Coralline Hydroxyapatite Coated with a Layer Biomimetic Calcium Phosphate Containing BMP-2 Induces Dose-Related Ectopic Bone Formation in Wistar Rats
Abstract
:1. Introduction
2. Material and Methods
2.1. Material Preparation
2.1.1. Coating of CHA Granules with BioCaP
2.1.2. Preparation of BioCaP with and without Coating-Incorporated BMP-2
2.1.3. Preparation of CHA Coated with BioCaP and Adsorbed BMP-2
2.1.4. Control of the Amount of Adsorbed or Incorporated BMP-2
2.1.5. Surgical Procedure
2.1.6. Study Design
2.1.7. Histological Observation
2.1.8. Histomorphometric Analysis
2.1.9. Statistical Analysis
3. Results
3.1. In Vitro Results
3.1.1. Material Preparation
3.1.2. Amount of Encapsulated BMP-2
3.2. Observations
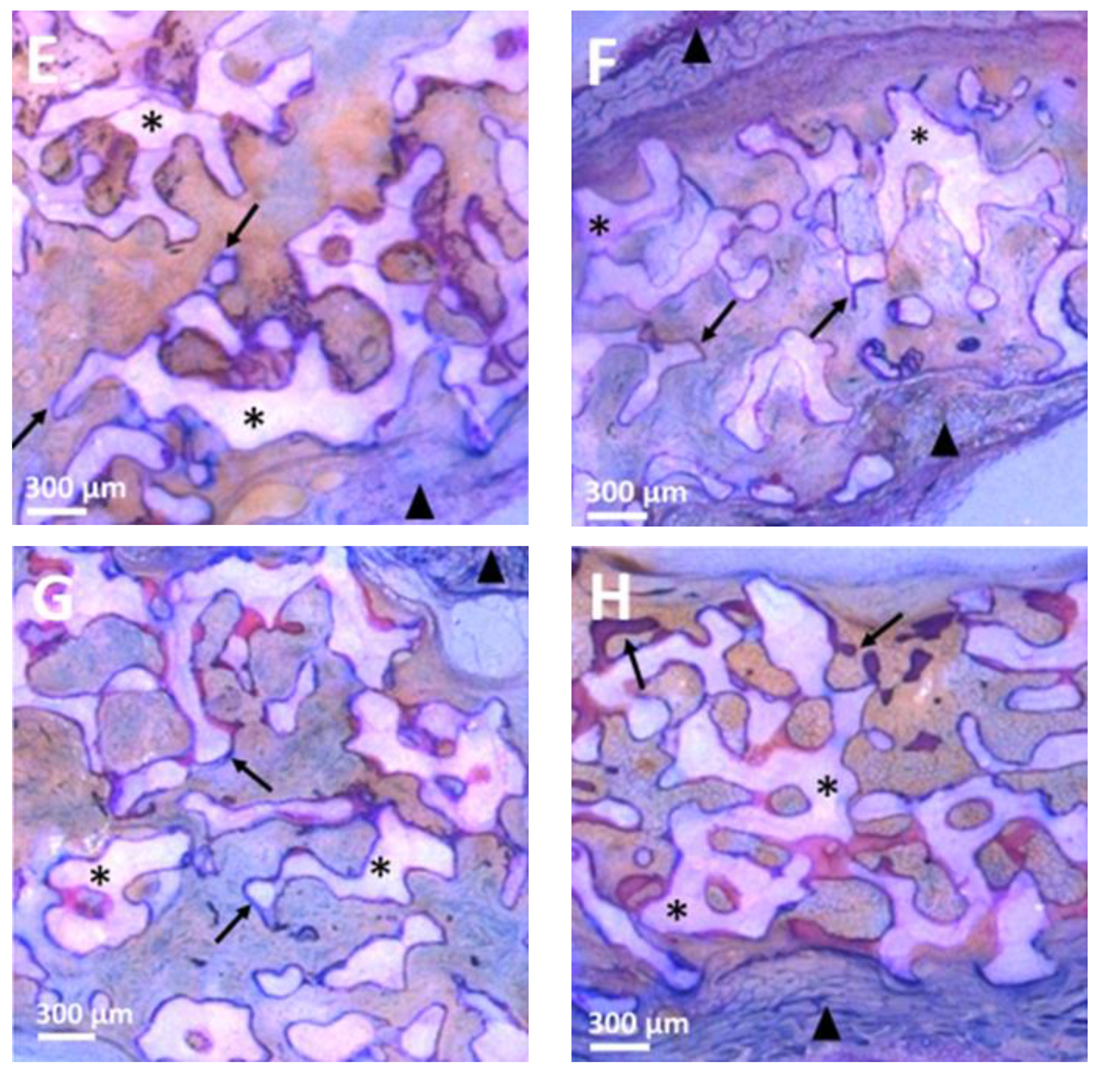
3.3. Histological Findings
3.4. Histomorphometric Analysis
3.5. Statistical Findings CHA/Total Area Percentage
3.6. Statistical Findings Bone/Total Area Percentage
3.7. Statistical Findings Bone/CHA Percentage
4. Discussion
5. Conclusions
Author Contributions
Funding
Institutional Review Board Statement
Informed Consent Statement
Data Availability Statement
Acknowledgments
Conflicts of Interest
References
- Schmitz, J.P.; Hollinger, J.O. The critical size defect as an experimental model for craniomandibulofacial nonunions. Clin. Orthop. Relat. Res. 1986, 205, 299–308. [Google Scholar] [CrossRef]
- Van Heest, A.; Swiontkowski, M. Bone-graft substitutes. Lancet 1999, 353 (Suppl. S1), S28–S29. [Google Scholar] [CrossRef]
- Goulet, J.A.; Senunas, L.E.; DeSilva, G.L.; Greenfield, M.L. Autogenous iliac crest bone graft: Complications and functional assessment. Clin. Orthop. Relat. Res. 1997, 339, 76–81. [Google Scholar] [CrossRef] [PubMed] [Green Version]
- Dimitriou, R.; Mataliotakis, G.I.; Angoules, A.G.; Kanakaris, N.K.; Giannoudis, P.V. Complications following autologous bone graft harvesting from the iliac crest and using the RIA: A systematic review. Injury 2011, 42 (Suppl. S2), S3–S15. [Google Scholar] [CrossRef] [PubMed]
- Chavda, S.; Levin, L. Human studies of vertical and horizontal alveolar ridge augmentation comparing different types of bone graft materials: A systematic review. J. Oral Implantol. 2018, 44, 74–84. [Google Scholar] [CrossRef]
- Miron, R.J.; Zhang, Y.F. Osteoinduction: A review of old concepts with new standards. J. Dent. Res. 2012, 91, 736–744. [Google Scholar] [CrossRef]
- Winkler, T.; Sass, F.A.; Duda, G.N.; Schmidt-Bleek, K. A review of biomaterials in bone defect healing, remaining shortcomings and future opportunities for bone tissue engineering: The unsolved challenge. Bone Joint Res. 2018, 7, 232–243. [Google Scholar] [CrossRef]
- Damien, E.; Revell, P.A. Coralline hydroxyapatite bone graft substitute: A review of experimental studies and biomedical applications. J. Appl. Biomater. Biomech. 2004, 2, 65–73. [Google Scholar]
- Holmes, R.E. Bone regeneration within a coralline hydroxyapatite implant. Plast. Reconstr. Surg. 1979, 63, 626–633. [Google Scholar] [CrossRef]
- Rahimi, F.; Maurer, B.T.; Enzweiler, M.G. Coralline hydroxyapatite: A bone graft alternative in foot and ankle surgery. J. Foot Ankle Surg. 1997, 36, 192–203. [Google Scholar] [CrossRef]
- Wang, H.L.; Boyapati, L. “PASS” principles for predictable bone regeneration. Implant Dent. 2006, 15, 8–17. [Google Scholar] [CrossRef] [Green Version]
- Liu, Y.; de Groot, K.; Hunziker, E.B. BMP-2 liberated from biomimetic implant coatings induces and sustains direct ossification in an ectopic rat model. Bone 2005, 36, 745–757. [Google Scholar] [CrossRef]
- Lin, X.; Hunziker, E.B.; Liu, T.; Hu, Q.; Liu, Y. Enhanced biocompatibility and improved osteogenesis of coralline hydroxyapatite modified by bone morphogenetic protein 2 incorporated into a biomimetic coating. Mater. Sci. Eng. C 2019, 96, 329–336. [Google Scholar] [CrossRef] [PubMed]
- Lissenberg-Thunnissen, S.N.; de Gorter, D.J.; Sier, C.F.; Schipper, I.B. Use and efficacy of bone morphogenetic proteins in fracture healing. Int. Orthop. 2011, 35, 1271. [Google Scholar] [CrossRef] [Green Version]
- Liu, Y.; Wu, G.; de Groot, K. Biomimetic coatings for bone tissue engineering of critical-sized defects. J. R. Soc. Interface 2010, 7 (Suppl. S5), S631–S647. [Google Scholar] [CrossRef]
- Liu, Y.; Huse, R.O.; de Groot, K.; Buser, D.; Hunziker, E.B. Delivery mode and efficacy of BMP-2 in association with implants. J. Dent. Res. 2007, 86, 84–89. [Google Scholar] [CrossRef] [PubMed]
- Li, Y.; Chen, S.K.; Li, L.; Qin, L.; Wang, X.L.; Lai, Y.X. Bone defect animal models for testing efficacy of bone substitute biomaterials. J. Orthop. Translat. 2015, 3, 95–104. [Google Scholar] [CrossRef] [PubMed] [Green Version]
- Wu, G.; Hunziker, E.B.; Zheng, Y.; Wismeijer, D.; Liu, Y. Functionalization of deproteinized bovine bone with a coating-incorporated depot of BMP-2 renders the material efficiently osteoinductive and suppresses foreign-body reactivity. Bone 2011, 49, 1323–1330. [Google Scholar] [CrossRef] [PubMed]
- Liu, Y.; Layrolle, P.; de Bruijn, J.; van Blitterswijk, C.; de Groot, K. Biomimetic coprecipitation of calcium phosphate and bovine serum albumin on titanium alloy. J. Biomed. Mater. Res. Off. J. Soc. Biomater. Jpn. Soc. Biomater. Aust. Soc. Biomater. Korean Soc. Biomater. 2001, 57, 327–335. [Google Scholar] [CrossRef]
- Schenk, R.K.; Olah, A.J.; Herrmann, W. Preparation of Calcified Tissues for Light Microscopy; Dickson, G.R., Ed.; Methods Calcif. Tissue Prep; Elsevier: Amsterdam, The Netherlands, 1984; pp. 1–56. [Google Scholar]
- Maniatopoulos, C.; Rodriguez, A.; Deporter, D.A.; Melcher, A.H. An improved method for preparing histological sections of metallic implants. Int. J. Oral Maxillofac. Implant. 1986, 1, 31–37. [Google Scholar]
- CRUZ-ORIVE, L.M. Precision of Cavalieri sections and slices with local errors. J. Microsc. 1999, 193, 182–198. [Google Scholar] [CrossRef] [Green Version]
- Wu, G.; Liu, Y.; Iizuka, T.; Hunziker, E.B. The effect of a slow mode of BMP-2 delivery on the inflammatory response provoked by bone-defect-filling polymeric scaffolds. Biomaterials 2010, 31, 7485–7493. [Google Scholar] [CrossRef] [PubMed]
- Liu, Y.; Schouten, C.; Boerman, O.; Wu, G.; Jansen, J.A.; Hunziker, E.B. The kinetics and mechanism of bone morphogenetic protein 2 release from calcium phosphate-based implant-coatings. J. Biomed. Mater. Res. A 2018, 106, 2363–2371. [Google Scholar] [CrossRef] [PubMed]
- Liu, T.; Wu, G.; Zheng, Y.; Wismeijer, D.; Everts, V.; Liu, Y. Cell-mediated BMP-2 release from a novel dual-drug delivery system promotes bone formation. Clin. Oral Implant. Res. 2014, 25, 1412–1421. [Google Scholar] [CrossRef] [PubMed]
- Johansson, C.; Morberg, P. Cutting directions of bone with biomaterials in situ does influence the outcome of histomorphometrical quantifications. Biomaterials 1995, 16, 1037–1039. [Google Scholar] [CrossRef]
- Liu, Y.; Enggist, L.; Kuffer, A.F.; Buser, D.; Hunziker, E.B. The influence of BMP-2 and its mode of delivery on the osteoconductivity of implant surfaces during the early phase of osseointegration. Biomaterials 2007, 28, 2677–2686. [Google Scholar] [CrossRef]
- Kenkre, J.; Bassett, J. The bone remodelling cycle. Ann. Clin. Biochem. 2018, 55, 308–327. [Google Scholar] [CrossRef]

—newly formed bone;
—CHA.
—newly formed bone;
—CHA.

) not in contact with CHA (
).



| Group | N | CHA | BMP-2 | BMP-2 Loaded to CHA |
|---|---|---|---|---|
| 1 | 6 | 0.25 g | - | - |
| 2 | 8 | 0.25 g | 1 µg | coating-incorporated |
| 3 | 8 | 0.25 g | 5 µg | coating-incorporated |
| 4 | 8 | 0.25 g | 10 µg | coating-incorporated |
| 5 | 6 | 0.25 g | 20 µg | coating-incorporated |
| 6 | 6 | 0.25 g | 20 µg | adsorbed |
| 7 | 6 | 0.25 g | 40 µg | coating-incorporated |
| 8 | 6 | 0.25 g | 60 µg | coating-incorporated |
Publisher’s Note: MDPI stays neutral with regard to jurisdictional claims in published maps and institutional affiliations. |
© 2021 by the authors. Licensee MDPI, Basel, Switzerland. This article is an open access article distributed under the terms and conditions of the Creative Commons Attribution (CC BY) license (https://creativecommons.org/licenses/by/4.0/).
Share and Cite
Uijlenbroek, H.J.J.; Lin, X.; Zhang, X.; Deng, L.; Wismeijer, D.; Wang, M.; Wei, L.; Zheng, Y.; Liu, Y. Coralline Hydroxyapatite Coated with a Layer Biomimetic Calcium Phosphate Containing BMP-2 Induces Dose-Related Ectopic Bone Formation in Wistar Rats. Coatings 2021, 11, 1195. https://doi.org/10.3390/coatings11101195
Uijlenbroek HJJ, Lin X, Zhang X, Deng L, Wismeijer D, Wang M, Wei L, Zheng Y, Liu Y. Coralline Hydroxyapatite Coated with a Layer Biomimetic Calcium Phosphate Containing BMP-2 Induces Dose-Related Ectopic Bone Formation in Wistar Rats. Coatings. 2021; 11(10):1195. https://doi.org/10.3390/coatings11101195
Chicago/Turabian StyleUijlenbroek, Henri J. J., Xingnan Lin, Xin Zhang, Liquan Deng, Daniel Wismeijer, Mingjie Wang, Lingfei Wei, Yuanna Zheng, and Yuelian Liu. 2021. "Coralline Hydroxyapatite Coated with a Layer Biomimetic Calcium Phosphate Containing BMP-2 Induces Dose-Related Ectopic Bone Formation in Wistar Rats" Coatings 11, no. 10: 1195. https://doi.org/10.3390/coatings11101195
APA StyleUijlenbroek, H. J. J., Lin, X., Zhang, X., Deng, L., Wismeijer, D., Wang, M., Wei, L., Zheng, Y., & Liu, Y. (2021). Coralline Hydroxyapatite Coated with a Layer Biomimetic Calcium Phosphate Containing BMP-2 Induces Dose-Related Ectopic Bone Formation in Wistar Rats. Coatings, 11(10), 1195. https://doi.org/10.3390/coatings11101195
