Optimization of Pyocyanin Production by Pseudomonas aeruginosa OG1 Using RSM: In Vitro Evaluation of Its Antibacterial and Anticandidal Efficacy Against Some Pathogens
Abstract
1. Introduction
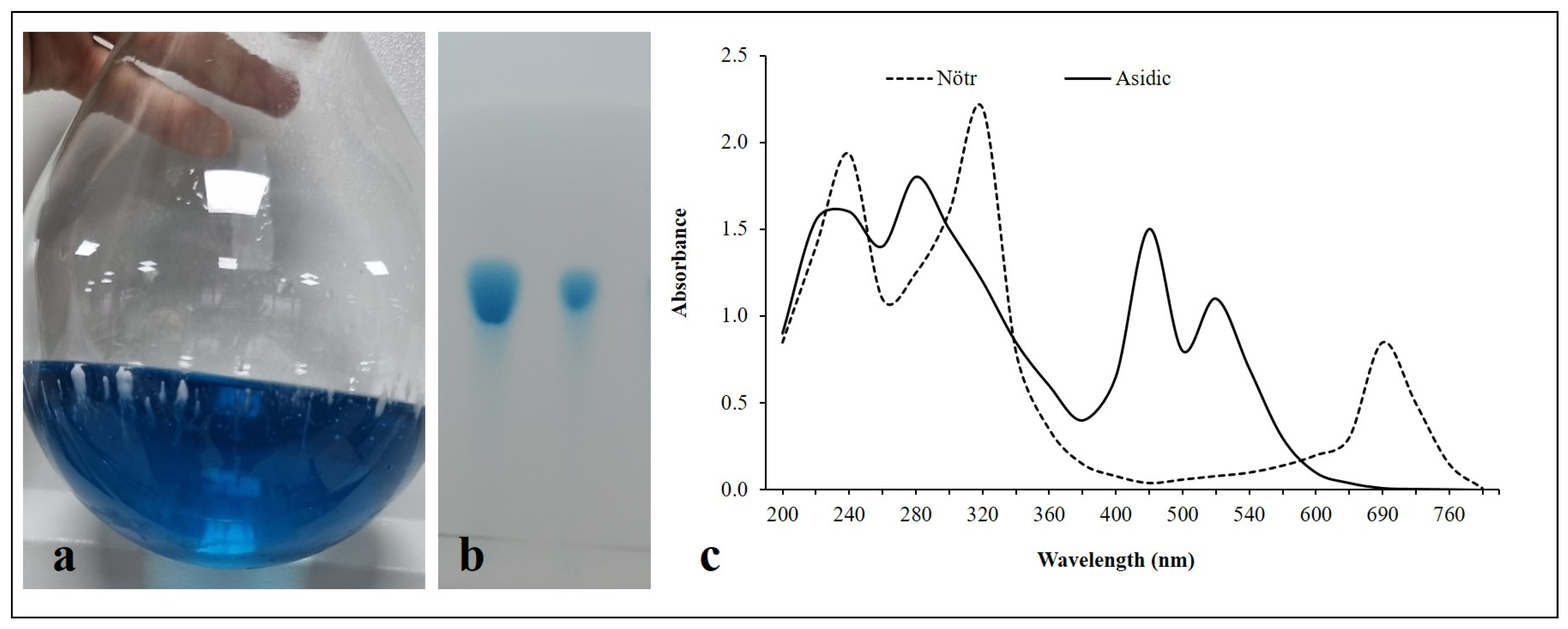
2. Results and Discussion
3. Materials and Methods
3.1. Bacterial Strain and Inoculum Preparation
3.2. Experimental Design and Optimization Variables
3.3. Pyocyanin Quantification
3.4. Purification and Characterization of Pyocyanin
3.5. Antimicrobial Activity Assay
3.6. Statistical Analysis
4. Conclusions
Author Contributions
Funding
Institutional Review Board Statement
Informed Consent Statement
Data Availability Statement
Acknowledgments
Conflicts of Interest
References
- Bhagwat, A.; Padalia, U. Optimization of prodigiosin biosynthesis by Serratia marcescens using unconventional bioresources. J. Genet. Eng. Biotechnol. 2020, 18, 26. [Google Scholar] [CrossRef]
- Kumar, A.; Dixit, U.; Singh, K.; Gupta, S.P.; Beg, M.S.J. Structure and properties of dyes and pigments. In Dyes and Pigments-novel Applications and Waste Treatment; IntechOpen: London, UK, 2021; Volume 131. [Google Scholar] [CrossRef]
- Dave, S.; Das, J.; Varshney, B.; Sharma, V.P. Dyes and pigments: Interventions and how safe and sustainable are colors of life!!! In Trends and Contemporary Technologies for Photocatalytic Degradation of Dyes, 2nd ed.; Dave, S., Das, J., Eds.; Environmental Science and Engineering; Springer: Cham, Switzerland, 2022; pp. 1–20. [Google Scholar] [CrossRef]
- Ozdal, M. A new strategy for the efficient production of pyocyanin, a versatile pigment, in Pseudomonas aeruginosa OG1 via toluene addition. 3 Biotech 2019, 9, 374. [Google Scholar] [CrossRef] [PubMed]
- Poorniammal, R.; Prabhu, S.; Dufossé, L.; Kannan, J. Safety evaluation of fungal pigments for food applications. J. Fungi 2021, 7, 692. [Google Scholar] [CrossRef] [PubMed]
- Gahlout, M.; Chauhan, P.B.; Prajapati, H.; Tandel, N.; Rana, S.; Solanki, D.; Patel, N. Characterization, application and statistical optimization approach for enhanced production of pyocyanin pigment by Pseudomonas aeruginosa DN9. Syst. Microbiol. Biomanuf. 2021, 1, 459–470. [Google Scholar] [CrossRef]
- Marey, M.A.; Abozahra, R.; El-Nikhely, N.A.; Kamal, M.F.; Abdelhamid, S.M.; El-Kholy, M.A. Transforming microbial pigment into therapeutic revelation: Extraction and characterization of pyocyanin from Pseudomonas aeruginosa and its therapeutic potential as an antibacterial and anticancer agent. Microb. Cell Factories 2024, 23, 174. [Google Scholar] [CrossRef]
- DeBritto, S.; Gajbar, T.D.; Satapute, P.; Sundaram, L.; Lakshmikantha, R.Y.; Jogaiah, S.; Ito, S.I. Isolation and characterization of nutrient dependent pyocyanin from Pseudomonas aeruginosa and its dye and agrochemical properties. Sci. Rep. 2020, 10, 1542. [Google Scholar] [CrossRef]
- Abdelaziz, A.A.; Kamer, A.M.A.; Al-Monofy, K.B.; Al-Madboly, L.A. Pseudomonas aeruginosa’s greenish-blue pigment pyocyanin: Its production and biological activities. Microb. Cell Fact. 2023, 22, 110. [Google Scholar] [CrossRef]
- Dawoud, T.M.; Alharbi, N.S.; Theruvinthalakal, A.M.; Thekkangil, A.; Kadaikunnan, S.; Khaled, J.M.; Almanaa, T.N.; Sankar, K.; Innasimuthu, G.M.; Alanzi, K.F.; et al. Characterization and antifungal activity of the yellow pigment produced by a Bacillus sp. DBS4 isolated from the lichen Dirinaria agealita. Saudi J. Biol. Sci. 2020, 27, 1403–1411. [Google Scholar] [CrossRef]
- Bozhuyuk, F.M.; Ozdal, M. Characterization of melanin from the fungus Scolecobasidium musae and its antioxidant and photoprotective properties. Arch. Microbiol. 2025, 207, 77. [Google Scholar] [CrossRef]
- Marrez, D.A.; Mohamad, H.S. Biological activity and applications of pyocyanin produced by Pseudomonas aeruginosa. J. Biomed. Sci. 2020, 1, 140–144. [Google Scholar]
- Wood, S.J.; Goldufsky, J.W.; Seu, M.Y.; Dorafshar, A.H.; Shafikhani, S.H. Pseudomonas aeruginosa cytotoxins: Mechanisms of cytotoxicity and impact on inflammatory responses. Cells 2023, 12, 195. [Google Scholar] [CrossRef] [PubMed]
- Koyun, M.T.; Sirin, S.; Erdem, S.A.; Aslim, B. Pyocyanin isolated from Pseudomonas aeruginosa: Characterization, biological activity and its role in cancer and neurodegenerative diseases. Braz. Arch. Biol. Technol. 2022, 65, e20210651. [Google Scholar] [CrossRef]
- Oves, M.; Khan, M.S.; Al-Shaeri, M.; Khan, M.S. Antifungal potential of multi-drug-resistant Pseudomonas aeruginosa: Harnessing pyocyanin for candida growth inhibition. Front. Cell. Infect. Microbiol. 2024, 14, 1375872. [Google Scholar] [CrossRef] [PubMed]
- Hamad, M.N.; Marrez, D.A.; El-Sherbieny, S.M. Toxicity evaluation and antimicrobial activity of purified pyocyanin from Pseudomonas aeruginosa. Biointerface Res. Appl. Chem. 2020, 10, 6974–6990. [Google Scholar] [CrossRef]
- Czajka, K.M.; Venkataraman, K.; Brabant-Kirwan, D.; Santi, S.A.; Verschoor, C.; Appanna, V.D.; Singh, R.; Saunders, D.P.; Tharmalingam, S. Molecular mechanisms associated with antifungal resistance in pathogenic Candida species. Cells 2023, 12, 2655. [Google Scholar] [CrossRef]
- Mudaliar, S.B.; Bharath Prasad, A.S. A biomedical perspective of pyocyanin from Pseudomonas aeruginosa: Its applications and challenges. World J. Microbiol. Biotechnol. 2024, 40, 90. [Google Scholar] [CrossRef]
- Saeed Al-Azzawi, Y.R.; Kareem, G.G.; Hussein, Z.A.; Hassan, S.S. Study the antimicrobial and antifungal effects on clinical isolates, and molecular detection of Pseudomonas aeruginosa pyocyanin. Front. Health Inform. 2024, 13, 930–939. [Google Scholar]
- Srivastava, P.; Ramesh, M.; Kaushik, P.; Kumari, A.; Aggarwal, S. Pyocyanin pigment from Pseudomonas species: Source of a dye and antimicrobial textile finish—A review. Proc. Indian Natl. Sci. Acad. 2022, 88, 542–550. [Google Scholar] [CrossRef]
- Barreto, J.V.D.O.; Casanova, L.M.; Junior, A.N.; Reis-Mansur, M.C.P.P.; Vermelho, A.B. Microbial pigments: Major groups and industrial applications. Microorganisms 2023, 11, 2920. [Google Scholar] [CrossRef]
- Elbargisy, R.M. Optimization of nutritional and environmental conditions for pyocyanin production by urine isolates of Pseudomonas aeruginosa. Saudi J. Biol. Sci. 2021, 28, 993–1000. [Google Scholar] [CrossRef]
- Panwar, A.; Kumar, M.; Singh, V.K.; Pal, A.; Yadav, M.; Mehrotra, S.; Manna, S. Production and characterization of novel pigmented secondary metabolites by endophytic Pseudomonas sp. strain Anjali MT-02 (PQ098594) isolated from Mentha piperita. Curr. Microbiol. 2025, 82, 597. [Google Scholar] [CrossRef] [PubMed]
- El-Zawawy, N.A.; Kenawy, E.R.; Ahmed, S.; El-Sapagh, S. Bioproduction and optimization of newly characterized melanin pigment from Streptomyces djakartensis NSS-3 with its anticancer, antimicrobial, and radioprotective properties. Microb. Cell Factories 2024, 23, 23. [Google Scholar] [CrossRef] [PubMed]
- Winnifrith, A.; Brown, S.R.; Jedryszek, P.; Grant, C.; Kay, P.E.; Thomas, A.M.; Bradbury, J.D.; Lanyon-Hogg, T. Development of a fluorescence-based assay for RecBCD activity using functional data analysis and design of experiments. RSC Chem. Biol. 2025, 6, 772–779. [Google Scholar] [CrossRef] [PubMed]
- Lamidi, S.; Olaleye, N.; Bankole, Y.; Obalola, A.; Aribike, E.; Adigun, I. Applications of Response Surface Methodology (RSM) in Product Design, Development, and Process Optimization. In Response Surface Methodology—Research Advances and Applications; IntechOpen: London, UK, 2023. [Google Scholar] [CrossRef]
- Olabinjo, O.O. Response surface techniques as an inevitable tool in optimization process. In Response Surface Methods-Theory, Applications and Optimization Techniques; IntechOpen: London, UK, 2024. [Google Scholar] [CrossRef]
- Nosair, A.M.; Abdelaziz, A.A.; Abo-Kamer, A.M.; Al-Madboly, L.A.; Farghali, M.H. Nutritional optimization for bioprocess production of staphyloxanthin from Staphylococcus aureus with response surface methodology: Promising anticancer scaffold targeting EGFR inhibition. Microb. Cell Fact. 2025, 24, 99. [Google Scholar] [CrossRef]
- Hangri, S.; Derbal, K.; Benalia, A.; Policastro, G.; Panico, A.; Pizzi, A. Enhancing biomethane yield from microalgal biomass via enzymatic hydrolysis: Optimization and predictive modeling using RSM approach. Processes 2025, 13, 2086. [Google Scholar] [CrossRef]
- Serafim, B.; Bernardino, A.R.; Freitas, F.; Torres, C.A. Recent developments in the biological activities, bioproduction, and applications of Pseudomonas spp. phenazines. Molecules 2023, 28, 1368. [Google Scholar] [CrossRef]
- Patil, S.; Nikam, M.; Patil, H.; Anokhina, T.; Kochetkov, V.; Chaudhari, A. Bioactive pigment production by Pseudomonas spp. MCC 3145: Statistical media optimization, biochemical characterization, fungicidal and DNA intercalation-based cytostatic activity. Proc. Biochem. 2017, 58, 298–305. [Google Scholar] [CrossRef]
- Gürkök, S.; Özdal, M. Effect of toluene addition on pyocyanin production in the presence of different carbon sources. Anatol. J. Biol. 2022, 3, 25–27. [Google Scholar]
- Essar, D.W.; Eberly, L.E.; Hadero, A.; Crawford, I.P. Identification and characterization of genes for a second anthranilate synthase in Pseudomonas aeruginosa: Interchangeability of the two anthranilate synthases and evolutionary implications. J. Bacteriol. 1990, 172, 884–900. [Google Scholar] [CrossRef]
- Cheluvappa, R. Standardized chemical synthesis of Pseudomonas aeruginosa pyocyanin. MethodsX 2014, 1, 67–73. [Google Scholar] [CrossRef][Green Version]
- Shouman, H.; Said, H.S.; Kenawy, H.I.; Hassan, R. Molecular and biological characterization of pyocyanin from clinical and environmental Pseudomonas aeruginosa. Microb. Cell. Factories 2023, 22, 166. [Google Scholar] [CrossRef]
- Hassan, H.M.; Fridovich, I. Mechanism of the antibiotic action of pyocyanine. J. Bacteriol. 1980, 141, 156–163. [Google Scholar] [CrossRef]
- Jayaseelan, S.; Ramaswamy, D.; Dharmaraj, S. Pyocyanin: Production, applications, challenges and new insights. World J. Microbiol. Biotechnol. 2014, 30, 1159–1168. [Google Scholar] [CrossRef] [PubMed]
- Hernandez, M.E.; Kappler, A.; Newman, D.K. Phenazines and other redox-active antibiotics promote microbial mineral reduction. Appl. Environ. Microbiol. 2004, 70, 921–928. [Google Scholar] [CrossRef] [PubMed]
- Devnath, P.; Uddin, M.K.; Ahmed, F.; Hossain, M.T.; Manchur, M.A. Extraction, purification and characterization of pyocyanin produced by Pseudomonas aeruginosa and evaluation for its antimicrobial activity. Int. Res. J. Biol. Sci. 2017, 6, 1–9. [Google Scholar]
- Eltarahony, M.M.; Younis, S.S.; Abdel Salam, S.A.; Arafa, F.M. An insight into pyocyanin: Production, characterization, and evaluation of its in vitro antibacterial, antifungal, antibiofilm and in vivo anti-schistosomal potency. BMC Microbiol. 2025, 25, 532. [Google Scholar] [CrossRef]
- Thukkaram, S.; Muthukrishnan, L. Production, characterization and biomedical application of pyocyanin pigment produced by competent Pseudomonas species. Process Biochem. 2024, 140, 32–44. [Google Scholar] [CrossRef]
- Kamer, A.M.A.; Abdelaziz, A.A.; Al-Monofy, K.B.; Al-Madboly, L.A. Antibacterial, antibiofilm, and anti-quorum sensing activities of pyocyanin against methicillin-resistant Staphylococcus aureus: In vitro and in vivo study. BMC Microbiol. 2023, 23, 116. [Google Scholar] [CrossRef]
- CLSI. Performance Standards for Antimicrobial Disk Susceptibility Tests, 14th ed.; CLSI standard M02; Clinical and Laboratory Standards Institute: Wayne, PA, USA, 2024; pp. 1–80. [Google Scholar]





| Run No. | Glycerol (A) (% w/v) | Peptone (B) (g/L) | pH (C) | Pyocyanin (mg/L) |
|---|---|---|---|---|
| 1 | 0.5 | 8 | 7 | 6.4 |
| 2 | 1.5 | 8 | 7 | 10.7 |
| 3 | 0.5 | 24 | 7 | 9.9 |
| 4 | 1.5 | 24 | 7 | 16.5 |
| 5 | 0.5 | 16 | 6 | 8.3 |
| 6 | 1.5 | 16 | 6 | 12.9 |
| 7 | 0.5 | 16 | 8 | 11.1 |
| 8 | 1.5 | 16 | 8 | 18.5 |
| 9 | 1.0 | 8 | 6 | 9.1 |
| 10 | 1.0 | 24 | 6 | 14.0 |
| 11 | 1.0 | 8 | 8 | 13.0 |
| 12 | 1.0 | 24 | 8 | 20.0 |
| 13 | 1.0 | 16 | 7 | 24.7 |
| 14 | 1.0 | 16 | 7 | 24.6 |
| 15 | 1.0 | 16 | 7 | 23.9 |
| Source | DF | Adj SS | Adj MS | F-Value | p-Value |
|---|---|---|---|---|---|
| Model | 9 | 525.95 | 58.44 | 176.3 | <0.0001 |
| Linear | 3 | 316.48 | 105.49 | 318.3 | <0.0001 |
| Glycerol | 1 | 101.02 | 101.02 | 304.7 | <0.0001 |
| Peptone | 1 | 124.8 | 124.8 | 376.5 | <0.0001 |
| pH | 1 | 90.66 | 90.66 | 273.4 | <0.0001 |
| Square | 3 | 199.05 | 66.35 | 200.1 | <0.0001 |
| Glycerol×Glycerol | 1 | 65.61 | 65.61 | 197.9 | <0.0001 |
| Peptone×Peptone | 1 | 73.44 | 73.44 | 221.5 | <0.0001 |
| pH×pH | 1 | 60 | 60 | 181 | <0.0001 |
| 2-Way Interaction | 3 | 10.42 | 3.47 | 10.46 | 0.013 |
| Glycerol×Peptone | 1 | 4.21 | 4.21 | 12.69 | 0.016 |
| Glycerol×pH | 1 | 2.89 | 2.89 | 8.72 | 0.031 |
| Peptone×pH | 1 | 3.32 | 3.32 | 10.02 | 0.024 |
| Error | 5 | 1.66 | 0.33 | ||
| Lack of Fit | 3 | 1.28 | 0.43 | 2.24 | 0.33 |
| Pure Error | 2 | 0.38 | 0.19 | ||
| Total | 14 | 527.61 |
| Term | Coef | SE Coef | T-Value |
|---|---|---|---|
| Constant | 24.400 | 0.257 | 94.94 |
| Glycerol | 3.550 | 0.183 | 19.40 |
| Peptone | 3.950 | 0.183 | 21.58 |
| pH | 2.750 | 0.183 | 15.02 |
| Glycerol×Glycerol | −4.050 | 0.273 | −14.84 |
| Peptone×Peptone | −4.450 | 0.273 | −16.31 |
| pH×pH | −3.850 | 0.273 | −14.10 |
| Glycerol×Peptone | 0.650 | 0.260 | 2.50 |
| Glycerol×pH | 0.450 | 0.260 | 1.73 |
| Peptone×pH | 0.550 | 0.260 | 2.12 |
| Microorganism | Pyocyanin (20 µg/mL) | Pyocyanin (30 µg/mL) | Pyocyanin (40 µg/mL) | Gentamicin (10 µg) | Fluconazole (25 µg) |
|---|---|---|---|---|---|
| Bacillus cereus | 18.3 ± 1.2 a | 22.1 ± 1.5 b | 26.4 ± 1.3 c | 28.6 ± 1.4 c | — |
| Candida glabrata | 11.2 ± 1.1 a | 16.8 ± 1.3 b | 21.5 ± 1.6 c | — | 20.7 ± 1.4 c |
| Klebsiella pneumoniae | 12.4 ± 1.0 a | 15.3 ± 1.2 b | 17.6 ± 1.4 c | 22.9 ± 1.3 d | — |
| Candida albicans | 9.8 ± 0.9 a | 12.6 ± 1.5 a | 15.4 ± 1.8 b | — | 21.3 ± 1.6 c |
| Candida parapsilosis | 8.9 ± 1.0 a | 10.7 ± 1.3 a | 13.2 ± 1.9 b | — | 19.8 ± 1.5 c |
| Proteus mirabilis | 7.6 ± 0.8 a | 10.8 ± 1.1 b | 12.5 ± 1.3 b | 24.8 ± 1.2 c | — |
| Staphylococcus aureus (MRSA) | 6.4 ± 0.7 a | 7.9 ± 0.9 a | 9.2 ± 1.1 a | 0.0 b | — |
Disclaimer/Publisher’s Note: The statements, opinions and data contained in all publications are solely those of the individual author(s) and contributor(s) and not of MDPI and/or the editor(s). MDPI and/or the editor(s) disclaim responsibility for any injury to people or property resulting from any ideas, methods, instructions or products referred to in the content. |
© 2026 by the authors. Licensee MDPI, Basel, Switzerland. This article is an open access article distributed under the terms and conditions of the Creative Commons Attribution (CC BY) license.
Share and Cite
Dikbaş, L.; Alım, Ş.; Uçar, S.; Özdal, M.; Dikbaş, N. Optimization of Pyocyanin Production by Pseudomonas aeruginosa OG1 Using RSM: In Vitro Evaluation of Its Antibacterial and Anticandidal Efficacy Against Some Pathogens. Antibiotics 2026, 15, 330. https://doi.org/10.3390/antibiotics15040330
Dikbaş L, Alım Ş, Uçar S, Özdal M, Dikbaş N. Optimization of Pyocyanin Production by Pseudomonas aeruginosa OG1 Using RSM: In Vitro Evaluation of Its Antibacterial and Anticandidal Efficacy Against Some Pathogens. Antibiotics. 2026; 15(4):330. https://doi.org/10.3390/antibiotics15040330
Chicago/Turabian StyleDikbaş, Levent, Şeyma Alım, Sevda Uçar, Murat Özdal, and Neslihan Dikbaş. 2026. "Optimization of Pyocyanin Production by Pseudomonas aeruginosa OG1 Using RSM: In Vitro Evaluation of Its Antibacterial and Anticandidal Efficacy Against Some Pathogens" Antibiotics 15, no. 4: 330. https://doi.org/10.3390/antibiotics15040330
APA StyleDikbaş, L., Alım, Ş., Uçar, S., Özdal, M., & Dikbaş, N. (2026). Optimization of Pyocyanin Production by Pseudomonas aeruginosa OG1 Using RSM: In Vitro Evaluation of Its Antibacterial and Anticandidal Efficacy Against Some Pathogens. Antibiotics, 15(4), 330. https://doi.org/10.3390/antibiotics15040330
