Endophytic Bacteria Bacillus subtilis, Isolated from Zea mays, as Potential Biocontrol Agent against Botrytis cinerea
Abstract
Simple Summary
Abstract
1. Introduction
2. Materials and Methods
2.1. Strains and Culture Conditions
2.2. Isolation of Endophytic Microorganisms from Maize
2.3. Antagonistic Activity Assay against Botrytis cinerea
2.4. Identification of Bacteria
2.4.1. Molecular Identification
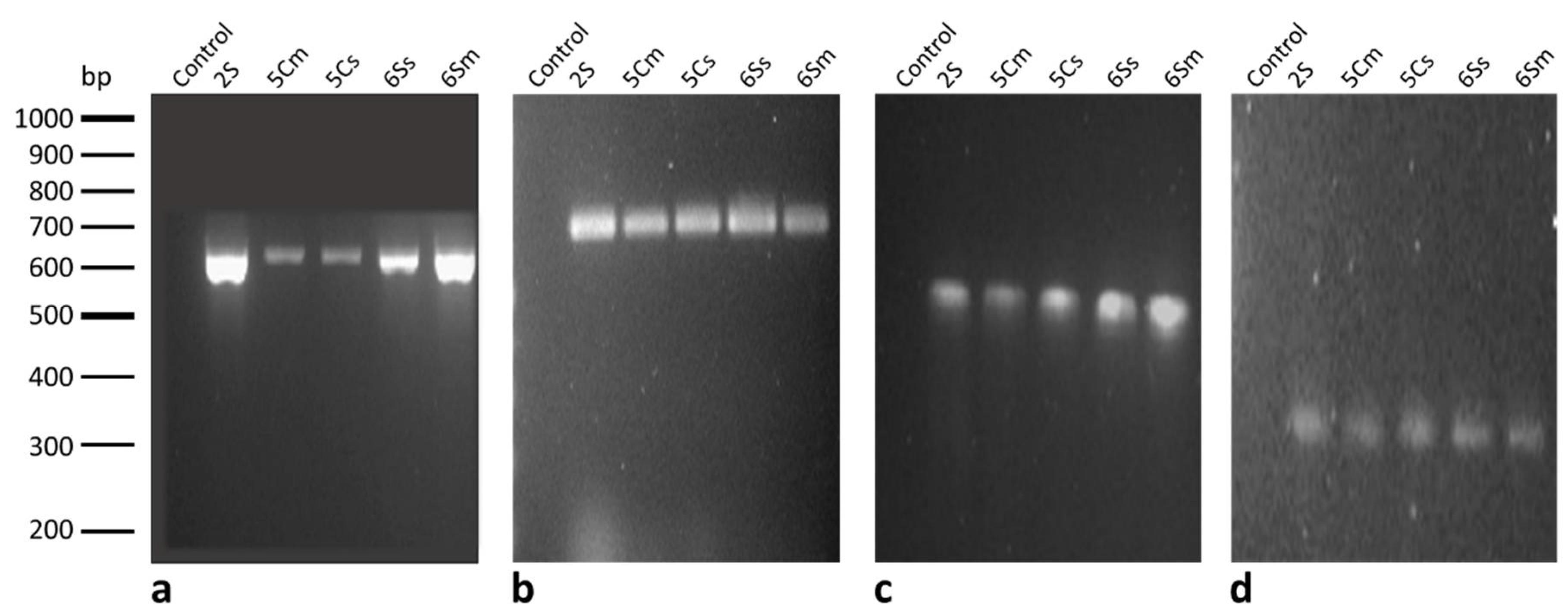
2.4.2. Specific PCR for Bacillus subtilis
2.5. Phenotypical Characterization of B. subtilis Isolates
2.5.1. Discriminatory Carbon Source Assimilation
2.5.2. Detection of Genes Involved in the Synthesis of Lipopeptides and Quantification in Bacillus subtilis
2.5.3. Indole Acetic Acid Production (IAA)
2.5.4. Phosphate Solubilization
2.5.5. Potassium Solubilization
2.5.6. Growth in Nitrogen-Free Medium
2.5.7. Proteolytic Activity
2.5.8. Amylolytic Activity
2.5.9. Siderophore Detection
2.5.10. Biofilm Assays
2.6. Botryane Production in Antagonist Test
2.7. Evaluation of Plant Growth Promotion by Endophytic Strains under Greenhouse Conditions
2.7.1. Bacteria Encapsulation in Alginate Beads
2.7.2. Bacterial Viability Evaluation after Encapsulation
2.7.3. Maize Seed Inoculation and Growth
2.7.4. Isolation and Molecular Detection of B. subtilis from Greenhouse-Inoculated Maize Plant
2.8. Evaluation of Antagonistic Effect of B. subtilis during B. cinerea Infection on Phaseolus vulgaris
2.8.1. Bean Seed Inoculation with B. subtilis and Molecular Detection in Plant
2.8.2. Infection Assays with B. cinerea
3. Results
3.1. Isolation of Endophytic Microorganisms from Maize and Antagonistic Activity Assay against Botrytis cinerea
3.2. Molecular Identification of Endophytic Strains
3.3. Phenotypical Characterization of B. subtilis Isolates
3.4. Botryane Production in Antagonist Tests
3.5. Evaluation of Plant Growth Promotion by Endophytic Strains under Greenhouse Conditions
3.5.1. Bacteria Encapsulation in Alginate Beads
3.5.2. Evaluation of Plant Growth Promotion
3.5.3. Isolation and Molecular Detection of B. subtilis from Greenhouse Inoculated Maize Plants
3.6. Evaluation of Antagonistic Effect of B. subtilis during B. cinerea Infection on Phaseolus vulgaris
3.6.1. Bean Seed Inoculation with B. subtilis and Molecular Detection in Plant
3.6.2. Infection Assays with B. cinerea
4. Discussion
4.1. Endophytic Microorganisms, an Essential Part of the Plant Microbiome
4.2. Metabolic Characteristics of Endophytic Microorganisms Are Key in the Development of Host Plants
4.3. The Co-Culture of B. subtilis vs. B. cinerea Produces Important Morphological Changes and Modifies Botryanes Production
4.4. The Biocontrol Capacity of B. subtilis Could Be Associated with Its Ability to Produce Lipopeptides
4.5. The Non-Specific True Endophyte B. subtilis: Ability to Promote Plant Growth of Zea mays and Biocontrol Agent in Phaseolus vulgaris
5. Conclusions
Supplementary Materials
Author Contributions
Funding
Institutional Review Board Statement
Informed Consent Statement
Conflicts of Interest
References
- Parnell, J.J.; Berka, R.; Young, H.A.; Sturino, J.M.; Kang, Y.; Barnhart, D.M.; Dileo, M.V. From the lab to the farm: An industrial perspective of plant beneficial microorganisms. Front. Plant Sci. 2016, 7, 1–12. [Google Scholar] [CrossRef]
- Syed Ab Rahman, S.F.; Singh, E.; Pieterse, C.M.J.; Schenk, P.M. Emerging microbial biocontrol strategies for plant pathogens. Plant Sci. 2018, 267, 102–111. [Google Scholar] [CrossRef]
- Dean, R.; Van Kan, J.A.L.; Pretorius, Z.A.; Hammond-Kosack, K.E.; Di Pietro, A.; Spanu, P.D.; Rudd, J.J.; Dickman, M.; Kahmann, R.; Ellis, J.; et al. The Top 10 fungal pathogens in molecular plant pathology. Mol. Plant Pathol. 2012, 13, 414–430. [Google Scholar] [CrossRef] [PubMed]
- Lu, X.H.; Jiao, X.L.; Hao, J.J.; Chen, A.J.; Gao, W.W. Characterization of resistance to multiple fungicides in Botrytis cinerea populations from Asian ginseng in northeastern China. Eur. J. Plant Pathol. 2016, 144, 467–476. [Google Scholar] [CrossRef]
- Kim, K.H.; Kabir, E.; Jahan, S.A. Exposure to pesticides and the associated human health effects. Sci. Total Environ. 2017, 575, 525–535. [Google Scholar] [CrossRef]
- Carbú, M.; González-Rodriguez, V.; Garrido, C.; Husaini, C.; Cantoral, J. New biocontrol strategies for strawberry fungal pathogens. In Strawberry: Growth, Development and Disease; Amjad, H., Neri, D., Eds.; CABI: Boston, MA, USA, 2016; pp. 196–211. [Google Scholar]
- Ji, X.; Lu, G.; Gai, Y.; Zheng, C.; Mu, Z. Biological control against bacterial wilt and colonization of mulberry by an endophytic Bacillus subtilis strain. FEMS Microbiol. Ecol. 2008, 65, 565–573. [Google Scholar] [CrossRef] [PubMed]
- Ludwig-Müller, J. Plants and endophytes: Equal partners in secondary metabolite production? Biotechnol. Lett. 2015, 37, 1325–1334. [Google Scholar] [CrossRef]
- Le Cocq, K.; Gurr, S.J.; Hirsch, P.R.; Mauchline, T.H. Exploitation of endophytes for sustainable agricultural intensification. Mol. Plant Pathol. 2017, 18, 469–473. [Google Scholar] [CrossRef] [PubMed]
- Ek-Ramos, M.J.; Gomez-Flores, R.; Orozco-Flores, A.A.; Rodríguez-Padilla, C.; González-Ochoa, G.; Tamez-Guerra, P.; Tamez-Guerra, P. Bioactive products from plant-endophytic Gram-positive bacteria. Front. Microbiol. 2019, 10, 1–12. [Google Scholar] [CrossRef]
- Pal, K.; Gardener, B. Biological control of plant pathogens. Plant Health Instr. 2006, 1–25. [Google Scholar] [CrossRef]
- Bardin, M.; Ajouz, S.; Comby, M.; Lopez-Ferber, M.; Graillot, B.; Siegwart, M.; Nicot, P.C. Is the efficacy of biological control against plant diseases likely to be more durable than that of chemical pesticides? Front. Plant Sci. 2015, 6, 1–14. [Google Scholar] [CrossRef]
- Santoyo, G.; Moreno-Hagelsieb, G.; del Carmen Orozco-Mosqueda, M.; Glick, B.R. Plant growth-promoting bacterial endophytes. Microbiol. Res. 2016, 183, 92–99. [Google Scholar] [CrossRef] [PubMed]
- Zhang, Y.; Yu, X.; Zhang, W.; Lang, D.; Zhang, X.; Cui, G.; Zhang, X. Interactions between endophytes and plants: Beneficial effect of endophytes to ameliorate biotic and abiotic stresses in plants. J. Plant Biol. 2019, 62, 1–13. [Google Scholar] [CrossRef]
- Berg, G. Plant-microbe interactions promoting plant growth and health: Perspectives for controlled use of microorganisms in agriculture. Appl. Microbiol. Biotechnol. 2009, 84, 11–18. [Google Scholar] [CrossRef]
- Van Kan, J.A.L.; Shaw, M.W.; Grant-Downton, R.T. Botrytis species: Relentless necrotrophic thugs or endophytes gone rogue? Mol. Plant Pathol. 2014, 15, 957–961. [Google Scholar] [CrossRef]
- Dewey, F.; Grant-Dowton, R. Botrytis-biology, detection and quantification. In Botrytis–The Fungus, the Pathogen and Its Management in Agricultural Systems; Fillinger, S., Yigal, E., Eds.; Springer International Publishing: Gewerbesrasse, Switzerland, 2016; pp. 17–34. [Google Scholar]
- Khan, N.; Martínez-Hidalgo, P.; Ice, T.A.; Maymon, M.; Humm, E.A.; Nejat, N.; Sanders, E.R.; Kaplan, D.; Hirsch, A.M. Antifungal activity of Bacillus species against fusarium and analysis of the potential mechanisms used in biocontrol. Front. Microbiol. 2018, 9, 1–12. [Google Scholar] [CrossRef]
- Cawoy, H.; Bettiol, W.; Fickers, P.; Ongena, M. Bacillus-based biological control of plant diseases. In Pesticides in the Modern World; Stoytcheva, M., Ed.; IntechOpen: London, UK, 2009; pp. 273–302. [Google Scholar]
- Liu, B.; Qiao, H.; Huang, L.; Buchenauer, H.; Han, Q.; Kang, Z.; Gong, Y. Biological control of take-all in wheat by endophytic Bacillus subtilis E1R-j and potential mode of action. Biol. Control 2009, 49, 277–285. [Google Scholar] [CrossRef]
- Kefi, A.; Slimene, I.B.; Karkouch, I.; Rihouey, C.; Azaeiz, S.; Bejaoui, M.; Belaid, R.; Cosette, P.; Jouenne, T.; Limam, F. Characterization of endophytic Bacillus strains from tomato plants (Lycopersicon esculentum) displaying antifungal activity against Botrytis cinerea Pers. World J. Microbiol. Biotechnol. 2015, 31, 1967–1976. [Google Scholar] [CrossRef]
- Nicot, P.; Stewart, A.; Bardin, M.; Elad, Y. Biological control and biopesticide suppression of Botrytis-incited diseases. In Botrytis—The Fungus, the Pathogen and Its Management in Agricultural Systems; Fillinger, S., Elad, Y., Eds.; Springer: New York, NY, USA, 2016; pp. 165–187. [Google Scholar]
- Hsieh, F.-C.; Lin, T.-C.; Meng, M.; Kao, S.-S. Comparing methods for identifying Bacillus strains capable of producing the antifungal lipopeptide iturin A. Curr. Microbiol. 2008, 56, 1–5. [Google Scholar] [CrossRef]
- Vignatti, P.; Gonzalez, M.E.; Jofré, E.C.; Bolívar-Anillo, H.J.; Moraga, J.; Viaud, M.; Collado, I.G.; Pieckenstain, F.L. Botrydial confers Botrytis cinerea the ability to antagonize soil and phyllospheric bacteria. Fungal Biol. 2020, 124. [Google Scholar] [CrossRef] [PubMed]
- Büttner, P.; Koch, F.; Voigt, K.; Quidde, T.; Risch, S.; Blaich, R.; Brückner, B.; Tudzynski, P. Variations in ploidy among isolates of Botrytis cinerea: Implications for genetic and molecular analyses. Curr. Genet. 1994, 25, 445–450. [Google Scholar] [CrossRef]
- Potshangbam, M.; Devi, I.; Sahoo, D.; Strobel, G. Functional characterization of endophytic fungal community associated with Oryza sativa L. and Zea mays L. Front. Microbiol. 2017, 8, 1–15. [Google Scholar] [CrossRef]
- Gary, S.; Bryan, D. Bioprospecting for microbial endophytes and their natural product. Microbiol. Mol. Biol. Rev. 2003, 67, 491–502. [Google Scholar] [CrossRef]
- Shahid, M.; Hameed, S.; Tariq, M.; Zafar, M.; Ali, A.; Ahmad, N. Characterization of mineral phosphate-solubilizing bacteria for enhanced sunflower growth and yield-attributing traits. Ann. Microbiol. 2015, 65, 1525–1536. [Google Scholar] [CrossRef]
- Tenorio-Salgado, S.; Tinoco, R.; Vazquez-Duhalt, R.; Caballero-Mellado, J.; Perez-Rueda, E. Identification of volatile compounds produced by the bacterium Burkholderia tropica that inhibit the growth of fungal pathogens. Bioengineered 2013, 4, 236–243. [Google Scholar] [CrossRef] [PubMed]
- González-Rodríguez, V.E.; Garrido, C.; Cantoral, J.M.; Schumacher, J. The F-actin capping protein is required for hyphal growth and full virulence but is dispensable for septum formation in Botrytis cinerea. Fungal Biol. 2016, 120, 1225–1235. [Google Scholar] [CrossRef]
- Scarpellini, M.; Franzetti, L.; Galli, A. Development of PCR assay to identify Pseudomonas fluorescens and its biotype. FEMS Microbiol. Lett. 2004, 236, 257–260. [Google Scholar] [CrossRef]
- Sambrook, J.; Fritsch, E.F.; Maniatis, T. Molecular Cloning; Cold Spring Harbor Laboratory Press: New York, NY, USA, 1989. [Google Scholar]
- Wattiiau, P.; Renard, M.; Ledent, P.; Debois, V.; Blackman, G.; Agathos, S. A PCR test to identify Bacillus subtilis and closely related species and its application to the monitoring of wastewater biotreatment. Appl. Microbiol. Biotechnol. 2001, 56, 816–819. [Google Scholar] [CrossRef] [PubMed]
- Mora, I.; Cabrefiga, J.; Montesinos, E. Antimicrobial peptide genes in Bacillus strains from plant environments. Int. Microbiol. 2011, 14, 213–223. [Google Scholar] [CrossRef]
- Reis, V.M.; Estrada-de los Santos, P.; Tenorio-Salgado, S.; Vogel, J.; Stoffels, M.; Guyon, S.; Mavingui, P.; Baldani, V.L.D.; Schmid, M.; Baldani, J.I.; et al. Burkholderia tropica sp. nov., a novel nitrogen-fixing, plant-associated bacterium. Int. J. Syst. Evol. Microbiol. 2004, 54, 2155–2162. [Google Scholar] [CrossRef] [PubMed]
- Mukherjee, S.; Das, P.; Sen, R. Rapid quantification of a microbial surfactant by a simple turbidometric method. J. Microbiol. Methods 2009, 76, 38–42. [Google Scholar] [CrossRef] [PubMed]
- Meng, Y.; Zhao, W.; You, J.; Gang, H.Z.; Liu, J.F.; Yang, S.Z.; Ye, R.Q.; Mu, B.Z. Structural analysis of the lipopeptide produced by the Bacillus subtilis mutant R2-104 with mutagenesis. Appl. Biochem. Biotechnol. 2016, 179, 973–985. [Google Scholar] [CrossRef] [PubMed]
- Glickmann, E.; Dessaux, Y. A critical examination of the specificity of the salkowski reagent for indolic compounds produced by phytopathogenic bacteria. Appl. Environ. Microbiol. 1995, 61, 793–796. [Google Scholar] [CrossRef]
- Zhang, C.; Kong, F. Isolation and identification of potassium-solubilizing bacteria from tobacco rhizospheric soil and their effect on tobacco plants. Appl. Soil Ecol. 2014, 82, 18–25. [Google Scholar] [CrossRef]
- Baldani, J.I.; Reis, V.M.; Videira, S.S.; Boddey, L.H.; Baldani, V.L.D. The art of isolating nitrogen-fixing bacteria from non-leguminous plants using N-free semi-solid media: A practical guide for microbiologists. Plant Soil 2014, 384, 413–431. [Google Scholar] [CrossRef]
- Castro, R.A.; Quecine, M.C.; Lacava, P.T.; Batista, B.D.; Luvizotto, D.M.; Marcon, J.; Ferreira, A.; Melo, I.S.; Azevedo, J.L. Isolation and enzyme bioprospection of endophytic bacteria associated with plants of Brazilian mangrove ecosystem. Springerplus 2014, 3, 382. [Google Scholar] [CrossRef]
- Alexander, D.B.; Zuberer, D.A. Use of chrome azurol S reagents to evaluate siderophore production by rhizosphere bacteria. Biol. Fertil. Soils 1991, 12, 39–45. [Google Scholar] [CrossRef]
- Almoneafy, A.A.; Kakar, K.U.; Nawaz, Z.; Li, B.; Saand, M.A.; Chun-lan, Y.; Xie, G.L. Tomato plant growth promotion and antibacterial related-mechanisms of four rhizobacterial Bacillus strains against Ralstonia solanacearum. Symbiosis 2014, 63, 59–70. [Google Scholar] [CrossRef]
- Merritt, J.; Kadouri, D.; O´Toole, G. Growing and analyzing static biofilms. Curr. Protoc. Microbiol. 2015, 1, 1–29. [Google Scholar] [CrossRef]
- Izquierdo-Bueno, I.; Moraga, J.; Cardoza, R.E.; Lindo, L.; Hanson, J.R.; Gutiérrez, S.; Collado, I.G. Relevance of the deletion of the: Tatri4 gene in the secondary metabolome of Trichoderma arundinaceum. Org. Biomol. Chem. 2018, 16, 2955–2965. [Google Scholar] [CrossRef] [PubMed]
- Dos Santos, G.F.; Locatelli, G.O.; Coêlho, D.A.; Botelho, P.S.; de Amorim, M.S.; de Vasconcelos, T.C.L.; Bueno, L.A. Factorial design, preparation and characterization of new beads formed from alginate, polyphosphate and glycerol gelling solution for microorganism microencapsulation. J. Sol-Gel. Sci. Technol. 2015, 75, 345–352. [Google Scholar] [CrossRef]
- Romero, F.M.; Marina, M.; Pieckenstain, F.L. Novel components of leaf bacterial communities of field-grown tomato plants and their potential for plant growth promotion and biocontrol of tomato diseases. Res. Microbiol. 2016, 167, 222–233. [Google Scholar] [CrossRef]
- Johnston-Monje, D.; Raizada, M. Conservation and diversity of seed associated endophytes in Zea across boundaries of evolution, ethnography and ecology. PLoS ONE 2011, 6, e20396. [Google Scholar] [CrossRef] [PubMed]
- Rojas-Solís, D.; Zetter-Salmón, E.; Contreras-Pérez, M.; Rocha-Granados, M.D.C.; Macías-Rodríguez, L.; Santoyo, G. Pseudomonas stutzeri E25 and Stenotrophomonas maltophilia CR71 endophytes produce antifungal volatile organic compounds and exhibit additive plant growth-promoting effects. Biocatal. Agric. Biotechnol. 2018, 13, 46–52. [Google Scholar] [CrossRef]
- Bertrand, S.; Schumpp, O.; Bohni, N.; Bujard, A.; Azzollini, A.; Monod, M.; Gindro, K.; Wolfender, J.L. Detection of metabolite induction in fungal co-cultures on solid media by high-throughput differential ultra-high pressure liquid chromatography-time-of-flight mass spectrometry fingerprinting. J. Chromatogr. A 2013, 1292, 219–228. [Google Scholar] [CrossRef] [PubMed]
- Wani, Z.A.; Ashraf, N.; Mohiuddin, T.; Riyaz-Ul-Hassan, S. Plant-endophyte symbiosis, an ecological perspective. Appl. Microbiol. Biotechnol. 2015, 99, 2955–2965. [Google Scholar] [CrossRef] [PubMed]
- Frank, A.; Saldierna Guzmán, J.; Shay, J. Transmission of bacterial endophytes. Microorganisms 2017, 5, 70. [Google Scholar] [CrossRef] [PubMed]
- Hassan, S.E.D. Plant growth-promoting activities for bacterial and fungal endophytes isolated from medicinal plant of Teucrium polium L. J. Adv. Res. 2017, 8, 687–695. [Google Scholar] [CrossRef]
- Bulgarelli, D.; Schlaeppi, K.; Spaepen, S.; van Themaat, E.V.L.; Schulze-Lefert, P. Structure and functions of the bacterial microbiota of plants. Annu. Rev. Plant Biol. 2013, 64, 807–838. [Google Scholar] [CrossRef]
- Hardoim, P.R.; van Overbeek, L.S.; Berg, G.; Pirttilä, A.M.; Compant, S.; Campisano, A.; Döring, M.; Sessitsch, A. The hidden world within plants: Ecological and evolutionary considerations for defining functioning of microbial endophytes. Microbiol. Mol. Biol. Rev. 2015, 79, 293–320. [Google Scholar] [CrossRef] [PubMed]
- Kumar, M.; Brader, G.; Sessitsch, A.; Mäki, A.; van Elsas, J.D.; Nissinen, R. Plants assemble species specific bacterial communities from common core taxa in three arcto-alpine climate zones. Front. Microbiol. 2017, 8, 1–15. [Google Scholar] [CrossRef]
- Malviya, M.K.; Sharma, A.; Pandey, A.; Rinu, K.; Sati, P.; Palni, L.M.S. Bacillus subtilis NRRL B-30408: A potential inoculant for crops grown under rainfed conditions in the mountains. J. Soil Sci. Plant Nutr. 2012, 12, 811–824. [Google Scholar] [CrossRef][Green Version]
- Lyngwi, N.; Joshi, S. Economically important Bacillus and related genera: A mini review. In Biology of Useful Plants and Microbes; Sen, A., Ed.; Narosa Publishing House: New Delhi, India, 2014; pp. 33–43. [Google Scholar]
- Saranraj, P. Biocontrol potentiality of plant growth promoting bacteria (PGPR)—Pseudomonas fluorescens and Bacillus subtilis: A review. Afr. J. Agric. Res. 2014, 9, 1265–1277. [Google Scholar] [CrossRef]
- Benoit, I.; van den Esker, M.H.; Patyshakuliyeva, A.; Mattern, D.J.; Blei, F.; Zhou, M.; Dijksterhuis, J.; Brakhage, A.A.; Kuipers, O.P.; de Vries, R.P.; et al. Bacillus subtilis attachment to Aspergillus niger hyphae results in mutually altered metabolism. Environ. Microbiol. 2015, 17, 2099–2113. [Google Scholar] [CrossRef] [PubMed]
- Hinarejos, E.; Castellano, M.; Rodrigo, I.; Bellés, J.M.; Conejero, V.; López-Gresa, M.P.; Lisón, P. Bacillus subtilis IAB/BS03 as a potential biological control agent. Eur. J. Plant Pathol. 2016, 146, 597–608. [Google Scholar] [CrossRef]
- Hanif, A.; Zhang, F.; Li, P.; Li, C.; Xu, Y.; Zubair, M.; Zhang, M.; Jia, D.; Zhao, X.; Liang, J.; et al. Fengycin produced by Bacillus amyloliquefaciens FZB42 inhibits Fusarium graminearum growth and mycotoxins biosynthesis. Toxins 2019, 11, 295. [Google Scholar] [CrossRef] [PubMed]
- Kumar, A.; Prakash, A.; Johri, B.N. Bacillus as PGPR in crop ecosystem. In Bacteria in Agrobiology: Crop Productivity; Maheshwari, D., Ed.; Springer: Berlin/Heidelberg, Germany, 2011; pp. 37–60. ISBN 9783642183577. [Google Scholar]
- Bodhankar, S.; Grover, M.; Hemanth, S.; Reddy, G.; Rasul, S.; Kumar, S.; Desai, S.; Mallappa, M.; Mandapaka, M.; Srinivasarao, C. Maize seed endophytic bacteria: Dominance of antagonistic, lytic enzyme-producing Bacillus spp. 3 Biotech 2017, 7, 232. [Google Scholar] [CrossRef] [PubMed]
- Fontes, J.; Aparecida, E.; Teixeira, C.; Gomes de Paula, U.; Aparecida, M.; Correa, G.; Bressan, W. Molecular analysis of endophytic bacteria from the genus Bacillus isolated from tropical maize (Zea mays L.). Braz. J. Microbiol. 2009, 40, 522–534. [Google Scholar]
- Szilagyi-Zecchin, V.J.; Ikeda, A.C.; Hungria, M.; Adamoski, D.; Kava-Cordeiro, V.; Glienke, C.; Galli-Terasawa, L.V. Identification and characterization of endophytic bacteria from corn (Zea mays L.) roots with biotechnological potential in agriculture. AMB Express 2014, 4, 26. [Google Scholar] [CrossRef]
- El-Deeb, B.; Altalhi, A.; Khiralla, G.; Hassan, S.; Gherbawy, Y. Isolation and Characterization of endophytic Bacilli bacterium from maize grains able to detoxify aflatoxin B1. Food Biotechnol. 2013, 27, 199–212. [Google Scholar] [CrossRef]
- Thanh, D.; Diep, C. Isolation, Characterization and identification of endophytic bacteria in maize (Zea Mays L.) cultivated on acrisols of the southeast of Vietnam. Am. J. Life Sci. 2014, 2, 224. [Google Scholar] [CrossRef]
- Gond, S.K.; Bergen, M.S.; Torres, M.S.; White, J.F., Jr. Endophytic Bacillus spp. produce antifungal lipopeptides and induce host defence gene expression in maize. Microbiol. Res. 2014, 172, 79–87. [Google Scholar] [CrossRef] [PubMed]
- Hawes, M.; Allen, C.; Turgeon, B.G.; Curlango-Rivera, G.; Minh Tran, T.; Huskey, D.A.; Xiong, Z. Root border cells and their role in plant defense. Annu. Rev. Phytopathol. 2016, 54, 143–161. [Google Scholar] [CrossRef] [PubMed]
- Hütsch, B.W.; Augustin, J.; Merbach, W. Plant rhizodeposition-an important source for carbon turnover in soils. J. Plant Nutr. Soil Sci. 2002, 165, 397–407. [Google Scholar] [CrossRef]
- Bacilio-Jiménez, M.; Aguilar-Flores, S.; Ventura-Zapata, E.; Pérez-Campos, E.; Bouquelet, S.; Zenteno, E. Chemical characterization of root exudates from rice (Oryza sativa) and their effects on the chemotactic response of endophytic bacteria. Plant Soil 2003, 249, 271–277. [Google Scholar] [CrossRef]
- Ahemad, M.; Kibret, M. Mechanisms and applications of plant growth promoting rhizobacteria: Current perspective. J. King Saud Univ. Sci. 2014, 26, 1–20. [Google Scholar] [CrossRef]
- Paungfoo-Lonhienne, C.; Rentsch, D.; Robatzek, S.; Webb, R.I.; Sagulenko, E.; Näsholm, T.; Schmidt, S.; Lonhienne, T.G.A. Turning the table: Plants consume microbes as a source of nutrients. PLoS ONE 2010, 5, e11915. [Google Scholar] [CrossRef]
- White, J.F.; Crawford, H.; Torres, M.S.; Mattera, R.; Irizarry, I.; Bergen, M. A proposed mechanism for nitrogen acquisition by grass seedlings through oxidation of symbiotic bacteria. Symbiosis 2012, 57, 161–171. [Google Scholar] [CrossRef]
- Beltran-Garcia, M.J.; White, J.F.; Prado, F.M.; Prieto, K.R.; Yamaguchi, L.F.; Torres, M.S.; Kato, M.J.; Medeiros, M.H.G.; Di Mascio, P. Nitrogen acquisition in Agave tequilana from degradation of endophytic bacteria. Sci. Rep. 2014, 4, 1–7. [Google Scholar] [CrossRef]
- Saha, M.; Sarkar, S.; Sarkar, B.; Sharma, B.K.; Bhattacharjee, S.; Tribedi, P. Microbial siderophores and their potential applications: A review. Environ. Sci. Pollut. Res. 2016, 23, 3984–3999. [Google Scholar] [CrossRef]
- Collado, I.G.; Viaud, M. Secondary metabolism in Botrytis cinerea: Combining genomic and metabolomic approaches. In Botrytis—The Fungus, the Pathogen and Its Management in Agricultural Systems, 1st ed.; Fillinger, S., Elad, Y., Eds.; Springer International Publishing: London, UK, 2016; pp. 291–313. [Google Scholar] [CrossRef]
- Rout, G.R.; Sahoo, S. Role of iron in plant growth and metabolism. Rev. Agric. Sci. 2015, 3, 1–24. [Google Scholar] [CrossRef]
- Ahmed, E.; Holmström, S.J.M. Siderophores in environmental research: Roles and applications. Microb. Biotechnol. 2014, 7, 196–208. [Google Scholar] [CrossRef] [PubMed]
- Hibbing, M.E.; Fuqua, C.; Parsek, M.R.; Peterson, S.B. Bacterial competition: Surviving and thriving in the microbial jungle. Nat. Rev. Microbiol. 2010, 8, 15–25. [Google Scholar] [CrossRef]
- Araújo, F.F.; Henning, A.A.; Hungria, M. Phytohormones and antibiotics produced by Bacillus subtilis and their effects on seed pathogenic fungi and on soybean root development. World J. Microbiol. Biotechnol. 2005, 21, 1639–1645. [Google Scholar] [CrossRef]
- Vega-Celedón, P.; Canchignia Martínez, H.; González, M.; Seeger, M. Biosynthesis of indole-3-acetic acid and plant growth promoting by bacteria. Cultiv. Trop. 2016, 37, 33–39. [Google Scholar] [CrossRef]
- Olanrewaju, O.S.; Glick, B.R.; Babalola, O.O. Mechanisms of action of plant growth promoting bacteria. World J. Microbiol. Biotechnol. 2017, 33, 1–16. [Google Scholar] [CrossRef] [PubMed]
- Ali, B.; Sabri, A.N.; Hasnain, S. Rhizobacterial potential to alter auxin content and growth of Vigna radiata (L.). World J. Microbiol. Biotechnol. 2010, 26, 1379–1384. [Google Scholar] [CrossRef]
- Vijendra, K.M.; Ashok, K. Biosynthesis of indole-3-acetic acid by plant growth promoting rhizobacteria, Klebsiella pneumonia, Bacillus amyloliquefaciens and Bacillus subtilis. Afr. J. Microbiol. Res. 2015, 9, 1139–1149. [Google Scholar] [CrossRef][Green Version]
- Jayakumar, A.; Krishna, A.; Mohan, M.; Nair, I.C.; Radhakrishnan, E.K. Plant Growth enhancement, disease resistance, and elemental modulatory effects of plant probiotic endophytic Bacillus sp. Fcl1. Probiotics Antimicrob. Proteins 2019, 11, 526–534. [Google Scholar] [CrossRef] [PubMed]
- Basurto-Cadena, M.G.L.; Vázquez-Arista, M.; García-Jiménez, J.; Salcedo-Hernández, R.; Bideshi, D.K.; Barboza-Corona, J.E. Isolation of a New Mexican strain of Bacillus subtilis with antifungal and antibacterial activities. Sci. World J. 2012, 2012, 1–7. [Google Scholar] [CrossRef]
- Thakaew, R.; Niamsup, H. Inhibitory activity of Bacillus subtilis BCC 6327 metabolites against growth of aflatoxigenic fungi isolated from Bird Chili Powder. Int. J. Biosci. Biochem. Bioinf. 2013, 3, 27–32. [Google Scholar] [CrossRef][Green Version]
- Bolívar-Anillo, H.J.; Garrido, C.; Collado, I.G. Endophytic microorganisms for biocontrol of the phytopathogenic fungus Botrytis cinerea. Phytochem. Rev. 2019, 1–20. [Google Scholar] [CrossRef]
- Lopez, D.; Vlamakis, H.; Kolter, R. Generation of multiple cell types in Bacillus subtilis. FEMS Microbiol. Rev. 2009, 33, 152–163. [Google Scholar] [CrossRef] [PubMed]
- Van Gestel, J.; Vlamakis, H.; Kolter, R. From cell differentiation to cell collectives: Bacillus subtilis uses division of labor to migrate. PLoS Biol. 2015, 13, e1002141. [Google Scholar] [CrossRef] [PubMed]
- Kinsinger, R.F.; Shirk, M.C.; Fall, R. Rapid surface motility in Bacillus subtilis is dependent on extracellular surfactin and potassium ion. Society 2003, 185, 5627–5631. [Google Scholar] [CrossRef] [PubMed]
- Liu, Y.; Kyle, S.; Straight, P.D. Antibiotic stimulation of a Bacillus subtilis migratory response. mSphere 2018, 3, 1–13. [Google Scholar] [CrossRef] [PubMed]
- Reino, J.L.; Durán-Patrón, R.; Segura, I.; Hernández-Galán, R.; Riese, H.H.; Collado, I.G. Chemical transformations on botryane skeleton. Effect on the cytotoxic activity. J. Nat. Prod. 2003, 66, 344–349. [Google Scholar] [CrossRef]
- Malmierca, M.G.; Barua, J.; McCormick, S.P.; Izquierdo-Bueno, I.; Cardoza, R.E.; Alexander, N.J.; Hermosa, R.; Collado, I.G.; Monte, E.; Gutiérrez, S. Novel aspinolide production by Trichoderma arundinaceum with a potential role in Botrytis cinerea antagonistic activity and plant defence priming. Environ. Microbiol. 2015, 17, 1103–1118. [Google Scholar] [CrossRef] [PubMed]
- Glass, N.L.; Fleissner, A. Re-Wiring the Network: Understanding the mechanism and function of anastomosis in filamentous Ascomycete fungi. In The Mycota: A Comprehensive Treatise on Fungi as Experimental Systems for Basic and Applied Research; Esser, K., Kües, U., Fischer, R., Eds.; Springer: Berlin/Heidelberg, Germany, 2006; pp. 123–139. [Google Scholar]
- Ongena, M.; Jacques, P. Bacillus lipopeptides: Versatile weapons for plant disease biocontrol. Trends Microbiol. 2008, 16, 115–125. [Google Scholar] [CrossRef]
- Raaijmakers, J.M.; de Bruijn, I.; Nybroe, O.; Ongena, M. Natural functions of lipopeptides from Bacillus and Pseudomonas: More than surfactants and antibiotics. FEMS Microbiol. Rev. 2010, 34, 1037–1062. [Google Scholar] [CrossRef]
- Shafi, J.; Tian, H.; Ji, M. Bacillus species as versatile weapons for plant pathogens: A review. Biotechnol. Biotechnol. Equip. 2017, 31, 446–459. [Google Scholar] [CrossRef]
- Farace, G.; Fernandez, O.; Jacquens, L.; Coutte, F.; Krier, F.; Jacques, P.; Clément, C.; Barka, E.A.; Jacquard, C.; Dorey, S. Cyclic lipopeptides from Bacillus subtilis activate distinct patterns of defence responses in grapevine. Mol. Plant Pathol. 2015, 16, 177–187. [Google Scholar] [CrossRef] [PubMed]
- Özcengiz, G.; Öğülür, I. Biochemistry, genetics and regulation of bacilysin biosynthesis and its significance more than an antibiotic. New Biotechnol. 2015, 32, 612–619. [Google Scholar] [CrossRef] [PubMed]
- Wang, T.; Liu, X.-H.; Wu, M.-B.; Ge, S. Molecular insights into the antifungal mechanism of bacilysin. J. Mol. Model. 2018, 24, 1–9. [Google Scholar] [CrossRef] [PubMed]
- Timilsena, Y.P.; Adhikari, R.; Casey, P.; Muster, T.; Gill, H.; Adhikari, B. Enhanced efficiency fertilisers: A review of formulation and nutrient release patterns. J. Sci. Food Agric. 2015, 95, 1131–1142. [Google Scholar] [CrossRef]
- De Souza, R.; Ambrosini, A.; Passaglia, L.M.P. Plant growth-promoting bacteria as inoculants in agricultural soils. Genet. Mol. Biol. 2015, 38, 401–419. [Google Scholar] [CrossRef]
- Bashan, Y.; De-Bashan, L.; Prabhu, S. Superior polymeric formulations and emerging innovative products of bacterial inoculants for sustainable agriculture and the environment. In Agriculturally Important Microorganisms; Singh, H., Sarma, B., Keswani, C., Eds.; Springer: Singapore, 2016; pp. 15–46. [Google Scholar]
- Bashan, Y.; de-Bashan, L.E.; Prabhu, S.R.; Hernandez, J.P. Advances in plant growth-promoting bacterial inoculant technology: Formulations and practical perspectives (1998–2013). Plant Soil 2014, 378, 1–33. [Google Scholar] [CrossRef]
- Rosenblueth, M.; Martínez-Romero, E. Bacterial endophytes and their interactions with hosts. Mol. Plant. Microbe Interact. 2006, 19, 827–837. [Google Scholar] [CrossRef]
- Robinson, R.J.; Fraaije, B.A.; Clark, I.M.; Jackson, R.W.; Hirsch, P.R.; Mauchline, T.H. Wheat seed embryo excision enables the creation of axenic seedlings and Koch’s postulates testing of putative bacterial endophytes. Sci. Rep. 2016, 6, 1–9. [Google Scholar] [CrossRef] [PubMed]
- Zhao, Q.; Shen, Q.; Ran, W.; Xiao, T.; Xu, D.; Xu, Y. Inoculation of soil by Bacillus subtilis Y-IVI improves plant growth and colonization of the rhizosphere and interior tissues of muskmelon (Cucumis melo L.). Biol. Fertil. Soils 2011, 47, 507–514. [Google Scholar] [CrossRef]
- Walia, A.; Mehta, P.; Chauhan, A.; Shirkot, C.K. Effect of Bacillus subtilis strain CKT1 as inoculum on growth of tomato seedlings under net house conditions. Proc. Natl. Acad. Sci. USA India Sect. B Biol. Sci. 2014, 84, 145–155. [Google Scholar] [CrossRef]








| Strains | Species | Origin of Isolate | GenBank Acc. N. | References |
|---|---|---|---|---|
| WT:B05.10 | Botrytis cinerea | Vitis vinifera | ASM14353v4 | [25] |
| 9Ca | Pseudomonas aeruginosa | Zea mays | -- | Laboratory collection |
| 2S | Bacillus subtilis | Zea mays | MW204831 | This study |
| 5Cs | Bacillus subtilis | Zea mays | MW204832 | This study |
| 5Cm | Bacillus subtilis | Zea mays | MW204833 | This study |
| 6Ss | Bacillus subtilis | Zea mays | MW204834 | This study |
| 6Sm | Bacillus subtilis | Zea mays | MW204835 | This study |
| Primer | Sequence (5′ → 3′) | Product Size (bp) | Reference | Used for |
|---|---|---|---|---|
| 16SF | AGAGTTTGATCCTGGCTCAG | 1500 | [31] | 16S-rRNA partial amplification |
| 16SR | TACGGCTACCTTGTTACGA | 1500 | [31] | 16S-rRNA partial amplification |
| Bac_FWd | AGCAGTGGGGAATATTGGAC | 700 | This study | 16S-rRNA partial amplification |
| Bac_Rev1 | TCTAATCCTGTTTGCTCCCC | 700 | This study | 16S-rRNA partial amplification |
| Bsub5F | AAGTCGAGCGGACAGATGG | 600 | [33] | Species-specific primers for B. subtilis identification |
| Bsub3R | CCAGTTTCCAATGACCCTCCCC | 600 | [33] | Species-specific primers for B. subtilis identification |
| ITUCF | GGCTGCTGCAGATGCTTTAT | 423 | [34] | Detection of ituC gene (Iturin) |
| ITUCR | TCGCAGATAATCGCAGTGAG | 423 | [34] | Detection of ituC gene (Iturin) |
| FENDF | GGCCCGTTCTCTAAATCCAT | 270 | [34] | Detection of fenD gene (Fengycin) |
| FENDR | GTCATGCTGACGAGAGCAAA | 270 | [34] | Detection of fenD gene (Fengycin) |
| BACF | CAGCTCATGGGAATGCTTTT | 500 | [34] | Detection of bacA gene (Bacylisin) |
| BACR | CTCGGTCCTGAAGGGACAAG | 500 | [34] | Detection of bacA gene (Bacylisin) |
| SRFAF | TCGGGACAGGAAGACATCAT | 200 | [34] | Detection of sfrAA gene (Surfactin) |
| SRFAR | CCACTCAAACGGATAATCCTGA | 200 | [34] | Detection of sfrAA gene (Surfactin) |
| SPASF | GGTTTGTTGGATGGAGCTGT | 375 | [34] | Detection of spaS gene (Subtilin) |
| SPASR | GCAAGGAGTCAGAGCAAGGT | 375 | [34] | Detection of spaS gene (Subtilin) |
| BMYBF | GAATCCCGTTGTTCTCCAAA | 370 | [34] | Detection of bmyB gene (Bacillomycin) |
| BMYBR | GCGGGTATTGAATGCTTGTT | 370 | [34] | Detection of bmyB gene (Bacillomycin) |
| Title | B. subtilis Strains | ||||
|---|---|---|---|---|---|
| Characteristics | 2S | 5Cs | 5Cm | 6Ss | 6Sm |
| % Inhibition B. cinerea | 46 | 53 | 48 | 42 | 54 |
| Shape | Rod | Rod | Rod | Rod | Rod |
| Gram | + | + | + | + | + |
| Oxidase | + | + | + | + | + |
| Catalase | + | + | + | + | + |
| Motility | + | + | + | + | + |
| Glycerol | + | + | + | + | + |
| Erythrose | − | − | − | − | − |
| D-Arabinose | − | − | − | − | − |
| L-Arabinose | + | + | + | + | + |
| D-Ribose | + | + | + | + | + |
| D-Galactose | − | − | − | − | − |
| D-Glucose | + | + | + | + | + |
| D-Fructose | + | + | + | + | + |
| D-Mannitol | + | + | + | + | + |
| D-Sorbitol | + | + | + | + | + |
| Esculin | + | + | + | + | + |
| D-Maltose | + | + | + | + | + |
| D-Lactose | − | − | − | − | − |
| D-Sucrose | + | + | + | + | + |
| D-Raffinose | + | + | + | + | + |
| Starch | + | + | + | + | + |
| Glycogen | + | + | + | + | + |
| Title | B. subtilis Isolates | ||||
|---|---|---|---|---|---|
| Characteristics | 2S | 5Cs | 5Cm | 6Ss | 6Sm |
| IAA (μg·mL−1) | 1.6 | 3.7 | 2.6 | 1.4 | 2.2 |
| Phosphate solubilization | - | - | - | - | - |
| Potassium solubilization | - | - | - | - | - |
| Growth in nitrogen-free medium | + | + | + | + | + |
| Proteolytic activity | + | + | + | + | + |
| Amylolytic activity | + | + | + | + | + |
| Siderophore detection | + | + | + | + | + |
| Biofilm formation | - | - | - | - | - |
| Lipopeptide production (mg·mL−1) | 1.00 | 1.05 | 0.94 | 0.76 | 1.24 |
| Strain | Wet Weight (g) | Number of Leaves | Stem Length (cm) | Root Length * (cm) |
|---|---|---|---|---|
| No bacteria | 6.7 ± 1.06 | 6 ± 0.46 | 14.9 ± 1.55 | 47.9 ± 1.25 * |
| B. subtilis 6Sm | 7.0 ± 0.52 | 7 ± 0.46 | 15.6 ± 0.74 | 60.5 ± 0.80 * |
Publisher’s Note: MDPI stays neutral with regard to jurisdictional claims in published maps and institutional affiliations. |
© 2021 by the authors. Licensee MDPI, Basel, Switzerland. This article is an open access article distributed under the terms and conditions of the Creative Commons Attribution (CC BY) license (https://creativecommons.org/licenses/by/4.0/).
Share and Cite
Bolivar-Anillo, H.J.; González-Rodríguez, V.E.; Cantoral, J.M.; García-Sánchez, D.; Collado, I.G.; Garrido, C. Endophytic Bacteria Bacillus subtilis, Isolated from Zea mays, as Potential Biocontrol Agent against Botrytis cinerea. Biology 2021, 10, 492. https://doi.org/10.3390/biology10060492
Bolivar-Anillo HJ, González-Rodríguez VE, Cantoral JM, García-Sánchez D, Collado IG, Garrido C. Endophytic Bacteria Bacillus subtilis, Isolated from Zea mays, as Potential Biocontrol Agent against Botrytis cinerea. Biology. 2021; 10(6):492. https://doi.org/10.3390/biology10060492
Chicago/Turabian StyleBolivar-Anillo, Hernando José, Victoria E. González-Rodríguez, Jesús M. Cantoral, Darío García-Sánchez, Isidro G. Collado, and Carlos Garrido. 2021. "Endophytic Bacteria Bacillus subtilis, Isolated from Zea mays, as Potential Biocontrol Agent against Botrytis cinerea" Biology 10, no. 6: 492. https://doi.org/10.3390/biology10060492
APA StyleBolivar-Anillo, H. J., González-Rodríguez, V. E., Cantoral, J. M., García-Sánchez, D., Collado, I. G., & Garrido, C. (2021). Endophytic Bacteria Bacillus subtilis, Isolated from Zea mays, as Potential Biocontrol Agent against Botrytis cinerea. Biology, 10(6), 492. https://doi.org/10.3390/biology10060492

