Citrulluside T, Isolated from the Citrullus lanatus Stem, Inhibits Melanogenesis in α-MSH-Induced Mouse B16F10 Cells
Abstract
1. Introduction
2. Materials and Methods
2.1. General Experimental Procedures
2.2. Extraction and Isolation from the Citrullus lanatus Stem
2.3. Cell Culture
2.4. Cell Viability
2.5. Tyrosinase Activity
2.6. Melanin Contents
2.7. Western Blot
2.8. Human Skin Irritation Test
2.9. Statistical Analyses
3. Results
3.1. Isolation and Structural Identification of Compounds
3.2. Inhibitory Effect of Citrulluside T on Melanogenesis in B16F10 Cells
3.3. Effect of Citrulluside T on MITF and Melanogenic Enzymes
3.4. Effects of Citrulluside T on the cAMP/PKA Signaling Pathway
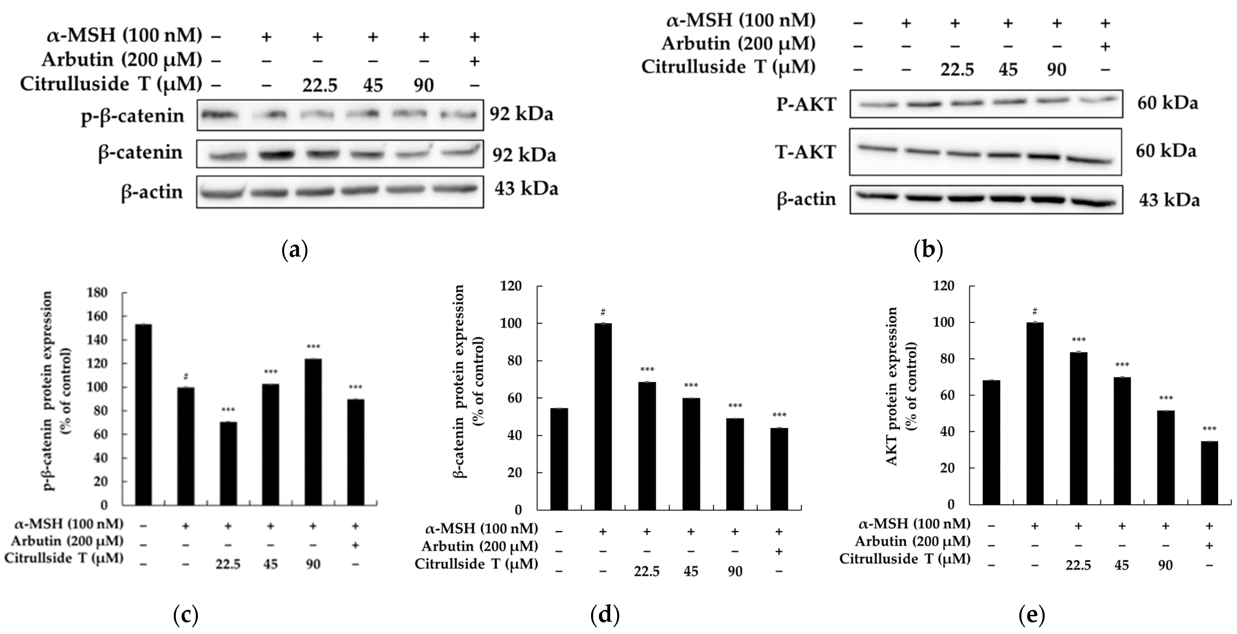
3.5. Effects of Citrulluside T on the Wnt/β-Catenin Signaling Pathway
3.6. Effects of Citrulluside T on the PI3K/AKT Signaling Pathway
3.7. Skin Primary Irritation Test
4. Discussion
Author Contributions
Funding
Institutional Review Board Statement
Informed Consent Statement
Data Availability Statement
Conflicts of Interest
References
- Sharma, C.; Deutsch, J.M. Upcycling in the context of biotechnology-based solutions for food quality, loss, and consumer perception. Curr. Opin. Biotechnol. 2023, 81, 102920. [Google Scholar] [CrossRef] [PubMed]
- Gil-Martín, E.; Forbes-Hernández, T.; Romero, A.; Cianciosi, D.; Giampieri, F.; Battino, M. Influence of the extraction method on the recovery of bioactive phenolic compounds from food industry by-products. Food Chem. 2022, 378, 131918. [Google Scholar] [CrossRef] [PubMed]
- Grigolon, G.; Nowak, K.; Poigny, S.; Hubert, J.; Kotland, A.; Waldschütz, L.; Wandrey, F. From Coffee Waste to Active Ingredient for Cosmetic Applications. Int. J. Mol. Sci. 2023, 24, 8516. [Google Scholar] [CrossRef] [PubMed]
- de Mello, V.; de Mesquita Júnior, G.A.; Alvim, J.G.E.; Costa, J.C.D.; Vilela, F.M.P. Recent patent applications for coffee and coffee by-products as active ingredients in cosmetics. Int. J. Cosmet. Sci. 2023, 45, 267–287. [Google Scholar] [CrossRef] [PubMed]
- Lestari, W.; Hasballah, K.; Listiawan, M.Y.; Sofia, S. Coffee by-products as the source of antioxidants: A systematic review. F1000Research 2022, 11, 220. [Google Scholar] [CrossRef]
- Zhang, H.; Chi, X.; Pan, W.; Wang, S.; Zhang, Z.; Zhao, H.; Wang, Y.; Wu, Z.; Zhou, M.; Ma, S.; et al. Antidepressant mechanism of classical herbal formula lily bulb and Rehmannia decoction: Insights from gene expression profile of medial prefrontal cortex of mice with stress-induced depression-like behavior. Genes Brain Behav. 2020, 19, e12649. [Google Scholar] [CrossRef]
- Chi, X.; Wang, S.; Baloch, Z.; Zhang, H.; Li, X.; Zhang, Z.; Zhang, H.; Dong, Z.; Lu, Y.; Yu, H.; et al. Research progress on classical traditional Chinese medicine formula Lily Bulb and Rehmannia Decoction in the treatment of depression. Biomed. Pharmacother. 2019, 112, 108616. [Google Scholar] [CrossRef]
- Lee, E.; Yun, N.; Jang, Y.P.; Kim, J. Lilium lancifolium Thunb. extract attenuates pulmonary inflammation and air space enlargement in a cigarette smoke-exposed mouse model. J. Ethnopharmacol. 2013, 26, 148–156. [Google Scholar] [CrossRef]
- Yoon, H.S.; Yang, K.Y.; Kim, J.E.; Kim, J.M.; Lee, N.H.; Hyun, C.G. Hypopigmenting Effects of Extracts from Bulbs of Lilium Oriental Hybrid ‘Siberia’ in Murine B16/F10 Melanoma Cells. J. Korean Soc. Food Sci. Nutr. 2014, 43, 705–711. [Google Scholar] [CrossRef]
- Wijesinghe, W.A.; Senevirathne, M.; Oh, M.C.; Jeon, Y.J. Protective effect of methanol extract from citrus press cakes prepared by far-infrared radiation drying on H2O2-mediated oxidative damage in Vero cells. Nutr. Res. Pract. 2011, 5, 389–395. [Google Scholar] [CrossRef]
- Panwar, D.; Panesar, P.S.; Chopra, H.K. Evaluation of nutritional profile, phytochemical potential, functional properties and anti-nutritional studies of Citrus limetta peels. J. Food Sci. Technol. 2023, 60, 2160–2170. [Google Scholar] [CrossRef]
- Phucharoenrak, P.; Muangnoi, C.; Trachootham, D. Metabolomic Analysis of Phytochemical Compounds from Ethanolic Extract of Lime (Citrus aurantifolia) Peel and Its Anti-Cancer Effects against Human Hepatocellular Carcinoma Cells. Molecules 2023, 28, 2965. [Google Scholar] [CrossRef]
- Kumar, S.; Konwar, J.; Purkayastha, M.D.; Kalita, S.; Mukherjee, A.; Dutta, J. Current progress in valorization of food processing waste and by-products for pectin extraction. Int. J. Biol. Macromol. 2023, 239, 124332. [Google Scholar] [CrossRef]
- Grumet, R.; McCreight, J.D.; McGregor, C.; Weng, Y.; Mazourek, M.; Reitsma, K.; Labate, J.; Davis, A.; Fei, Z. Genetic Resources and Vulnerabilities of Major Cucurbit Crops. Genes 2021, 12, 1222. [Google Scholar] [CrossRef]
- Shaik, R.S.; Zhu, X.; Clements, D.R.; Weston, L.A. Understanding invasion history and predicting invasive niches using genetic sequencing technology in Australia: Case studies from Cucurbitaceae and Boraginaceae. Conserv. Physiol. 2016, 26, cow030. [Google Scholar] [CrossRef]
- Burton-Freeman, B.; Freeman, M.; Zhang, X.; Sandhu, A.; Edirisinghe, I. Watermelon and L-Citrulline in Cardio-Metabolic Health: Review of the Evidence 2000–2020. Curr. Atheroscler. Rep. 2021, 23, 81. [Google Scholar] [CrossRef]
- Wahid, S.; Khan, R.A.; Feroz, Z.; Ikram, R. Analgesic, anti-inflammatory and toxic effects of ethanol extracts of Cucumis melo and Citrullus lanatus seeds. Pak. J. Pharm. Sci. 2020, 33, 1049–1055. [Google Scholar]
- Mehta, A.; Srivastva, G.; Kachhwaha, S.; Sharma, M.; Kothari, S.L. Antimycobacterial activity of Citrullus colocynthis (L.) Schrad. against drug sensitive and drug resistant Mycobacterium tuberculosis and MOTT clinical isolates. J. Ethnopharmacol. 2013, 149, 195–200. [Google Scholar] [CrossRef]
- Kikuchi, T.; Okada, R.; Harada, Y.; Ikushima, K.; Yamakawa, T.; Yamada, T.; Tanaka, R. Cucurbitane-type triterpenes from Citrullus lanatus (watermelon) seeds. Nat. Prod. Commun. 2013, 8, 1367–1369. [Google Scholar] [CrossRef]
- Kim, T.; Kang, J.K.; Hyun, C.G. 6-Methylcoumarin Promotes Melanogenesis through the PKA/CREB, MAPK, AKT/PI3K, and GSK3β/β-Catenin Signaling Pathways. Molecules 2023, 28, 4551. [Google Scholar] [CrossRef]
- Kim, T.; Kim, K.B.; Hyun, C.G. A 7-Hydroxy 4-Methylcoumarin Enhances Melanogenesis in B16-F10 Melanoma Cells. Molecules 2023, 28, 3039. [Google Scholar] [CrossRef] [PubMed]
- Kim, H.M.; Hyun, C.G. Miglitol, an Oral Antidiabetic Drug, Downregulates Melanogenesis in B16F10 Melanoma Cells through the PKA, MAPK, and GSK3β/β-Catenin Signaling Pathways. Molecules 2022, 28, 115. [Google Scholar] [CrossRef] [PubMed]
- Kim, T.; Hyun, C.G. Imperatorin Positively Regulates Melanogenesis through Signaling Pathways Involving PKA/CREB, ERK, AKT, and GSK3β/β-Catenin. Molecules 2022, 27, 6512. [Google Scholar] [CrossRef] [PubMed]
- Phacharapiyangkul, N.; Thirapanmethee, K.; Sa-Ngiamsuntorn, K.; Panich, U.; Lee, C.H.; Chomnawang, M.T. Effect of Sucrier Banana Peel Extracts on Inhibition of Melanogenesis through the ERK Signaling Pathway. Int. J. Med. Sci. 2019, 16, 602–606. [Google Scholar] [CrossRef] [PubMed]
- Zolghadri, S.; Beygi, M.; Mohammad, T.F.; Alijanianzadeh, M.; Pillaiyar, T.; Garcia-Molina, P.; Garcia-Canovas, F.; Munoz-Munoz, J.; Saboury, A.A. Targeting tyrosinase in hyperpigmentation: Current status, limitations and future promises. Biochem. Pharmacol. 2023, 212, 115574. [Google Scholar] [CrossRef]
- Gryn-Rynko, A.; Sperkowska, B.; Majewski, M.S. Screening and Structure-Activity Relationship for Selective and Potent Anti-Melanogenesis Agents Derived from Species of Mulberry (Genus Morus). Molecules 2022, 27, 9011. [Google Scholar] [CrossRef]
- Itoh, T.; Fujita, S.; Koketsu, M.; Hashizume, T. Citrulluside H and citrulluside T from young watermelon fruit attenuate ultraviolet B radiation-induced matrix metalloproteinase expression through the scavenging of generated reactive oxygen species in human dermal fibroblasts. Photodermatol. Photoimmunol. Photomed. 2021, 37, 386–394. [Google Scholar] [CrossRef]
- Ninomiya, M.; Itoh, T.; Fujita, S.; Hashizume, T.; Koketsu, M. Phenolic glycosides from young fruits of Citrullus lanatus. Phytochem. Lett. 2020, 40, 135–138. [Google Scholar] [CrossRef]
- Yoon, J.H.; Youn, K.; Jun, M. Discovery of Pinostrobin as a Melanogenic Agent in cAMP/PKA and p38 MAPK Signaling Pathway. Nutrients 2022, 14, 3713. [Google Scholar] [CrossRef]
- Tang, H.H.; Zhang, Y.F.; Yang, L.L.; Hong, C.; Chen, K.X.; Li, Y.M.; Wu, H.L. Serotonin/5-HT7 receptor provides an adaptive signal to enhance pigmentation response to environmental stressors through cAMP-PKA-MAPK, Rab27a/RhoA, and PI3K/AKT signaling pathways. FASEB J. 2023, 37, e22893. [Google Scholar] [CrossRef]
- Huang, H.C.; Yen, H.; Lu, J.Y.; Chang, T.M.; Hii, C.H. Theophylline enhances melanogenesis in B16F10 murine melanoma cells through the activation of the MEK 1/2, and Wnt/β-catenin signaling pathways. Food Chem. Toxicol. 2020, 137, 111165. [Google Scholar] [CrossRef]
- Yin, L.; Niu, C.; Liao, L.X.; Dou, J.; Habasi, M.; Aisa, H.A. An Isoxazole Chalcone Derivative Enhances Melanogenesis in B16 Melanoma Cells via the Akt/GSK3β/β-Catenin Signaling Pathways. Molecules 2017, 22, 2077. [Google Scholar] [CrossRef]
- Merin, K.A.; Shaji, M.; Kameswaran, R. A Review on Sun Exposure and Skin Diseases. Indian J. Dermatol. 2022, 67, 625. [Google Scholar] [CrossRef]
- Han, H.; Hyun, C.G. Acenocoumarol, an Anticoagulant Drug, Prevents Melanogenesis in B16F10 Melanoma Cells. Pharmaceuticals 2023, 16, 604. [Google Scholar] [CrossRef]
- Pillaiyar, T.; Manickam, M.; Jung, S.H. Downregulation of melanogenesis: Drug discovery and therapeutic options. Drug Discov. Today 2017, 22, 282–298. [Google Scholar] [CrossRef]






| No | Samples | No. of Responders | 24 h | 48 h | Reaction Grade | ||||||||
|---|---|---|---|---|---|---|---|---|---|---|---|---|---|
| +1 | +2 | +3 | +4 | +1 | +2 | +3 | +4 | 24 h | 48 h | Mean | |||
| 1 | Citrulluside T (45 μM) | 0 | - | - | - | - | - | - | - | - | 0 | 0 | 0 |
| 2 | Citrulluside T (90 μM) | 0 | - | - | - | - | - | - | - | - | 0 | 0 | 0 |
| 3 | Control (Squalene) | 0 | - | - | - | - | - | - | - | - | 0 | 0 | 0 |
Disclaimer/Publisher’s Note: The statements, opinions and data contained in all publications are solely those of the individual author(s) and contributor(s) and not of MDPI and/or the editor(s). MDPI and/or the editor(s) disclaim responsibility for any injury to people or property resulting from any ideas, methods, instructions or products referred to in the content. |
© 2023 by the authors. Licensee MDPI, Basel, Switzerland. This article is an open access article distributed under the terms and conditions of the Creative Commons Attribution (CC BY) license (https://creativecommons.org/licenses/by/4.0/).
Share and Cite
Kim, H.-M.; Moon, M.-Y.; Hyun, C.-G. Citrulluside T, Isolated from the Citrullus lanatus Stem, Inhibits Melanogenesis in α-MSH-Induced Mouse B16F10 Cells. Cosmetics 2023, 10, 108. https://doi.org/10.3390/cosmetics10040108
Kim H-M, Moon M-Y, Hyun C-G. Citrulluside T, Isolated from the Citrullus lanatus Stem, Inhibits Melanogenesis in α-MSH-Induced Mouse B16F10 Cells. Cosmetics. 2023; 10(4):108. https://doi.org/10.3390/cosmetics10040108
Chicago/Turabian StyleKim, Hyeon-Mi, Mi-Yeon Moon, and Chang-Gu Hyun. 2023. "Citrulluside T, Isolated from the Citrullus lanatus Stem, Inhibits Melanogenesis in α-MSH-Induced Mouse B16F10 Cells" Cosmetics 10, no. 4: 108. https://doi.org/10.3390/cosmetics10040108
APA StyleKim, H.-M., Moon, M.-Y., & Hyun, C.-G. (2023). Citrulluside T, Isolated from the Citrullus lanatus Stem, Inhibits Melanogenesis in α-MSH-Induced Mouse B16F10 Cells. Cosmetics, 10(4), 108. https://doi.org/10.3390/cosmetics10040108

