Pacemaker Lead Endocarditis Investigated with Intracardiac Echocardiography: Factors Modulating the Size of Vegetations and Larger Vegetation Embolic Risk during Lead Extraction
Abstract
1. Introduction
2. Results
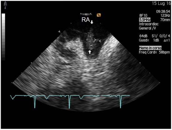
2.1. Mass Features and Associations
2.2. Follow-up
3. Discussion
3.1. Clinical Implications
3.2. Limitations
4. Materials and Methods
4.1. Clinical Management
4.2. Intracardiac Echocardiography
4.3. End Points
4.4. Statistical Analysis
4.5. Ethics Approval and Consent to Participate
5. Conclusions
Author Contributions
Funding
Acknowledgments
Conflicts of Interest
Abbreviations
| ILV | infected lead endocarditis; |
| ICE | intracardiac echocardiography; |
| CDIE | cardiac device-related endocarditis; |
| NBTV | non-bacterial thrombotic vegetation; |
References
- Valzania, C.; Torbica, A.; Tarricone, R.; Leyva, F.; Boriani, G. Implant rates of cardiac implantable electrical devices in Europe: A systematic literature review. Health Policy 2016, 120, 1–15. [Google Scholar] [CrossRef]
- Santacroce, L.; D’Agostino, D.; Charitos, I.A.; Bottalico, L.; Ballini, A. A short review about electrophysiology and bioimpedance: History and perspectives. Indian J. Public Health Res. Dev. 2018, 9, 577–591. [Google Scholar] [CrossRef]
- Sohail, M.R.; Uslan, D.Z.; Khan, A.H.; Friedman, P.A.; Hayes, D.L.; Wilson, W.R.; Baddour, L.M. Management and outcome of permanent pacemaker and implantable cardioverter-defibrillator infections. J. Am. Coll. Cardiol. 2007, 49, 1851–18599. [Google Scholar] [CrossRef]
- Sohail, M.R.; Uslan, D.Z.; Khan, A.H.; Friedman, P.A.; Hayes, D.L.; Wilson, W.R.; Baddour, L.M. Infective endocarditis complicating permanent pacemaker and implantable cardioverter-defibrillator infection. Mayo Clin. Proc. 2008, 83, 46–53. [Google Scholar] [CrossRef]
- Grammes, J.A.; Schulze, C.M.; Al-Bataineh, M.; Yesenosky, G.A.; Saari, C.S.; Vrabel, M.J.; Kutalek, S.P. Percutaneous pacemaker and implantable cardioverter-defibrillator lead extraction in 100 patients with intracardiac vegetations defined by transesophageal echocardiogram. J. Am. Coll. Cardiol. 2010, 55, 886–894. [Google Scholar] [CrossRef] [PubMed]
- Wazni, O.; Epstein, L.M.; Carrillo, R.G.; Love, C.; Adler, S.W.; Riggio, D.W.; Cooper, J.M. Lead extraction in the contemporary setting: The LExICon study: An observational retrospective study of consecutive laser lead extractions. J. Am. Coll. Cardiol. 2010, 55, 579–586. [Google Scholar] [CrossRef] [PubMed]
- Bongiorni, M.G.; Soldati, E.; Zucchelli, G.; Di Cori, A.; Segreti, L.; De Lucia, R.; Mariani, M. Transvenous removal of pacing and implantable cardiac defibrillating leads using single sheath mechanical dilatation and multiple venous approaches: High success rate and safety in more than 2000 leads. Eur. Heart J. 2008, 29, 2886–2893. [Google Scholar] [CrossRef] [PubMed]
- Meier-Ewert, H.K.; Gray, M.-E.; John, R.M. Endocardial pacemaker or defibrillator leads with infected vegetations: A single-center experience and consequences of transvenous extraction. Am. Heart J. 2003, 146, 339–344. [Google Scholar] [CrossRef]
- Robbins, M.J.; Frater, R.W.; Soeiro, R.; Frishman, W.H.; Strom, J.A. Influence of vegetation size on clinical outcome of right-sided infective endocarditis. Am. J. Med. 1986, 80, 165–171. [Google Scholar] [CrossRef]
- Calton, R.; Cameron, D.; Cusimano, R.J.; Merchant, N.; Chauhan, V. Successful Laser-Assisted Removal of an Infected ICD Lead with a Large Vegetation. Pacing Clin. Electrophysiol. 2006, 29, 910–913. [Google Scholar] [CrossRef]
- Golzio, P.G.; Fanelli, A.L.; Vinci, M.; Pelissero, E.; Morello, M.; Grosso Marra, W.; Gaita, F. Lead vegetations in patients with local and systemic cardiac device infections: Prevalence, risk factors, and therapeutic effects. Europace 2013, 15, 89–100. [Google Scholar] [CrossRef] [PubMed]
- Greenspon, A.J.; Le, K.Y.; Prutkin, J.M.; Sohail, M.R.; Vikram, H.R.; Baddour, L.M.; Naber, C. Influence of vegetation size on the clinical presentation and outcome of lead-associated endocarditis: Results from the MEDIC registry. JACC Cardiovasc. Imaging 2014, 7, 541–549. [Google Scholar] [CrossRef] [PubMed]
- Polewczyk, A.; Jachec, W.; Tomaszewski, A.; Brzozowski, W.; Czajkowski, M.; Polewczyk, A.M.; Kutarski, A. Lead-related infective endocarditis: Factors influencing the formation of large vegetations. Europace 2017, 19, 1022–1030. [Google Scholar] [CrossRef] [PubMed]
- Nadra, I.; Dawson, D.; Schmitz, S.A.; Punjabi, P.P.; Nihoyannopoulos, P. Lipomatous hypertrophy of the interatrial septum: A commonly misdiagnosed mass often leading to unnecessary cardiac surgery. Heart 2004, 90, e66. [Google Scholar] [CrossRef] [PubMed]
- Caiati, C.; Pollice, P.; Lepera, M.E.; Luzzi, G.; Favale, S. An Insight Into the Etiology of New Intracardiac Masses (Ghost) After Infected Lead Extraction: A Single-Center Study Performed by Intracardiac Echocardiography. J. Am. Coll. Cardiol. 2018, 71, A358. [Google Scholar] [CrossRef]
- Narducci, M.L.; Pelargonio, G.; Russo, E.; Marinaccio, L.; Di Monaco, A.; Perna, F.; Palmieri, R. Usefulness of intracardiac echocardiography for the diagnosis of cardiovascular implantable electronic device-related endocarditis. J. Am. Coll. Cardiol. 2013, 61, 1398–1405. [Google Scholar] [CrossRef]
- D’Agostino, D.; Losacco, T.; Santacroce, L. Clinical management of the infective endocarditis today. Acta Med. Mediterr. 2012, 28, 321–329. [Google Scholar]
- Rivera, N.T.; Bray, N.; Wang, H.; Zelnick, K.; Osman, A.; Vicuna, R. Rare infection of implantable cardioverter-defibrillator lead with Candida albicans: Case report and literature review. Ther. Adv. Cardiovasc. Dis. 2014, 8, 193–201. [Google Scholar] [CrossRef]
- Falk, R.H.; Alexander, K.M.; Liao, R.; Dorbala, S. AL (Light-Chain) Cardiac Amyloidosis: A Review of Diagnosis and Therapy. J. Am.Coll. Cardiol. 2016, 68, 1323–1341. [Google Scholar] [CrossRef]
- Grundy, S.M.; Benjamin, I.J.; Burke, G.L.; Chait, A.; Eckel, R.H.; Howard, B.V.; Sowers, J.R. Diabetes and cardiovascular disease: A statement for healthcare professionals from the American Heart Association. Circulation 1999, 100, 1134–1146. [Google Scholar] [CrossRef]
- Chiha, M.; Njeim, M.; Chedrawy, E.G. Diabetes and coronary heart disease: A risk factor for the global epidemic. Int. J. Hypertens. 2012, 2012, 697240. [Google Scholar] [CrossRef] [PubMed]
- Carr, M.E. Diabetes mellitus: A hypercoagulable state. J. Diabetes Complicat. 2001, 15, 44–54. [Google Scholar] [CrossRef]
- Wilkoff, B.L.; Love, C.J.; Byrd, C.L.; Bongiorni, M.G.; Carrillo, R.G.; Crossley, G.H.; Schaerf, R.H. Transvenous lead extraction: Heart Rhythm Society expert consensus on facilities, training, indications, and patient management: This document was endorsed by the American Heart Association (AHA). Heart Rhythm. 2009, 6, 1085–1104. [Google Scholar] [CrossRef] [PubMed]
- Stokes, K.; Anderson, J.; McVenes, R.; McClay, C. The encapsulation of polyurethane-insulated transvenous cardiac pacemaker leads. Cardiovasc. Pathol. Off. J. Soc. Cardiovasc. Pathol. 1995, 4, 163–171. [Google Scholar] [CrossRef]
- Freedman, L.R. The pathogenesis of infective endocarditis. J Antimicrob. Chemother. 1987, 20, 1–6. [Google Scholar] [CrossRef]
- D’Agostino, D.; Bottalico, L.; Santacroce, L. Infective endocarditis: What is changed in epidemiology and prophylaxis. Acta Med. Mediterr. 2012, 28, 311–319. [Google Scholar]
- Geerlings, S.E.; Hoepelman, A.I.M. Immune dysfunction in patients with diabetes mellitus (DM). Pathog. Dis. 1999, 26, 259–265. [Google Scholar] [CrossRef]
- Freedman, L.R.; Valone, J., Jr. Experimental infective endocarditis. Prog. Cardiovasc. Dis. 1979, 22, 169–180. [Google Scholar] [CrossRef]
- Polewczyk, A.; Jachec, W.; Polewczyk, A.M.; Tomasik, A.; Janion, M.; Kutarski, A. Infectious complications in patients with cardiac implantable electronic devices: Risk factors, prevention, and prognosis. Pol. Arch. Intern. Med. 2017, 127, 597–607. [Google Scholar] [CrossRef]
- Hook, E.W., 3rd; Sande, M.A. Role of the vegetation in experimental Streptococcus viridans endocarditis. Infect. Immun. 1974, 10, 1433–1438. [Google Scholar]
- Mueller, K.A.L.; Mueller, I.I.; Weig, H.-J.; Doernberger, V.; Gawaz, M. Thrombolysis is an appropriate treatment in lead-associated infective endocarditis with giant vegetations located on the right atrial lead. BMJ Case Rep. 2012, 2012, bcr0920114855. [Google Scholar] [CrossRef]
- Camm, A.J.; Kirchhof, P.; Lip, G.Y.H.; Schotten, U.; Savelieva, I.; Ernst, S.; van Gelder, I.C.; Al-Attar, N.; Hindricks, G.; Prendergast, B.; et al. Guidelines for the management of atrial fibrillation: The Task Force for the Management of Atrial Fibrillation of the European Society of Cardiology (ESC). Europace 2010, 12, 1360–1420. [Google Scholar] [PubMed]
- Becker, K.; Heilmann, C.; Peters, G. Coagulase-negative staphylococci. Clin. Microbiol. Rev. 2014, 27, 870–926. [Google Scholar] [CrossRef] [PubMed]
- Klug, D.; Lacroix, D.; Savoye, C.; Goullard, L.; Grandmougin, D.; Hennequin, J.L.; Lekieffre, J. Systemic infection related to endocarditis on pacemaker leads: Clinical presentation and management. Circulation 1997, 95, 2098–2107. [Google Scholar] [CrossRef]
- Durack, D.T.; Lukes, A.S.; Bright, D.K. New criteria for diagnosis of infective endocarditis: Utilization of specific echocardiographic findings. Duke Endocarditis Service. Am. J. Med. 1994, 96, 200–209. [Google Scholar] [CrossRef]
- Habib, G.; Hoen, B.; Tornos, P.; Thuny, F.; Prendergast, B.; Vilacosta, I.; Moreillon, P.; Antunes, M.D.; Thilen, U.; Lekakis, J.; et al. Guidelines on the prevention, diagnosis, and treatment of infective endocarditis (new version 2009): The Task Force on the Prevention, Diagnosis, and Treatment of Infective Endocarditis of the European Society of Cardiology (ESC). Endorsed by the European Society of Clinical Microbiology and Infectious Diseases (ESCMID) and the International Society of Chemotherapy (ISC) for Infection and Cancer. Eur. Heart J. 2009, 30, 2369–2413. [Google Scholar] [PubMed]
- Victor, F.; De Place, C.; Camus, C.; Le Breton, H.; Leclercq, C.; Pavin, D.; Daubert, C. Pacemaker lead infection: Echocardiographic features, management, and outcome. Heart 1999, 81, 82–87. [Google Scholar] [CrossRef]
- Sanfilippo, A.J.; Picard, M.H.; Newell, J.B.; Rosas, E.; Davidoff, R.; Thomas, J.D.; Weyman, A.E. Echocardiographic assessment of patients with infectious endocarditis: Prediction of risk for complications. J. Am. Coll. Cardiol. 1991, 18, 1191–1199. [Google Scholar] [CrossRef]
- Caruso, G.; Gattone, S.A. Waste Management Analysis in Developing Countries through Unsupervised Classification of Mixed Data. Soc. Sci. 2019, 8, 186. [Google Scholar] [CrossRef]





| Independent Variables | Group 1 (Veg < 1 cm) | Group 2 (Veg ≥ 1 cm) | OR (95%CI) | p Value | |
|---|---|---|---|---|---|
| Age | 75 ± 12 | 67 ± 14 | ns | ||
| Sex, #pts(%) | male | 17 (73.9) | 6 (26.1) | 1 | ns |
| female | 1 (33.3) | 2 (66.7) | 5.67 (0.43–74.38) | ns | |
| BMI | 27.33 ± 4.9 | 29.21 ± 7.1 | − | ns | |
| Cardiac Disease, #pts (%) | prim DCM | 7 (77.8) | 2 (22.2) | − | ns |
| isch DCM | 6 (85.7) | 1 (14.3) | |||
| Infilt HCM | 0 (0.0) | 1 (100) | |||
| Valv dis | 1 (100) | 0 (0.0) | |||
| prim arrhyt | 4 (50) | 4 (50) | |||
| Diabetes, #pts (%) | − | 15 (88.2) | 2 (11.8) | 1 | = 0.008 |
| + | 3 (33.3) | 6 (66.7) | 15 (2.0–113) | ||
| HF, #pts (%) | − | 10 (71.4) | 4 (28.6) | 1 | ns |
| + | 8 (66.7) | 4 (33.3) | 1.2 (0.24–6.6) | ||
| EF | 45 ± 12 | 47 ± 10 | − | ns | |
| CRF, #pts (%) | − | 13 (72.2) | 5 (27.8) | 1 | ns |
| + | 5 (62.5) | 3 (37.5) | 1.6 (0.27–9.1) | ||
| Glomeral filtration rate(mL/m) | 79.33 ± 14 | 73.75 ± 34 | − | ns | |
| Fever, #pts (%) | − | 15 (71) | 6 (29) | 1 | ns |
| + | 3 (60) | 2 (40) | 1.7 (0.22–12.61) | ||
| Blood colture positive, #pts (%) | − | 14 (82) | 3 (18) | 1 | = 0.08 |
| + | 4 (44) | 5 (56) | 5.8 (0.95–35.72) | ||
| pocket infection, #pts (%) | − | 1 (20) | 4 (80) | 1 | = 0.02 |
| + | 17 (81) | 4 (19) | 0.059 (0.005–0.68) | ||
| Inf pocket colture positive, #pts (%) | − | 2 (25) | 6 (75) | 1 | = 0.003 |
| + | 16 (88.9) | 2 (11.1) | 0.042 (0.005–0.37) | ||
| CRP | 17 ± 36 | 12.41 ± 11 | − | ns | |
| ESR | 29.4 ± 22 | 31.1 ± 25 | − | ns | |
| #leads | 2.22 ± 0.6 | 2.13 ± 0.3 | − | ns | |
| lead implantation time(m) | 128 ± 75 | 130 ± 74 | − | ns | |
| COneg St, #pts(%) | − | 15 (83.3) | 3 (16.7) | 1 | = 0.06 |
| + | 3 (37.5) | 5 (62.5) | 8.3 (1.25–55.35) | ||
| Anticoag, #pts (%) | − | 6 (46.2) | 7 (53.8) | 1 | = 0.03 |
| + | 12 (92.3) | 1 (7.7) | 0.071 (0.007–0.72) | ||
© 2019 by the authors. Licensee MDPI, Basel, Switzerland. This article is an open access article distributed under the terms and conditions of the Creative Commons Attribution (CC BY) license (http://creativecommons.org/licenses/by/4.0/).
Share and Cite
Caiati, C.; Pollice, P.; Lepera, M.E.; Favale, S. Pacemaker Lead Endocarditis Investigated with Intracardiac Echocardiography: Factors Modulating the Size of Vegetations and Larger Vegetation Embolic Risk during Lead Extraction. Antibiotics 2019, 8, 228. https://doi.org/10.3390/antibiotics8040228
Caiati C, Pollice P, Lepera ME, Favale S. Pacemaker Lead Endocarditis Investigated with Intracardiac Echocardiography: Factors Modulating the Size of Vegetations and Larger Vegetation Embolic Risk during Lead Extraction. Antibiotics. 2019; 8(4):228. https://doi.org/10.3390/antibiotics8040228
Chicago/Turabian StyleCaiati, Carlo, Paolo Pollice, Mario Erminio Lepera, and Stefano Favale. 2019. "Pacemaker Lead Endocarditis Investigated with Intracardiac Echocardiography: Factors Modulating the Size of Vegetations and Larger Vegetation Embolic Risk during Lead Extraction" Antibiotics 8, no. 4: 228. https://doi.org/10.3390/antibiotics8040228
APA StyleCaiati, C., Pollice, P., Lepera, M. E., & Favale, S. (2019). Pacemaker Lead Endocarditis Investigated with Intracardiac Echocardiography: Factors Modulating the Size of Vegetations and Larger Vegetation Embolic Risk during Lead Extraction. Antibiotics, 8(4), 228. https://doi.org/10.3390/antibiotics8040228

