Heterologous Substitution of Mycobacterium tuberculosis rRNA in Mycobacterium smegmatis and Its Impact on Antimicrobial Susceptibility
Abstract
1. Introduction
2. Results
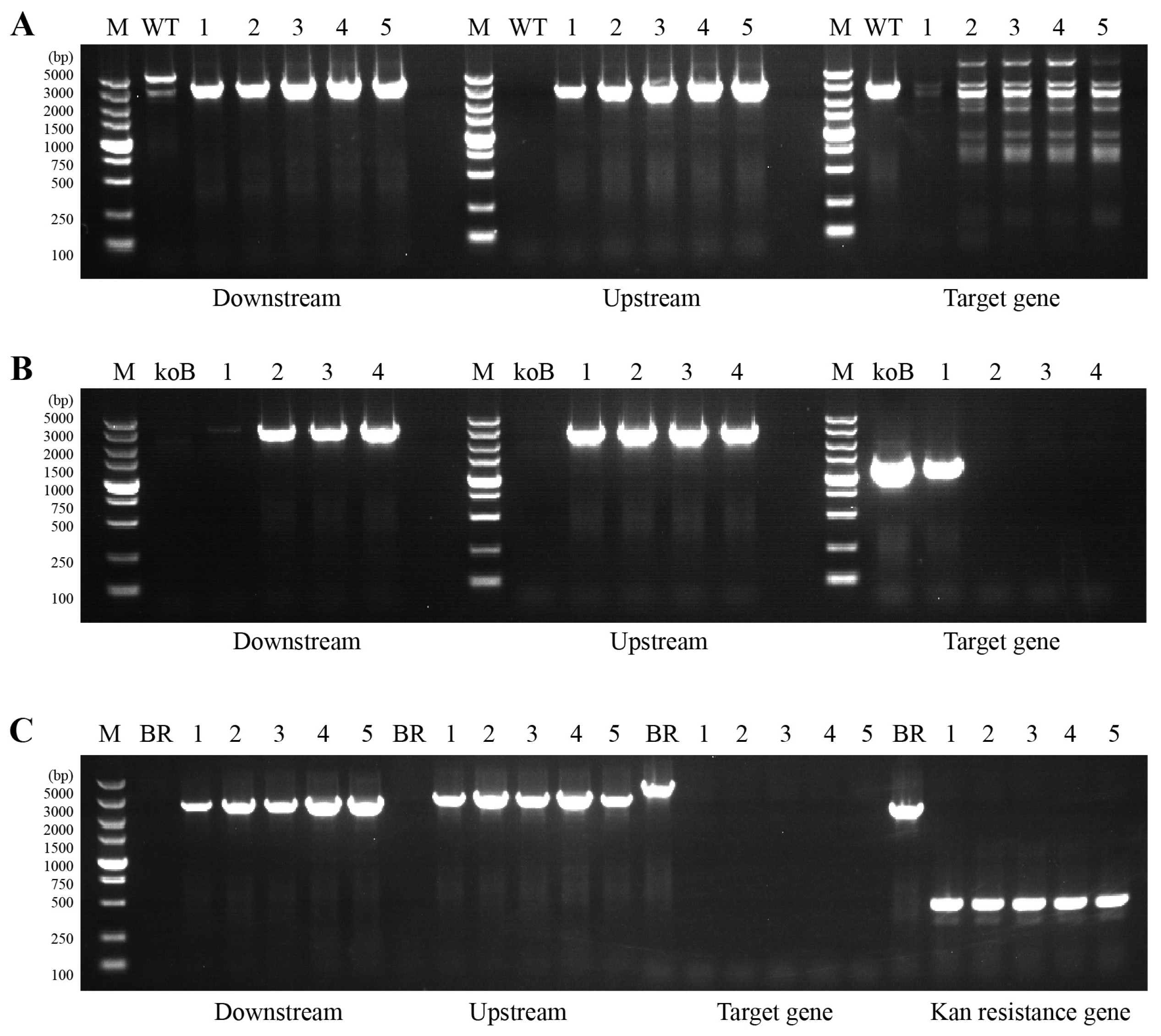
2.1. Construction and Validation of M. smegmatis BRkoA Strain
2.2. Growth Characteristics of the M. smegmatis BRkoA Strain
2.3. Transcriptional Level of M. smegmatis BRkoA Strain
2.4. Cold Sensitivity of M. smegmatis BRkoA Strain
2.5. 70S Ribosome Structure of the M. smegmatis BRkoA Strain
2.6. Susceptibility Profiles of M. smegmatis BRkoA Strain
3. Discussion
4. Materials and Methods
4.1. Bacterial Strains and Culturing Conditions
4.2. Construction of Plasmids
4.3. Bacterial Growth Curve
4.4. Cold Sensitivity Experiment
4.5. RT-qPCR
4.6. Sucrose Gradient Analysis of Ribosomes
4.7. Cryo-EM Analysis of 70S Ribosomes
4.8. Antimicrobial Susceptibility Testing
5. Conclusions
Supplementary Materials
Author Contributions
Funding
Institutional Review Board Statement
Informed Consent Statement
Data Availability Statement
Acknowledgments
Conflicts of Interest
References
- Koch, A.; Mizrahi, V. Mycobacterium tuberculosis. Trends Microbiol. 2018, 26, 555–556. [Google Scholar] [CrossRef]
- WHO. Global Tuberculosis Report 2025; World Health Organization: Geneva, Switzerland, 2025. [Google Scholar]
- Green, R.; Noller, H.F. Ribosomes and translation. Annu. Rev. Biochem. 1997, 66, 679–716. [Google Scholar] [CrossRef]
- Steitz, T.A. A structural understanding of the dynamic ribosome machine. Nat. Rev. Mol. Cell Biol. 2008, 9, 242–253. [Google Scholar] [CrossRef] [PubMed]
- Ramakrishnan, V. The ribosome emerges from a black box. Cell 2014, 159, 979–984. [Google Scholar] [CrossRef]
- Gomez, J.E.; Kaufmann-Malaga, B.B.; Wivagg, C.N.; Kim, P.B.; Silvis, M.R.; Renedo, N.; Ioerger, T.R.; Ahmad, R.; Livny, J.; Fishbein, S.; et al. Ribosomal mutations promote the evolution of antibiotic resistance in a multidrug environment. eLife 2017, 6, e20420. [Google Scholar] [CrossRef] [PubMed]
- Choudhary, E.; Lunge, A.; Agarwal, N. Strategies of genome editing in mycobacteria: Achievements and challenges. Tuberculosis 2016, 98, 132–138. [Google Scholar] [CrossRef]
- Sundarsingh, T.J.A.; Ranjitha, J.; Rajan, A.; Shankar, V. Features of the biochemistry of Mycobacterium smegmatis, as a possible model for Mycobacterium tuberculosis. J. Infect. Public Health 2020, 13, 1255–1264. [Google Scholar] [CrossRef]
- Reyrat, J.M.; Kahn, D. Mycobacterium smegmatis: An absurd model for tuberculosis? Trends Microbiol. 2001, 9, 472–474. [Google Scholar] [CrossRef]
- Shiloh, M.U.; Champion, P.A.D. To catch a killer. What can mycobacterial models teach us about Mycobacterium tuberculosis pathogenesis? Curr. Opin. Microbiol. 2010, 13, 86–92. [Google Scholar] [CrossRef] [PubMed]
- Chaturvedi, V.; Dwivedi, N.; Tripathi, R.P.; Sinha, S. Evaluation of Mycobacterium smegmatis as a possible surrogate screen for selecting molecules active against multi-drug resistant Mycobacterium tuberculosis. J. General. Appl. Microbiol. 2007, 53, 333–337. [Google Scholar] [CrossRef]
- Mamadou, D.; Marie-Ange, D.; Nicole, G. The cell envelope of Mycobacterium smegmatis: Cytochemistry and architectural implications. FEMS Microbiol. Lett. 1989, 52, 89–93. [Google Scholar] [CrossRef] [PubMed]
- Lelovic, N.; Mitachi, K.; Yang, J.; Lemieux, M.R.; Ji, Y.; Kurosu, M. Application of Mycobacterium smegmatis as a surrogate to evaluate drug leads against Mycobacterium tuberculosis. J. Antibiot. 2020, 73, 780–789. [Google Scholar] [CrossRef]
- Hentschel, J.; Burnside, C.; Mignot, I.; Leibundgut, M.; Boehringer, D.; Ban, N. The Complete Structure of the Mycobacterium smegmatis 70S Ribosome. Cell Rep. 2017, 20, 149–160. [Google Scholar] [CrossRef]
- Yang, K.; Chang, J.Y.; Cui, Z.; Li, X.; Meng, R.; Duan, L.; Thongchol, J.; Jakana, J.; Huwe, C.M.; Sacchettini, J.C.; et al. Structural insights into species-specific features of the ribosome from the human pathogen Mycobacterium tuberculosis. Nucleic Acids Res. 2017, 45, 10884–10894. [Google Scholar] [CrossRef]
- Kushwaha, A.K.; Bhushan, S. Unique structural features of the Mycobacterium ribosome. Prog. Biophys. Mol. Biol. 2020, 152, 15–24. [Google Scholar] [CrossRef]
- Gonzalez, Y.M.J.A.; Colston, M.J.; Cox, R.A. The rRNA operons of Mycobacterium smegmatis and Mycobacterium tuberculosis: Comparison of promoter elements and of neighbouring upstream genes. Microbiology 1996, 142, 667–674. [Google Scholar] [CrossRef][Green Version]
- Lei, X.; Fan, Q.; Huang, T.; Liu, H.; Zhao, G.; Ding, X. Efficient circular gene knockout system for Burkholderiales strain DSM 7029 and Mycobacterium smegmatis mc2 155. Acta Biochim. Biophys. Sin. 2019, 51, 697–706. [Google Scholar] [CrossRef]
- Hmelo, L.R.; Borlee, B.R.; Almblad, H.; Love, M.E.; Randall, T.E.; Tseng, B.S.; Lin, C.; Irie, Y.; Storek, K.M.; Yang, J.J.; et al. Precision-engineering the Pseudomonas aeruginosa genome with two-step allelic exchange. Nat. Protoc. 2015, 10, 1820–1841. [Google Scholar] [CrossRef] [PubMed]
- Dammel, C.S.; Noller, H.F. A cold-sensitive mutation in 16S rRNA provides evidence for helical switching in ribosome assembly. Genes. Dev. 1993, 7, 660–670. [Google Scholar] [CrossRef]
- Connolly, K.; Culver, G. Deconstructing ribosome construction. Trends Biochem. Sci. 2009, 34, 256–263. [Google Scholar] [CrossRef] [PubMed]
- Steitz, T.A.; Moore, P.B. RNA, the first macromolecular catalyst: The ribosome is a ribozyme. Trends Biochem. Sci. 2003, 28, 411–418. [Google Scholar] [CrossRef] [PubMed]
- Giuliano, M.G.; Engl, C. Wellcome Trust–Funded Monographs and Book Chapters. The Lifecycle of Ribosomal RNA in Bacteria. In RNA Damage and Repair; Kotta-Loizou, I., Ed.; Springer Nature: Cham, Switzerland, 2021. [Google Scholar]
- Lin, J.; Zhou, D.; Steitz, T.A.; Polikanov, Y.S.; Gagnon, M.G. Ribosome-Targeting Antibiotics: Modes of Action, Mechanisms of Resistance, and Implications for Drug Design. Annu. Rev. Biochem. 2018, 87, 451–478. [Google Scholar] [CrossRef]
- Wilson, D.N. Ribosome-targeting antibiotics and mechanisms of bacterial resistance. Nat. Rev. Microbiol. 2014, 12, 35–48. [Google Scholar] [CrossRef]
- Watanabe, S.; Matsumura, K.; Iwai, H.; Funatogawa, K.; Haishima, Y.; Fukui, C.; Okumura, K.; Kato-Miyazawa, M.; Hashimoto, M.; Teramoto, K.; et al. A Mutation in the 16S rRNA Decoding Region Attenuates the Virulence of Mycobacterium tuberculosis. Infect. Immun. 2016, 84, 2264–2273. [Google Scholar] [CrossRef]
- Maus, C.E.; Plikaytis, B.B.; Shinnick, T.M. Molecular analysis of cross-resistance to capreomycin, kanamycin, amikacin, and viomycin in Mycobacterium tuberculosis. Antimicrob. Agents Chemother. 2005, 49, 3192–3197. [Google Scholar] [CrossRef] [PubMed]
- Carter, A.P.; Clemons, W.M.; Brodersen, D.E.; Morgan-Warren, R.J.; Wimberly, B.T.; Ramakrishnan, V. Functional insights from the structure of the 30S ribosomal subunit and its interactions with antibiotics. Nature 2000, 407, 340–348. [Google Scholar] [CrossRef]
- Kawaguchi, H. Discovery, chemistry, and activity of amikacin. J. Infect. Dis. 1976, 134, S242–S248. [Google Scholar] [CrossRef]
- Pertschy, B.; Zierler, I. Ribosomal Proteins in Ribosome Assembly. Biomolecules 2024, 15, 13. [Google Scholar] [CrossRef]
- Zheng, S.Q.; Palovcak, E.; Armache, J.P.; Verba, K.A.; Cheng, Y.; Agard, D.A. MotionCor2: Anisotropic correction of beam-induced motion for improved cryo-electron microscopy. Nat. Methods 2017, 14, 331–332. [Google Scholar] [CrossRef]
- Punjani, A.; Rubinstein, J.L.; Fleet, D.J.; Brubaker, M.A. cryoSPARC: Algorithms for rapid unsupervised cryo-EM structure determination. Nat. Methods 2017, 14, 290–296. [Google Scholar] [CrossRef] [PubMed]
- Zivanov, J.; Nakane, T.; Forsberg, B.O.; Kimanius, D.; Hagen, W.J.; Lindahl, E.; Scheres, S.H. New tools for automated high-resolution cryo-EM structure determination in RELION-3. eLife 2018, 7, e42166. [Google Scholar] [CrossRef]
- Pettersen, E.F.; Goddard, T.D.; Huang, C.C.; Couch, G.S.; Greenblatt, D.M.; Meng, E.C.; Ferrin, T.E. UCSF Chimera—A visualization system for exploratory research and analysis. J. Comput. Chem. 2004, 25, 1605–1612. [Google Scholar] [CrossRef] [PubMed]
- Liebschner, D.; Afonine, P.V.; Baker, M.L.; Bunkóczi, G.; Chen, V.B.; Croll, T.I.; Hintze, B.; Hung, L.W.; Jain, S.; McCoy, A.J.; et al. Macromolecular structure determination using X-rays, neutrons and electrons: Recent developments in Phenix. Acta Crystallogr. D Struct. Biol. 2019, 75, 861–877. [Google Scholar] [CrossRef] [PubMed]
- Wiegand, I.; Hilpert, K.; Hancock, R.E. Agar and broth dilution methods to determine the minimal inhibitory concentration (MIC) of antimicrobial substances. Nat. Protoc. 2008, 3, 163–175. [Google Scholar] [CrossRef] [PubMed]








| Antimicrobial Agents | WT MIC (μg/mL) | BRkoA MIC (μg/mL) |
|---|---|---|
| Kanamycin | 1 | 2 |
| Amikacin | 1 | 1 |
| Paromomycin | 2 | 4 |
| Gentamicin | 2 | 4 |
| Linezolid | 2 | 4 |
Disclaimer/Publisher’s Note: The statements, opinions and data contained in all publications are solely those of the individual author(s) and contributor(s) and not of MDPI and/or the editor(s). MDPI and/or the editor(s) disclaim responsibility for any injury to people or property resulting from any ideas, methods, instructions or products referred to in the content. |
© 2025 by the authors. Licensee MDPI, Basel, Switzerland. This article is an open access article distributed under the terms and conditions of the Creative Commons Attribution (CC BY) license.
Share and Cite
Yue, Q.; Shan, C.; Habib, A.; Zhao, G.; Ding, X. Heterologous Substitution of Mycobacterium tuberculosis rRNA in Mycobacterium smegmatis and Its Impact on Antimicrobial Susceptibility. Antibiotics 2026, 15, 30. https://doi.org/10.3390/antibiotics15010030
Yue Q, Shan C, Habib A, Zhao G, Ding X. Heterologous Substitution of Mycobacterium tuberculosis rRNA in Mycobacterium smegmatis and Its Impact on Antimicrobial Susceptibility. Antibiotics. 2026; 15(1):30. https://doi.org/10.3390/antibiotics15010030
Chicago/Turabian StyleYue, Qianwen, Chan Shan, Arslan Habib, Guoping Zhao, and Xiaoming Ding. 2026. "Heterologous Substitution of Mycobacterium tuberculosis rRNA in Mycobacterium smegmatis and Its Impact on Antimicrobial Susceptibility" Antibiotics 15, no. 1: 30. https://doi.org/10.3390/antibiotics15010030
APA StyleYue, Q., Shan, C., Habib, A., Zhao, G., & Ding, X. (2026). Heterologous Substitution of Mycobacterium tuberculosis rRNA in Mycobacterium smegmatis and Its Impact on Antimicrobial Susceptibility. Antibiotics, 15(1), 30. https://doi.org/10.3390/antibiotics15010030
