDQDK | ||
| G9M6I5|G9M6I5_ORENI | Collagen type I alpha 1 OS = Oreochromis niloticus OX = 8128 GN = COL1A1 PE = 2 SV = 1 | 868.4402 | GPSGAAGAPGK |
| 798.3871 | GDTGPAGPK | ||
| 1114.5002 | EGTPGNEGAAGR | ||
| I3JLI3|I3JLI3_ORENI | Creatine kinase OS = Oreochromis niloticus OX = 8128 GN = CKM PE = 3 SV = 2 | 1092.5452 | TDLNFENLK |
| I3JS34|I3JS34_ORENI | Nucleoside diphosphate kinase B OS = Oreochromis niloticus OX = 8128 PE = 3 SV = 2 | 1190.5389 | FVQASEDHMK |
| I3KW15|I3KW15_ORENI | Fructose-bisphosphate aldolase OS = Oreochromis niloticus OX = 8128 GN = ald PE = 3 SV = 1 | 1317.6776 | GILAADESTGSVAK |
| I3J1U5|I3J1U5_ORENI | EF-hand domain-containing protein OS = Oreochromis niloticus OX = 8128 GN = LOC100692640 PE = 3 SV = 2 | 1238.5415 | AFLSAGDSDGDGK |
| A0A669BE09|A0A669BE09_ORENI | USP domain-containing protein OS = Oreochromis niloticus OX = 8128 GN = pan2 PE = 4 SV = 1 | 655.4269 | VINLVV |
| I3JTB6|I3JTB6_ORENI | Plasminogen activator urokinase a OS = Oreochromis niloticus OX = 8128 PE = 4 SV = 2 | 905.4971 | NKPGVYTK |
| A0A669E4X1|A0A669E4X1_ORENI | GLOBIN domain-containing protein OS = Oreochromis niloticus OX = 8128 GN = LOC102080222 PE = 3 SV = 1 | 1058.5356 | SAEIGGEALGR |
| G9M6I7|G9M6I7_ORENI | Collagen type I alpha 3 OS = Oreochromis niloticus OX = 8128 GN = COL1A3 PE = 2 SV = 1 | 1095.4945 | GNNGDPGPSGPK |
| 699.3551 | GVDGAPGK | ||
| 1519.7378 | GESGPSGPAGPAGPAGVR | ||
| 1280.6472 | GEAGAVGVAGPSGPR | ||
| G9M6I6|G9M6I6_ORENI | Collagen type I alpha 2 OS = Oreochromis niloticus OX = 8128 GN = COL1A2 PE = 2 SV = 1 | 1126.5002 | EGPAGPSGQDGR |
| 768.3878 | GASGPAGPR | ||
| 1172.6149 | TGEIGATGLAGAR | ||
| B9A9D4|B9A9D4_ORENI | Myoglobin OS = Oreochromis niloticus OX = 8128 GN = Mb PE = 2 SV = 1 | 1107.5812 | VIADLEASYK |
| 1155.5996 | AGLDAAGQQGLR | ||
| A0A669DS57|A0A669DS57_ORENI | Uncharacterized protein OS = Oreochromis niloticus OX = 8128 GN = LOC100702068 PE = 3 SV = 1 | 1187.5417 | GEVDDAVQEAR |
| A0A669FBF2|A0A669FBF2_ORENI | Serotransferrin OS = Oreochromis niloticus OX = 8128 GN = LOC100691316 PE = 3 SV = 1 | 1197.5414 | FGNTGTDPSFR |
| A0A669DTG7|A0A669DTG7_ORENI | HECT domain E3 ubiquitin protein ligase 4 OS = Oreochromis niloticus OX = 8128 GN = HECTD4 PE = 4 SV = 1 | 692.3857 | LLEYR |
| A0A669CD06|A0A669CD06_ORENI | L-lactate dehydrogenase OS = Oreochromis niloticus OX = 8128 PE = 3 SV = 1 | 1190.6217 | SVADLVESIMK |
| BLASTp Identification | |||||||
|---|---|---|---|---|---|---|---|
| Accession Uniprot | Accession NCBI | Description | Organism | Total Score | Query Cover | e-Value | Per. Ident. |
| I3KV11| I3KV11_ORENI | XP_013129480 | parvalbumin beta | Oreochromis niloticus | 208 | 70% | 9 × 1067 | 100.00% |
| A0A669DS57| A0A669DS57_ORENI | XP_019213375 | myosin heavy chain, fast skeletal muscle | Oreochromis niloticus | 3835 | 100% | 0.0 | 97.83% |
| Amino Acid Composition | ||
|---|---|---|
| Amino Acid | Residues Per 119 Total Amino Acid Residues | (%) |
| Ala (A) | 19 | 16.0% |
| Arg (R) | 6 | 5.0% |
| Asn (N) | 3 | 2.5% |
| Asp (D) | 4 | 3.4% |
| Cys (C) | 0 | 0.0% |
| Gln (Q) | 1 | 0.8% |
| Glu (E) | 6 | 5.0% |
| Gly (G) | 40 | 33.6% |
| His (H) * | 0 | 0.0% |
| Ile (I) * | 1 | 0.8% |
| Leu (L) * | 1 | 0.8% |
| Lys (K) * | 4 | 3.4% |
| Met (M) * | 0 | 0.0% |
| Phe (F) * | 0 | 0.0% |
| Pro (P) | 19 | 16.0% |
| Ser (S) | 7 | 5.9% |
| Thr (T) * | 4 | 3.4% |
| Trp (W) * | 0 | 0.0% |
| Tyr (Y) | 0 | 0.0% |
| Val (V) * | 4 | 3.4% |
| Pyl (O) | 0 | 0.0% |
| Sec (U) | 0 | 0.0% |
| Total | 119 | 100% |
Disclaimer/Publisher’s Note: The statements, opinions and data contained in all publications are solely those of the individual author(s) and contributor(s) and not of MDPI and/or the editor(s). MDPI and/or the editor(s) disclaim responsibility for any injury to people or property resulting from any ideas, methods, instructions or products referred to in the content. |
© 2024 by the authors. Licensee MDPI, Basel, Switzerland. This article is an open access article distributed under the terms and conditions of the Creative Commons Attribution (CC BY) license (https://creativecommons.org/licenses/by/4.0/).
Share and Cite
Cardoso, R.R.; Sarandy, M.M.; de Oliveira, L.L.; da Matta, S.L.P.; Novaes, R.D.; Gonçalves, R.V. Positive Effect of Peptides Obtained from Nile Tilapia (Oreochromis niloticus) on Inflammation Regulation and Wound Healing. Cosmetics 2024, 11, 133. https://doi.org/10.3390/cosmetics11040133
Cardoso RR, Sarandy MM, de Oliveira LL, da Matta SLP, Novaes RD, Gonçalves RV. Positive Effect of Peptides Obtained from Nile Tilapia (Oreochromis niloticus) on Inflammation Regulation and Wound Healing. Cosmetics. 2024; 11(4):133. https://doi.org/10.3390/cosmetics11040133
Chicago/Turabian StyleCardoso, Robert Rosostolato, Mariáurea Matias Sarandy, Leandro Licursi de Oliveira, Sérgio Luis Pinto da Matta, Romulo Dias Novaes, and Reggiani Vilela Gonçalves. 2024. "Positive Effect of Peptides Obtained from Nile Tilapia (Oreochromis niloticus) on Inflammation Regulation and Wound Healing" Cosmetics 11, no. 4: 133. https://doi.org/10.3390/cosmetics11040133
APA StyleCardoso, R. R., Sarandy, M. M., de Oliveira, L. L., da Matta, S. L. P., Novaes, R. D., & Gonçalves, R. V. (2024). Positive Effect of Peptides Obtained from Nile Tilapia (Oreochromis niloticus) on Inflammation Regulation and Wound Healing. Cosmetics, 11(4), 133. https://doi.org/10.3390/cosmetics11040133

