Synthesis, Antibacterial Activity, and Mechanism of C-6 Aminated β-Carboline Derivatives Against MRSA
Abstract
1. Introduction
2. Results and Discussion
2.1. Synthesis of 6-Aminated β-Carboline Derivatives
2.2. Antimicrobial Activity of Compounds
2.2.1. Antimicrobial Activity
2.2.2. Assessment of Bactericidal Efficacy
2.2.3. Kinetics of the Bactericidal Activity
2.3. Evaluation of the Potential of Resistance Development
2.4. Hemolytic and Cytotoxicity Assay
2.5. Antibacterial Mechanism of 3c, 4e, and 5b
2.5.1. Scanning Electron Microscopic Observation of Bacterial Morphology
2.5.2. Membrane Permeabilization Analysis
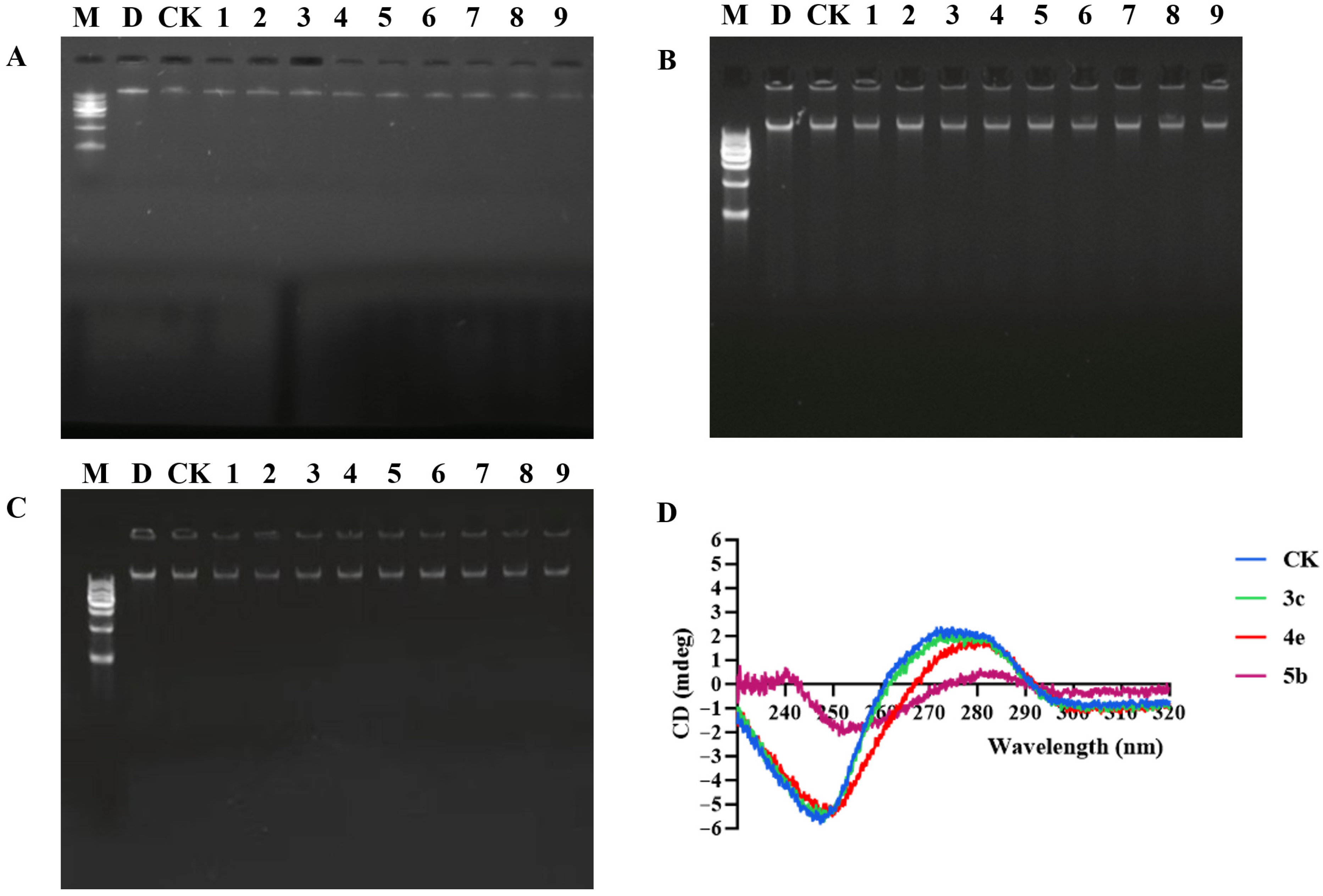
2.5.3. Interaction between Compounds and DNA
2.6. Ability of Compounds against MRSA Biofilms
3. Materials and Methods
3.1. Chemistry Synthesis—General Methods
3.2. Synthesis of Compounds
3.2.1. General Experimental Procedure for the Synthesis of 5-methyl-β-carboline-1-bromide (1)
3.2.2. (2-Bromophenyl)(6-methyl-9H-pyrido [3,4-b]indol-1-yl)methanone (2)
3.2.3. General Procedure for the Synthesis of Compounds 3a–c
(2-Bromophenyl)(6-((butylamino)methyl)-9H-pyrido[3,4-b]indol-1-yl)methanone (3a)
(2-Bromophenyl)(6-((hexylamino)methyl)-9H-pyrido[3,4-b]indol-1-yl)methanone (3b)
(2-Bromophenyl)(6-((octylamino)methyl)-9H-pyrido[3,4-b]indol-1-yl)methanone (3c)
3.2.4. General Procedure for the Synthesis of Compounds 4a–e
3-((1-(2-Bromobenzoyl)-9H-pyrido[3,4-b]indol-6-yl)methyl)-1-methyl-1H-imidazol-3-ium bromide (4a)
3-((1-(2-Bromobenzoyl)-9H-pyrido[3,4-b]indol-6-yl)methyl)-1-ethyl-1H-imidazol-3-ium bromide (4b)
3-((1-(2-Bromobenzoyl)-9H-pyrido[3,4-b]indol-6-yl)methyl)-1-propyl-1H-imidazol-3-ium bromide (4c)
3-((1-(2-Bromobenzoyl)-9H-pyrido[3,4-b]indol-6-yl)methyl)-1-butyl-1H-imidazol-3-ium bromide (4d)
3-((1-(2-Bromobenzoyl)-9H-pyrido[3,4-b]indol-6-yl)methyl)-1-hexyl-1H-imidazol-3-ium bromide (4e)
3.2.5. Synthesis of 1-((1-(2-Bromobenzoyl)-9H-pyrido[3,4-b]indol-6-yl)methyl)pyridinium bromide (5a)
3.2.6. Synthesis of 1-((1-(2-Bromobenzoyl)-9H-pyrido[3,4-b]indol-6-yl)methyl)quinolinium bromide (5b)
3.2.7. General Procedure for the Synthesis of Compounds 6a–f
(2-Bromophenyl)(6-((phenylamino)methyl)-9H-pyrido[3,4-b]indol-1-yl)methanone (6a)
(2-Bromophenyl)(6-((m-tolylamino)methyl)-9H-pyrido[3,4-b]indol-1-yl)methanone (6b)
(2-Bromophenyl)(6-(((2-methoxyphenyl)amino)methyl)-9H-pyrido[3,4-b]indol-1-yl)methanone (6c)
(2-Bromophenyl)(6-(((3-methoxyphenyl)amino)methyl)-9H-pyrido[3,4-b]indol-1-yl)methanone (6d)
(2-Bromophenyl)(6-(((4-methoxyphenyl)amino)methyl)-9H-pyrido[3,4-b]indol-1-yl)methanone (6e)
(2-Bromophenyl)(6-(((3-nitrophenyl)amino)methyl)-9H-pyrido[3,4-b]indol-1-yl)methanone (6f)
3.3. Minimum Inhibitory Concentration (MIC) Assay
3.4. Zeta-Potential Analysis
3.5. Minimum Bactericidal Concentration (MBC) Assay
3.6. Time–Killing Curve Assay
3.7. Resistance Development Assay
3.8. Hemolytic Assay
3.9. Cytotoxicity Assay
3.10. Scanning Electron Microscope (SEM) Observation of Bacterial Morphology
3.11. Flow Cytometry Assay
3.12. Gel Retardation Assay
3.13. Circular Dichroism (CD) Spectroscopy
3.14. Biofilm Observed by SEM
3.15. Biofilm Inhibition by Compounds
3.16. Statistical Analysis
4. Conclusions
Supplementary Materials
Author Contributions
Funding
Institutional Review Board Statement
Informed Consent Statement
Data Availability Statement
Conflicts of Interest
References
- Marshall, B.M.; Levy, S.B. Food Animals and Antimicrobials: Impacts on Human Health. Clin. Microbiol. Rev. 2011, 24, 718–733. [Google Scholar] [CrossRef] [PubMed]
- Cho, S.; Jackson, C.R.; Frye, J.G. The prevalence and antimicrobial resistance phenotypes of Salmonella, Escherichia coli and Enterococcus sp. in surface water. Lett. Appl. Microbiol. 2020, 71, 3–25. [Google Scholar] [CrossRef] [PubMed]
- Michalik, M.; Podbielska-Kubera, A.; Dmowska-Koroblewska, A. Antibiotic Resistance of Staphylococcus aureus Strains—Searching for New Antimicrobial Agents—Review. Pharmaceuticals 2025, 18, 81. [Google Scholar] [CrossRef] [PubMed]
- Kaushik, A.; Kest, H.; Sood, M.; Steussy, B.W.; Thieman, C.; Gupta, S. Biofilm Producing Methicillin-Resistant Staphylococcus aureus (MRSA) Infections in Humans: Clinical Implications and Management. Pathogens 2024, 13, 76. [Google Scholar] [CrossRef]
- Ali Alghamdi, B.; Al-Johani, I.; Al-Shamrani, J.M.; Musamed Alshamrani, H.; Al-Otaibi, B.G.; Almazmomi, K.; Yusnoraini Yusof, N. Antimicrobial resistance in methicillin-resistant Staphylococcus aureus. Saudi J. Biol. Sci. 2023, 30, 103604. [Google Scholar] [CrossRef]
- Nandhini, P.; Kumar, P.; Mickymaray, S.; Alothaim, A.S.; Somasundaram, J.; Rajan, M. Recent Developments in Methicillin-Resistant Staphylococcus aureus (MRSA) Treatment: A Review. Antibiotics 2022, 11, 606. [Google Scholar] [CrossRef]
- Murray, C.J.L.; Ikuta, K.S.; Sharara, F.; Swetschinski, L.; Aguilar, G.R.; Gray, A.; Han, C.; Bisignano, C.; Rao, P.; Wool, E.; et al. Global burden of bacterial antimicrobial resistance in 2019: A systematic analysis. Lancet 2022, 399, 629–655. [Google Scholar] [CrossRef]
- Aggarwal, R.; Mahajan, P.; Pandiya, S.; Bajaj, A.; Verma, S.K.; Yadav, P.; Kharat, A.S.; Khan, A.U.; Dua, M.; Johri, A.K. Antibiotic resistance: A global crisis, problems and solutions. Crit. Rev. Microbiol. 2024, 50, 896–921. [Google Scholar] [CrossRef]
- Song, D.Y.; Hao, J.Y.; Fan, D.M. Biological properties and clinical applications of berberine. Front. Med. 2020, 14, 564–582. [Google Scholar] [CrossRef]
- Chi, X.; Ding, J.; Zhang, Y.; Chen, Y.; Han, Y.; Lin, Y.; Jiang, J. Berberine protects against dysentery by targeting both Shigella filamentous temperature sensitive protein Z and host pyroptosis: Resolving in vitro–vivo effect discrepancy. Phytomedicine 2025, 139, 156517. [Google Scholar] [CrossRef]
- Gatadi, S.; Gour, J.; Nanduri, S. Natural product derived promising anti-MRSA drug leads: A review. Bioorganic Med. Chem. 2019, 27, 3760–3774. [Google Scholar] [CrossRef] [PubMed]
- Heimann, D.; Kohnhäuser, D.; Kohnhäuser, A.J.; Brönstrup, M. Antibacterials with Novel Chemical Scaffolds in Clinical Development. Drugs 2025, 85, 293–323. [Google Scholar] [CrossRef] [PubMed]
- Morrison, K.C.; Hergenrothèr, P.J. Natural products as starting points for the synthesis of complex and diverse compounds. Nat. Prod. Rep. 2014, 31, 6–14. [Google Scholar] [CrossRef] [PubMed]
- Cao, R.; Peng, W.; Wang, Z.; Xu, A. β-Carboline Alkaloids: Biochemical and Pharmacological Functions. Curr. Med. Chem. 2007, 14, 479–500. [Google Scholar] [CrossRef]
- Cabrera, G.M.; Seldes, A.M. A β-Carboline Alkaloid from the Soft Coral Lignopsis spongiosum. J. Nat. Prod. 1999, 62, 759–760. [Google Scholar] [CrossRef]
- Kim, Y.S.; Son, H.J.; Jeong, S.Y. Isolation of an algicide from a marine bacterium and its effects against the toxic dinoflagellate Alexandrium catenella and other harmful algal bloom species. J. Microbiol. 2015, 53, 511–517. [Google Scholar] [CrossRef]
- Segraves, N.L.; Robinson, S.J.; Garcia, D.; Said, S.A.; Fu, X.; Schmitz, F.J.; Pietraszkiewicz, H.; Valeriote, F.A.; Crews, P. Comparison of fascaplysin and related alkaloids: A study of structures, cytotoxicities, and sources. J. Nat. Prod. 2004, 67, 783–792. [Google Scholar] [CrossRef]
- Dos Santos, R.G.; Hallak, J.E.C. Ayahuasca: Pharmacology, safety, and therapeutic effects. CNS Spectr. 2024, 30, e2. [Google Scholar] [CrossRef]
- Li, S.; Zhang, Q.; Wang, Y.; Lin, B.; Li, D.; Hua, H.; Hu, X. β-Carboline alkaloids from the roots of Peganum harmala L. Chin. J. Nat. Med. 2024, 22, 171–177. [Google Scholar] [CrossRef]
- Li, S.-G.; Wang, Y.-T.; Zhang, Q.; Wang, K.-B.; Xue, J.-J.; Li, D.-H.; Jing, Y.-K.; Lin, B.; Hua, H.-M. Pegaharmols A–B, Axially Chiral β-Carboline-quinazoline Dimers from the Roots of Peganum harmala. Org. Lett. 2020, 22, 7522–7525. [Google Scholar] [CrossRef]
- Siddiqui, S.; Yusuf Khan, O.; Faizi, S.; Shaheen Siddiqui, B. Studies in the Chemical Constituents of the Seeds of Pegnum harmala: Isolation and Structure Elucidation of Two β-Carboline Lactams—Harmalanine and Harmalacidine. Heterocycles 1988, 27, 1401–1410. [Google Scholar] [CrossRef]
- Sun, J.; Wang, J.; Wang, X.; Hu, X.; Cao, H.; Bai, J.; Li, D.; Hua, H. Design and synthesis of β-carboline derivatives with nitrogen mustard moieties against breast cancer. Bioorganic Med. Chem. 2021, 45, 116341. [Google Scholar] [CrossRef] [PubMed]
- Yang, Y.; Huang, Y.; Song, H.; Liu, Y.; Wang, L.; Wang, Q. Skeletal modifications of β -carboline alkaloids and their antiviral activity profile. Mol. Divers. 2016, 20, 829–835. [Google Scholar] [CrossRef] [PubMed]
- Dai, J.-K.; Dan, W.-J.; Wan, J.-B. Natural and synthetic β-carboline as a privileged antifungal scaffolds. Eur. J. Med. Chem. 2022, 229, 114057. [Google Scholar] [CrossRef] [PubMed]
- Zhang, J.; Li, L.; Dan, W.; Li, J.; Zhang, Q.; Bai, H.; Wang, J. Synthesis and Antimicrobial Activities of 3-Methyl-β-Carboline Derivatives. Nat. Prod. Commun. 2015, 10, 899–902. [Google Scholar] [CrossRef]
- Moreira, F.M.F.; Croda, J.; Sarragiotto, M.H.; Foglio, M.A.; Ruiz, A.L.T.G.; Carvalho, J.E.; Formagio, A.S.N. Synthesis, in vitro Antiproliferative and Anti-Mycobacterium tuberculosisActivities of Novel β-Carboline Derivatives. J. Braz. Chem. Soc. 2016, 27, 1398–1405. [Google Scholar] [CrossRef]
- Dai, J.K.; Dan, W.J.; Ren, S.Y.; Shang, C.G.; Wang, J.R. Design, synthesis and biological evaluations of quaternization harman analogues as potential antibacterial agents. Eur. J. Med. Chem. 2018, 160, 23–36. [Google Scholar] [CrossRef]
- Liang, Y.; Song, T.; He, B.; Tang, L.; Zhou, D.; He, D. Synthesis and Antibacterial Study of Novel Harmine Derivatives and Tetrahydro-β-Carboline Derivatives In Vitro. Molecules 2022, 27, 2888. [Google Scholar] [CrossRef]
- Lunagariya, N.A.; Gohil, V.M.; Kushwah, V.; Neelagiri, S.; Jain, S.; Singh, S.; Bhutani, K.K. Design, synthesis and biological evaluation of 1,3,6-trisubstituted β-carboline derivatives for cytotoxic and anti-leishmanial potential. Bioorgan. Med. Chem. Lett. 2016, 26, 789–794. [Google Scholar] [CrossRef]
- Richter, M.F.; Drown, B.S.; Riley, A.P.; Garcia, A.; Shirai, T.; Svec, R.L.; Hergenrother, P.J. Predictive compound accumulation rules yield a broad—Spectrum antibiotic. Nature 2017, 545, 299–304. [Google Scholar] [CrossRef]
- Vo, H.C.; Le, D.T.; Nguyen, M.C.; Tran, L.V.H.; Long, T.H.; La, V.H.; Le, Q.T.; That, Q.T.; Tran, L.; Thai, K.M.; et al. Pyridinium alkaloids-a unique class of naturally occurring salt-form secondary metabolites: A comprehensive review of 68 years (1958-mid-2025). Phytochemistry 2026, 246, 114806. [Google Scholar] [CrossRef] [PubMed]
- Yong, M.; Kok, Z.Y.; Koh, C.H.; Zhong, W.B.; Ng, J.T.; Mu, Y.G.; Chan-Park, M.B.; Gan, Y.H. Membrane Potential-Dependent Uptake of Cationic Oligoimidazolium Mediates Bacterial DNA Damage and Death. Antimicrob. Agents Chemother. 2023, 67, e00355-23. [Google Scholar] [CrossRef] [PubMed]
- Rodríguez-Prieto, T.; Popp, P.F.; Copa-Patiño, J.L.; Mata, F.J.d.l.; Cano, J.; Mascher, T.; Gómez, R. Silver (I) N-Heterocyclic Carbenes Carbosilane Dendritic Systems and Their Imidazolium-Terminated Analogues as Antibacterial Agents: Study of Their Mode of Action. Pharmaceutics 2020, 12, 968. [Google Scholar] [CrossRef]
- Wang, X.; Qiu, H.D.; Yang, N.; Xie, H.J.; Liang, W.D.; Lin, J.Y.; Zhu, H.F.; Zhou, Y.; Wang, N.; Tan, X.Y.; et al. Fascaplysin derivatives binding to DNA via unique cationic five-ring coplanar backbone showed potent antimicrobial/antibiofilm activity against MRSA in vitro and in vivo. Eur. J. Med. Chem. 2022, 230, 114099. [Google Scholar] [CrossRef] [PubMed]
- Zhao, X.; Cao, X.Y.; Qiu, H.D.; Liang, W.D.; Jiang, Y.L.; Wang, Q.; Wang, W.L.; Li, C.X.; Li, Y.; Han, B.W.; et al. Rational molecular design converting fascaplysin derivatives to potent broad-spectrum inhibitors against bacterial pathogens via targeting FtsZ. Eur. J. Med. Chem. 2024, 270, 116347. [Google Scholar] [CrossRef]
- Dobrzyńska, D.; Kubiak, J.; Janczak, J.; Zoń, J. Supramolecular networks formation in crystals of 3-carboxybenzylphosphonic acid, its complexes and salts: From coordination bonds to weak intermolecular interactions. RSC Adv. 2013, 3, 23119–23127. [Google Scholar] [CrossRef]
- Qiu, H.; Liang, W.; Zhang, G.; Lin, M.; Liu, W.; Gao, Z.; Wei, W.; Tang, C.; Jin, H.; Liang, H.; et al. Aerobic Oxidation of Methyl-substituted β-Carbolines Catalyzed by N-Hydroxyphthalimide and Metal Catalyst. ChemistrySelect 2018, 3, 12363–12366. [Google Scholar] [CrossRef]
- Zhang, Z.; Zheng, K.; Xia, T.; Xu, L.; Cao, R. Ni3 versus Ni30: A Truncated Octahedron Metal–Organic Cage Constructed with [Ni5(CN)4]6+ Squares and Tripodal Tris-tacn Ligands That are Large and Flexible. Chem.–A Eur. J. 2016, 22, 17576–17580. [Google Scholar] [CrossRef]
- Castillo, J.C.; Orrego-Hernández, J.; Portilla, J. Cs2CO3-Promoted Direct N-Alkylation: Highly Chemoselective Synthesis of N-Alkylated Benzylamines and Anilines. Eur. J. Org. Chem. 2016, 2016, 3824–3835. [Google Scholar] [CrossRef]
- Dang, P.; Zeng, W.; Liang, Y. Copper-Catalyzed Three-Component Synthesis of Benzothiazolethiones from o-Iodoanilines, Isocyanide, and Potassium Sulfide. Org. Lett. 2014, 17, 34–37. [Google Scholar] [CrossRef]
- Hugar, K.M.; Kostalik, H.A.; Coates, G.W. Imidazolium Cations with Exceptional Alkaline Stability: A Systematic Study of Structure–Stability Relationships. J. Am. Chem. Soc. 2015, 137, 8730–8737. [Google Scholar] [CrossRef] [PubMed]
- Jensen, A.W.; Moore, J.M.; Kimble, M.V.; Ausmus, A.P.; Dilling, W.L. Pyridinium oxidations of benzyl alcohol under microwave-assisted retro-ene conditions. Tetrahedron Lett. 2016, 57, 5636–5638. [Google Scholar] [CrossRef]
- Khan, F.A.K.; Patil, R.H.; Shinde, D.B.; Sangshetti, J.N. Bacterial Peptide deformylase inhibition of cyano substituted biaryl analogs: Synthesis, in vitro biological evaluation, molecular docking study and in silico ADME prediction. Bioorgan. Med. Chem. 2016, 24, 3456–3463. [Google Scholar] [CrossRef] [PubMed]
- Zheng, Z.Q.; Xu, Q.M.; Guo, J.N.; Qin, J.; Mao, H.L.; Wang, B.; Yan, F. Structure-Antibacterial Activity Relationships of Imidazolium-Type Ionic Liquid Monomers, Poly (ionic liquids) and Poly (ionic liquid) Membranes: Effect of Alkyl Chain Length and Cations. ACS Appl. Mater. Interfaces 2016, 8, 12684–12692. [Google Scholar] [CrossRef]
- Matulis, D.; Rouzina, I.; Bloomfield, V.A. Thermodynamics of cationic lipid binding to DNA and DNA condensation: Roles of electrostatics and hydrophobicity. J. Am. Chem. Soc. 2002, 124, 7331–7342. [Google Scholar] [CrossRef]
- Zheng, Z.P.; Hu, J.; Sun, D.W.; Huang, K.C.; Li, X.S.; Sun, J.X.; Bai, W.B. Structural and functional properties of common natural organic cations. Phytomedicine 2025, 141, 156662. [Google Scholar] [CrossRef]
- Ghai, I. Electrophysiological Insights into Antibiotic Translocation and Resistance: The Impact of Outer Membrane Proteins. Membranes 2024, 14, 161. [Google Scholar] [CrossRef]
- Oh, J.; Choi, S.M.; Yun, Y.J.; Choi, J.; Barron, A.E.; Park, K.H.; Seo, J. Local enhancement of cationic charge density via polyamine side chain incorporation improves the selectivity of antimicrobial peptoids. Eur. J. Med. Chem. 2025, 297, 117920. [Google Scholar] [CrossRef]
- Bisht, R.; Charlesworth, P.D.; Sperandeo, P.; Polissi, A. Breaking Barriers: Exploiting Envelope Biogenesis and Stress Responses to Develop Novel Antimicrobial Strategies in Gram-Negative Bacteria. Pathogens 2024, 13, 889. [Google Scholar] [CrossRef]
- Li, J.J.; Cheng, F.S.; Wei, X.J.; Bai, Y.B.; Wang, Q.; Li, B.; Zhou, Y.X.; Zhai, B.T.; Zhou, X.Z.; Wang, W.W.; et al. Methicillin-Resistant Staphylococcus aureus (MRSA): Resistance, Prevalence, and Coping Strategies. Antibiotics 2025, 14, 771. [Google Scholar] [CrossRef]
- Deng, J.J.; Zhang, T.; Li, B.Q.; Xu, M.Y.; Wang, Y.Z. Design, synthesis and biological evaluation of biphenyl-benzamides as potent FtsZ inhibitors. Eur. J. Med. Chem. 2022, 239, 114553. [Google Scholar] [CrossRef]
- Davey, H.M.; Hexley, P. Red but not dead? Membranes of stressed Saccharomyces cerevisiae are permeable to propidium iodide. Environ. Microbiol. 2011, 13, 163–171. [Google Scholar] [CrossRef] [PubMed]
- Li, L.R.; Shi, Y.H.; Su, G.F.; Le, G.W. Selectivity for and destruction of Salmonella typhimurium via a membrane damage mechanism of a cell-penetrating peptide ppTG20 analogue. Int. J. Antimicrob. Agents 2012, 40, 337–343. [Google Scholar] [CrossRef] [PubMed]
- Sträuber, H.; Müller, S. Viability states of bacteria—Specific mechanisms of selected probes. Cytom. Part A 2010, 77A, 623–634. [Google Scholar] [CrossRef] [PubMed]
- Wang, L.H.; Wang, M.S.; Zeng, X.A.; Zhang, Z.H.; Gong, D.M.; Huang, Y.B. Membrane Destruction and DNA Binding of Staphylococcus aureus Cells Induced by Carvacrol and Its Combined Effect with a Pulsed Electric Field. J. Agric. Food Chem. 2016, 64, 6355–6363. [Google Scholar] [CrossRef]
- Manna, A.; Chakravorti, S. Modification of a Styryl Dye Binding Mode with Calf Thymus DNA in Vesicular Medium: From Minor Groove to Intercalative. J. Phys. Chem. B 2012, 116, 5226–5233. [Google Scholar] [CrossRef]
- Kypr, J.; Kejnovská, I.; Renciuk, D.; Vorlícková, M. Circular dichroism and conformational polymorphism of DNA. Nucleic Acids Res. 2009, 37, 1713–1725. [Google Scholar] [CrossRef]
- Banerjee, T.; Dubey, P.; Mukhopadhyay, R. Compacting effect of BBR3464, a new-generation trisplatinum anticancer agent, on DNA. Biochimie 2010, 92, 846–851. [Google Scholar] [CrossRef]
- de la Fuente-Núñez, C.; Reffuveille, F.; Haney, E.F.; Straus, S.K.; Hancock, R.E.W. Broad-Spectrum Anti-biofilm Peptide That Targets a Cellular Stress Response. PLoS Pathog. 2014, 10, e1004152. [Google Scholar] [CrossRef]
- Maciejewska, B.; Gula, G.; Boloz, A.; Czogalla, A.; Kogut, M.; Czub, J.; Kumar, M.; Oleksy, S.; Hinc, P.; Tournebize, R.; et al. Exploring the Intrinsic Antimicrobial Activity of Klebsiella Phage KP27 Endopeptidase Against Pseudomonas aeruginosa: Insights into Membrane Interactions Using Experimental and computational Approaches. J. Mol. Biol. 2025, 437, 169491. [Google Scholar] [CrossRef]
- Wang, Q.; Yang, Y.X.; Dong, X.X.; Wang, H.; Ding, L.J.; Wang, X. Design of a Novel Lysine Isopeptide 1018KI11 with Potent Antimicrobial Activity as a Safe and Stable Food Preservative Candidate. J. Agric. Food Chem. 2024, 72, 7894–7905. [Google Scholar] [CrossRef]
- Ning, Y.W.; Yan, A.H.; Yang, K.; Wang, Z.X.; Li, X.F.; Jia, Y.M. Antibacterial activity of phenyllactic acid against Listeria monocytogenes and Escherichia coli by dual mechanisms. Food Chem. 2017, 228, 533–540. [Google Scholar] [CrossRef]
- Thongin, T.; Sawatdee, S.; Songnaka, N.; Uchiyama, J.; Wiwasuku, T.; Srichana, T.; Nakpheng, T.; Atipairin, A. Synergistic Antimicrobial Activity of BrSPR20-P1 Peptide and Silver Nanoparticles Against Pathogenic Bacteria. Int. J. Mol. Sci. 2025, 26, 7832. [Google Scholar] [CrossRef]
- Geng, J.; Yuan, P.; Shao, C.; Yu, S.B.; Zhou, B.; Zhou, P.; Chen, X.D. Bacterial melanin interacts with double-stranded DNA with high affinity and may inhibit cell metabolism in vivo. Arch. Microbiol. 2010, 192, 321–329. [Google Scholar] [CrossRef]
- Endo, E.H.; Costa, G.M.; Makimori, R.Y.; Ueda-Nakamura, T.; Nakamura, C.V.; Filho, B.P.D. Anti-biofilm activity of Rosmarinus officinalis, Punica granatum and Tetradenia riparia against methicillin-resistant Staphylococcus aureus (MRSA) and synergic interaction with penicillin. J. Herb. Med. 2018, 14, 48–54. [Google Scholar] [CrossRef]
- de Breij, A.; Riool, M.; Cordfunke, R.A.; Malanovic, N.; de Boer, L.; Koning, R.I.; Ravensbergen, E.; Franken, M.; van der Heijde, T.; Boekema, B.K.; et al. The antimicrobial peptide SAAP-148 combats drug-resistant bacteria and biofilms. Sci. Transl. Med. 2018, 10, eaan4044. [Google Scholar] [CrossRef]







| MIC (μg/mL) | ||||
|---|---|---|---|---|
| MRSA ATCC43300 a | B. subtilis BNCC336690 b | E. coli ATCC25922 c | P. aeruginosa BNCC337940 d | |
| 3a | 25 | 50 | >200 | >200 |
| 3b | 6.25 | 6.25 | >200 | >200 |
| 3c | 1.56 | 3.125 | >200 | >200 |
| 4a | 50 | 100 | >200 | >200 |
| 4b | 50 | 100 | >200 | >200 |
| 4c | 25 | 50 | >200 | >200 |
| 4d | 12.5 | 25 | >200 | >200 |
| 4e | 6.25 | 12.5 | >200 | >200 |
| 5a | 100 | 200 | >200 | >200 |
| 5b | 12.5 | 25 | >200 | >200 |
| 6a | >200 | >200 | >200 | >200 |
| 6b | >200 | >200 | >200 | >200 |
| 6c | >200 | >200 | >200 | >200 |
| 6d | >200 | >200 | >200 | >200 |
| 6e | >200 | >200 | >200 | >200 |
| 6f | >200 | >200 | >200 | >200 |
| Van e | 1 | 0.39 | NT | NT |
| Col f | NT g | NT | 1.56 | 1.56 |
| Compound | MIC (μg/mL) | MBC (μg/mL) | MBC/MIC |
|---|---|---|---|
| 3c | 1.56 | 25 | 16 |
| 4e | 6.25 | 12.5 | 2 |
| 5b | 12.5 | 25 | 2 |
| Van | 0.78 | 3.125 | 4 |
Disclaimer/Publisher’s Note: The statements, opinions and data contained in all publications are solely those of the individual author(s) and contributor(s) and not of MDPI and/or the editor(s). MDPI and/or the editor(s) disclaim responsibility for any injury to people or property resulting from any ideas, methods, instructions or products referred to in the content. |
© 2026 by the authors. Licensee MDPI, Basel, Switzerland. This article is an open access article distributed under the terms and conditions of the Creative Commons Attribution (CC BY) license.
Share and Cite
Wei, Q.; Liang, W.; Qiu, H.; Zhao, X.; Li, Y.; Ouyang, H.; Han, B.; Zhao, L.; Wang, X.; Liang, H. Synthesis, Antibacterial Activity, and Mechanism of C-6 Aminated β-Carboline Derivatives Against MRSA. Antibiotics 2026, 15, 339. https://doi.org/10.3390/antibiotics15040339
Wei Q, Liang W, Qiu H, Zhao X, Li Y, Ouyang H, Han B, Zhao L, Wang X, Liang H. Synthesis, Antibacterial Activity, and Mechanism of C-6 Aminated β-Carboline Derivatives Against MRSA. Antibiotics. 2026; 15(4):339. https://doi.org/10.3390/antibiotics15040339
Chicago/Turabian StyleWei, Qiuran, Weida Liang, Hongda Qiu, Xing Zhao, Yang Li, Han Ouyang, Bowen Han, Lingling Zhao, Xiao Wang, and Hongze Liang. 2026. "Synthesis, Antibacterial Activity, and Mechanism of C-6 Aminated β-Carboline Derivatives Against MRSA" Antibiotics 15, no. 4: 339. https://doi.org/10.3390/antibiotics15040339
APA StyleWei, Q., Liang, W., Qiu, H., Zhao, X., Li, Y., Ouyang, H., Han, B., Zhao, L., Wang, X., & Liang, H. (2026). Synthesis, Antibacterial Activity, and Mechanism of C-6 Aminated β-Carboline Derivatives Against MRSA. Antibiotics, 15(4), 339. https://doi.org/10.3390/antibiotics15040339

